Ultrasound Histotripsy on a Viable Perfused Whole Porcine Liver: Histological Aspects, Including 3D Reconstruction of the Histotripsy Site
Abstract
1. Introduction
2. Materials and Methods
2.1. Histotripsy Setup
2.2. Tissue Sampling
2.3. H&E and Histochemical Stains
2.4. Three-Dimensional Reconstruction of the Histotripsy Site
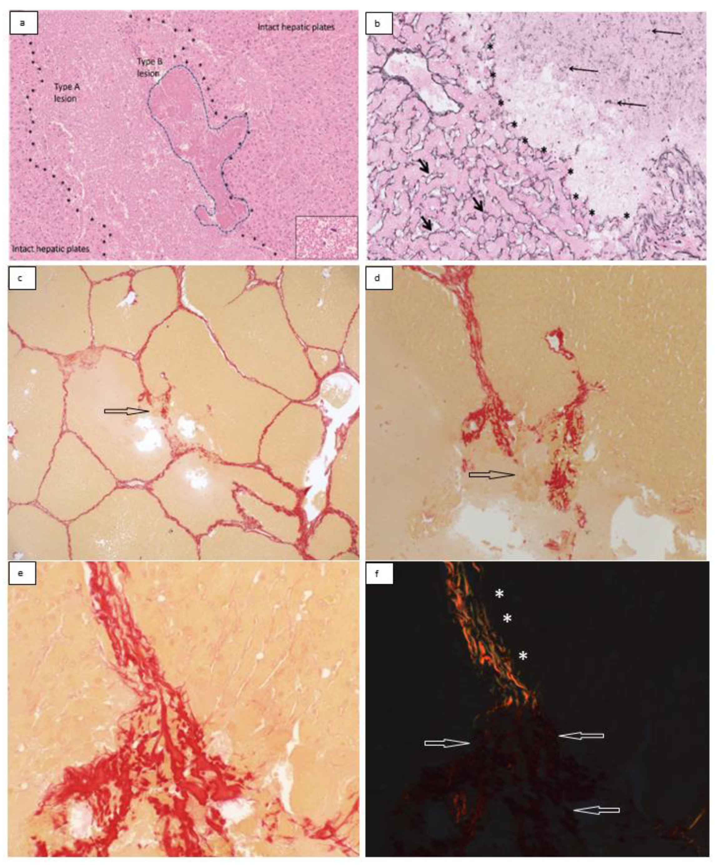
3. Results
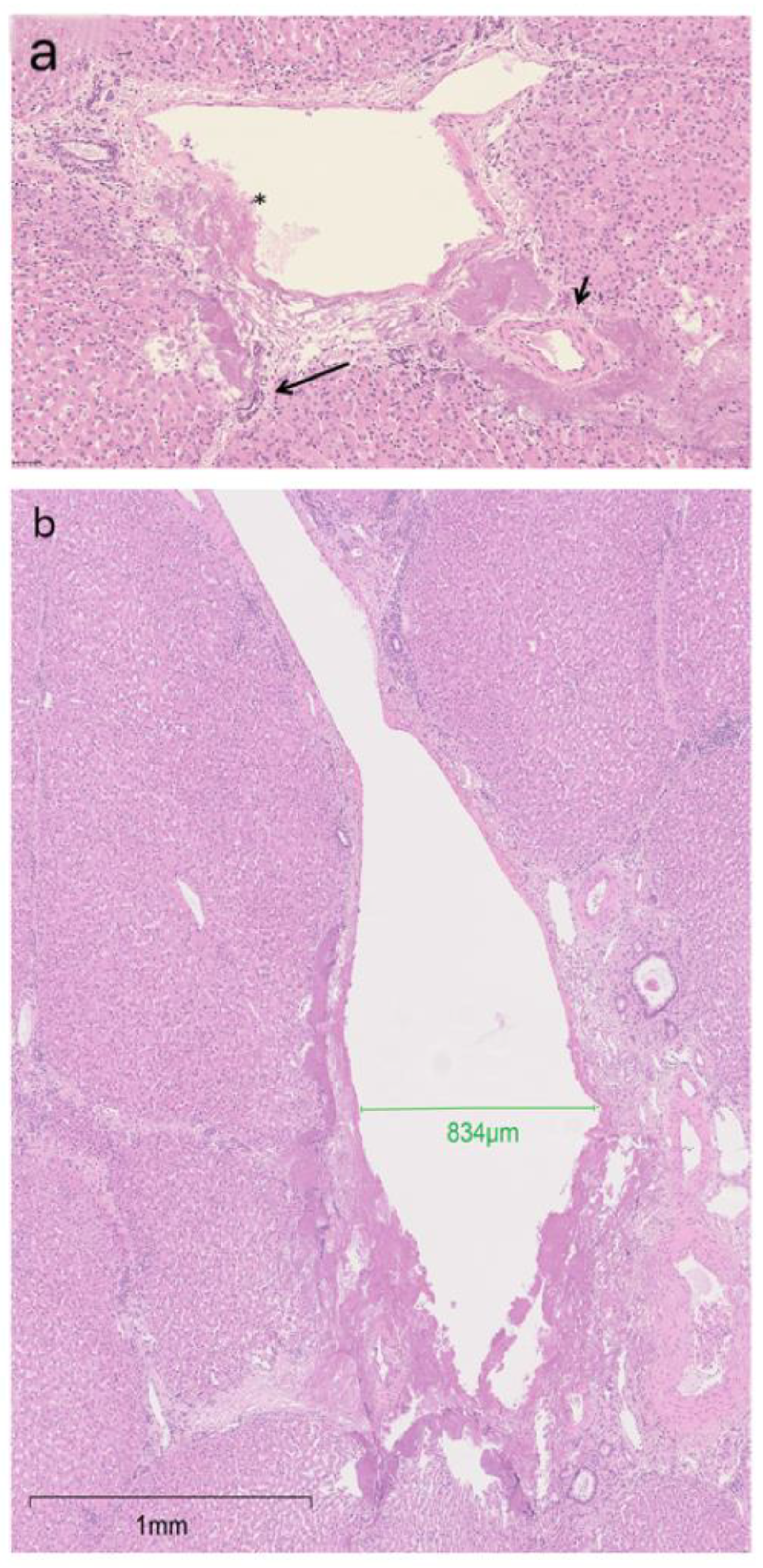
Three-Dimensional Reconstruction
4. Discussion
5. Conclusions
Author Contributions
Funding
Institutional Review Board Statement
Informed Consent Statement
Data Availability Statement
Acknowledgments
Conflicts of Interest
References
- Hall, T.L.; Fowlkes, J.B.; Cain, C.A. Imaging feedback of tissue liquefaction (histotripsy) in ultrasound surgery. In Proceedings of the IEEE Ultrasonics Symposium, Rotterdam, The Netherlands, 18–21 September 2005; pp. 1732–1734. [Google Scholar]
- Canney, M.S.; Khokhlova, V.A.; Bessonova, O.V.; Bailey, M.R.; Crum, L.A. Shock-Induced Heating and Millisecond Boiling in Gels and Tissue Due to High Intensity Focused Ultrasound. Ultrasound Med. Biol. 2010, 36, 250–267. [Google Scholar] [CrossRef] [PubMed]
- Khokhlova, T.D.; Canney, M.S.; Khokhlova, V.A.; Sapozhnikov, O.A.; Crum, L.A.; Bailey, M.R. Controlled tissue emulsification produced by high intensity focused ultrasound shock waves and millisecond boiling. J. Acoust. Soc. Am. 2011, 130, 3498–3510. [Google Scholar] [CrossRef] [PubMed]
- Eranki, A.; Farr, N.; Partanen, A.; Sharma, K.V.; Chen, H.; Rossi, C.T.; Kothapalli, S.V.V.N.; Oetgen, M.; Kim, A.; Negussie, A.H.; et al. Boiling histotripsy lesion characterization on a clinical magnetic resonance imaging-guided high intensity focused ultrasound system. PLoS ONE 2017, 12, e0173867. [Google Scholar] [CrossRef] [PubMed]
- Khokhlova, T.D.; Haider, Y.A.; Maxwell, A.D.; Kreider, W.; Bailey, M.R.; Khokhlova, V.A. Dependence of Boiling Histotripsy Treatment Efficiency on HIFU Frequency and Focal Pressure Levels. Ultrasound Med. Biol. 2017, 43, 1975–1985. [Google Scholar] [CrossRef] [PubMed]
- Khokhlova, T.D.; Schade, G.R.; Wang, Y.-N.; Buravkov, S.V.; Chernikov, V.P.; Simon, J.C.; Starr, F.; Maxwell, A.D.; Bailey, M.R.; Kreider, W.; et al. Pilot in vivo studies on transcutaneous boiling histotripsy in porcine liver and kidney. Sci. Rep. 2019, 9, 1–12. [Google Scholar] [CrossRef]
