Genetic Variation Analysis and Research on Biological Characteristics of Duck Hepatitis Virus Type 3: A Comparison Between Historical Strains in Yunnan and Recent Epidemic Strains
Simple Summary
Abstract
1. Introduction
2. Materials and Methods
2.1. Animals Ethics Statement
2.2. Viruses and Main Materials
2.2.1. Virus Isolates and Cell Lines
2.2.2. Animals
2.3. Reagents and Kits
2.4. Primer Synthesis
2.5. Viral Whole-Genome Amplification and Sequence Analysis
2.6. Cell Adaptation Assay
2.7. Animal Pathogenicity Assays
2.8. Viral Virulence Assay
3. Results
3.1. Genetic Evolution Analysis of Six Virus Strains
3.1.1. Whole-Genome Sequence Amplification, Sequencing, and Assembly
3.1.2. Genome Structure Analysis
3.1.3. Whole-Genome Sequence Homology Analysis
3.1.4. Results of Phylogenetic Tree Analysis
3.2. Experimental Study on the Pathogenicity and Infectious Characteristics of DHAV-3
3.2.1. Pathogenicity Test on Duck Embryos
3.2.2. Pathogenicity Test on Ducklings
3.2.3. Cell Adaptation Assay
3.3. Genetic Evolutionary Analysis of the YN/LR/2005 Strain
3.3.1. Homology Analysis of the Genome Structures of the YN/LR/2005 Strain
3.3.2. Prediction of N-Terminal Glycosylation Sites
3.3.3. Protein Secondary Structure Prediction
3.3.4. Amino Acid Variation Site Analysis
3.4. YN/LR/2005 Pathogenicity Experiment
3.4.1. Determination of the Half-Lethal Dose (LD50)
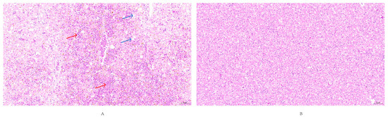
3.4.2. Pathological Changes
4. Discussion
5. Conclusions
Author Contributions
Funding
Institutional Review Board Statement
Informed Consent Statement
Data Availability Statement
Conflicts of Interest
References
- Zhao, S.; Wu, B.; Wang, Q.; Wei, X.; Liu, X.; Tang, Y.; Diao, Y. Advances in the duck hepatitis a virus and lessons learned from those in recent years. Microb. Pathog. 2024, 197, 107018. [Google Scholar] [CrossRef]
- Shawki, M.M.; Abido, O.Y.; Saif, M.A.; Sobh, M.S.; Gado, A.R.; Elnaggar, A.; Nassif, S.A.; El-Shall, N.A. Comparative pathogenicity of duck hepatitis a virus genotype 3 in different duck breeds: Implications of the diagnosis and prevention of duck viral hepatitis. Comp. Immunol. Microbiol. Infect. Dis. 2024, 114, 102256. [Google Scholar] [CrossRef]
- Ye, L.; Zhou, S.; Zhang, H.; Zhang, T.; Yang, D.; Hong, X. A meta-analysis for vaccine protection rate of duck hepatitis a virus in mainland China in 2009–2021. BMC Vet. Res. 2023, 19, 179. [Google Scholar] [CrossRef]
- Annamalai, B.; Jaisree, S.; Vembuvizhivendan, T.T. An outbreak of duck hepatitis a virus infection in nomadic ducklings. Vet. Ital. 2022, 58, 4. [Google Scholar]
- Niu, Y.; Ma, H.; Ding, Y.; Li, Z.; Sun, Y.; Li, M.; Shi, Y. The pathogenicity of duck hepatitis a virus types 1 and 3 on ducklings. Poult. Sci. 2019, 98, 6333–6339. [Google Scholar] [CrossRef] [PubMed]
- Liang, S.; Lu, M.; Yu, D.; Xing, G.; Ji, Z.; Guo, Z.; Zhang, Q.; Huang, W.; Xie, M.; Hou, S. Effects of age on differential resistance to duck hepatitis a virus genotype 3 in pekin ducks by 16 s and transcriptomics. Comp. Struct. Biotechnol. J. 2024, 23, 771–782. [Google Scholar] [CrossRef]
