Gadolinium Neutron Capture Therapy for Cats and Dogs with Spontaneous Tumors Using Gd-DTPA
Abstract
Simple Summary
Abstract
1. Introduction
2. Materials and Methods
3. Results
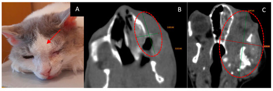
3.1. Female Cat “Ayuta”
- Age: 11 years.
- Symptoms: worsening of nasal breathing and nasal discharge.
- Tumor localization: right nasopharyngeal area. The nasopharyngeal tumor was visualized using CT.
- Treatment other than GdNCT (surgery, radiation, or chemotherapy): none.
- Final pathological diagnosis: highly differentiated adenocarcinoma of the nasal mucosa.
- The course of the disease after GdNCT: during follow-up, the overall condition was satisfactory, and nasal breathing improved. At the examination, the visible part of the tumor decreased in size. A CT scan performed 3 months after GdNCT revealed no significant changes compared to the pretreatment visualization (Figure 1).
3.2. Male Dog “John”
- Age: 14 years.
- Symptoms: impaired nasal breathing and nasal discharge.
- Localization and size of the tumor: nasal area; according to CT, the tumor size was 32 × 39 × 47 mm.
- Treatment other than GdNCT: surgical removal of the nasal tumor, twice.
- Final pathological diagnosis: chondrosarcoma.
- The course of the disease after GdNCT: after one month of follow-up observation, the overall condition was satisfactory. However, starting from the second month, a gradual deterioration of the condition, nasal bleeding, difficulty in breathing, and decreased appetite were noted (Figure 2).
3.3. Male Cat “Sausage”
- Age: 6 years.
- Symptoms: impaired nasal breathing and nasal discharge.
- Tumor localization and size: left nasal area with bone destruction and regional lymphadenopathy. According to the CT scan, the tumor size was 33 × 26 × 26 mm.
- Treatment other than GdNCT: standard X-ray radiotherapy with doses of 35.4 Gy for the tumor (6 sessions) and 30 Gy for the lymph nodes (6 sessions). The outcome of that treatment was tumor recurrence.
- Pathological diagnosis: squamous cell carcinoma.
- The course of the disease after GdNCT: after irradiation, the animal was lethargic and had facial edema and a necrotic area (circled in the photo) with exudate. Two months after GdNCT, there were signs of tumor recurrence in the back of the nose, upper jaw, and corner of the eye (Figure 3).
3.4. Male Cat “Lev”
- Age: 11 years.
- Symptoms: gingival swelling and ulceration, bleeding, decreased appetite, regional lymphadenopathy, and lacrimation from the right eye.
- Tumor localization and size: oral cavity, upper jaw on the right side, with metastasis to the submandibular lymph node. Based on a head CT, the tumor size was 25 × 40 × 15 mm.
- Treatment other than GdNCT: none.
- Pathological diagnosis: highly differentiated squamous cell carcinoma.
- The course of the disease after GdNCT: the animal’s condition and appetite after GdNCT were normal, and there was a visual reduction in tumor size during the early observation period. There was no discharge. After irradiation, the eye continued to tear. Twenty-three days after GdNCT, the condition worsened. The tumor began to disintegrate, the gum was covered with bloody ulcers, and holes appeared in the cavity; the cat also experienced spittle vomiting and black liquid stools, a decrease in appetite, and would rub the tumor site. After 42 days of treatment, the tumor had not become visually smaller, the gum was bleeding, the animal’s appetite was not quite stable, and constant use of analgesics was necessary. Three months after GdNCT, active tumor progression was found at the examination (Figure 4).
3.5. Female Dog “Lily”
- Age: 13 years.
- Tumor localization and size: basal neoplasm of the middle lobe of the right lung with involvement of the cranial and caudal lobes and single metastases to the lungs and regional lymph nodes. According to the CT scan, the tumor size was 33 × 35 × 42 mm.
- Treatment other than GdNCT: none.
- Pathological examination was not done.