- Worlikar, T.; Vlaisavljevich, E.; Gerhardson, T.; Greve, J.; Wan, S.; Kuruvilla, S.; Lundt, J.; Ives, K.; Hall, T.; Welling, T.H.; et al. Histotripsy for Non-Invasive Ablation of Hepatocellular Carcinoma (HCC) Tumor in a Subcutaneous Xenograft Murine Model. In Proceedings of the 2018 40th Annual International Conference of the IEEE Engineering in Medicine and Biology Society (EMBC), Honolulu, HI, USA, 18–21 July 2018; Volume 2018, pp. 6064–6067. [Google Scholar] [CrossRef]
- Pahk, K.J.; Shin, C.-H.; Bae, I.Y.; Yang, Y.; Kim, S.-H.; Pahk, K.; Kim, H.; Oh, S.J. Boiling Histotripsy-induced Partial Mechanical Ablation Modulates Tumour Microenvironment by Promoting Immunogenic Cell Death of Cancers. Sci. Rep. 2019, 9, 1–12. [Google Scholar] [CrossRef]
- Dubinsky, T.J.; Khokhlova, T.D.; Khokhlova, V.; Schade, G.R. Histotripsy: The Next Generation of High-Intensity Focused Ultrasound for Focal Prostate Cancer Therapy. J. Ultrasound Med. 2020, 39, 1057–1067. [Google Scholar] [CrossRef]
- Sehmbi, A.S.; Froghi, S.; Oliveira De Andrade, M.; Saffari, N.; Fuller, B.; Quaglia, A.; Davidson, B. Systematic review of the role of high intensity focused ultrasound (HIFU) in treating malignant lesions of the hepatobiliary system. HPB 2021, 23, 187–196. [Google Scholar] [CrossRef]
- Pitt, W.G.; Husseini, G.A.; Staples, B.J. Ultrasonic drug delivery—A general review. Expert Opin. Drug Deliv. 2004, 1, 37–56. [Google Scholar] [CrossRef]
- Singh, M.P.; Sethuraman, S.N.; Miller, C.; Malayer, J.; Ranjan, A. Boiling histotripsy and in-situ CD40 stimulation improve the checkpoint blockade therapy of poorly immunogenic tumors. Theranostics 2021, 11, 540–554. [Google Scholar] [CrossRef]
- Pahk, K.J.; Mohammad, G.H.; Malago, M.; Saffari, N.; Dhar, D.K. A Novel Approach to Ultrasound-Mediated Tissue Decellularization and Intra-Hepatic Cell Delivery in Rats. Ultrasound Med. Biol. 2016, 42, 1958–1967. [Google Scholar] [CrossRef]
- Ekataksin, W.; Wake, K. Liver units in three dimensions: I. Organization of argyrophilic connective tissue skeleton in porcine liver with particular reference to the “compound hepatic lobule”. Am. J. Anat. 1991, 191, 113–153. [Google Scholar] [CrossRef]
- Simon, J.C.; Sapozhnikov, O.A.; Khokhlova, V.A.; Wang, Y.-N.; Crum, L.A.; Bailey, M.R. Ultrasonic atomization of tissue and its role in tissue fractionation by high intensity focused ultrasound. Phys. Med. Biol. 2012, 57, 8061–8078. [Google Scholar] [CrossRef]
