Next Article in Journal
Towards Safety and Regulation Criteria for Clinical Applications of Decellularized Organ-Derived Matrices
Next Article in Special Issue
Feature Feedback-Based Pseudo-Label Learning for Multi-Standards in Clinical Acne Grading
Previous Article in Journal
Liposomal Nanocarriers to Enhance Skin Delivery of Chemotherapeutics in Cancer Therapy
 
 
Font Type:
Arial Georgia Verdana
Font Size:
Aa Aa Aa
Line Spacing:
Column Width:
Background:
Article

Deep Learning-Assisted Diagnostic System: Apices and Odontogenic Sinus Floor Level Analysis in Dental Panoramic Radiographs

1
Department of Periodontics, Division of Dentistry, Taoyuan Chang Gung Memorial Hospital, Taoyuan City 333034, Taiwan
2
Department of Program on Semiconductor Manufacturing Technology, Academy of Innovative Semiconductor and Sustainable Manufacturing, National Cheng Kung University, Tainan City 701401, Taiwan
3
Department of Electronic Engineering, Chung Yuan Christian University, Taoyuan City 32023, Taiwan
4
Department of Electrical Engineering, Ming Chi University of Technology, New Taipei City 243303, Taiwan
5
Department of Information Management, Chung Yuan Christian University, Taoyuan City 32023, Taiwan
6
Department of Electrical Engineering, National Cheng Kung University, Tainan City 701401, Taiwan
7
Ateneo Laboratory for Intelligent Visual Environments, Department of Information Systems and Computer Science, Ateneo de Manila University, Quezon City 1108, Philippines
*
Authors to whom correspondence should be addressed.
Bioengineering 2025, 12(2), 134; https://doi.org/10.3390/bioengineering12020134
Submission received: 28 December 2024 / Revised: 21 January 2025 / Accepted: 28 January 2025 / Published: 30 January 2025

Abstract

Odontogenic sinusitis is a type of sinusitis caused by apical lesions of teeth near the maxillary sinus floor. Its clinical symptoms are highly like other types of sinusitis, often leading to misdiagnosis as general sinusitis by dentists in the early stages. This misdiagnosis delays treatment and may be accompanied by toothache. Therefore, using artificial intelligence to assist dentists in accurately diagnosing odontogenic sinusitis is crucial. This study introduces an innovative odontogenic sinusitis image processing technique, which is fused with common contrast limited adaptive histogram equalization, Min-Max normalization, and the RGB mapping method. Moreover, this study combined various deep learning models to enhance diagnostic accuracy. The YOLO 11n model was used to detect odontogenic sinusitis single tooth position in dental panoramic radiographs and achieved an accuracy of 98.2%. The YOLOv8n-cls model diagnosed odontogenic sinusitis with a final classification accuracy of 96.1%, achieving a 16.9% improvement over non-enhanced methods and outperforming recent studies by at least 4%. Additionally, in clinical applications, the classification accuracy for non-odontogenic sinusitis was 95.8%, while for odontogenic sinusitis it was 97.6%. The detection method developed in this study effectively reduces the radiation dose patients receive during CT imaging and serves as an auxiliary system, providing dentists with reliable support for the precise diagnosis of odontogenic sinusitis.

Graphical Abstract

1. Introduction

In recent years, the rapid development of artificial intelligence (AI) has brought significant advancements to various technological fields, and the medical domain is no exception. Particularly in integrating medical imaging and deep learning, AI has demonstrated its advantages in efficient learning, driving innovations in intelligent healthcare systems that surpass traditional methods [1,2,3,4]. These research findings underscore AI’s extensive applications and remarkable effectiveness in the medical field, providing a solid foundation for the continued development of intelligent healthcare. Moreover, in the field of AI-assisted dentistry, AI has shown significant potential in improving diagnostic efficiency and accuracy. Studies have demonstrated using CNN models to tackle various dental challenges, such as detecting retained roots, endodontic-treated teeth, implants, impacted third molars, apical lesions, caries, and restorations [5,6,7,8]. For instance, CNN-based models like ResNet, YOLOv3, AlexNet, and GoogleNet have achieved high accuracy levels, often exceeding 90%. This integration of AI into dental medicine enhances diagnostic precision and streamlines clinical workflows, addressing the growing demand for efficient and reliable dental care solutions. However, research specifically focusing on the application of AI to odontogenic sinusitis-related features remains scarce. This highlights a critical gap in leveraging AI to assist in diagnosing and managing this condition, which is often associated with complex dental and sinus interactions. Bridging this gap could significantly improve early detection and treatment planning for odontogenic sinusitis, benefiting both patients and practitioners.
Odontogenic sinusitis is a multifactorial disease that has garnered significant attention [9], with etiologies including dental surgeries, foreign bodies, and odontogenic infections [10]. Studies have shown a positive correlation between the increase in dental surgeries and the incidence of odontogenic sinusitis [11]. This condition predominantly affects individuals aged 40 to 60, with a slightly higher prevalence in females than males. In odontogenic infections, the infection often originates from diseased teeth, such as pulpitis or periodontitis. Bacteria spread through the dental pulp or periodontal tissues, extending along the tooth roots into the sinus cavity, causing sinus inflammation and infection. When the root apices are in close proximity to the sinus floor, periodontal disease, dental caries, or dental treatments such as extractions and implant procedures can further increase the risk of sinus infection. Improper postoperative wound care following tooth extraction may also lead to sinus membrane perforation, which occurs when the thin maxillary sinus mucosa or Schneiderian membrane is damaged, allowing direct communication between the oral cavity and the sinus. This condition predisposes patients to secondary infections and can result in oroantral communication, where air or fluids pass between the oral cavity and the sinus, leading to prolonged healing or surgical complications.
The early symptoms of odontogenic sinusitis closely resemble those of general sinusitis, including nasal congestion, rhinorrhea, and foul odor [12]. Due to these nonspecific symptoms, distinguishing odontogenic sinusitis from other types of sinusitis can be challenging. Diagnosis often requires collaboration between otolaryngologists and dental professionals [13], further complicating early detection. Moreover, only about one-third of patients experience dental pain, making it even more challenging to identify the condition promptly [14]. Recognizing the anatomical relationship between the apical part of the teeth and the sinus floor is crucial in diagnosing odontogenic sinusitis, as this knowledge enables more precise differentiation from other forms of sinusitis and facilitates timely intervention. Research indicates that approximately 70.4% of patients resolve their symptoms within six months, while only 11.1% experience symptoms for over a year [12]. However, if left untreated, odontogenic sinusitis can spread to other areas, posing more significant risks to the patient’s health. A key characteristic of this disease is the proximity of the affected tooth roots to the maxillary sinus floor. When diagnosing sinusitis, it is essential to consider the presence of diseased teeth with roots near the sinus floor, as this can lead to a quicker and more accurate diagnosis of odontogenic sinusitis. The clinical challenge in diagnosing odontogenic sinusitis lies in the fact that patients often focus on nasal symptoms, which can lead to misdiagnosis, especially in medically underdeveloped areas, resulting in delayed treatment.
In the current literature, most studies use computed tomography (CT) to detect odontogenic sinusitis [15]. However, traditional CT scans typically involve higher radiation doses. Nonetheless, modern dental CT equipment, such as cone-beam CT (CBCT), has significantly reduced radiation exposure and has become a routine tool in dental imaging, especially for handling cases related to odontogenic sinusitis [16]. On the other hand, dental panoramic radiographs (DPR) offer an effective alternative. They can extract diagnostic information that would typically require CT, thereby avoiding the need for CT scans, reducing radiation exposure, and retaining sufficient diagnostic information. Rather than solely diagnosing odontogenic sinusitis using DPR, this study focuses on utilizing DPR to preliminarily assess whether the apical part of the teeth is close to the sinus floor. This early evaluation helps prevent potential odontogenic sinusitis or sinus membrane perforation during dental treatments. Furthermore, it allows for appropriate preventive measures, such as applying collagen after tooth extraction, to minimize the risk of sinus membrane perforation. To address challenges related to radiation exposure and diagnostic costs, this study employs image enhancement and deep learning techniques to process odontogenic sinusitis-related features from DPR. These approaches aim to enhance diagnostic performance, minimize radiation risks for patients, and assist dentists in preliminary diagnosis and treatment [17].
This study aims to develop an automated diagnostic system using image processing and deep learning techniques. The system is designed to determine whether dental root apices are close to the sinus floor. Additionally, it highlights sinus locations through image enhancement. This technology instantly identifies the proximity between tooth roots and the sinus floor when capturing a DPR image. It alerts patients to potential risks and facilitates case information sharing with otolaryngologists, providing additional reference data for clinical diagnosis. Moreover, the technology is applicable in resource-limited areas, aiding in screening high-risk populations and enhancing early diagnostic capabilities. In recent years, research combining artificial intelligence and medical imaging for automated diagnosis has gained significant attention [18]. Many studies have utilized image segmentation techniques on DPR images to enhance lesion recognition accuracy and optimize diagnostic results. To further strengthen model performance, this study applied a series of image preprocessing techniques to single-tooth images, including Gaussian blur [19], grayscale conversion [20], Contrast Limited Adaptive Histogram Equalization (CLAHE) [21], min–max normalization, and RGB mapping [22]. By advancing AI applications in medical imaging, this study seeks to address the limitations of current diagnostic methods in resource-constrained environments.