- Zhang, R.; Yang, Y.; Lan, J.; Xie, Z.; Zhang, X.; Jiang, S. Evidence of possible vertical transmission of duck hepatitis a virus type 1 in ducks. Transbound. Emerg. Dis. 2021, 68, 267–275. [Google Scholar] [CrossRef] [PubMed]
- Wu, F.; Lu, F.; Fan, X.; Pan, Q.; Zhao, S.; Sun, H.; Zhang, J.; Liu, C.; Chao, J.; Zhang, X. Development of a live attenuated duck hepatitis a virus type 3 vaccine (strain sd70). Vaccine 2020, 38, 4695–4703. [Google Scholar] [CrossRef] [PubMed]
- Fehér, E.; Jakab, S.; Bali, K.; Kaszab, E.; Nagy, B.; Ihász, K.; Bálint, Á.; Palya, V.; Bányai, K. Genomic epidemiology and evolution of duck hepatitis a virus. Viruses 2021, 13, 1592. [Google Scholar] [CrossRef]
- Tseng, C.H.; Knowles, N.J.; Tsai, H.J. Molecular analysis of duck hepatitis virus type 1 indicates that it should be assigned to a new genus. Virus Res. 2007, 123, 190–203. [Google Scholar] [CrossRef]
- Toth, T.E. Studies of an agent causing mortality among ducklings immune to duck virus hepatitis. Avian Dis. 1969, 13, 834–846. [Google Scholar] [CrossRef]
- Kim, S.W.; Yu, C.D.; Park, J.Y.; Ma, X.L.; Zhu, T.; Li, Y.F.; Cha, S.Y.; Jang, H.K.; Kang, M.; Wei, B. The impact of genetic variation on duck hepatitis a virus (dhav) vaccine efficacy: A comparative study of dhav-1 and dhav-3 against emerging variant strains. Vaccines 2024, 12, 1416. [Google Scholar] [CrossRef] [PubMed]
- Xu, Q.; Zhang, R.; Chen, L.; Yang, L.; Li, J.; Dou, P.; Wang, H.; Xie, Z.; Wang, Y.; Jiang, S. Complete genome sequence of a duck hepatitis a virus type 3 identified in eastern China. J. Virol. 2012, 86, 13848. [Google Scholar] [CrossRef] [PubMed][Green Version]
- WOAH. Manual of Diagnostic Tests and Vaccines for Terrestrial Animals: Duck Virus Hepatitis; WOAH: Paris, France, 2017.[Green Version]
- Todd, D.; Smyth, V.J.; Ball, N.W.; Donnelly, B.M.; Wylie, M.; Knowles, N.J.; Adair, B.M. Identification of chicken enterovirus-like viruses, duck hepatitis virus type 2 and duck hepatitis virus type 3 as astroviruses. Avian Pathol. 2009, 38, 21–30. [Google Scholar] [CrossRef]
- Zhang, R.; Yang, Y.; Lan, J.; Lin, S.; Xie, Z.; Zhang, X.; Jiang, S. A novel peptide isolated from a phage display peptide library modeling antigenic epitope of dhav-1 and dhav-3. Vaccines 2020, 8, 121. [Google Scholar] [CrossRef]
- Sun, D.; Zhu, Y.; Wang, M.; Wang, J.; Cheng, W.; Li, Z.; Deng, Y.; Ou, X.; Jia, R.; Chen, S.; et al. A rt-era-crispr/cas12a assay for rapid point-of-care duck hepatitis a virus detection. Poult. Sci. 2025, 104, 105316. [Google Scholar] [CrossRef]
- Song, C.; Li, T.; Wang, J.; Guo, P.; Yang, W.; Tang, N.; Qu, Y.; Li, S.; Qiu, X.; Tan, L.; et al. Development of a blocking elisa employing a vp1-specific monoclonal antibody for the detection of dhav3 antibodies. Poult. Sci. 2025, 104, 105080. [Google Scholar] [CrossRef]
- Ma, X.; Sheng, Z.; Huang, B.; Qi, L.; Li, Y.; Yu, K.; Liu, C.; Qin, Z.; Wang, D.; Song, M.; et al. Molecular evolution and genetic analysis of the major capsid protein vp1 of duck hepatitis a viruses: Implications for antigenic stability. PLoS ONE 2015, 10, e132982. [Google Scholar] [CrossRef] [PubMed]
- Lin, S.L.; Cong, R.C.; Zhang, R.H.; Chen, J.H.; Xia, L.L.; Xie, Z.J.; Wang, Y.; Zhu, Y.L.; Jiang, S.J. Circulation and in vivo distribution of duck hepatitis a virus types 1 and 3 in infected ducklings. Arch. Virol. 2016, 161, 405–416. [Google Scholar] [CrossRef]