- Simon, J.C.; Sapozhnikov, O.A.; Wang, Y.-N.; Khokhlova, V.A.; Crum, L.A.; Bailey, M.R. Investigation into the Mechanisms of Tissue Atomization by High-Intensity Focused Ultrasound. Ultrasound Med. Biol. 2015, 41, 1372–1385. [Google Scholar] [CrossRef]
- Vlaisavljevich, E.; Xu, Z.; Arvidson, A.; Jin, L.; Roberts, W.; Cain, C. Effects of Thermal Preconditioning on Tissue Susceptibility to Histotripsy. Ultrasound Med. Biol. 2015, 41, 2938–2954. [Google Scholar] [CrossRef]
- Macoskey, J.J.; Zhang, X.; Hall, T.L.; Shi, J.; Beig, S.A.; Johnsen, E.; Lee, F.T., Jr.; Cain, C.A.; Xu, Z. Bubble-Induced Color Doppler Feedback Correlates with Histotripsy-Induced Destruction of Structural Components in Liver Tissue. Ultrasound Med. Biol. 2018, 44, 602–612. [Google Scholar] [CrossRef]
- Vlaisavljevich, E.; Kim, Y.; Allen, S.; Owens, G.; Pelletier, S.; Cain, C.; Ives, K.; Xu, Z. Image-guided non-invasive ultrasound liver ablation using histotripsy: Feasibility study in an in vivo porcine model. Ultrasound Med. Biol. 2013, 39, 1398–1409. [Google Scholar] [CrossRef]
- Vlaisavljevich, E.; Kim, Y.; Owens, G.; Roberts, W.; Cain, C.; Xu, Z. Effects of tissue mechanical properties on susceptibility to histotripsy-induced tissue damage. Phys. Med. Biol. 2014, 59, 253–270. [Google Scholar] [CrossRef]
- Wang, Y.-N.; Khokhlova, T.D.; Buravkov, S.; Chernikov, V.; Kreider, W.; Partanen, A.; Farr, N.; Maxwell, A.; Schade, G.R.; Khokhlova, V.A. Mechanical decellularization of tissue volumes using boiling histotripsy. Phys. Med. Biol. 2018, 63, 235023. [Google Scholar] [CrossRef]
- Pahk, K.J.; De Andrade, M.O.; Gélat, P.; Kim, H.; Saffari, N. Mechanical damage induced by the appearance of rectified bubble growth in a viscoelastic medium during boiling histotripsy exposure. Ultrason. Sonochemistry 2019, 53, 164–177. [Google Scholar] [CrossRef]
- Pahk, K.J.; Gélat, P.; Sinden, D.; Dhar, D.K.; Saffari, N. Numerical and Experimental Study of Mechanisms Involved in Boiling Histotripsy. Ultrasound Med. Biol. 2017, 43, 2848–2861. [Google Scholar] [CrossRef] [PubMed]
- Khokhlova, T.D.; Wang, Y.N.; Simon, J.C.; Cunitz, B.W.; Starr, F.; Paun, M.; Crum, L.A.; Bailey, M.R.; Khokhlova, V.A. Ultrasound-guided tissue fractionation by high intensity focused ultrasound in an in vivo porcine liver model. Proc. Natl. Acad. Sci. USA 2014, 111, 8161–8166. [Google Scholar] [CrossRef] [PubMed]
