Channel Aperture Characteristics of Carbonate Apatite Honeycomb Scaffolds Affect Ingrowths of Bone and Fibrous Tissues in Vertical Bone Augmentation
Abstract
1. Introduction
2. Materials and Methods
2.1. Fabrication of HC Scaffolds with Square and Rectangular Channels
2.2. Characterization of the HC Scaffold Structures and Compositions
2.3. Approval for Animal Experiments and Animal Rearing
2.4. Surgical Procedure
2.5. Histological Analysis
2.6. Statistical Analysis
3. Results
3.1. Characterization of Scaffold Structures and Composition
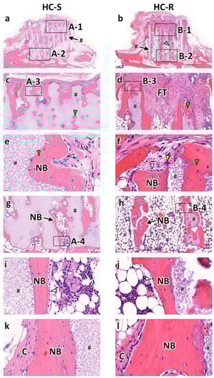
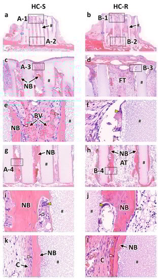
3.2. In Vivo Evaluations of Bone Formation and Fibrous Tissue Invasion
4. Discussion
5. Conclusions
Author Contributions
Funding
Institutional Review Board Statement
Data Availability Statement
Conflicts of Interest
References
- Kandavalli, S.R.; Wang, Q.; Ebrahimi, M.; Gode, C.; Djavanroodi, F.; Attarilar, S.; Liu, S. A Brief Review on the Evolution of Metallic Dental Implants: History, Design, and Application. Front. Mater. 2021, 8, 646383. [Google Scholar] [CrossRef]
- Jayachandran, S.; Hill, K.; Walmsley, A.D. A Critical Review of Qualitative Research Publications in Dental Implants from 2006 to 2020. Clin. Oral Impl. Res. 2021, 32, 659–671. [Google Scholar] [CrossRef]
- Müller, F.; Srinivasan, M.; Krause, K.; Schimmel, M. Periodontitis and Peri-implantitis in Elderly People Experiencing Institutional and Hospital Confinement. Periodontology 2000 2022, 90, 138–145. [Google Scholar] [CrossRef]
- Ducommun, J.; El Kholy, K.; Rahman, L.; Schimmel, M.; Chappuis, V.; Buser, D. Analysis of Trends in Implant Therapy at a Surgical Specialty Clinic: Patient Pool, Indications, Surgical Procedures, and Rate of Early Failures—A 15-year Retrospective Analysis. Clin. Oral Impl. Res. 2019, 30, 1097–1106. [Google Scholar] [CrossRef]
- Tay, J.R.H.; Lu, X.J.; Lai, W.M.C.; Fu, J.-H. Clinical and Histological Sequelae of Surgical Complications in Horizontal Guided Bone Regeneration: A Systematic Review and Proposal for Management. Int. J. Implant Dent. 2020, 6, 76. [Google Scholar] [CrossRef]
- Rachmiel, A.; Shilo, D.; Aizenbud, D.; Emodi, O. Vertical Alveolar Distraction Osteogenesis of the Atrophic Posterior Mandible Before Dental Implant Insertion. J. Oral Maxillofac. Surg. 2017, 75, 1164–1175. [Google Scholar] [CrossRef]
- Urban, I.A.; Montero, E.; Monje, A.; Sanz-Sánchez, I. Effectiveness of Vertical Ridge Augmentation Interventions: A Systematic Review and Meta-Analysis. J. Clin. Periodontol. 2019, 46, 319–339. [Google Scholar] [CrossRef]
- Lim, G.; Lin, G.-H.; Monje, A.; Chan, H.-L.; Wang, H.-L. Wound Healing Complications Following Guided Bone Regeneration for Ridge Augmentation: A Systematic Review and Meta-Analysis. Int. J. Oral Maxillofac. Implant. 2018, 33, 41–50. [Google Scholar] [CrossRef] [PubMed]
- Kim, C.-S.; Choi, S.-H.; Chai, J.-K.; Cho, K.-S.; Moon, I.-S.; Wikesjö, U.M.E.; Kim, C.-K. Periodontal Repair in Surgically Created Intrabony Defects in Dogs: Influence of the Number of Bone Walls on Healing Response. J. Periodont. 2004, 75, 229–235. [Google Scholar] [CrossRef] [PubMed]