- Wen, X.; Zhu, D.; Cheng, A.; Wang, M.; Chen, S.; Jia, R.; Liu, M.; Sun, K.; Zhao, X.; Yang, Q.; et al. Molecular epidemiology of duck hepatitis a virus types 1 and 3 in China, 2010–2015. Transbound. Emerg. Dis. 2018, 65, 10–15. [Google Scholar] [CrossRef]
- Ou, X.; Mao, S.; Dong, J.; Chen, J.; Sun, D.; Wang, M.; Zhu, D.; Jia, R.; Chen, S.; Liu, M.; et al. A proposed disease classification system for duck viral hepatitis. Poult. Sci. 2022, 101, 102042. [Google Scholar] [CrossRef] [PubMed]
- Fu, Q.; Han, X.; Zhu, C.; Jiao, W.; Liu, R.; Feng, Z.; Huang, Y.; Chen, Z.; Wan, C.; Lai, Z.; et al. Development of the First Officially Licensed Live Attenuated Duck Hepatitis A Virus Type 3 Vaccine Strain HB80 in China and Its Protective Efficacy against DHAV-3 Infection in Ducks. Poult. Sci. 2024, 103, 104087. [Google Scholar] [CrossRef] [PubMed]
- Pan, S.C. Whole-Genome Sequencing of Two Duck Hepatitis A Virus Genotype 3 Strains and Development and Application of Recombinase-Aided Isothermal Amplification Assays for DHAV-1 and DHAV-3. Master’s Thesis, Guangxi University, Nanning, China, 2020. [Google Scholar]
- Zhao, L.; Cai, H.; Wu, Y.; Tian, C.; Wen, Z.; Yang, P. Severe choline deficiency induces alternative splicing aberrance in optimized duck primary hepatocyte cultures. Anim. Biosci. 2022, 35, 1787–1799. [Google Scholar] [CrossRef]
- de Bruin, A.; Spronken, M.I.; Bestebroer, T.M.; Fouchier, R.; Richard, M. Reduced replication of highly pathogenic avian influenza virus in duck endothelial cells compared to chicken endothelial cells is associated with stronger antiviral responses. Viruses 2022, 14, 165. [Google Scholar] [CrossRef]
- Pan, M.; Fu, Y.; Wang, X.Y.; Xu, Y.L.; Wen, N.X.; Wang, L.Y.; Zhang, D.B. Isolation and Identification of Genotype C Duck Hepatitis Virus. Chin. J. Vet. Sci. 2009, 3, 13–14. [Google Scholar]
- Zhang, Y.; Wu, S.; Liu, W.; Hu, Z. Current status and future direction of duck hepatitis a virus vaccines. Avian Pathol. 2023, 52, 89–99. [Google Scholar] [CrossRef]
- Rajendran, R.; Srinivasan, J.; Natarajan, J.; Govindan, K.; Kumaragurubaran, K.; Muthukrishnan, M.; Seeralan, M.; Subbiah, M.; Sundaram, R.S.; Rao, P.L.; et al. First report of duck hepatitis a virus genotype 2 in india. Vet. Res. Commun. 2023, 47, 1231–1241. [Google Scholar] [CrossRef]
- Pan, M.; Fu, Y.; Wang, X.Y.; Xu, Y.L.; Yang, H.C.; Zhang, D.B. Sequence Characteristics of the 3′ Terminal Region of the Novel Duck Hepatitis Virus Genome in China. J. China Agric. Univ. 2008, 13, 65–70. [Google Scholar]
- Pi, J.K.; Zhang, H.R.; Tang, C.; Yue, H. VP1 Gene Variation and Antigenic Epitope Analysis of 14 Genotype C Duck Hepatitis A Virus Isolates. Chin. Vet. Sci. 2012, 42, 243–252. [Google Scholar]
- Xiang, M.; Zhang, H.R.; Yue, H.; Ren, Y.P.; Xiang, H. Isolation, Identification and Whole-Genome Sequencing of Four Genotype C Duck Hepatitis A Virus Strains from Sichuan Province. Chin. J. Prev. Vet. Med. 2021, 43, 14–20. [Google Scholar]
