Preventive and Therapeutic Efficacy of Roselle Beverage Residue in Late-Stage Type 2 Diabetic Rats
Abstract
1. Introduction
2. Materials and Methods
2.1. Preparation of Roselle Beverage Residue (RBR)
2.2. In Vivo Experimental Design
2.3. Biochemical Analysis
2.4. Gene Expression Analysis
2.5. Histologic Analysis
2.6. Statistical Analysis
3. Results and Discussion
3.1. Dietary Fiber and Polyphenol Contribution of RBR Supplementation
3.2. Effect of Roselle Beverage Residue on Glucose Homeostasis in T2DM-Induced Rats
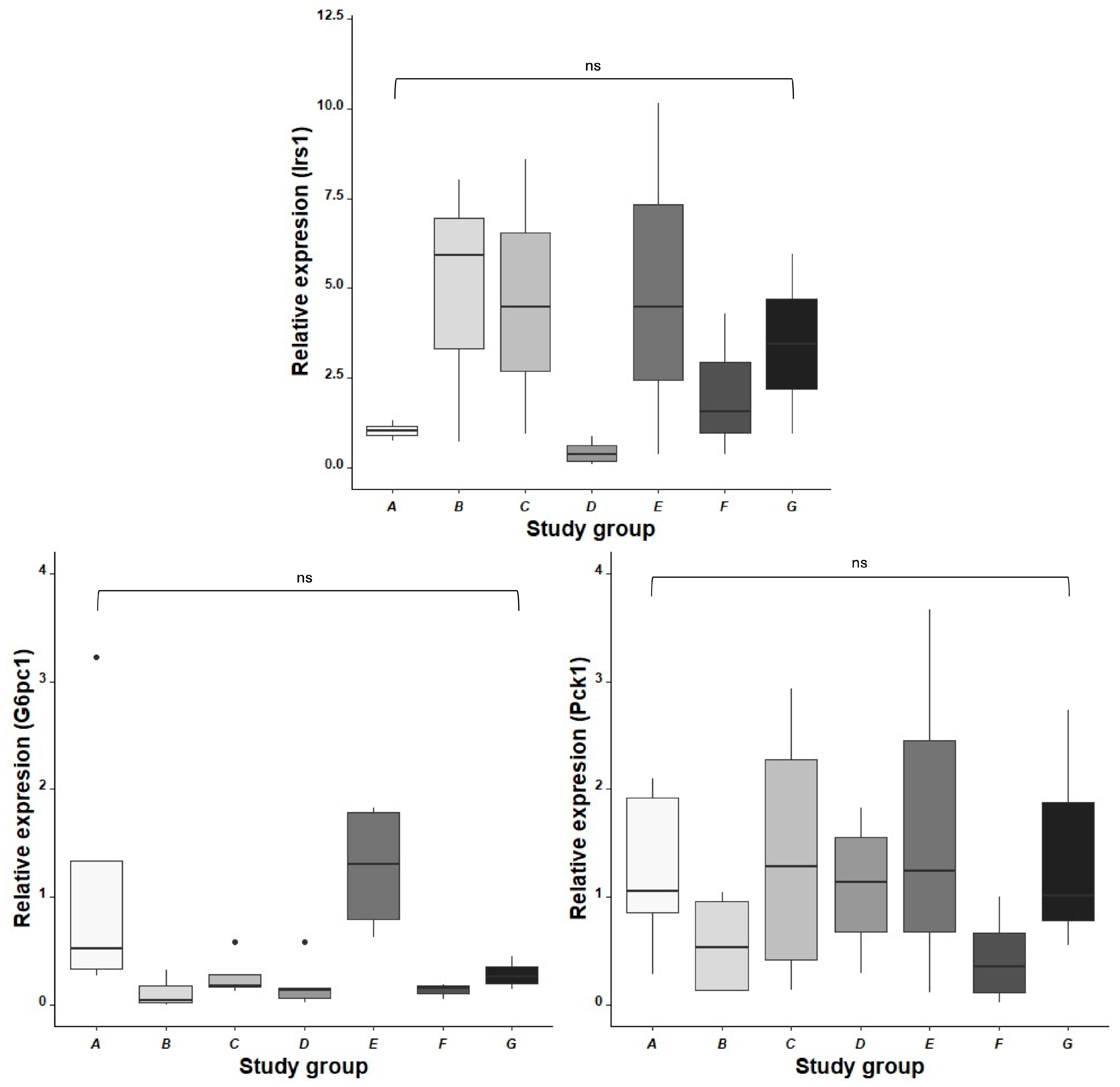