- The course of the disease after GdNCT: general improvement, breathing recovery, and right lung excursions one month after treatment. Activity and appetite improved. According to the CT scan, 2 months after GDNCT, the mass decreased in size to 32 × 38 × 36 mm (Figure 5).
3.6. Female Cat “Marusya”
- Age: 10 years.
- Symptoms, localization, and size of the tumor: soft tissue mass in the upper jaw on the left side with invasion into the nasal cavity and left orbital space. Destruction of the upper jaw bone. According to the CT scan, the tumor size was 16 × 31 mm.
- Treatment other than GdNCT: none.
- Pathological diagnosis: squamous cell carcinoma.
- The course of the disease after GdNCT: the cat’s appetite improved, their eye was open a little, and their activity was unchanged. Sneezing disappeared after irradiation but then resumed at a lower frequency than before irradiation; grunting sounds (which were present before irradiation) also disappeared. The overall condition improved. One month after GdNCT, the condition worsened, with the tumor size increasing to 38 × 59 mm, according to CT. The condition further deteriorated, and subsequently, the animal died (Figure 6).
3.7. Male Cat “Semyon”
- Age: 6 years.
- Localization and size of the tumor: right femur and iliac bone; according to a CT scan, the tumor was 34 × 32 × 37 mm in size.
- Treatment except for GdNCT: four courses of chemotherapy.
- Pathological diagnosis: osteogenic sarcoma.
- The course of the disease after GdNCT: on the tenth day after NCT, the animal was eating, drinking, and feeling well. A CT scan three months after irradiation revealed an increase in the tumor size to 58 × 38 × 46 mm (Figure 7).
4. Discussion
5. Conclusions
Author Contributions
Funding
Institutional Review Board Statement
Informed Consent Statement
Data Availability Statement
Acknowledgments
Conflicts of Interest
References
- Sauerwein, W.A.G.; Wittig, A.; Moss, R.; Nakagawa, Y. Neutron Capture Therapy. Principles and Applications; Springer: Berlin/Heidelberg, Germany, 2012; ISBN 978-3-642-31334-9. [Google Scholar]
- Barth, R.F.; Zhang, Z.; Liu, T. A realistic appraisal of boron neutron capture therapy as a cancer treatment modality. Cancer Commun. 2018, 38, 36. [Google Scholar] [CrossRef]
- Dymova, M.A.; Taskaev, S.Y.; Richter, V.A.; Kuligina, E.V. Boron neutron capture therapy: Current status and future perspectives. Cancer Commun. 2020, 40, 406–421. [Google Scholar] [CrossRef]
- Stella Pharma News. Available online: https://stella-pharma.co.jp/en/blog/1351/ (accessed on 19 February 2023).
- Sumitomo Heavy Industries. BNCT System NeuCure®. Available online: https://www.shi.co.jp/industrial/en/product/medical/bnct/neucure.html (accessed on 19 February 2023).