2. Materials and Methods

To enable lesion identification, this study adopted the workflow illustrated in Figure 1. First, DPR images were used as input and processed through a two-stage image segmentation technique to generate a dataset for training single-tooth detection. Subsequently, various image processing techniques were applied, and five different classification models were used for cross-comparison. Finally, the results were evaluated for the diagnosis of odontogenic sinusitis.

2.1. Single Tooth Object Detection

In this study, the maxillary region of each DPR image was annotated at the far-left and far-right sides, with the marked positions defined as the Region of Interest (ROI) for sinus invasion lesions, referred to as ROI-I. This region includes teeth #16, #17, #18, #26, #27, and #28, based on the Fédération Dentaire Internationale (FDI) numbering system [23], as shown in Figure 2. Single-tooth regions were further segmented from ROI-I to train the final classification model, defining them as ROI-II. This step aims to generate the dataset required for model training, enabling the model to be trained in more refined regions to enhance classification performance and accuracy.

2.1.1. ROI-I and ROI-II Annotation

Since the lesion areas near the sinus floor are located at the posterior left and right maxillary regions, it is essential to segment the Region of Interest (ROI) from DPR images before conducting lesion analysis. First, ROI-I includes teeth #16, #17, #18, #26, #27, and #28 based on the Fédération Dentaire Internationale (FDI) numbering system. This region is selected using quadrilateral bounding boxes, as illustrated in Figure 3a. This process ensures that ROI-I effectively encompasses potential sinus invasion lesion sites while excluding irrelevant areas, thereby improving the accuracy of subsequent model segmentation. After obtaining ROI-I, individual tooth regions (ROI-II) are further segmented. The precise quadrilateral tool is used for marking, ensuring the inclusion of the sinus line and the single tooth, as shown in Figure 3b. This method accurately captures the alignment and position of lesions, providing high-quality input data for CNN model segmentation and analysis. This two-stage segmentation approach significantly improves the accuracy of detecting whether tooth roots are close to the sinus floor in cases of odontogenic sinusitis, offering more reliable technical support for lesion analysis and assisted diagnosis.

2.1.2. Object Detection Model

This study conducted image detection and analysis for the segmented regions ROI-I and ROI-II, processing them for different targets. ROI-I was used to detect potential lesion areas in DPR images, while ROI-II focused on precisely detecting individual teeth and surrounding details. A CNN model was chosen as the foundational framework for initial training. To ensure optimal recognition performance in the segmented regions, various YOLO-based object detection architectures, including YOLOv8n, YOLOv9n, YOLOv10n, and YOLO11n, were comprehensively compared. Each model has unique features, and YOLO11n was selected as the primary framework for this study, and the block diagram and architecture are shown in Figure 4 and Table 1. YOLO11n integrates advanced technologies, including an upgraded feature extraction module, an improved multi-scale detection mechanism, and an optimized lightweight architecture, achieving a remarkable balance between speed and accuracy. Compared to YOLOv8n, YOLO11n reduces the number of parameters by 22% and is 2% faster in inference speed than YOLOv10n. Moreover, YOLO11n is optimized explicitly for Oriented Object Detection, enhancing the model’s ability to identify rotated or non-axis-aligned objects. In the YOLOv8n architecture, the C2f module optimizes the training process by introducing residual connections. YOLO11n replaces the C2f module with the C3k2 module, which uses two smaller convolutional layers combined with multi-path feature fusion techniques. This replacement accelerates data processing, reduces computational load, and improves feature extraction efficiency. Independent image datasets were prepared for image detection in ROI-I and ROI-II, with their distribution detailed in Table 2. ROI-I consisted of 163 panoramic PA images, while ROI-II was derived from ROI-I, comprising 129 images. These datasets were divided into training, validation, and test sets in a 7:2:1 ratio to ensure the reliability and stability of model training and evaluation.

2.2. Single Tooth Image Preprocessing

In the early stages of model training, image preprocessing plays a crucial role in enhancing image features, directly affecting the stability and final performance of the model. This study adopted three preprocessing methods, Gaussian blur, grayscale processing, and CLAHE, to improve overall image quality and optimize feature extraction. Gaussian blur effectively reduces high-frequency noise in images by smoothing out texture details, thereby highlighting the overall contours of the target region. CLAHE enhances local contrast and addresses uneven brightness distribution in images, ensuring that detailed features in DPR images are visible under varying brightness conditions. The combination of these preprocessing methods not only provides the model with a stable and high-quality input dataset, but also improves model accuracy, laying a solid foundation for subsequent training and evaluation.

2.2.1. Gaussian Blur

Tooth images often contain significant noise, which can reduce the effectiveness of deep learning training. To address this issue, this study applies Gaussian blur to grayscale images for noise reduction, thereby smoothing the image by reducing details. Each pixel is calculated as a weighted average of its surrounding pixels, achieving overall image smoothing, and the formula is shown in (1):
G ( x , y ) = 1 2 π σ 2 e x 2 + y 2 2 σ 2
The degree of blurring is controlled by adjusting the standard deviation σ. A larger σ value results in a more pronounced blurring effect. The symbols x and y represent the horizontal and vertical distances from the center of the kernel to the pixel being processed, respectively. The before and after Gaussian Blur results are shown in Figure 5a,b.

