Computed Tomographic Hepatic Volumetry in Dogs with Congenital Portosystemic Shunts
Abstract
Simple Summary
Abstract
1. Introduction
2. Materials and Methods
2.1. Experimental Design and Case Selection Criteria
2.2. CT Acquisition Technical Parameters
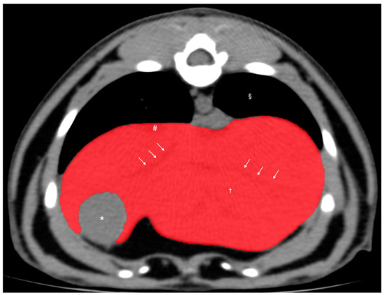
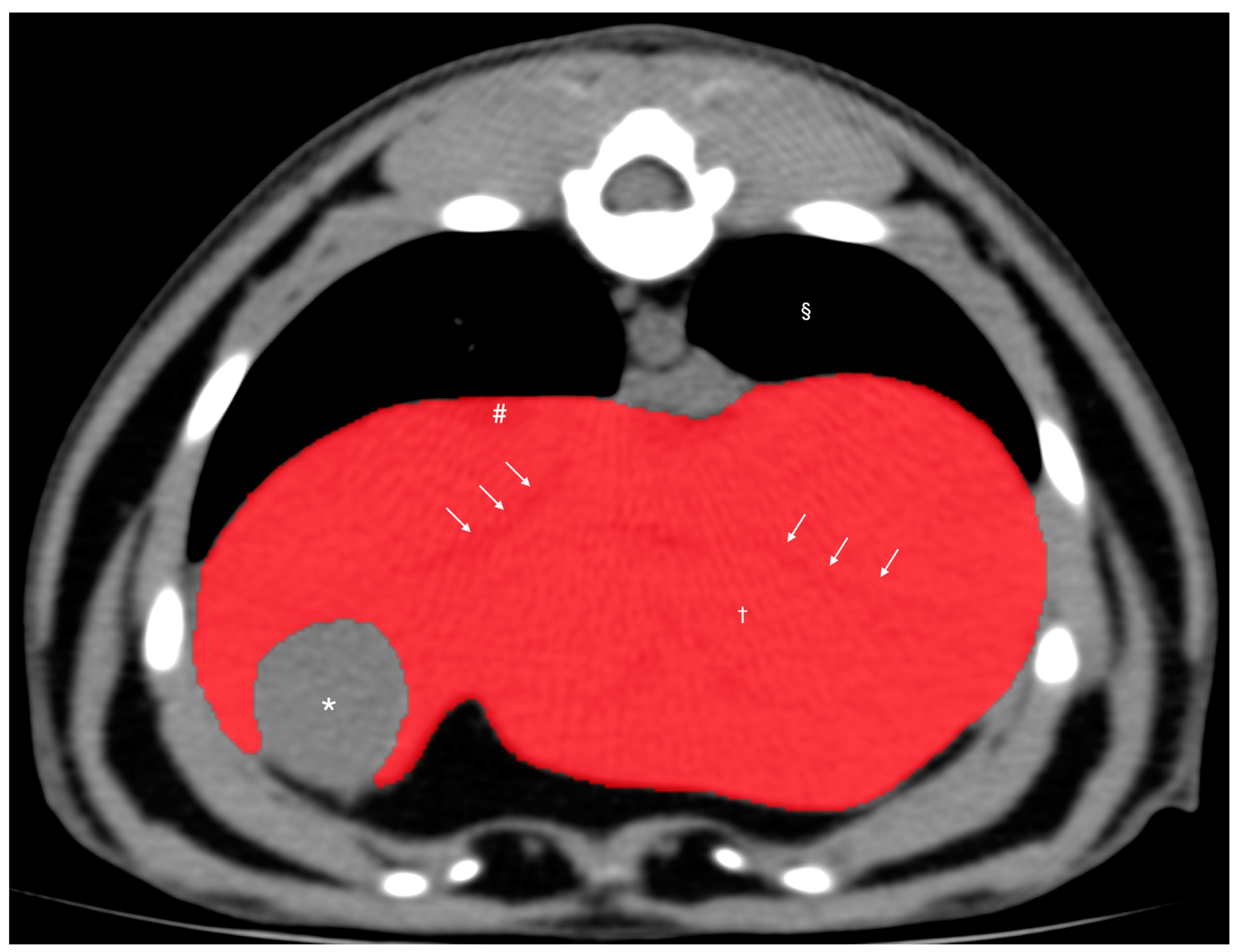
2.3. Computed Tomographic Hepatic Volumetry (CTHV) Analysis
2.4. Statistical Analysis
3. Results
3.1. Animal Profiles
3.2. Computed Tomographic Hepatic Volumetry (CTHV)
4. Discussion
5. Conclusions
Author Contributions
Funding
Institutional Review Board Statement
Informed Consent Statement
Data Availability Statement
Conflicts of Interest
References
- Schiano, T.D.; Bodian, C.; Schwartz, M.E.; Glajchen, N.; Min, A.D. Accuracy and significance of computed tomographic scan assessment of hepatic volume in patients undergoing liver transplantation. Transplantation 2000, 69, 545–550. [Google Scholar] [CrossRef] [PubMed]
- Kummeling, A.; Vrakking, D.J.; Rothuizen, J.; Gerritsen, K.M.; van Sluijs, F.J. Hepatic volume measurements in dogs with extrahepatic congenital portosystemic shunts before and after surgical attenuation. J. Vet. Intern. Med. Am. Coll. Vet. Intern. Med. 2010, 24, 114–119. [Google Scholar] [CrossRef] [PubMed]
- Stieger, S.M.; Zwingenberger, A.; Pollard, R.E.; Kyles, A.E.; Wisner, E.R. Hepatic volume estimation using quantitative computed tomography in dogs with portosystemic shunts. Vet. Radiol. Ultrasound 2007, 48, 409–413. [Google Scholar] [CrossRef] [PubMed]
- Zwingenberger, A.L.; Daniel, L.; Steffey, M.A.; Mayhew, P.D.; Mayhew, K.N.; Culp, W.T.; Hunt, G.B. Correlation between liver volume, portal vascular anatomy, and hepatic perfusion in dogs with congenital portosystemic shunt before and after placement of ameroid constrictors. Vet. Surg. VS 2014, 43, 926–934. [Google Scholar] [CrossRef] [PubMed]
- Center, S.A.; Magne, M.L. Historical, physical examination, and clinicopathologic features of portosystemic vascular anomalies in the dog and cat. Semin. Vet. Med. Surg. Small Anim. 1990, 5, 83–93. [Google Scholar]
- Ladurner, R.; Schenk, M.; Margreiter, R.; Offner, F.; Konigsrainer, A. Influence of portosystemic shunt on liver regeneration after hepatic resection in pigs. HPB Surg. 2009, 2009, 835965. [Google Scholar] [CrossRef]
