Decellularized Human Dermis for Orthoplastic Extremity Reconstruction
Abstract
1. Introduction
1.1. Origins of Allograft Tissue
1.2. Early Developments in Tissue Processing and Addressing the Immune Response
1.3. Decellularization of Tissue
1.4. Development of Dermis Products
2. Materials and Methods
3. Results
3.1. dCELL Technology–Hypothesis, Development, Key Differentiators in Process
3.2. dCELL Technology Applied to Dermis
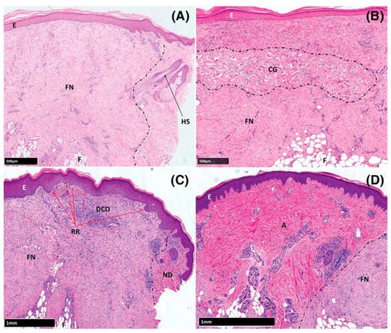
3.3. dCELL Technology–Increased Angiogenesis and Diminished Fibrosis
3.4. Tissue Engineering’s Impact on Patient Care and Clinical Outcomes
4. Discussion
5. Conclusions
Funding
Conflicts of Interest
References
- Hyatt, G.W. The Navy Tissue Bank. A Decade of Basic and Applied Science in the Navy; Office of the Naval Research, Department of the Navy: Washington, DC, USA, 1957; pp. 94–97. [Google Scholar]
- Strong, D.M. The US Navy Tissue Bank: 50 Years on the Cutting Edge. Cell Tissue Bank. 2000, 1, 9–16. [Google Scholar] [CrossRef] [PubMed]
- Gresham, R.B. Freeze-drying of human tissue for clinical use. Cryobiology 1964, 1, 150–156. [Google Scholar] [CrossRef] [PubMed]
- Abbott, W.M.; Pappas, A.M. Comparative studies on fresh and preserved skin: Fundamental biologic differences in behavior as grafts. Ann. Surg. 1970, 172, 781–786. [Google Scholar] [CrossRef] [PubMed]
- Contreras, T.J.; Blair, P.J.; Harlan, D.M. Brief history of the United States Navy Tissue Bank and Transplantation Program. In Captain Kenneth Sell’s Living Legacy; Advances in Tissue Banking Vol. 2; Phillips, G.O., Strong, D.M., von Versen, R., Nather, A., Eds.; World Scientific Publishing Co.: Hackensack, NJ, USA, 1998; pp. 21–28. [Google Scholar]
- Kirk, A.D.; Harlan, D.M.; Armstrong, N.N.; Davis, T.A.; Dong, Y.; Gray, G.S.; Hong, X.; Thomas, D.; Fechner, J.H., Jr.; Knechtle, S.J. CTLA4-Ig and anti-CD40 ligand prevent renal allograft rejection in primates. Proc. Natl. Acad. Sci. USA 1997, 94, 8789–8794. [Google Scholar] [CrossRef] [PubMed]
- O‘Brien, M.F.; Gardner, M.A.; Garlick, R.B.; Davison, M.B.; Thomson, H.L.; Burstow, D.J. The Cryolife-O’Brien stentless aortic porcine xenograft valve. J. Card. Surg. 1998, 13, 376–385. [Google Scholar] [CrossRef] [PubMed]
- Lentz, D.J.; Pollock, E.M. Method for Inhibiting Mineralization of Natural Tissue during Implantation. U.S. Patent 4,323,358, 6 April 1982. [Google Scholar]
- Mathapati, S.; Bishi, D.K.; Guhathakurta, S.; Cherian, K.M.; Venugopal, J.R.; Ramakrishna, S.; Verma, R.S. Biomimetic acellular detoxified glutaraldehyde cross-linked bovine pericardium for tissue engineering. Mater. Sci. Eng. C Mater. Biol. Appl. 2013, 33, 1561–1572. [Google Scholar] [CrossRef] [PubMed]
- Elkins, R.C.; Dawson, P.E.; Goldstein, S.; Walsh, S.P.; Black, K.S. Decellularized human valve allografts. Ann. Thorac. Surg. 2001, 71 (Suppl. 5), S428–S432. [Google Scholar] [CrossRef] [PubMed]
- Elkins, R.C.; Goldstein, S.; Hewitt, C.W.; Walsh, S.P.; Dawson, P.E.; Ollerenshaw, J.D.; Black, K.S.; Clarke, D.R.; O‘brien, M.F. Recellularization of heart valve grafts by a process of adaptive remodeling. Semin. Thorac. Cardiovasc. Surg. 2001, 13 (Suppl. S1), 87–92. [Google Scholar] [PubMed]
