Prevention of Adhesions after Bone Fracture Using a Carboxymethylcellulose and Polyethylene Oxide Composite Gel in Dogs
Abstract
Simple Summary
Abstract
1. Introduction
2. Materials and Methods
2.1. Ethics: Animals
2.2. Overall Study Design
2.3. Surgical Procedure
2.4. Post-Operatively Evaluation
2.4.1. Clinical Evaluation
2.4.2. Diagnostic Imaging
2.4.3. Macroscopic and Histological Evaluation
2.5. Statistical Analysis
3. Results
3.1. Clinical Examination
3.2. Perimeter of the Surgical Site
3.3. Lameness
3.4. Overall Adverse Effects
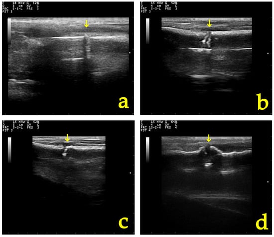
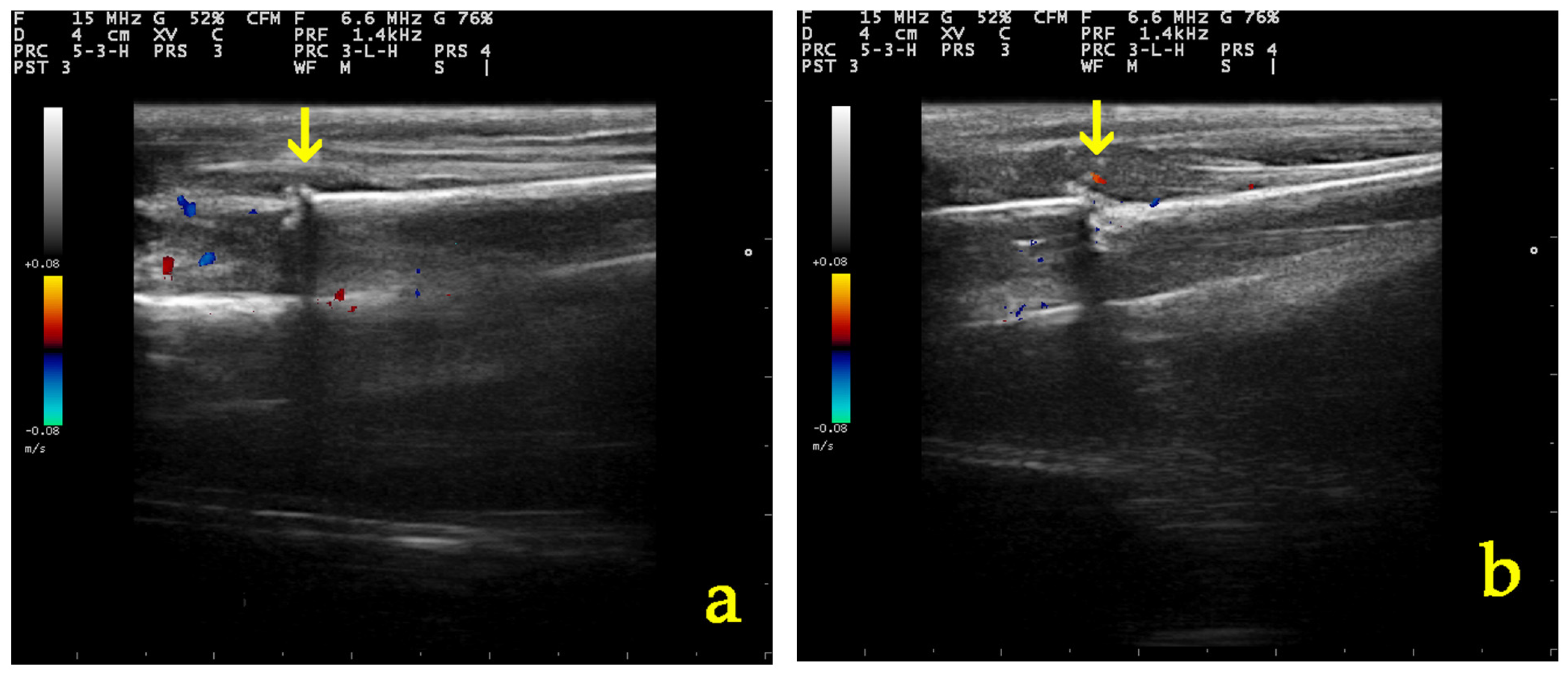
3.5. Diagnostic Imaging
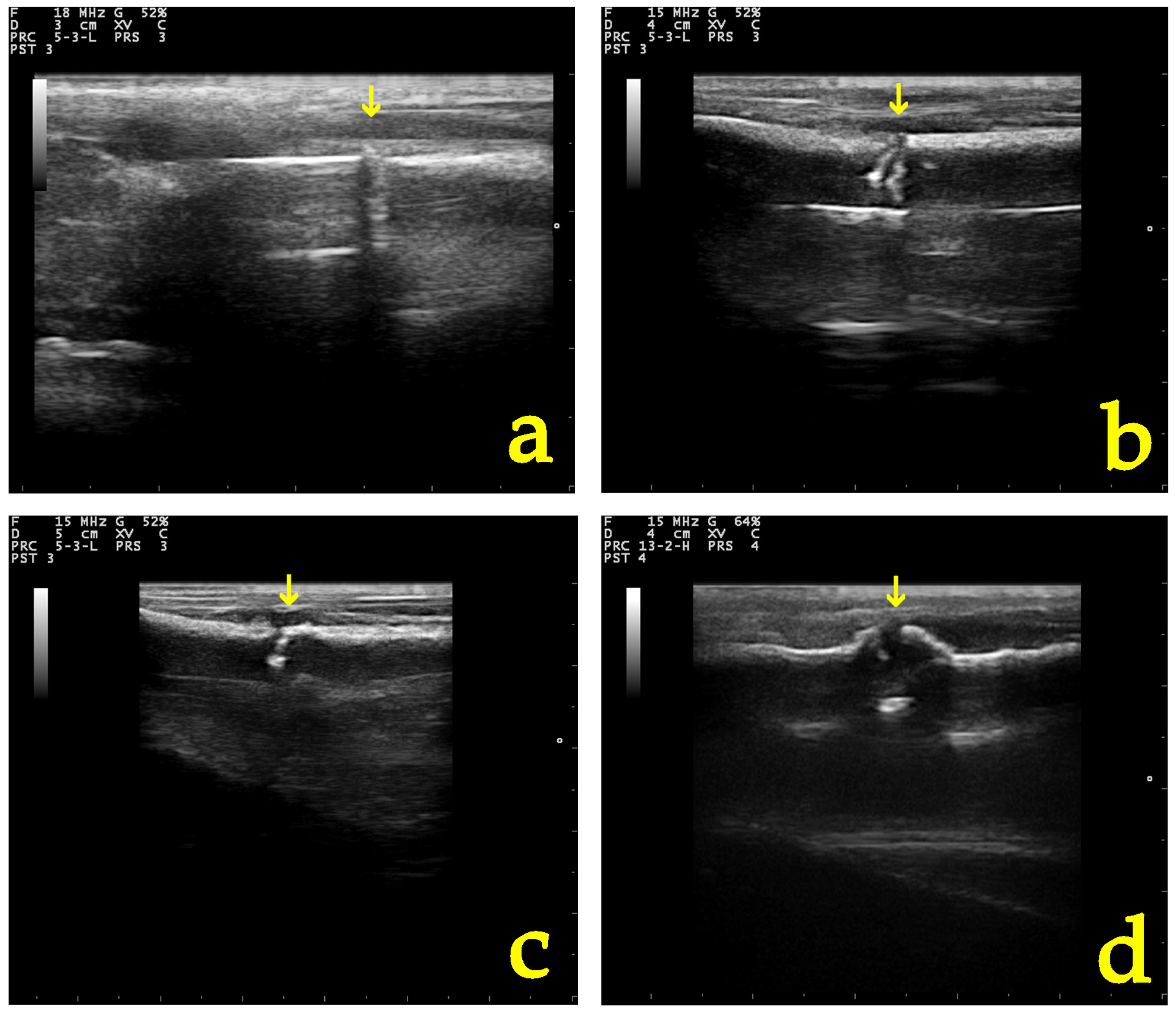
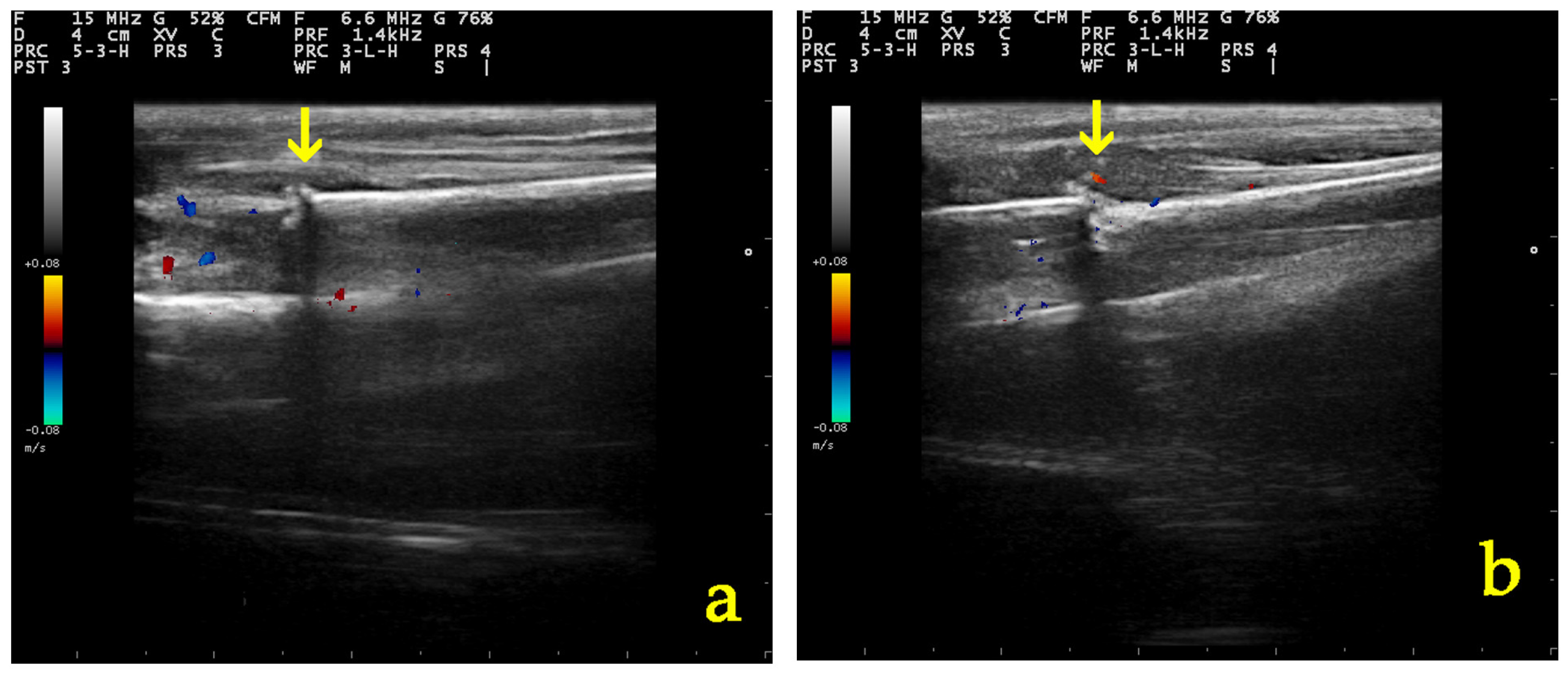
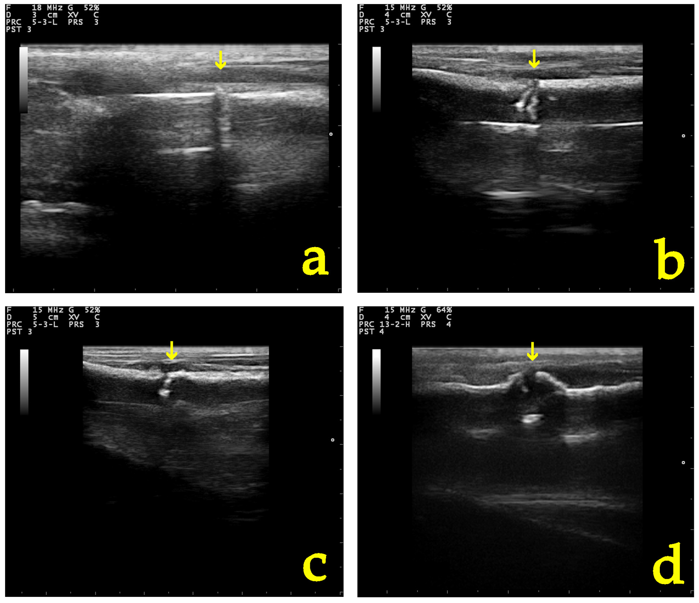
3.5.1. Ultrasonographic Examination
3.5.2. Radiographic Examination
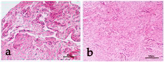
3.6. Macroscopic and Histological Evaluation
4. Discussion
5. Conclusions
Supplementary Materials
Author Contributions
Funding
Institutional Review Board Statement
Informed Consent Statement
Data Availability Statement
Conflicts of Interest
References
- Jürgens, C.; Schulz, A.P.; Porté, T.; Faschingbauer, M.; Seide, K. Biodegradable Films in Trauma and Orthopedic Surgery. Eur. J. Trauma 2006, 32, 160–171. [Google Scholar] [CrossRef]
- Chen, S.H.; Chen, C.H.; Shalumon, K.T.; Chen, J.P. Preparation and Characterization of Antiadhesion Barrier Film from Hyaluronic Acid-Grafted Electrospun Poly(Caprolactone) Nanofibrous Membranes for Prevention of Flexor Tendon Postoperative Peritendinous Adhesion. Int. J. Nanomed. 2014, 9, 4079–4092. [Google Scholar] [CrossRef] [PubMed]
- Yilmaz, E.; Avci, M.; Bulut, M.; Kelestimur, H.; Karakurt, L.; Ozercan, I. The Effect of Seprafilm on Adhesion Formation and Tendon Healing After Flexor Tendon Repair in Chicken. Orthopedics 2010, 33, 164–170. [Google Scholar] [CrossRef] [PubMed]