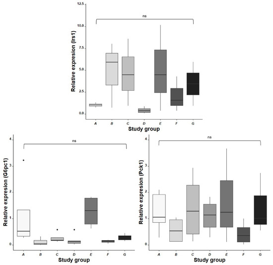
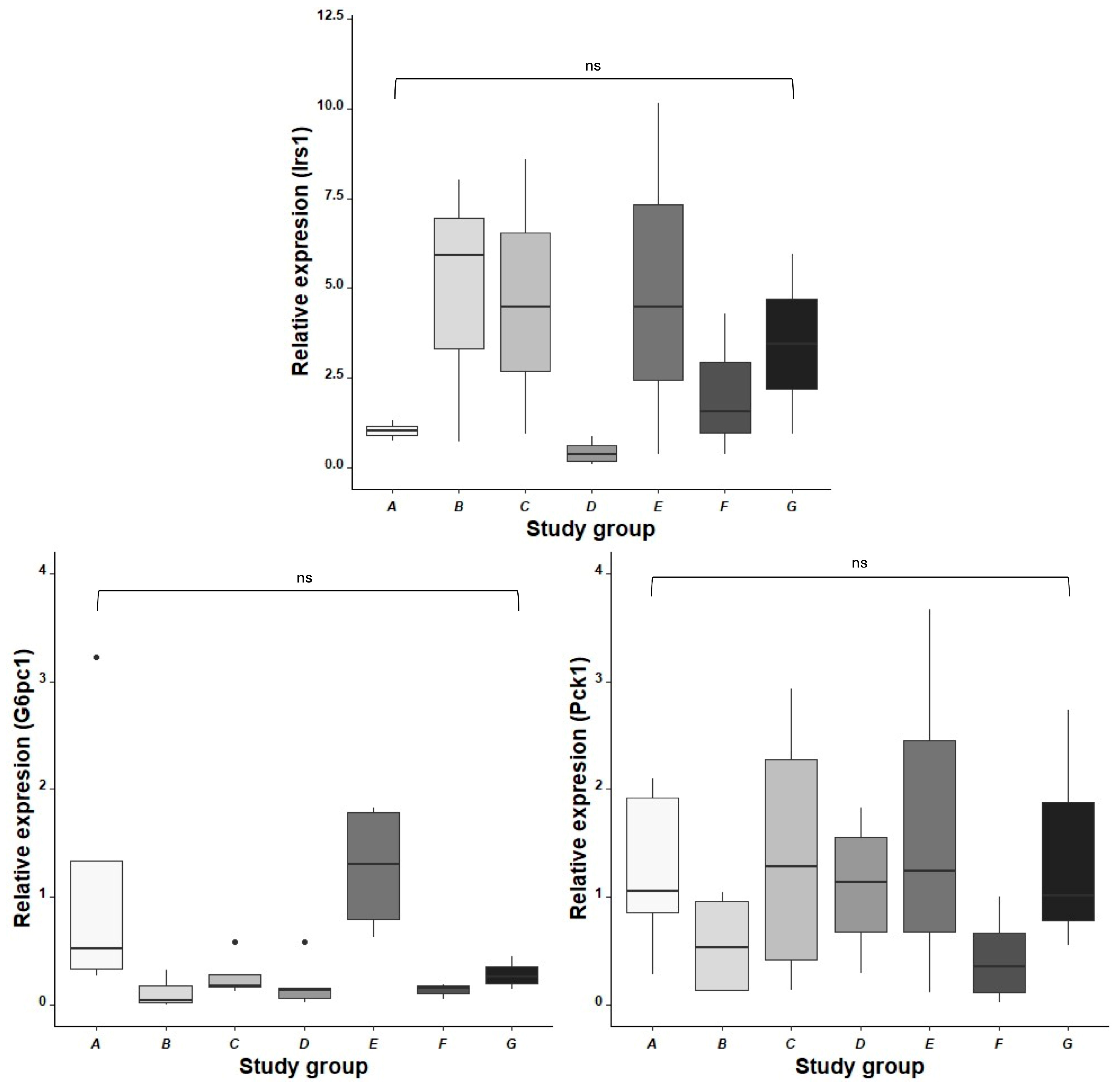
3.3. Effect of Roselle Beverage Residue on Gene Expression Related to T2DM Onset and Development
3.4. Effect of Roselle Beverage Residue on Kidney Function in T2DM-Induced Rats
4. Conclusions
Author Contributions
Funding
Institutional Review Board Statement
Informed Consent Statement
Data Availability Statement
Acknowledgments
Conflicts of Interest
References
- World Diabetes Day. Available online: https://worlddiabetesday.org (accessed on 30 March 2024).
