Hypoadrenocorticism in a Dog Following Recovery from Alpha-Amanitin Intoxication
Abstract
Simple Summary
Abstract
1. Introduction
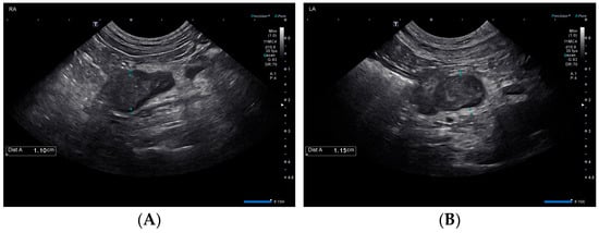
2. Case Presentation
3. Discussion
4. Conclusions
Supplementary Materials
Author Contributions
Funding
Institutional Review Board Statement
Informed Consent Statement
Data Availability Statement
Acknowledgments
Conflicts of Interest
References
- Zhang, P.; Tang, L.-P.; Cai, Q.; Xu, J.-P. A review on the diversity, phylogeography and population genetics of Amanita mushrooms. Mycology 2015, 6, 86–93. [Google Scholar] [CrossRef] [PubMed]
- Hallen, H.E.; Luo, H.; Scott-Craig, J.S.; Walton, J.D. Gene family encoding the major toxins of lethal Amanita mushrooms. Proc. Natl. Acad. Sci. USA 2007, 104, 19097–19101. [Google Scholar] [CrossRef] [PubMed]
- Kaae, J.A.; Poppenga, R.H.; Hill, A.E. Physical examination, serum biochemical, and coagulation abnormalities, treatments, and outcomes for dogs with toxicosis from α-amanitin–containing mushrooms: 59 cases (2006–2019). J. Am. Vet. Med. Assoc. 2021, 258, 502–509. [Google Scholar] [CrossRef] [PubMed]
- Vo, K.T.; Montgomery, M.E.; Mitchell, S.T.; Scheerlinck, P.H.; Colby, D.K.; Meier, K.H.; Kim-Katz, S.; Anderson, I.B.; Offerman, S.R.; Olson, K.R.; et al. Amanita phalloides Mushroom Poisonings—Northern California, December 2016. MMWR. Morb. Mortal. Wkly. Rep. 2017, 66, 549–553. [Google Scholar] [CrossRef] [PubMed]
- Walton, J. The Cyclic Peptide Toxins of Amanita and Other Poisonous Mushrooms; Springer International Publishing: Cham, Switzerland, 2018. [Google Scholar] [CrossRef]
- Magalhaes, M.C.; Magalhaes, M.M. Effects of alpha-amanitin on the fine structure of adrenal fasciculata cells in the young rat. Tissue Cell 1985, 17, 27–37. [Google Scholar] [CrossRef]
- Sun, J.; Niu, Y.M.; Zhang, Y.T.; Li, H.J.; Yin, Y.; Zhang, Y.Z.; Ma, P.B.; Zhou, J.; Huang, L.; Zhang, H.S.; et al. Toxicity and toxicokinetics of Amanita exitialis in beagle dogs. Toxicon 2018, 143, 59–67. [Google Scholar] [CrossRef]
- Kaae, J.A.; Bever, C.S.; Poppenga, R.H. Early diagnosis of amanitin exposure (amatoxicosis) in a dog with a point-of-care diagnostic test. J. Vet. Emerg. Crit. Care 2022, 32, 824–829. [Google Scholar] [CrossRef]
- Goupil, R.C.; Davis, M.; Kaufman, A.; Roberts, D.; Mitchell, T. Clinical recovery of 5 dogs from amatoxin mushroom poisoning using an adapted Santa Cruz protocol for people. J. Vet. Emerg. Crit. Care 2021, 31, 414–427. [Google Scholar] [CrossRef]
- Filigenzi, M.S.; Poppenga, R.H.; Tiwary, A.K.; Puschner, B. Determination of α-Amanitin in Serum and Liver by Multistage Linear Ion Trap Mass Spectrometry. J. Agric. Food Chem. 2007, 55, 2784–2790. [Google Scholar] [CrossRef]
- Frank, C.B.; Valentin, S.Y.; Scott-Moncrieff, J.C.R.; Miller, M.A. Correlation of Inflammation with Adrenocortical Atrophy in Canine Adrenalitis. J. Comp. Pathol. 2013, 149, 268–279. [Google Scholar] [CrossRef]
- Labelle, P.; De Cock, H.E.V. Metastatic Tumors to the Adrenal Glands in Domestic Animals. Vet. Pathol. 2005, 42, 52–58. [Google Scholar] [CrossRef]
- Lee, N.; Choi, J.; Yoon, J. Presumptive nontraumatic adrenal hemorrhage preceding hypoadrenocorticism in a dog. J. Vet. Intern. Med. 2022, 36, 2160–2164. [Google Scholar] [CrossRef]