2.2.2. Grayscale Processing

This study employed the weighted averaging method to transform the red, green, and blue (R, G, B) channel values of color images into a single grayscale value, as the formula in (2) describes. The weights in this formula are derived from the equation specified by the National Television System Committee (NTSC) for wide-band luminance signals, as referenced in [24].
G r a y = 0.299 R + 0.587 G + 0.114 B
The primary purpose of grayscale processing is to simplify the data structure of images by removing color information and compressing three-channel data into a single channel. This significantly reduces computational complexity and resource consumption in subsequent processing. This method preserves the image’s main structural features and brightness information, as illustrated in Figure 5c. Grayscale processing enhances the contrast of lesion areas in dental medical imaging, making critical structures more prominent and further improving the model’s recognition capabilities. Compared to the simple averaging method, the weighted averaging method used in this study more accurately restores the brightness characteristics of the image, thereby improving the precision of image processing.

2.2.3. Contrast Limited Adaptive Histogram Equalization Process

This study also applied Contrast Limited Adaptive Histogram Equalization (CLAHE), with the processing results shown in Figure 5d. CLAHE performs histogram equalization within local regions while limiting contrast enhancement by clipping the histogram. It prevents the over-enhancement issues often associated with traditional adaptive histogram equalization. Before calculating the cumulative distribution function (CDF), the histogram is clipped to ensure that pixel values exceeding the predefined threshold do not affect contrast adjustment. This clipping effectively suppresses noise in the image, preventing it from being excessively amplified during the equalization process while preserving its overall structure and detailed features. In dental medical imaging and other low-contrast imaging applications, CLAHE significantly improves the visibility of details. Due to its localized processing characteristics, this technique enhances the contrast in critical regions while avoiding over-enhancement of the entire image. It provides higher-quality data for image analysis, contributing to improved diagnostic accuracy of the model.

2.3. Single Tooth Image Postprocessing

Image post-processing is a critical step in sinus floor lesion identification. This study found that in ROI-II, the min–max normalization result of grayscale areas is essential for diagnosing lesions. Therefore, the pixel values of ROI-II were first analyzed to calculate min–max normalization, capturing the distribution characteristics of grayscale levels. Subsequently, using RGB mapping techniques, the grayscale X-ray images were converted into colored images, with different grayscale regions colorized to highlight the relative relationship between the sinus and teeth.

2.3.1. Min–Max Normalization

The original single teeth image contains pixel values ranging from 0 to 255, as shown in Figure 6a. During deep learning training, the wide range of pixel values may lead to instability in the training process and even cause gradient explosion. To mitigate these issues, this study employs the Min-Max normalization method to scale each feature linearly to the range of [0,1], as described by Equation (3), where p represents the pixel value of the image. Normalized data not only prevent certain pixel values from disproportionately influencing the model but also effectively reduce the magnitude differences in the training data, thereby improving training efficiency. The pixel values after normalization are illustrated in Figure 6b.
p = p m i n ( p ) max p m i n ( p )

2.3.2. RGB Mapping

RGB mapping is a visualization technique that assigns colors to intensity values in 2D images, thereby highlighting regions of interest. In this study, after normalizing the data, the RGB mapping technique was applied to map the values onto the z-axis dimension, with the visualization results shown in Figure 7a. This approach effectively enhanced the contrast between the dental apices and the sinus, with the results before and after processing presented in Figure 7b,c. This process provided the model with more distinguishable image inputs, thereby improving its ability to identify pathological features. Furthermore, this study utilized RGB mapping to represent continuous color transitions for data features while ensuring clear differentiation between distinct color regions, further enhancing the visualization of image characteristics. The normalized value v was converted into the RGB color space using Equation (4), where R, G, and B represent the mapping functions for the red, green, and blue channels. The R, G, and B functions were calculated based on the value v using Formulas (5)–(7).
C o l o r v = ( R v , G v , B v )
R v = I n t ( 71 34 v + 541 v 2 3684 v 3 + 6300 v 4 2943 v 5 )
G v = I n t ( 408 479 v + 677 v 3 432 v 4 + 44 v 5 )
B v = I n t ( 77 + 652 v 2998 v 2 + 7226 v 3 8373 v 4 + 3441 v 5 )
These formulas transformed v into RGB color space, where the operation Int was applied to convert formula outputs into integers. The R, G, and B functions primarily represent the data with continuous color transitions ranging from blue to green to yellow. This transition effectively visualizes variations, making it easier to distinguish subtle differences.

2.4. Disease Classification Model and Classification Dataset

Convolutional Neural Networks (CNN) have demonstrated outstanding performance in the field of image classification. Their core architecture consists of convolution layers, pooling layers, and fully connected layers. By leveraging a multi-layer structure, CNNs can effectively capture key features in images and are widely applied in fields such as audio and image classification. With their robust feature extraction capabilities, CNNs have become a mainstream method for training image-based models.

2.4.1. Odontogenic Sinusitis Classification Model

In this study’s automated root invasion sinus recognition system, this study focused on CNN models and Transformer-based architectures, both of which have shown exceptional performance in image classification tasks. CNNs have long been used in medical imaging analysis for their superior ability to extract local features. Their core mechanism involves convolutional operations to capture fine-grained image features while significantly reducing computational costs and model complexity through parameter sharing.
This study compared five classification models: ResNet18 [25], ConvNeXtV2 [26], YOLOv8n-cls [27], YOLO11n-cls [28], and Swin-Transformer [29]. The characteristics and advantages of each model are outlined below. Moreover, YOLOv8n-cls and ResNet-18 are more commonly used in clinical practice, and the combined performance of these two models is significantly better than other models. Therefore, this study focuses on the application of these two models in symptom analysis.
  • ResNet18
ResNet18 introduced residual connections to address the vanishing gradient problem in deep networks. It has demonstrated stable performance across various classification tasks; the block diagram and architecture are shown in Figure 8a and Table 3.
2.
ConvNeXtV2
ConvNeXtV2 represents a modernized convolutional neural network (ConvNet) architecture, combining the strengths of self-supervised learning and ConvNet design. This model incorporates the Fully Convolutional Masked Autoencoder (FCMAE) framework and Global Response Normalization (GRN) techniques to enhance performance in tasks such as image classification, object detection, and semantic segmentation.
3.
YOLOv8n-cls and YOLO11n-cls
The YOLO series is renowned for object detection; its lightweight design and optimized classification head also enable strong performance in classification tasks. YOLO11n-cls further introduces an improved multi-scale feature detection mechanism and a lightweight architecture, achieving a notable balance between speed and accuracy; the YOLOv8n-cls block diagram and architecture are shown in Figure 8b and Table 4.
4.
Swin-Transformer
The Swin-Transformer is a representative Transformer-based model, which uses a hierarchical structure and shifted window attention mechanism to reduce computational complexity effectively while capturing multi-scale features. This makes it particularly suitable for analyzing high-resolution medical images.
This study utilized the NVIDIA A100 40G GPU for high-performance acceleration to ensure the efficiency and accuracy of model training and validation. The A100 offers powerful computational capabilities and large memory capacity, enabling support for large-scale datasets and deploying complex models. The hardware and software platform configurations used in this study are detailed in Table 5.

