Genetic Testing as a Source of Information Driving Diagnosis and Therapeutic Plan in a Multidisciplinary Case
Abstract
1. Introduction
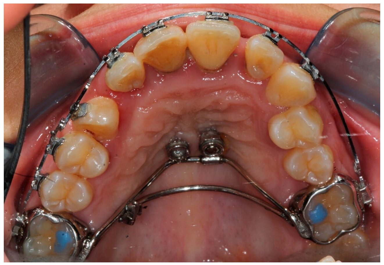
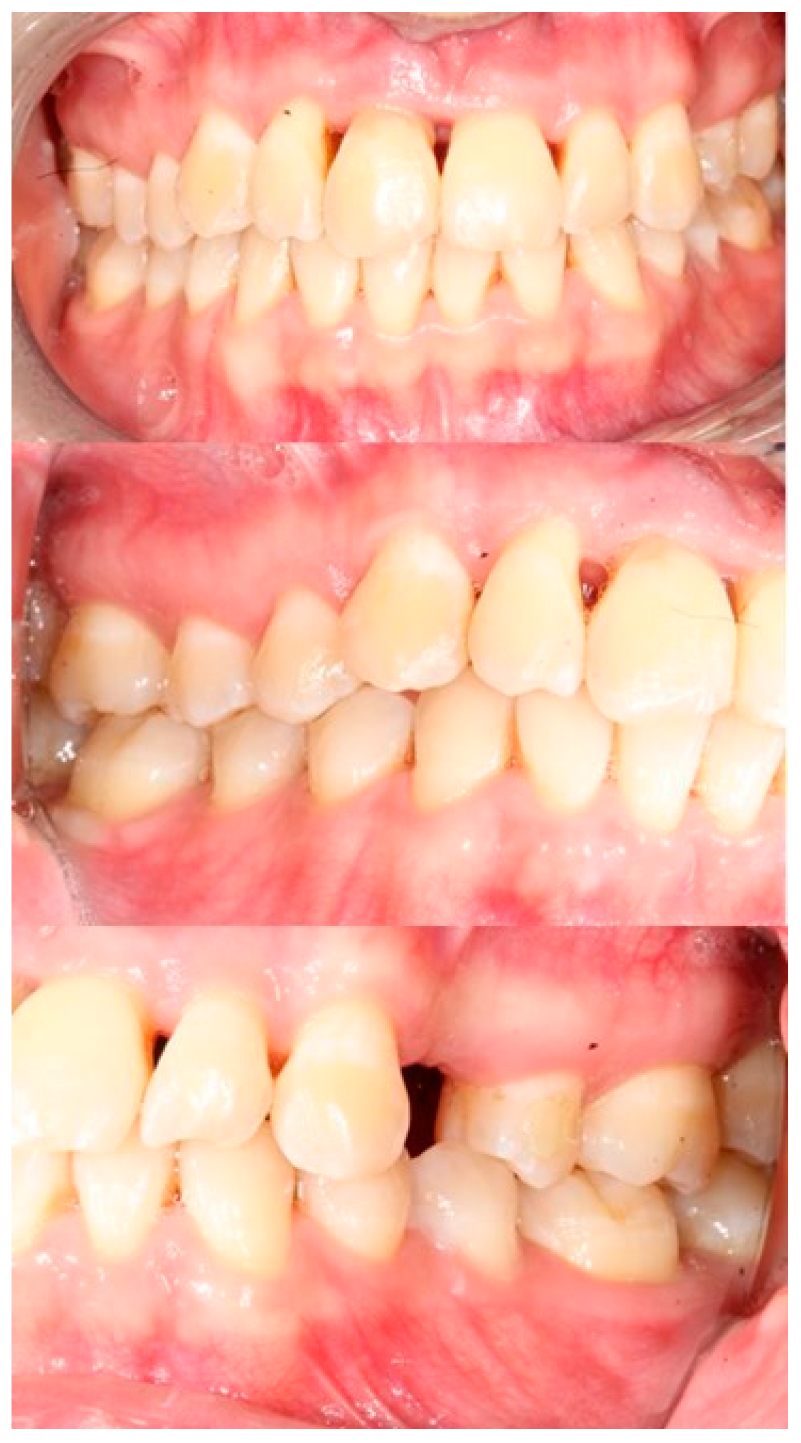
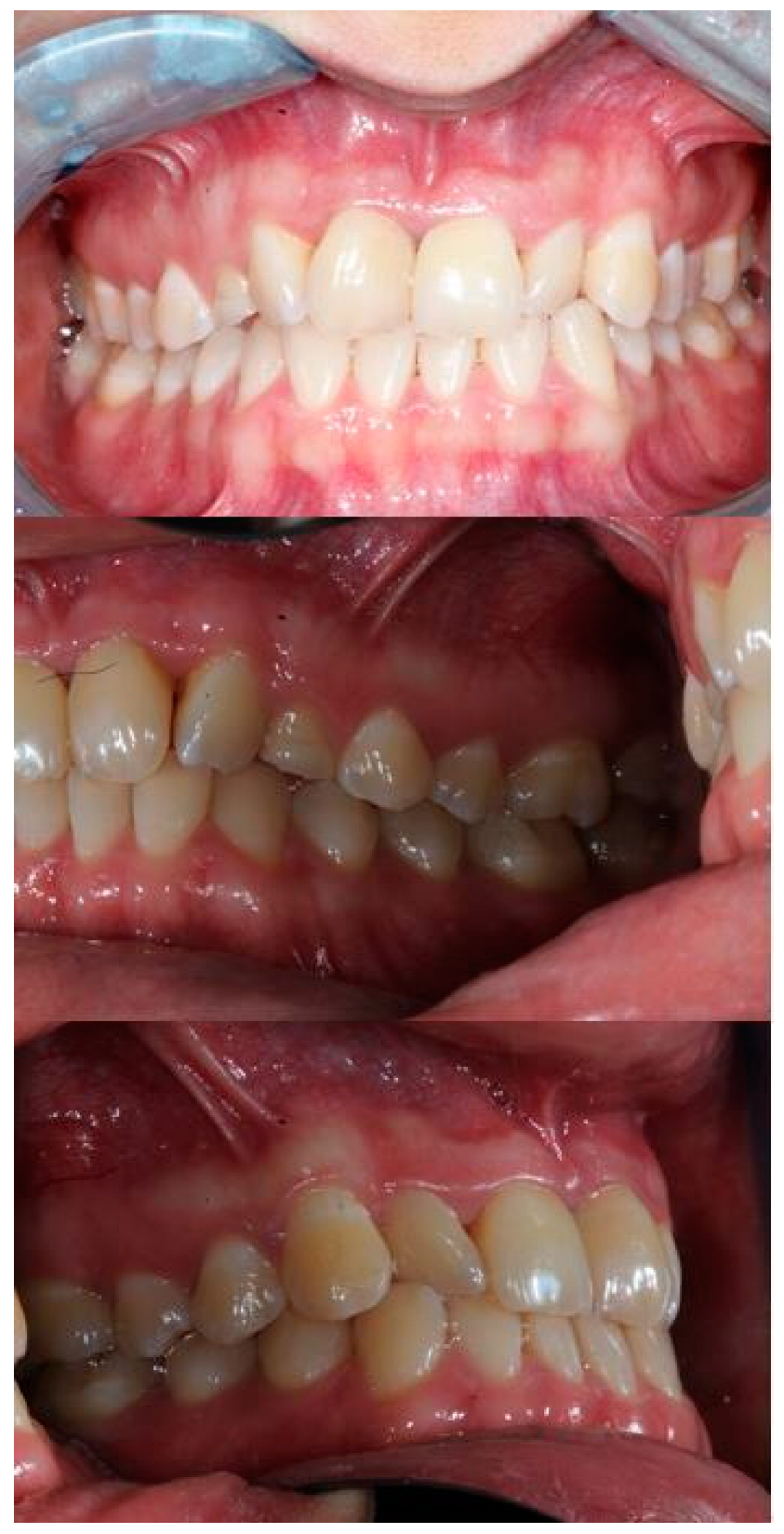
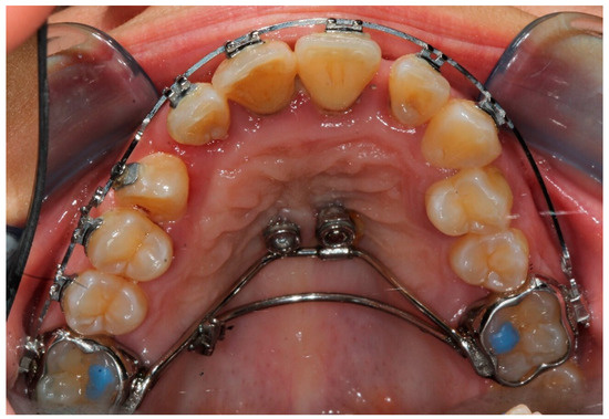
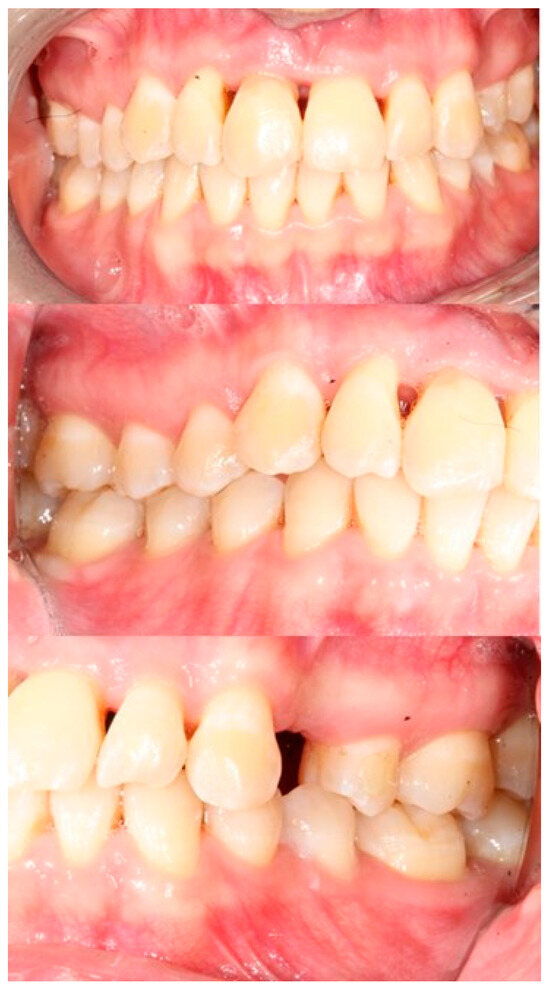
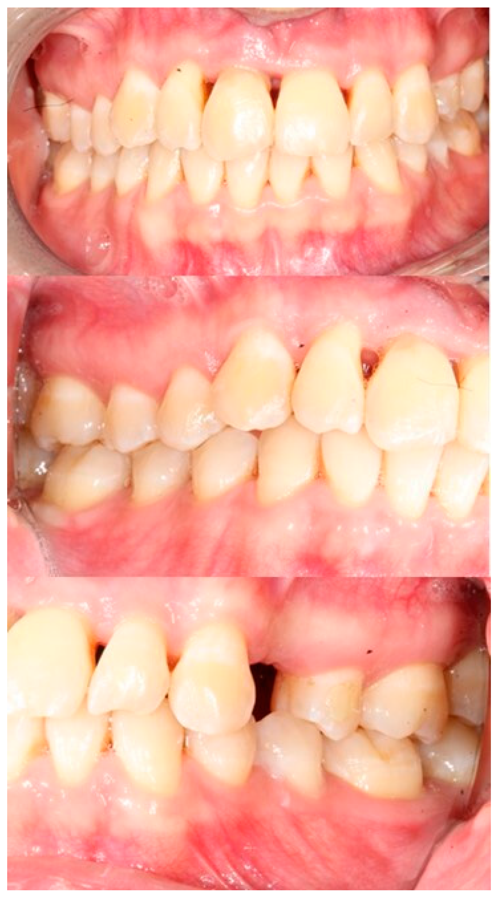
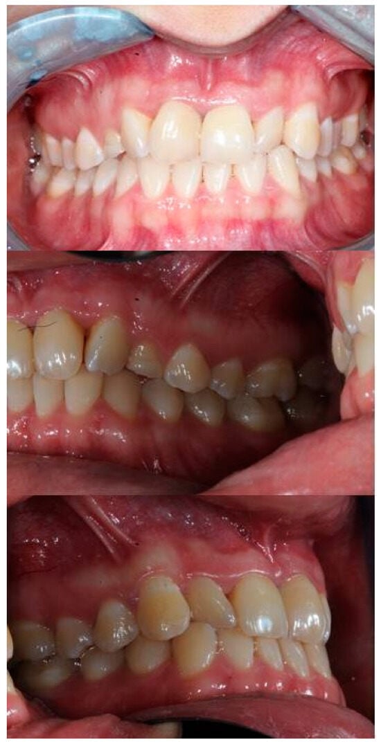
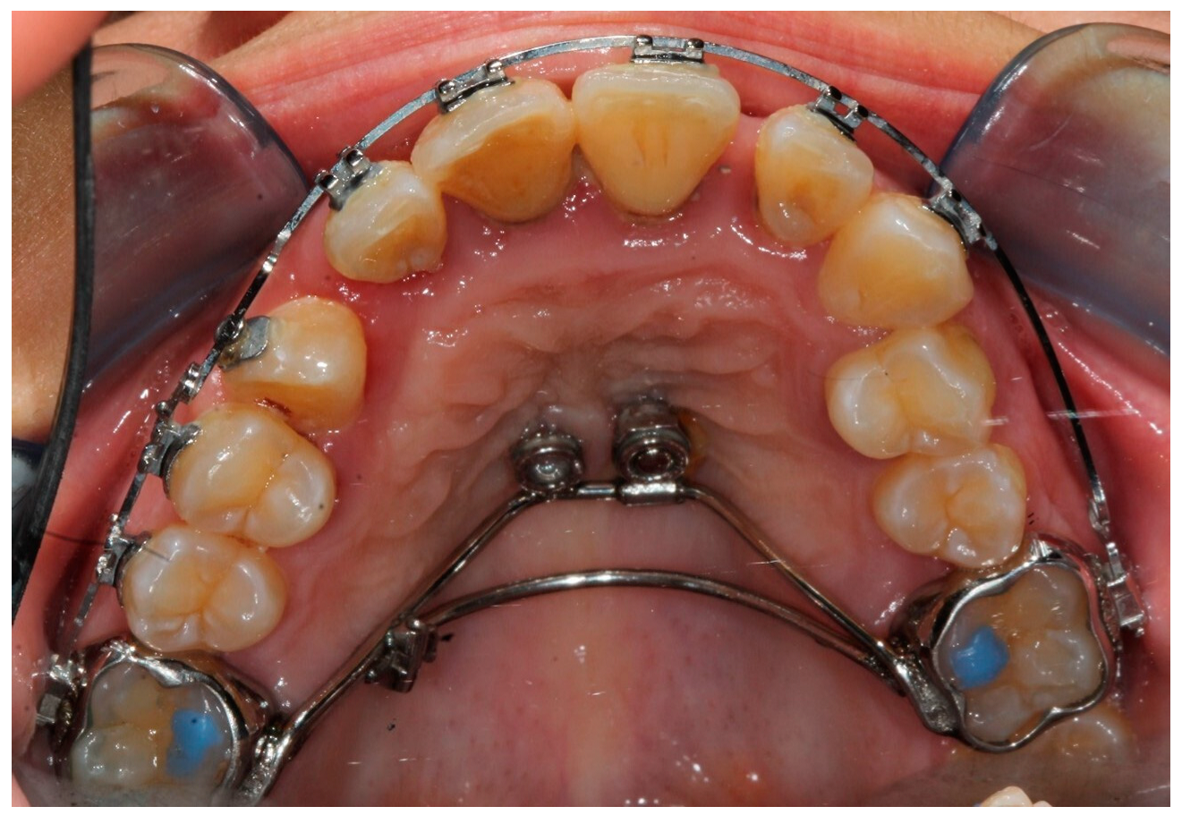
2. Case Report
2.1. Identification and Quantification of Periodontal Pathogens
2.2. Determination of Genomic Polymorphisms
2.3. Periodontal Pathogens
3. Discussion
Supplementary Materials
Author Contributions
Funding
Institutional Review Board Statement
Informed Consent Statement
Data Availability Statement
Conflicts of Interest
References
- Eng, G.; Chen, A.; Vess, T.; Ginsburg, G.S. Genome technologies and personalized dental medicine. Oral. Dis. 2012, 18, 223–235. [Google Scholar] [CrossRef] [PubMed]
- Hajishengallis, G.; Chavakis, T. Local and systemic mechanisms linking periodontal disease and inflammatory comorbidities. Nat. Rev. Immunol. 2021, 21, 426–440. [Google Scholar] [CrossRef]
- Hartsfield, J.K.; Jacob, G.J.; Morford, L.A. Heredity, genetics and orthodontics: How much has this research really helped? Semin. Orthod. 2017, 23, 336–347. [Google Scholar] [CrossRef] [PubMed]
- Armitage, G.C. Development of a Classification System for Periodontal Diseases and Conditions. Ann. Periodontol. 1999, 4, 1–6. [Google Scholar] [CrossRef] [PubMed]
- Zoheir, N.; Kurushima, Y.; Lin, G.H.; Nibali, L. Periodontal infectogenomics: A systematic review update of associations between host genetic variants and subgingival microbial detection. Clin. Oral. Investig. 2022, 26, 2209–2221. [Google Scholar] [CrossRef]
- Santacroce, L.; Passarelli, P.C.; Azzolino, D.; Bottalico, L.; Charitos, I.A.; Cazzolla, A.P.; Colella, M.; Topi, S.; Godoy, F.G.; D’Addona, A. Oral microbiota in human health and disease: A perspective. Exp. Biol. Med. 2023, 248, 1288–1301. [Google Scholar] [CrossRef]
- Liu, X.; Li, H. A Systematic Review and Meta-Analysis on Multiple Cytokine Gene Polymorphisms in the Pathogenesis of Periodontitis. Front. Immunol. 2022, 12, 713198. [Google Scholar] [CrossRef]
- Borges, M.A.T.; de Figueiredo, L.C.; de Brito, R.B.; Faveri, M.; Feres, M. Microbiological composition associated with vitamin D receptor gene polymorphism in chronic periodontitis. Braz. Oral. Res. 2009, 23, 203–208. [Google Scholar] [CrossRef]