- Brugger, R.M.; Shih, J.A. Evaluation of gadolinium-157 as a neutron therapy agent. Strahlenther. Onkologie. 1989, 165, 153–156. [Google Scholar]
- Taskaeva, I.; Kasatova, A.; Surodin, D.; Bgatova, N.; Taskaev, S. Study of Lithium Biodistribution and Nephrotoxicity in Skin Melanoma Mice Model: The First Step towards Implementing Lithium Neutron Capture Therapy. Life 2023, 13, 518. [Google Scholar] [CrossRef]
- Fukuda, H.; Hiratsuka, J.; Kobayashi, T.; Sakurai, Y.; Yoshino, K.; Karashima, H.; Turu, K.; Araki, K.; Mishima, Y.; Ichihashi, M. Boron neutron capture therapy (BNCT) for malignant melanoma with special reference to absorbed doses to the normal skin and tumor. Australas. Phys. Eng. Sci. Med. 2003, 26, 97–103. [Google Scholar] [CrossRef] [PubMed]
- Kato, I.; Ono, K.; Sakurai, Y.; Ohmae, M.; Maruhashi, A.; Imahori, Y.; Kirihata, M.; Nakazawa, M.; Yura, Y. Effectiveness of boron neutron capture therapy for recurrent head and neck malignancies. Appl. Radiat. Isot. 2004, 61, 1069–1073. [Google Scholar] [CrossRef]
- Wittig, A.; Malago, M.; Collette, L.; Huiskamp, R.; Bührmann, S.; Nievaart, V.; Kaiser, G.M.; Jöckel, K.H.; Schmid, K.W.; Ortmann, U.; et al. Uptake of two 10B-compounds in liver metastases of colorectal adenocarcinoma for extracorporeal irradiation with boron neutron capture therapy (EORTC Trial 11001). Int. J. Cancer 2008, 122, 1164–1171. [Google Scholar] [CrossRef] [PubMed]
- Yamamoto, T.; Nakai, K.; Tsurubuchi, T.; Matsuda, M.; Shirakawa, M.; Zaboronok, A.; Endo, K.; Matsumura, A. Boron neutron capture therapy for newly diagnosed glioblastoma: A pilot study in Tsukuba. Appl. Radiat. Isot. 2009, 67 (Suppl. 7–8), S25–S26. [Google Scholar] [CrossRef]
- Kankaanranta, L.; Seppälä, T.; Koivunoro, H.; Saarilahti, K.; Atula, T.; Collan, J.; Salli, E.; Kortesniemi, M.; Uusi-Simola, J.; Välimäki, P.; et al. Boron neutron capture therapy in the treatment of locally recurred head-and-neck cancer: Final analysis of a phase I/II trial. Int. J. Radiat. Oncol. Biol. Phys. 2012, 1, e67–e75. [Google Scholar] [CrossRef]
- Miyatake, S.; Kawabata, S.; Hiramatsu, R.; Kuroiwa, T.; Suzuki, M.; Kondo, N.; Ono, K. Boron Neutron Capture Therapy for Malignant Brain Tumors. Neurol. Med. Chir. 2016, 56, 361–371. [Google Scholar] [CrossRef]
- Wang, S.; Zhang, Z.; Miao, L.; Li, Y. Boron Neutron Capture Therapy: Current Status and Challenges. Front. Oncol. 2022, 12, 788770. [Google Scholar] [CrossRef]
- Information on Gadolinium-Based Contrast Agents. Available online: https://www.fda.gov/drugs/postmarket-drug-safety-information-patients-and-providers/information-gadolinium-based-contrast-agents (accessed on 19 February 2023).
- FDA-Approved Drugs. Approval Date(s) and History, Letters, Labels, Reviews for NDA 021037. Available online: https://www.accessdata.fda.gov/scripts/cder/daf/index.cfm?event=overview.process&ApplNo=021037 (accessed on 19 February 2023).
- Center for Drug Evaluation and Research. NDA 21037 Magnevist Approval Letter. Available online: https://www.accessdata.fda.gov/drugsatfda_docs/nda/2000/21037_Magnevist.pdf (accessed on 19 February 2023).
