Effectiveness Evaluation of Viti’s vinifera Leaf Extract on the Viability of Echinococcus Eggs and Protoscolices In Vitro
Abstract
Simple Summary
Abstract
1. Introduction
2. Materials and Methods
2.1. Preparation of Extract
2.2. Infrared Spectroscopy
2.3. Collection of Dog Fecal Samples and Isolation of Eggs
2.4. Determination of In Vitro Effects on Eggs
2.5. Collection of Protoscolices
2.6. Determination of In Vitro Effects on Protoscolices
2.7. Viability Test
2.8. Statistical Analysis
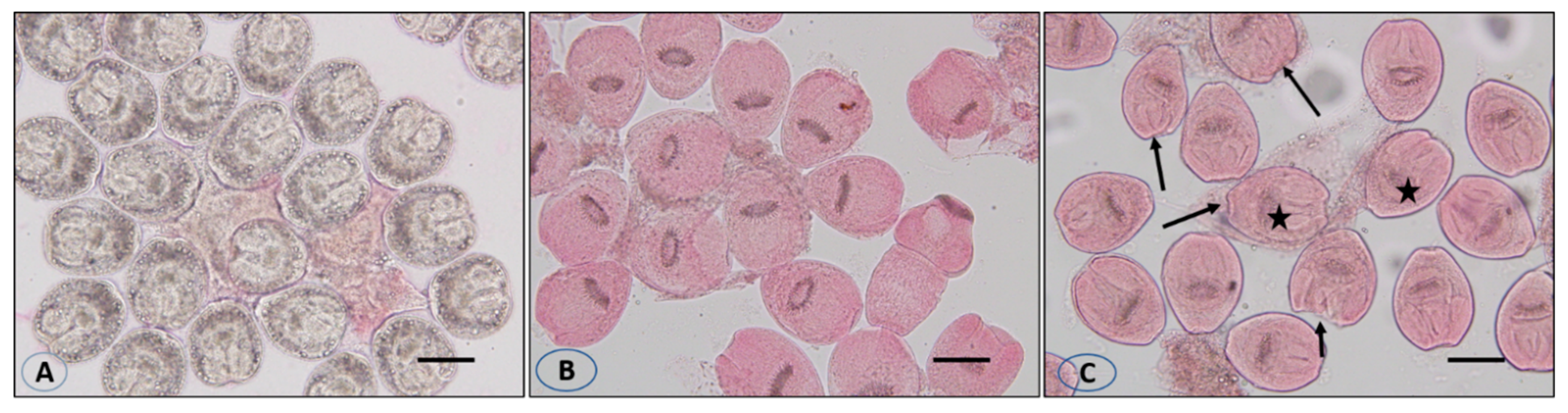
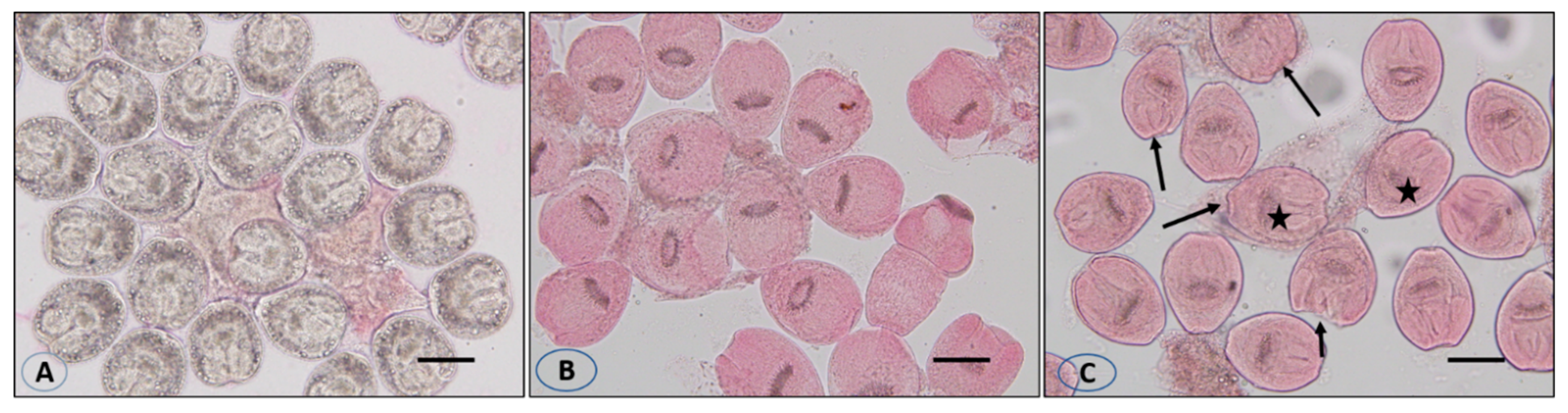
3. Results
4. Discussion
5. Conclusions
Author Contributions
Funding
Institutional Review Board Statement
Informed Consent Statement
Data Availability Statement
Conflicts of Interest
References
- Fasihi Harandi, M.; Budke, C.M.; Rostami, S. The monetary burden of cystic echinococcosis in Iran. PLOS Negl. Trop. Dis. 2012, 6, e1915. [Google Scholar] [CrossRef]
- Rakhshanpour, A.; Harandi, M.F.; Moazezi, S.; Rahimi, M.; Mohebali, M.; Mowlavi, G.; Babaei, Z.; Ariaeipour, M.; Heidari, Z.; Rokni, M. Seroprevalence of human hydatidosis using ELISA method in Qom Province, central iran. Iran. J. Parasitol. 2012, 7, 10. [Google Scholar] [PubMed]
- Carmena, D.; Sánchez-Serrano, L.; Barbero-Martínez, I. Echinococcus granulosus infection in Spain. Zoonoses Public Health 2008, 55, 156–165. [Google Scholar] [CrossRef]
- Gholami, S.; Rahimi-Esboei, B.; Ebrahimzadeh, M.; Pourhajibagher, M. In vitro effect of Sambucus ebulus on scolices of Hydatid cysts. Eur. Rev. Med. Pharmacol. Sci. 2013, 17, 1760–1765. [Google Scholar] [PubMed]
- Torgerson, P.; Budke, C. Echinococcosis—An international public health challenge. Res. Vet. Sci. 2003, 74, 191–202. [Google Scholar] [CrossRef] [PubMed]
- Eckert, J.; Deplazes, P. Biological, epidemiological, and clinical aspects of echinococcosis, a zoonosis of increasing concern. Clin. Microbiol. Rev. 2004, 17, 107–135. [Google Scholar] [CrossRef]
- Carmena, D.; Cardona, G.A. Echinococcosis in wild carnivorous species: Epidemiology, genotypic diversity, and implications for veterinary public health. Vet. Parasitol. 2014, 202, 69–94. [Google Scholar] [CrossRef]
- Lewall, D. Hydatid disease: Biology, pathology, imaging and classification. Clin. Radiol. 1998, 53, 863–874. [Google Scholar] [CrossRef]
- Mandal, S.; Mandal, M.D. Human cystic echinococcosis: Epidemiologic, zoonotic, clinical, diagnostic and therapeutic aspects. Asian Pac. J. Trop. Med. 2012, 5, 253–260. [Google Scholar] [CrossRef]
- McManus, D.P.; Zhang, W.; Li, J.; Bartley, P.B. Echinococcosis. Lancet 2003, 362, 1295–1304. [Google Scholar] [CrossRef]