- Taub, R. Liver regeneration: From myth to mechanism. Nat. Rev. Mol. Cell Biol. 2004, 5, 836–847. [Google Scholar] [CrossRef]
- Ueno, S.; Kobayashi, Y.; Kurita, K.; Tanabe, G.; Aikou, T. Effect of prior portosystemic shunt on early hepatic hemodynamics and sinusoids following 84% hepatectomy in dogs. Res. Exp. Medicine. Z. Fur Die Gesamte Exp. Med. Einschl. Exp. Chir. 1995, 195, 1–8. [Google Scholar] [CrossRef]
- D’Anjou, M.A.; Penninck, D.; Cornejo, L.; Pibarot, P. Ultrasonographic diagnosis of portosystemic shunting in dogs and cats. Vet. Radiol. Ultrasound 2004, 45, 424–437. [Google Scholar] [CrossRef]
- Murakami, M.; Nishi, R.; Lenoir, K.N. Computed tomographic measures of renomegaly vary among dogs with different types of congenital portosystemic shunts. Vet. Radiol. Ultrasound 2023, 64, 1025–1032. [Google Scholar] [CrossRef]
- Deppe, T.A.; Center, S.A.; Simpson, K.W.; Erb, H.N.; Randolph, J.F.; Dykes, N.L.; Yeager, A.E.; Reynolds, A.J. Glomerular filtration rate and renal volume in dogs with congenital portosystemic vascular anomalies before and after surgical ligation. J. Vet. Intern. Med. Am. Coll. Vet. Intern. Med. 1999, 13, 465–471. [Google Scholar] [CrossRef]
- Gluck, S.L.; Klahr, S. Enlarging Our View of the Diabetic Kidney. N. Engl. J. Med. 1991, 324, 1662–1664. [Google Scholar] [CrossRef]
- Tisdall, P.L.; Rothwell, T.L.; Hunt, G.B.; Malik, R. Glomerulopathy in dogs with congenital portosystemic shunts. Aust. Vet. J. 1996, 73, 52–54. [Google Scholar] [CrossRef] [PubMed]
- Vulgamott, J.C. Portosystemic Shunts. Vet. Clin. N. Am. Small Anim. Pract. 1985, 15, 229–242. [Google Scholar] [CrossRef]
- Kinoshita, K.; Kurihara, H.; Moore, G.E.; Murakami, M. Pilot Study: The Effects of Slice Parameters and the Interobserver Measurement Variability in Computed Tomographic Hepatic Volumetry in Dogs without Hepatic Disease. Vet. Sci. 2023, 10, 177. [Google Scholar] [CrossRef]
- Kinoshita, K.; Moore, G.; Murakami, M. Body Weight as a Preferred Method for Normalizing the Computed Tomography-Derived Liver Volume in Dogs without Hepatic Disease. Vet. Sci. 2024, 11, 153. [Google Scholar] [CrossRef]
- Kemp, S.D.; Panciera, D.L.; Larson, M.M.; Saunders, G.K.; Werre, S.R. A comparison of hepatic sonographic features and histopathologic diagnosis in canine liver disease: 138 cases. J. Vet. Intern. Med. Am. Coll. Vet. Intern. Med. 2013, 27, 806–813. [Google Scholar] [CrossRef]
