Differential Immune Response to Bioprosthetic Heart Valve Tissues in the α1,3Galactosyltransferase-Knockout Mouse Model
Abstract
1. Introduction
2. Materials and Methods
2.1. Tissue Samples and Processing
2.2. Mouse Model of BHV Tissue Implantation
2.3. Pathology
2.4. Culture of Endothelial Cells
2.5. Determinations of Serum Xenoantibodies
2.6. Statistical Analyses
3. Results
3.1. Experimental Setting and Immune-Response Kinetics in Gal KO Mice Grafted with BHV Tissue
3.1.1. Time Course of the Antibody Response
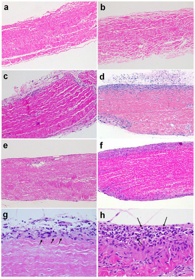
3.1.2. Time Course of the Histopathological Changes
3.2. Gal KO Mice Develop a Cellular Immune Response against BHV Tissues
3.3. Gal KO Mice Develop an Anti-Gal Antibody Response against Specific BHV Tissues
3.4. Lack of Correlation between Cellular and Induced Anti-Gal Antibody Responses to BHV Tissues
3.5. Gal KO Mice Develop an Anti-Non-Gal IgG Response against Specific BHV Tissues
4. Discussion
5. Conclusions
Supplementary Materials
Author Contributions
Funding
Institutional Review Board Statement
Informed Consent Statement
Data Availability Statement
Acknowledgments
Conflicts of Interest
References
- Goldstone, A.B.; Chiu, P.; Baiocchi, M.; Lingala, B.; Patrick, W.L.; Fischbein, M.P.; Woo, Y.J. Mechanical or Biologic Prostheses for Aortic-Valve and Mitral-Valve Replacement. N. Engl. J. Med. 2017, 377, 1847–1857. [Google Scholar] [CrossRef] [PubMed]
- Huygens, S.A.; Etnel, J.R.G.; Hanif, M.; Bekkers, J.A.; Bogers, A.J.J.C.; Rutten-van Mölken, M.P.M.H.; Takkenberg, J.J.M. Bioprosthetic aortic valve replacement in elderly patients: Meta-analysis and microsimulation. J. Thorac. Cardiovasc. Surg. 2019, 157, 2189–2197.e14. [Google Scholar] [CrossRef]
- Scherman, J.; Zilla, P. Poorly suited heart valve prostheses heighten the plight of patients with rheumatic heart disease. Int. J. Cardiol. 2020, 318, 104–114. [Google Scholar] [CrossRef]
- Manji, R.A.; Lee, W.; Cooper, D.K.C. Xenograft bioprosthetic heart valves: Past, present and future. Int. J. Surg. 2015, 23, 280–284. [Google Scholar] [CrossRef] [PubMed]
- Liu, J.; Jing, H.; Qin, Y.; Li, B.; Sun, Z.; Kong, D.; Leng, X.; Wang, Z. Nonglutaraldehyde Fixation for off the Shelf Decellularized Bovine Pericardium in Anticalcification Cardiac Valve Applications. ACS Biomater. Sci. Eng. 2019, 5, 1452–1461. [Google Scholar] [CrossRef] [PubMed]
- Rahhab, Z.; El Faquir, N.; Tchetche, D.; Delgado, V.; Kodali, S.; Mara Vollema, E.; Bax, J.; Leon, M.B.; Van Mieghem, N.M. Expanding the indications for transcatheter aortic valve implantation. Nat. Rev. Cardiol. 2020, 17, 75–84. [Google Scholar] [CrossRef]
- Claessen, B.E.; Tang, G.H.L.; Kini, A.S.; Sharma, S.K. Considerations for Optimal Device Selection in Transcatheter Aortic Valve Replacement: A Review. JAMA Cardiol. 2021, 6, 102–112. [Google Scholar] [CrossRef]
- Carpentier, A.; Latrémouille, C.; Cholley, B.; Smadja, D.M.; Roussel, J.C.; Boissier, E.; Trochu, J.N.; Gueffet, J.P.; Treillot, M.; Bizouarn, P.; et al. First clinical use of a bioprosthetic total artificial heart: Report of two cases. Lancet. 2015, 386, 1556–1663. [Google Scholar] [CrossRef]