2.4.2. Classification Model Training and Validation and Dataset

Data processing and allocation are critical steps in the training and evaluation of machine learning models. This study adopted the following two strategies for the single-tooth image dataset. First, the original dataset was divided into two parts, as shown in Table 6, with 90% used for model training and 10% for validation. This allocation ensures the independence of the training process while providing sufficient validation data to evaluate model performance. However, due to the limited size of the original dataset, the model’s generalization capability may need to be revised. Data augmentation techniques were applied to address the issue of insufficient data. Specific methods included random rotation of the original images (within a range of ±5 degrees), adding random noise, and adjusting brightness. These techniques expanded the dataset to approximately three times its original size, significantly enhancing the model’s generalization capability. The distribution of the augmented dataset is shown in Table 7.

3. Results

This section is divided into two subsections, beginning with the detection results of single-tooth regions in DPR images, followed by an analysis of lesion classification models and their comparative evaluation across various metrics. This study used five metrics to evaluate the results, as shown in (8)–(12), and selected for analysis to comprehensively assess model performance: accuracy, precision, recall, F1 Score, and mAP50. These metrics were used to quantify the models’ classification capabilities and detection efficiency. Each formula is explained below:
  • Accuracy: Measures the proportion of correct predictions among all samples.
  • Recall: Assesses the model’s ability to identify all actual positives.
  • Precision: Indicates the proportion of true positives among predicted positives.
  • F1-Score: Balances Precision and Recall, suitable for imbalanced datasets.
  • mAP: Averages the precision across all classes, commonly used in detection tasks.
A c c u r a c y = T P + T N T P + T N + F P + F N
R e c a l l = T P T P + F N
P r e c i s i o n = T P T P + F P
F 1   Score = 2 × P r e c i s i o n × R e c a l l P r e c i s i o n + R e c a l l
m A P = 1 n i = 1 n A P i
In the context of evaluation metrics, these notations are fundamental components used to assess model performance. True Positive (TP) represents instances correctly identified as belonging to the positive class, while True Negative (TN) indicates instances correctly classified as belonging to the negative class. False Positive (FN) refers to cases incorrectly predicted as positive when they belong to the negative class. False Negative (FN) denotes instances wrongly classified as unfavorable when they genuinely belong to the positive class. In calculating mean Average Precision (mAP), n represents the total number of classes or queries being evaluated, and APi specifically denotes the Average Precision calculated for the i class or query in the evaluation set.

3.1. DPR Image Object Detection Result

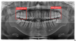
Table 8 demonstrates a comparison of different YOLO model performances. First, YOLO11n has outstanding performance across all metrics in the ROI-I phase, achieving an accuracy of 90.0%. This represents a significant improvement compared to YOLOv8n (70.6%) and YOLOv10n (80.0%) while being slightly higher than YOLOv9n (89.5%). Its precision reached 94.4%, the highest among all models, indicating that YOLO11n effectively minimizes false positive results. The recall was also 94.4%, matching YOLOv9n’s performance. In molar teeth position detection, the image shows two highlighted regions with prediction accuracies of 92% and 91%, indicating consistent performance in molar teeth detection. In the ROI-II phase, YOLO11n achieved the best performance, with an accuracy of 93.2%, precision of 94.8%, and a remarkably high recall of 98.2%. For the single tooth position detection, the highlighted regions show prediction accuracies of 89% and 99%, demonstrating the model’s capability to precisely identify individual teeth. These metrics indicate that YOLO11n excels in classifying target regions and detecting all target instances. Additionally, its F1 score reached 98.2%, demonstrating exceptional capability in balancing precision and recall, further solidifying its advantage in detection and classification tasks.
In Figure 9a, the precision–confidence curve shows that YOLO11n outperforms other models in most confidence intervals, particularly in high-confidence regions where its curve displays a stable and precise trend. This reflects the model’s reliability in high-confidence intervals. Additionally, in Figure 9b, the F1-confidence curve illustrates that YOLO11n maintained a high F1 score across different confidence values, primarily excelling in the mid-to-high confidence range. This indicates that YOLO11n has significant advantages in balancing precision and recall, enabling more accurate identification of target regions while enhancing the overall reliability of detection.

3.2. Single Tooth Classification Model

This study compared five classification models: ResNet18, ConvNeXtV2, Swin-Transformer, YOLOv8n-cls, and YOLO11n-cls. During the evaluation of each model’s performance in the training and validation phases, particular attention was paid to the trend of the loss function curves to explore the models’ applicability and learning efficiency. The loss function, which measures the difference between the model’s predictions and the proper labels, is a core indicator. Its behavior during training and validation directly reflects the model’s learning effectiveness and stability. In the training phase, changes in the loss curve provide insights into the model’s convergence speed and stability on the dataset. Meanwhile, the validation phase loss reflects the model’s generalization performance on unseen data. If the loss curve stabilizes too early or if there is a significant deviation between the training and validation curves, it may indicate overfitting or underfitting issues. The loss function curves for YOLOv8n-cls and ResNet18 during both the training and validation phases are shown in this study. For classification tasks, the study employs the binary cross-entropy loss function, which is defined by Equation (13). This function calculates the difference between the predicted probability, p x i , that an instance x i belongs to the default class, and the true binary label y i , which can be either 0 or 1. This loss function computes the logarithmic error between the predicted probability and the true label for each instance. When the predicted probability p x i is close to the true label y i , the loss is small, indicating a correct prediction.
L = ( y i log p x i + ( 1 y i ) log 1 p x i )
From Figure 10, it is evident that YOLOv8n-cls demonstrates faster convergence in the training phase compared to ResNet18. The training loss for YOLOv8n-cls decreases more rapidly and stabilizes at a lower value, indicating higher learning efficiency and potentially better optimization during training. Additionally, the final validation loss for YOLOv8n-cls is lower than that of ResNet18, reinforcing its superior performance in handling unseen data. Overall, YOLOv8n-cls demonstrates better convergence speed, learning stability, and generalization compared to ResNet18 in this analysis.
Table 9 presents the impact of the image processing techniques developed in this study on model accuracy, including image preprocessing techniques (Gaussian Blur + Grayscale Processing + CLAHE) and postprocessing techniques (Min–Max normalization + RGB Mapping). The original dataset’s classification accuracies of ResNet18 and YOLO11n-cls were 85.7% and 90.9%, respectively. After applying preprocessing, the performance of nearly all models improved significantly, with the classification accuracy of Swin-Transformer increasing to 96.1%, indicating its higher sensitivity to images optimized for brightness distribution. The model performance was further enhanced when combining preprocessing and postprocessing techniques. YOLOv8n-cls achieved a classification accuracy of 96.1%, surpassing YOLO11n-cls and demonstrating the effectiveness of this combined processing approach in enhancing classification capabilities. Furthermore, after integrating all processing techniques, YOLOv8n-cls ultimately achieved a classification accuracy of 96.1% and a recall rate of 97.1%, representing a 16.9% improvement in accuracy compared to the original dataset.
Additionally, this study conducted a detailed evaluation of the YOLOv8n-cls model’s performance in image classification tasks. From the ROC curve in Figure 11, it can be observed that YOLOv8n-cls achieved an AUC value of 0.861, significantly higher than ResNet18 (AUC = 0.794) and Swin-Transformer (AUC = 0.783). This highlights the outstanding classification accuracy of YOLOv8n-cls and its ability to maintain a good balance between the True Positive Rate and False Positive Rate.
From the confusion matrix data in Table 10, it is evident that the YOLOv8n-cls exhibited a high recognition capability and stability level when distinguishing whether a tooth root apex was near the sinus floor. For the category where the tooth root apex was not near the sinus floor, the model successfully identified 41 samples, with only one misclassification. In the category where the tooth root apex was near the sinus floor, the model correctly identified 33 samples, with just two misclassifications. These results demonstrate that the model achieves exceptionally high accuracy across different conditions.
Table 11 provides clinical assessment results. For cases without sinus invasion, YOLOv8n-cls achieved an average precision of 97.6%, outperforming ResNet18, which achieved 91.7%. Similarly, for cases involving sinus invasion, YOLOv8n-cls achieved a higher average precision of 95.8% compared to 90.5% for ResNet18. This indicates that YOLOv8n-cls possesses superior recognition capabilities for handling more complex pathological features.