- ElSayed, N.A.; Aleppo, G.; Aroda, V.R.; Bannuru, R.R.; Brown, F.M.; Bruemmer, D.; Collins, B.S.; Hilliard, M.E.; Isaacs, D.; Johnson, E.L.; et al. Prevention or delay of type 2 diabetes and associated comorbidities: Standards of care in diabetes—2023. Diabetes Care 2023, 46, S41–S48. [Google Scholar] [CrossRef] [PubMed]
- ElSayed, N.A.; Aleppo, G.; Aroda, V.R.; Bannuru, R.R.; Brown, F.M.; Bruemmer, D.; Collins, B.S.; Hilliard, M.E.; Isaacs, D.; Johnson, E.L.; et al. Facilitating positive health behaviors and well-being to improve health outcomes: Standards of Care in Diabetes—2023. Diabetes Care 2023, 46, S68–S96. [Google Scholar] [CrossRef] [PubMed]
- Mao, T.; Huang, F.; Zhu, X.; Wei, D.; Chen, L. Effects of dietary fiber on glycemic control and insulin sensitivity in patients with type 2 diabetes: A systematic review and meta-analysis. J. Funct. Foods 2021, 82, 104500. [Google Scholar] [CrossRef]
- Serina, J.J.C.; Castilho, P.C.M.F. Using polyphenols as a relevant therapy to diabetes and its complications, a review. Crit. Rev. Food Sci. Nutr. 2022, 62, 8355–8387. [Google Scholar] [CrossRef] [PubMed]
- Naz, R.; Saqib, F.; Awadallah, S.; Wahid, M.; Latif, M.F.; Iqbal, I.; Mubarak, M.S. Food polyphenols and type II diabetes mellitus: Pharmacology and mechanisms. Molecules 2023, 28, 3996. [Google Scholar] [CrossRef] [PubMed]
- Oboh, G.; Ogunbadejo, M.D.; Ogunsuyi, O.B.; Oyeleye, S.I. Can gallic acid potentiate the antihyperglycemic effect of acarbose and metformin? Evidence from streptozotocin-induced diabetic rat model. Arch. Physiol. Biochem. 2022, 128, 619–627. [Google Scholar] [CrossRef] [PubMed]
- Banwo, K.; Sanni, A.; Sarkar, D.; Ale, O.; Shetty, K. Phenolics-linked antioxidant and anti-hyperglycemic properties of edible Roselle (Hibiscus sabdariffa Linn.) calyces targeting type 2 diabetes nutraceutical benefits in vitro. Front. Sustain. Food Syst. 2022, 6, 660831. [Google Scholar] [CrossRef]
- Mohanty, T.; Bhadra, P. In-silico analysis of roselle (Hibiscus sabdariffa L.) for antidiabetic. Indian J. Nat. Sci. 2020, 10, 20764–20768. [Google Scholar]
- Wisetmuen, E.; Pannangpetch, P.; Kongyingyoes, B.; Kukongviriyapan, U.; Yutanawiboonchai, W.; Itharat, A. Insulin secretion enhancing activity of roselle calyx extract in normal and streptozotocin-induced diabetic rats. Pharmacogn. Res. 2013, 5, 65–70. [Google Scholar] [CrossRef]
- Ajani, E.O.; Bamisaye, F.A.; Amusa, T.O.; Atolani, O.; Kola-Mustapha, A.T.; Njinga, N.S.; Quadri, L.Q.; Bakare-Odunola, M.T.; Oladiji, A.T.; Kambizi, L. Roselle Hibiscus sabdarrifa calyces extracts modulates cardiovascular disease risk and kidney dysfunctions in diabetic rats. Plant Arch. 2021, 21, 1350–1359. [Google Scholar] [CrossRef]
- Yusof, N.L.M.; Budin, S.B.; Nasir, S.N.M.; Yusoff, N.A.; Fauzi, N.M.; Zainalabidin, S. Hibiscus sabdariffa (roselle) polyphenol-rich extract prevents the aortic oxidative damage in type 1 diabetic rats. J. Teknol. 2018, 80, 1–8. [Google Scholar] [CrossRef]