- Cafiero, C.; Grippaudo, C.; Dell’aquila, M.; Cimmino, P.; D’addona, A.; De Angelis, P.; Ottaiano, M.P.; Costagliola, D.; Benincasa, G.; Micera, A.; et al. Association between Vitamin D Receptor Gene Polymorphisms and Periodontal Bacteria: A Clinical Pilot Study. Biomolecules 2022, 12, 833. [Google Scholar] [CrossRef]
- Lourenςo, T.G.B.; Spencer, S.J.; Alm, E.J.; Colombo, A.P.V. Defining the gut microbiota in individuals with periodontal diseases: An exploratory study. J. Oral Microbiol. 2018, 10, 1487741. [Google Scholar] [CrossRef]
- Lam, G.A.; Albarrak, H.; McColl, C.J.; Pizarro, A.; Sanaka, H.; Gomez-Nguyen, A.; Cominelli, F.; da Silva, A.P.B. The Oral-Gut Axis: Periodontal Diseases and Gastrointestinal Disorders. Inflamm. Bowel. Dis. 2023, 29, 1153–1164. [Google Scholar] [CrossRef] [PubMed]
- Peck, S.; Peck, L.; Kataja, M. The palatally displaced canine as a dental anomaly of genetic origin. Angle Orthod. 1994, 64, 249–256. [Google Scholar] [PubMed]
- Cernochova, P.; Cernoch, C.; Klimo Kanovska, K.; Tkadlec, E.; Izakovicova Holla, L. Treatment options for impacted maxillary canines and occurrence of ankylotic and resorptive processes: A 20-year retrospective study. BMC Oral Health 2024, 24, 877. [Google Scholar] [CrossRef] [PubMed]
- De Ávila Andrade, A.L.C.; de Almeida Pinto, Y.D.; Maia, B.E.B.; Corrêa, J.D.; de Azevedo Miranda, D.; Manzi, F.R.; de Abreu Lima, I.L. Genetic polymorphisms in external apical root resorption and orthodontic tooth movements: A systematic review. Korean J. Orthod. 2024, 54, 284. [Google Scholar] [CrossRef] [PubMed]
- Burnheimer, J.M.; Baxter, D.J.; Deeley, K.B.; Vieira, A.R.; Bezamat, M. Exploring etiologic contributions to the occurrence of external apical root resorption. Am. J. Orthod. Dentofac. Orthop. 2024, 166, 356–362.e8. [Google Scholar] [CrossRef]
- Sameshima, G.T.; Iglesias-Linares, A. Orthodontic root resorption. J. World Fed. Orthod. 2021, 10, 135–143. [Google Scholar] [CrossRef]
- Annarumma, F.; D’Emidio, M.; Rodi, G.; Battista, G.; Papi, G.; Migliorati, M. The effectiveness of miniscrews in the three-dimensional control of a palatal impacted canine: “Canine Only” approach. Case report. Int. Orthod. 2021, 19, 716–725. [Google Scholar] [CrossRef]
- Zhao, N.; Zhang, Q.; Guo, Y.; Cui, S.; Tian, Y.; Zhang, Y.; Zhou, Y.; Wang, X. Oral microbiome contributes to the failure of orthodontic temporary anchorage devices (TADs). BMC Oral Health 2023, 23, 22. [Google Scholar] [CrossRef]
