Development and Evaluation of an Immunochromatographic Strip and a Magnetic Chemiluminescence Immunoassay for Detection of Porcine Circovirus Type 2 Antigen
Simple Summary
Abstract
1. Introduction
2. Materials and Methods
2.1. Clinical Samples, Cells, Viruses, and Enzyme
2.2. Antibodies and Microsphere
2.3. Preparation of Recombinant Cap Protein of PCV2
2.4. Preparation of Polyclonal Antibody
2.5. Conjugation of Polyclonal Antibody with Polystyrene Microsphere
2.6. Immobilization of Test Line and Control Line
2.7. Assembly of Immunochromatographic Strip
2.8. Evaluation of Immunochromatographic Strip
2.8.1. Preparation of Sample
2.8.2. Sensitivity Test of Immunochromatographic Strip
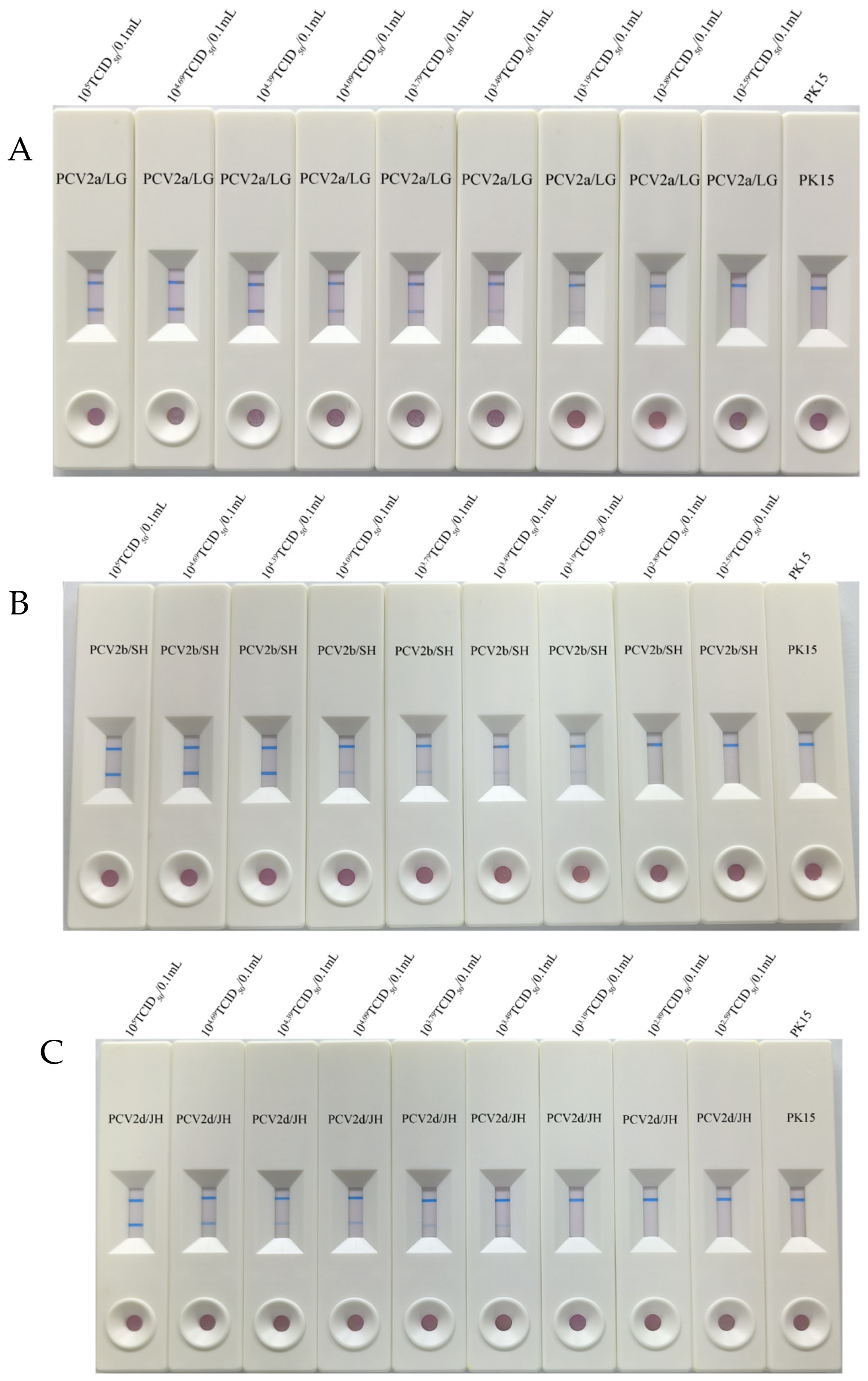
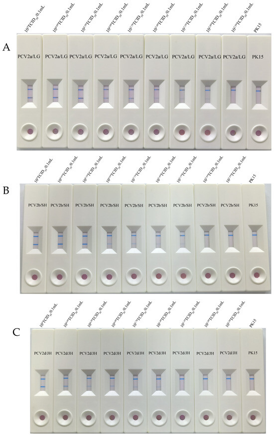
2.8.3. Evaluation of the Detection Range of Immunochromatographic Strip
2.8.4. Specificity Test of Immunochromatographic Strip
2.9. Immunochromatographic Strip Compared with ELISA
2.10. Development of Magnetic Chemiluminescence Immunoassay
2.10.1. Conjugation of Polyclonal Antibody with Magnetic Bead
2.10.2. Conjugation of Monoclonal Antibody with Acridine Ester
2.11. Evaluation of Magnetic Chemiluminescence Immunoassay
2.11.1. Preparation of Sample Solution
2.11.2. Evaluation of the Linear Range of the Magnetic Chemiluminescence Immunoassay
2.11.3. LOD and LQD of Magnetic Chemiluminescence Immunoassay
2.11.4. Specificity Test of Magnetic Chemiluminescence Immunoassay
2.12. Magnetic Chemiluminescence Immunoassay Compared with ELISA
3. Results
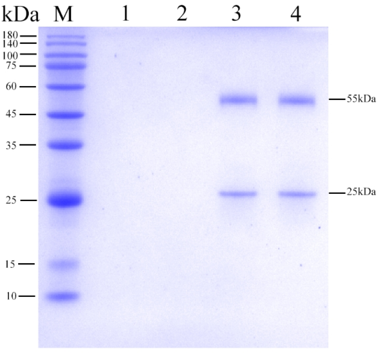
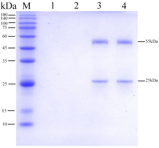
3.1. Expression and Purification of the Cap Protein in E. coli and Western Blot Identification
3.2. Purification of Polyclonal Antibody
3.3. Sensitivity of Immunochromatographic Strip
3.4. Detection Range of Immunochromatographic Strip
3.5. Specificity of Immunochromatographic Strip
3.6. Comparison of ELISA Kit with Immunochromatographic Strip
3.7. Linear Range of the Magnetic Chemiluminescence Immunoassay
3.8. The Limit of Detection (LOD) and the Limit of Quantitation (LOQ)
3.9. Specificity of Magnetic Chemiluminescence Immunoassay
3.10. Comparison of ELISA Kit and Magnetic Chemiluminescence Immunoassay
4. Discussion
5. Conclusions
Author Contributions
Funding
Institutional Review Board Statement
Informed Consent Statement
Data Availability Statement
Conflicts of Interest
References
- Patterson, A.R.; Opriessnig, T. Epidemiology and Horizontal Transmission of Porcine Circovirus Type 2 (Pcv2). Anim. Health Res. Rev. 2010, 11, 217–234. [Google Scholar] [CrossRef] [PubMed]