- Capella-Monsonís, H.; Kearns, S.; Kelly, J.; Zeugolis, D.I. Battling Adhesions: From Understanding to Prevention. BMC Biomed. Eng. 2019, 1, 5. [Google Scholar] [CrossRef] [PubMed]
- Burgisser, G.M.; Calcagni, M.; Bachmann, E.; Fessel, G.; Snedeker, J.G.; Giovanoli, P.; Buschmann, J. Rabbit Achilles Tendon Full Transection Model-Wound Healing, Adhesion Formation and Biomechanics at 3, 6 and 12 Weeks Post-Surgery. Biol. Open 2016, 5, 1324–1333. [Google Scholar] [CrossRef]
- Zhou, H.; Lu, H. Advances in the Development of Anti-Adhesive Biomaterials for Tendon Repair Treatment. Tissue Eng. Regen. Med. 2021, 18, 1–14. [Google Scholar] [CrossRef] [PubMed]
- Eakin, C.L. Knee Arthrofibrosis: Prevention and Management of Potentially Devastating Condition. Phys. Sportsmed 2001, 29, 31–42. [Google Scholar] [CrossRef] [PubMed]
- Brunelli, G.; Longinotti, C.; Bertazzo, C.; Pavesio, A.; Pressato, D. Adhesion Reduction after Knee Surgery in a Rabbit Model by Hyaloglide@, a Hyaluronan Derivative Gel. J. Orthop. Res. 2005, 23, 1377–1382. [Google Scholar] [PubMed]
- Macias, C. Chapter 28 Fracture Disease. In BSAVA Manual of Canine and Feline Fracture Repair and Management; Gemmil, T.J., Clements, D.N., Eds.; BSAVA: Gloucester, UK, 2016; pp. 363–367. [Google Scholar]
- Braund, K.G.; Shires, P.K.; Mikeal, R.L. Type I Fiber Atrophy in the Vastus Lateralis Muscle in Dogs with Femoral Fractures Treated by Hyperextension. Vet. Pathol. 1980, 17, 164–176. [Google Scholar] [CrossRef]
- Fatehi Hassanabad, A.; Zarzycki, A.N.; Jeon, K.; Dundas, J.A.; Vasanthan, V.; Deniset, J.F.; Fedak, P.W.M. Prevention of Post-Operative Adhesions: A Comprehensive Review of Present and Emerging Strategies. Biomolecules 2021, 11, 1027. [Google Scholar] [CrossRef]
- Ten Broek, R.P.G.; Bakkum, E.A.; Van Laarhoven, C.J.H.M.; Van Goor, H. Epidemiology and Prevention of Postsurgical Adhesions Revisited. Ann. Surg. 2016, 263, 12–19. [Google Scholar] [CrossRef]