- Esposito, M.; Grusovin, M.G.; Coulthard, P.; Worthington, H.V. The Efficacy of Various Bone Augmentation Procedures for Dental Implants: A Cochrane Systematic Review of Randomized Controlled Clinical Trials. Int. J. Oral Maxillofac. Implant. 2006, 21, 696–710. [Google Scholar]
- Toledano, M.; Asady, S.; Toledano-Osorio, M.; García-Godoy, F.; Serrera-Figallo, M.-A.; Benítez-García, J.A.; Osorio, R. Differential Biodegradation Kinetics of Collagen Membranes for Bone Regeneration. Polymers 2020, 12, 1290. [Google Scholar] [CrossRef] [PubMed]
- Kang, D.-W.; Kim, S.-H.; Choi, Y.-H.; Kim, Y.-K. Repeated Failure of Implants at the Same Site: A Retrospective Clinical Study. Maxillofac. Plast. Reconstr. Surg. 2019, 41, 27. [Google Scholar] [CrossRef] [PubMed]
- Tay, J.R.H.; Ng, E.; Lu, X.J.; Lai, W.M.C. Healing Complications and Their Detrimental Effects on Bone Gain in Vertical-guided Bone Regeneration: A Systematic Review and Meta-analysis. Clin. Implant. Dent. Rel. Res. 2022, 24, 43–71. [Google Scholar] [CrossRef] [PubMed]
- Sakkas, A.; Wilde, F.; Heufelder, M.; Winter, K.; Schramm, A. Autogenous Bone Grafts in Oral Implantology—Is It Still a “Gold Standard”? A Consecutive Review of 279 Patients with 456 Clinical Procedures. Int. J. Implant Dent. 2017, 3, 23. [Google Scholar] [CrossRef]
- Chatelet, M.; Afota, F.; Savoldelli, C. Review of Bone Graft and Implant Survival Rate: A Comparison between Autogenous Bone Block versus Guided Bone Regeneration. J. Stomatol. Oral Maxillofac. Surg. 2022, 123, 222–227. [Google Scholar] [CrossRef]
- Garcia, J.; Dodge, A.; Luepke, P.; Wang, H.-L.; Kapila, Y.; Lin, G.-H. Effect of Membrane Exposure on Guided Bone Regeneration: A Systematic Review and Meta-Analysis. Clin. Oral Impl. Res. 2018, 29, 328–338. [Google Scholar] [CrossRef]
- Jiménez Garcia, J.; Berghezan, S.; Caramês, J.M.M.; Dard, M.M.; Marques, D.N.S. Effect of Cross-Linked vs Non-Cross-Linked Collagen Membranes on Bone: A Systematic Review. J. Periodont. Res. 2017, 52, 955–964. [Google Scholar] [CrossRef]
- Liu, J.; Kerns, D.G. Mechanisms of Guided Bone Regeneration: A Review. Open Dent. J. 2014, 8, 56–65. [Google Scholar] [CrossRef]
- Myeroff, C.; Archdeacon, M. Autogenous Bone Graft: Donor Sites and Techniques. J. Bone Joint Surg. 2011, 93, 2227–2236. [Google Scholar] [CrossRef]
- Chiapasco, M.; Zaniboni, M.; Rimondini, L. Autogenous Onlay Bone Grafts vs. Alveolar Distraction Osteogenesis for the Correction of Vertically Deficient Edentulous Ridges: A 2–4-Year Prospective Study on Humans. Clin. Oral Implant. Res. 2007, 18, 432–440. [Google Scholar] [CrossRef]
- Felice, P.; Pellegrino, G.; Checchi, L.; Pistilli, R.; Esposito, M. Vertical Augmentation with Interpositional Blocks of Anorganic Bovine Bone vs. 7-mm-Long Implants in Posterior Mandibles: 1-Year Results of a Randomized Clinical Trial: Vertical Augmentation vs. 7-Mm-Long Implants. Clin. Oral Implant. Res. 2010, 21, 1394–1403. [Google Scholar] [CrossRef] [PubMed]
- Zerbo, I.R.; De lange, G.L.; Joldersma, M.; Bronckers, A.L.J.J.; Burger, E.H. Fate of Monocortical Bone Blocks Grafted in the Human Maxilla: A Histological and Histomorphometric Study: Monocortical Bone Block in Human Jaw. Clin. Oral Implant. Res. 2003, 14, 759–766. [Google Scholar] [CrossRef] [PubMed]