- Grossman, L.I. Intentional replantation of teeth. J. Am. Dent. Assoc. 1966, 72, 1111–1118. [Google Scholar] [CrossRef]
- Plotino, G.; Sans, F.A.; Duggal, M.S.; Grande, N.M.; Krastl, G.; Nagendrababu, V.; Gambarini, G.; Duggal, M.S. Clinical procedures and outcome of surgical extrusion, intentional replantation and tooth autotransplantation—A narrative review. Int. Endod. J. 2020, 53, 1636–1652. [Google Scholar] [CrossRef]
- Torabinejad, M.; Dinsbach, N.A.; Turman, M.; Handysides, R.; Bahjri, K.; White, S.N. Survival of Intentionally Replanted Teeth and Implant-supported Single Crowns: A Systematic Review. J. Endod. 2015, 41, 992–998. [Google Scholar] [CrossRef] [PubMed]
- Mainkar, A. A Systematic Review of the Survival of Teeth Intentionally Replanted with a Modern Technique and Cost-effectiveness Compared with Single-tooth Implants. J. Endod. 2017, 43, 1963–1968. [Google Scholar] [CrossRef] [PubMed]
- Heithersay, G.S. Invasive cervical resorption. Endod. Top. 2004, 7, 73–92. [Google Scholar] [CrossRef]
- Lages, E.M.B.; Drummond, A.F.; Pretti, H.; Costa, F.O.; Lages, E.J.P.; Gontijo, A.I.; Cota, L.O.M.; Brito, R.B. Association of functional gene polymorphism IL-1beta in patients with external apical root resorption. Am. J. Orthod. Dentofac. Orthop. 2009, 136, 542–546. [Google Scholar] [CrossRef] [PubMed]
- Al-Qawasmi, R.A.; Hartsfield, J.K.; Everett, E.T.; Flury, L.; Liu, L.; Foroud, T.M.; Macri, J.V.; Roberts, W. Genetic predisposition to external apical root resorption. Am. J. Orthod. Dentofac. Orthop. 2003, 123, 242–252. [Google Scholar] [CrossRef] [PubMed]
- Iglesias-Linares, A.; Yañez-Vico, R.-M.; Ortiz-Ariza, E.; Ballesta, S.; Mendoza-Mendoza, A.; Perea, E.; Solano-Reina, E. Postorthodontic external root resorption in root-filled teeth is influenced by interleukin-1β polymorphism. J. Endod. 2012, 38, 283–287. [Google Scholar] [CrossRef]
- Qin, W.; Gao, J.; Ma, S.; Wang, Y.; Li, D.-M.; Jiang, W.-K.; Chen, F.; Tay, F.; Niu, L.-N. Multiple Cervical Root Resorption Involving 22 Teeth: A Case with Potential Genetic Predisposition. J. Endod. 2022, 48, 1526–1532. [Google Scholar] [CrossRef]
- Patel, S.; Foschi, F.; Condon, R.; Pimentel, T.; Bhuva, B. External cervical resorption: Part 2—Management. Int. Endod. J. 2018, 51, 1224–1238. [Google Scholar] [CrossRef]
- Mombelli, A.; McNabb, H.; Lang, N.P. Black-pigmenting Gram-negative bacteria in periodontal disease. I. Topographic distribution in the human dentition. J. Periodontal Res. 1991, 26, 301–307. [Google Scholar] [CrossRef]