- Navarro, F.B.; da Costa, F.D.; Mulinari, L.A.; Pimentel, G.K.; Roderjan, J.G.; Vieira, E.D.; Noronha, L.d.; Miyague, N.I. Evaluation of the biological behavior of decellularized pulmonary homografts: An experimental sheep model. Rev. Bras. Cir. Cardiovasc. 2010, 25, 377–387. [Google Scholar] [CrossRef] [PubMed][Green Version]
- Costa, F.D.; Colatusso, D.F.; Balbi Filho, E.M.; Marchetti, R.; Ferreira, A.D.; Costa, M.B.; Roderjan, J.G.; Colatusso, C. 20 years experience with the Ross operation in middle-aged patients: The autologous principle is still alive. Interact. Cardiovasc. Thorac. Surg. 2017, 24, 348–354. [Google Scholar] [CrossRef] [PubMed][Green Version]
- da Costa, F.D.; Takkenberg, J.J.; Fornazari, D.; Balbi Filho, E.M.; Colatusso, C.; Mokhles, M.M.; da Costa, A.B.; Sagrado, A.G.; Ferreira, A.D.; Fernandes, T.; et al. Long-term results of the Ross operation: An 18-year single institutional experience. Eur. J. Cardiothorac. Surg. 2014, 46, 415–422, discussion 422. [Google Scholar] [CrossRef] [PubMed]
- Mulinari, L.A.; Navarro, F.B.; Pimentel, G.K.; Miyazaki, S.M.; Binotto, C.N.; Pelissari, E.C.; Miyague, N.I.; da Costa, F.D. The use and midium-term evaluation of decellularized allograft cusp in the surgical treatment of the tetralogy of fallot. Rev. Bras. Cir. Cardiovasc. 2008, 23, 197–203. [Google Scholar] [CrossRef] [PubMed][Green Version]
- Melandri, D.; Bondioli, E.; Giardino, R.; Fini, M. Method of Treatment of Connective Tissues and Organs and Uses of Said Tissues and Organs. U.S. Patent Application Pub # 20100247604, 30 September 2020. [Google Scholar]
- Bondioli, E.; Fini, M.; Veronesi, F.; Giavaresi, G.; Tschon, M.; Cenacchi, G.; Cerasoli, S.; Giardino, R.; Melandri, D. Development and evaluation of a decellularized membrane from human dermis. J. Tissue Eng. Regen. Med. 2014, 8, 325–336. [Google Scholar] [CrossRef] [PubMed]
- Melandri, D.; Marongiu, F.; Carboni, A.; Rubino, C.; Razzano, S.; Purpura, V.; Minghetti, P.; Bondioli, E. A New Human-Derived Acellular Dermal Matrix for 1-Stage Coverage of Exposed Tendons in the Foot. Int. J. Low. Extrem. Wounds 2020, 19, 78–85. [Google Scholar] [CrossRef] [PubMed]
- Xu, H.; Wan, H.; Sandor, M.; Qi, S.; Ervin, F.; Harper, J.R.; Silverman, R.P.; McQuillan, D.J. Host response to human acellular dermal matrix transplantation in a primate model of abdominal wall repair. Tissue Eng. Part A 2008, 14, 2009–2019. [Google Scholar] [CrossRef] [PubMed]
- Kneib, C.; von Glehn, C.Q.; Costa, F.D.; Costa, M.T.; Susin, M.F. Evaluation of humoral immune response to donor HLA after implantation of cellularized versus decellularized human heart valve allografts. Tissue Antigens 2012, 80, 165–174. [Google Scholar] [CrossRef] [PubMed]
- Booth, C.; Korossis, S.A.; Wilcox, H.E.; Watterson, K.G.; Kearney, J.N.; Fisher, J.; Ingham, E. Tissue engineering of cardiac valve prostheses I: Development and histological characterization of an acellular porcine scaffold. J. Heart Valve Dis. 2002, 11, 457–462. [Google Scholar] [PubMed]
