Lectin Histochemistry of the Normal Feline Kidney
Abstract
Simple Summary
Abstract
1. Introduction
2. Materials and Methods
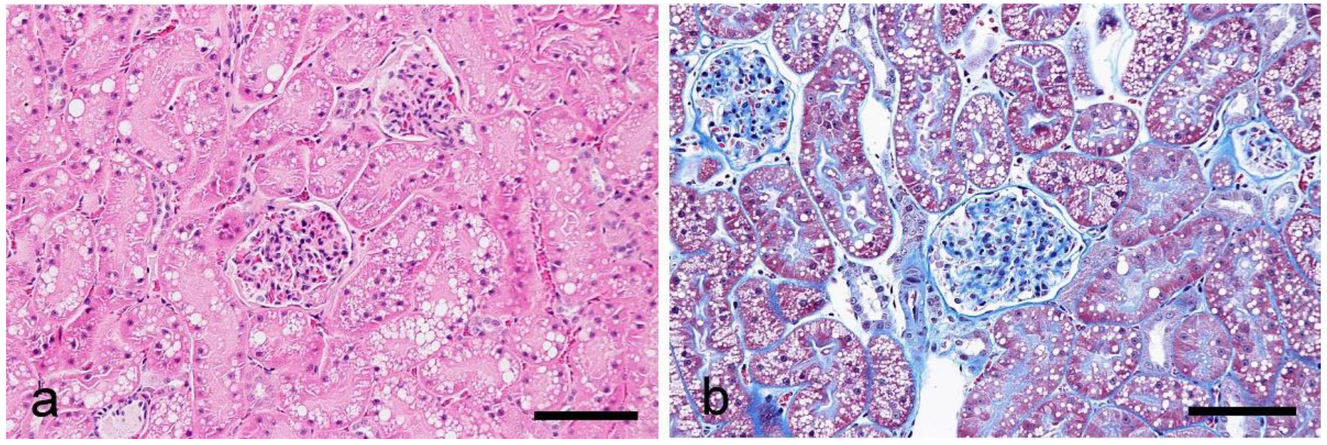
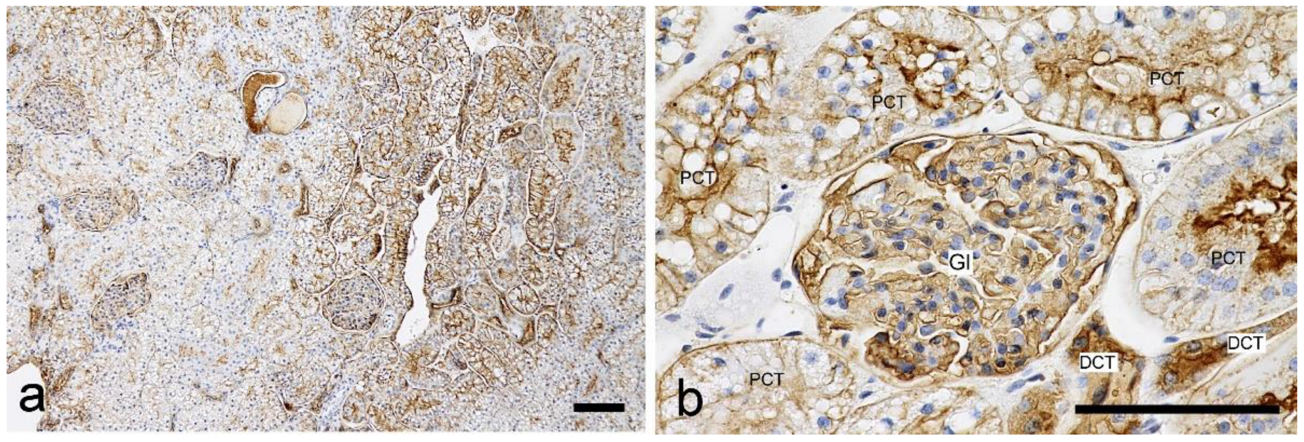
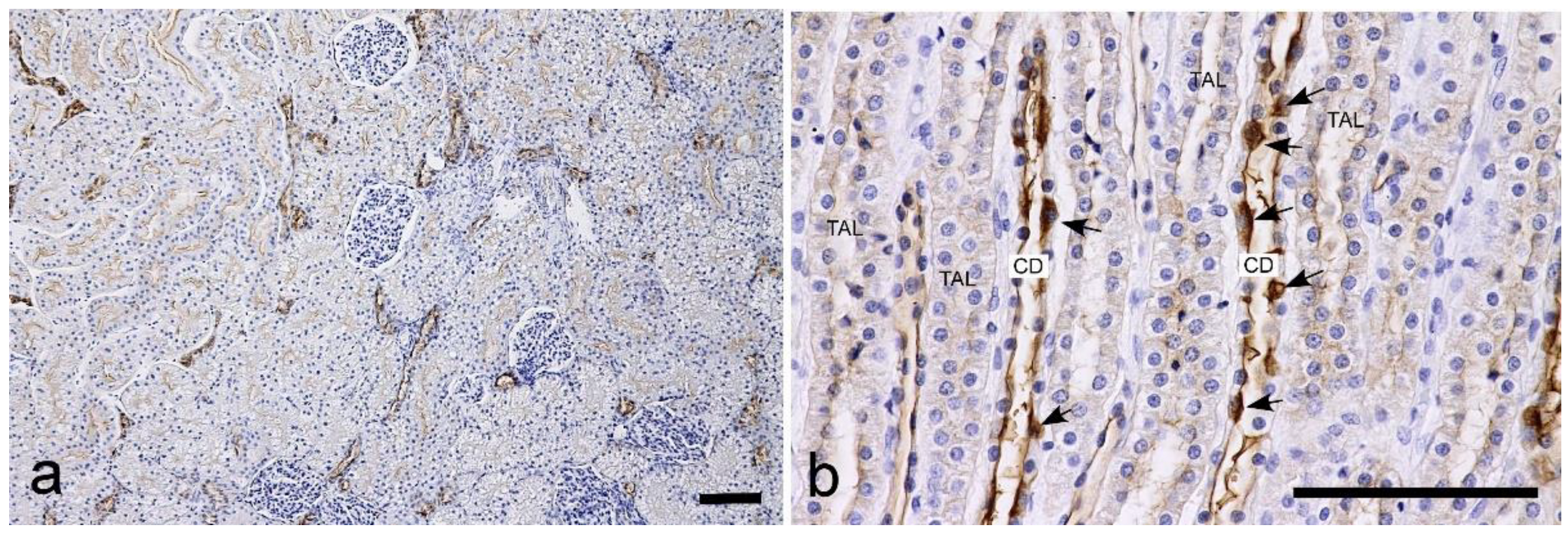
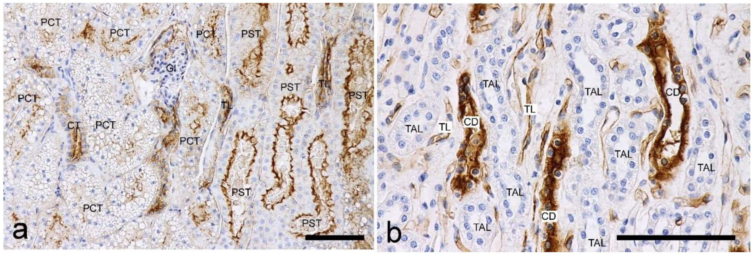
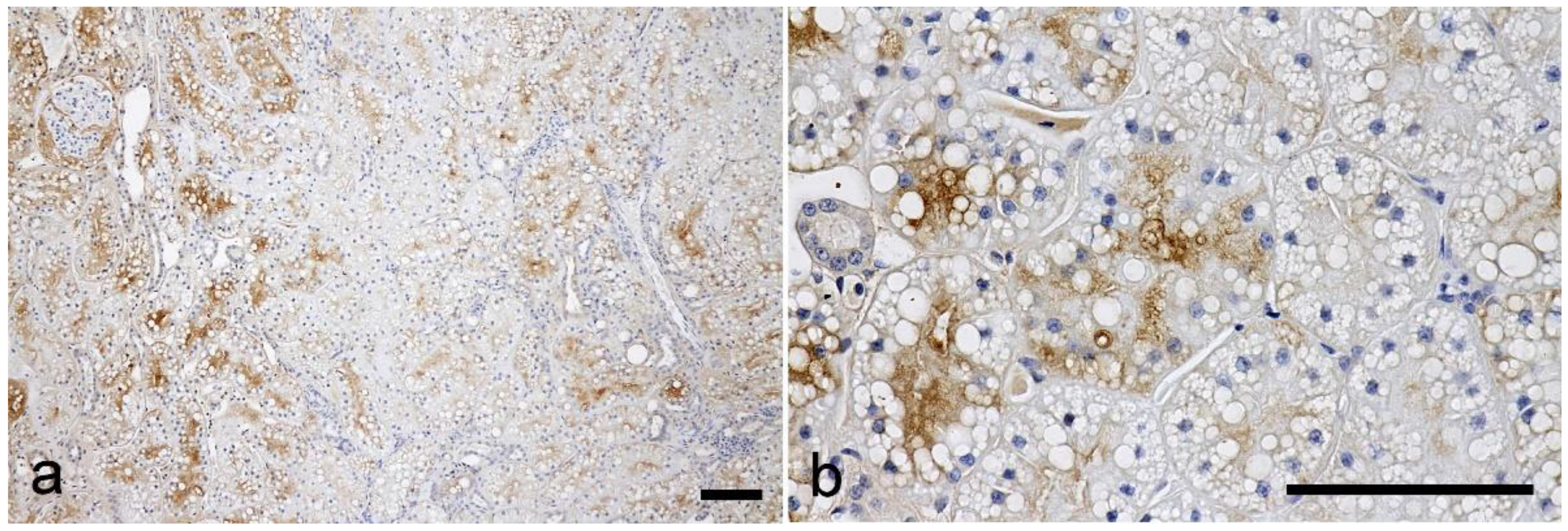
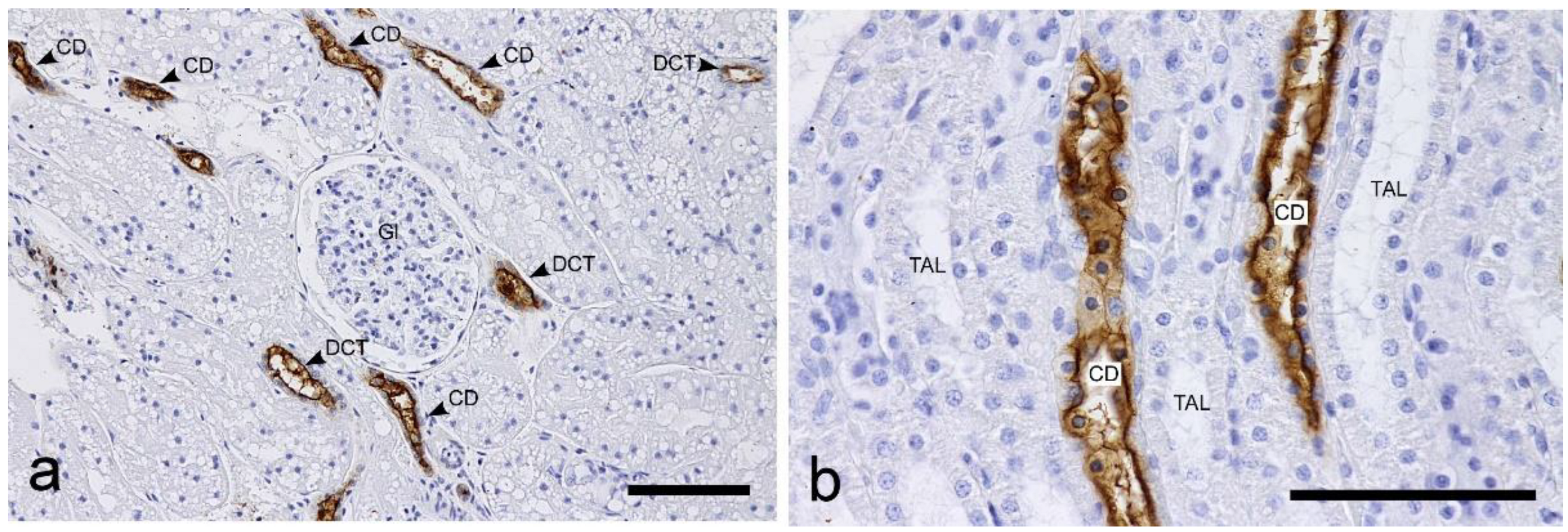
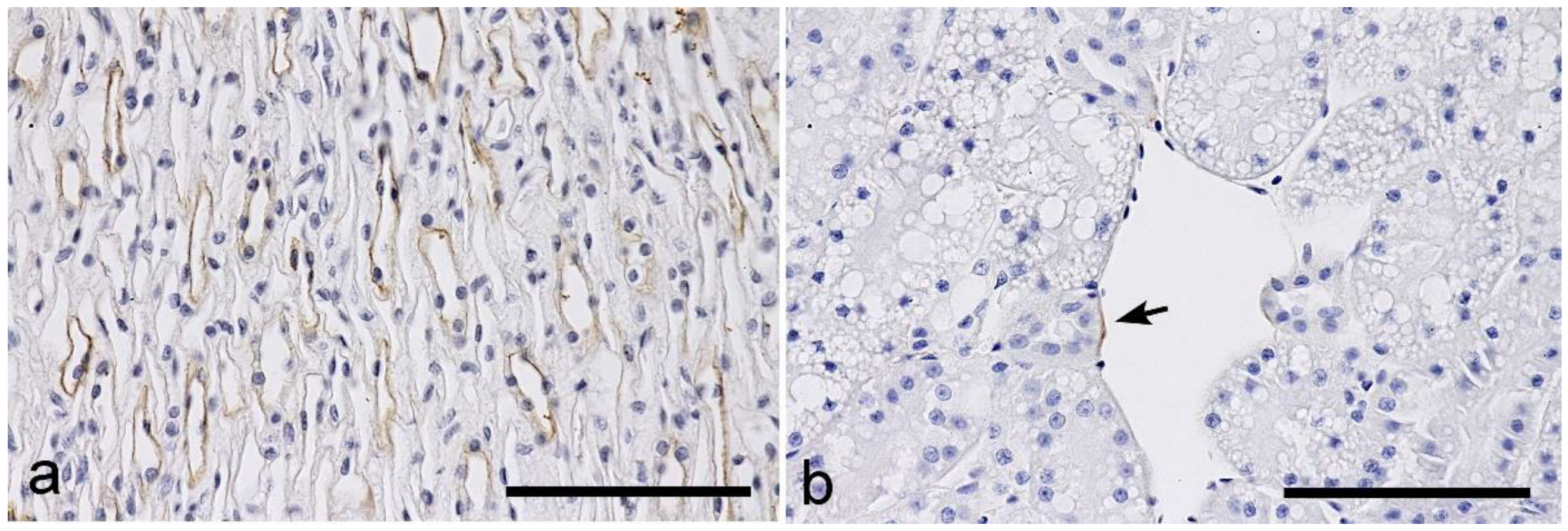
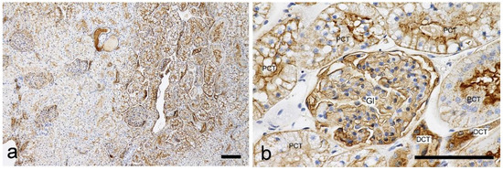
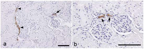
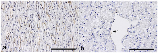
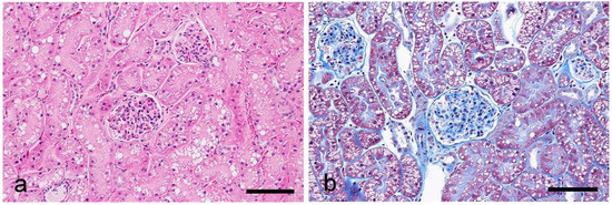
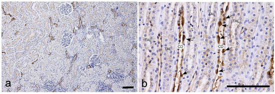
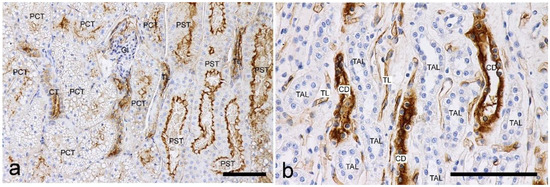
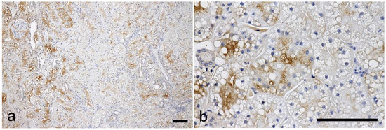
3. Results
4. Discussion
5. Conclusions
Author Contributions
Funding
Institutional Review Board Statement
Informed Consent Statement
Data Availability Statement
Acknowledgments
Conflicts of Interest
References
- Goldstein, I.J.; Hughes, R.C.; Monsigny, M.; Osawa, T.; Sharon, N. What Should Be Called a Lectin? Nature 1980, 285, 66. [Google Scholar] [CrossRef]
- Roth, J. Protein Glycosylation in the Endoplasmic Reticulum and the Golgi Apparatus and Cell Type-Specificity of Cell Surface Glycoconjugate Expression: Analysis by the Protein A-Gold and Lectin-Gold Techniques. Histochem. Cell Biol. 1996, 106, 79–92. [Google Scholar] [CrossRef]
- Hennigar, R.A.; Schulte, B.A.; Spicer, S.S. Heterogeneous Distribution of Glycoconjugates in Human Kidney Tubules. Anat. Rec. 1985, 211, 376–390. [Google Scholar] [CrossRef] [PubMed]
- Spicer, S.S.; Schulte, B.A. Diversity of Cell Glycoconjugates Shown Histochemically: A Perspective. J. Histochem. Cytochem. 1992, 40, 1–38. [Google Scholar] [CrossRef] [PubMed]