- Palmirotta, R.; Ludovici, G.; De Marchis, M.L.; Savonarola, A.; Leone, B.; Spila, A.; De Angelis, F.; Della Morte, D.; Ferroni, P.; Guadagni, F. Preanalytical Procedures for DNA Studies: The Experience of the Interinstitutional Multidisciplinary BioBank (BioBIM). Biopreservation Biobanking 2011, 9, 35–45. [Google Scholar] [CrossRef]
- Kang, S.H.; Kim, B.S.; Kim, Y. Cracked teeth: Distribution, characteristics, and survival after root canal treatment. J. Endod. 2016, 42, 557–562. [Google Scholar] [CrossRef] [PubMed]
- Patel, K.; Mannocci, F.; Patel, S. The Assessment and Management of External Cervical Resorption with Periapical Radiographs and Cone-beam Computed Tomography: A Clinical Study. J. Endod. 2016, 42, 1435–1440. [Google Scholar] [CrossRef] [PubMed]
- Mavridou, A.M.; Hauben, E.; Wevers, M.; Schepers, E.; Bergmans, L.; Lambrechts, P. Understanding External Cervical Resorption in Vital Teeth. J. Endod. 2016, 42, 1737–1751. [Google Scholar] [CrossRef]
- Patel, S.; Foschi, F.; Mannocci, F.; Patel, K. External cervical resorption: A three-dimensional classification. Int. Endod. J. 2018, 51, 206–214. [Google Scholar] [CrossRef]
- Vaz de Souza, D.; Schirru, E.; Mannocci, F.; Foschi, F.; Patel, S. External Cervical Resorption: A Comparison of the Diagnostic Efficacy Using 2 Different Cone-beam Computed Tomographic Units and Periapical Radiographs. J. Endod. 2017, 43, 121–125. [Google Scholar] [CrossRef]
- Ren, H.; Chen, J.; Deng, F.; Zheng, L.; Liu, X.; Dong, Y. Comparison of cone-beam computed tomography and periapical radiography for detecting simulated apical root resorption. Angle Orthod. 2013, 83, 189. [Google Scholar] [CrossRef] [PubMed]
- Heithersay, G. Invasive cervical resorption: An analysis of potential predisposing factors. Quintessence Int. 1999, 30, 83–95. [Google Scholar]
- Mavridou, A.M.; Pyka, G.; Kerckhofs, G.; Wevers, M.; Bergmans, L.; Gunst, V.; Huybrechts, B.; Schepers, E.; Hauben, E.; Lambrechts, P. A novel multimodular methodology to investigate external cervical tooth resorption. Int. Endod. J. 2016, 49, 287–300. [Google Scholar] [CrossRef]
- Choi, H.; Yang, L.; Liu, Y.; Jeong, J.K.; Cho, E.S. Npp1 prevents external tooth root resorption by regulation of cervical cementum integrity. Sci. Rep. 2022, 12, 21158. [Google Scholar] [CrossRef] [PubMed]