- Opriessnig, T.; Karuppannan, A.K.; Castro, A.M.M.G.; Xiao, C.-T. Porcine Circoviruses: Current Status, Knowledge Gaps and Challenges. Virus Res. 2020, 286, 198044. [Google Scholar] [CrossRef]
- Grau-Roma, L.; Fraile, L.; Segalés, J. Recent Advances in the Epidemiology, Diagnosis and Control of Diseases Caused by Porcine Circovirus Type 2. Vet. J. 2011, 187, 23–32. [Google Scholar] [CrossRef]
- Lv, Q.; Wang, T.; Deng, J.; Chen, Y.; Yan, Q.; Wang, D.; Zhu, Y. Genomic Analysis of Porcine Circovirus Type 2 from Southern China. Vet. Med. Sci. 2020, 6, 875–889. [Google Scholar] [CrossRef]
- Karuppannan, A.K.; Opriessnig, T. Porcine Circovirus Type 2 (Pcv2) Vaccines in the Context of Current Molecular Epidemiology. Viruses 2017, 9, 99. [Google Scholar] [CrossRef]
- Meng, X.-J. Porcine Circovirus Type 2 (Pcv2): Pathogenesis and Interaction with the Immune System. Annu. Rev. Anim. Biosci. 2013, 1, 43–64. [Google Scholar] [CrossRef]
- Segalés, J. Porcine Circovirus Type 2 (Pcv2) Infections: Clinical Signs, Pathology and Laboratory Diagnosis. Virus Res. 2012, 164, 10–19. [Google Scholar] [CrossRef]
- Zhang, Z.; Luo, Y.; Zhang, Y.; Guo, K. Enhanced Protective Immune Response to Pcv2 Adenovirus Vaccine by Fusion Expression of Cap Protein with Invc in Pigs. J. Vet. Sci. 2019, 20, e35. [Google Scholar] [CrossRef]
- Ouyang, T.; Zhang, X.; Liu, X.; Ren, L. Co-Infection of Swine with Porcine Circovirus Type 2 and Other Swine Viruses. Viruses 2019, 11, 185. [Google Scholar] [CrossRef]
- Guo, Z.; Ruan, H.; Qiao, S.; Deng, R.; Zhang, G. Co-Infection Status of Porcine Circoviruses (Pcv2 and Pcv3) and Porcine Epidemic Diarrhea Virus (Pedv) in Pigs with Watery Diarrhea in Henan Province, Central China. Microb. Pathog. 2020, 142, 104047. [Google Scholar] [CrossRef]
- Hao, J.; Wang, F.; Xing, G.; Liu, Y.; Deng, R.; Zhang, H.; Cheng, A.; Zhang, G. Design and Preliminary Application of Affinity Peptide Based on the Structure of the Porcine Circovirus Type Ii Capsid (Pcv2 Cap). PeerJ 2019, 7, e8132. [Google Scholar] [CrossRef]
- Chen, Q.; Rong, J.; Li, G.; Xu, B.; Wang, X.; Hu, J.; Rong, M.; Li, H. Establishment of a Rep’ Protein Antibody Detection Method to Distinguish Natural Infection with Pcv2 from Subunit Vaccine Immunization. J. Med. Microbiol. 2020, 69, 1183–1196. [Google Scholar] [CrossRef]
- Li, D.; Du, Q.; Wu, B.; Li, J.; Chang, L.; Zhao, X.; Huang, Y.; Tong, D. Immunogenicity of Adenovirus Vaccines Expressing the Pcv2 Capsid Protein in Pigs. Vaccine 2017, 35, 4722–4729. [Google Scholar] [CrossRef]