- Waasdorp, J.; Reynolds, M.A. Allogeneic Bone Onlay Grafts for Alveolar Ridge Augmentation: A Systematic Review. Int. J. Oral Maxillofac. Implant. 2010, 25, 525–531. [Google Scholar]
- Bose, S.; Sarkar, N.; Banerjee, D. Natural Medicine Delivery from Biomedical Devices to Treat Bone Disorders: A Review. Acta Biomater. 2021, 126, 63–91. [Google Scholar] [CrossRef] [PubMed]
- Batool, F.; Özçelik, H.; Stutz, C.; Gegout, P.-Y.; Benkirane-Jessel, N.; Petit, C.; Huck, O. Modulation of Immune-Inflammatory Responses through Surface Modifications of Biomaterials to Promote Bone Healing and Regeneration. J. Tissue Eng. 2021, 12, 204173142110414. [Google Scholar] [CrossRef] [PubMed]
- Banerjee, K.; Radhakrishnan, J.; Ayyadurai, N.; Ganesan, P.; Kamini, N.R. Advances in Neoteric Modular Tissue Engineering Strategies for Regenerative Dentistry. J. Sci. Adv. Mater. Dev. 2022, 7, 100491. [Google Scholar] [CrossRef]
- Daghrery, A.; Bottino, M.C. Advanced Biomaterials for Periodontal Tissue Regeneration. Genesis 2022, 60, e23501. [Google Scholar] [CrossRef]
- Namanloo, R.A.; Ommani, M.; Abbasi, K.; Alam, M.; Badkoobeh, A.; Rahbar, M.; Arasteh, H.K.; Hajmohammadi, E.; Soufdoost, R.S.; Mosaddad, S.A. Biomaterials in Guided Bone and Tissue Regenerations: An Update. Adv. Mater. Sci. Eng. 2022, 2022, 2489399. [Google Scholar] [CrossRef]
- Kunrath, M.F.; Dahlin, C. The Impact of Early Saliva Interaction on Dental Implants and Biomaterials for Oral Regeneration: An Overview. Int. J. Mol. Sci. 2022, 23, 2024. [Google Scholar] [CrossRef]
- Roca-Millan, E.; Jané-Salas, E.; Marí-Roig, A.; Jiménez-Guerra, Á.; Ortiz-García, I.; Velasco-Ortega, E.; López-López, J.; Monsalve-Guil, L. The Application of Beta-Tricalcium Phosphate in Implant Dentistry: A Systematic Evaluation of Clinical Studies. Materials 2022, 15, 655. [Google Scholar] [CrossRef]
- Oliveira, C.S.; Leeuwenburgh, S.; Mano, J.F. New Insights into the Biomimetic Design and Biomedical Applications of Bioengineered Bone Microenvironments. APL Bioeng. 2021, 5, 041507. [Google Scholar] [CrossRef] [PubMed]
- Hayashi, K.; Kishida, R.; Tsuchiya, A.; Ishikawa, K. Honeycomb Blocks Composed of Carbonate Apatite, β-Tricalcium Phosphate, and Hydroxyapatite for Bone Regeneration: Effects of Composition on Biological Responses. Mater. Today Bio. 2019, 4, 100031. [Google Scholar] [CrossRef] [PubMed]
- Hayashi, K.; Kishida, R.; Tsuchiya, A.; Ishikawa, K. Granular Honeycombs Composed of Carbonate Apatite, Hydroxyapatite, and β-Tricalcium Phosphate as Bone Graft Substitutes: Effects of Composition on Bone Formation and Maturation. ACS Appl. Bio Mater. 2020, 3, 1787–1795. [Google Scholar] [CrossRef]
- Hayashi, K.; Yanagisawa, T.; Kishida, R.; Ishikawa, K. Effects of Scaffold Shape on Bone Regeneration: Tiny Shape Differences Affect the Entire System. ACS Nano 2022, 16, 11755–11768. [Google Scholar] [CrossRef] [PubMed]
- Hayashi, K.; Shimabukuro, M.; Kishida, R.; Tsuchiya, A.; Ishikawa, K. Structurally Optimized Honeycomb Scaffolds with Outstanding Ability for Vertical Bone Augmentation. J. Adv. Res. 2022, S2090123221002630. [Google Scholar] [CrossRef]