- Gao, J.; Chen, J.; Si, X.; Xie, Z.; Zhu, Y.; Zhang, X.; Wang, S.; Jiang, S. Genetic variation of the vp1 gene of the virulent duck hepatitis a virus type 1 (dhav-1) isolates in shandong province of China. Virol. Sin. 2012, 27, 248–253. [Google Scholar] [CrossRef]
- Li, X.; Zhao, R.; Lin, W.; Li, C.; Zhang, T.; Meng, F.; Liu, M.; Zhang, Y. Evidence of VP1 of Duck Hepatitis A Type 1 Virus as a Target of Neutralizing Antibodies and Involving Receptor-Binding Activity. Virus Res. 2017, 227, 240–244. [Google Scholar] [CrossRef]
- Li, L.; Liu, T.; Wang, Q.; Ding, Y.; Jiang, Y.; Wu, Z.; Wang, X.; Dou, H.; Jia, Y.; Jiao, B. Genetic Characterization and Whole-Genome Sequencing-Based Genetic Analysis of Influenza Virus in Jining City during 2021–2022. Front. Microbiol. 2023, 14, 1196451. [Google Scholar] [CrossRef]
- Kim, P.; Jang, Y.H.; Kwon, S.B.; Lee, C.; Han, G.; Seong, B. Glycosylation of Hemagglutinin and Neuraminidase of Influenza A Virus as Signature for Ecological Spillover and Adaptation among Influenza Reservoirs. Viruses 2018, 10, 183. [Google Scholar] [CrossRef]
- Nakagawa, N.; Kubota, R.; Maeda, A.; Okuno, Y. Influenza B Virus Victoria Group with a New Glycosylation Site Was Epidemic in Japan in the 2002–2003 Season. J. Clin. Microbiol. 2004, 42, 3295–3297. [Google Scholar] [CrossRef]
- Li, X. Adaptation Study of Duck Hepatitis Virus Type I Strain E53 in Duck Embryo Fibroblasts. Master’s Thesis, Northeast Agricultural University, Harbin, China, 2013. [Google Scholar]
- Lu, S.; Gao, Q.S.; Liu, W.; Chen, Z.H.; Zhou, L.; Zhan, C.Y.; Tong, W.W.; Tao, B.F.; Xia, Y.; Wang, L.F.; et al. Study on Propagation of Duck Hepatitis Attenuated Virus in Duck Embryo Kidney Cells. Hubei Agric. Sci. 2015, 54, 3983–3985. [Google Scholar]
- Yun, T. Construction of an Infectious Molecular Clone of DHV-I and Biological Characterization of Its Progeny Virus. Doctoral Dissertation, Northwest A&F University, Yangling, China, 2010. [Google Scholar]
- Zhang, B.; Zhang, H.R.; Yang, F.L.; Tang, C.; Yue, H. Replication Kinetics of Genotype C Duck Hepatitis A Virus in Duck Embryo Primary Hepatocytes. Chin. Vet. Sci. 2013, 43, 812–816. [Google Scholar]
- Zhang, Y.Q.; Yao, X.Y.; Yang, H.H.; Zhuang, Y.; Yuan, S.; Huang, S.J.; Zhang, X.L. Identification and Genetic Evolution Analysis of Two DHAV-3 Isolates from Guangdong Province. Heilongjiang Anim. Sci. Vet. Med. 2022, 24, 69–75. [Google Scholar]
- Zhang, Y.R.; Men, J.Q.; Yu, L.D.Y.; Chang, R.; Li, H.T.; Zhang, W.L.; Gao, M.C.; Cao, Y.S.; Ma, B.; Wang, J.W. Comparative Immunogenicity and Protective Efficacy of DHAV-3 Structural Proteins (VP0, VP3, VP1). J. Northeast Agric. Univ. 2024, 55, 181–189. [Google Scholar]
- Zhang, Y.Z.; Hao, D.M.; Lan, S.Z.; Ji, K.; Ma, H.Y.; Shao, H.X.; Qin, A.J. Pathogenicity of Duck Hepatitis A Virus Genotype 3 in Commercial Broiler Ducks. Anim. Husb. Vet. Med. 2023, 55, 37–41. [Google Scholar]
- Liu, R.; Shi, S.; Huang, Y.; Chen, Z.; Chen, C.; Cheng, L.; Fu, G.; Chen, H.; Wan, C.; Fu, Q. Comparative pathogenicity of different subtypes of duck hepatitis a virus in pekin ducklings. Vet. Microbiol. 2019, 228, 181–187. [Google Scholar] [CrossRef]
- Cao, J.; Zhang, Y.; Chen, Y.; Liang, S.; Liu, D.; Fan, W.; Xu, Y.; Liu, H.; Zhou, Z.; Liu, X.; et al. Dynamic transcriptome reveals the mechanism of liver injury caused by dhav-3 infection in pekin duck. Front. Immunol. 2020, 11, 568565. [Google Scholar] [CrossRef]