- Schmid Daners, M.; Kaufmann, F.; Amacher, R.; Ochsner, G.; Wilhelm, M.J.; Ferrari, A.; Mazza, E.; Poulikakos, D.; Meboldt, M.; Falk, V. Left Ventricular Assist Devices: Challenges Toward Sustaining Long-Term Patient Care. Ann. Biomed. Eng. 2017, 45, 1836–1851. [Google Scholar] [CrossRef]
- Sénage, T.; Le Tourneau, T.; Foucher, Y.; Pattier, S.; Cueff, C.; Michel, M.; Serfaty, J.M.; Mugniot, A.; Périgaud, C.; Carton, H.F.; et al. Early structural valve deterioration of Mitroflow aortic bioprosthesis: Mode, incidence, and impact on outcome in a large cohort of patients. Circulation 2014, 130, 2012–2020. [Google Scholar] [CrossRef]
- Ochi, A.; Cheng, K.; Zhao, B.; Hardikar, A.A.; Negishi, K. Patient Risk Factors for Bioprosthetic Aortic Valve Degeneration: A Systematic Review and Meta-Analysis. Heart Lung Circ. 2020, 29, 668–678. [Google Scholar] [CrossRef] [PubMed]
- Kostyunin, A.E.; Yuzhalin, A.E.; Rezvova, M.A.; Ovcharenko, E.A.; Glushkova, T.V.; Kutikhin, A.G. Degeneration of Bioprosthetic Heart Valves: Update 2020. J. Am. Heart Assoc. 2020, 9, e018506. [Google Scholar] [CrossRef] [PubMed]
- Ground, M.; Waqanivavalagi, S.; Walker, R.; Milsom, P.; Cornish, J. Models of immunogenicity in preclinical assessment of tissue engineered heart valves. Acta Biomater. 2021, 133, 102–113. [Google Scholar] [CrossRef] [PubMed]
- Sénage, T.; Paul, A.; Le Tourneau, T.; Fellah-Hebia, I.; Vadori, M.; Bashir, S.; Galiñanes, M.; Bottio, T.; Gerosa, G.; Evangelista, A.; et al. The role of antibody responses against glycans in bioprosthetic heart valve calcification and deterioration. Nat. Med. 2022, 28, 283–294. [Google Scholar] [CrossRef] [PubMed]
- Galiñanes, M.; Casós, K.; Blasco-Lucas, A.; Permanyer, E.; Máñez, R.; Le Tourneau, T.; Barquinero, J.; Schwartz, C., Jr.; Bottio, T.; Roussel, J.C.; et al. Oxidative stress in structural valve deterioration: A longitudinal clinical study. Biomolecules 2022, 12, 1606. [Google Scholar] [CrossRef] [PubMed]
- Pibarot, P.; Dumesnil, J.G. Prosthetic heart valves: Selection of the optimal prosthesis and long-term management. Circulation 2009, 119, 1034–1048. [Google Scholar] [CrossRef]
- Schmidt, C.E.; Baier, J.M. Acellular vascular tissues: Natural biomaterials for tissue repair and tissue engineering. Biomaterials 2000, 21, 2215–2231. [Google Scholar] [CrossRef]
- Reuven, E.M.; Leviatan Ben-Arye, S.; Marshanski, T.; Breimer, M.E.; Yu, H.; Fellah-Hebia, I.; Roussel, J.C.; Costa, C.; Galiñanes, M.; Mañez, R.; et al. Characterization of immunogenic Neu5Gc in bioprosthetic heart valves. Xenotransplantation 2016, 23, 381–392. [Google Scholar] [CrossRef]
- Naso, F.; Gandaglia, A.; Bottio, T.; Tarzia, V.; Nottle, M.B.; d’Apice, A.J.F.; Cowan, P.J.; Cozzi, E.; Galli, C.; Lagutina, I.; et al. First quantification of alpha-Gal epitope in current glutaraldehyde-fixed heart valve bioprostheses. Xenotransplantation 2013, 20, 252–261. [Google Scholar] [CrossRef]
- Lee, W.; Long, C.; Ramsoondar, J.; Ayares, D.; Cooper, D.K.; Manji, R.A.; Hara, H. Human antibody recognition of xenogeneic antigens [NeuGc and Gal) on porcine heart valves: Could genetically modified pig heart valves reduce structural valve deterioration? Xenotransplantation 2016, 23, 370–380. [Google Scholar] [CrossRef]