- Truong, L.D.; Phung, V.T.; Yoshikawa, Y.; Mattioli, C.A. Glycoconjugates in Normal Human Kidney. A Histochemical Study Using 13 Biotinylated Lectins. Histochemistry 1988, 90, 51–60. [Google Scholar] [CrossRef] [PubMed]
- Faraggiana, T.; Malchiodi, F.; Prado, A.; Churg, J. Lectin-Peroxidase Conjugate Reactivity in Normal Human Kidney. J. Histochem. Cytochem. 1982, 30, 451–458. [Google Scholar] [CrossRef] [PubMed]
- Menghi, G.; Gabrielli, M.G.; Accili, D. Mosaic Lectin Labelling in the Quail Collecting Ducts. Histol. Histopathol. 1995, 10, 305–312. [Google Scholar]
- Coppee, I.; Gabius, H.J.; Danguy, A. Histochemical Analysis of Carbohydrate Moieties and Sugar-Specific Acceptors in the Kidneys of the Laboratory Mouse and the Golden Spiny Mouse (Acomys Russatus). Histol. Histopathol. 1993, 8, 673–683. [Google Scholar]
- Murata, F.; Tsuyama, S.; Suzuki, S.; Hamada, H.; Ozawa, M.; Muramatsu, T. Distribution of Glycoconjugates in the Kidney Studied by Use of Labeled Lectins. J. Histochem. Cytochem. 1983, 31, 139–144. [Google Scholar] [CrossRef]
- Schulte, B.A.; Spicer, S.S. Histochemical Evaluation of Mouse and Rat Kidneys with Lectin-Horseradish Peroxidase Conjugates. Am. J. Anat. 1983, 168, 345–362. [Google Scholar] [CrossRef]
- Grupp, C.; John, H.; Hemprich, U.; Singer, A.; Munzel, U.; Müller, G.A. Identification of Nucleated Cells in Urine Using Lectin Staining. Am. J. Kidney Dis. 2001, 37, 84–93. [Google Scholar] [CrossRef] [PubMed]
- Grupp, C.; Hemprich, U.; John, H.; Braun, F.; Lorf, T.; Armstrong, V.W.; Sattler, B.; Ringe, B.; Müller, G.A. Lectin Staining for Urine Cytologic Monitoring after Kidney Transplantation. Nephrol. Dial. Transplant. 2002, 17, 1491–1496. [Google Scholar] [CrossRef] [PubMed][Green Version]