- Liu, G.; Wang, F.; Ni, Z.; Yun, T.; Yu, B.; Huang, J.; Chen, J. Genetic diversity of the vp1 gene of duck hepatitis virus type i (dhv-i) isolates from southeast China is related to isolate attenuation. Virus Res. 2008, 137, 137–141. [Google Scholar] [CrossRef] [PubMed]
- Zhang, X.; Cao, C.; Liu, Y.; Qi, H.; Zhang, W.; Hao, C.; Chen, H.; Zhang, Q.; Zhang, W.; Gao, M.; et al. Comparative liver transcriptome analysis in ducklings infected with duck hepatitis a virus 3 (dhav-3) at 12 and 48 hours post-infection through rna-seq. Vet. Res. 2018, 49, 52. [Google Scholar] [CrossRef] [PubMed]
- Wang, X.; Zhang, J.; Meng, R.; Jiang, Y.; Liang, S.; Zhang, Y.; Xie, M.; Zhou, Z.; Hou, S. Host differences affecting resistance and susceptibility of the second generation of a pekin duck flock to duck hepatitis a virus genotype 3. Front. Microbiol. 2017, 8, 1128. [Google Scholar] [CrossRef] [PubMed]











| Primer Name | Primer Sequences (5′-3′) | Fragment Size |
|---|---|---|
| DHAV-3 F1 | TTTGAAAGCGGCTGTGGTGTAG | 987 bp |
| DHAV-3 R1 | GCTGTATAAAAACATCCAGGAGTGGC | |
| DHAV-3 F2 | GCCCAGGGTGACAACATCTCA | 989 bp |
| DHAV-3 R2 | TCTCCATTAGAGACAGGGTACCAT | |
| DHAV-3 F3 | GGCTAACACAGTGACCCCT | 1183 bp |
| DHAV-3 R3 | TTCAATTTCCAAATGGAGCTCAAAGGCAA | |
| DHAV-3 F4 | ACTTTTGGCAGGTTGTATATCTGGA | 1166 bp |
| DHAV-3 R4 | AAACCCAATGCTACAGCCC | |
| DHAV-3 F5 | GAATCACTTGTTCGTGCCTGT | 1264 bp |
| DHAV-3 R5 | TCCAAATACCAAGAGGTTCGGGTC | |
| DHAV-3 F6 | GTGCAAAAAATGTTCAATGGTGGT | 990 bp |
| DHAV-3 R6 | ACATTGTGTCCAAATCACTTAGCCTA | |
| DHAV-3 F7 | CCCCTTCAGAAATACAATCATAAAGGT | 1054 bp |
| DHAV-3 R7 | TCAGATTTCCTCCAACAAGGGCTA | |
| DHAV-3 F8 | GCACAACATCATGCCAAACA | 1144 bp |
| DHAV-3 R8 | GGCACAGACAAAACACAGTCA | |
| DHAV-3 F9 | AGTGACATAGCGTGGAGGG | 839 bp |
| DHAV-3 R9 | TTTTTTTTTTTTAGGGTGGGGAGGAATA |
| Genotype | Strain | Accession Numbers | Country/Year | Length/bp |
|---|---|---|---|---|
| DHAV-3 | HNAY2024 | PP977088.1 | China/2024 | 7779 |
| DHAV-3 | XY1118 | PV125692.1 | China/2023 | 7789 |
| DHAV-3 | HNXY23 | OR666647.1 | China/2023 | 7779 |
| DHAV-3 | DZ0918 | PV125691.1 | China/2022 | 7788 |
| DHAV-3 | CF1224 | PV125690.1 | China/2022 | 7788 |
| DHAV-3 | WKX03 | PP072258.1 | China/2022 | 7793 |
| DHAV-3 | AH07 | MT767252.1 | China/2018 | 7786 |
| DHAV-3 | JS | MN164467.1 | China/2017 | 7784 |
| DHAV-3 | CH | MH752739.1 | China/2015 | 7788 |
| DHAV-3 | LS | KP233203.1 | China/2014 | 7792 |
| DHAV-1 | WKX01 | PP072257.1 | China/2021 | 7709 |
| DHAV-1 | FJFZ2020118 | MT941533.1 | China/2020 | 7690 |
| DHAV-1 | Du | OR738706.1 | Egypt/2020 | 7691 |
| DHAV-2 | CUL | OQ862826.1 | India/2021 | 7769 |
| DHV-3 | HB-1 | OP575303.1 | China/2022 | 7788 |
| Gene | Location | Gene Length/nt | Amino Acid Length/aa |
|---|---|---|---|
| 5′-UTR | 1–651 | 651 | / |
| L+P1 | 652–2853 | 2202 | 734 |
| L+VP0 | 652–1422 | 771 | 257 |
| VP3 | 1423–2133 | 711 | 237 |
| VP1 | 2134–2853 | 720 | 240 |
| P2 | 2854–5124 | 2271 | 757 |
| 2A | 2854–3768 | 915 | 305 |
| 2B | 3769–4125 | 357 | 119 |
| 2C | 4126–5124 | 999 | 333 |
| P3 | 5125–7407 | 2283 | 761 |
