Next Article in Journal
Collinearity and Dimensionality Reduction in Radiomics: Effect of Preprocessing Parameters in Hypertrophic Cardiomyopathy Magnetic Resonance T1 and T2 Mapping
Next Article in Special Issue
Computing Drug-Drug Similarity from Patient-Centric Data
Previous Article in Journal
Computational Modelling of Cerebral Blood Flow Rate at Different Stages of Moyamoya Disease in Adults and Children
Previous Article in Special Issue
Clinical Performance Evaluation of a Hyaluronic Acid Dental Gel for the Treatment of Traumatic Ulcers in Patients with Fixed Orthodontic Appliances: A Randomized Controlled Trial
 
 
Font Type:
Arial Georgia Verdana
Font Size:
Aa Aa Aa
Line Spacing:
Column Width:
Background:
Article

Arduino Automated Microwave Oven for Tissue Decalcification

by
Paolo Savadori
1,2,*,
Sophia Dalfino
1,3,
Marco Piazzoni
1,4,
Francesco Inchingolo
5,
Massimo Del Fabbro
1,2,
Gianluca Martino Tartaglia
1,2 and
Luciano Giardino
6
1
Department of Biomedical, Surgical and Dental Sciences, Università degli Studi di Milano, 20133 Milan, Italy
2
IRCCS Fondazione Ca’Granda IRCCS Ospedale Maggiore Policlinico, 20122 Milan, Italy
3
Complex Tissue Regeneration Department, MERLN Institute for Technology-Inspired Regenerative Medicine, 6229 Maastricht, The Netherlands
4
Advanced Biomaterials Lab, Physics Department, Università degli Studi di Milano, 20133 Milan, Italy
5
Interdisciplinary Department of Medicine, Università di Bari “Aldo Moro”, 70121 Bari, Italy
6
Independent Researcher, 88900 Crotone, Italy
*
Author to whom correspondence should be addressed.
Bioengineering 2023, 10(1), 79; https://doi.org/10.3390/bioengineering10010079
Submission received: 18 October 2022 / Revised: 29 November 2022 / Accepted: 28 December 2022 / Published: 6 January 2023

Abstract

Decalcification of hard tissues such as bone and teeth is a complex process that requires using chemicals such as acids and chelating agents. Acids act faster than chelating agents, but they have a greater risk of damaging biological samples. Increasing the reaction speed of the chelating agent may solve this issue. There are several strategies to speed up this process, and using microwaves seems to be one of the most effective. However, lab-dedicated microwave ovens are expensive, and their purchase may seem unjustified. Therefore, a low-cost modification of a commercial microwave oven, consisting of an Arduino automation device, has been developed. The setup has proven reliable for continuous work, thanks to implementing an electronic safety circuit. In addition, it may reduce the decalcification time using a chelating agent, achieving optimal results regarding tissue preservation and quality of histological sections.

Graphical Abstract

1. Introduction

Hard tissues, such as bone and teeth, must undergo a decalcification process to obtain a histological section. Decalcification is a crucial point; if it is not performed correctly, it will render the sample unusable. Many approaches have been proposed through the decades, but they all can be divided according to the chemicals used: acids and chelating agents. Acids carry out their activity by dissolving calcium deposits and forming carbon dioxide and salts, which differ according to the acid used [1,2]. A chelating agent acts by binding the single calcium ion or divalent ions [3]. The main differences between these approaches are the speed and the amount of tissue damage, the latter being proportional to speed. Acids can achieve complete decalcification relatively quickly, but they often cause consistent tissue damage due to the low pH value.
On the other hand, chelating agents, such as EDTA, can work at physiological pH, avoiding tissue damage. Still, they may need up to several weeks or months to completely decalcify a bone or tooth specimen. Nevertheless, keeping a sample in a chelating agent for too much time could damage the tissue by deteriorating collagen and other protein structures [4].
It is possible to try to speed up the process and preserve the structure of the sample from acidic damage. For example, substances such as formalin could be added to an acid solution to fix the specimen and reduce tissue damage [5]; a buffered acid solution can raise the pH of an acidic substance, partially extending the decalcification time but lowering tissue damage. Constant agitation of the biological piece may accelerate the process independently from the solution used. In addition, ion exchange resins reduce decalcification time by sequestering calcium ions from the decalcifying solution [6,7]. Another method to increase the decalcification speed is to warm up acids or chelating agents. While this process increases the reaction kinetics, it could severely damage the sample if it is not carefully monitored.
Microwave radiation is another technique that can speed up decalcification, reducing the chance of causing tissue damage [8]. Microwaves react with polar liquids by changing the orientation of the molecules. This motion increases the chemical reactivity at the cost of a temperature rise. The main drawback of professional microwave ovens is the relatively high cost. In a previous investigation, decalcification was carried out using a commercial microwave oven [9]. Samples submerged in EDTA are irradiated for a specific duty cycle to prevent the solution from reaching a harmful temperature. Still, the oven must be controlled by personnel, so having a 24-h continuous duty cycle becomes unpractical.
This study aimed to develop a method to automate a low-end commercial microwave through an Arduino board and a few essential electrical components. This setup will include a safety circuit to avoid any issues derived from crashes in the Arduino’s software (Arduino IDE 1.8.19, Milan, Italy) that could alter the oven’s working cycles.

