Computed Tomography-Measured Cranial Sternal Lymphadenomegaly Is Associated with Elevated C-Reactive Protein in Small Dogs with Non-Neoplastic Disorders
Simple Summary
Abstract
1. Introduction
2. Materials and Methods
2.1. Study Population
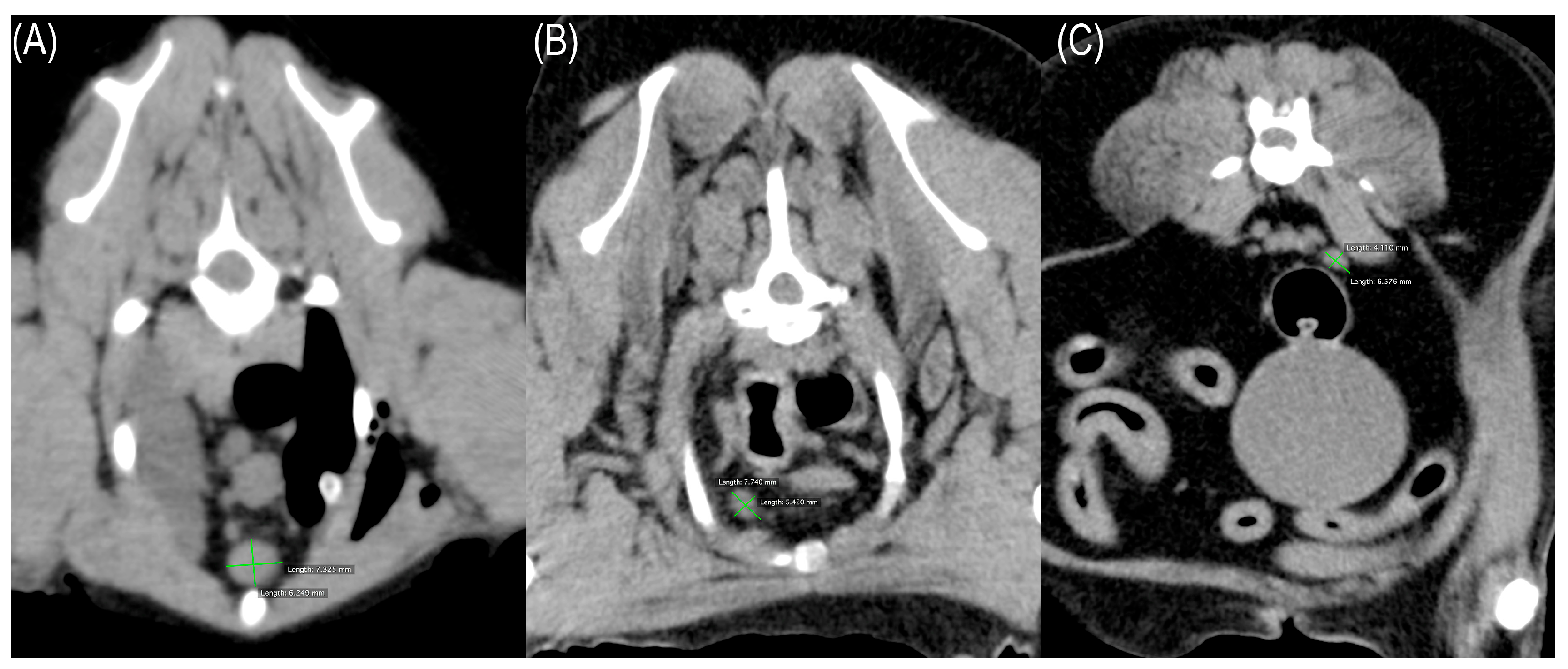
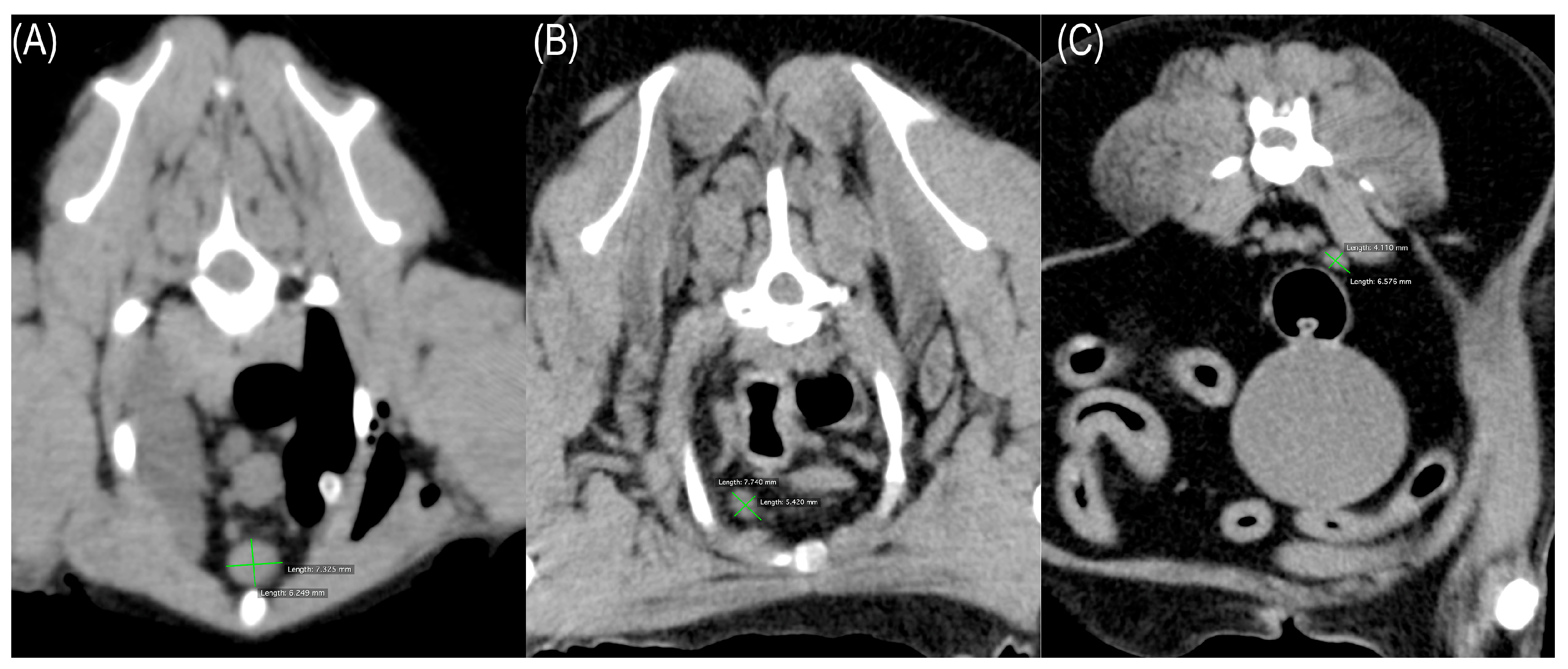
2.2. Evaluation of Lymph Node Images
2.3. Other Data Retrieved
2.4. Associations Between Lymph Node Enlargement and CRP Level
2.5. Statistics Analysis
3. Results
3.1. Demographic and Clinical Characteristics of the Study Population
3.2. Deep Lymph Node Evaluation in Dogs with Elevated Plasma CRP
3.3. Associations Between Lymph Node Diameter and Plasma CRP in Correlation Coefficient
4. Discussion
5. Conclusions
Supplementary Materials
Author Contributions
Funding
Institutional Review Board Statement
Informed Consent Statement
Data Availability Statement
Acknowledgments
Conflicts of Interest
References
- Zandvliet, M. Canine lymphoma: A review. Vet. Q. 2016, 36, 76–104. [Google Scholar] [CrossRef] [PubMed]
- Hisasue, M.; Nishimura, T.; Neo, S.; Nagashima, N.; Ishikawa, T.; Tsuchiya, R.; Yamada, T. A dog with acute myelomonocytic leukemia. J. Vet. Med. Sci. 2008, 70, 619–621. [Google Scholar] [CrossRef] [PubMed]
- Kingsbury, E.; Odatzoglou, P.; Peschard, A.L.; Wong, H.; Elders, R. Intracranial invasion of a mast cell tumour in a dog: A case report and review of the literature. Vet. Med. Sci. 2024, 10, e1402. [Google Scholar] [CrossRef] [PubMed]
- Golly, E.; Breitschwerdt, E.B.; Balakrishnan, N.; Moore, D.; Bizikova, P. Bartonella henselae, Bartonella koehlerae and Rickettsia rickettsii seroconversion and seroreversion in a dog with acute-onset fever, lameness, and lymphadenopathy followed by a protracted disease course. Vet. Parasitol. Reg. Stud. Rep. 2017, 7, 19–24. [Google Scholar] [CrossRef]
- Dor, C.; Gajanayake, I.; Kortum, A.; Day, M.J.; Tappin, S.; Harris, B.; Battersby, I.; Walker, D.; Glanemann, B.; Myatt, P.; et al. Characterisation and outcome of idiopathic pyogranulomatous lymphadenitis in 64 English springer spaniel dogs. J. Small Anim. Pract. 2019, 60, 551–558. [Google Scholar] [CrossRef]
- Ribas Latre, A.; McPartland, A.; Cain, D.; Walker, D.; Black, V.; Steen, N.V.D.; Warman, S.; Battersby, I.; Murtagh, K.; Silvestrini, P.; et al. Canine sterile steroid-responsive lymphadenitis in 49 dogs. J. Small Anim. Pract. 2019, 60, 280–290. [Google Scholar] [CrossRef]