- Amaya-Cruz, D.; Peréz-Ramírez, I.F.; Pérez-Jiménez, J.; Nava, G.M.; Reynoso-Camacho, R. Comparison of the bioactive potential of Roselle (Hibiscus sabdariffa L.) calyx and its by-product: Phenolic characterization by UPLC-QTOF MSE and their anti-obesity effect in vivo. Food Res. Int. 2019, 126, 108589. [Google Scholar] [CrossRef] [PubMed]
- Serna Tenorio, J.E.; Sotelo-González, A.M.; Reynoso-Camacho, R.; Anaya-Loyola, M.A.; Pérez Ramírez, I.F. Comprehensive characterization of the overlooked residue generated during roselle calyxes brewing with potential use as functional ingredient. Biotecnia 2023, 25, 208–220. [Google Scholar] [CrossRef]
- Huang, H.; Chen, J.; Ao, T.; Chen, Y.; Xie, J.; Hu, X.; Yu, Q. Exploration of the role of bound polyphenols on tea residues dietary fiber improving diabetic hepatorenal injury and metabolic disorders. Food Res. Int. 2022, 162, 112062. [Google Scholar] [CrossRef] [PubMed]
- Cacho, J.; Sevillano, J.; de Castro, J.; Herrera, E.; Ramos, M.D.P. Validation of simple indexes to assess insulin sensitivity during pregnancy in Wistar and Sprague-Dawley rats. Am. J. Physiol. Endocrinol. Metab. 2008, 295, E1269–E1276. [Google Scholar] [CrossRef] [PubMed]
- Besseling, P.J.; Pieters, T.T.; Nguyen, I.T.; de Bree, P.M.; Willekes, N.; Dijk, A.H.; Bovée, D.M.; Hoorn, W.J.; Rookmaaker, M.B.; Gerritsen, K.G.; et al. A plasma creatinine-and urea-based equation to estimate glomerular filtration rate in rats. Am. J. Physiol. Renal Physiol. 2021, 320, F518–F524. [Google Scholar] [CrossRef] [PubMed]
- Chomczynski, P.; Sacchi, N. Single-step method of RNA isolation by acid guanidinium thiocyanate-phenol-chloroform extraction. Anal. Biochem. 1987, 162, 156–159. [Google Scholar] [CrossRef] [PubMed]
- Livak, K.J.; Schmittgen, T.D. Analysis of relative gene expression data using real-time quantitative PCR and the 2−ΔΔCT method. Methods 2001, 25, 402–408. [Google Scholar] [CrossRef]
- Nair, A.B.; Jacob, S. A simple practice guide for dose conversion between animals and human. J. Basic Clin. Pharm. 2016, 7, 27–31. [Google Scholar] [CrossRef]
- Bonam, V.R.; Srinivasan, A.R.; Manoj, D.D. Linking inflammatory mediators and indicators of insulin resistance in anthropometry specified type 2 diabetic males. Bioinformation 2022, 18, 998–1004. [Google Scholar] [CrossRef]
- Jacobsen, L.M.; Vehik, K.; Veijola, R.; Warncke, K.; Toppari, J.; Steck, A.K.; Gesualdo, P.; Akolkar, B.; Lundgren, M.; Hagopian, W.A.; et al. Heterogeneity of DKA incidence and age-specific clinical characteristics in children diagnosed with type 1 diabetes in the TEDDY study. Diabetes Care 2022, 45, 624–633. [Google Scholar] [CrossRef] [PubMed]
- Skovsø, S. Modeling type 2 diabetes in rats using high fat diet and streptozotocin. J. Diabetes Inv. 2014, 5, 349–358. [Google Scholar] [CrossRef]
- Fonseca, V.A. Defining and characterizing the progression of type 2 diabetes. Diabetes Care 2009, 32, S151–S156. [Google Scholar] [PubMed]