- Saygi, B.; Saritzali, I.; Karaman, Ö.; Yildirim, Y.; Tetik, C.; Esemenli, T. The Effect of Dehydration and Irrigation on Tendon Adhesion Formation after Tendon Exposure. Acta Orthop. Traumatol. Turc. 2012, 46, 393–397. [Google Scholar] [CrossRef] [PubMed]
- Wu, W.; Cheng, R.; das Neves, J.; Tang, J.; Xiao, J.; Ni, Q.; Liu, X.; Pan, G.; Li, D.; Cui, W.; et al. Advances in Biomaterials for Preventing Tissue Adhesion. J. Control. Release 2017, 261, 318–336. [Google Scholar] [CrossRef]
- Burgisser, G.M.; Buschmann, J. History and Performance of Implant Materials Applied as Peritendinous Antiadhesives. J. Biomed. Mater. Res. B Appl. Biomater. 2015, 103, 212–228. [Google Scholar] [CrossRef]
- Meislin, R.J.; Wiseman, D.M.; Alexander, H.; Cunningham, T.; Linsky, C.; Carlstedt, C.; Pitman, M.; Casar, R. A Biomechanical Study of Tendon Adhesion Reduction Using a Biodegradable Barrier in a Rabbit Model. J. Appl. Biomater. 1990, 1, 13–19. [Google Scholar] [CrossRef] [PubMed]
- Menderes, A.; Mola, F.; Tayfur, V.; Vayvada, H.; Barutçu, A. Prevention of Peritendinous Adhesions Following Flexor Tendon Injury with Seprafilm. Ann. Plast. Surg. 2004, 53, 560–564. [Google Scholar] [CrossRef] [PubMed]
- Temiz, A.; Ozturk, C.; Bakunov, A.; Kara, K.; Kaleli, T. A New Material for Prevention of Peritendinous Fibrotic Adhesions after Tendon Repair: Oxidised Regenerated Cellulose (Interceed), an Absorbable Adhesion Barrier. Int. Orthop. 2008, 32, 389–394. [Google Scholar] [CrossRef]
- Corduneanu-Luca, A.; Pasca, S.; Tamas, C.; Moraru, D.; Ciuntu, B.; Stanescu, C.; Hreniuc-Jemnoschi, I.; Tecuceanu, A.; Stamate, T. Improving Flexor Tendon Gliding by Using the Combination of Carboxymethylcellulose-polyethylene Oxide on Murine Model. Exp. Ther. Med. 2021, 23, 105. [Google Scholar] [CrossRef]
- Liu, Y.; Skardal, A.; Shu, X.Z.; Prestwich, G.D. Prevention of Peritendinous Adhesions Using a Hyaluronan-Derived Hydrogel Film Following Partial-Thickness Flexor Tendon Injury. J. Orthop. Res. 2008, 26, 562–569. [Google Scholar] [CrossRef]