- Lee, G.K.C.; Barbosa, C.; Andersen, G.; Ramirez, C.J.; Kornya, M.; Abrams-Ogg, A.; Morrison, K.; Diamantino, G.; Wood, R.D.; Beeler-Marfisi, J.; et al. Cyclic hematopoiesis in a mixed-breed dog: Case report and brief review. J. Vet. Diagn. Invest. 2022, 34, 1006–1009. [Google Scholar] [CrossRef]
- Menghini, T.L.; Schwarz, T.; Dancer, S.; Gray, C.; MacGillivray, T.; Blacklock, K.L.B. Contrast-enhanced CT predictors of lymph nodal metastasis in dogs with oral melanoma. Vet. Radiol. Ultrasound. 2023, 64, 694–705. [Google Scholar] [CrossRef]
- Skinner, O.T.; Boston, S.E.; Giglio, R.F.; Whitley, E.M.; Colee, J.C.; Porter, E.G. Diagnostic accuracy of contrast-enhanced computed tomography for assessment of mandibular and medial retropharyngeal lymph node metastasis in dogs with oral and nasal cancer. Vet. Comp. Oncol. 2018, 16, 562–570. [Google Scholar] [CrossRef]
- Cotter, B.; Zwicker, L.A.; Waldner, C.; Randall, E.; Gagnon, J.; Wiebe, S.; Cohen, E.B.; Hespel, A.; de Swarte, M.; Mayer, M.N. Inter- and intraobserver agreement for CT measurement of mandibular and medial retropharyngeal lymph nodes is excellent in dogs with histologically confirmed oral melanoma. Vet. Radiol. Ultrasound. 2022, 63, 73–81. [Google Scholar] [CrossRef]
- Burgess, H.J.; MacDonald Dickinson, V.; Kerr, M.; Bienzle, D. Marginal zone lymphoma in a dog. Vet. Clin. Pathol. 2020, 49, 312–318. [Google Scholar] [CrossRef] [PubMed]
- Gaddey, H.L.; Riegel, A.M. Unexplained Lymphadenopathy: Evaluation and Differential Diagnosis. Am. Fam. Physician. 2016, 94, 896–903. [Google Scholar] [PubMed]
- Nyman, H.T.; O’Brien, R.T. The sonographic evaluation of lymph nodes. Clin. Tech. Small Anim. Pract. 2007, 22, 128–137. [Google Scholar] [CrossRef] [PubMed]
- De Swarte, M.; Alexander, K.; Rannou, B.; D’Anjou, M.A.; Blond, L.; Beauchamp, G. Comparison of sonographic features of benign and neoplastic deep lymph nodes in dogs. Vet. Radiol. Ultrasound. 2011, 52, 451–456. [Google Scholar] [CrossRef] [PubMed]
- Kayanuma, H.; Yamada, K.; Maruo, T.; Kanai, E. Computed tomography of thoracic lymph nodes in 100 dogs with no abnormalities in the dominated area. J. Vet. Med. Sci. 2020, 82, 279–285. [Google Scholar] [CrossRef]