- Suter, P.F. Radiographic diagnosis of liver disease in dogs and cats. Vet. Clin. N. Am. Small Anim. Pract. 1982, 12, 153–173. [Google Scholar] [CrossRef] [PubMed]
- Wrigley, R.H. Radiographic and ultrasonographic diagnosis of liver diseases in dogs and cats. Vet. Clin. N. Am. Small Anim. Pract. 1985, 15, 21–38. [Google Scholar] [CrossRef]
- Godshalk, C.P.; Badertscher II, R.R.; Rippy, M.K.; Ghent, A.W. Quantitative ultrasonic assessment of liver size in the dog. Vet. Radiol. 1988, 29, 162–167. [Google Scholar] [CrossRef]
- Bree, H.V.; Sackx, A. Evaluation of radiographic liver size in twenty-seven normal deep-chested dogs. J. Small Anim. Pract. 1987, 28, 693–703. [Google Scholar] [CrossRef]
- Lee, S.; Yoon, H.; Eom, K. Retrospective quantitative assessment of liver size by measurement of radiographic liver area in small-breed dogs. Am. J. Vet. Res. 2019, 80, 1122–1128. [Google Scholar] [CrossRef] [PubMed]
- Moss, A.A.; Friedman, M.A.; Brito, A.C. Determination of liver, kidney, and spleen volumes by computed tomography: An experimental study in dogs. J. Comput. Assist. Tomogr. 1981, 5, 12–14. [Google Scholar] [CrossRef] [PubMed]
- Lie, S.O. Growth promoting effect of serum from portal blood on liver cells in vitro. Eur. J. Clin. Investig. 1972, 2, 163–168. [Google Scholar] [CrossRef]
- Starzl, T.E.; Porter, K.A.; Putnam, C.W. Insulin, glucagon, and the control of hepatic structure, function, and capacity for regeneration. Metabolism 1976, 25, 1429–1434. [Google Scholar] [CrossRef] [PubMed][Green Version]
- Papazoglou, L.G.; Monnet, E.; Seim, H.B., 3rd. Survival and prognostic indicators for dogs with intrahepatic portosystemic shunts: 32 cases (1990-2000). Vet. Surg. VS 2002, 31, 561–570. [Google Scholar] [CrossRef]
- Amaha, T.; Ishikawa, C.; Ishigaki, K.; Horikirizono, H.; Iizuka, K.; Nagumo, T.; Tamura, K.; Seki, M.; Edamura, K.; Asano, K. Computed tomographic-derived measurements of shunt fraction and hepatic perfusion in dogs with a single extrahepatic portosystemic shunt in a clinical setting. J. Am. Vet. Med. Assoc. 2019, 255, 821–827. [Google Scholar] [CrossRef] [PubMed]
- Evans, H.E.; De Lahunta, A. Miller’s Anatomy of the Dog; Elsevier Health Sciences: Philadelphia, PA, USA, 2012. [Google Scholar]