- Brunetti, E.; Kern, P.; Vuitton, D.A. Expert consensus for the diagnosis and treatment of cystic and alveolar echinococcosis in humans. Acta Trop. 2010, 114, 1–16. [Google Scholar] [CrossRef] [PubMed]
- Kilicoglu, B.; Kismet, K.; Kilicoglu, S.S.; Erel, S.; Gencay, O.; Sorkun, K.; Erdemli, E.; Akhan, O.; Akkus, M.A.; Sayek, I. Effects of honey as a scolicidal agent on the hepatobiliary system. World J. Gastroenterol. WJG 2008, 14, 2085. [Google Scholar] [CrossRef]
- Rajabi, M.A. Fatal reactions and methaemoglobinaemia after silver nitrate irrigation of hydatid cyst. Surg. Pract. 2009, 13, 2–7. [Google Scholar] [CrossRef]
- Karaoğlanoğlu, M.; Akinci, Ö.F.; Ulukanligil, M.; Metin, M.R.; Çetin, H.; Çay, N. Hydatid cyst viability: The effect of scolicidal agents on the scolex in the daughter cyst. Turk. J. Med. Sci. 2011, 41, 1001–1006. [Google Scholar] [CrossRef]
- Adas, G.; Arikan, S.; Kemik, O.; Oner, A.; Sahip, N.; Karatepe, O. Use of albendazole sulfoxide, albendazole sulfone, and combined solutions as scolicidal agents on hydatid cysts (in vitro study). World J. Gastroenterol. WJG 2009, 15, 112. [Google Scholar] [CrossRef]
- Zibaei, M.; Sarlak, A.; Delfan, B.; Ezatpour, B.; Azargoon, A. Scolicidal effects of Olea europaea and Satureja khuzestanica extracts on protoscolices of hydatid cysts. Korean J. Parasitol. 2012, 50, 53. [Google Scholar] [CrossRef] [PubMed]
- Rocha, L.; Almeida, J.; Macedo, R.; Barbosa-Filho, J. A review of natural products with antileishmanial activity. Phytomedicine 2005, 12, 514–535. [Google Scholar] [CrossRef]
- Bombardelli, E.; Morazzoni, P.; Carini, M.; Aldini, G.; Maffei Facino, R. Biological activity of procyanidins from Vitis vinifera L. BioFactors 1997, 6, 429–431. [Google Scholar] [CrossRef]
- Kara, K.; Kocaoğlu Güçlü, B.; Baytok, E.; Şentürk, M. Effects of grape pomace supplementation to laying hen diet on performance, egg quality, egg lipid peroxidation and some biochemical parameters. J. Appl. Anim. Res. 2016, 44, 303–310. [Google Scholar] [CrossRef]
- Mansour, R.; Haouas, N.; Kahla-Nakbi, A.B.; Hammami, S.; Mighri, Z.; Mhenni, F.; Babba, H. The effect of Vitis vinifera L. leaves extract on Leishmania infantum. Iran. J. Pharm. Res. IJPR 2013, 12, 349. [Google Scholar]
- Waghorn, T.; Molan, A.; Deighton, M.; Alexander, R.; Leathwick, D.; McNabb, W.; Meagher, L. In vivo anthelmintic activity of Dorycnium rectum and grape seed extract against Ostertagia (Teladorsagia) circumcincta and Trichostrongylus colubriformis in sheep. N. Z. Vet. J. 2006, 54, 21–27. [Google Scholar] [CrossRef] [PubMed]
- Abbas, R.; Abbas, A.; Iqbal, Z.; Raza, M.; Hussain, K.; Ahmed, T.; Shafi, M. In vitro anticoccidial activity of Vitis vinifera extract on oocysts of different Eimeria species of broiler chicken. J. Hell. Vet. Med. Soc. 2020, 71, 2267–2272. [Google Scholar] [CrossRef]