- Han, J.; Ma, H.; Cao, L.; Jing, J.; Xiao, P.; Sun, W.; Xie, C.; Wen, S.; Li, Y.; Tian, M.; et al. Immunogenicity of Recombinant Vaccinia Virus Vaccines Co-Expressing Gp3/Gp5 of European Prrsv and Cap Protein of Pcv2 in Pigs. Appl. Microbiol. Biotechnol. 2018, 102, 1145–1154. [Google Scholar] [CrossRef]
- Cortey, M.; Pileri, E.; Sibila, M.; Pujols, J.; Balasch, M.; Plana, J.; Segalés, J. Genotypic Shift of Porcine Circovirus Type 2 from Pcv-2a to Pcv-2b in Spain from 1985 to 2008. Vet. J. 2011, 187, 363–368. [Google Scholar] [CrossRef]
- Ku, X.; Chen, F.; Li, P.; Wang, Y.; Yu, X.; Fan, S.; Qian, P.; Wu, M.; He, Q. Identification and Genetic Characterization of Porcine Circovirus Type 3 in China. Transbound. Emerg. Dis. 2017, 64, 703–708. [Google Scholar] [CrossRef]
- Kwon, T.; Yoo, S.J.; Park, C.-K.; Lyoo, Y.S. Prevalence of Novel Porcine Circovirus 3 in Korean Pig Populations. Vet. Microbiol. 2017, 207, 178–180. [Google Scholar] [CrossRef]
- Molini, U.; Marruchella, G.; Matheus, F.; Hemberger, Y.M.; Chiwome, B.; Khaiseb, S.; Cattoli, G.; Franzo, G. Molecular Investigation of Porcine Circovirus Type 3 Infection in Pigs in Namibia. Pathogens 2021, 10, 585. [Google Scholar] [CrossRef]
- Chen, N.; Xiao, Y.; Li, X.; Li, S.; Xie, N.; Yan, X.; Li, X.; Zhu, J. Development and Application of a Quadruplex Real-Time Pcr Assay for Differential Detection of Porcine Circoviruses (Pcv1 to Pcv4) in Jiangsu Province of China from 2016 to 2020. Transbound. Emerg. Dis. 2021, 68, 1615–1624. [Google Scholar] [CrossRef]
- Ha, Z.; Yu, C.; Xie, C.; Wang, G.; Zhang, Y.; Hao, P.; Li, J.; Li, Z.; Li, Y.; Rong, F.; et al. Retrospective Surveillance of Porcine Circovirus 4 in Pigs in Inner Mongolia, China, from 2016 to 2018. Arch. Virol. 2021, 166, 1951–1959. [Google Scholar] [CrossRef]
- Sun, W.; Du, Q.; Han, Z.; Bi, J.; Lan, T.; Wang, W.; Zheng, M. Detection and Genetic Characterization of Porcine Circovirus 4 (Pcv4) in Guangxi, China. Gene 2021, 773, 145384. [Google Scholar] [CrossRef]
- Nguyen, V.-G.; Do, H.-Q.; Huynh, T.-M.-L.; Park, Y.-H.; Park, B.-K.; Chung, H.-C. Molecular-Based Detection, Genetic Characterization and Phylogenetic Analysis of Porcine Circovirus 4 from Korean Domestic Swine Farms. Transbound. Emerg. Dis. 2022, 69, 538–548. [Google Scholar] [CrossRef]
- Piñeyro, P.E.; Kenney, S.P.; Giménez-Lirola, L.G.; Heffron, C.L.; Matzinger, S.R.; Opriessnig, T.; Meng, X.-J. Expression of Antigenic Epitopes of Porcine Reproductive and Respiratory Syndrome Virus (Prrsv) in a Modified Live-Attenuated Porcine Circovirus Type 2 (Pcv2) Vaccine Virus (Pcv1-2a) as a Potential Bivalent Vaccine Against Both Pcv2 and Prrsv. Virus Res. 2015, 210, 154–164. [Google Scholar] [CrossRef]