- Kahler, W. The cracked tooth conundrum: Terminology, classification, diagnosis, and management. Am. J. Dent. 2008, 21, 275–282. [Google Scholar]
- Roh, B.D.; Lee, Y.E. Analysis of 154 cases of teeth with cracks. Dent. Traumatol. 2006, 22, 118–123. [Google Scholar] [CrossRef] [PubMed]
- Rivera, E.; Williamson, A. Diagnosis and treatment planning: Cracked tooth. Tex. Dent. J. 2003, 120, 278–283. [Google Scholar] [PubMed]
- Udoye, C.I.; Jafarzadeh, H. Cracked Tooth Syndrome: Characteristics and Distribution among Adults in a Nigerian Teaching Hospital. J. Endod. 2009, 35, 334–336. [Google Scholar] [CrossRef]
- Krell, K.V.; Rivera, E.M. A Six Year Evaluation of Cracked Teeth Diagnosed with Reversible Pulpitis: Treatment and Prognosis. J. Endod. 2007, 33, 1405–1407. [Google Scholar] [CrossRef] [PubMed]
- Lubisich, E.B.; Hilton, T.J.; Ferracane, J. Cracked Teeth: A Review of the Literature. J. Esthet. Restor. Dent. 2010, 22, 158–167. [Google Scholar] [CrossRef] [PubMed]
- Qiao, F.; Chen, M.; Hu, X.; Niu, K.; Zhang, X.; Li, Y.; Wu, Z.; Shen, Z.; Wu, L. Cracked Teeth and Poor Oral Masticatory Habits: A Matched Case-control Study in China. J. Endod. 2017, 43, 885–889. [Google Scholar] [CrossRef]
- Yap, R.C.; Alghanem, M.; Martin, N. A narrative review of cracks in teeth: Aetiology, microstructure and diagnostic challenges. J. Dent. 2023, 138, 104683. [Google Scholar] [CrossRef]
- Gill, T.; Pollard, A.J.; Baker, J.; Tredwin, C. Cracked Tooth Syndrome: Assessment, Prognosis and Predictable Management Strategies. Eur. J. Prosthodont. Restor. Dent. 2021, 29, 209–217. [Google Scholar]
- Wan, Q.S.; Li, L.; Yang, S.K.; Liu, Z.L.; Song, N. Role of Vitamin D Receptor Gene Polymorphisms on the Susceptibility to Periodontitis: A Meta-Analysis of a Controversial Issue. Genet. Test. Mol. Biomark. 2019, 23, 618–633. [Google Scholar] [CrossRef]
- Pakpahan, C.; Wungu, C.D.K.; Agustinus, A.; Darmadi, D. Do Vitamin D receptor gene polymorphisms affect bone mass density in men?: A meta-analysis of observational studies. Ageing Res. Rev. 2022, 75, 101571. [Google Scholar] [CrossRef]
- Yang, X.; Ru, J.; Li, Z.; Jiang, X.; Fan, C. Lower vitamin D levels and VDR FokI variants are associated with susceptibility to sepsis: A hospital-based case-control study. Biomarkers 2022, 27, 188–195. [Google Scholar] [CrossRef]
- Deng, H.; Liu, F.; Pan, Y.; Jin, X.; Wang, H.; Cao, J. BsmI, TaqI, ApaI, and FokI polymorphisms in the vitamin D receptor gene and periodontitis: A meta-analysis of 15 studies including 1338 cases and 1302 controls. J. Clin. Periodontol. 2011, 38, 199–207. [Google Scholar] [CrossRef]