- Böer, U.; Buettner, F.F.R.; Schridde, A.; Klingenberg, M.; Sarikouch, S.; Haverich, A.; Wilhelmi, M. Antibody formation towards porcine tissue in patients implanted with crosslinked heart valves is directed to antigenic tissue proteins and αGal epitopes and is reduced in healthy vegetarian subjects. Xenotransplantation 2017, 24, e12288. [Google Scholar] [CrossRef] [PubMed]
- Mangold, A.; Szerafin, T.; Hoetzenecker, K.; Hacker, S.; Lichtenauer, M.; Niederpold, T.; Nickl, S.; Dworschak, M.; Blumer, R.; Auer, J.; et al. Alpha-Gal specific IgG immune response after implantation of bioprostheses. Thorac. Cardiovasc. Surg. 2009, 57, 191–195. [Google Scholar] [CrossRef] [PubMed]
- Park, C.S.; Park, S.S.; Choi, S.Y.; Yoon, S.H.; Kim, W.H.; Kim, Y.J. Anti alpha-gal immune response following porcine bioprosthesis implantation in children. J. Heart Valve Dis. 2010, 19, 124–130. [Google Scholar] [PubMed]
- Park, C.S.; Oh, S.S.; Kim, Y.E.; Choi, S.Y.; Lim, H.G.; Ahn, H.; Kim, Y.J. Anti-alpha-Gal antibody response following xenogeneic heart valve implantation in adults. J. Heart Valve Dis. 2013, 22, 222–229. [Google Scholar] [PubMed]
- McGregor, C.; Byrne, G.; Rahmani, B.; Chisari, E.; Kyriakopoulou, K.; Burriesci, G. Physical equivalency of wild type and galactose α 1,3 galactose free porcine pericardium; a new source material for bioprosthetic heart valves. Acta Biomater. 2016, 41, 204–209. [Google Scholar] [CrossRef] [PubMed]
- Zhang, R.; Wang, Y.; Chen, L.; Wang, R.; Li, C.; Li, X.; Fang, B.; Ren, X.; Ruan, M.; Liu, J.; et al. Reducing immunoreactivity of porcine bioprosthetic heart valves by genetically-deleting three major glycan antigens, GGTA1/β4GalNT2/CMAH. Acta Biomater. 2018, 72, 196–205. [Google Scholar] [CrossRef]
- Perota, A.; Lagutina, I.; Duchi, R.; Zanfrini, E.; Lazzari, G.; Judor, J.P.; Conchon, S.; Bach, J.M.; Bottio, T.; Gerosa, G.; et al. Generation of cattle knockout for galactose-α1,3-galactose and N-glycolylneuraminic acid antigens. Xenotransplantation 2019, 26, e12524. [Google Scholar] [CrossRef]
- Fatima, B.; Mohananey, D.; Khan, F.W.; Jobanputra, Y.; Tummala, R.; Banerjee, K.; Krishnaswamy, A.; Mick, S.; Tuzcu, E.M.; Blackstone, E.; et al. Durability Data for Bioprosthetic Surgical Aortic Valve: A Systematic Review. JAMA Cardiol. 2019, 4, 71–80. [Google Scholar] [CrossRef]
- Leviner, D.B.; Zafrir, B.; Saliba, W.; Stein, N.; Shiran, A.; Sharoni, E. Biological or mechanical mitral valve replacement in patients 50–70 years of age-a propensity-adjusted analysis. Eur. J. Cardiothorac. Surg. 2022, 62, ezac073. [Google Scholar] [CrossRef]
- Costa, C.; Brokaw, J.L.; Wang, Y.; Fodor, W.L. Delayed rejection of porcine cartilage is averted by transgenic expression of alpha1,2-fucosyltransferase. FASEB J. 2003, 17, 109–211. [Google Scholar] [CrossRef]
- Costa, C.; Zhao, L.; Shen, Y.; Su, X.; Hao, L.; Colgan, S.P.; Stahl, G.L.; Zhou, T.; Wang, Y. Role of complement component C5 in cerebral ischemia/reperfusion injury. Brain Res. 2006, 1100, 142–151. [Google Scholar] [CrossRef] [PubMed]
- Katopodis, A.G.; Warner, R.G.; Duthaler, R.O.; Streiff, M.B.; Bruelisauer, A.; Kretz, O.; Dorobek, B.; Persohn, E.; Andres, H.; Schweitzer, A.; et al. Removal of anti-Galalpha1,3Gal xenoantibodies with an injectable polymer. J. Clin. Invest. 2002, 110, 1869–1877. [Google Scholar] [CrossRef] [PubMed]