- Liu, L.S.; Berg, R.A. Adhesion Barriers of Carboxymethylcellulose and Polyethylene Oxide Composite Gels. J. Biomed. Mater. Res. 2002, 63, 326–332. [Google Scholar] [CrossRef]
- Lundorff, P.; Donnez, J.; Korell, M.; Audebert, A.J.M.; Block, K.; diZerega, G.S. Clinical Evaluation of a Viscoelastic Gel for Reduction of Adhesions Following Gynaecological Surgery by Laparoscopy in Europe. Hum. Reprod. 2005, 20, 514–520. [Google Scholar] [CrossRef] [PubMed]
- Rodgers, K.E.; Robertson, J.T.; Espinoza, T.; Oppelt, W.; Cortese, S.; diZerega, G.S.; Berg, R.A. Reduction of Epidural Fibrosis in Lumbar Surgery with Oxiplex Adhesion Barriers of Carboxymethylcellulose and Polyethylene Oxide. Spine J. 2003, 3, 277–283. [Google Scholar] [CrossRef]
- DiZerega, G.S.; Cortese, S.; Rodgers, K.E.; Block, K.M.; Falcone, S.J.; Juarez, T.G.; Berg, R. A Modern Biomaterial for Adhesion Prevention. J. Biomed. Mater. Res. B Appl. Biomater. 2007, 81, 239–250. [Google Scholar] [CrossRef] [PubMed]
- Carmona, A.; Hidalgo Diaz, J.J.; Facca, S.; Igeta, Y.; Pizza, C.; Liverneaux, P. Revision Surgery in Carpal Tunnel Syndrome: A Retrospective Study Comparing the Canaletto® Device Alone versus a Combination of Canaletto® and Dynavisc® Gel. Hand. Surg. Rehabil. 2019, 38, 52–58. [Google Scholar] [CrossRef] [PubMed]
- Witte, P.; Scott, H. Investigation of Lameness in Dogs 2. Hindlimb. In Pract. 2011, 33, 58–66. [Google Scholar] [CrossRef]
- Pozzi, A.; Risselada, M.; Winter, M.D. Assessment of Fracture Healing after Minimally Invasive Plate Osteosynthesis or Open Reduction and Internal Fixation of Coexisting Radius and Ulna Fractures in Dogs via Ultrasonography and Radiography. J. Am. Vet. Med. Assoc. 2012, 241, 744–753. [Google Scholar] [CrossRef] [PubMed]
- Lane, J.M.; Sandhu, H. Current Approaches to Experimental Bone Grafting. Orthop. Clin. N. Am. 1987, 18, 213–225. [Google Scholar] [CrossRef]
- Rothkopf, D.M.; Webb, S.; Szabo, R.M.; Gelberman, R.H.; May, J.W. An Experimental Model for the Study of Canine Flexor Tendon Adhesions. J. Hand. Surg. Am. 1991, 16, 694–700. [Google Scholar] [CrossRef]