2. Materials and Methods

The following materials were used to assemble the entire instrument; in Table 1 are reported prices and stores:
-
A commercial oven with mechanical input commands (SilverCrest SMW 700 B1, Kpmpernass GMBH, Bochum, Germany). Ovens with electronic timers are unsuitable because bypassing the installed circuit boards is difficult.
-
An Arduino board: Arduino is an open-source electronic microcontroller, and there is a large variety of models on the market. Each model works similarly, but it was decided to use the original Arduino UNO (Interaction Design Institute, Ivrea, Italy).
-
Two 100 nF capacitors, one resistance of 10 Kohm, one of 3300 Ohm, two diodes model 1N4140, one transistor NPN model 2N2222 (or NPN BC 547b).
-
Breadboard and connection cables
-
One Arduino-compatible mechanical relay
-
An array of neon mini lamp bulbs
Table 1. Price list of electronic components.
Table 1. Price list of electronic components.
ComponentStorePrice
ArduinoArduino official store23 $
CapacitorsDigikey.com0.92 $
ResistanceDigickey.com0.60 $
DioedesRS-online.com1 $
Breadboard and connection cablesDigikey.com23 $
TransistorRS-online.com0.27 $
Microwave ovenLidl Italy SRL65 $
Neon bulbsFarrel.it103 $
Total 226,84 $

2.1. Microwave Oven Modifications and Settings

Commercial microwave ovens suffer from a high level of unbalanced microwave irradiation. Therefore, it is crucial to identify hot and cold spots inside the oven chamber to address this problem. Login and Dovorak set up a procedure to map the irradiation pattern inside a microwave oven [10]; this technique requires an array of many led-sized neon bulbs and a container, such as a 96 multi-well plate. When enough energy strikes a neon lamp, it will emit light, pointing to that region as a hot spot and a possible place to put a sample.
Usually, mechanically controlled ovens have one knob to adjust the power and the other for time settings. Power must be set at maximum value. In this case, the maximum power output was 700 watts. There are two options for the timer: bypassing the temporized switch and substituting it with a conventional on-off switch or resetting the timer from time to time.
The mechanical relay must be connected to the phase wire of the oven (usually the brown cable inside the oven power cord). Next, the relay control pin must be plugged into the safety circuit board, which is connected to a digital pin on the Arduino board. Finally, the relay must be set on “normally open” (NO): in this way, when the relay is not powered up, it will remain open, not allowing the passage of electricity, and keeping the oven switched off.

2.2. Safety Electronic Circuit Board

This microwave oven setup aims to work 24 h a day. For this reason, some safety precautions are needed. Managing a relay with Arduino is very simple and consists of a single electric signal that opens or closes the circuit inside the relay. However, this mechanism is prone to possible malfunctions, such as a software crash that can leave the relay circuit closed, leading to continuous irradiation with the consequent sample destruction. To overcome this risk, the relay may operate through a square wave impulse generated by the Arduino board, rectified by the safety electronic circuit board. The square wave is produced by a rapid switch on and off the Arduino pin’s electric signal (Supplementary Materials, Table S1). However, the safety circuit converts this pulsed signal into a continuous one. Therefore, the rectifier board needs an intermittent signal to generate a steady impulse. In the eventuality that Arduino is not capable of generating the square wave, e.g., the software stops at some point during the cycle, the electric signal is not delivered to the relay, and the microwave automatically shuts down. The safety circuit diagram is reported in Figure 1, and the complete setup scheme is summarized in Figure 2.
A second microwave oven with only the Arduino ONE board and the mechanical relay was used as a control, running the same duty cycle as the one with the auxiliary circuit, to see the actual effect of the control device. Signal cable plugged in pin 3, 5v red cable plugged in 5V pin, black ground cable plugged in GND pin.