- Korossis, S.A.; Booth, C.; Wilcox, H.E.; Watterson, K.G.; Kearney, J.N.; Fisher, J.; Ingham, E. Tissue engineering of cardiac valve prostheses II: Biomechanical characterization of decellularized porcine aortic heart valves. J. Heart Valve Dis. 2002, 11, 463–471. [Google Scholar]
- Korossis, S.A.; Wilcox, H.E.; Watterson, K.G.; Kearney, J.N.; Ingham, E.; Fisher, J. In-vitro assessment of the functional performance of the decellularized intact porcine aortic root. J. Heart Valve Dis. 2005, 14, 408–421, discussion 422. [Google Scholar]
- Wilcox, H.E.; Korossis, S.A.; Booth, C.; Watterson, K.G.; Kearney, J.N.; Fisher, J.; Ingham, E. Biocompatibility and recellularization potential of an acellular porcine heart valve matrix. J. Heart Valve Dis. 2005, 14, 228–236, discussion 236–237. [Google Scholar]
- Knight, R.L.; Booth, C.; Wilcox, H.E.; Fisher, J.; Ingham, E. Tissue engineering of cardiac valves: Re-seeding of acellular porcine aortic valve matrices with human mesenchymal progenitor cells. J. Heart Valve Dis. 2005, 14, 806–813. [Google Scholar] [PubMed]
- Leigh, D.R.; Kim, M.S.; Kovacevic, D.; Baker, A.R.; Tan, C.D.; Calabro, A.; Derwin, K.A. Human fascia lata ECM scaffold augmented with immobilized hyaluronan: Inflammatory response and remodeling in the canine body wall and shoulder implantation sites. J. Biomater. Sci. Polym. Ed. 2015, 26, 1–15. [Google Scholar] [CrossRef] [PubMed]
- Derwin, K.A.; Iannotti, J.P.; Chin, L.; Calabro, A. Molecular Enhancement of Extracellular Matrix and Methods of Use. U.S. Patent 8,080,260, 20 December 2011. [Google Scholar]
- Chin, L.; Calabro, A.; Walker, E.; Derwin, K.A. Mechanical properties of tyramine substituted-hyaluronan enriched fascia extracellular matrix. J. Biomed. Mater. Res. A 2012, 100, 786–793. [Google Scholar] [CrossRef] [PubMed]
- Korossis, S.; Ingham, E.; Bolland, F.; Southgate, J. Decellularisation of Tissue Matrices for Bladder Implantation. U.S. Patent 8,828,448B2, 8 April 2008. [Google Scholar]
- Casarin, M.; Fortunato, T.M.; Imran, S.; Todesco, M.; Sandrin, D.; Borile, G.; Toniolo, I.; Marchesan, M.; Gerosa, G.; Bagno, A.; et al. Porcine Small Intestinal Submucosa (SIS) as a Suitable Scaffold for the Creation of a Tissue-Engineered Urinary Conduit: Decellularization, Biomechanical and Biocompatibility Characterization Using New Approaches. Int. J. Mol. Sci. 2022, 23, 2826. [Google Scholar] [CrossRef] [PubMed]
- Fujii, M.; Tanaka, R. Porcine Small Intestinal Submucosa Alters the Biochemical Properties of Wound Healing: A Narrative Review. Biomedicines 2022, 10, 2213. [Google Scholar] [CrossRef] [PubMed]
- Valentin, J.E.; Stewart-Akers, A.M.; Gilbert, T.W.; Badylak, S.F. Macrophage participation in the degradation and remodeling of extracellular matrix scaffolds. Tissue Eng. Part A 2009, 15, 1687–1694. [Google Scholar] [CrossRef] [PubMed]
- FDA. Available online: https://www.accessdata.fda.gov/cdrh_docs/pdf/k992556.pdf (accessed on 31 July 2023).