- Iwasaki, R.; Murakami, M.; Kawabe, M.; Heishima, K.; Sakai, H.; Mori, T. Metastatic diagnosis of canine sternal lymph nodes using computed tomography characteristics: A retrospective cross-sectional study. Vet. Comp. Oncol. 2018, 16, 140–147. [Google Scholar] [CrossRef] [PubMed]
- Ballegeer, E.A.; Adams, W.M.; Dubielzig, R.R.; Paoloni, M.C.; Klauer, J.M.; Keuler, N.S. Computed tomography characteristics of canine tracheobronchial lymph node metastasis. Vet. Radiol. Ultrasound. 2010, 51, 397–403. [Google Scholar] [CrossRef] [PubMed]
- Nakamura, M.; Takahashi, M.; Ohno, K.; Koshino, A.; Nakashima, K.; Setoguchi, A.; Fujino, Y.; Tsujimoto, H. C-reactive protein concentration in dogs with various diseases. J. Vet. Med. Sci. 2008, 70, 127–131. [Google Scholar] [CrossRef]
- Malin, K.; Witkowska-Piłaszewicz, O. C-Reactive Protein as a Diagnostic Marker in Dogs: A Review. Animals 2022, 12, 2888. [Google Scholar] [CrossRef]
- Indzhova, V.; Czopowicz, M.; Kilpatrick, S.; Gutierrez-Quintana, R.; Brocal, J. Signalment and C-reactive protein values in dogs with immune-mediated polyarthritis and steroid responsive meningitis arteritis. Front. Vet. Sci. 2023, 10, 1091318. [Google Scholar] [CrossRef]
- Sproston, N.R.; Ashworth, J.J. Role of C-Reactive Protein at Sites of Inflammation and Infection. Front. Immunol. 2018, 9, 754. [Google Scholar] [CrossRef] [PubMed]
- Vermeire, S.; Van Assche, G.; Rutgeerts, P. The role of C-reactive protein as an inflammatory marker in gastrointestinal diseases. Nat. Clin. Pract. Gastroenterol. Hepatol. 2005, 2, 580–586. [Google Scholar] [CrossRef] [PubMed]
- Sahoo, D.K.; Allenspach, K.; Mochel, J.P.; Parker, V.; Rudinsky, A.J.; Winston, J.A.; Bourgois-Mochel, A.; Ackermann, M.; Heilmann, R.M.; Köller, G.; et al. Synbiotic-IgY Therapy Modulates the Mucosal Microbiome and Inflammatory Indices in Dogs with Chronic Inflammatory Enteropathy: A Randomized, Double-Blind, Placebo-Controlled Study. Vet. Sci. 2022, 10, 25. [Google Scholar] [CrossRef] [PubMed]
- Stockham, S.L.; Keeton, K.S.; Szladovits, B. Clinical assessment of leukocytosis: Distinguishing leukocytoses caused by inflammatory, glucocorticoid, physiologic, and leukemic disorders or conditions. Vet. Clin. N. Am. Small Anim. Pract. 2003, 33, 1335–1357. [Google Scholar] [CrossRef]