2.3. Sample Placement, Decalcification, and Duty Cycle

Hard tissue samples were processed to test the modified microwave’s correct working. Almost any decalcifying solution can be used in the microwave oven. However, some chemicals could be dangerous when heated up, potentially releasing toxic vapors. For this study, 14% EDTA disodium salt at pH = 10 was chosen. EDTA is a well-known chelating agent with relatively slow action and does not alter tissue morphology [11]. The same kind of tissues was decalcified as control with Anna Morse’s (AM) solution at room temperature, following the standard protocol [12].
The control group included samples decalcified in AM solution, and the test group included samples decalcified with EDTA in the microwave oven (EDTA-MW). Each group was composed of 3 sections of cow molar teeth of the same weight of 2 g and with periodontal tissue, 3 mouse vertebrae, and 3 mouse heads. Cow teeth were taken from animals for human consumption, while mouse tissues were taken from discarded material from other studies. For these reasons, no ethical committee was needed. Hard tissue samples must be put in a plastic container (plastic materials are permeable to microwave radiation), and filled with a decalcifying solution. The sample–liquid ratio has to be 1:50 in volume. Biological samples were irradiated 10 s per hour, 24 h a day, until complete decalcification. The temperature was checked with an LLG pH-PEN (Lab Logistics Group, Meckenheim, Germany) after each cycle for 8 h during the first working day to ensure that the temperature did not exceed the critical level of 50 °C; this temperature was not reached. All decalcifying solutions were replaced every 48 h. The decalcification endpoint was assessed through a physical test by bending and piercing the sample in a non-point-of-interest zone [13]. The sample was considered decalcified if a needle could pass through the hard tissue without encountering any resistance. In addition, two cow’s teeth were left in the decalcification medium and microwave irradiation for 90 days after the complete decalcification to assess tissue damage due to over-treatment.

2.4. Histological Analysis

Decalcified tissue samples were dehydrated through a series of ethanol solutions from 70% to 100%, cleared in xylene, and then embedded in paraffin. Sections of 5 μm were obtained with a rotatory microtome (Leica RM 2245 rotatory microtome, Leica Biosystems Nussloch GmbH, Nussloch, Germany) and put on a polilysinated glass slide (VWR International, Radnor, PA, USA). Paraffin sections were stained with trichromic eosin made by eosin, phloxine B, and Orange G and counterstained with Morel & Bassal iron hematoxylin [14]. Eosin and phloxin B combination is widely used. Still, Orange G was used to highlight the collagen structure [15] better. All chemicals were purchased from Carlo Erba Reagents S.r.l. (Milano, Italy). The staining procedure is described in Table S2 (Supplementary Materials). Microphotographs were taken with a CX43 Olympus microscope and an LC30 Olympus digital camera (Olympus Italia, Segrate, Italy).