- Schörner, W.; Laniado, M.; Felix, R. Erster klinischer Einsatz von Gadolinium-DTPA in der kernspintomographischen Darstellung einer parapelvinen Nierenzyste [1st clinical use of gadolinium-DTPA in the nuclear magnetic resonance tomography visualization of a parapelvic kidney cyst]. Rofo 1984, 141, 227–228. (In German) [Google Scholar] [CrossRef] [PubMed]
- Runge, V.M. Gd-DTPA: An i.v. contrast agent for clinical MRI. Int. J. Rad. Appl. Instrum. B 1988, 15, 37–44. [Google Scholar] [CrossRef]
- Niendorf, H.P.; Haustein, J.; Louton, T.; Beck, W.; Laniado, M. Safety and tolerance after intravenous administration of 0.3 mmol/kg Gd-DTPA. Results of a randomized, controlled clinical trial. Investig. Radiol. 1991, 26 (Suppl. 1), S221–S223, discussion S232–S235. [Google Scholar] [CrossRef]
- Shih, J.L.; Brugger, R.M. Gadolinium as a neutron capture therapy agent. Med. Phys. 1992, 19, 733–744. [Google Scholar] [CrossRef] [PubMed]
- Akine, Y.; Tokita, N.; Tokuuye, K.; Satoh, M.; Churei, H.; Le, P.; Kobayashi, T.; Kanda, K. Suppression of Rabbit VX-2 Subcutaneous Tumor Growth by Gadolinium Neutron Capture Therapy. Jpn. J. Cancer Res. 1993, 84, 841–843. [Google Scholar] [CrossRef]
- De Stasio, G.; Casalbore, P.; Pallini, R.; Gilbert, B.; Sanità, F.; Ciotti, M.T.; Rosi, G.; Festinesi, A.; Larocca, L.M.; Rinelli, A.; et al. Gadolinium in human glioblastoma cells for gadolinium neutron capture therapy. Cancer Res. 2001, 61, 4272–4277. [Google Scholar]
- De Stasio, G.; Rajesh, D.; Casalbore, P.; Daniels, M.J.; Erhardt, R.J.; Frazer, B.H.; Wiese, L.M.; Richter, K.L.; Sonderegger, B.R.; Gilbert, B.; et al. Are gadolinium contrast agents suitable for gadolinium neutron capture therapy? Neurol. Res. 2005, 27, 387–398. [Google Scholar] [CrossRef] [PubMed]
- Le, U.M.; Cui, Z. Biodistribution and tumor-accumulation of gadolinium (Gd) encapsulated in long-circulating liposomes in tumor-bearing mice for potential neutron capture therapy. Int. J. Pharm. 2006, 320, 96–103. [Google Scholar] [CrossRef] [PubMed]
- Yasui, L.S.; Andorf, C.; Schneider, L.; Kroc, T.; Lennox, A.; Saroja, K.R. Gadolinium neutron capture in glioblastoma multiforme cells. Int. J. Radiat. Biol. 2008, 84, 1130–1139. [Google Scholar] [CrossRef]
- Fujimoto, T.; Ichikawa, H.; Akisue, T.; Fujita, I.; Kishimoto, K.; Hara, H.; Imabori, M.; Kawamitsu, H.; Sharma, P.; Brown, S.C.; et al. Accumulation of MRI contrast agents in malignant fibrous histiocytoma for gadolinium neutron capture therapy. Appl. Radiat. Isot. 2009, 67 (Suppl. 7–8), S355–S358. [Google Scholar] [CrossRef]
- Yasui, L.; Owens, K. Necrosis is not induced by gadolinium neutron capture in glioblastoma multiforme cells. Int. J. Radiat. Biol. 2012, 88, 980–990. [Google Scholar] [CrossRef]
- Ichikawa, H.; Uneme, T.; Andoh, T.; Arita, Y.; Fujimoto, T.; Suzuki, M.; Sakurai, Y.; Shinto, H.; Fukasawa, T.; Fujii, F.; et al. Gadolinium-loaded chitosan nanoparticles for neutron-capture therapy: Influence of micrometric properties of the nanoparticles on tumor-killing effect. Appl. Radiat. Isot. 2014, 88, 109–113. [Google Scholar] [CrossRef]