- Socransky, S.S.; Haffajee, A.D.; Cugini, M.A.; Smith, C.; Kent, R.L. Microbial complexes in subgingival plaque. J. Clin. Periodontol. 1998, 25, 134–144. [Google Scholar] [CrossRef] [PubMed]
- Papapanou, P.N.; Sanz, M.; Buduneli, N.; Dietrich, T.; Feres, M.; Fine, D.H.; Flemmig, T.F.; Garcia, R.; Giannobile, W.V.; Graziani, F.; et al. Periodontitis: Consensus report of workgroup 2 of the 2017 World Workshop on the Classification of Periodontal and Peri-Implant Diseases and Conditions. J. Periodontol. 2018, 89, S173–S182. [Google Scholar] [CrossRef]
- Preshaw, P.M.; Alba, A.L.; Herrera, D.; Jepsen, S.; Konstantinidis, A.; Makrilakis, K.; Taylor, R. Periodontitis and diabetes: A two-way relationship. Diabetologia 2012, 55, 21–31. [Google Scholar] [CrossRef]
- Taylor, J.J.; Preshaw, P.M.; Lalla, E. A review of the evidence for pathogenic mechanisms that may link periodontitis and diabetes. J. Clin. Periodontol. 2013, 40, S113–S134. [Google Scholar] [CrossRef]
- Thorstensson, H.; Dahlén, G.; Hugoson, A. Some suspected periodontopathogens and serum antibody response in adult long-duration insulin-dependent diabetics. J. Clin. Periodontol. 1995, 22, 49–58. [Google Scholar] [CrossRef]
- Linhartova, P.B.; Danek, Z.; Deissova, T.; Hromcik, F.; Lipovy, B.; Szaraz, D.; Janos, J.; Fassmann, A.; Bartova, J.; Drizhal, I.; et al. Interleukin Gene Variability and Periodontal Bacteria in Patients with Generalized Aggressive Form of Periodontitis. Int. J. Mol. Sci. 2020, 21, 4728. [Google Scholar] [CrossRef]
- Geng, Y.; Li, L.; Wang, X.; He, F.; Zhou, Y.; Yang, M.; Xu, Y. Interleukin-10 polymorphisms affect the key periodontal pathogens in Chinese periodontitis patients. Sci. Rep. 2018, 8, 9068. [Google Scholar] [CrossRef]
- Sasaki, H.; Okamatsu, Y.; Kawai, T.; Kent, R.; Taubman, M.; Stashenko, P. The interleukin-10 knockout mouse is highly susceptible to Porphyromonas gingivalis-induced alveolar bone loss. J. Periodontal Res. 2004, 39, 432–441. [Google Scholar] [CrossRef]
- Claudino, M.; Garlet, T.P.; Cardoso, C.R.B.; De Assis, G.F.; Taga, R.; Cunha, F.Q.; Silva, J.S.; Garlet, G.P. Down-regulation of expression of osteoblast and osteocyte markers in periodontal tissues associated with the spontaneous alveolar bone loss of interleukin-10 knockout mice. Eur. J. Oral Sci. 2010, 118, 19–28. [Google Scholar] [CrossRef] [PubMed]