| 3A | 5125–5403 | 279 | 93 |
| 3B | 5404–5505 | 102 | 34 |
| 3C | 5506–6048 | 543 | 181 |
| 3D | 6049–7407 | 1359 | 453 |
| 3′-UTR | 7408–7773 | 366 | / |
| Serial Number | Strain | 1 | 2 | 3 | 4 | 5 | 6 | 7 | 8 | 9 | 10 | 11 | 12 | 13 | 14 | 15 | 16 | 17 | 18 | 19 | 20 | 21 |
|---|---|---|---|---|---|---|---|---|---|---|---|---|---|---|---|---|---|---|---|---|---|---|
| 1 | YN/F/2005 | 99.8 | 99.7 | 99.7 | 99.9 | 99.6 | 95.7 | 95.7 | 95.7 | 95.7 | 95.5 | 95.5 | 96.8 | 96.3 | 96.4 | 97.3 | 73.1 | 73.0 | 73.1 | 78.5 | 95.9 | |
| 2 | YN/LR/2005 | 99.7 | 99.7 | 99.7 | 99.8 | 99.6 | 95.7 | 95.7 | 95.7 | 95.7 | 95.5 | 95.5 | 96.8 | 96.3 | 96.4 | 97.3 | 73.2 | 73.0 | 73.1 | 78.6 | 95.9 | |
| 3 | YN/Y/2004 | 99.8 | 99.8 | 99.9 | 99.7 | 99.5 | 95.5 | 95.5 | 95.6 | 95.6 | 95.4 | 95.3 | 96.6 | 96.2 | 96.3 | 97.1 | 73.2 | 73.0 | 73.1 | 78.5 | 95.7 | |
| 4 | YN/Z/2004 | 99.8 | 99.8 | 99.9 | 99.7 | 99.5 | 95.6 | 95.6 | 95.6 | 95.7 | 95.4 | 95.4 | 96.6 | 96.2 | 96.3 | 97.2 | 73.2 | 73.0 | 73.1 | 78.5 | 95.8 | |
| 5 | YN/K/2005 | 99.8 | 99.8 | 99.8 | 99.9 | 99.6 | 95.7 | 95.7 | 95.7 | 95.7 | 95.5 | 95.5 | 96.8 | 96.3 | 96.4 | 97.3 | 73.2 | 73.0 | 73.1 | 78.6 | 95.9 | |
| 6 | YN/21/2006 | 99.6 | 99.7 | 99.7 | 99.8 | 99.8 | 95.5 | 95.5 | 95.5 | 95.6 | 95.4 | 95.3 | 96.6 | 96.1 | 96.2 | 97.1 | 73.2 | 73.0 | 73.0 | 78.4 | 95.7 | |
| 7 | HNAY2024 2024 | 98.3 | 98.3 | 98.3 | 98.4 | 98.4 | 98.2 | 98.5 | 98.7 | 98.5 | 98.3 | 98.4 | 97.4 | 97.1 | 97.2 | 94.4 | 72.7 | 72.5 | 72.7 | 78.0 | 98.4 | |
| 8 | XY1118 2023 | 98.4 | 98.5 | 98.5 | 98.6 | 98.6 | 98.4 | 99.6 | 98.7 | 98.6 | 98.4 | 98.5 | 97.3 | 96.9 | 97.2 | 94.4 | 72.8 | 72.5 | 72.7 | 78.0 | 98.5 | |
| 9 | HNXY23 2023 | 98.4 | 98.4 | 98.4 | 98.5 | 98.5 | 98.4 | 99.4 | 99.7 | 98.9 | 98.7 | 98.7 | 97.5 | 97.1 | 97.3 | 94.4 | 72.8 | 72.5 | 72.7 | 78.0 | 98.6 | |
| 10 | DZ0918 2022 | 98.4 | 98.5 | 98.5 | 98.6 | 98.6 | 98.4 | 99.5 | 99.7 | 99.6 | 99.7 | 98.6 | 97.3 | 97.0 | 97.1 | 94.4 | 72.8 | 72.4 | 72.7 | 78.1 | 98.4 | |
| 11 | CF1224 2022 | 98.3 | 98.3 | 98.3 | 98.4 | 98.4 | 98.3 | 99.2 | 99.5 | 99.4 | 99.8 | 98.4 | 97.0 | 96.8 | 96.9 | 94.2 | 72.8 | 72.4 | 72.7 | 78.0 | 98.2 | |
| 12 | WKX03 2022 | 98.3 | 98.3 | 98.3 | 98.4 | 98.4 | 98.3 | 99.4 | 99.6 | 99.5 | 99.6 | 99.3 | 97.2 | 96.8 | 97.0 | 94.2 | 72.8 | 72.4 | 72.7 | 77.9 | 98.4 | |
| 13 | AH07 2018 | 98.6 | 98.6 | 98.6 | 98.7 | 98.7 | 98.6 | 99.0 | 99.3 | 99.2 | 99.2 | 99.0 | 99.1 | 98.3 | 98.5 | 95.4 | 72.9 | 72.7 | 72.9 | 78.4 | 97.8 | |
| 14 | JS 2017 | 98.5 | 98.6 | 98.6 | 98.7 | 98.7 | 98.5 | 99.0 | 99.3 | 99.2 | 99.3 | 99.1 | 99.1 | 99.6 | 98.7 | 95.2 | 72.8 | 72.7 | 72.9 | 78.2 | 97.4 | |
| 15 | CH 2015 | 98.5 | 98.5 | 98.5 | 98.6 | 98.6 | 98.5 | 98.9 | 99.2 | 99.1 | 99.2 | 99.0 | 99.0 | 99.5 | 99.6 | 95.3 | 72.8 | 72.7 | 72.9 | 78.2 | 97.6 | |
| 16 | LS 2014 | 98.8 | 98.8 | 98.8 | 98.9 | 98.9 | 98.8 | 97.8 | 98.0 | 98.0 | 98.0 | 97.8 | 97.9 | 98.2 | 98.1 | 98.1 | 73 | 72.9 | 72.9 | 78.1 | 94.7 | |
| 17 | WKX01 2021 | 83.5 | 83.6 | 83.6 | 83.6 | 83.6 | 83.7 | 83.5 | 83.5 | 83.5 | 83.5 | 83.4 | 83.4 | 83.8 | 83.7 | 83.5 | 83.5 | 94.7 | 94.5 | 72.1 | 72.9 | |