- Chen, F.; Yang, X.; Pang, D.; Peng, Z.; Dong, M.; Liu, X.; Ouyang, H.; Ren, L. Expression, Purification and Antibody Preparation Using Different Constructs of Pcv2 Capsid Protein. Int. J. Biol. Macromol. 2014, 67, 289–294. [Google Scholar] [CrossRef]
- Lou, Z.-Z.; Li, Z.-Y.; Wang, G.; Li, J.-Q.; Lan, X.; Li, X.-R.; Yin, X.-P.; Liu, J.-X.; Liu, S.-D. Prokaryotic Expression and Potential Application of the Truncated Pcv-2 Capsid Protein. Virol. Sin. 2010, 25, 86–97. [Google Scholar] [CrossRef]
- Shin, M.-K.; Yoon, S.H.; Kim, M.H.; Lyoo, Y.S.; Suh, S.W.; Yoo, H.S. Assessing Pcv2 Antibodies in Field Pigs Vaccinated with Different Porcine Circovirus 2 Vaccines Using Two Commercial Elisa Systems. J. Vet. Sci. 2015, 16, 25–29. [Google Scholar] [CrossRef]
- Wang, X.; Jiang, W.; Jiang, P.; Li, Y.; Feng, Z.; Xu, J. Construction and Immunogenicity of Recombinant Adenovirus Expressing the Capsid Protein of Porcine Circovirus 2 (Pcv2) in Mice. Vaccine 2006, 24, 3374–3380. [Google Scholar] [CrossRef]
- Fablet, C.; Rose, N.; Bernard, C.; Messager, I.; Piel, Y.; Grasland, B. Estimation of the Diagnostic Performance of Two Elisas to Detect Pcv2 Antibodies in Pig Sera Using a Bayesian Method. J. Virol. Methods 2017, 249, 121–125. [Google Scholar] [CrossRef]
- Mu, Y.; Jia, C.; Zheng, X.; Zhu, H.; Zhang, X.; Xu, H.; Liu, B.; Zhao, Q.; Zhou, E.-M. A Nanobody-Horseradish Peroxidase Fusion Protein-Based Competitive Elisa for Rapid Detection of Antibodies against Porcine Circovirus Type 2. J. Nanobiotechnol. 2021, 19, 34. [Google Scholar]
- Jin, Q.; Yang, J.; Lu, Q.; Guo, J.; Deng, R.; Wang, Y.; Wang, S.; Wang, S.; Chen, W.; Zhi, Y.; et al. Development of an Immunochromatographic Strip for the Detection of Antibodies against Porcine Circovirus-2. J. Vet. Diagn. Investig. 2012, 24, 1151–1157. [Google Scholar] [CrossRef]
- Li, R.; Tian, X.; Yu, Y.; Qiao, S.; Wang, Z.; Ma, J. Development of a Rapid Immunochromatographic Assay for Detection of Antibodies against Porcine Epidemic Diarrhea Virus. Pol. J. Vet. Sci. 2018, 21, 139–147. [Google Scholar] [CrossRef]
- Liu, J.; Gao, R.; Shi, H.; Cong, G.; Chen, J.; Zhang, X.; Shi, D.; Cao, L.; Wang, X.; Zhang, J.; et al. Development of a Rapid Immunochromatographic Strip Test for the Detection of Porcine Epidemic Diarrhea Virus Specific Siga in Colostrum. J. Virol. Methods 2020, 279, 113855. [Google Scholar] [CrossRef]