- Silva, F.G.; Nadasdy, T.; Laszik, Z. Immunohistochemical and Lectin Dissection of the Human Nephron in Health and Disease. Arch. Pathol. Lab. Med. 1993, 117, 1233–1239. [Google Scholar] [PubMed]
- Endo, M.; Ohi, H.; Satomura, A.; Hidaka, M.; Ohsawa, I.; Fujita, T.; Kanmatsuse, K.; Matsushita, M.; Fujita, T. Regulation of in Situ Complement Activation via the Lectin Pathway in Patients with IgA Nephropathy. Clin. Nephrol. 2001, 55, 185–191. [Google Scholar]
- Babal, P.; Slugen, I.; Danis, D.; Zaviacic, M.; Gardner, W.A. Sialic Acid Expression in Normal and Diseased Human Kidney. Acta Histochem. 1996, 98, 71–77. [Google Scholar] [CrossRef]
- Mosquera, J.A.; Rodríguez-Iturbe, B. Glomerular Binding Sites for Peanut Agglutinin in Acute Poststreptococcal Glomerulonephritis. Clin. Nephrol. 1986, 26, 227–234. [Google Scholar]
- Yonezawa, S.; Irisa, S.; Nakamura, T.; Uemura, S.; Otsuji, Y.; Ohi, Y.; Sato, E. Deposition of Alpha 1-Antitrypsin and Loss of Glycoconjugate Carrying Ulex Europaeus Agglutinin-I Binding Sites in the Glomerular Sclerotic Process. Phenomena Common to Chronic Pyelonephritis and Chronic Diffuse Proliferative Glomerulonephritis. Nephron 1983, 33, 38–43. [Google Scholar] [CrossRef]
- Tamura, K.; Manabe, N.; Uchio, K.; Miyamoto, M.; Yamaguchi, M.; Ogura, A.; Yamamoto, Y.; Nagano, N.; Furuya, Y.; Miyamoto, H. Characteristic Changes in Carbohydrate Profile in the Kidneys of Hereditary Nephrotic Mice (ICGN Strain). J. Vet. Med. Sci. 2000, 62, 379–390. [Google Scholar] [CrossRef][Green Version]