- Reagan, K.L.; McLarty, E.; Marks, S.L.; Sebastian, J.; McGill, J.; Gilor, C. Characterization of clinicopathologic and abdominal ultrasound findings in dogs with glucocorticoid deficient hypoadrenocorticism. J. Vet. Intern. Med. 2022, 36, 1947–1957. [Google Scholar] [CrossRef]
- Wenger, M.; Mueller, C.; Kook, P.H.; Reusch, C.E. Ultrasonographic evaluation of adrenal glands in dogs with primary hypoadrenocorticism or mimicking diseases. Vet. Rec. 2010, 167, 207–210. [Google Scholar] [CrossRef]
- Veer, J.B.V.; Farley, D.L. Mushroom poisoning (Mycetismus)—Report of four cases. Arch. Intern. Med. 1935, 55, 773–791. [Google Scholar] [CrossRef]
- Puschner, B.; Rose, H.H.; Filigenzi, M.S. Diagnosis of Amanita Toxicosis in a Dog with Acute Hepatic Necrosis. J. Vet. Diagn. Investig. 2007, 19, 312–317. [Google Scholar] [CrossRef]
- Romano, M.C.; Doan, H.K.; Poppenga, R.H.; Filigenzi, M.S.; Bryant, U.K.; Gaskill, C.L. Fatal Amanita muscaria poisoning in a dog confirmed by PCR identification of mushrooms. J. Vet. Diagn. Investig. 2019, 31, 485–487. [Google Scholar] [CrossRef]
- Marik, P.E.; Gayowski, T.; Starzl, T.E. The hepatoadrenal syndrome: A common yet unrecognized clinical condition. Crit. Care Med. 2005, 33, 1254–1259. [Google Scholar] [CrossRef]
- Fede, G.; Spadaro, L.; Tomaselli, T.; Privitera, G.; Piro, S.; Rabuazzo, A.M.; Sigalas, A.; Xirouchakis, E.; O’Beirne, J.; Garcovich, M.; et al. Assessment of adrenocortical reserve in stable patients with cirrhosis. J. Hepatol. 2011, 54, 243–250. [Google Scholar] [CrossRef]
- Kharb, S.; Garg, M.K.; Puri, P.; Nandi, B.; Brar, K.S.; Gundgurthi, A.; Pandit, A. Assessment of adrenal function in liver diseases. Indian J. Endocrinol. Metab. 2013, 17, 465. [Google Scholar] [CrossRef]
- Fede, G.; Spadaro, L.; Tomaselli, T.; Privitera, G.; Germani, G.; Tsochatzis, E.; Thomas, M.; Bouloux, P.M.; Burroughs, A.K.; Purrello, F. Adrenocortical dysfunction in liver disease: A systematic review. Hepatology 2012, 55, 1282–1291. [Google Scholar] [CrossRef] [PubMed]


| Reference Interval | Day 1 | Day 2 | Day 3 | Day 4 | Day 5 | Day 6 | Day 7 | Day 8 | |
|---|---|---|---|---|---|---|---|---|---|
| Hematocrit (%) | 50–55 | 62.3 | 60.6 | 55.3 | |||||
| Neutrophils (cells/μL) | 3000–10,500 | 8847 | 8204 | ||||||
| Lymphocytes (cells/μL) | 1200–4000 | 2181 | 1875 | ||||||
| Eosinophils (cells/μL) | 0–1500 | 485 | 527 | ||||||
| Platelets (cells/μL) | 150,000–400,000 | 70,000 (clumps seen) | 126,000 (clumps seen) | ||||||
| Sodium (mmol/L) | 143–151 | 148 | 145 | 151 | |||||
| Potassium (mmol/L) | 3.6–4.8 | 4.4 | 4.5 | 4.7 | |||||
| ALT (IU/L) | 21–72 | 13,288 | 10,343 | 6007 | 4103 | 3270 | 2555 | 1993 | 1674 |
| AST (IU/L) | 20–49 | 1830 | 467 | 167 | 135 | 110 | 73 | 69 | 73 |
| ALP (IU/L) | 14–91 | 1508 | 1783 | 1567 | 1387 | 1502 | 1509 | 1465 | 1550 |
| GGT (IU/L) | 0–5 | 17 | 18 | 13 | 8 | 11 | 20 | 5 | 7 |
| Albumin (g/dL) | 3.4–4.3 | 3.3 | 3.3 | 3 | 2.6 | 2.8 | 2.9 | 3.1 | 3.3 |
| Globulin (g/dL) | 1.7–3.1 | 1.6 | 2.1 | 1.9 | 1.9 | 2.2 | 2.4 | 2.5 | 2.9 |
| Cholesterol (mg/dL) | 139–353 | 188 | 193 | 137 | 105 | 101 | 99 | 99 | 104 |
| Total Bilirubin (mg/dL) | 0.0–0.2 | 1.4 | 2.1 | 1.4 | 0.9 | 0.6 | 0.5 | 0.5 | 0.5 |
| Glucose (mg/dL) | 86–118 | 73 | 87 | 74 | 149 | 82 | 90 | 63 | 51 |
| Creatinine (mg/dL) | 0.8–1.5 | 0.8 | 0.7 | 0.9 | |||||