4. Discussion

This study proposed a deep learning-based solution for the automated diagnosis of whether tooth root apices are near the sinus floor, successfully integrating image processing techniques with CNN to identify such lesions in DPR images. The results demonstrated that through two-stage ROI detection (ROI-I and ROI-II), the model achieved verification levels of over 90% in both accuracy and recall. The first stage, ROI-I detection, focused on annotating maxillary tooth positions (e.g., FDI numbering) while emphasizing potential lesion areas and minimizing background noise in full-image processing. This stage laid the groundwork for more detailed subsequent analysis. The second stage, ROI-II detection, further refined the focus within the ROI-I regions, concentrating on individual tooth feature areas. This phase identified critical regions around the tooth roots and sinus cavity, achieving higher accuracy in lesion recognition. This two-stage processing workflow improved the model’s diagnostic performance and effectively reduced interference in image analysis, providing reliable technical support for clinical diagnostics.
This study utilized the YOLOv11n model and compared its performance with other traditional algorithmic models, demonstrating significant advantages in single-tooth detection tasks on DPR images. The YOLOv11n model achieved a precision and recall of 98.2% and a mAP50 of 97.8%, substantially outperforming other methods. In contrast, study [30] used Faster R-CNN and achieved a precision of only 83.8% and a recall of 79.1%, while traditional algorithmic models yielded a mAP50 of just 96.7% [31]. These results highlight YOLOv11n’s exceptional performance in detection stability and accuracy, further validating the effectiveness of the two-stage DPR detection method adopted in this study. The detection results underscore the strong potential of YOLO series models in medical imaging, particularly for small-scale, high-precision object detection tasks. Although the two-stage detection process is slightly more complex than single-stage detection, its improvements in accuracy and stability are critical. Traditional single-stage detection strategies often need help with uneven feature distribution or substantial background interference in medical images. In contrast, the two-stage detection design progressively focuses on finer feature regions, effectively filtering out unnecessary information and enabling the model to capture lesion-related features more accurately. On the other hand, the CLAHE technique used in this study proved highly effective in improving image brightness uniformity and detail visibility, significantly enhancing the model’s classification performance. In the postprocessing phase, the RGB mapping technique, which converted grayscale information into intuitive color representations, notably improved the model’s ability to identify whether tooth root apices were near the sinus floor. As shown in Table 12, the YOLOv8n-cls model achieved a classification accuracy of 96.1% after applying RGB mapping, a 4.1% improvement over DetectNet [32], and an 8% increase in recall. Furthermore, compared to traditional CNN models [33], this study achieved 20% improvement across all performance metrics, emphasizing the critical role of RGB mapping in enhancing image features. In summary, the main contributions of this study are as follows.
  • YOLO11n achieved a maximum precision of 98.2% and a recall of 98.2%. Accuracy increased by 14% compared to other models and studies, which improved by 19%.
  • The study utilized innovative odontogenic sinusitis image preprocessing and postprocessing methods to improve 16.9% accuracy in YOLOv8n-cls disease classification, which is higher than other classification models.
  • In clinical applications, YOLOv8n-cls classification accuracy for non-odontogenic sinusitis achieves 95.8%, and odontogenic sinusitis achieves 97.6%.
This study achieved several technical breakthroughs but also has certain limitations. First, the limited size of the dataset may impact the model’s generalization capability. Although data augmentation techniques partially address the issue of insufficient samples, further validation on larger-scale datasets is necessary. Additionally, during the segmentation of the ROI-II region, different models may introduce excessive irrelevant features in their processing of the tooth region, potentially affecting the stability of classification results. Future research should focus on designing more precise segmentation algorithms to minimize the introduction of noise while retaining key features relevant to the lesions. Additionally, further efforts are required to explore integrating the proposed deep learning system into existing imaging platforms used in clinical practice. This would include evaluating compatibility with current hardware and software, assessing workflow efficiency, and ensuring regulatory compliance to facilitate its adoption in real-world clinical settings.

5. Conclusions

This study developed an AI-assisted diagnostic system that significantly improves the accuracy of detecting and classifying odontogenic sinusitis using dental panoramic radiographs. The proposed system demonstrates strong potential for clinical applications, offering reliable support for early diagnosis and paving the way for broader intelligent dental diagnostic platforms.

Author Contributions

Conceptualization, P.-Y.W.; Data curation, P.-Y.W.; Formal analysis, Y.-J.L.; Funding acquisition, C.-A.C. and K.-C.L.; Methodology, Y.-J.C. and S.-T.W.; Resources, P.-Y.W.; Software, Y.-J.L., Y.-J.C., S.-T.W. and C.-A.C.; Validation, Y.-J.L.; Visualization, Y.-J.L., Y.-J.C. and S.-T.W.; Writing—original draft, Y.-J.L.; Writing—review and editing, C.-A.C., K.-C.L., W.-C.T. and P.A.R.A. All authors have read and agreed to the published version of the manuscript.

Funding

This work was supported by the National Science and Technology Council (NSTC), Taiwan, under grant number NSTC-112-2410-H-033-014, which provided NT$540,000 as funding for this research.

Institutional Review Board Statement

Chang Gung Medical Foundation Institutional Review Board; IRB number: 02002030B0; Date of Approval: 2020/12/01; Protocol Title: A Convolutional Neural Network Approach for Dental Bite-Wing, Panoramic and Periapical Radiographs Classification; Executing Institution: Chang-Geng Medical Foundation Taoyuan Chang-Geng Memorial Hospital of Taoyuan; Duration of Approval: From 2020/12/1 To 2021/11/30; The IRB reviewed and determined that it is expedited review according to Case research or cases treated or diagnosed by clinical routines. However, this does not include HIV-positive cases.

Informed Consent Statement

The IRB approves the waiver of the participants’ consent.

Data Availability Statement

This study will not provide any database or source code due to ethical issues.

Acknowledgments

The authors are grateful to the Applied Electrodynamics Laboratory (Department of Physics, National Taiwan University) for supporting the microwave calibration kit and microwave components.

Conflicts of Interest

The authors declare no conflicts of interest.