- Milland, J.; Christiansen, D.; Lazarus, B.D.; Taylor, S.G.; Xing, P.X.; Sandrin, M.S. The molecular basis for galalpha(1,3)gal expression in animals with a deletion of the alpha1,3galactosyltransferase gene. J. Immunol. 2006, 176, 2448–2454. [Google Scholar] [CrossRef] [PubMed]
- Lepidi, H.; Casalta, J.P.; Fournier, P.E.; Habib, G.; Collart, F.; Raoult, D. Quantitative histological examination of bioprosthetic heart valves. Clin. Infect. Dis. 2006, 42, 590–596. [Google Scholar] [CrossRef] [PubMed]
- Li, L.; Duan, X.; Wang, H.; Sun, Y.; Zhao, W.; Lu, Y.; Xu, H.; You, Y.; Wang, Q. Is cell regeneration and infiltration a double edged sword for porcine aortic valve deterioration? A large cohort of histopathological analysis. BMC Cardiovasc. Disord. 2022, 22, 336. [Google Scholar] [CrossRef]
- Christian, A.J.; Lin, H.; Alferiev, I.S.; Connolly, J.M.; Ferrari, G.; Hazen, H.; Ischiropoulos, H.; Levy, R.J. The susceptibility of bioprosthetic heart valve leaflets to oxidation. Biomaterials 2014, 35, 2097–2102. [Google Scholar] [CrossRef]
- Lee, C.; Ahn, H.; Kim, S.H.; Choi, S.Y.; Kim, Y.J. Immune response to bovine pericardium implanted into α1,3-galactosyltransferase knockout mice: Feasibility as an animal model for testing efficacy of anticalcification treatments of xenografts. Eur. J. Cardiothorac. Surg. 2012, 42, 164–172. [Google Scholar] [CrossRef]
- Kim, M.S.; Jeong, S.; Lim, H.G.; Kim, Y.J. Differences in xenoreactive immune response and patterns of calcification of porcine and bovine tissues in α-Gal knock-out and wild-type mouse implantation models. Eur. J. Cardiothorac. Surg. 2015, 48, 392–409. [Google Scholar] [CrossRef]
- Kim, M.S.; Lim, H.G.; Kim, Y.J. Calcification of decellularized and alpha-galactosidase-treated bovine pericardial tissue in an alpha-Gal knock-out mouse implantation model: Comparison with primate pericardial tissue. Eur. J. Cardiothorac. Surg. 2016, 49, 894–900. [Google Scholar] [CrossRef]
- McGregor, C.G.; Carpentier, A.; Lila, N.; Logan, J.S.; Byrne, G.W. Cardiac xenotransplantation technology provides materials for improved bioprosthetic heart valves. J. Thorac. Cardiovasc. Surg. 2011, 141, 269–275. [Google Scholar] [CrossRef]
- Duchnowski, P.; Hryniewiecki, T.; Kuśmierczyk, M.; Szymański, P. The usefulness of selected biomarkers in patients with valve disease. Biomark. Med. 2018, 12, 1341–1346. [Google Scholar] [CrossRef] [PubMed]
- Grunkemeier, G.L.; Furnary, A.P.; Wu, Y.; Wang, L.; Starr, A. Durability of pericardial versus porcine bioprosthetic heart valves. J. Thorac. Cardiovasc. Surg. 2012, 144, 1381–1386. [Google Scholar] [CrossRef] [PubMed]
- Kwak, J.; Bang, J.H.; Cho, S.; Kim, E.R.; Shih, B.C.; Lee, C.H.; Kim, W.H. Long-term durability of bioprosthetic valves in pulmonary position: Pericardial versus porcine valves. J. Thorac. Cardiovasc. Surg. 2020, 160, 476–484. [Google Scholar] [CrossRef] [PubMed]
- Stanger, O.; Bleuel, I.; Reineke, S.; Banz, Y.; Erdoes, G.; Tevaearai, H.; Göber, V.; Carrel, T.; Englberger, L. Pitfalls and premature failure of the Freedom SOLO stentless valve. Eur. J. Cardiothorac. Surg. 2015, 48, 562–570. [Google Scholar] [CrossRef]
- Mosquera, V.X.; Bouzas-Mosquera, A.; Velasco-García, C.; Vásquez-Echeverri, D.; Pradas-Irún, C.; González-Barbeito, M.; Estévez-Cid, F.; Bautista-Hernández, V.; Iglesias-Gil, C.; Fernández-Arias, L.; et al. Impacto del tratamiento anticalcificación en la durabilidad de la bioprótesis Mitroflow y factores de riesgo para el deterioro valvular estructural. Cir. Cardiovasc. 2017, 24, 63–70. [Google Scholar] [CrossRef]







