Pregnancy in an SRY-Negative XX Developmental Sex Disorder Pig After Removing an Ovotestis
Simple Summary
Abstract
1. Introduction
2. Detailed Case Description
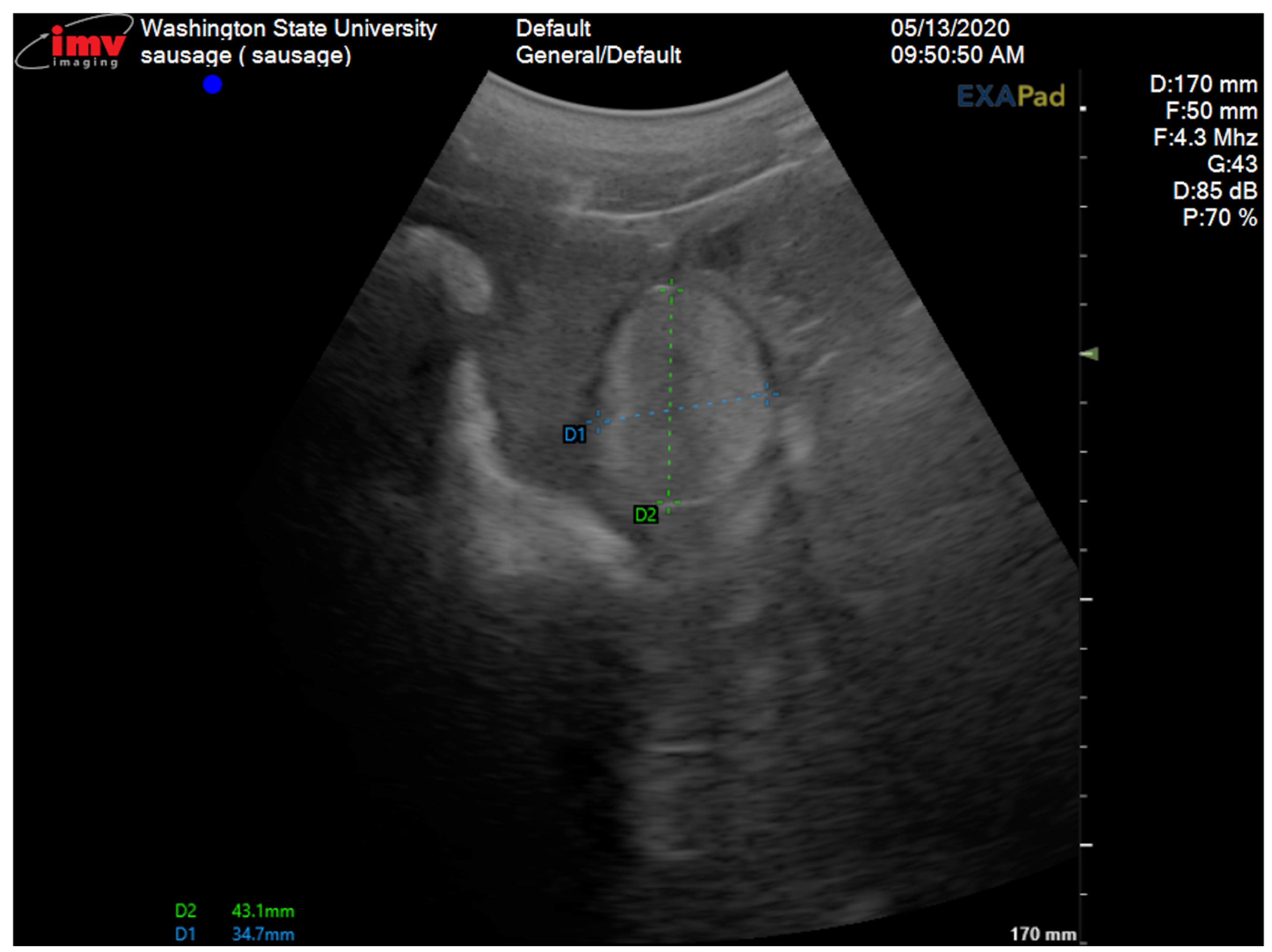
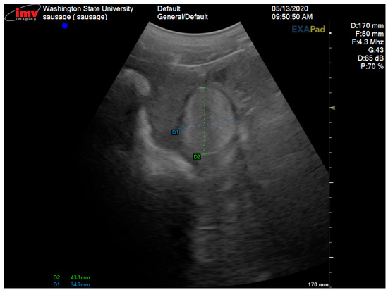
2.1. Surgical Procedure
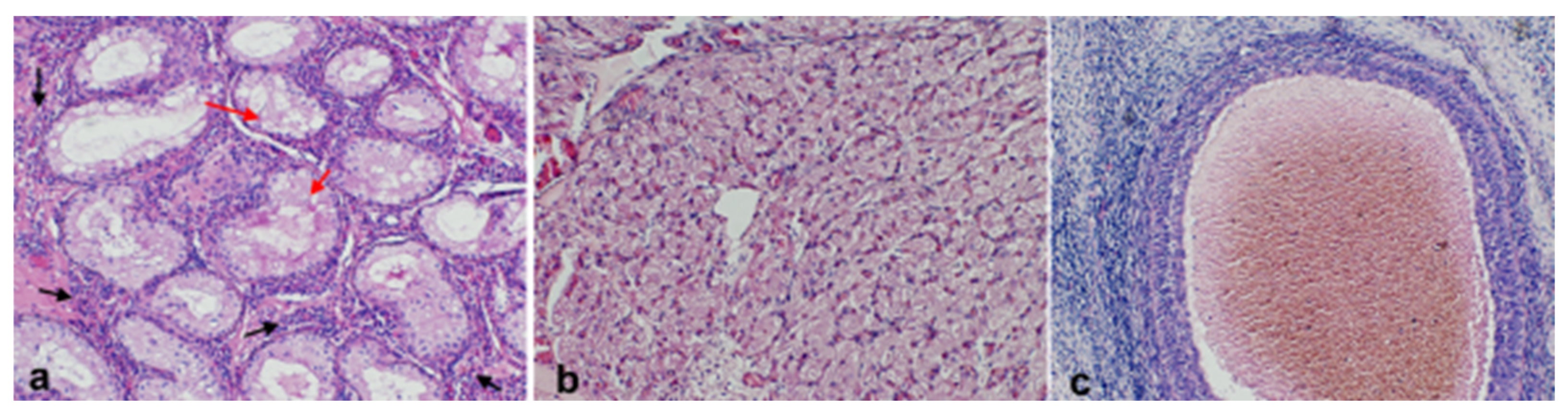
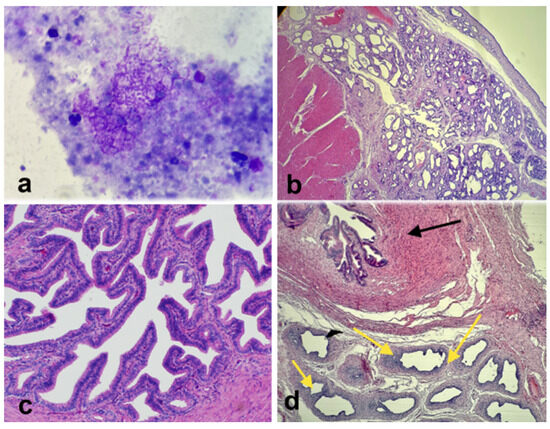
2.2. Histopathology
2.3. Clinical Outcome
3. Discussion
4. Conclusions
Author Contributions
Funding
Institutional Review Board Statement
Informed Consent Statement
Data Availability Statement
Acknowledgments
Conflicts of Interest
Abbreviations
| IVF | In vitro fertilization |
| DSDs | Disorders of sex development |
| AMH | Anti-Müllerian hormone |
| WSU | Washington State university |
| CEH | Cystic endometrial hyperplasia |
| IV | Intravenous |
| SQ | Subcutaneous |
| PO | Per os |
| CASA | Computer-Assisted Sperm Analysis |
| PI | Principal investigator |
References
- Lyle, S.K. Disorders of Sexual Development in the Dog and Cat. Theriogenology 2007, 68, 338–343. [Google Scholar] [CrossRef] [PubMed]
- Pailhoux, E.; Popescu, P.C.; Parma, P.; Boscher, J.; Legault, C.; Molteni, L.; Fellous, M.; Cotinot, C. Genetic Analysis of 38,XX Males with Genital Ambiguities and True Hermaphrodites in Pigs. Anim. Genet. 1994, 25, 299–305. [Google Scholar] [CrossRef] [PubMed]
- Vaiman, D.; Koutita, O.; Oustry, A.; Elsen, J.-M.; Manfredi, E.; Fellous, M.; Cribiu, E.P. Genetic Mapping of the Autosomal Region Involved in XX Sex-Reversal and Horn Development in Goats. Mamm. Genome 1996, 7, 133–137. [Google Scholar] [CrossRef] [PubMed]
- Albarella, S.; D’Anza, E.; Galdiero, G.; Esposito, L.; De Biase, D.; Paciello, O.; Ciotola, F.; Peretti, V. Cytogenetic Analyses in Ewes with Congenital Abnormalities of the Genital Apparatus. Animals 2019, 9, 776. [Google Scholar] [CrossRef]
- Wilker, C.E.; Meyers-Wallen, V.N.; Schlafer, D.H.; Dykes, N.L.; Kovacs, A.; Ball, B.A. XX Sex Reversal in a Llama. J. Am. Vet. Med. Assoc. 1994, 204, 112–115. [Google Scholar] [CrossRef]