- Kato, I.; Fujita, Y.; Maruhashi, A.; Kumada, H.; Ohmae, M.; Kirihata, M.; Imahori, Y.; Suzuki, M.; Sakrai, Y.; Sumi, T.; et al. Effectiveness of boron neutron capture therapy for recurrent head and neck malignancies. Appl. Radiat. Isot. 2009, 67 (Suppl. 7–8), S37–S42. [Google Scholar] [CrossRef] [PubMed]
- Wang, L.W.; Chen, Y.W.; Ho, C.Y.; Hsueh Liu, Y.W.; Chou, F.I.; Liu, Y.H.; Liu, H.M.; Peir, J.J.; Jiang, S.H.; Chang, C.W.; et al. Fractionated BNCT for locally recurrent head and neck cancer: Experience from a phase I/II clinical trial at Tsing Hua Open-Pool Reactor. Appl. Radiat. Isot. 2014, 88, 23–27. [Google Scholar] [CrossRef] [PubMed]
- Kawabata, S.; Suzuki, M.; Hirose, K.; Tanaka, H.; Kato, T.; Goto, H.; Narita, Y.; Miyatake, S.I. Accelerator-based BNCT for patients with recurrent glioblastoma: A multicenter phase II study. Neuro-Oncol. Adv. 2021, 3, vdab067. [Google Scholar] [CrossRef] [PubMed]
- Kondo, N.; Masutani, M.; Imamichi, S.; Matsumoto, Y.; Nakai, K. Strategies for Preclinical Studies Evaluating the Biological Effects of an Accelerator-Based Boron Neutron Capture Therapy System. Cancer Biother. Radiopharm 2022. Published online ahead of print. [Google Scholar] [CrossRef] [PubMed]
- Wang, L.W.; Liu, Y.H.; Chou, F.I.; Jiang, S.H. Clinical trials for treating recurrent head and neck cancer with boron neutron capture therapy using the Tsing-Hua Open Pool Reactor. Cancer Commun. 2018, 38, 37. [Google Scholar] [CrossRef]
- Blaumann, H.R.; González, S.J.; Longhino, J.; Santa Cruz, G.A.; Calzetta Larrieu, O.A.; Bonomi, M.R.; Roth, B.M. Boron neutron capture therapy of skin melanomas at the RA-6 reactor: A procedural approach to beam set up and performance evaluation for upcoming clinical trials. Med. Phys. 2004, 31, 70–80. [Google Scholar] [CrossRef]
- Schwint, A.E.; Monti Hughes, A.; Garabalino, M.A.; Santa Cruz, G.A.; González, S.J.; Longhino, J.; Provenzano, L.; Oña, P.; Rao, M.; Cantarelli, M.d.l.Á.; et al. Clinical Veterinary Boron Neutron Capture Therapy (BNCT) Studies in Dogs with Head and Neck Cancer: Bridging the Gap between Translational and Clinical Studies. Biology 2020, 9, 327. [Google Scholar] [CrossRef]
- Yong, Z.; Song, Z.; Zhou, Y.; Liu, T.; Zhang, Z.; Zhao, Y.; Chen, Y.; Jin, C.; Chen, X.; Lu, J.; et al. Boron neutron capture therapy for malignant melanoma: First clinical case report in China. Chin. J. Cancer Res. 2016, 28, 634–640. [Google Scholar] [CrossRef] [PubMed]
- Tsurubuchi, T.; Shirakawa, M.; Kurosawa, W.; Matsumoto, K.; Ubagai, R.; Umishio, H.; Suga, Y.; Yamazaki, J.; Arakawa, A.; Maruyama, Y.; et al. Evaluation of a Novel Boron-Containing α-d-Mannopyranoside for BNCT. Cells 2020, 9, 1277. [Google Scholar] [CrossRef]
- Seo, I.H.; Lee, J.; Na, D.; Kyung, H.; Yang, J.; Lee, S.; Jeon, S.J.; Choi, J.W.; Lee, K.Y.; Yi, J.; et al. The Anti-Tumor Effect of Boron Neutron Capture Therapy in Glioblastoma Subcutaneous Xenograft Model Using the Proton Linear Accelerator-Based BNCT System in Korea. Life 2022, 12, 1264. [Google Scholar] [CrossRef]