| BHV Name | Tissue Source | BHV Treatment | n |
|---|---|---|---|
| ATS 3f | Equine pericardium | Glutaraldehyde | 10 |
| CROWN | Bovine pericardium | Glutaraldehyde + Octanediol | 9 |
| FREEDOM | Bovine pericardium | Glutaraldehyde + Homocysteic acid | 10 |
| HANCOCK | Porcine aortic valves | Glutaraldehyde + Sodium dodecyl sulfate | 7 |
| huPERIC | Human pericardium | Glutaraldehyde | 7 |
| BHV | Baseline | 3 Days | 3 Weeks | 2 Months | 4 Months |
|---|---|---|---|---|---|
| ATS 3f | 34.8 ± 0.9 | 33.2 ± 1 * | 32.9 ± 1 | 34 ± 0.6 | 32.8 ± 0.6 |
| FREEDOM | 34.7 ± 1.1 | 32.7 ± 1.3 * | 34 ± 1.2 | 33.3 ± 1.4 | 33.3 ± 1.1 |
| BHV | Baseline | 2 Weeks | 2 Months |
|---|---|---|---|
| ATS 3f | 35.6 ± 0.5 | 34.6 ± 0.8 | 34.6 ± 1.1 |
| CROWN | 35.7 ± 0.8 | 34.7 ± 0.9 | 33.7 ± 1.3 * |
| FREEDOM | 32.8 ± 1.5 | 32.7 ± 1.1 | 33.4 ± 1.2 |
| HANCOCK | 36.3 ± 0.8 | 35.3 ± 0.9 | 34.6 ± 0.3 |
| huPERIC | 36.4 ± 1.3 | 35.7 ± 1.4 | 35.8 ± 1.2 |
Disclaimer/Publisher’s Note: The statements, opinions and data contained in all publications are solely those of the individual author(s) and contributor(s) and not of MDPI and/or the editor(s). MDPI and/or the editor(s) disclaim responsibility for any injury to people or property resulting from any ideas, methods, instructions or products referred to in the content. |
© 2023 by the authors. Licensee MDPI, Basel, Switzerland. This article is an open access article distributed under the terms and conditions of the Creative Commons Attribution (CC BY) license (https://creativecommons.org/licenses/by/4.0/).
Share and Cite
Casós, K.; Llatjós, R.; Blasco-Lucas, A.; Kuguel, S.G.; Sbraga, F.; Galli, C.; Padler-Karavani, V.; Le Tourneau, T.; Vadori, M.; Perota, A.; et al. Differential Immune Response to Bioprosthetic Heart Valve Tissues in the α1,3Galactosyltransferase-Knockout Mouse Model. Bioengineering 2023, 10, 833. https://doi.org/10.3390/bioengineering10070833
Casós K, Llatjós R, Blasco-Lucas A, Kuguel SG, Sbraga F, Galli C, Padler-Karavani V, Le Tourneau T, Vadori M, Perota A, et al. Differential Immune Response to Bioprosthetic Heart Valve Tissues in the α1,3Galactosyltransferase-Knockout Mouse Model. Bioengineering. 2023; 10(7):833. https://doi.org/10.3390/bioengineering10070833
Chicago/Turabian StyleCasós, Kelly, Roger Llatjós, Arnau Blasco-Lucas, Sebastián G. Kuguel, Fabrizio Sbraga, Cesare Galli, Vered Padler-Karavani, Thierry Le Tourneau, Marta Vadori, Andrea Perota, and et al. 2023. "Differential Immune Response to Bioprosthetic Heart Valve Tissues in the α1,3Galactosyltransferase-Knockout Mouse Model" Bioengineering 10, no. 7: 833. https://doi.org/10.3390/bioengineering10070833
APA StyleCasós, K., Llatjós, R., Blasco-Lucas, A., Kuguel, S. G., Sbraga, F., Galli, C., Padler-Karavani, V., Le Tourneau, T., Vadori, M., Perota, A., Roussel, J.-C., Bottio, T., Cozzi, E., Soulillou, J.-P., Galiñanes, M., Máñez, R., & Costa, C. (2023). Differential Immune Response to Bioprosthetic Heart Valve Tissues in the α1,3Galactosyltransferase-Knockout Mouse Model. Bioengineering, 10(7), 833. https://doi.org/10.3390/bioengineering10070833