| 18 | FJFZ2020118 2020 | 83.5 | 83.5 | 83.5 | 83.5 | 83.6 | 83.5 | 83.4 | 83.5 | 83.4 | 83.5 | 83.4 | 83.3 | 83.8 | 83.7 | 83.5 | 83.4 | 97.7 | 95.9 | 72.2 | 72.5 | |
| 19 | Du 2020 | 83.6 | 83.6 | 83.6 | 83.6 | 83.7 | 83.6 | 83.5 | 83.6 | 83.5 | 83.6 | 83.5 | 83.5 | 83.8 | 83.8 | 83.6 | 83.6 | 98.0 | 98.0 | 72.3 | 72.7 | |
| 20 | CUL 2021 | 88.8 | 88.8 | 88.8 | 88.8 | 88.8 | 88.8 | 88.1 | 88.3 | 88.3 | 88.4 | 88.3 | 88.1 | 88.7 | 88.6 | 88.5 | 88.5 | 81.0 | 81.0 | 81.2 | 77.9 | |
| 21 | HB-1 2022 | 98.3 | 98.4 | 98.4 | 98.4 | 98.4 | 98.3 | 99.4 | 99.6 | 99.5 | 99.5 | 99.3 | 99.4 | 99.2 | 99.2 | 99.1 | 97.9 | 83.3 | 83.3 | 83.4 | 88.3 |
| Strain | Ducklings | Duck Embryos |
|---|---|---|
| Control | ||
| YN/F/2005 | 0.0671 | 0.0319 |
| YN/LR/2005 | 0.0003 | <0.0001 |
| YN/Y/2004 | <0.0001 | 0.1483 |
| YN/Z/2004 | 0.0003 | 0.0058 |
| YN/K/2005 | <0.0001 | 0.0056 |
| YN/21/2006 | 0.0669 | 0.1483 |
| Reference Strain | Whole Genome | ORF | 5’UTR | 3’UTR | VP0 | VP3 | VP1 | ||||
|---|---|---|---|---|---|---|---|---|---|---|---|
| nt | nt | aa | nt | nt | nt | aa | nt | aa | nt | aa | |
| HNAY2024 2024 | 95.7 | 95.5 | 98.3 | 96.9 | 97.6 | 95.7 | 98.8 | 94.1 | 98.7 | 95.4 | 97.5 |
| XY1118 2023 | 95.7 | 95.5 | 98.5 | 96.5 | 97.4 | 95.3 | 98.8 | 94.5 | 99.2 | 96.2 | 97.9 |
| HNXY23 2023 | 95.7 | 95.5 | 98.4 | 96.9 | 97.6 | 95.1 | 98.4 | 94.7 | 99.2 | 95.7 | 97.5 |
| DZ0918 2022 | 95.7 | 95.6 | 98.5 | 96.6 | 97.1 | 95.7 | 98.8 | 94.7 | 99.2 | 96.1 | 97.9 |
| CF1224 2022 | 95.5 | 95.3 | 98.3 | 96.6 | 97.4 | 95.6 | 98.8 | 94.7 | 99.2 | 95.7 | 97.5 |
| WKX03 2022 | 95.5 | 95.3 | 98.3 | 96.9 | 96.4 | 95.2 | 98.8 | 94.7 | 99.2 | 96.2 | 97.9 |
| HB-1 2022 | 95.9 | 95.6 | 98.4 | 96.9 | 96.8 | 96.2 | 98.8 | 94.8 | 98.7 | 96.2 | 97.5 |
| AH07 2018 | 96.8 | 96.7 | 98.6 | 97.2 | 97.6 | 96.5 | 98.8 | 96.5 | 99.2 | 96.1 | 97.1 |
| JS 2017 | 96.3 | 96.2 | 98.6 | 96.9 | 96.8 | 96.0 | 98.8 | 96.1 | 98.7 | 96.0 | 97.1 |
| CH 2015 | 96.4 | 96.4 | 98.5 | 96.5 | 97.1 | 96.4 | 98.4 | 96.2 | 98.7 | 95.4 | 97.1 |
| LS 2014 | 97.3 | 97.3 | 98.8 | 97.1 | 96.9 | 96.7 | 98.8 | 97.5 | 99.6 | 96.2 | 98.3 |
| Strain | α-Helix (Hh) | β-Folding (Tt) | Irregular Curling (Cc) | Extension Chain (Ee) |
|---|---|---|---|---|
| YN/LR/2005 | 38.16 | 2.27 | 44.20 | 15.37 |
| HNAY2024 2024 | 38.12 | 2.71 | 44.91 | 14.26 |
| XY1118 2023 | 37.76 | 2.13 | 46.02 | 14.08 |
| HNXY23 2023 | 38.34 | 1.87 | 46.07 | 13.73 |
| DZ0918 2022 | 37.54 | 2.27 | 46.29 | 13.90 |
| CF1224 2022 | 40.38 | 1.60 | 45.18 | 12.84 |
| WKX03 2022 | 37.32 | 1.78 | 47.40 | 13.51 |
| HB-1 2022 | 37.72 | 2.27 | 46.02 | 13.99 |
| AH07 2018 | 37.67 | 1.95 | 45.85 | 14.53 |
| JS 2017 | 37.76 | 2.71 | 44.82 | 14.70 |
| CH 2015 | 37.45 | 2.27 | 46.16 | 14.13 |
| LS 2014 | 37.89 | 2.49 | 44.87 | 14.75 |
| Reference Strain | Major Amino Acid Sites | |||||||||||||||||||||||||||||||
|---|---|---|---|---|---|---|---|---|---|---|---|---|---|---|---|---|---|---|---|---|---|---|---|---|---|---|---|---|---|---|---|---|
| 98 T | 112 V | 207 T | 350 N | 485 A | 542 S | 678 Q | 681 N | 689 N | 703 K | 767 A | 774 G | 775 I | 800 D | 900 S | 904 D | 1024 A | 1125 G | 1135 I | 1149 L | 1248 I | 1253 N | 1471 I | 1549 S | 1553 H | 1572 S | 1588 T | 1828 D | 1862 T | 1864 A | 1889 G | 1927 S | |