- de Bruijn, W.C.; de Water, R.; Boevé, E.R.; van Run, P.R.; Vermaire, P.J.; van Miert, P.P.; Romijn, J.C.; Verkoelen, C.F.; Cao, L.C.; Schröder, F.H. Lectin-Cytochemistry of Experimental Rat Nephrolithiasis. Scanning Microsc. 1996, 10, 557–576. [Google Scholar]
- Yabuki, A.; Mitani, S.; Mizukami, K.; Yamato, O. Nephron Segment Identification in the Normal Canine Kidney by Using Lectin Histochemistry. Res. Vet. Sci. 2012, 93, 560–564. [Google Scholar] [CrossRef]
- Yabuki, A.; Hamamoto, T.; Rahman, M.M.; Yamato, O. Changes in Lectin-Binding Patterns in the Kidneys of Canines with Immune-Complex Mediated Glomerulonephritis. J. Vet. Med. Sci. 2018, 80, 1562–1566. [Google Scholar] [CrossRef] [PubMed]
- Conroy, M.; Brodbelt, D.C.; O’Neill, D.; Chang, Y.-M.; Elliott, J. Chronic Kidney Disease in Cats Attending Primary Care Practice in the UK: A VetCompassTM Study. Vet. Rec. 2019, 184, 526. [Google Scholar] [CrossRef]
- Marino, C.L.; Lascelles, B.D.X.; Vaden, S.L.; Gruen, M.E.; Marks, S.L. Prevalence and Classification of Chronic Kidney Disease in Cats Randomly Selected from Four Age Groups and in Cats Recruited for Degenerative Joint Disease Studies. J. Feline Med. Surg. 2014, 16, 465–472. [Google Scholar] [CrossRef] [PubMed]
- Syme, H.M.; Markwell, P.J.; Pfeiffer, D.; Elliott, J. Survival of Cats with Naturally Occurring Chronic Renal Failure Is Related to Severity of Proteinuria. J. Vet. Intern. Med. 2006, 20, 528–535. [Google Scholar] [CrossRef] [PubMed]
- King, J.N.; Tasker, S.; Gunn-Moore, D.A.; Strehlau, G.; BENRIC (Benazepril in Renal Insufficiency in Cats) Study Group. Prognostic Factors in Cats with Chronic Kidney Disease. J. Vet. Intern. Med. 2007, 21, 906–916. [Google Scholar] [CrossRef]