- Stehlík, L.; Vitulová, H.; Simeoni, F.; Proks, P.; Vignoli, M. Computed tomography measurements of presumptively normal canine sternal lymph nodes. BMC Vet. Res. 2020, 16, 269. [Google Scholar] [CrossRef]
- Cordella, A.; Saunders, J.; Stock, E. Sternal lymphadenopathy in dogs with malignancy in different localizations: A CT retrospective study of 60 cases. Front. Vet. Sci. 2022, 9, 1019196. [Google Scholar] [CrossRef]
- Iwasaki, R.; Mori, T.; Ito, Y.; Kawabe, M.; Murakmi, M.; Maruo, K. Computed Tomographic Evaluation of Presumptively Normal Canine Sternal Lymph Nodes. J. Am. Anim. Hosp. Assoc. 2016, 52, 371–377. [Google Scholar] [CrossRef]
- Milovancev, M.; Nemanic, S.; Bobe, G. Computed tomographic assessment of sternal lymph node dimensions and attenuation in healthy dogs. Am. J. Vet. Res. 2017, 78, 289–294. [Google Scholar] [CrossRef]
- Beukers, M.; Grosso, F.V.; Voorhout, G. Computed tomographic characteristics of presumed normal canine abdominal lymph nodes. Vet. Radiol. Ultrasound. 2013, 54, 610–617. [Google Scholar] [CrossRef]
- Teodori, S.; Aste, G.; Tamburro, R.; Morselli-Labate, A.M.; Simeoni, F.; Vignoli, M. Computed Tomography Evaluation of Normal Canine Abdominal Lymph Nodes: Retrospective Study of Size and Morphology According to Body Weight and Age in 45 Dogs. Vet. Sci. 2021, 8, 44. [Google Scholar] [CrossRef]
- Smith, K.; O’Brien, R. Radiographic characterization of enlarged sternal lymph nodes in 71 dogs and 13 cats. J. Am. Anim. Hosp. Assoc. 2012, 48, 176–181. [Google Scholar] [CrossRef] [PubMed]
- Erne, J.B.; Walker, M.C.; Strik, N.; Alleman, A.R. Systemic infection with Geomyces organisms in a dog with lytic bone lesions. J. Am. Vet. Med. Assoc. 2007, 230, 537–540. [Google Scholar] [CrossRef] [PubMed]
- Weissenbacher-Lang, C.; Fuchs-Baumgartinger, A.; Klang, A.; Kneissl, S.; Pirker, A.; Shibly, S.; von Ritgen, S.; Weissenböck, H.; Künzel, F. Pneumocystis carinii infection with severe pneumomediastinum and lymph node involvement in a Whippet mixed-breed dog. J. Vet. Diagn. Invest. 2017, 29, 757–762. [Google Scholar] [CrossRef] [PubMed]
- Alcocer, B.; Bou, P.; Bosch, L.; Torrente, C. Presumptive spontaneous hemothorax associated to thymic involution in a dog with steroid responsive meningitis-arteritis (SRMA). Top. Companion Anim. Med. 2024, 60, 100863. [Google Scholar] [CrossRef]