- Tsai, J.W.; Ayubi, F.S.; Rice, R.D.; Zhang, Z.; Armstrong, P.J. Permacol (Porcine Dermal Collagen) and Alloderm (Acellular Cadaveric Dermis) as a Vascular Patch Repair for Common Carotid Arteriotomy in a Rabbit Model. Ann. Vasc. Surg. 2009, 23, 374–381. [Google Scholar] [CrossRef] [PubMed]
- Chlupac, J.; Matejka, R.; Konarik, M.; Novotny, R.; Simunkova, Z.; Mrazova, I.; Fabian, O.; Zapletal, M.; Pulda, Z.; Lipensky, J.F.; et al. Vascular Remodeling of Clinically Used Patches and Decellularized Pericardial Matrices Recellularized with Autologous or Allogeneic Cells in a Porcine Carotid Artery Model. Int. J. Mol. Sci. 2022, 23, 3310. [Google Scholar] [CrossRef] [PubMed]
- Hendrickson, R.J.; Poola, A.S.; Gonzalez, K.W.; Lim, J.; Oyetunji, T.A. Re-Tubularization of Highly-Ischemic Anti-Mesenteric Border (ReHAB): A Novel Bowel Preservation Technique in Complex Gastroschisis. J. Neonatal Surg. 2017, 6, 63–65. [Google Scholar]
- Mitchell, I.C.; Garcia, N.M.; Barber, R.; Ahmad, N.; Hicks, B.A.; Fischer, A.C. Permacol: A potential biologic patch alternative in congenital diaphragmatic hernia repair. J. Pediatr. Surg. 2008, 43, 2161–2164. [Google Scholar] [CrossRef]
- Mazzetti, C.H.; Carlier, P.; Therasse, A.; Lemaitre, J. Experience with Porcine Acellular Dermal Collagen Mesh (Permacol™ Surgical Implant) in Chest Wall Reconstruction after Resection for Rib Osteomyelitis. Open J. Thorac. Surg. 2015, 5, 26–29. [Google Scholar]
- Moore, M.A.; Samsell, B.; Wallis, G.; Triplett, S.; Chen, S.; Jones, A.L.; Qin, X. Decellularization of human dermis using non-denaturing anionic detergent and endonuclease: A review. Cell Tissue Bank. 2015, 16, 249–259. [Google Scholar] [CrossRef]
- Cazzell, S.; Moyer, P.M.; Samsell, B.; Dorsch, K.; McLean, J.; Moore, M.A. A Prospective, Multicenter, Single-Arm Clinical Trial for Treatment of Complex Diabetic Foot Ulcers with Deep Exposure Using Acellular Dermal Matrix. Adv. Skin. Wound Care 2019, 32, 409–415. [Google Scholar] [CrossRef] [PubMed]
- Ricchetti, E.T.; Aurora, A.; Iannotti, J.P.; Derwin, K.A. Scaffold devices for rotator cuff repair. J. Shoulder Elbow Surg. 2012, 21, 251–265. [Google Scholar] [CrossRef]
- Leigh, R.L.; Baker, A.R.; Mesiha, M.; Rodriguez, E.R.; Tan, C.D.; Walker, E.; Derwin, K.A. Effect of implantation site and injury condition on host response to human-derived fascia lata ECM in a rat model. J. Orthopaedic Res. 2012, 30, 461–467. [Google Scholar] [CrossRef] [PubMed]
- Brown, B.N.; Valentin, J.E.; Stewart-Akers, A.M.; McCabe, G.P.; Badylak, S.F. Macrophage phenotype and remodeling outcomes in response to biologic scaffolds with and without a cellular component. Biomaterials 2009, 30, 1482–1491. [Google Scholar] [CrossRef]
- Schneeberger, A.G.; von Roll, A.; Kalberer, F.; Jacob, H.A.; Gerber, C. Mechanical strength of arthroscopic rotator cuff repair techniques: An in vitro study. J. Bone Joint Surg. Am. 2002, 84, 2152–2160. [Google Scholar] [CrossRef]
- Barber, F.A.; Herbert, M.A.; Boothby, M.H. Ultimate tensile failure loads of a human dermal allograft rotator cuff augmentation. Arthroscopy 2008, 24, 20–24. [Google Scholar] [CrossRef]
- Shea, K.P.; Obopilwe, E.; Sperling, J.W.; Iannotti, J.P. A biomechanical analysis of gap formation and failure mechanics of a xenograft-reinforced rotator cuff repair in a cadaveric model. J. Shoulder Elbow Surg. 2012, 21, 1072–1079. [Google Scholar] [CrossRef] [PubMed]
- Barber, F.A.; Burns, J.P.; Deutsch, A.; Labbé, M.R.; Litchfield, R.B. A prospective, randomized evaluation of acellular human dermal matrix augmentation for arthroscopic rotator cuff repair. Arthroscopy 2012, 28, 8–15. [Google Scholar] [CrossRef] [PubMed]
- Lee, G.W.; Kim, J.Y.; Lee, H.W.; Yoon, J.H.; Noh, K.C. Clinical and Anatomical Outcomes of Arthroscopic Repair of Large Rotator Cuff Tears with Allograft Patch Augmentation: A Prospective, Single-Blinded, Randomized Controlled Trial with a Long-term Follow-up. Clin. Orthop. Surg. 2022, 14, 263–271. [Google Scholar] [CrossRef] [PubMed]
- K2015777. Available online: https://www.accessdata.fda.gov/cdrh_docs/pdf20/K201577.pdf (accessed on 16 April 2024).