- De Lorenzi, L.; Arrighi, S.; Rossi, E.; Grignani, P.; Previderè, C.; Bonacina, S.; Cremonesi, F.; Parma, P. XY (SRY-Positive) Ovarian Disorder of Sex Development in Cattle. Sex. Dev. 2018, 12, 196–203. [Google Scholar] [CrossRef]
- Villagómez, D.A.F.; Lear, T.L.; Chenier, T.; Lee, S.; McGee, R.B.; Cahill, J.; Foster, R.A.; Reyes, E.; St John, E.; King, W.A. Equine Disorders of Sexual Development in 17 Mares Including XX, SRY-Negative, XY, SRY-Negative and XY, SRY-Positive Genotypes. Sex. Dev. 2011, 5, 16–25. [Google Scholar] [CrossRef]
- De Lorenzi, L.; Banco, B.; Previderè, C.; Bonacina, S.; Romagnoli, S.; Grieco, V.; Parma, P. Testicular XX (SRY-Negative) Disorder of Sex Development in Cat. Sex. Dev. 2017, 11, 210–216. [Google Scholar] [CrossRef]
- Nowacka-Woszuk, J.; Szczerbal, I.; Pausch, H.; Hundi, S.; Hytönen, M.K.; Grzemski, A.; Flisikowski, K.; Lohi, H.; Switonski, M.; Szydlowski, M. Deep Sequencing of a Candidate Region Harboring the SOX9 Gene for the Canine XX Disorder of Sex Development. Anim. Genet. 2017, 48, 330–337. [Google Scholar] [CrossRef]
- Vetro, A.; Dehghani, M.R.; Kraoua, L.; Giorda, R.; Beri, S.; Cardarelli, L.; Merico, M.; Manolakos, E.; Parada-Bustamante, A.; Castro, A.; et al. Testis Development in the Absence of SRY: Chromosomal Rearrangements at SOX9 and SOX3. Eur. J. Hum. Genet. 2015, 23, 1025–1032. [Google Scholar] [CrossRef]
- Pujar, S.; Kothapalli, K.S.; Kirkness, E.; Van Wormer, R.H.; Meyers-Wallen, V.N. Exclusion of Lhx9 as a Candidate Gene for Sry-Negative XX Sex Reversal in the American Cocker Spaniel Model. J. Hered. 2005, 96, 452–454. [Google Scholar] [CrossRef] [PubMed][Green Version]
- De Lorenzi, L.; Groppetti, D.; Arrighi, S.; Pujar, S.; Nicoloso, L.; Molteni, L.; Pecile, A.; Cremonesi, F.; Parma, P.; Meyers-Wallen, V. Mutations in the RSPO1 Coding Region Are Not the Main Cause of Canine SRY-Negative XX Sex Reversal in Several Breeds. Sex. Dev. 2008, 2, 84–95. [Google Scholar] [CrossRef] [PubMed]
- Rota, A.; Cucuzza, A.S.; Iussich, S.; DeLorenzi, L.; Parma, P. The Case of an Sry-Negative XX Male Pug With an Inguinal Gonad. Reprod. Domest. Anim. 2010, 45, 743–745. [Google Scholar] [CrossRef] [PubMed]