| Blood Urea Nitrogen (mg/dL) | 11–33 | 17 | 9 | 5 | 4 | 8 | 10 | 10 | 15 |
| PT (s) | 7.0–9.3 | 21.4 | 9.9 | 8.2 | |||||
| aPTT (s) | 10.4–12.9 | 21 | 15.7 | 13.9 | |||||
| Fibrinogen (mg/dL) | 109–311 | <50 | 119 | 210 | |||||
| D-dimers (ng/dL) | 0–186 | 904 | 58 | 181 |
| Reference Interval | Day 15 | |
|---|---|---|
| ALT (IU/L) | 21–72 | 214 |
| AST (IU/L) | 20–49 | 33 |
| ALP (IU/L) | 14–91 | 893 |
| GGT (IU/L) | 0–5 | <3 |
| Albumin (g/dL) | 3.4–4.3 | 3.7 |
| Globulin (g/dL) | 1.7–3.1 | 2.5 |
| Cholesterol (mg/dL) | 139–353 | 100 |
| Total Bilirubin (mg/dL) | 0.0–0.2 | 0.2 |
| Glucose (mg/dL) | 86–118 | 91 |
| Creatinine (mg/dL) | 0.8–1.5 | |
| Blood Urea Nitrogen (mg/dL) | 11–33 | 39 |
| PT (s) | 7.0–9.3 | 8.3 |
| aPTT (s) | 10.4–12.9 | 15.2 |
| Fibrinogen (mg/dL) | 109–311 | 160 |
| D-dimers (ng/dL) | 0–186 | 72 |
| Reference Interval | Day 24 | Day 26 | Day 34 | Day 50 | |
|---|---|---|---|---|---|
| Hematocrit (%) | 50–55 | 56.9 | |||
| Neutrophils (cells/μL) | 3000–10,500 | 6261 | |||
| Lymphocytes (cells/μL) | 1200–4000 | 3010 | |||
| Eosinophils (cells/μL) | 0–1500 | 1806 | |||
| Platelets (cells/μL) | 150,000–400,000 | 34,000 (clumps seen) | |||
| Sodium (mmol/L) | 143–151 | 131 | 134 | 154 | 152 |
| Potassium (mmol/L) | 3.6–4.8 | 5.6 | 5.5 | 4.0 | 3.9 |
| ALT (IU/L) | 21–72 | 85 | 69 | 174 | 108 |
| AST (IU/L) | 20–49 | 84 | 50 | 40 | 26 |
| ALP (IU/L) | 14–91 | 447 | 356 | 968 | 353 |
| GGT (IU/L) | 0–5 | <3 | <3 | <3 | <3 |
| Albumin (g/dL) | 3.4–4.3 | 3.3 | 3.1 | 3.3 | 3.7 |
| Globulin (g/dL) | 1.7–3.1 | 2.6 | 2.1 | 2.0 | 2.3 |
| Cholesterol (mg/dL) | 139–353 | 78 | 68 | 106 | 164 |
| Total Bilirubin (mg/dL) | 0.0–0.2 | 0.3 | 0.2 | <0.2 | <0.2 |
| Glucose (mg/dL) | 86–118 | 43 | 120 | 117 | 114 |
| Creatinine (mg/dL) | 0.8–1.5 | 0.8 | 0.6 | 0.6 | |
| Blood Urea Nitrogen (mg/dL) | 11–33 | 28 | 19 | 7 | 8 |
Disclaimer/Publisher’s Note: The statements, opinions and data contained in all publications are solely those of the individual author(s) and contributor(s) and not of MDPI and/or the editor(s). MDPI and/or the editor(s) disclaim responsibility for any injury to people or property resulting from any ideas, methods, instructions or products referred to in the content. |
© 2023 by the authors. Licensee MDPI, Basel, Switzerland. This article is an open access article distributed under the terms and conditions of the Creative Commons Attribution (CC BY) license (https://creativecommons.org/licenses/by/4.0/).
Share and Cite
Cohen, E.A.; Moeller, C.M.; Dear, J.D. Hypoadrenocorticism in a Dog Following Recovery from Alpha-Amanitin Intoxication. Vet. Sci. 2023, 10, 500. https://doi.org/10.3390/vetsci10080500
Cohen EA, Moeller CM, Dear JD. Hypoadrenocorticism in a Dog Following Recovery from Alpha-Amanitin Intoxication. Veterinary Sciences. 2023; 10(8):500. https://doi.org/10.3390/vetsci10080500
Chicago/Turabian StyleCohen, Emily A., Courtney M. Moeller, and Jonathan D. Dear. 2023. "Hypoadrenocorticism in a Dog Following Recovery from Alpha-Amanitin Intoxication" Veterinary Sciences 10, no. 8: 500. https://doi.org/10.3390/vetsci10080500
APA StyleCohen, E. A., Moeller, C. M., & Dear, J. D. (2023). Hypoadrenocorticism in a Dog Following Recovery from Alpha-Amanitin Intoxication. Veterinary Sciences, 10(8), 500. https://doi.org/10.3390/vetsci10080500