- Hones, K.M.; Hones, J.; Satteson, E.S.; Chim, H. Treatment of complex extremity wounds with MatriDerm: First clinical experience in the US. J. Wound Care 2023, 32, 167–171. [Google Scholar] [CrossRef] [PubMed]
- Foley, E.; Robinson, A.; Maloney, M. Skin Substitutes and Dermatology: A Review. Curr. Derm. Rep. 2013, 2, 101–112. [Google Scholar] [CrossRef]
- Snyder, D.; Sullivan, N.; Margolis, D.; Schoelles, K. Skin Substitutes for Treating Chronic Wounds [Internet]; Agency for Healthcare Research and Quality (US): Rockville, MD, USA, 2 February 2020. Available online: https://www.ncbi.nlm.nih.gov/books/NBK554220/ (accessed on 16 April 2024).
- Eileen Ingham A‘cellular Biological Scaffolds for Functional Tissue Repair and Replacement’ Academy of Medical Sciences New Fellow’s Admissions Day Address, 29 June 2016. Available online: https://www.youtube.com/watch?v=xxzL65jIAho&t=335s (accessed on 1 August 2023).
- Fisher, J.; Booth, C.; Ingham, E. Decellularisation of Matrices. U.S. Patent 7,354,749, 9 September 2014. [Google Scholar]
- Vafaee, T.; Thomas, D.; Desai, A.; Jennings, L.M.; Berry, H.; Rooney, P.; Kearney, J.; Fisher, J.; Ingham, E. Decellularization of human donor aortic and pulmonary valved conduits using low concentration sodium dodecyl sulfate. J. Tissue Eng. Regen. Med. 2018, 12, e841–e853. [Google Scholar] [CrossRef] [PubMed]
- Mirsadraee, S.; Wilcox, H.E.; Korossis, S.A.; Kearney, J.N.; Watterson, K.G.; Fisher, J.; Ingham, E. Development and characterization of an acellular human pericardial matrix for tissue engineering. Tissue Eng. 2006, 12, 763–773. [Google Scholar] [CrossRef] [PubMed]
- Mirsadraee, S.; Wilcox, H.E.; Watterson, K.G.; Kearney, J.N.; Hunt, J.; Fisher, J.; Ingham, E. Biocompatibility of acellular human pericardium. J. Surg. Res. 2007, 143, 407–414. [Google Scholar] [CrossRef] [PubMed]
- Oswal, D.; Korossis, S.A.; Mirsadraee, S.; Wilcox, H.E.; Watterson, K.G.; Fisher, J.; Ingham, E. Biomechanical characterization of decellularized and cross-linked bovine pericardium. J. Heart Valve Dis. 2007, 16, 165–174. [Google Scholar] [PubMed]
- Herbert, A.; Jones, G.L.; Ingham, E.; Fisher, J. A biomechanical characterisation of acellular porcine super flexor tendons for use in anterior cruciate ligament replacement: Investigation into the effects of fat reduction and bioburden reduction bioprocesses. J. Biomech. 2015, 48, 22–29. [Google Scholar] [CrossRef] [PubMed]
- Herbert, A.; Brown, C.; Rooney, P.; Kearney, J.; Ingham, E.; Fisher, J. Bi-linear mechanical property determination of acellular human patellar tendon grafts for use in anterior cruciate ligament replacement. J. Biomech. 2016, 49, 1607–1612. [Google Scholar] [CrossRef]
- Jones, G.; Herbert, A.; Berry, H.; Edwards, J.H.; Fisher, J.; Ingham, E. Decellularization and Characterization of Porcine Superflexor Tendon: A Potential Anterior Cruciate Ligament Replacement. Tissue Eng. Part A 2017, 23, 124–134. [Google Scholar] [CrossRef]
- Stapleton, T.W.; Ingram, J.; Katta, J.; Knight, R.; Korossis, S.; Fisher, J.; Ingham, E. Development and characterization of an acellular porcine medial meniscus for use in tissue engineering. Tissue Eng. Part A 2008, 14, 505–518. [Google Scholar] [CrossRef]