- Kothapalli, K.S.D.; Kirkness, E.; Natale, L.J.; Meyers-Wallen, V.N. Exclusion of PISRT1 as a Candidate Locus for Canine Sry-Negative XX Sex Reversal. Anim. Genet. 2003, 34, 467–469. [Google Scholar] [CrossRef]
- Delachapelle, A.; Hortling, H.; Niemi, M.; Wennstroem, J. XX sex chromosomes in a human male. First case. Acta Med. Scand. 1964, 175 (Suppl. S412), 25–28. [Google Scholar] [CrossRef]
- Schultz, B.A.H.; Roberts, S.; Rodgers, A.; Ataya, K. Pregnancy in True Hermaphrodites and All Male Offspring to Date. Obstet. Gynecol. 2009, 113, 534. [Google Scholar] [CrossRef]
- Ciccarelli, M.; Giassetti, M.I.; Miao, D.; Oatley, M.J.; Robbins, C.; Lopez-Biladeau, B.; Waqas, M.S.; Tibary, A.; Whitelaw, B.; Lillico, S.; et al. Donor-Derived Spermatogenesis Following Stem Cell Transplantation in Sterile NANOS2 Knockout Males. Proc. Natl. Acad. Sci. USA 2020, 117, 24195–24204. [Google Scholar] [CrossRef]
- Constantinescu, G.M. The Genital Apparatus in the Pig. In Comparative Reproductive Biology; John Wiley & Sons, Ltd.: Hoboken, NJ, USA, 2007; pp. 27–32. ISBN 978-0-470-39029-0. [Google Scholar]
- Hulland, T.J. Pregnancy in a Hermaphrodite Sow. Can. Vet. J. 1964, 5, 39–41. [Google Scholar]
- Greeley, S.A.W.; Littlejohn, E.; Husain, A.N.; Waggoner, D.; Gundeti, M.; Rosenfield, R.L. The Effect of the Testis on the Ovary: Structure-Function Relationships in a Neonate with a Unilateral Ovotestis (Ovotesticular Disorder of Sex Development). Horm. Res. Paediatr. 2017, 87, 205–212. [Google Scholar] [CrossRef]
- Hunter, R.H.; Greve, T. Intersexuality in Pigs: Clinical, Physiological and Practical Considerations. Acta Vet. Scand. 1996, 37, 1–12. [Google Scholar] [CrossRef]
- Pailhoux, E.; Vigier, B.; Schibler, L.; Cribiu, E.P.; Cotinot, C.; Vaiman, D. Positional Cloning of the PIS Mutation in Goats and Its Impact on Understanding Mammalian Sex-Differentiation. Genet. Sel. Evol. GSE 2005, 37, S55–S64. [Google Scholar] [CrossRef]
- Halina, W.G.; Barrales, D.W.; Partlow, G.D.; Fisher, K.R. Intersexes in Swine: A Problem in Descriptive Anatomy. Can. J. Comp. Med. 1984, 48, 313–321. [Google Scholar] [PubMed]