- Yaltirik, M.; Ozbas, H.; Bilgic, B.; Issever, H. Reactions of Connective Tissue to Mineral Trioxide Aggregate and Amalgam. J. Endod. 2004, 30, 95–99. [Google Scholar] [CrossRef]
- McMinn, R. Skin and Subcutaneous Tissues; Vol. Tissue Repair; Academic Press: New York, NY, USA; London, UK, 1969. [Google Scholar]
- Wiseman, D.M.; Gottlick-Iarkowski, L.; Kamp, L. Effect of Different Barriers of Oxidized Regenerated Cellulose (ORC) on Cecal and Sidewall Adhesions in the Presence and Absence of Bleeding. J. Investig. Surg. 1999, 12, 141–146. [Google Scholar] [CrossRef]
- Kappos, E.A.; Esenwein, P.; Meoli, M.; Meier, R.; Grünert, J. Implantation of a Denaturated Cellulose Adhesion Barrier after Plate Osteosynthesis of Finger Proximal Phalangeal Fractures: Results of a Randomized Controlled Trial. J. Hand. Surg. Eur. Vol. 2016, 41, 413–420. [Google Scholar] [CrossRef] [PubMed]
- von Kieseritzky, J.; Rosengren, J.; Arner, M. Dynavisc as an Adhesion Barrier in Finger Phalangeal Plate Fixation—A Prospective Case Series of 8 Patients. J. Hand. Surg. Glob. Online 2020, 2, 109–112. [Google Scholar] [CrossRef] [PubMed]
- Corrales, L.A.; Morshed, S.; Bhandari, M.; Miclau, T. Variability in the Assessment of Fracture-Healing in Orthopaedic Trauma Studies. J. Bone. Joint. Surg. Am. 2008, 90, 1862–1868. [Google Scholar] [CrossRef] [PubMed]
- Sato, T.; Shimizu, H.; Beppu, M.; Takagi, M. Effects on Bone Union and Prevention of Tendon Adhesion by New Porous Anti-Adhesive Poly L-Lactide-Co-ε-Caprolactone Membrane in a Rabbit Model. Hand. Surg. 2013, 18, 1–10. [Google Scholar] [CrossRef] [PubMed]
- Pappa, E.I.; Barbagianni, M.S.; Georgiou, S.G.; Athanasiou, L.V.; Psalla, D.; Vekios, D.; Katsarou, E.I.; Vasileiou, N.G.C.; Gouletsou, P.G.; Galatos, A.D.; et al. The Use of Stromal Vascular Fraction in Long Bone Defect Healing in Sheep. Animals 2023, 13, 2871. [Google Scholar] [CrossRef] [PubMed]