- Wang, Y.N.; Khokhlova, T.; Bailey, M.; Hwang, J.H.; Khokhlova, V. Histological and biochemical analysis of mechanical and thermal bioeffects in boiling histotripsy lesions induced by high intensity focused ultrasound. Ultrasound Med. Biol. 2013, 39, 424–438. [Google Scholar] [CrossRef] [PubMed]
- Rai, R.; Richardson, C.; Flecknell, P.; Robertson, H.; Burt, A.; Manas, D.M. Study of apoptosis and heat shock protein (HSP) expression in hepatocytes following radiofrequency ablation (RFA). J. Surg. Res. 2005, 129, 147–151. [Google Scholar] [CrossRef]
- Luo, W.; Zhou, X.; Gong, X.; Zheng, M.; Zhang, J.; Guo, X. Study of sequential histopathologic changes, apoptosis, and cell proliferation in rabbit livers after high-intensity focused ultrasound ablation. J. Ultrasound Med. 2007, 26, 477–485. [Google Scholar] [CrossRef]
- Khokhlova, V.A.; Fowlkes, J.B.; Roberts, W.W.; Schade, G.R.; Xu, Z.; Khokhlova, T.D.; Hall, T.L.; Maxwell, A.D.; Wang, Y.N.; Cain, C.A. Histotripsy methods in mechanical disintegration of tissue: Towards clinical applications. Int. J. Hyperth. 2015, 31, 145–162. [Google Scholar] [CrossRef]
- Vlaisavljevich, E.; Owens, G.; Lundt, J.; Teofilovic, D.; Ives, K.; Duryea, A.; Bertolina, J.; Welling, T.H.; Xu, Z. Non-Invasive Liver Ablation Using Histotripsy: Preclinical Safety Study in an In Vivo Porcine Model. Ultrasound Med. Biol. 2017, 43, 1237–1251. [Google Scholar] [CrossRef]
- Smolock, A.R.; Cristescu, M.M.; Vlaisavljevich, E.; Gendron-Fitzpatrick, A.; Green, C.; Cannata, J.; Ziemlewicz, T.J.; Lee, F.T. Robotically Assisted Sonic Therapy as a Noninvasive Nonthermal Ablation Modality: Proof of Concept in a Porcine Liver Model. Radiology 2018, 287, 485–493. [Google Scholar] [CrossRef]
- Tang, J.; Godlewski, G.; Rouy, S.; Delacrétaz, G. Morphologic changes in collagen fibers after 830 nm diode laser welding. Lasers Surg. Med. 1997, 21, 438–443. [Google Scholar] [CrossRef]
- Tang, J.; Zeng, F.; Savage, H.; Ho, P.P.; Alfano, R.R. Laser irradiative tissue probed in situ by collagen 380-nm fluorescence imaging. Lasers Surg. Med. 2000, 27, 158–164. [Google Scholar] [CrossRef]