- Li, H.; Yang, J.; Bao, D.; Hou, J.; Zhi, Y.; Yang, Y.; Ji, P.; Zhou, E.; Qiao, S.; Zhang, G. Development of an Immunochromatographic Strip for Detection of Antibodies against Porcine Reproductive and Respiratory Syndrome Virus. J. Vet. Sci. 2017, 18, 307–316. [Google Scholar] [CrossRef]
- Guo, D.-L.; Pan, Q.-W.; Li, K.-P.; Li, J.-Q.; Shen, H.-W.; Wang, X.-L.; Zhang, X.-Y.; Li, X.-S.; Fu, F.; Feng, L.; et al. Development and Clinical Evaluation of a New Gold-Immunochromatographic Assay for the Detection of Antibodies against Field Strains of Pseudorabies Virus. J. Virol. Methods 2015, 222, 164–169. [Google Scholar] [CrossRef]
- Fu, H.-J.; Yuan, L.-P.; Shen, Y.-D.; Liu, Y.-X.; Liu, B.; Zhang, S.-W.; Xie, Z.-X.; Lei, H.-T.; Sun, Y.-M.; Xu, Z.-L. A Full-Automated Magnetic Particle-Based Chemiluminescence Immunoassay for Rapid Detection of Cortisol in Milk. Anal. Chim. Acta 2018, 1035, 129–135. [Google Scholar] [CrossRef]
- Yang, Y.; Lv, C.; Fan, J.; Zhao, Y.; Jiang, L.; Sun, X.; Zhang, Q.; Jin, M. Development of a Chemiluminescence Immunoassay to Accurately Detect African Swine Fever Virus Antibodies in Serum. J. Virol. Methods 2021, 298, 114269. [Google Scholar] [CrossRef]
- Liu, B.; Chen, P.; Song, C.; Li, N.; Tian, Y.; Dong, Y.; Zhang, Y.; Li, Q. Establishment of a Chemiluminescent Immunoassay(Clia) and Its Application. Chin. J. Cell. Mol. Immunol. 2018, 34, 315–319. [Google Scholar]
- Zhao, H.; Lin, Q.; Huang, L.; Zhai, Y.; Liu, Y.; Deng, Y.; Su, E.; He, N. Ultrasensitive Chemiluminescence Immunoassay with Enhanced Precision for the Detection of Ctni Amplified by Acridinium Ester-Loaded Microspheres and Internally Calibrated by Magnetic Fluorescent Nanoparticles. Nanoscale 2021, 13, 3275–3284. [Google Scholar] [CrossRef]
- Nicol, T.; Lefeuvre, C.; Serri, O.; Pivert, A.; Joubaud, F.; Dubée, V.; Kouatchet, A.; Ducancelle, A.; Lunel-Fabiani, F.; Le Guillou-Guillemette, H. Assessment of Sars-Cov-2 Serological Tests for the Diagnosis of Covid-19 through the Evaluation of Three Immunoassays: Two Automated Immunoassays (Euroimmun and Abbott) and One Rapid Lateral Flow Immunoassay (Ng Biotech). J. Clin. Virol. 2020, 129, 104511. [Google Scholar] [CrossRef]
- Dichtl, K.; Zimmermann, J.; Koeppel, M.B.; Böhm, S.; Osterman, A. Evaluation of a Novel Clia Monotest Assay for the Detection of Anti-Hepatitis E Virus-Igg and Igm: A Retrospective Comparison with a Line Blot and an Elisa. Pathogens 2021, 10, 689. [Google Scholar] [CrossRef]
- Ji, H.; Chang, L.; Zhao, J.; Zhang, L.; Jiang, X.; Guo, F.; Wang, L. Evaluation of Elisa and Clia for Treponema Pallidum Specific Antibody Detection in China: A Multicenter Study. J. Microbiol. Methods 2019, 166, 105742. [Google Scholar] [CrossRef]