- Brown, C.A.; Elliott, J.; Schmiedt, C.W.; Brown, S.A. Chronic Kidney Disease in Aged Cats: Clinical Features, Morphology, and Proposed Pathogeneses. Vet. Pathol. 2016, 53, 309–326. [Google Scholar] [CrossRef]
- Yabuki, A.; Mitani, S.; Fujiki, M.; Misumi, K.; Endo, Y.; Miyoshi, N.; Yamato, O. Comparative Study of Chronic Kidney Disease in Dogs and Cats: Induction of Myofibroblasts. Res. Vet. Sci. 2010, 88, 294–299. [Google Scholar] [CrossRef]
- Chakrabarti, S.; Syme, H.M.; Brown, C.A.; Elliott, J. Histomorphometry of Feline Chronic Kidney Disease and Correlation with Markers of Renal Dysfunction. Vet. Pathol. 2013, 50, 147–155. [Google Scholar] [CrossRef]
- Castagnaro, M.; Alroy, J.; Ucci, A.A.; Glew, R.H. Lectin Histochemistry and Ultrastructure of Feline Kidneys from Six Different Storage Diseases. Virchows Arch. B Cell Pathol. Incl. Mol. Pathol. 1987, 54, 16–26. [Google Scholar] [CrossRef]
- Eaton, K.A.; Biller, D.S.; DiBartola, S.P.; Radin, M.J.; Wellman, M.L. Autosomal Dominant Polycystic Kidney Disease in Persian and Persian-Cross Cats. Vet. Pathol. 1997, 34, 117–126. [Google Scholar] [CrossRef]
- Yabuki, A.; Suzuki, S.; Matsumoto, M.; Nishinakagawa, H. Lectin-Histochemical and -Cytochemical Study of Periodic Acid Schiff-Positive Lysosome Granules as a Histological Feature of the Female Mouse Kidney. Histol. Histopathol. 2002, 17, 1017–1024. [Google Scholar] [CrossRef] [PubMed]
- Lectins Application and Resource. Available online: https://Fnkprddata.Blob.Core.Windows.Net/Domestic/Download/Pdf/Lectin_Guide_2020_Final_HL.Pdf (accessed on 30 November 2022).
- Holthöfer, H. Lectin Binding Sites in Kidney. A Comparative Study of 14 Animal Species. J. Histochem. Cytochem. 1983, 31, 531–537. [Google Scholar] [CrossRef] [PubMed]
