First Report on Rigid Plate Fixation for Enhanced Sternal Closure in Minimally Invasive Cardiac Surgery: Safety and Outcomes
Abstract
1. Introduction
2. Materials and Methods
2.1. Data Collection and Definitions
2.2. Surgical Technique
2.2.1. Minimally Invasive Cardiac Surgery
2.2.2. Sternal Closure Using Rigid Plate Fixation
3. Results
3.1. Baseline Characteristics
3.2. Operative Data
3.3. Postoperative Data
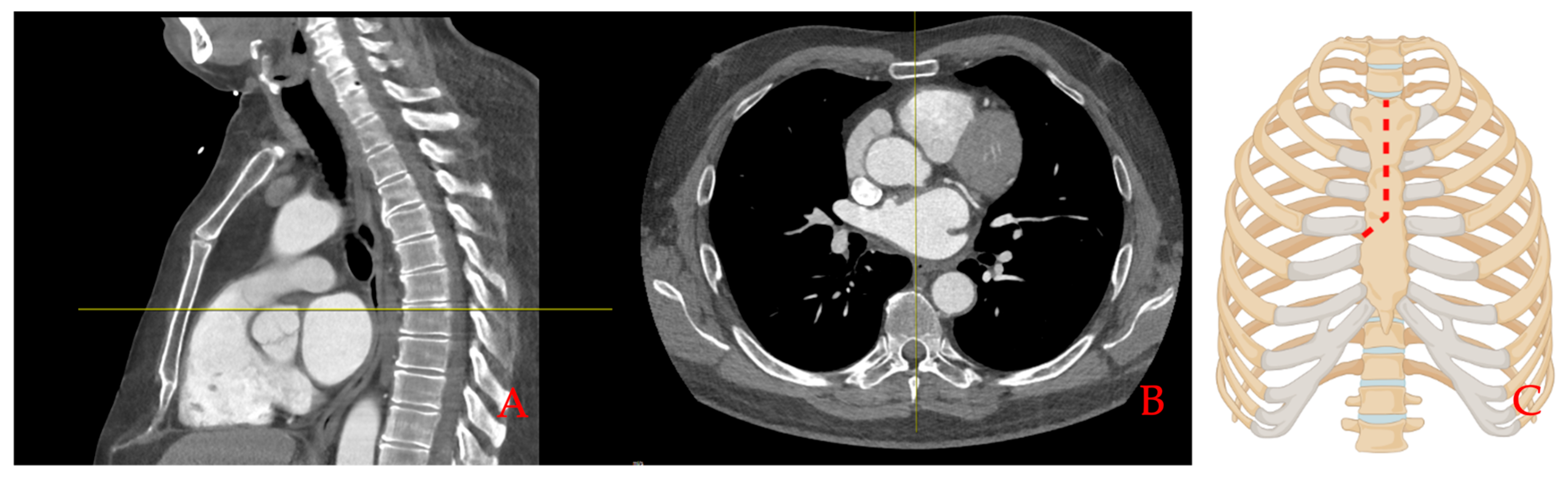
3.4. Follow-Up Data
4. Discussion
4.1. Evolution of Surgical Access and Sternal Closure Techniques
4.2. Post-Sternotomy Pain
4.3. Sternal Wound Infections
4.4. Limitations
5. Conclusions
Author Contributions
Funding
Institutional Review Board Statement
Informed Consent Statement
Data Availability Statement
Conflicts of Interest
References
- Mauri, V.; Abdel-Wahab, M.; Bleiziffer, S.; Veulemans, V.; Sedaghat, A.; Adam, M.; Nickenig, G.; Kelm, M.; Thiele, H.; Baldus, S.; et al. Temporal Trends of TAVI Treatment Characteristics in High Volume Centers in Germany 2013–2020. Clin. Res. Cardiol. 2022, 111, 881–888. [Google Scholar] [CrossRef] [PubMed]
- Mikus, E.; Calvi, S.; Campo, G.; Pavasini, R.; Paris, M.; Raviola, E.; Panzavolta, M.; Tripodi, A.; Ferrari, R.; Del Giglio, M. Full Sternotomy, Hemisternotomy, and Minithoracotomy for Aortic Valve Surgery: Is There a Difference? Ann. Thorac. Surg. 2018, 106, 1782–1788. [Google Scholar] [CrossRef]
- Tam, R.K.W.; Almeida, A.A. Minimally Invasive Aortic Valve Replacement via Hemi-Sternotomy: A Preliminary Report 1. Eur. J. Cardiothorac. Surg. 1998, 14 (Suppl. 1), S134–S137. [Google Scholar] [CrossRef] [PubMed]
- Murtuza, B.; Pepper, J.R.; DeL Stanbridge, R.; Jones, C.; Rao, C.; Darzi, A.; Athanasiou, T. Minimal Access Aortic Valve Replacement: Is It Worth It? Ann. Thorac. Surg. 2008, 85, 1121–1131. [Google Scholar] [CrossRef] [PubMed]
- Phan, K.; Xie, A.; Di Eusanio, M.; Yan, T.D. A Meta-Analysis of Minimally Invasive Versus Conventional Sternotomy for Aortic Valve Replacement. Ann. Thorac. Surg. 2014, 98, 1499–1511. [Google Scholar] [CrossRef]
- Khoshbin, E.; Prayaga, S.; Kinsella, J.; Sutherland, F.W.H. Mini-Sternotomy for Aortic Valve Replacement Reduces the Length of Stay in the Cardiac Intensive Care Unit: Meta-Analysis of Randomised Controlled Trials. BMJ Open 2011, 1, e000266. [Google Scholar] [CrossRef] [PubMed]
- Tabata, M.; Umakanthan, R.; Cohn, L.H.; Bolman, R.M.; Shekar, P.S.; Chen, F.Y.; Couper, G.S.; Aranki, S.F. Early and Late Outcomes of 1000 Minimally Invasive Aortic Valve Operations. Eur. J. Cardio-Thorac. Surg. 2008, 33, 537–541. [Google Scholar] [CrossRef]
- Welp, H.A.; Herlemann, I.; Martens, S.; Deschka, H. Outcomes of Aortic Valve Replacement via Partial Upper Sternotomy versus Conventional Aortic Valve Replacement in Obese Patients. Interact. Cardiovasc. Thorac. Surg. 2018, 27, 481–486. [Google Scholar] [CrossRef]
- Wu, L.C.; Renucci, J.D.; Song, D.H. Sternal Nonunion: A Review of Current Treatments and a New Method of Rigid Fixation. Ann. Plast. Surg. 2005, 54, 55–58. [Google Scholar] [CrossRef] [PubMed]