- Smyth, J.; Barrett, N. Procedures for testing the viability of human hydatid cysts following surgical removal, especially after chemotherapy. Trans. R. Soc. Trop. Med. Hyg. 1980, 74, 649–652. [Google Scholar] [CrossRef] [PubMed]
- Moro, P.; Schantz, P.M. Echinococcosis: A review. Int. J. Infect. Dis. 2009, 13, 125–133. [Google Scholar] [CrossRef] [PubMed]
- Schweiger, A.; Ammann, R.W.; Candinas, D.; Clavien, P.-A.; Eckert, J.; Gottstein, B.; Halkic, N.; Muellhaupt, B.; Prinz, B.M.; Reichen, J. Human alveolar echinococcosis after fox population increase, Switzerland. Emerg. Infect. Dis. 2007, 13, 878. [Google Scholar] [CrossRef]
- Torgerson, P.R.; Schweiger, A.; Deplazes, P.; Pohar, M.; Reichen, J.; Ammann, R.W.; Tarr, P.E.; Halkik, N.; Müllhaupt, B. Alveolar echinococcosis: From a deadly disease to a well-controlled infection. Relative survival and economic analysis in Switzerland over the last 35 years. J. Hepatol. 2008, 49, 72–77. [Google Scholar] [CrossRef]
- Moro, P.; Schantz, P. Echinococcosis: Historical landmarks and progress in research and control. Ann. Trop. Med. Parasitol. 2006, 100, 703–714. [Google Scholar] [CrossRef]
- Haghani, A.; Roozitalab, A.; Safi, S.N. Low scolicidal effect of Ocimum bacilicum and Allium cepa on protoccoleces of hydatid cyst: An in vitro study. Comp. Clin. Pathol. 2014, 23, 847–853. [Google Scholar] [CrossRef]
- Barzinji, A.K.R.; Mothana, R.A.; Nasher, A.K. Effect of leaf extracts of Dendrosicyos socotrana and Jatropha unicostata on the viability of Echinococcus granulosus protoscoleces. EurAsian J. BioSci. 2009, 3, 122–129. [Google Scholar] [CrossRef]
- Yıgıt, D.; Yıgıt, N.; Mavı, A.; Yıldırım, A.; Güleryüz, M. Antioxidant and antimicrobial activities of methanol and water extracts of fruits, leaves and seeds of Vitis vinifera L. cv. Karaerik. Asian J. Chem. 2009, 21, 183–194. [Google Scholar]
- Chand, N.; Ali, P.; Alhidary, I.A.; Abdelrahman, M.A.; Albadani, H.; Khan, M.A.; Seidavi, A.; Laudadio, V.; Tufarelli, V.; Khan, R.U. Protective effect of grape (Vitis vinifera) seed powder and zinc-glycine complex on growth traits and gut health of broilers following Eimeria tenella challenge. Antibiotics 2021, 10, 186. [Google Scholar] [CrossRef]
- Sharifi-Rad, J.; Hoseini-Alfatemi, S.M.; Sharifi-Rad, M.; da Silva, J.A.T.; Rokni, M.; Sharifi-Rad, M. Evaluation of biological activity and phenolic compounds of Cardaria draba (L.) extracts. J. Biol. Today’s World 2015, 4, 180–189. [Google Scholar] [CrossRef]
- Mahmoudvand, H.; Ezatpour, B.; Rashidipour, M.; Mirbadie, S.R.; Mahmoudvand, H. Evaluation of the scolicidal effects of Nectaroscordum tripedale extract and its acute toxicity in mice model. Pharm. Sci. 2016, 29, 2125–2128. [Google Scholar]