- Reeves, W.H.; Kanwar, Y.S.; Farquhar, M.G. Assembly of the Glomerular Filtration Surface. Differentiation of Anionic Sites in Glomerular Capillaries of Newborn Rat Kidney. J. Cell Biol. 1980, 85, 735–753. [Google Scholar] [CrossRef]
- Laitinen, L.; Lehtonen, E.; Virtanen, I. Differential Expression of Galactose and N-Acetylgalactosamine Residues during Fetal Development and Postnatal Maturation of Rat Glomeruli as Revealed with Lectin Conjugates. Anat. Rec. 1989, 223, 311–321. [Google Scholar] [CrossRef] [PubMed]
- Plzák, J.; Holíková, Z.; Smetana, K.; Dvoránková, B.; Hercogová, J.; Kaltner, H.; Motlík, J.; Gabius, H.-J. Differentiation-Dependent Glycosylation of Cells in Squamous Cell Epithelia Detected by a Mammalian Lectin. Cells Tissues Organs 2002, 171, 135–144. [Google Scholar] [CrossRef] [PubMed]
- Michael, L.; Sweeney, D.E.; Davies, J.A. The Lectin Dolichos biflorus Agglutinin Is a Sensitive Indicator of Branching Morphogenetic Activity in the Developing Mouse Metanephric Collecting Duct System. J. Anat. 2007, 210, 89–97. [Google Scholar] [CrossRef] [PubMed]
- Brown, D.; Roth, J.; Orci, L. Lectin-Gold Cytochemistry Reveals Intercalated Cell Heterogeneity along Rat Kidney Collecting Ducts. Am. J. Physiol. 1985, 248, C348–C356. [Google Scholar] [CrossRef]
- Rao, R.; Bhalla, V.; Pastor-Soler, N.M. Intercalated Cells of the Kidney Collecting Duct in Kidney Physiology. Semin. Nephrol. 2019, 39, 353–367. [Google Scholar] [CrossRef]
- Roy, A.; Al-bataineh, M.M.; Pastor-Soler, N.M. Collecting Duct Intercalated Cell Function and Regulation. Clin. J. Am. Soc. Nephrol. CJASN 2015, 10, 305–324. [Google Scholar] [CrossRef]