- Li, L.L.; Pan, P.M.; Pan, P.S.; Li, L.W.; Zhong, Z.Y.; Hu, H.J.; Nie, N.S. Effects of insoluble and soluble fibers isolated from barley on blood glucose, serum lipids, liver function and caecal short-chain fatty acids in type 2 diabetic and normal rats. Food Chem. Toxicol. 2020, 135, 110937. [Google Scholar] [CrossRef]
- Izquierdo-Vega, J.A.; Arteaga-Badillo, D.A.; Sánchez-Gutiérrez, M.; Morales-González, J.A.; Vargas-Mendoza, N.; Gómez-Aldapa, C.A.; Castro-Rosas, J.; Delgado-Olivares, L.; Madrigal-Bujaidar, E.; Madrigal-Santillán, E. Organic acids from roselle (Hibiscus sabdariffa L.)—A brief review of its pharmacological effects. Biomedicines 2020, 8, 100. [Google Scholar] [CrossRef] [PubMed]
- Araki, R.; Yada, A.; Ueda, H.; Tominaga, K.; Isoda, H. Differences in the effects of anthocyanin supplementation on glucose and lipid metabolism according to the structure of the main anthocyanin: A meta-analysis of randomized controlled trials. Nutrients 2021, 13, 2003. [Google Scholar] [CrossRef]
- Jayaprakasam, B.; Vareed, S.K.; Olson, L.K.; Nair, M.G. Insulin secretion by bioactive anthocyanins and anthocyanidins present in fruits. J. Agric. Food Chem. 2005, 53, 28–31. [Google Scholar] [CrossRef]
- Rosiles-Alanis, W.; Zamilpa, A.; García-Macedo, R.; Zavala-Sánchez, M.A.; Hidalgo-Figueroa, S.; Mora-Ramiro, B.; Román-Ramos, R.; Estrada-Soto, S.E.; Almanza-Perez, J.C. 4-Hydroxybenzoic acid and β-Sitosterol from Cucurbita ficifolia act as insulin secretagogues, Peroxisome Proliferator-Activated Receptor-gamma agonists, and liver glycogen storage promoters: In vivo, in vitro, and in silico studies. J. Med. Food 2022, 25, 588–596. [Google Scholar] [CrossRef] [PubMed]
- Singdam, P.; Naowaboot, J.; Senggunprai, L.; Boonloh, K.; Hipkaeo, W.; Pannangpetch, P. The mechanisms of neochlorogenic acid (3-caffeoylquinic acid) in improving glucose and lipid metabolism in rats with insulin resistance induced by A high fat-high fructose diet. Trends Sci. 2023, 20, 6455. [Google Scholar] [CrossRef]
- Yan, Y.; Zhou, X.; Guo, K.; Zhou, F.; Yang, H. Use of chlorogenic acid against diabetes mellitus and its complications. J. Immunol. Res. 2020, 2020, 9680508. [Google Scholar] [CrossRef]
- Vorotnikov, A.V.; Popov, D.V.; Makhnovskii, P.A. Signaling and gene expression in skeletal muscles in type 2 diabetes: Current results and OMICS perspectives. Biochemistry 2022, 87, 1021–1034. [Google Scholar] [CrossRef] [PubMed]
- Samuel, V.T.; Beddow, S.A.; Iwasaki, T.; Zhang, X.M.; Chu, X.; Still, C.D.; Gerhard, G.S.; Shulman, G.I. Fasting hyperglycemia is not associated with increased expression of PEPCK or G6Pc in patients with Type 2 Diabetes. Proc. Natl. Acad. Sci. USA 2009, 106, 12121–12126. [Google Scholar] [CrossRef] [PubMed]
- Tonneijck, L.; Muskiet, M.H.; Smits, M.M.; Van Bommel, E.J.; Heerspink, H.J.; Van Raalte, D.H.; Joles, J.A. Glomerular hyperfiltration in diabetes: Mechanisms, clinical significance, and treatment. J. Am Soc. Nephrol. 2017, 28, 1023–1039. [Google Scholar] [CrossRef] [PubMed]
- Zhang, C.; Li, L.; Zhang, Y.; Zeng, C. Recent advances in fructose intake and risk of hyperuricemia. Biomed. Pharmacother. 2020, 131, 110795. [Google Scholar] [CrossRef] [PubMed]