- Sura, P.A.; Tobias, K.M.; Morandi, F.; Daniel, G.B.; Echandi, R.L. Comparison of 99mTcO4(-) trans-splenic portal scintigraphy with per-rectal portal scintigraphy for diagnosis of portosystemic shunts in dogs. Vet. Surg. VS 2007, 36, 654–660. [Google Scholar] [CrossRef] [PubMed]
- Morandi, F.; Cole, R.C.; Tobias, K.M.; Berry, C.R.; Avenell, J.; Daniel, G.B. Use of 99mTCO4(-) trans-splenic portal scintigraphy for diagnosis of portosystemic shunts in 28 dogs. Vet. Radiol. Ultrasound 2005, 46, 153–161. [Google Scholar] [CrossRef]
- Konstantinidis, A.O.; Patsikas, M.N.; Papazoglou, L.G.; Adamama-Moraitou, K.K. Congenital Portosystemic Shunts in Dogs and Cats: Classification, Pathophysiology, Clinical Presentation and Diagnosis. Vet. Sci. 2023, 10, 160. [Google Scholar] [CrossRef]




Disclaimer/Publisher’s Note: The statements, opinions and data contained in all publications are solely those of the individual author(s) and contributor(s) and not of MDPI and/or the editor(s). MDPI and/or the editor(s) disclaim responsibility for any injury to people or property resulting from any ideas, methods, instructions or products referred to in the content. |
© 2024 by the authors. Licensee MDPI, Basel, Switzerland. This article is an open access article distributed under the terms and conditions of the Creative Commons Attribution (CC BY) license (https://creativecommons.org/licenses/by/4.0/).
Share and Cite
Kurihara, H.; Moore, G.; Murakami, M. Computed Tomographic Hepatic Volumetry in Dogs with Congenital Portosystemic Shunts. Vet. Sci. 2024, 11, 390. https://doi.org/10.3390/vetsci11090390
Kurihara H, Moore G, Murakami M. Computed Tomographic Hepatic Volumetry in Dogs with Congenital Portosystemic Shunts. Veterinary Sciences. 2024; 11(9):390. https://doi.org/10.3390/vetsci11090390
Chicago/Turabian StyleKurihara, Hitomi, George Moore, and Masahiro Murakami. 2024. "Computed Tomographic Hepatic Volumetry in Dogs with Congenital Portosystemic Shunts" Veterinary Sciences 11, no. 9: 390. https://doi.org/10.3390/vetsci11090390
APA StyleKurihara, H., Moore, G., & Murakami, M. (2024). Computed Tomographic Hepatic Volumetry in Dogs with Congenital Portosystemic Shunts. Veterinary Sciences, 11(9), 390. https://doi.org/10.3390/vetsci11090390