- Bansal, N.; Roy, K.S.; Sharma, D.K.; Sharma, R. Anatomical Study on True Hermaphroditism in an Indian Pig (Sus Scrofa Domesticus). J. Vet. Sci. 2005, 6, 83–85. [Google Scholar] [CrossRef] [PubMed]
- Switoński, M.; Jackowiak, H.; Godynicki, S.; Klukowska, J.; Borsiak, K.; Urbaniak, K. Familial Occurrence of Pig Intersexes (38,XX; SRY-Negative) on a Commercial Fattening Farm. Anim. Reprod. Sci. 2002, 69, 117–124. [Google Scholar] [CrossRef]
- Meyers-Wallen, V.N.; Schlafer, D.; Barr, I.; Lovell-Badge, R.; Keyzner, A. Sry-negative XX Sex Reversal in Purebred Dogs. Mol. Reprod. Dev. 1999, 53, 266–273. [Google Scholar] [CrossRef]
- Vaiman, D.; Pailhoux, E. Mammalian Sex Reversal and Intersexuality: Deciphering the Sex-Determination Cascade. Trends Genet. TIG 2000, 16, 488–494. [Google Scholar] [CrossRef]
- Buoen, L.C.; Zhang, T.Q.; Weber, A.F.; Ruth, G.R. SRY-Negative, XX Intersex Horses: The Need for Pedigree Studies to Examine the Mode of Inheritance of the Condition. Equine Vet. J. 2000, 32, 78–81. [Google Scholar] [CrossRef]
- Wertz, K.; Herrmann, B.; Wertz, K.; Herrmann, B.G. Large-Scale Screen for Genes Involved in Gonad Development. Mech. Dev. 2000, 98, 51–70. [Google Scholar] [CrossRef]
- Hassan, M.A.; Lavery, S.A.; Trew, G.H. Congenital Uterine Anomalies and Their Impact on Fertility. Womens Health 2010, 6, 443–461. [Google Scholar] [CrossRef]
- Hammoud, A.O.; Gibson, M.; Peterson, C.M.; Kerber, R.A.; Mineau, G.P.; Hatasaka, H. Quantification of the Familial Contribution to Müllerian Anomalies. Obstet. Gynecol. 2008, 111, 378–384. [Google Scholar] [CrossRef]
- Maddukuri, S.B.; Karegowda, L.H.; Prakashini, K.; Kantipudi, S. Robert’s Uterus: A Rare Congenital Müllerian Duct Anomaly Causing Haematometra. BMJ Case Rep. 2014, 2014, bcr2014204489. [Google Scholar] [CrossRef] [PubMed]
- Wood, P.; Hall, J.L.; McMillan, M.; Constantino-Casas, F.; Hughes, K. Presence of Cystic Endometrial Hyperplasia and Uterine Tumours in Older Pet Pigs in the UK. Vet. Rec. Case Rep. 2020, 8, e000924. [Google Scholar] [CrossRef]