| Lectin | Concentration | Sugar/Rough Sugar Specificity | Hapten Sugar Concentration |
|---|---|---|---|
| Wheat germ agglutin (WGA) | 4 μg/mL | GlcNAc/βGlcNAc, sialic acid, GalNAc | 360 mM GlcNAc |
| Succinylated wheat germ agglutin (s-WGA) | 8 μg/mL | GlcNAc | 360 mM GlcNAc |
| Ricinus communis agglutin I (RCA-I) | 4 μg/mL | Gal | 180 mM Gal |
| Concanavalin A (ConA) | 4 μg/mL | αMan, αGlu/branched and terminal Man | 180 mM α-methyl mannoside and glucoside |
| Peanut agglutinin (PNA) | 8 μg/mL | Galβ3GalNAc/terminal Gal | 180 mM Gal |
| Soybean agglutinin (SBA) | 8 μg/mL | α > βGalNAc/α or β-terminal GalNAC, α1, 3Gal | 90 mM GalNAc |
| Dolichos biflorus agglutinin (DBA) | 8 μg/mL | αGalNAc/Galβ1, 4GlcNAc | 90 mM GalNAc |
| Ulex europaeus agglutinin I (UEA-I) | 8 μg/mL | αFuc | 90 mM Fuc |
| WGA | s-WGA | RCA-I | ConA | PNA | SBA | DBA | UEA-I | |
|---|---|---|---|---|---|---|---|---|
| Gl | ||||||||
| Cap | H | − | − | − | − | − | − | − |
| BC | H | − | H | H | − | − | − | − |
| Mes | ++/− | − | − | − | − | − | − | − |
| PCT | ||||||||
| Cy | H | − | −/+ | H | − | − | − | − |
| BB | H | H | + | H | − | − | − | − |
| BM | H | − | − | − | − | − | − | − |
| PST | ||||||||
| Cy | H | − | −/+ | H | − | − | − | − |
| BB | + | ++ | +++ | H | − | − | − | − |
| BM | H | − | −/+ | − | − | − | − | − |
| TL | ++ | ++ | ++++ | +++ | ++ | +++ | − | − |
| TAL | ||||||||
| AS | +++ | ++ | − | − | − | − | − | +/++ |
| Cy | ++ | −/+ | − | −/+ | − | −/+ | − | +/++ |
| DCT | ||||||||
| AS | ++ | H | +++ | − | +++ | −/+ | − | +/++ |
| Cy | + | + | ++ | −/+ | + | −/+ | − | +/++ |
| CCD | ||||||||
| AS | +++ | ++ | +++ | −/+ | +++ | − | − | − |