- Maffulli, N.; Thornton, A. Ultrasonographic Appearance of External Callus in Long-Bone Fractures. Injury 1995, 26, 5–12. [Google Scholar] [CrossRef] [PubMed]
- Risselada, M.; Winter, M.D.; Lewis, D.D.; Griffith, E.; Pozzi, A. Comparison of Three Imaging Modalities Used to Evaluate Bone Healing after Tibial Tuberosity Advancement in Cranial Cruciate Ligament-Deficient Dogs and Comparison of the Effect of a Gelatinous Matrix and a Demineralized Bone Matrix Mix on Bone Healing—A pilot study. BMC Vet. Res. 2018, 14, 164. [Google Scholar] [CrossRef]
- Risselada, M.; Kramer, M.; De Rooster, H.; Taeymans, O.; Verleyen, P.; Van Bree, H. Ultrasonographic and Radiographic Assessment of Uncomplicated Secondary Fracture Healing of Long Bones in Dogs and Cats. Vet. Surg. 2005, 34, 99–107. [Google Scholar] [CrossRef]
- Risselada, M.; Van Bree, H.; Kramer, M.; Duchateau, L.; Verleyen, P.; Saunders, J.H. Ultrasonographic Assessment of Fracture Healing after Plate Osteosynthesis. Vet. Radiol. Ultrasound 2007, 48, 368–372. [Google Scholar] [CrossRef]
- Caruso, G.; Lagalla, R.; Derchi, L.; Iovane, A.; Sanfilippo, A. Monitoring of Fracture Calluses with Color Doppler Sonography. J. Clin. Ultrasound 2000, 28, 20–27. [Google Scholar] [CrossRef]
- Risselada, M.; van Bree, H.; Kramer, M.; Chiers, K.; Duchateau, L.; Verleyen, P.; Saunders, J.H. Evaluation of Nonunion Fractures in Dogs by Use of B-Mode Ultrasonography, Power Doppler Ultrasonography, Radiography, and Histologic Examination. Am. J. Vet. Res. 2006, 67, 1354–1361. [Google Scholar] [CrossRef] [PubMed]
- Su, H.Q.; Zhuang, X.Q.; Bai, Y.; Ye, H.H.; Huang, X.H.; Lu, B.B.; Lu, S.L.; Nong, D.Y.; Wang, W. Value of Ultrasonography for Observation of Early Healing of Humeral Shaft Fractures. J. Med. Ultrason. 2013, 40, 231–236. [Google Scholar] [CrossRef] [PubMed]
- Wawrzyk, M.; Sokal, J.; Andrzejewska, E.; Przewratil, P. The Role of Ultrasound Imaging of Callus Formation in the Treatment of Long Bone Fractures in Children. Pol. J. Radiol. 2015, 80, 473–478. [Google Scholar] [CrossRef] [PubMed]