- Porra, L.; Wendland, L.; Seppälä, T.; Koivunoro, H.; Revitzer, H.; Tervonen, J.; Kankaanranta, L.; Anttonen, A.; Tenhunen, M.; Joensuu, H. From Nuclear Reactor-Based to Proton Accelerator-Based Therapy: The Finnish Boron Neutron Capture Therapy Experience. Cancer Biother Radiopharm. 2022. Published online ahead of print. [Google Scholar] [CrossRef] [PubMed]
- Kanygin, V.V.; Kasatova, A.I.; Zavjalov, E.L.; Razumov, I.A.; Kolesnikov, S.I.; Kichigin, A.I.; Solovieva, O.I.; Tsygankova, A.R.; Taskaev, S.Y.; Kasatov, D.A.; et al. Effects of boron neutron capture therapy on the growth of subcutaneous xenografts of human colorectal adenocarcinoma SW-620 in immunodeficient mice. Bull. Exp. Biol. Med. 2021, 172, 356–361. [Google Scholar] [CrossRef]
- Bortolussi, S.; Liu, Y.H.; Porras, I. Boron Neutron Capture Therapy: From Nuclear Physics to Biomedicine. Biology 2021, 10, 370. [Google Scholar] [CrossRef]
- Cartelli, D.E.; Capoulat, M.E.; Baldo, M.; Sandín, J.C.S.; Igarzabal, M.; Grosso, M.F.D.; Valda, A.A.; Canepa, N.; Gun, M.; Minsky, D.M.; et al. Status of low-energy accelerator-based BNCT worldwide and in Argentina. Appl. Radiat. Isot. 2020, 166, 109315. [Google Scholar] [CrossRef] [PubMed]
- Zaboronok, A.; Khaptakhanova, P.; Uspenskii, S.; Bekarevich, R.; Mechetina, L.; Volkova, O.; Mathis, B.J.; Kanygin, V.; Ishikawa, E.; Kasatova, A.; et al. Polymer-Stabilized Elemental Boron Nanoparticles for Boron Neutron Capture Therapy: Initial Irradiation Experiments. Pharmaceutics 2022, 14, 761. [Google Scholar] [CrossRef]
- Zavjalov, E.; Zaboronok, A.; Kanygin, V.; Kasatova, A.; Kichigin, A.; Mukhamadiyarov, R.; Razumov, I.; Sycheva, T.; Mathis, B.J.; Maezono, S.E.B.; et al. Accelerator-based boron neutron capture therapy for malignant glioma: A pilot neutron irradiation study using boron phenylalanine, sodium borocaptate and liposomal borocaptate with a heterotopic U87 glioblastoma model in SCID mice. Int. J. Radiat. Biol. 2020, 96, 868–878. [Google Scholar] [CrossRef] [PubMed]
- Shirakawa, M.; Zaboronok, A.; Nakai, K.; Sato, Y.; Kayaki, S.; Sakai, T.; Tsurubuchi, T.; Yoshida, F.; Nishiyama, T.; Suzuki, M.; et al. A Novel Boron Lipid to Modify Liposomal Surfaces for Boron Neutron Capture Therapy. Cells 2021, 10, 3421. [Google Scholar] [CrossRef]
- Byvaltsev, V.A.; Zavyalov, E.L.; Kanygin, V.V.; Kasatova, A.I.; Kichigin, A.I.; Razumov, I.A.; Sycheva, T.V.; Taskaev, S.Y. Cytopathic effects of boron neutron capture therapy at an accelerating source of epithermal neutrons for the culture of human glioblastoma cells. Sib. J. Oncol. 2019, 4, 34–42. (In Russian) [Google Scholar] [CrossRef]
- Riccardo, F.; Aurisicchio, L.; Impellizeri, J.A.; Cavallo, F. The importance of comparative oncology in translational medicine. Cancer Immunol. Immunother. 2015, 64, 137–148. [Google Scholar] [CrossRef]
- Taskaev, S.; Kanygin, V.; Byvaltsev, V.; Zaboronok, A.; Volkova, O.; Mechetina, L.; Taranin, A.; Kichigin, A.; Iarullina, A.; Eliseenko, I.; et al. Opportunities for Using an Accelerator-Based Epithermal Neutron Source for Boron Neutron Capture Therapy. Biomedical. Eng. 2018, 52, 73–76. [Google Scholar] [CrossRef]