- Hayashi, K.; Yanagisawa, T.; Shimabukuro, M.; Kishida, R.; Ishikawa, K. Granular Honeycomb Scaffolds Composed of Carbonate Apatite for Simultaneous Intra- and Inter-Granular Osteogenesis and Angiogenesis. Mater. Today Bio. 2022, 14, 100247. [Google Scholar] [CrossRef]
- Shibahara, K.; Hayashi, K.; Nakashima, Y.; Ishikawa, K. Effects of Channels and Micropores in Honeycomb Scaffolds on the Reconstruction of Segmental Bone Defects. Front. Bioeng. Biotechnol. 2022, 10, 825831. [Google Scholar] [CrossRef]
- Hayashi, K.; Tsuchiya, A.; Shimabukuro, M.; Ishikawa, K. Multiscale Porous Scaffolds Constructed of Carbonate Apatite Honeycomb Granules for Bone Regeneration. Mater. Des. 2022, 215, 110468. [Google Scholar] [CrossRef]
- Hayashi, K.; Shimabukuro, M.; Ishikawa, K. Antibacterial Honeycomb Scaffolds for Achieving Infection Prevention and Bone Regeneration. ACS Appl. Mater. Interfaces 2022, 14, 3762–3772. [Google Scholar] [CrossRef]
- Hayashi, K.; Ishikawa, K. Honeycomb Scaffolds Capable of Ectopic Osteogenesis: Histological Evaluation of Osteoinduction Mechanism. Nano Select 2022, 3, 60–77. [Google Scholar] [CrossRef]
- Hayashi, K.; Shimabukuro, M.; Kishida, R.; Tsuchiya, A.; Ishikawa, K. Honeycomb Scaffolds Capable of Achieving Barrier Membrane-Free Guided Bone Regeneration. Mater. Adv. 2021, 2, 7638–7649. [Google Scholar] [CrossRef]
- Shibahara, K.; Hayashi, K.; Nakashima, Y.; Ishikawa, K. Honeycomb Scaffold-Guided Bone Reconstruction of Critical-Sized Defects in Rabbit Ulnar Shafts. ACS Appl. Bio. Mater. 2021, 4, 6821–6831. [Google Scholar] [CrossRef] [PubMed]
- Hayashi, K.; Kato, N.; Kato, M.; Ishikawa, K. Impacts of Channel Direction on Bone Tissue Engineering in 3D-Printed Carbonate Apatite Scaffolds. Mater. Des. 2021, 204, 109686. [Google Scholar] [CrossRef]
- Hayashi, K.; Ishikawa, K. Honeycomb Scaffolds Fabricated Using Extrusion Molding and the Sphere-Packing Theory for Bone Regeneration. ACS Appl. Bio. Mater. 2021, 4, 721–730. [Google Scholar] [CrossRef]
- Hayashi, K.; Munar, M.L.; Ishikawa, K. Effects of Macropore Size in Carbonate Apatite Honeycomb Scaffolds on Bone Regeneration. Mater. Sci. Eng. C-Mater. Biol. Appl. 2020, 111, 110848. [Google Scholar] [CrossRef]
- Hayashi, K.; Munar, M.L.; Ishikawa, K. Carbonate Apatite Granules with Uniformly Sized Pores That Arrange Regularly and Penetrate Straight through Granules in One Direction for Bone Regeneration. Ceram. Int. 2019, 45, 15429–15434. [Google Scholar] [CrossRef]
- Hayashi, K.; Kishida, R.; Tsuchiya, A.; Ishikawa, K. Carbonate Apatite Micro-Honeycombed Blocks Generate Bone Marrow-Like Tissues as well as Bone. Adv. Biosys. 2019, 3, 1900140. [Google Scholar] [CrossRef]
- Hayashi, K.; Ishikawa, K. Effects of Nanopores on the Mechanical Strength, Osteoclastogenesis, and Osteogenesis in Honeycomb Scaffolds. J. Mater. Chem. B 2020, 8, 8536–8545. [Google Scholar] [CrossRef]
- Li, X.; Wang, Y.; Chen, F.; Chen, X.; Xiao, Y.; Zhang, X. Design of Macropore Structure and Micro-Nano Topography to Promote the Early Neovascularization and Osteoinductivity of Biphasic Calcium Phosphate Bioceramics. Mater. Des. 2022, 216, 110581. [Google Scholar] [CrossRef]