- Niazi, M.; Saki, M.; Sepahvand, M.; Jahanbakhsh, S.; Khatami, M.; Beyranvand, M. In vitro and ex vivo scolicidal effects of Olea europaea L. to inactivate the protoscolecs during hydatid cyst surgery. Ann. Med. Surg. 2019, 42, 7–10. [Google Scholar] [CrossRef] [PubMed]
- Di Rocco, G.; Baldari, S.; Pani, G.; Toietta, G. Stem cells under the influence of alcohol: Effects of ethanol consumption on stem/progenitor cells. Cell. Mol. Life Sci. 2019, 76, 231–244. [Google Scholar] [CrossRef]
- Felicio, J.D.; Santos, R.D.S.; Gonçalez, E. Chemical constituents from Vitis vinifera (Vitaceae). Arq. Inst. Biol. 2001, 68, 47–50. [Google Scholar]












| Absorption (cm−1) | Appearance | Transmittance (%) | Groups | Compound Class |
|---|---|---|---|---|
| 3425.5 | Medium | 12 | N-H stretch | Aliphatic primary amine |
| 2093.1 | Strong | 47 | N=C=S stretch | Isothiocyanate |
| 1641.4 | Strong | 25 | C=C stretch | Alkene |
| 1209.1 | Strong | 37 | C-O stretching tertiary | Alcohol |
| 1045.6 | Strong broad | 35 | CO-O-CO stretch | Anhydride |
| 410.4 | Strong | 3 | C-H bend | 1,2-disubtituted |
Disclaimer/Publisher’s Note: The statements, opinions and data contained in all publications are solely those of the individual author(s) and contributor(s) and not of MDPI and/or the editor(s). MDPI and/or the editor(s) disclaim responsibility for any injury to people or property resulting from any ideas, methods, instructions or products referred to in the content. |
© 2023 by the authors. Licensee MDPI, Basel, Switzerland. This article is an open access article distributed under the terms and conditions of the Creative Commons Attribution (CC BY) license (https://creativecommons.org/licenses/by/4.0/).
Share and Cite
Mares, M.M.; Al-Quraishy, S.; Murshed, M. Effectiveness Evaluation of Viti’s vinifera Leaf Extract on the Viability of Echinococcus Eggs and Protoscolices In Vitro. Vet. Sci. 2023, 10, 400. https://doi.org/10.3390/vetsci10060400
Mares MM, Al-Quraishy S, Murshed M. Effectiveness Evaluation of Viti’s vinifera Leaf Extract on the Viability of Echinococcus Eggs and Protoscolices In Vitro. Veterinary Sciences. 2023; 10(6):400. https://doi.org/10.3390/vetsci10060400
Chicago/Turabian StyleMares, Mohammed M., Saleh Al-Quraishy, and Mutee Murshed. 2023. "Effectiveness Evaluation of Viti’s vinifera Leaf Extract on the Viability of Echinococcus Eggs and Protoscolices In Vitro" Veterinary Sciences 10, no. 6: 400. https://doi.org/10.3390/vetsci10060400
APA StyleMares, M. M., Al-Quraishy, S., & Murshed, M. (2023). Effectiveness Evaluation of Viti’s vinifera Leaf Extract on the Viability of Echinococcus Eggs and Protoscolices In Vitro. Veterinary Sciences, 10(6), 400. https://doi.org/10.3390/vetsci10060400