- De Barros Lopes, C.; Barroso, R.F.F.; Burbano, R.M.R.; Garcia, P.A.; do Carmo Pinto, P.D.; Dos Santos, N.P.C.; Santos, S.E.B.; Ribeiro-dos-Santos, A.K.C. Effect of ancestry on interleukin-10 haplotypes in chronic periodontitis. Front. Biosci. (Elite Ed.) 2017, 9, 276–285. [Google Scholar] [CrossRef]
- Taiete, T.; Monteiro, M.F.; Casati, M.Z.; do Vale, H.F.; Ambosano, G.M.; Nociti, F.H.; Sallum, E.A.; Casarin, R.C. Local IL-10 level as a predictive factor in generalized aggressive periodontitis treatment response. Scand. J. Immunol. 2019, 90, e12816. [Google Scholar] [CrossRef]
- Zhang, Q.; Chen, B.; Yan, F.; Guo, J.; Zhu, X.; Ma, S.; Yang, W. Interleukin-10 Inhibits Bone Resorption: A Potential Therapeutic Strategy in Periodontitis and Other Bone Loss Diseases. Biomed. Res. Int. 2014, 2014, 284836. [Google Scholar] [CrossRef]
- Brodzikowska, A.; Górska, R.; Kowalski, J. Interleukin-1 Genotype in Periodontitis. Arch. Immunol. Ther. Exp. 2019, 67, 367–373. [Google Scholar] [CrossRef] [PubMed]
- Myneni, S.R.; Brocavich, K.H.; Wang, H. Biological strategies for the prevention of periodontal disease: Probiotics and vaccines. Periodontology 2000 2020, 84, 161–175. [Google Scholar] [CrossRef]
- Scannapieco, F.A.; Gershovich, E. The prevention of periodontal disease—An overview. Periodontology 2000 2020, 84, 9–13. [Google Scholar] [CrossRef] [PubMed]
- Fishman, D.; Faulds, G.; Jeffery, R.; Mohamed-Ali, V.; Yudkin, J.S.; Humphries, S.; Woo, P. The effect of novel polymorphisms in the interleukin-6 (IL-6) gene on IL-6 transcription and plasma IL-6 levels, and an association with systemic-onset juvenile chronic arthritis. J. Clin. Investig. 1998, 102, 1369. [Google Scholar] [CrossRef]
- Vieira, G.H.A.; Rivas, A.C.A.; Costa, K.F.; Oliveira, L.F.F.; Suzuki, K.T.; Messora, M.R.; Ricoldi, M.S.; de Almeida, A.L.G.; Taba, M. Specific inhibition of IL-6 receptor attenuates inflammatory bone loss in experimental periodontitis. J. Periodontol. 2021, 92, 1460–1469. [Google Scholar] [CrossRef]
- Currell, S.D.; Liaw, A.; Blackmore Grant, P.D.; Esterman, A.; Nimmo, A. Orthodontic mechanotherapies and their influence on external root resorption: A systematic review. Am. J. Orthod. Dentofac. Orthop. 2019, 155, 313–329. [Google Scholar] [CrossRef]





| Periodontal Pathogens | Patient in This Study Copies/mL |
|---|---|
| Tannerella Forsythia | 6.200.000 |
| Porphyromonas Gingivalis | 16.000 |
| Aggregatibacter Actinomycetemcomitans | 13.400 |
| Prevotella Intermedia | 7.900 |
| Porphyromonas Endodontalis | 3.700 |