- Kurman, R.J. Blaustein’s Pathology of the Female Genital Tract, 5th ed.; Springer: Berlin/Heidelberg, Germany; New York, NY, USA, 2002; ISBN 978-3-319-46333-9. [Google Scholar]
- Chang, K.; Kurtz, H.J.; Mirocha, C.J. Effects of the Mycotoxin Zearalenone on Swine Reproduction. Am. J. Vet. Res. 1979, 40, 1260–1267. [Google Scholar] [PubMed]






Disclaimer/Publisher’s Note: The statements, opinions and data contained in all publications are solely those of the individual author(s) and contributor(s) and not of MDPI and/or the editor(s). MDPI and/or the editor(s) disclaim responsibility for any injury to people or property resulting from any ideas, methods, instructions or products referred to in the content. |
© 2025 by the authors. Licensee MDPI, Basel, Switzerland. This article is an open access article distributed under the terms and conditions of the Creative Commons Attribution (CC BY) license (https://creativecommons.org/licenses/by/4.0/).
Share and Cite
Toenges, J.; Tibary, A.; Oatley, J.M.; Waqas, M.S.; Robbins, C.; Ciccarelli, M. Pregnancy in an SRY-Negative XX Developmental Sex Disorder Pig After Removing an Ovotestis. Vet. Sci. 2025, 12, 268. https://doi.org/10.3390/vetsci12030268
Toenges J, Tibary A, Oatley JM, Waqas MS, Robbins C, Ciccarelli M. Pregnancy in an SRY-Negative XX Developmental Sex Disorder Pig After Removing an Ovotestis. Veterinary Sciences. 2025; 12(3):268. https://doi.org/10.3390/vetsci12030268
Chicago/Turabian StyleToenges, Jewel, Ahmed Tibary, Jon Michael Oatley, Muhammad Salman Waqas, Colton Robbins, and Michela Ciccarelli. 2025. "Pregnancy in an SRY-Negative XX Developmental Sex Disorder Pig After Removing an Ovotestis" Veterinary Sciences 12, no. 3: 268. https://doi.org/10.3390/vetsci12030268
APA StyleToenges, J., Tibary, A., Oatley, J. M., Waqas, M. S., Robbins, C., & Ciccarelli, M. (2025). Pregnancy in an SRY-Negative XX Developmental Sex Disorder Pig After Removing an Ovotestis. Veterinary Sciences, 12(3), 268. https://doi.org/10.3390/vetsci12030268