| Group | D0 | D7 | D14 | D21 | D28 | |
|---|---|---|---|---|---|---|
| Average perimeter (cm) (SD) | A | 10.65 (1.00) | 11.8 (0.95) | 12.4 (0.77) | 11.95 (0.86) | 11.65 (0.88) |
| B | 10.65 (1.00) | 12.3 (0.95) | 12.05 (0.79) | 11.6 (0.99) | 11.55 (0.79) |
| Group | D–1 | D1 | D2 | D3 | D4 | D5 | D6 | D7 | D14 | D21 | D28 |
|---|---|---|---|---|---|---|---|---|---|---|---|
| A | 0 | 2 (1–2) | 1.5 (1–2) | 1 (0–1) | 0 (0–1) | 0 (0–0) | 0 (0–0) | 0 (0–0) | 0 (0–0) | 0 (0–0) | 0 (0–0) |
| B | 0 | 2 (1–2) | 1 (1–2) | 1 (0–1) | 0 (0–0) | 0 (0–0) | 0 (0–0) | 0 (0–0) | 0 (0–0) | 0 (0–0) | 0 (0–0) |
| Parameter of Ultrasonographic Examination | Group | D0 | D5 | D10 | D20 | D28 |
|---|---|---|---|---|---|---|
| Echogenicity and structural organization of the tissue at the fracture site | A | 1 (1–1) | 2 (1–2) | 2 (2–2) | 3 (3–4) | 3.5 (3–4) |
| B | 1 (1–1) | 1 (1–2) | 2 (2–2) | 3 (2–4) | 4 (2–4) | |
| Formation of the callus and the vascularization present at the osteotomy | A | 1 (1–1) | 2 (2–2) | 2 (2–2) | 3 (2–4) | 3.5 (3–4) |
| B | 1 (1–1) | 2 (2–2) | 2 (1–2) | 3 (2–4) | 4 (2–4) | |
| Total grade | A | 1 (1–1) | 1.5 (1–2) | 2 (2–2) | 3 (3–4) | 3.5 (3–4) |
| B | 1 (1–1) | 1 (1–2) | 2 (2–2) | 3 (2–4) | 4 (2–4) |
| Group | D0 | D28 | |
|---|---|---|---|
| Radiographic evaluation score | A | 0 (0–0) | 2 (1–3) |
| B | 0 (0–0) | 3 (1–3) |
| Parameters of Macroscopic and Histological Assessment | Group | D28 | |
|---|---|---|---|
| Macroscopic assessment | Median adhesion score (range) | A | 3 (2–3) |
| B | 1 (0–2) | ||
| Histological examination | Median adhesion score (range) | A | 2 (1–3) |
| B | 0 (0–2) | ||
| Median inflammation score (range) | A | 2 (1–2) | |
| B | 1 (0–3) | ||
| Median healing score (range) | A | 1 (0–2) | |
| B | 2 (1–3) | ||