- Ho, W.-F.; Lee, M.-H.; Thomas, J.L.; Li, J.-A.; Wu, S.-C.; Hsu, H.-C.; Lin, H.-Y. Porous Biphasic Calcium Phosphate Granules from Oyster Shell Promote the Differentiation of Induced Pluripotent Stem Cells. Int. J. Mol. Sci. 2021, 22, 9444. [Google Scholar] [CrossRef]
- Wähnert, D.; Koettnitz, J.; Merten, M.; Kronenberg, D.; Stange, R.; Greiner, J.F.W.; Kaltschmidt, C.; Vordemvenne, T.; Kaltschmidt, B. Spongostan™ Leads to Increased Regeneration of a Rat Calvarial Critical Size Defect Compared to NanoBone® and Actifuse. Materials 2021, 14, 1961. [Google Scholar] [CrossRef] [PubMed]
- Vallejos Baier, R.; Benjumeda Wijnhoven, I.; Irribarra del Valle, V.; Millán Giovanetti, C.; Vivanco, J.F. Microporosity Clustering Assessment in Calcium Phosphate Bioceramic Particles. Front. Bioeng. Biotechnol. 2019, 7, 281. [Google Scholar] [CrossRef] [PubMed]
- Alister, J.P.; Uribe, F.; Vásquez, B.; Fariña, R.; Olate, S.; Alister, J.P.; Uribe, F.; Vásquez, B.; Fariña, R.; Olate, S. Characterization of Bone Substitute β-TCP Block for Maxillofacial Reconstruction. Int. J. Morphol. 2019, 37, 82–86. [Google Scholar] [CrossRef]
- Rustom, L.E.; Poellmann, M.J.; Wagoner Johnson, A.J. Mineralization in Micropores of Calcium Phosphate Scaffolds. Acta Biomater. 2019, 83, 435–455. [Google Scholar] [CrossRef] [PubMed]
- He, F.; Tian, Y.; Fang, X.; Lu, T.; Li, J.; Shi, X.; Wu, S.; Zuo, F.; Ye, J. Fabrication of Β-tricalcium Phosphate Composite Ceramic Scaffolds Based on Spheres Prepared by Extrusion-spheronization. J. Am. Ceram Soc. 2018, 101, 5811–5826. [Google Scholar] [CrossRef]
- Deng, Y.; Liu, M.; Chen, X.; Wang, M.; Li, X.; Xiao, Y.; Zhang, X. Enhanced Osteoinductivity of Porous Biphasic Calcium Phosphate Ceramic Beads with High Content of Strontium-Incorporated Calcium-Deficient Hydroxyapatite. J. Mater. Chem. B 2018, 6, 6572–6584. [Google Scholar] [CrossRef]
- Fu, J.; Zhuang, C.; Qiu, J.; Ke, X.; Yang, X.; Jin, Z.; Zhang, L.; Yang, G.; Xie, L.; Xu, S.; et al. Core–Shell Biphasic Microspheres with Tunable Density of Shell Micropores Providing Tailorable Bone Regeneration. Tissue Eng. Part A 2019, 25, 588–602. [Google Scholar] [CrossRef]
- Madupalli, H.; Pavan, B.; Tecklenburg, M.M.J. Carbonate Substitution in the Mineral Component of Bone: Discriminating the Structural Changes, Simultaneously Imposed by Carbonate in A and B Sites of Apatite. J. Solid State Chem. 2017, 255, 27–35. [Google Scholar] [CrossRef]
- Theophanides, T. Research of Calcium Phosphates Using Fourier Transform Infrared Spectroscopy. In Infrared Spectroscopy—Materials Science, Engineering and Technology; InTech: London, UK, 2012. [Google Scholar] [CrossRef]
- Zita Gomes, R.; Paraud Freixas, A.; Han, C.-H.; Bechara, S.; Tawil, I. Alveolar Ridge Reconstruction with Titanium Meshes and Simultaneous Implant Placement: A Retrospective, Multicenter Clinical Study. BioMed Res. Int. 2016, 2016, 5126838. [Google Scholar] [CrossRef]