- Kanygin, V.; Kichigin, A.; Zaboronok, A.; Tsygankova, A.; Zavjalov, E.; Kasatova, A.; Taskaev, S.; Petrova, E.; Mathis, B.J. In vivo accelerator-based boron neutron capture therapy for spontaneous tumors in large animals: Case series. Biology 2022, 11, 138. [Google Scholar] [CrossRef]
- Kanygin, V.; Razumov, I.; Zaboronok, A.; Zavjalov, E.; Kichigin, A.; Solovieva, O.; Tsygankova, A.; Guselnikova, T.; Kasatov, D.; Sycheva, T.; et al. Dose-dependent suppression of human glioblastoma xenograft growth by accelerator-based boron neutron capture therapy with simultaneous use of two boron-containing compounds. Biology 2021, 10, 1124. [Google Scholar] [CrossRef] [PubMed]
- Martin, R.F.; D’Cunha, G.; Pardee, M.; Allen, B.J. Induction of DNA Double-Strand Breaks by 157Gd Neutron Capture. Pigment. Cell Res. 1989, 2, 330–332. [Google Scholar] [CrossRef] [PubMed]
- Laster, B.H.; Shani, G.; Kahl, S.B.; Warkentien, L. The Biological Effects of Auger Electrons Compared to α-Particles and Li Ions. Acta Oncol. 1996, 35, 917–923. [Google Scholar] [CrossRef]
- Cerullo, N.; Bufalino, D.; Daquino, G. Progress in the use of gadolinium for NCT. Appl. Radiat. Isot. 2009, 67, S157–S160. [Google Scholar] [CrossRef]
- Karpovich, N.I.; Wagner, A.R.; Bakhmetjeva, M.I.; Belyanin, M.L.; Savello, N.V.; Usov, V.Y. Quantitative planning of neutron capture therapy according to the kinetics of Gd (III) complexes in magnetic resonance imaging. Sib. Med. J. 2017, 32, 3. (In Russian) [Google Scholar] [CrossRef]
- Kenney, J.; Schmiedl, U.; Maravilla, K.; Starr, F.; Graham, M.; Spence, A.; Nelson, J. Measurement of blood-brain barrier permeability in a tumor model using magnetic resonance imaging with gadolinium-DTPA. Magn. Reson. Med. 1992, 27, 68–75. [Google Scholar] [CrossRef]
- Khokhlov, V.F.; Yashkin, P.N.; Silin, D.I.; Djorova, E.S.; Lawaczeck, R. Neutron Capture Therapy with Gd-DTPA in Tumor-Bearing Rats Cancer Neutron Capture Therapy; Springer: Boston, MA, USA, 1996. [Google Scholar]
- Matsumura, A.; Zhang, T.; Yamamoto, T.; Yishida, F.; Sakura, Y.; Shimojo, N.; Nose, T. In vivo gadolinium neutron capture therapy using a potentially effective compound (Gd-BOPTA). Anticancer. Res. 2003, 23, 2451–2456. [Google Scholar]
- Jung, K.-H.; Park, J.-A.; Kim, J.Y.; Kim, M.H.; Oh, S.; Kim, H.-K.; Choi, E.-J.; Kim, H.-J.; Do, S.H.; Lee, K.C.; et al. Image-Guided Neutron Capture Therapy Using the Gd-DO3A-BTA Complex as a New Combinatorial Treatment Approach. Contrast Media Mol. Imaging 2018, 2018, 3727109. [Google Scholar] [CrossRef] [PubMed]
- Mitin, V.N.; Kulakov, V.N.; Khokhlov, V.F.; Sheino, I.N.; Arnopolskaya, A.M.; Kozlovskaya, N.G.; Zaitsev, K.N.; Portnov, A.A. Comparison of BNCT and GdNCT efficacy in treatment of canine cancer. Appl. Radiat. Isot. 2009, 67, 299–301. [Google Scholar] [CrossRef] [PubMed]
- Verry, C.; Dufort, S.; Villa, J.; Gavard, M.; Iriart, C.; Grand, S.; Charles, J.; Chovelon, B.; Cracowski, J.L.; Quesada, J.L.; et al. Theranostic AGuIX nanoparticles as radiosensitizer: A phase I, dose-escalation study in patients with multiple brain metastases (NANO-RAD trial). Radiother Oncol. 2021, 160, 159–165. [Google Scholar] [CrossRef]