- Stapleton, T.W.; Ingram, J.; Fisher, J.; Ingham, E. Investigation of the regenerative capacity of an acellular porcine medial meniscus for tissue engineering applications. Tissue Eng. Part A 2011, 17, 231–242. [Google Scholar] [CrossRef]
- Bolland, F.; Korossis, S.; Wilshaw, S.P.; Ingham, E.; Fisher, J.; Kearney, J.N.; Southgate, J. Development and characterisation of a full-thickness acellular porcine bladder matrix for tissue engineering. Biomaterials 2007, 28, 1061–1070. [Google Scholar] [CrossRef]
- Wilshaw, S.P.; Kearney, J.N.; Fisher, J.; Ingham, E. Production of an acellular amniotic membrane matrix for use in tissue engineering. Tissue Eng. 2006, 12, 2117–2129. [Google Scholar] [CrossRef]
- Wilshaw, S.-P.; Kearney, J.; Fisher, J.; Ingham, E. Biocompatibility and Potential of Acellular Human Amniotic Membrane to Support the Attachment and Proliferation of Allogeneic Cells. Tissue Eng. Part A 2008, 14, 463–472. [Google Scholar] [CrossRef]
- Hogg, P.; Rooney, P.; Leow-Dyke, S.; Brown, C.; Ingham, E.; Kearney, J.N. Development of a terminally sterilised decellularised dermis. Cell Tissue Bank. 2015, 16, 351–359. [Google Scholar] [CrossRef]
- LeMoine, A.; Vayianos, V.; Patti Gary, P. Maintenance of Extracellular Matrix Components in a Decellularized Human Dermis Product. In Proceedings of the Symposium on Advanced Wound Care Spring Meeting, Atlanta, GA, USA, 13–17 April 2016. Poster IR-010. [Google Scholar]
- Data on file at Tissue Regenix.
- Derwin, K.A.; Baker, A.R.; Spragg, R.K.; Leigh, D.R.; Iannotti, J.P. Commercial extracellular matrix scaffolds for rotator cuff tendon repair. Biomechanical, biochemical, and cellular properties. J. Bone Joint Surg. Am. 2006, 88, 2665–2672. [Google Scholar] [CrossRef]
- Choe, J.M.; Bell, T. Genetic material is present in cadaveric dermis and cadaveric fascia lata. J. Urol. 2001, 166, 122–124. [Google Scholar] [CrossRef]
- Singh, R.; Singh, D.; Singh, A. Radiation sterilization of tissue allografts: A review. World J. Radiol. 2016, 8, 355–369. [Google Scholar] [CrossRef]
- Srokowski, E.M.; Woodhouse, K.A. Decellularized scaffolds. In Comprehensive Biomaterials; Ducheyne, P., Ed.; Elsevier: New York, NY, USA, 2011; pp. 369–386. [Google Scholar]
- Carruthers, C.A.; Dearth, C.L.; Reing, J.E.; Kramer, C.R.; Gagne, D.H.; Crapo, P.M.; Garcia, O., Jr.; Badhwar, A.; Scott, J.R.; Badylak, S.F. Histologic characterization of acellular dermal matrices in a porcine model of tissue expander breast reconstruction. Tissue Eng. Part A 2015, 21, 35–44. [Google Scholar] [CrossRef]
- Greaves, N.S.; Benatar, B.; Baguneid, M.; Bayat, A. Single-stage application of a novel decellularized dermis for treatment-resistant lower limb ulcers: Positive outcomes assessed by SIAscopy, laser perfusion, and 3D imaging, with sequential timed histological analysis. Wound Repair. Regen. 2013, 21, 813–822. [Google Scholar] [CrossRef] [PubMed]