- Sheikh, Z.; Chen, G.; Thévenin, M.; Young, R.; Grynpas, M.; Glogauer, M. A Novel Anabolic Conjugate (C3) in the Matrix of Dicalcium Phosphate Onlay Block Grafts for Achieving Vertical Bone Augmentation: An Experimental Study on Rabbit Calvaria. Int. J. Oral Maxillofac. Implant. 2019, 34, e51–e63. [Google Scholar] [CrossRef]
- Kim, D.H.; Cha, J.; Song, Y.W.; Woo, K.M.; Jung, U. Bone Augmentation Using Small Molecules with Biodegradable Calcium Sulfate Particles in a Vertical Onlay Graft Model in the Rabbit Calvarium. J. Biomed. Mater. Res. 2020, 108, 1343–1350. [Google Scholar] [CrossRef] [PubMed]
- Xu, M.; Zhai, D.; Chang, J.; Wu, C. In vitro assessment of three-dimensionally plotted nagelschmidtite bioceramic scaffolds with varied macropore morphologies. Acta Biomater. 2014, 10, 463–476. [Google Scholar] [CrossRef] [PubMed]
- Shao, H.; Ke, X.; Liu, A.; Sun, M.; He, Y.; Yang, X.; Fu, J.; Liu, Y.; Zhang, L.; Yang, G.; et al. Bone Regeneration in 3D Printing Bioactive Ceramic Scaffolds with Improved Tissue/Material Interface Pore Architecture in Thin-Wall Bone Defect. Biofabrication 2017, 9, 025003. [Google Scholar] [CrossRef] [PubMed]
- Rathbone, C.R.; Guda, T.; Singleton, B.M.; Oh, D.S.; Appleford, M.R.; Ong, J.L.; Wenke, J.C. Effect of cell-seeded hydroxyapatite scaffolds on rabbit radius bone regeneration. J. Biomed. Mater. Res. Part A 2014, 102A, 1458–1466. [Google Scholar] [CrossRef] [PubMed]
- Zhang, W.; Feng, C.; Yang, G.; Li, G.; Ding, X.; Wang, S.; Dou, Y.; Zhang, Z.; Chang, J.; Wu, C.; et al. 3D-printed scaffolds with synergistic effect of hollow-pipe structure and bioactive ions for vascularized bone regeneration. Biomaterials 2017, 135, 85–95. [Google Scholar] [CrossRef] [PubMed]






Publisher’s Note: MDPI stays neutral with regard to jurisdictional claims in published maps and institutional affiliations. |
© 2022 by the authors. Licensee MDPI, Basel, Switzerland. This article is an open access article distributed under the terms and conditions of the Creative Commons Attribution (CC BY) license (https://creativecommons.org/licenses/by/4.0/).
Share and Cite
Hayashi, K.; Kishida, R.; Tsuchiya, A.; Ishikawa, K. Channel Aperture Characteristics of Carbonate Apatite Honeycomb Scaffolds Affect Ingrowths of Bone and Fibrous Tissues in Vertical Bone Augmentation. Bioengineering 2022, 9, 627. https://doi.org/10.3390/bioengineering9110627
Hayashi K, Kishida R, Tsuchiya A, Ishikawa K. Channel Aperture Characteristics of Carbonate Apatite Honeycomb Scaffolds Affect Ingrowths of Bone and Fibrous Tissues in Vertical Bone Augmentation. Bioengineering. 2022; 9(11):627. https://doi.org/10.3390/bioengineering9110627
Chicago/Turabian StyleHayashi, Koichiro, Ryo Kishida, Akira Tsuchiya, and Kunio Ishikawa. 2022. "Channel Aperture Characteristics of Carbonate Apatite Honeycomb Scaffolds Affect Ingrowths of Bone and Fibrous Tissues in Vertical Bone Augmentation" Bioengineering 9, no. 11: 627. https://doi.org/10.3390/bioengineering9110627
APA StyleHayashi, K., Kishida, R., Tsuchiya, A., & Ishikawa, K. (2022). Channel Aperture Characteristics of Carbonate Apatite Honeycomb Scaffolds Affect Ingrowths of Bone and Fibrous Tissues in Vertical Bone Augmentation. Bioengineering, 9(11), 627. https://doi.org/10.3390/bioengineering9110627