- Singh, S.; Siriwardana, P.N.; Johnston, E.W.; Watkins, J.; Bandula, S.; Illing, R.; Davidson, B.R. Perivascular extension of microwave ablation zone: Demonstrated using an ex vivo porcine perfusion liver model. Int. J. Hyperth. 2018, 34, 1114–1120. [Google Scholar] [CrossRef]






Disclaimer/Publisher’s Note: The statements, opinions and data contained in all publications are solely those of the individual author(s) and contributor(s) and not of MDPI and/or the editor(s). MDPI and/or the editor(s) disclaim responsibility for any injury to people or property resulting from any ideas, methods, instructions or products referred to in the content. |
© 2023 by the authors. Licensee MDPI, Basel, Switzerland. This article is an open access article distributed under the terms and conditions of the Creative Commons Attribution (CC BY) license (https://creativecommons.org/licenses/by/4.0/).
Share and Cite
Froghi, S.; Hall, A.; Hanafi Bin Jalal, A.; Andrade, M.O.d.; Mohammad Hadi, L.; Rashidi, H.; Gélat, P.; Saffari, N.; Davidson, B.; Quaglia, A. Ultrasound Histotripsy on a Viable Perfused Whole Porcine Liver: Histological Aspects, Including 3D Reconstruction of the Histotripsy Site. Bioengineering 2023, 10, 278. https://doi.org/10.3390/bioengineering10030278
Froghi S, Hall A, Hanafi Bin Jalal A, Andrade MOd, Mohammad Hadi L, Rashidi H, Gélat P, Saffari N, Davidson B, Quaglia A. Ultrasound Histotripsy on a Viable Perfused Whole Porcine Liver: Histological Aspects, Including 3D Reconstruction of the Histotripsy Site. Bioengineering. 2023; 10(3):278. https://doi.org/10.3390/bioengineering10030278
Chicago/Turabian StyleFroghi, Saied, Andrew Hall, Arif Hanafi Bin Jalal, Matheus Oliveira de Andrade, Layla Mohammad Hadi, Hassan Rashidi, Pierre Gélat, Nader Saffari, Brian Davidson, and Alberto Quaglia. 2023. "Ultrasound Histotripsy on a Viable Perfused Whole Porcine Liver: Histological Aspects, Including 3D Reconstruction of the Histotripsy Site" Bioengineering 10, no. 3: 278. https://doi.org/10.3390/bioengineering10030278
APA StyleFroghi, S., Hall, A., Hanafi Bin Jalal, A., Andrade, M. O. d., Mohammad Hadi, L., Rashidi, H., Gélat, P., Saffari, N., Davidson, B., & Quaglia, A. (2023). Ultrasound Histotripsy on a Viable Perfused Whole Porcine Liver: Histological Aspects, Including 3D Reconstruction of the Histotripsy Site. Bioengineering, 10(3), 278. https://doi.org/10.3390/bioengineering10030278