- Ullal, T.V.; Jaffey, J.A.; Kreisler, R.; Matheson, J.; Pacholec, C.; Shumway, K.; Van den Bossche, L.; Fieten, H.; Ringold, R.; DeClue, A.E. Increasing age and severe intraoperative hypotension associated with nonsurvival in dogs with gallbladder mucocele undergoing cholecystectomy. J. Am. Vet. Med. Assoc. 2023, 261, 1–9. [Google Scholar] [CrossRef]
- Jaffey, J.A.; Graham, A.; VanEerde, E.; Hostnik, E.; Alvarez, W.; Arango, J.; Jacobs, C.; DeClue, A.E. Gallbladder Mucocele: Variables Associated with Outcome and the Utility of Ultrasonography to Identify Gallbladder Rupture in 219 Dogs (2007–2016). J. Vet. Intern. Med. 2018, 32, 1290. [Google Scholar] [CrossRef]
- Mullen, K.M.; Regier, P.J.; Ellison, G.W.; Londoño, L. The Pathophysiology of Small Intestinal Foreign Body Obstruction and Intraoperative Assessment of Tissue Viability in Dogs: A Review. Top. Companion Anim. Med. 2020, 40, 100438. [Google Scholar] [CrossRef]
- Kheirandish, R.; Saberi, M.; Vosough, D.; Askari, N. Congenital peritoneopericardial diaphragmatic hernia in a terrier dog. Vet. Res. Forum. 2014, 5, 153–155. [Google Scholar]
- Morgan, K.R.S.; Singh, A.; Giuffrida, M.A.; Balsa, I.M.; Hayes, G.; Chu, M.L.; Thomson, C.B.; Arai, S.; Smeak, D.D.; Monnet, E.; et al. Outcome after surgical and conservative treatments of canine peritoneopericardial diaphragmatic hernia: A multi-institutional study of 128 dogs. Vet. Surg. 2020, 49, 138–145. [Google Scholar] [CrossRef]
- D’Anjou, M.A.; Tidwell, A.S.; Hecht, S. Radiographic diagnosis of lung lobe torsion. Vet. Radiol. Ultrasound. 2005, 46, 478–484. [Google Scholar] [CrossRef]
- Howard, E.; Alexander, L. Miller’s Anatomy of the Dog, 4th ed.; Saunders: Philadelphia, PA, USA, 2012; pp. 535–562. [Google Scholar]



| Parameter | Value |
|---|---|
| Study population | n = 74 |
| Male/Female | n= 38/n = 36 |
| Intact/Neutered | n = 23/n = 51 |
| Age | Mean 10.0 y (max–min: 18.5 y–1.3 y 95%CI: 11 y–8.9 y) |
| Sternal lymph nodes | |
| No. measurable | n = 68 |
| Mean diameter | 4.4 mm (max–min: 8.3–2 95%CI: 4.7–4.0) |
| Clinically enlarged | 4 (>7 mm) |
| Cranial mediastinal lymph nodes | |
| No. measurable | n = 69 |
| Mean diameter | 4.5 mm (max–min: 9.3–2 95%CI: 4.9–4.1) |
| Clinically enlarged | 9 (>6 mm) |