References

  1. Acharya, U.R.; Oh, S.L.; Hagiwara, Y.; Tan, J.H.; Adam, M.; Gertych, A.; San Tan, R. A deep convolutional neural network model to classify heartbeats. Comput. Biol. Med. 2017, 89, 389–396. [Google Scholar] [CrossRef]
  2. Mostavi, M.; Chiu, Y.-C.; Huang, Y.; Chen, Y. Convolutional neural network models for cancer type prediction based on gene expression. BMC Med. Genom. 2020, 13, 44. [Google Scholar] [CrossRef]
  3. Calisto, F.M.; Santiago, C.; Nunes, N.; Nascimento, J.C. BreastScreening-AI: Evaluating medical intelligent agents for human-AI interactions. Artif. Intell. Med. 2022, 127, 102285. [Google Scholar] [CrossRef]
  4. Huang, G.; Liu, Z.; van der Maaten, L.; Weinberger, K.Q. Densely Connected Convolutional Networks. arXiv 2018, arXiv:1608.06993. [Google Scholar]
  5. Chen, S.-L.; Chen, T.-Y.; Mao, Y.-C.; Lin, S.-Y.; Huang, Y.-Y.; Chen, C.-A.; Lin, Y.-J.; Hsu, Y.-M.; Li, C.-A.; Chiang, W.-Y.; et al. Automated Detection System Based on Convolution Neural Networks for Retained Root, Endodontic Treated Teeth, and Implant Recognition on Dental Panoramic Images. IEEE Sens. J. 2022, 22, 23293–23306. [Google Scholar] [CrossRef]
  6. Celik, M.E. Deep Learning Based Detection Tool for Impacted Mandibular Third Molar Teeth. Diagnostics 2022, 12, 942. [Google Scholar] [CrossRef] [PubMed]
  7. Chuo, Y.; Lin, W.-M.; Chen, T.-Y.; Chan, M.-L.; Chang, Y.-S.; Lin, Y.-R.; Lin, Y.-J.; Shao, Y.-H.; Chen, C.-A.; Chen, S.-L.; et al. A High-Accuracy Detection System: Based on Transfer Learning for Apical Lesions on Periapical Radiograph. Bioengineering 2022, 9, 777. [Google Scholar] [CrossRef] [PubMed]
  8. Mao, Y.-C.; Chen, T.-Y.; Chou, H.-S.; Lin, S.-Y.; Liu, S.-Y.; Chen, Y.-A.; Liu, Y.-L.; Chen, C.-A.; Huang, Y.-C.; Chen, S.-L.; et al. Caries and Restoration Detection Using Bitewing Film Based on Transfer Learning with CNNs. Sensors 2021, 21, 4613. [Google Scholar] [CrossRef]
  9. Arias-Irimia, O.; Barona-Dorado, C.; Santos-Marino, J.A.; Martínez-Rodriguez, N.; Martínez-González, J.M. Meta-analysis of the etiology of odontogenic maxillary sinusitis. Med. Oral Patol. Oral Cir. Bucal 2010, 15, e70–e73. [Google Scholar] [CrossRef] [PubMed]
  10. Mehra, P.; Murad, H. Maxillary sinus disease of odontogenic origin. Otolaryngol. Clin. N. Am. 2004, 37, 347–364. [Google Scholar] [CrossRef]
  11. Galli, M.; De Soccio, G.; Cialente, F.; Candelori, F.; Federici, F.R.; Ralli, M.; De Vincentiis, M.; Minni, A. Chronic maxillary sinusitis of dental origin and oroantral fistula: The results of combined surgical approach in an Italian university hospital. Bosn. J. Basic Med. Sci. 2020, 20, 524–530. [Google Scholar] [CrossRef]
  12. Liu, J.F.; Brigitta, X.L.; Wang, Y.J.; Dai, J.S.; Ren, Y.Y.; Zhang, Y.; Li, W.; Wang, N.Y. Clinical characteristics of patients with odontogenic sinusitis underwent endoscopic sinus surgery. Zhonghua Er Bi Yan Hou Tou Jing Wai Ke Za Zhi 2021, 56, 848–853. [Google Scholar] [PubMed]
  13. Craig, J.R.; Poetker, D.M.; Aksoy, U.; Allevi, F.; Biglioli, F.; Cha, B.Y.; Chiapasco, M.; Lechien, J.R.; Safadi, A.; Dds, R.S.; et al. Diagnosing odontogenic sinusitis: An international multidisciplinary consensus statement. Int. Forum Allergy Rhinol. 2021, 11, 1235–1248. [Google Scholar] [CrossRef]
  14. Maillet, M.; Bowles, W.R.; McClanahan, S.L.; John, M.T.; Ahmad, M. Cone-beam computed tomography evaluation of maxillary sinusitis. J. Endod. 2011, 37, 753–757. [Google Scholar] [CrossRef]
  15. Jha, M.; Hasija, Y. Artificial Intelligence In Field of Medical Imaging Informatics. In Proceedings of the 2023 3rd International Conference on Advance Computing and Innovative Technologies in Engineering (ICACITE), Greater Noida, India, 12–13 May 2023; pp. 661–666. [Google Scholar] [CrossRef]
  16. Kaasalainen, T.; Ekholm, M.; Siiskonen, T.; Kortesniemi, M. Dental cone beam CT: An updated review. Phys. Med. Eur. J. Med. Phys. 2021, 88, 193–217. [Google Scholar] [CrossRef]
  17. Katsumata, A. Deep learning and artificial intelligence in dental diagnostic imaging. Jpn. Dent. Sci. Rev. 2023, 59, 329–333. [Google Scholar] [CrossRef] [PubMed]
  18. Chen, R.-C.; Dewi, C.; Zhuang, Y.-C.; Chen, J.-K. Contrast Limited Adaptive Histogram Equalization for Recognizing Road Marking at Night Based on Yolo Models. IEEE Access 2023, 11, 92926–92942. [Google Scholar] [CrossRef]
  19. Žeger, I.; Grgić, S. An Overview of Grayscale Image Colorization Methods. In Proceedings of the 2020 International Symposium ELMAR, Zadar, Croatia, 14–15 September 2020; pp. 109–112. [Google Scholar] [CrossRef]
  20. Nechyporenko, A.; Frohme, M.; Alekseeva, V.; Gargin, V.; Sytnikov, D.; Hubarenko, M. Deep Learning Based Image Segmentation for Detection of Odontogenic Maxillary Sinusitis. In Proceedings of the 2022 IEEE 41st International Conference on Electronics and Nanotechnology (ELNANO), Kyiv, Ukraine, 10–14 October 2022; pp. 339–342. [Google Scholar] [CrossRef]
  21. Schmidt, C.W. CT Scans: Balancing Health Risks and Medical Benefits. Environ. Health Perspect. 2012, 120, a118–a121. [Google Scholar] [CrossRef] [PubMed]
  22. Rosin, P.L.; Lai, Y.-K.; Shao, L.; Liu, Y. (Eds.) RGB-D Image Analysis and Processing. In Advances in Computer Vision and Pattern Recognition; Springer International Publishing: Cham, Switzerland, 2019. [Google Scholar] [CrossRef]
  23. Santosh, A.B.R.; Jones, T. Enhancing Precision: Proposed Revision of FDI’s 2-Digit Dental Numbering System. Int. Dent. J. 2024, 74, 359–360. [Google Scholar] [CrossRef]
  24. Fisher, J.F. Generation of NTSC Color Signals. Proc. IRE 1953, 41, 338–343. [Google Scholar] [CrossRef]
  25. Abhishek, A.V.S.; Gurrala, D.V.R.; Sahoo, D.L. Resnet18 Model with Sequential Layer for Computing Accuracy on Image Classification Dataset. Int. J. Creat. Res. Thoughts 2022, 10, c176–c181. [Google Scholar]
  26. Woo, S.; Debnath, S.; Hu, R.; Chen, X.; Liu, Z.; Kweon, I.S.; Xie, S. ConvNeXt V2: Co-designing and Scaling ConvNets with Masked Autoencoders. In Proceedings of the 2023 IEEE/CVF Conference on Computer Vision and Pattern Recognition (CVPR), Vancouver, BC, Canada, 17–24 June 2023; pp. 16133–16142. [Google Scholar] [CrossRef]
  27. Hussain, M. YOLO-v1 to YOLO-v8, the Rise of YOLO and Its Complementary Nature toward Digital Manufacturing and Industrial Defect Detection. Machines 2023, 11, 677. [Google Scholar] [CrossRef]
  28. Sapkota, R.; Qureshi, R.; Calero, M.F.; Badjugar, C.; Nepal, U.; Poulose, A.; Zeno, P.; Vaddevolu, U.B.P.; Khan, S.; Shoman, M.; et al. YOLO11 to Its Genesis: A Decadal and Comprehensive Review of The You Only Look Once (YOLO) Series. arXiv 2025, arXiv:2406.19407. [Google Scholar]
  29. Liu, Z.; Lin, Y.; Cao, Y.; Hu, H.; Wei, Y.; Zhang, Z.; Lin, S.; Guo, B. Swin Transformer: Hierarchical Vision Transformer using Shifted Windows. In Proceedings of the 2021 IEEE/CVF International Conference on Computer Vision (ICCV), Montreal, QC, Canada, 10–17 October 2021; pp. 9992–10002. [Google Scholar] [CrossRef]
  30. Chen, H.; Zhang, K.; Lyu, P.; Li, H.; Zhang, L.; Wu, J.; Lee, C.H. A deep learning approach to automatic teeth detection and numbering based on object detection in dental periapical films. Sci. Rep. 2019, 9, 3840. [Google Scholar] [CrossRef]
  31. Kim, C.; Kim, D.; Jeong, H.; Yoon, S.-J.; Youm, S. Automatic Tooth Detection and Numbering Using a Combination of a CNN and Heuristic Algorithm. Appl. Sci. 2020, 10, 5624. [Google Scholar] [CrossRef]
  32. Kuwana, R.; Ariji, Y.; Fukuda, M.; Kise, Y.; Nozawa, M.; Kuwada, C.; Muramatsu, C.; Katsumata, A.; Fujita, H.; Ariji, E. Performance of deep learning object detection technology in the detection and diagnosis of maxillary sinus lesions on panoramic radiographs. Dentomaxillofac. Radiol. 2021, 50, 20200171. [Google Scholar] [CrossRef] [PubMed]