- Hisatome, I.; Kuwabara, M. Hyperuricemia plays pivotal role in progression of kidney disease. Circ. J. 2016, 80, 1710–1711. [Google Scholar] [CrossRef] [PubMed]
- ElSayed, N.A.; Aleppo, G.; Aroda, V.R.; Bannuru, R.R.; Brown, F.M.; Bruemmer, D.; Collins, B.S.; Hullard, M.E.; Isaacs, D.; Johnson, E.L.; et al. Chronic kidney disease and risk management: Standards of care in diabetes—2023. Diabetes Care 2023, 46, S191–S202. [Google Scholar] [CrossRef] [PubMed]
- Wahyuningsih, S.; Sukandar, E.Y.; Sukrasno, L.D. Antihyperuricemia activity of the ethanol extract of Roselle calyx and its fraction (Hibiscus sabdariffa Linn) on male wistar rats. Int. J. Pharm. Pharm. Sci. 2016, 8, 278–280. [Google Scholar]
- Zhou, X.; Zhang, B.; Zhao, X.; Lin, Y.; Wang, J.; Wang, X.; Wang, S. Chlorogenic acid supplementation ameliorates hyperuricemia, relieves renal inflammation, and modulates intestinal homeostasis. Food Funct. 2021, 12, 5637–5649. [Google Scholar] [CrossRef] [PubMed]
- Xie, J.; Cui, H.; Xu, Y.; Xie, L.; Chen, W. Delphinidin-3-O-sambubioside: A novel xanthine oxidase inhibitor identified from natural anthocyanins. Food Qual. Saf. 2021, 5, fyaa038. [Google Scholar] [CrossRef]
- Lytvyn, Y.; Perkins, B.A.; Cherney, D.Z. Uric acid as a biomarker and a therapeutic target in diabetes. Can. J. Diabetes 2015, 39, 239–246. [Google Scholar]



| Component | Daily Dose 1 |
|---|---|
| Nutrient composition | |
| Protein | 0.34 g |
| Fat | 0.02 g |
| Carbohydrates | |
| Total dietary fiber | 4.89 g |
| Soluble dietary fiber | 1.07 g |
| Insoluble dietary fiber | 3.85 g |
| Nutraceutical composition | |
| Extractable polyphenols | 0.92 mg GAE |
| Extractable flavonoids | 0.49 mg CE |
| Extractable anthocyanins | 0.08 mg C3GE |
| Extractable anthocyanidins | 0.05 mg CA |
| Acid hydrolysable polyphenols | 0.81 mg GAE |
| Alkaline hydrolysable polyphenols | 0.66 mg GAE |
| Non-extractable proanthocyanidins | 0.16 mg PE |
| Trolox equivalent antioxidant capacity 2 | |
| Extractable fraction | 24.61 mmol TE |
| Acid hydrolysable fraction | 1.37 mmol TE |
| Alkaline hydrolysable fraction | 1.16 mmol TE |
| Model | SD | HFFD+STZ | |||||
|---|---|---|---|---|---|---|---|
| Group | Healthy Control | Diabetic Control | Preventive Strategy | Therapeutic Strategy | |||
| Treatment | RBR from Week 1 | RBR from Week 9 | RBR from Week 14 | RBR+MET from Week 14 | MET from Week 14 | ||
| Serum glucose (mg/dL) | 152.6 ± 15.3 * | 448.5 ± 36.0 † | 275.0 ± 78.8 * | 242.7 ± 108.4 * | 316.5 ± 99.0 *† | 224.8 ± 83.7 *† | 460.0 ± 25.6 † |
| Serum insulin (ng/mL) | 8.77 ± 3.05 * | 1.98 ± 1.48 † | 6.08 ± 1.69 * | 6.82 ± 3.98 * | 2.18 ± 1.19 † | 3.90 ± 2.76 † | 3.72 ± 2.78 † |
| HOMA-IR | 13.84 ± 5.44 | 6.24 ± 2.63 | 12.82 ± 7.15 | 10.99 ± 6.22 | 9.48 ± 5.49 | 11.89 ± 3.52 | 11.02 ± 6.12 |
| HOMA-Beta | 35.80 ± 12.11 * | 1.27 ± 0.49 † | 10.04 ± 7.74 † | 8.31 ± 7.29 † | 4.19 ± 3.47 † | 19.16 ± 8.86 * | 2.21 ± 1.49 † |
| QUICKI | 0.22 ± 0.01 * | 0.24 ± 0.01 † | 0.22 ± 0.01 * | 0.23 ± 0.01 | 0.23 ± 0.01 | 0.23 ± 0.01 | 0.23 ± 0.01 |