| YN/LR/2005 | A | A | N | S | G | G | L | K | D | R | V | D | V | G | G | N | V | E | F | S | V | G | V | G | R | T | A | N | I | D | D | X |
| LS 2014 | A | N | S | G | T | K | R | V | D | V | G | G | V | S | G | V | G | R | T | A | D | D | ||||||||||
| HNAY2024 2024 | I | |||||||||||||||||||||||||||||||
| XY1118 2023 | ||||||||||||||||||||||||||||||||
| HNXY23 2023 | A | |||||||||||||||||||||||||||||||
| DZ0918 2022 | ||||||||||||||||||||||||||||||||
| CF1224 2022 | R | |||||||||||||||||||||||||||||||
| WKX03 2022 | ||||||||||||||||||||||||||||||||
| HB-1 2022 | N | N | ||||||||||||||||||||||||||||||
| AH07 2018 | D | V | G | I | G | R | T | |||||||||||||||||||||||||
| JS 2017 | D | V | G | R | T | |||||||||||||||||||||||||||
| CH 2015 | D | D | V | G | R | T | ||||||||||||||||||||||||||
| Group | Vaccination Dose (mL) | Dilution Ratio | Half-Number Infection | ||||||
|---|---|---|---|---|---|---|---|---|---|
| 10−1 | 10−2 | 10−3 | 10−4 | 10−5 | 10−6 | 10−7 | |||
| duck embryo | 0.15 | 8/8 | 8/8 | 8/8 | 6/8 | 2/8 | 0/8 | 0/8 | 10−4.5 |
| duckling | 0.5 | 6/6 | 4/6 | 2/6 | 0/6 | 0/6 | 0/6 | 0/6 | 10−2.5 |
| DEF | 0.1 | 16/16 | 14/16 | 9/16 | 5/16 | 2/16 | 0/16 | 0/16 | 10−3.25 |
Disclaimer/Publisher’s Note: The statements, opinions and data contained in all publications are solely those of the individual author(s) and contributor(s) and not of MDPI and/or the editor(s). MDPI and/or the editor(s) disclaim responsibility for any injury to people or property resulting from any ideas, methods, instructions or products referred to in the content. |
© 2025 by the authors. Licensee MDPI, Basel, Switzerland. This article is an open access article distributed under the terms and conditions of the Creative Commons Attribution (CC BY) license (https://creativecommons.org/licenses/by/4.0/).
Share and Cite
Lan, S.; Xin, A.; Li, K.; Yuan, Z.; Zhao, R.; Chang, Z.; Li, W.; Yan, H. Genetic Variation Analysis and Research on Biological Characteristics of Duck Hepatitis Virus Type 3: A Comparison Between Historical Strains in Yunnan and Recent Epidemic Strains. Vet. Sci. 2025, 12, 923. https://doi.org/10.3390/vetsci12100923
Lan S, Xin A, Li K, Yuan Z, Zhao R, Chang Z, Li W, Yan H. Genetic Variation Analysis and Research on Biological Characteristics of Duck Hepatitis Virus Type 3: A Comparison Between Historical Strains in Yunnan and Recent Epidemic Strains. Veterinary Sciences. 2025; 12(10):923. https://doi.org/10.3390/vetsci12100923
Chicago/Turabian StyleLan, Sixian, Aiguo Xin, Ke Li, Zhengju Yuan, Rong Zhao, Zhishun Chang, Wengui Li, and Hongya Yan. 2025. "Genetic Variation Analysis and Research on Biological Characteristics of Duck Hepatitis Virus Type 3: A Comparison Between Historical Strains in Yunnan and Recent Epidemic Strains" Veterinary Sciences 12, no. 10: 923. https://doi.org/10.3390/vetsci12100923
APA StyleLan, S., Xin, A., Li, K., Yuan, Z., Zhao, R., Chang, Z., Li, W., & Yan, H. (2025). Genetic Variation Analysis and Research on Biological Characteristics of Duck Hepatitis Virus Type 3: A Comparison Between Historical Strains in Yunnan and Recent Epidemic Strains. Veterinary Sciences, 12(10), 923. https://doi.org/10.3390/vetsci12100923