- Miazza, J.; Vasiloi, I.; Koechlin, L.; Gahl, B.; Reuthebuch, O.; Eckstein, F.S.; Santer, D. Combined Band and Plate Fixation as a New Individual Option for Patients at Risk of Sternal Complications after Cardiac Surgery: A Single-Center Experience. Biomedicines 2023, 11, 1946. [Google Scholar] [CrossRef] [PubMed]
- Raman, J.; Lehmann, S.; Zehr, K.; De Guzman, B.J.; Aklog, L.; Garrett, H.E.; MacMahon, H.; Hatcher, B.M.; Wong, M.S. Sternal Closure with Rigid Plate Fixation versus Wire Closure: A Randomized Controlled Multicenter Trial. Ann. Thorac. Surg. 2012, 94, 1854–1861. [Google Scholar] [CrossRef] [PubMed]
- Nishimura, T.; Kurihara, C.; Sakano, Y.; Kyo, S. Sternalock Plating System for Elderly Post-Sternotomy Patients. J. Artif. Organs 2014, 17, 288–290. [Google Scholar] [CrossRef]
- Royse, A.G.; El-Ansary, D.; Hoang, W.; Lui, E.; McCusker, M.; Tivendale, L.; Yang, Y.; Canty, D.J.; Royse, C.F. A Randomized Trial Comparing the Effects of Sternal Band and Plate Fixation of the Sternum with That of Figure-of-8 Wires on Sternal Edge Motion and Quality of Recovery after Cardiac Surgery. Interact. Cardiovasc. Thorac. Surg. 2021, 30, 863–870. [Google Scholar] [CrossRef] [PubMed]
- Vahanian, A.; Beyersdorf, F.; Praz, F.; Milojevic, M.; Baldus, S.; Bauersachs, J.; Capodanno, D.; Conradi, L.; De Bonis, M.; De Paulis, R.; et al. 2021 ESC/EACTS Guidelines for the Management of Valvular Heart Disease: Developed by the Task Force for the Management of Valvular Heart Disease of the European Society of Cardiology (ESC) and the European Association for Cardio-Thoracic Surgery (EACTS). Rev. Esp. Cardiol. 2022, 75, 524. [Google Scholar] [CrossRef] [PubMed]
- Horan, T.C.; Andrus, M.; Dudeck, M.A. CDC/NHSN Surveillance Definition of Health Care-Associated Infection and Criteria for Specific Types of Infections in the Acute Care Setting. Am. J. Infect. Control 2008, 36, 309–332. [Google Scholar] [CrossRef] [PubMed]
- Hota, P.; Dass, C.; Erkmen, C.; Donuru, A.; Kumaran, M. Poststernotomy Complications: A Multimodal Review of Normal and Abnormal Postoperative Imaging Findings. Am. J. Roentgenol. 2018, 211, 1194–1205. [Google Scholar] [CrossRef]
- Kaul, P. Sternal Reconstruction after Post-Sternotomy Mediastinitis. J. Cardiothorac. Surg. 2017, 12, 94. [Google Scholar] [CrossRef]
- Généreux, P.; Piazza, N.; Alu, M.C.; Nazif, T.; Hahn, R.T.; Pibarot, P.; Bax, J.J.; Leipsic, J.A.; Blanke, P.; Blackstone, E.H.; et al. Valve Academic Research Consortium 3: Updated Endpoint Definitions for Aortic Valve Clinical Research. J. Am. Coll. Cardiol. 2021, 77, 2717–2746. [Google Scholar] [CrossRef]
- Raja, S.G.; Benedetto, U.; Amrani, M. Aortic Valve Replacement through J-Shaped Partial Upper Sternotomy. J. Thorac. Dis. 2013, 5, S662–S668. [Google Scholar] [PubMed]
- Zimmer Biomet. Zimmer Biomet Instrument Care, Cleaning, Maintenance and Sterilization Instructions; Zimmer Biomet: Jacksonville, FL, USA, 2021. [Google Scholar]