| Internal iliac lymph nodes | |
| No. measurable | n = 73 |
| Mean diameter | 4.8 mm (max–min: 8.1–2.1 95%CI:5.1–4.5) |
| Clinically enlarged | 15 (>6 mm) |
| CRP | 1.9 mg/dL (max–min: 7.0–0.3 95%CI: 2.4–1.31) |
| Clinically elevated | 29 (>0.7 mg/dL) |
| WBC | 13.9 mg/dL (max–min: 50.9–4.9 95%CI: 16.1–11.7) |
| Clinically elevated | 14 (>16.76 k/μL) |
Disclaimer/Publisher’s Note: The statements, opinions and data contained in all publications are solely those of the individual author(s) and contributor(s) and not of MDPI and/or the editor(s). MDPI and/or the editor(s) disclaim responsibility for any injury to people or property resulting from any ideas, methods, instructions or products referred to in the content. |
© 2025 by the authors. Licensee MDPI, Basel, Switzerland. This article is an open access article distributed under the terms and conditions of the Creative Commons Attribution (CC BY) license (https://creativecommons.org/licenses/by/4.0/).
Share and Cite
Ide, Y.; Furusawa, Y.; Sogawa, T.; Takahashi, K.; Kuramoto, T.; Takahashi, M.; Miura, N. Computed Tomography-Measured Cranial Sternal Lymphadenomegaly Is Associated with Elevated C-Reactive Protein in Small Dogs with Non-Neoplastic Disorders. Vet. Sci. 2025, 12, 356. https://doi.org/10.3390/vetsci12040356
Ide Y, Furusawa Y, Sogawa T, Takahashi K, Kuramoto T, Takahashi M, Miura N. Computed Tomography-Measured Cranial Sternal Lymphadenomegaly Is Associated with Elevated C-Reactive Protein in Small Dogs with Non-Neoplastic Disorders. Veterinary Sciences. 2025; 12(4):356. https://doi.org/10.3390/vetsci12040356
Chicago/Turabian StyleIde, Yutaro, Yu Furusawa, Takeshi Sogawa, Kaori Takahashi, Tomohide Kuramoto, Masashi Takahashi, and Naoki Miura. 2025. "Computed Tomography-Measured Cranial Sternal Lymphadenomegaly Is Associated with Elevated C-Reactive Protein in Small Dogs with Non-Neoplastic Disorders" Veterinary Sciences 12, no. 4: 356. https://doi.org/10.3390/vetsci12040356
APA StyleIde, Y., Furusawa, Y., Sogawa, T., Takahashi, K., Kuramoto, T., Takahashi, M., & Miura, N. (2025). Computed Tomography-Measured Cranial Sternal Lymphadenomegaly Is Associated with Elevated C-Reactive Protein in Small Dogs with Non-Neoplastic Disorders. Veterinary Sciences, 12(4), 356. https://doi.org/10.3390/vetsci12040356