  33. Serindere, G.; Bilgili, E.; Yesil, C.; Ozveren, N. Evaluation of maxillary sinusitis from panoramic radiographs and cone-beam computed tomographic images using a convolutional neural network. Imaging Sci. Dent. 2022, 52, 187–195. [Google Scholar] [CrossRef]
Figure 1. Assisted evaluation of odontogenic sinusitis research flowchart.
Figure 1. Assisted evaluation of odontogenic sinusitis research flowchart.
Bioengineering 12 00134 g001
Figure 2. Fédération Dentaire Internationale tooth position representation.
Figure 2. Fédération Dentaire Internationale tooth position representation.
Bioengineering 12 00134 g002
Figure 3. DPR image annotation.
Figure 3. DPR image annotation.
Bioengineering 12 00134 g003
Figure 4. YOLO11n block diagram.
Figure 4. YOLO11n block diagram.
Bioengineering 12 00134 g004
Figure 5. Single tooth image preprocessing.
Figure 5. Single tooth image preprocessing.
Bioengineering 12 00134 g005
Figure 6. Min–max normalization analysis of single tooth images.
Figure 6. Min–max normalization analysis of single tooth images.
Bioengineering 12 00134 g006
Figure 7. RGB mapping processing.
Figure 7. RGB mapping processing.
Bioengineering 12 00134 g007
Figure 8. Fine-tuning classification model used in this study.
Figure 8. Fine-tuning classification model used in this study.
Bioengineering 12 00134 g008
Figure 9. ROI-II detection using YOLO models.
Figure 9. ROI-II detection using YOLO models.
Bioengineering 12 00134 g009
Figure 10. Loss function diagram during the training and verification process of YOLOv8n-cls and ResNet18.
Figure 10. Loss function diagram during the training and verification process of YOLOv8n-cls and ResNet18.
Bioengineering 12 00134 g010
Figure 11. Comparison of the ROC curves of each model under RGB Mapping.
Figure 11. Comparison of the ROC curves of each model under RGB Mapping.
Bioengineering 12 00134 g011
Table 1. YOLO11n architecture.
Table 1. YOLO11n architecture.
Block NumberTypeKernel SizeStrideFiltersFuture Map Size
0Conv3264320 × 320 × 16
1Conv32128160 × 160 × 32
2C3k2--256160 × 160 × 64
3Conv3225680 × 80 × 64
4C3k2--51280 × 80 × 128
5Conv3251240 × 40 × 128
6C3k2--51240 × 40 × 128
7Conv32102420 × 20 × 256
8C3k2--102420 × 20 × 256
9SPPF5-102420 × 20 × 256
10C2PSA--102420 × 20 × 256
11Upsample--102440 × 40 × 256
12Concat----
13C3k2--51240 × 40 × 128
14Upsample--51280 × 80 × 128
15Concat----
16C3k2--25680 × 80 × 64
17Conv3225640 × 40 × 128
18Concat----
19C3k2--51240 × 40 × 128
20Conv3251220 × 20 × 128
21Concat -
22C3k2 20 × 20 × 256
Table 2. Number of training and validation sets for object detection.
Table 2. Number of training and validation sets for object detection.
DatasetTraining SetValidation SetTest SetTotal
ROI-I126307163
ROI-II883011129
Table 3. ResNet18 architecture.
Table 3. ResNet18 architecture.
Block NumberTypeKernel SizeStrideFiltersFuture Map Size
0Conv7 × 7264112 × 112 × 64
1Max pool3 × 32-56 × 56 × 64
2Conv3 × 316456 × 56 × 64
3Conv3 × 316456 × 56 × 64
4Conv3 × 316456 × 56 × 64
5Conv3 × 316456 × 56 × 64
6Conv3 × 3212828 × 28 × 128
7Conv3 × 3112828 × 28 × 128
8Conv3 × 3112828 × 28 × 128
9Conv3 × 3112828 × 28 × 128
10Conv3 × 3225614 × 14 × 256
11Conv3 × 3125614 × 14 × 256
12Conv3 × 3125614 × 14 × 256
13Conv3 × 3125614 × 14 × 256
14Conv3 × 325127 × 7 × 512
15Conv3 × 315127 × 7 × 512
16Conv3 × 315127 × 7 × 512
17Conv3 × 315127 × 7 × 512
18Average pool---1 × 1 × 512
19FC--641000
20Softmax--1281000
Table 4. YOLOv8n-cls architecture.
Table 4. YOLOv8n-cls architecture.
Block NumberTypeKernel SizeStrideFiltersFuture Map Size
0Conv3264320 × 320 × 16
1Conv32128160 × 160 × 32
2C2f--128160 × 160 × 64
3Conv3225680 × 80 × 64
4C2f--25680 × 80 × 128
5Conv3251240 × 40 × 128
6C2f--51240 × 40 × 128
7Conv32102420 × 20 × 256
8C2f--102420 × 20 × 256
9SPPF5-102420 × 20 × 256
10Upsample--102420 × 20 × 256
11Concat---40 × 40 × 256
12C2f--51240 × 40 × 128
13Upsample--51280 × 80 × 128
14Concat---80 × 80 × 128
15C2f--25680 × 80 × 64
16Conv3225640 × 40 × 64
17Concat---40 × 40 × 64
18C2f--51240 × 40 × 128
19Conv3251220 × 20 × 128
20Concat---20 × 20 × 128
21C2f--102420 × 20 × 256
Table 5. Hardware and software platform versions.
Table 5. Hardware and software platform versions.
Hardware PlatformVersion
GPUNVIDIA A100
DRAM40 GB
Software PlatformVersion
Python3.8.13
PyTorch1.12.1+cu116
CUDA11.6
Table 6. Number of classification model training sets and validation sets.
Table 6. Number of classification model training sets and validation sets.
Training SetValidation SetTotal
Normal13313146
Odontogenic sinusitis13413147
Total26726293
Table 7. Data volume of disease symptom classification database after data augmentation.
Table 7. Data volume of disease symptom classification database after data augmentation.
OriginalAugmentation
Training Set267801
Validation Set2677
Total293878
Table 8. Results of two-stage single tooth detection using DPR images.
Table 8. Results of two-stage single tooth detection using DPR images.
Molar Teeth Position Detection YOLOv8nYOLOv9nYOLOv10nYOLO11n
Bioengineering 12 00134 i001Accuracy70.6%89.5%80.0%90.0%
Precision92.8%93.5%89.9%94.4%
Recall88.9%94.4%83.3%94.4%
F1 Score90.3%93.9%86.4%94.4%
mAP5089.7%90.8%83.5%90.6%
Single Tooth Position Detection YOLOv8nYOLOv9nYOLOv10nYOLO11n
Bioengineering 12 00134 i002Accuracy93.1%88.3%93.2%93.2%
Precision96.3%93.2%94.8%98.2%
Recall96.4%97.6%98.1%98.2%
F1 Score96.3%95.3%96.3%98.2%
mAP5098.5%97.6%98.1%97.8%
Table 9. Classification model validation results with different image enhancement methods.
Table 9. Classification model validation results with different image enhancement methods.
MethodIndexConvNeXtv2Swin-TransformerResNet18YOLOv8n-clsYOLO11n-cls
OriginalAccuracy54.5%83.1%85.7%79.2%90.9%
Precision50.0%76.3%81.6%94.3%91.4%
Recall74.3%91.4%96.5%93.5%88.9%
F1 Score59.8%83.2%88.4%93.9%90.1
PreprocessingAccuracy77.9%96.1%89.6%91.7%89.6%
Precision76.5%93.3%96.6%94.3%97.1%
Recall74.3%91.4%96.5%93.5%82.9%
F1 Score75.4%92.3%96.5%93.9%89.4%
Preprocessing +
Postprocessing
Accuracy77.9%90.9%94.8%96.1%89.6%
Precision69.6%85.7%91.4%97.1%97.1%
Recall74.3%91.4%96.5%97.1%82.9%
F1 Score71.9%88.5%93.9%97.1%89.4%
Table 10. Confusion matrix of YOLOv8n-cls validation set.
Table 10. Confusion matrix of YOLOv8n-cls validation set.
Actual
No Sinus InvasionSinus Invasion
PredictNo sinus invasion412
Sinus invasion133
Table 11. Clinical assessment comparison of Validation Results with Ground Truth.
Table 11. Clinical assessment comparison of Validation Results with Ground Truth.
Ground Truth
No Sinus Invasion
Bioengineering 12 00134 i003Bioengineering 12 00134 i004Bioengineering 12 00134 i005Bioengineering 12 00134 i006Bioengineering 12 00134 i007Bioengineering 12 00134 i008Average Precision
PrecisionYOLOv8n-cls95%96%95%99%99%96%97.6%
ResNet1889%94%93%92%94%88%91.7%
Ground truth
Sinus invasion
Bioengineering 12 00134 i009Bioengineering 12 00134 i010Bioengineering 12 00134 i011Bioengineering 12 00134 i012Bioengineering 12 00134 i013Bioengineering 12 00134 i014Average Precision
PrecisionYOLOv8n-cls99%98%95%96%93%96.7%95.8%
ResNet1895%90%87%92%88%91%9.5%
Table 12. Comparison with other research in sinus floor level detection.
Table 12. Comparison with other research in sinus floor level detection.
MethodModelAccuracyPrecisionRecallF1-Score
This StudyYOLOv8n-cls96.1%97.1%96.1%96.6%
[32]DetectNet92%96%88%X-
[33]CNN Model75.7%75.7%75.7%75.7%
Disclaimer/Publisher’s Note: The statements, opinions and data contained in all publications are solely those of the individual author(s) and contributor(s) and not of MDPI and/or the editor(s). MDPI and/or the editor(s) disclaim responsibility for any injury to people or property resulting from any ideas, methods, instructions or products referred to in the content.