| FGIR | 0.78 ± 0.31 * | 14.79 ± 5.58 † | 1.92 ± 0.89 * | 1.05 ± 0.49 * | 3.13 ± 1.94 * | 1.29 ± 0.38 * | 11.30 ± 3.67 † |
| Langerhans islet size (μm) | 249.0 ± 29.3 * | 132.9 ± 22.4 † | 211.9 ± 20.4 * | 229.6 ± 13.4 * | 164.5 ± 19.9 * | 172.6 ± 10.7 † | 167.7 ± 6.9 † |
| Model | SD | HFFD+STZ | |||||
|---|---|---|---|---|---|---|---|
| Group | Healthy Control | Diabetic Control | Preventive Strategy | Therapeutic Strategy | |||
| Treatment | RBR from Week 1 | RBR from Week 9 | RBR from Week 14 | RBR+MET from Week 14 | MET from Week 14 | ||
| Serum urea (mg/dL) | 43.00 ± 1.42 | 33.67 ± 3.65 | 34.50 ± 2.03 | 36.38 ± 3.50 | 34.11 ± 3.10 | 28.33 ± 3.76 | 34.33 ± 2.88 |
| Serum Creatinine (mg/dL) | 0.36 ± 0.02 | 0.30 ± 0.03 | 0.31 ± 0.01 | 0.35 ± 0.02 | 0.31 ± 0.01 | 0.33 ± 0.02 | 0.31 ± 0.01 |
| Serum uric acid (mg/dL) | 0.52 ± 0.07 * | 1.23 ± 0.25 † | 0.59 ± 0.09 * | 0.56 ± 0.09 * | 0.70 ± 0.10 | 0.69 ± 0.09 | 0.83 ± 0.14 |
| Glomerular filtration rate (μL/min) | 3866 ± 99 * | 5042 ± 377 † | 4159 ± 211 | 4098 ± 99 | 4627 ± 323 | 4627 ± 323 | 4318 ± 157 |
Disclaimer/Publisher’s Note: The statements, opinions and data contained in all publications are solely those of the individual author(s) and contributor(s) and not of MDPI and/or the editor(s). MDPI and/or the editor(s) disclaim responsibility for any injury to people or property resulting from any ideas, methods, instructions or products referred to in the content. |
© 2024 by the authors. Licensee MDPI, Basel, Switzerland. This article is an open access article distributed under the terms and conditions of the Creative Commons Attribution (CC BY) license (https://creativecommons.org/licenses/by/4.0/).
Share and Cite
Regalado-Rentería, E.; Serna-Tenorio, J.E.; García-Gutiérrez, D.G.; Reynoso-Camacho, R.; García, O.P.; Anaya-Loyola, M.A.; Pérez-Ramírez, I.F. Preventive and Therapeutic Efficacy of Roselle Beverage Residue in Late-Stage Type 2 Diabetic Rats. Beverages 2024, 10, 40. https://doi.org/10.3390/beverages10020040
Regalado-Rentería E, Serna-Tenorio JE, García-Gutiérrez DG, Reynoso-Camacho R, García OP, Anaya-Loyola MA, Pérez-Ramírez IF. Preventive and Therapeutic Efficacy of Roselle Beverage Residue in Late-Stage Type 2 Diabetic Rats. Beverages. 2024; 10(2):40. https://doi.org/10.3390/beverages10020040
Chicago/Turabian StyleRegalado-Rentería, Evelyn, Jesús E. Serna-Tenorio, David G. García-Gutiérrez, Rosalía Reynoso-Camacho, Olga P. García, Miriam A. Anaya-Loyola, and Iza F. Pérez-Ramírez. 2024. "Preventive and Therapeutic Efficacy of Roselle Beverage Residue in Late-Stage Type 2 Diabetic Rats" Beverages 10, no. 2: 40. https://doi.org/10.3390/beverages10020040
APA StyleRegalado-Rentería, E., Serna-Tenorio, J. E., García-Gutiérrez, D. G., Reynoso-Camacho, R., García, O. P., Anaya-Loyola, M. A., & Pérez-Ramírez, I. F. (2024). Preventive and Therapeutic Efficacy of Roselle Beverage Residue in Late-Stage Type 2 Diabetic Rats. Beverages, 10(2), 40. https://doi.org/10.3390/beverages10020040