- Ayaon Albarrán, A.; Blázquez González, J.A.; Hernández Cabrero, T.; González Villegas, E. Internal Mammary Artery Pseudoaneurysm Following a Robicsek Sternal Closure. J. Card. Surg. 2017, 32, 264–265. [Google Scholar] [CrossRef]
- Andreas, M.; Muckenhuber, M.; Hutschala, D.; Kocher, A.; Thalhammer, F.; Vogt, P.; Fleck, T.; Laufer, G. Direct Sternal Administration of Vancomycin and Gentamicin during Closure Prevents Wound Infection. Interact. Cardiovasc. Thorac. Surg. 2017, 25, 6–10. [Google Scholar] [CrossRef] [PubMed][Green Version]
- Russo, M.J.; Gnezda, J.; Merlo, A.; Johnson, E.M.; Hashmi, M.; Raman, J. The Arrowhead Ministernotomy with Rigid Sternal Plate Fixation: A Minimally Invasive Approach for Surgery of the Ascending Aorta and Aortic Root. Minim. Invasive Surg. 2014, 2014, 681371. [Google Scholar] [CrossRef] [PubMed]
- Santonocito, C.; Sanfilippo, F.; De Locker, I.; Chiarenza, F.; Giacomo, C.; Njimi, H.; George, S.; Astuto, M.; Vincent, J.L. C-Reactive Protein Kinetics after Cardiac Surgery: A Retrospective Multicenter Study. Ann. Card. Anaesth. 2022, 25, 498–504. [Google Scholar] [CrossRef] [PubMed]
- Kirmani, B.H.; Jones, S.G.; Malaisrie, S.C.; Chung, D.A.; Williams, R.J.N.N. Limited versus Full Sternotomy for Aortic Valve Replacement. Cochrane Database Syst. Rev. 2017, 4, CD011793. [Google Scholar] [CrossRef] [PubMed]
- Engelman, D.T.; Ben Ali, W.; Williams, J.B.; Perrault, L.P.; Reddy, V.S.; Arora, R.C.; Roselli, E.E.; Khoynezhad, A.; Gerdisch, M.; Levy, J.H.; et al. Guidelines for Perioperative Care in Cardiac Surgery: Enhanced Recovery after Surgery Society Recommendations. JAMA Surg. 2019, 154, 755–766. [Google Scholar] [CrossRef]
- Kalso, E.; Mennander, S.; Tasmuth, T.; Nilsson, E. Chronic Post-Sternotomy Pain. Acta Anaesthesiol. Scand. 2001, 45, 935–939. [Google Scholar] [CrossRef]
- Lahtinen, P.; Kokki, H.; Hynynen, M. Pain after Cardiac Surgery a Prospective Cohort Study of 1-Year Incidence and Intensity. J. Am. Soc. Anesthesiol. 2006, 105, 794–800. [Google Scholar] [CrossRef]
- Allen, K.B.; Thourani, V.H.; Naka, Y.; Grubb, K.J.; Grehan, J.; Patel, N.; Guy, T.S.; Landolfo, K.; Gerdisch, M.; Bonnell, M.; et al. Rigid Plate Fixation Versus Wire Cerclage: Patient-Reported and Economic Outcomes from a Randomized Trial. Ann. Thorac. Surg. 2018, 105, 1344–1350. [Google Scholar] [CrossRef] [PubMed]
- Song, Y.; Chu, W.; Sun, J.; Liu, X.; Zhu, H.; Yu, H.; Shen, C. Review on Risk Factors, Classification, and Treatment of Sternal Wound Infection. J. Cardiothorac. Surg. 2023, 18, 184. [Google Scholar] [CrossRef] [PubMed]
- Losanoff, J.E.; Richman, B.W.; Jones, J.W. Disruption and Infection of Median Sternotomy: A Comprehensive Review. Eur. J. Cardiothorac. Surg. 2002, 21, 831–839. [Google Scholar] [CrossRef] [PubMed]
- Gummert, J.F.; Barten, M.J.; Hans, C.; Kluge, M.; Doll, N.; Walther, T.; Hentschel, B.; Schmitt, D.V.; Mohr, F.W.; Diegeler, A. Mediastinitis and Cardiac Surgery—An Updated Risk Factor Analysis in 10,373 Consecutive Adult Patients. Thorac. Cardiovasc. Surg. 2002, 50, 87–91. [Google Scholar] [CrossRef] [PubMed]