Disclaimer/Publisher’s Note: The statements, opinions and data contained in all publications are solely those of the individual author(s) and contributor(s) and not of MDPI and/or the editor(s). MDPI and/or the editor(s) disclaim responsibility for any injury to people or property resulting from any ideas, methods, instructions or products referred to in the content. |
© 2024 by the authors. Licensee MDPI, Basel, Switzerland. This article is an open access article distributed under the terms and conditions of the Creative Commons Attribution (CC BY) license (https://creativecommons.org/licenses/by/4.0/).
Share and Cite
Sideri, A.I.; Pappa, E.I.; Skampardonis, V.; Barbagianni, M.; Georgiou, S.G.; Psalla, D.; Marouda, C.; Prassinos, N.N.; Galatos, A.D.; Gouletsou, P.G. Prevention of Adhesions after Bone Fracture Using a Carboxymethylcellulose and Polyethylene Oxide Composite Gel in Dogs. Vet. Sci. 2024, 11, 343. https://doi.org/10.3390/vetsci11080343
Sideri AI, Pappa EI, Skampardonis V, Barbagianni M, Georgiou SG, Psalla D, Marouda C, Prassinos NN, Galatos AD, Gouletsou PG. Prevention of Adhesions after Bone Fracture Using a Carboxymethylcellulose and Polyethylene Oxide Composite Gel in Dogs. Veterinary Sciences. 2024; 11(8):343. https://doi.org/10.3390/vetsci11080343
Chicago/Turabian StyleSideri, Aikaterini I., Elena I. Pappa, Vassilis Skampardonis, Mariana Barbagianni, Stefanos G. Georgiou, Dimitra Psalla, Christina Marouda, Nikitas N. Prassinos, Apostolos D. Galatos, and Pagona G. Gouletsou. 2024. "Prevention of Adhesions after Bone Fracture Using a Carboxymethylcellulose and Polyethylene Oxide Composite Gel in Dogs" Veterinary Sciences 11, no. 8: 343. https://doi.org/10.3390/vetsci11080343
APA StyleSideri, A. I., Pappa, E. I., Skampardonis, V., Barbagianni, M., Georgiou, S. G., Psalla, D., Marouda, C., Prassinos, N. N., Galatos, A. D., & Gouletsou, P. G. (2024). Prevention of Adhesions after Bone Fracture Using a Carboxymethylcellulose and Polyethylene Oxide Composite Gel in Dogs. Veterinary Sciences, 11(8), 343. https://doi.org/10.3390/vetsci11080343