- Chen, D.; Zhang, Y.; Xu, Y.; Shen, T.; Cheng, G.; Huang, B.; Ruan, X.; Wang, C. Comparison of Chemiluminescence Immunoassay, Enzyme-Linked Immunosorbent Assay and Passive Agglutination for Diagnosis of Mycoplasma Pneumoniae Infection. Ther. Clin. Risk Manag. 2018, 14, 1091–1097. [Google Scholar] [CrossRef]
- Zhang, M.; Li, Y.; Jing, H.; Wang, N.; Wu, S.; Wang, Q.; Lin, X. Development of Polyclonal-Antibody-Coated Immunomagnetic Beads for Separation and Detection of Koi Herpesvirus in Large-Volume Samples. Arch. Virol. 2020, 165, 973–976. [Google Scholar] [CrossRef]
- Mattarozzi, M.; Giannetto, M.; Careri, M. Electrochemical Immunomagnetic Assay as Biosensing Strategy for Determination of Ovarian Cancer Antigen He4 in Human Serum. Talanta 2020, 217, 120991. [Google Scholar] [CrossRef]
- He, N.; Wang, F.; Ma, C.; Li, C.; Zeng, X.; Deng, Y.; Zhang, L.; Li, Z. Chemiluminescence Analysis for Hbv-DNA Hybridization Detection with Magnetic Nanoparticles Based DNA Extraction from Positive Whole Blood Samples. J. Biomed. Nanotechnol. 2013, 9, 267–273. [Google Scholar] [CrossRef][Green Version]
- Wu, L.; Yin, W.; Tang, K.; Shao, K.; Li, Q.; Wang, P.; Zuo, Y.; Lei, X.; Lu, Z.; Han, H. Highly Sensitive Enzyme-Free Immunosorbent Assay for Porcine Circovirus Type 2 Antibody Using Au-Pt/Sio2 Nanocomposites as Labels. Biosens. Bioelectron. 2016, 82, 177–184. [Google Scholar] [CrossRef]
- Song, F.; Zhou, Y.; Li, Y.S.; Meng, X.M.; Meng, X.Y.; Liu, J.Q.; Lu, S.Y.; Ren, H.L.; Hu, P.; Liu, Z.S.; et al. A Rapid Immunomagnetic Beads-Based Immunoassay for the Detection of β-Casein in Bovine Milk. Food Chem. 2014, 158, 445–448. [Google Scholar] [CrossRef]
- Luo, L.; Chen, J.; Li, X.; Qiao, D.; Wang, Z.; Wu, X.; Du, Q.; Tong, D.; Huang, Y. Establishment of Method for Dual Simultaneous Detection of Pedv and Tgev by Combination of Magnetic Micro-Particles and Nanoparticles. J. Infect. Chemother. 2020, 26, 523–526. [Google Scholar] [CrossRef]
- Yang, H.; Li, Z.; Jiang, Q.; Fan, J.; Zhou, B.; Guo, Y.; Lan, G.; Yang, X.; He, N.; Jiang, H. Ultrasensitive Detection and Subtyping of Porcine Endogenous Retrovirus Provirus Based on Magnetic Nanoparticles and Chemiluminescence. J. Nanosci. Nanotechnol. 2015, 15, 5597–5604. [Google Scholar] [CrossRef]
- Xing, N.; Guan, X.; An, B.; Cui, B.; Wang, Z.; Wang, X.; Zhang, X.; Du, Q.; Zhao, X.; Huang, Y.; et al. Ultrasensitive Detection of Porcine Epidemic Diarrhea Virus from Fecal Samples Using Functionalized Nanoparticles. PLoS ONE 2016, 11, e0167325. [Google Scholar] [CrossRef]