- Greaves, N.S.; Iqbal, S.A.; Hodgkinson, T.; Morris, J.; Benatar, B.; Alonso-Rasgado, T.; Baguneid, M.; Bayat, A. Skin substitute-assisted repair shows reduced dermal fibrosis in acute human wounds validated simultaneously by histology and optical coherence tomography. Wound Repair. Regen. 2015, 23, 483–494. [Google Scholar] [CrossRef] [PubMed]
- Greaves, N.S.; Iqbal, S.A.; Morris, J.; Benatar, B.; Alonso-Rasgado, T.; Baguneid, M.; Bayat, A. Acute cutaneous wounds treated with human decellularised dermis show enhanced angiogenesis during healing. PLoS ONE. 2015, 10, e0113209, Erratum in: PLoS ONE 2015, 10, e0121503. Lqbal, Syed A [added]. [Google Scholar]
- Kimmel, H.; Gittleman, H. Retrospective observational analysis of the use of an architecturally unique dermal regeneration template (Derma Pure®) for the treatment of hard-to-heal wounds. Int. Wound J. 2017, 14, 666–672. [Google Scholar] [CrossRef] [PubMed]











| Product | Residual DNA (ng/mg Dry Weight) | Fold Difference over DermaPure | References |
|---|---|---|---|
| DermaPure | 1.26 | N/A 2 | [69] |
| MatrACELL 3 | 15.97 | 12.7 | [39] |
| GraftJacket | 134.66 | 106 | [70] |
| Alloderm | 272.80 | 217 | [71] |
| Biomechanical Test Parameter 1 | Products | |||
|---|---|---|---|---|
| DermaPure | ML 1.0 mm | ML 1.5 mm | ML 2.0 mm | |
| Sample Thickness (mm) 2 | 1.06–1.16 | 1.00–1.18 | 1.34–1.76 | 1.80–2.00 |
| Ultimate Tensile Strength (MPa) | 22.7 ± 5.7 | 16.4 ± 3.8 * | 12.3 ± 3.1 * | 22.6 ± 4.6 |
| Tensile Elastic Modulus (MPa) | 69.6 ± 6.7 | 52.8 ± 14.2 * | 40.7 ± 6.6* | 62.5 ± 5.6 |
| Tensile Stiffness (N/mm) | 18.7 ± 5.33 | 10.8 ± 2.7 * | 12.8 ± 3.4 | 24.6 ± 5.8 |
| Burst Maximum Load (N) | 364.3 ± 63.5 | 368.4 ± 45.6 | 361.7 ± 69.4 | 682.5 ± 52.2 * |
| Burst Maximum Pressure (N/cm2) | 1022 ± 398.7 | 1034 ± 128.0 | 1015 ± 194.8 | 1916 ± 327.6 * |
| Suture Peak Load (N) | 50.0 ± 18.1 | 44.7 ± 7.22 | 44.7 ± 3.47 | 84.5 ± 11.7 * |
Disclaimer/Publisher’s Note: The statements, opinions and data contained in all publications are solely those of the individual author(s) and contributor(s) and not of MDPI and/or the editor(s). MDPI and/or the editor(s) disclaim responsibility for any injury to people or property resulting from any ideas, methods, instructions or products referred to in the content. |
© 2024 by the authors. Licensee MDPI, Basel, Switzerland. This article is an open access article distributed under the terms and conditions of the Creative Commons Attribution (CC BY) license (https://creativecommons.org/licenses/by/4.0/).
Share and Cite
Bibbo, C.; Yüksel, K.Ü. Decellularized Human Dermis for Orthoplastic Extremity Reconstruction. Bioengineering 2024, 11, 422. https://doi.org/10.3390/bioengineering11050422
Bibbo C, Yüksel KÜ. Decellularized Human Dermis for Orthoplastic Extremity Reconstruction. Bioengineering. 2024; 11(5):422. https://doi.org/10.3390/bioengineering11050422
Chicago/Turabian StyleBibbo, Christopher, and K. Ümit Yüksel. 2024. "Decellularized Human Dermis for Orthoplastic Extremity Reconstruction" Bioengineering 11, no. 5: 422. https://doi.org/10.3390/bioengineering11050422
APA StyleBibbo, C., & Yüksel, K. Ü. (2024). Decellularized Human Dermis for Orthoplastic Extremity Reconstruction. Bioengineering, 11(5), 422. https://doi.org/10.3390/bioengineering11050422