| Treponema Denticola | 2.100 |
| Fusobacter Nucleatum | 1.740 |
| Gene Variant | SNP ID | Nucleotide Change * | Genotype Identified |
|---|---|---|---|
| VDR FokI | rs2228570 | c.2T > C (f > F) | TT (ff) |
| VDR BsmI | rs1544410 | c.1024 + 283G > A(b > B) | GA (bB) |
| VDR ApaI | rs7975232 | c.1025 −49A > C(A > a) | AC (Aa) |
| VDR TaqI | rs731236 | c.1056T > C (T > t) | TC (Tt) |
| IL-1α | rs1800587 | c.-949C > T | CT |
| IL-1β | rs1143634 | c.3954C > T | CC |
| IL-6 | rs1800795 | c.-174G > C | GC |
| IL-10 | rs1800896 | c.−1082 A > G | AA |
| IL-10 | rs1800871 | c.-819 T > C | TT |
Disclaimer/Publisher’s Note: The statements, opinions and data contained in all publications are solely those of the individual author(s) and contributor(s) and not of MDPI and/or the editor(s). MDPI and/or the editor(s) disclaim responsibility for any injury to people or property resulting from any ideas, methods, instructions or products referred to in the content. |
© 2024 by the authors. Licensee MDPI, Basel, Switzerland. This article is an open access article distributed under the terms and conditions of the Creative Commons Attribution (CC BY) license (https://creativecommons.org/licenses/by/4.0/).
Share and Cite
Grippaudo, C.; Cafiero, C.; Grande, N.M.; Dassatti, L.; Palmirotta, R.; Castagnola, R.; Isola, G. Genetic Testing as a Source of Information Driving Diagnosis and Therapeutic Plan in a Multidisciplinary Case. Bioengineering 2024, 11, 1023. https://doi.org/10.3390/bioengineering11101023
Grippaudo C, Cafiero C, Grande NM, Dassatti L, Palmirotta R, Castagnola R, Isola G. Genetic Testing as a Source of Information Driving Diagnosis and Therapeutic Plan in a Multidisciplinary Case. Bioengineering. 2024; 11(10):1023. https://doi.org/10.3390/bioengineering11101023
Chicago/Turabian StyleGrippaudo, Cristina, Concetta Cafiero, Nicola Maria Grande, Leonardo Dassatti, Raffaele Palmirotta, Raffaella Castagnola, and Gaetano Isola. 2024. "Genetic Testing as a Source of Information Driving Diagnosis and Therapeutic Plan in a Multidisciplinary Case" Bioengineering 11, no. 10: 1023. https://doi.org/10.3390/bioengineering11101023
APA StyleGrippaudo, C., Cafiero, C., Grande, N. M., Dassatti, L., Palmirotta, R., Castagnola, R., & Isola, G. (2024). Genetic Testing as a Source of Information Driving Diagnosis and Therapeutic Plan in a Multidisciplinary Case. Bioengineering, 11(10), 1023. https://doi.org/10.3390/bioengineering11101023