- Vrublevskaya, V.V.; Afanasyev, V.N.; Grinevich, A.A.; Skarga, Y.Y.; Gladyshev, P.P.; Ibragimova, S.A.; Krylsky, D.V.; Morenkov, O.S. Development of a Competitive Double Antibody Lateral Flow Assay for the Detection of Antibodies Specific to Glycoprotein B of Aujeszky’s Disease Virus in Swine Sera. J. Virol. Methods 2017, 240, 54–62. [Google Scholar] [CrossRef] [PubMed]
- Zhou, S.; Han, S.; Shi, J.; Wu, J.; Yuan, X.; Cong, X.; Xu, S.; Wu, X.; Li, J.; Wang, J. Loop-Mediated Isothermal Amplification for Detection of Porcine Circovirus Type 2. Virol. J. 2011, 8, 497. [Google Scholar] [CrossRef] [PubMed]
- Zhang, M.-J.; Ren, W.-Z.; Sun, X.-J.; Liu, Y.; Liu, K.-W.; Ji, Z.-H.; Gao, W.; Yuan, B. Genechip Analysis of Resistant Mycobacterium Tuberculosis with Previously Treated Tuberculosis in Changchun. BMC Infect. Dis. 2018, 18, 234. [Google Scholar] [CrossRef] [PubMed]









| Name | Isolate Region | Isolate Time | Genotype | Genotype | Genome Length | Accession Numbers |
|---|---|---|---|---|---|---|
| LG | China | 2008 | 8839.70 | PCV2a | 1767 bp | HM038034 |
| SZ | China | 2016 | PCV2a | 1767 bp | KX814351 | |
| SH | China | 2006 | PCV2b | 1767 bp | HM038027 | |
| JH | China | 2017 | PCV2d | 1767 bp | MG245867 | |
| WZ | China | 2016 | PCV2d | 1767 bp | MK604498 |
| Strip | ELISA Kit | Kappa 1 | p | ||
|---|---|---|---|---|---|
| Positive | Negative | Total | |||
| Positive | 77 | 6 | 83 | ||
| Negative | 4 | 63 | 67 | 0.866 | <0.01 |
| Total | 81 | 69 | 150 | ||
| Mean | SD | Mean + 2SD | Mean + 10SD | LOD | LOQ |
|---|---|---|---|---|---|
| 5283.92 | 355.58 | 5995.08 | 8839.70 | 0.051 ng/mL | 0.068 ng/mL |
| Serum Name | Result | Judgment | Serum Name | Result | Judgment |
|---|---|---|---|---|---|
| PCV2-positive serum | 727,198.53 | + | PRRSV-positive serum | 2351.51 | - |
| PCV2-positive serum | 682,285.52 | + | PRRSV-positive serum | 2556.29 | - |
| PCV2-positive serum | 926,893.28 | + | PRRSV-positive serum | 3165.25 | - |
| PCV2-positive serum | 652,288.21 | + | PRRSV-positive serum | 2885.76 | - |
| PCV2-positive serum | 715,582.62 | + | PRRSV-positive serum | 3515.19 | - |
| PCV2-negative serum | 3052.91 | - | PEDV-positive serum | 2927.51 | - |
| PCV2-negativeserum | 3251.82 | - | PEDV-positive serum | 3992.31 | - |
| PCV2-negative serum | 2752.51 | - | PEDV-positive serum | 3812.15 | - |
| PCV2-negative serum | 3192.35 | - | PEDV-positive serum | 3165.23 | - |
| PCV2-negative serum | 2951.59 | - | PEDV-positive serum | 3079.25 | - |
| PRV-positive serum | 3515.36 | - | CSFV-positive serum | 5018.27 | - |
| PRV-positive serum | 2656.17 | - | CSFV-positive serum | 3312.82 | - |