- Raman, J.; Song, D.H.; Bolotin, G.; Jeevanandam, V. Sternal Closure with Titanium Plate Fixation—A Paradigm Shift in Preventing Mediastinitis. Interact. Cardiovasc. Thorac. Surg. 2006, 5, 336–339. [Google Scholar] [CrossRef] [PubMed]
- Allen, K.B.; Thourani, V.H.; Naka, Y.; Grubb, K.J.; Grehan, J.; Patel, N.; Guy, T.S.; Landolfo, K.; Gerdisch, M.; Bonnell, M.; et al. Randomized, Multicenter Trial Comparing Sternotomy Closure with Rigid Plate Fixation to Wire Cerclage. J. Thorac. Cardiovasc. Surg. 2017, 153, 888–896.e1. [Google Scholar] [CrossRef]




| Baseline Characteristics | Total (N = 9) |
|---|---|
| Age, years | 64 (63 to 71) |
| Female | 2 (22%) |
| Diabetes | 1 (11%) |
| BMI, kg/m2 | 26.3 (22 to 30.6) |
| Coronary artery disease | 2 (22%) |
| Preoperative atrial fibrillation | 1 (11%) |
| Periphery artery disease | 0 (0%) |
| Previous cerebrovascular event | 1 (11%) |
| Pulmonary disease including COPD | 0 (0%) |
| Previous myocardial infarction | 0 (0%) |
| Arterial hypertension | 7 (78%) |
| Dyslipidemia | 7 (78%) |
| Smoking history | |
| Never smoked | 3 (33%) |
| Cessation | 4 (44%) |
| Active | 1 (11%) |
| Unknown | 1 (11%) |
| Dyspnea Grade | |
| NYHA I | 3 (33%) |
| NYHA II | 3 (33%) |
| NYHA III | 3 (33%) |
| NYHA IV | 0 (0%) |
| Left ventricular ejection fraction, % | 64 (59 to 65) |
| Preoperative mean gradient of stenosis, mmHg | 51 (48 to 58.5) |
| Intraoperative Data | Total (N = 9) |
|---|---|
| Aortic valve procedure | 9 (100%) |
| Native aortic valve stenosis | 7 (78%) |
| Native aortic valve regurgitation | 2 (22%) |
| Type of prosthesis | |
| Biological | 8 (89%) |
| Mechanical | 1 (11%) |
| Size of valve prosthesis, mm | 25 (24 to 27) |
| Prosthesis manufacturer | |
| Edwards© Perimount Magna ease | 4 (44%) |
| Edwards© Inspiris Resilia | 4 (44%) |
| Medtronic© Open Pivot AP 360 | 1 (11%) |
| Aortic procedure | 2 (11%) |
| Emergency procedure | 0 (0%) |
| Reoperation | 0 (0%) |
| EuroSCORE II | 0.77 (0.68 to 2.21) |
| Duration of surgery, min | 208 (202 to 223) |
| Cardiopulmonary bypass time, min | 112 (105 to 115) |
| Aortic cross clamp time, min | 83 (60 to 84) |
| Successful RPF | 9 (100%) |
| RPF with Sternalock Blu | 4 (44%) |
| RPF with Sternalock Blu MICS | 5 (56%) |
| Postoperative Data | Total (N = 9) |
|---|---|
| In-hospital mortality | 0 (0%) |
| Length of ICU stay, days | 1 (1 to 1) |
| Length of hospital stay, days | 9 (7 to 13) |
| Rethoracotomy for bleeding | 1 (11%) |
| Postoperative myocardial infarction | 0 (0%) |
| Postoperative stroke | 1 (11%) |
| Time to first mobilization, d | 2 (2 to 2) |
| Atrial fibrillation at discharge | 1 (11%) |
| Renal complication | 0 (0%) |
| Infection | 0 (0%) |
| Opiate need post-ICU | 4 (44%) |
| Sternal pain at discharge | 0 (0%) |
| Sternal instability at discharge | 0 (0%) |
| Sternal infection at discharge | 0 (0%) |
| Total (N = 9) | |
|---|---|