- Ho, S.L.; Choi, G.; Yue, H.; Kim, H.K.; Jung, K.H.; Park, J.A.; Kim, M.H.; Lee, Y.J.; Kim, J.Y.; Miao, X.; et al. In vivo neutron capture therapy of cancer using ultrasmall gadolinium oxide nanoparticles with cancer-targeting ability. RSC Adv. 2020, 10, 865–874. [Google Scholar] [CrossRef] [PubMed]
- Vitali, A.; Demichelis, M.P.; Di Martino, G.; Postuma, I.; Bortolussi, S.; Falqui, A.; Milanese, C.; Ferrara, C.; Sommi, P.; Anselmi-Tamburini, U. Synthesis and Characterization of Gd-Functionalized B4C Nanoparticles for BNCT Applications. Life 2023, 13, 429. [Google Scholar] [CrossRef]







| № | Type | Age, Years | Name | Localization of the Tumor | Pathological Diagnosis | Integral Current |
|---|---|---|---|---|---|---|
| 1 | cat | 11 | Ayuta | nasopharynx | highly differentiated adenocarcinoma | 4 |
| 2 | dog | 14 | John | nose | chondrosarcoma | 4.4 |
| 3 | cat | 6 | Sausage | nose with bone destruction, | squamous cell carcinoma | 2.2 |
| 4 | cat | 11 | Leva | gum and jaw lymphadenopathy | highly differentiated squamous cell carcinoma | 4.4 |
| 5 | dog | 13 | Lily | lung cancer, lung metastases | – | 3.4 |
| 6 | cat | 10 | Marusya | oral cavity, jaw | squamous cell carcinoma | 4 |
| 7 | cat | 7 | Semyon | femur and ilium | sarcoma | 4 |
Disclaimer/Publisher’s Note: The statements, opinions and data contained in all publications are solely those of the individual author(s) and contributor(s) and not of MDPI and/or the editor(s). MDPI and/or the editor(s) disclaim responsibility for any injury to people or property resulting from any ideas, methods, instructions or products referred to in the content. |
© 2023 by the authors. Licensee MDPI, Basel, Switzerland. This article is an open access article distributed under the terms and conditions of the Creative Commons Attribution (CC BY) license (https://creativecommons.org/licenses/by/4.0/).
Share and Cite
Kanygin, V.; Zaboronok, A.; Kichigin, A.; Petrova, E.; Guselnikova, T.; Kozlov, A.; Lukichev, D.; Mathis, B.J.; Taskaev, S. Gadolinium Neutron Capture Therapy for Cats and Dogs with Spontaneous Tumors Using Gd-DTPA. Vet. Sci. 2023, 10, 274. https://doi.org/10.3390/vetsci10040274
Kanygin V, Zaboronok A, Kichigin A, Petrova E, Guselnikova T, Kozlov A, Lukichev D, Mathis BJ, Taskaev S. Gadolinium Neutron Capture Therapy for Cats and Dogs with Spontaneous Tumors Using Gd-DTPA. Veterinary Sciences. 2023; 10(4):274. https://doi.org/10.3390/vetsci10040274
Chicago/Turabian StyleKanygin, Vladimir, Alexander Zaboronok, Aleksandr Kichigin, Elena Petrova, Tatyana Guselnikova, Andrey Kozlov, Dmitriy Lukichev, Bryan J. Mathis, and Sergey Taskaev. 2023. "Gadolinium Neutron Capture Therapy for Cats and Dogs with Spontaneous Tumors Using Gd-DTPA" Veterinary Sciences 10, no. 4: 274. https://doi.org/10.3390/vetsci10040274
APA StyleKanygin, V., Zaboronok, A., Kichigin, A., Petrova, E., Guselnikova, T., Kozlov, A., Lukichev, D., Mathis, B. J., & Taskaev, S. (2023). Gadolinium Neutron Capture Therapy for Cats and Dogs with Spontaneous Tumors Using Gd-DTPA. Veterinary Sciences, 10(4), 274. https://doi.org/10.3390/vetsci10040274