| PRV-positive serum | 3586.62 | - | CSFV-positive serum | 2980.65 | - |
| PRV-positive serum | 2588.66 | - | CSFV-positive serum | 3796.61 | - |
| PRV-positive serum | 3815.63 | - | CSFV-positive serum | 3188.56 | - |
| Serum Name | Result | Judgment | Serum Name | Result | Judgment |
|---|---|---|---|---|---|
| PCV2a/LG | 866,125.93 | + | PEDV (CV777 strain) | 3641.83 | - |
| PCV2a/SZ | 796,321.65 | + | PRV (HB2000 strain) | 2306.58 | - |
| PCV2b/SH | 621,432.98 | + | CSFV (WH-09 strain) | 3023.68 | - |
| PCV2d/JH | 468,391.27 | + | PRRS (JXA1-R strain) | 3790.53 | - |
| PCV2d/WZ | 428,625.21 | + | PPV (WH-1 strain) | 2142.19 | - |
| PK-15 cell culture medium | 2816.65 | - |
Disclaimer/Publisher’s Note: The statements, opinions and data contained in all publications are solely those of the individual author(s) and contributor(s) and not of MDPI and/or the editor(s). MDPI and/or the editor(s) disclaim responsibility for any injury to people or property resulting from any ideas, methods, instructions or products referred to in the content. |
© 2025 by the authors. Licensee MDPI, Basel, Switzerland. This article is an open access article distributed under the terms and conditions of the Creative Commons Attribution (CC BY) license (https://creativecommons.org/licenses/by/4.0/).
Share and Cite
Tao, S.; Duan, Y.; Zha, Y.; Tong, X.; He, Y.; Feng, H.; Shu, J. Development and Evaluation of an Immunochromatographic Strip and a Magnetic Chemiluminescence Immunoassay for Detection of Porcine Circovirus Type 2 Antigen. Vet. Sci. 2025, 12, 40. https://doi.org/10.3390/vetsci12010040
Tao S, Duan Y, Zha Y, Tong X, He Y, Feng H, Shu J. Development and Evaluation of an Immunochromatographic Strip and a Magnetic Chemiluminescence Immunoassay for Detection of Porcine Circovirus Type 2 Antigen. Veterinary Sciences. 2025; 12(1):40. https://doi.org/10.3390/vetsci12010040
Chicago/Turabian StyleTao, Sirui, Yu Duan, Yinhe Zha, Xiaxia Tong, Yulong He, Huapeng Feng, and Jianhong Shu. 2025. "Development and Evaluation of an Immunochromatographic Strip and a Magnetic Chemiluminescence Immunoassay for Detection of Porcine Circovirus Type 2 Antigen" Veterinary Sciences 12, no. 1: 40. https://doi.org/10.3390/vetsci12010040
APA StyleTao, S., Duan, Y., Zha, Y., Tong, X., He, Y., Feng, H., & Shu, J. (2025). Development and Evaluation of an Immunochromatographic Strip and a Magnetic Chemiluminescence Immunoassay for Detection of Porcine Circovirus Type 2 Antigen. Veterinary Sciences, 12(1), 40. https://doi.org/10.3390/vetsci12010040