Share and Cite

MDPI and ACS Style

Wu, P.-Y.; Lin, Y.-J.; Chang, Y.-J.; Wei, S.-T.; Chen, C.-A.; Li, K.-C.; Tu, W.-C.; Abu, P.A.R. Deep Learning-Assisted Diagnostic System: Apices and Odontogenic Sinus Floor Level Analysis in Dental Panoramic Radiographs. Bioengineering 2025, 12, 134. https://doi.org/10.3390/bioengineering12020134

AMA Style

Wu P-Y, Lin Y-J, Chang Y-J, Wei S-T, Chen C-A, Li K-C, Tu W-C, Abu PAR. Deep Learning-Assisted Diagnostic System: Apices and Odontogenic Sinus Floor Level Analysis in Dental Panoramic Radiographs. Bioengineering. 2025; 12(2):134. https://doi.org/10.3390/bioengineering12020134

Chicago/Turabian Style

Wu, Pei-Yi, Yuan-Jin Lin, Yu-Jen Chang, Sung-Tsun Wei, Chiung-An Chen, Kuo-Chen Li, Wei-Chen Tu, and Patricia Angela R. Abu. 2025. "Deep Learning-Assisted Diagnostic System: Apices and Odontogenic Sinus Floor Level Analysis in Dental Panoramic Radiographs" Bioengineering 12, no. 2: 134. https://doi.org/10.3390/bioengineering12020134

APA Style

Wu, P.-Y., Lin, Y.-J., Chang, Y.-J., Wei, S.-T., Chen, C.-A., Li, K.-C., Tu, W.-C., & Abu, P. A. R. (2025). Deep Learning-Assisted Diagnostic System: Apices and Odontogenic Sinus Floor Level Analysis in Dental Panoramic Radiographs. Bioengineering, 12(2), 134. https://doi.org/10.3390/bioengineering12020134

Note that from the first issue of 2016, this journal uses article numbers instead of page numbers. See further details here.

Article Metrics

Back to TopTop