| Cy | ++ | H* | ++ | −/+ | + | −/+ | − | − |
| OMCD | ||||||||
| AS | +++ | − | +++ | −/+ | +++ | − | − | − |
| Cy | ++ | H* | ++ | + | + | −/+ | − | − |
| IMCD | ||||||||
| AS | +++ | +++ | +++ | + | +++ | −/+ | − | − |
| Cy | ++ | ++ | ++ | + | + | −/+ | − | − |
Disclaimer/Publisher’s Note: The statements, opinions and data contained in all publications are solely those of the individual author(s) and contributor(s) and not of MDPI and/or the editor(s). MDPI and/or the editor(s) disclaim responsibility for any injury to people or property resulting from any ideas, methods, instructions or products referred to in the content. |
© 2022 by the authors. Licensee MDPI, Basel, Switzerland. This article is an open access article distributed under the terms and conditions of the Creative Commons Attribution (CC BY) license (https://creativecommons.org/licenses/by/4.0/).
Share and Cite
Noguchi, A.; Kurahara, N.; Yamato, O.; Ichii, O.; Yabuki, A. Lectin Histochemistry of the Normal Feline Kidney. Vet. Sci. 2023, 10, 26. https://doi.org/10.3390/vetsci10010026
Noguchi A, Kurahara N, Yamato O, Ichii O, Yabuki A. Lectin Histochemistry of the Normal Feline Kidney. Veterinary Sciences. 2023; 10(1):26. https://doi.org/10.3390/vetsci10010026
Chicago/Turabian StyleNoguchi, Ayana, Natsume Kurahara, Osamu Yamato, Osamu Ichii, and Akira Yabuki. 2023. "Lectin Histochemistry of the Normal Feline Kidney" Veterinary Sciences 10, no. 1: 26. https://doi.org/10.3390/vetsci10010026
APA StyleNoguchi, A., Kurahara, N., Yamato, O., Ichii, O., & Yabuki, A. (2023). Lectin Histochemistry of the Normal Feline Kidney. Veterinary Sciences, 10(1), 26. https://doi.org/10.3390/vetsci10010026