| Postoperative CRP (mg/L) | |
| POD 1 | 57.8 (26.7) |
| POD 2 | 174.8 (50.8) |
| POD 3 | 158.6 (41.9) |
| POD 4 | 130.6 (21.3) |
| POD 5 | 75.7 (28.1) |
| Discharge | 43.8 (17.8) |
| Postoperative WBC count (G/L) | |
| POD 1 | 11.3 (1.9) |
| POD 2 | 9.7 (1.2) |
| POD 3 | 9.8 (1.4) |
| POD 4 | 7.3 (1.5) |
| POD 5 | 7.1 (1.9) |
| Discharge | 9.0 (1.4) |
| Follow-Up Data | Total (N = 9) |
|---|---|
| Follow-up time, days | 343.6 (217 to 433) |
| Superficial wound infections | 0% (n = 0) |
| Deep wound infections | 0% (n = 0) |
| Sternal instability | 0% (n = 0) |
| Sternal pain at rest | 44% (n = 4) |
| Pain intensity using Visual Analog Scale | 0 (0 to 2) |
| Sternal pain after coughing | 11% (n = 1) |
| Use of analgesics | 0% (n = 0) |
| Revision linked to RPF | 0% (n = 0) |
| CT scan available | 33% (n = 3) |
| Sternal dehiscence | 0% (n = 0) |
| Sternal mal-union | 0% (n = 0) |
Disclaimer/Publisher’s Note: The statements, opinions and data contained in all publications are solely those of the individual author(s) and contributor(s) and not of MDPI and/or the editor(s). MDPI and/or the editor(s) disclaim responsibility for any injury to people or property resulting from any ideas, methods, instructions or products referred to in the content. |
© 2024 by the authors. Licensee MDPI, Basel, Switzerland. This article is an open access article distributed under the terms and conditions of the Creative Commons Attribution (CC BY) license (https://creativecommons.org/licenses/by/4.0/).
Share and Cite
Miazza, J.; Reuthebuch, B.; Bruehlmeier, F.; Camponovo, U.; Maguire, R.; Koechlin, L.; Vasiloi, I.; Gahl, B.; Vöhringer, L.; Reuthebuch, O.; et al. First Report on Rigid Plate Fixation for Enhanced Sternal Closure in Minimally Invasive Cardiac Surgery: Safety and Outcomes. Bioengineering 2024, 11, 1280. https://doi.org/10.3390/bioengineering11121280
Miazza J, Reuthebuch B, Bruehlmeier F, Camponovo U, Maguire R, Koechlin L, Vasiloi I, Gahl B, Vöhringer L, Reuthebuch O, et al. First Report on Rigid Plate Fixation for Enhanced Sternal Closure in Minimally Invasive Cardiac Surgery: Safety and Outcomes. Bioengineering. 2024; 11(12):1280. https://doi.org/10.3390/bioengineering11121280
Chicago/Turabian StyleMiazza, Jules, Benedikt Reuthebuch, Florian Bruehlmeier, Ulisse Camponovo, Rory Maguire, Luca Koechlin, Ion Vasiloi, Brigitta Gahl, Luise Vöhringer, Oliver Reuthebuch, and et al. 2024. "First Report on Rigid Plate Fixation for Enhanced Sternal Closure in Minimally Invasive Cardiac Surgery: Safety and Outcomes" Bioengineering 11, no. 12: 1280. https://doi.org/10.3390/bioengineering11121280
APA StyleMiazza, J., Reuthebuch, B., Bruehlmeier, F., Camponovo, U., Maguire, R., Koechlin, L., Vasiloi, I., Gahl, B., Vöhringer, L., Reuthebuch, O., Eckstein, F., & Santer, D. (2024). First Report on Rigid Plate Fixation for Enhanced Sternal Closure in Minimally Invasive Cardiac Surgery: Safety and Outcomes. Bioengineering, 11(12), 1280. https://doi.org/10.3390/bioengineering11121280