3. Results

The modified microwave oven with the auxiliary board worked flawlessly for over 90 days, counting the over-treatment time. However, the microwave without the safety circuit experienced a catastrophic failure after 30 days of work: the relay did not receive the opening signal preventing the oven’s shutting down, which eventually shut off thanks to the mechanical timer. This test has no statistical relevance but has shown that the Arduino board could be prone to failure.
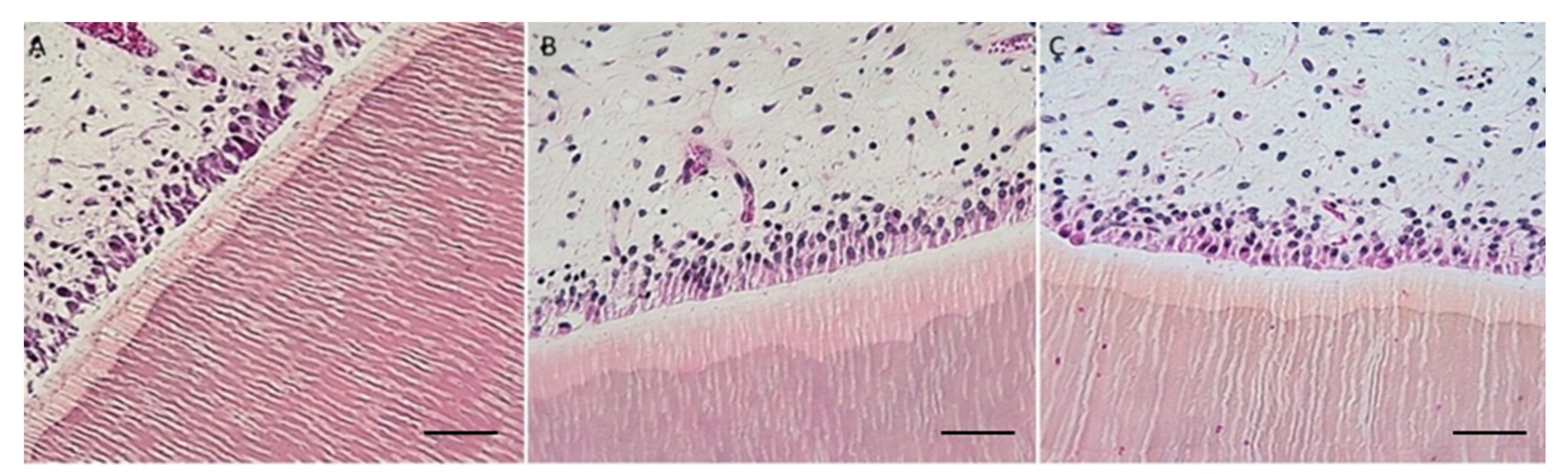
Cow’s teeth in AM solution took 15 days to complete decalcification, whereas mouse head and vertebrae took 5 days. Cow’s teeth in EDTA-MW took 25 days, whereas mouse head and vertebrae took 14 days. AM solution is faster than EDTA, but the microwave can speed up the decalcification process with the chelating agent from months to weeks. The tissue from the cow’s teeth and periodontal tissue were well preserved independently of the method used. Still, samples decalcified with EDTA-MW showed slightly better stainability, especially the periodontal tissue. Teeth processed for 90 days after the decalcification endpoint did not show any tissue damage, and they were comparable to the samples processed for the needed time (Figure 3).
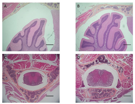
Mice heads and vertebrae processed with AM solution showed tissue damage at the central nervous system level and worse bone marrow stainability (Figure 4) compared to test samples, which did not show signs of damage to the CNS. The damage can be attributed to the low pH of the AM solution.

4. Discussion

The optimal decalcification of a mineralized tissue implies a delicate balance between time and tissue damage. For example, strong mineral acids can completely decalcify hard tissues in a few days, while chelating agents could take several weeks or months in the case of large samples or highly calcified tissues such as teeth [16]. However, the speed of this process is at the cost of sample quality, and strong acids cause various types of damage, from structural alteration to staining issues. An intermediate alternative is using organic or buffered organic acids such as AM. These solutions can allow complete decalcification in a reasonable amount of time while preserving good quality for most tissues. Anyway, delicate tissue structures such as the central nervous system could sustain damage, and the low pH could alter the protein structure, causing difficulties in the histochemical staining technique [17].
Chelating agents offer the best tissue preservation at the cost of a very long procedure time. Therefore, speeding up the kinetics of this class of chemicals may allow for achieving optimal results in a short time. This could be achieved through different strategies, such as heating the liquid, applying constant agitation, or using ion exchange resins. However, all these approaches have some drawbacks, or a marginal benefit is derived [18,19].
Microwaves can solve this problem thanks to their function: microwave radiation interacts with polar molecules, such as water, rapidly changing their orientation [20]. This motion causes a heat rise and increases the kinetics of the chemical reaction. Furthermore, microwaves can enter in resonance with the crystalline structure of hydroxyapatite, causing destabilization and facilitating the interaction between the decalcifying solution and bone [21].
Expensive lab-oriented microwave ovens can perform many functions other than decalcification and, in general, are complex machines. However, if there is only the need to process calcified tissue, it is reasonable to use a modified commercial oven. Moreover, implementing automatization with an Arduino board can create an instrument that can be used in laboratory routines [22]. Therefore, the setup reported in this work is low-cost, and the safety circuit allows one to put on work 24 h a day and needs a minor human operation that can be summarized in changing the decalcification medium and resetting the oven’s timer if needed.
The most critical aspect is that the temperature must be kept below 50 °C to avoid heat tissue damage [23]. Therefore, the duty cycle for this work was set at 10 s per hour. Still, this setting could change depending on the volume of the decalcifying solution: a 1:30 sample/solution volume ratio is the minimum quantity for a correct decalcification, but the solution volume could be increased [24]. Therefore, the sample could be irradiated for an extended time. Nevertheless, the cooling time must be considered to have the best balance between treatment time, cooling, and total volume.
Decalcifying agents of any kind could be used with this methodology but with due precaution: strong mineral acids could release toxic vapor such as chlorine or nitrogen oxide. For this reason, it is advisable to use the oven under a chemical hood in case hazardous substances are used. This study used 14% disodium EDTA at pH 7, a standard chelating solution for decalcification, and the samples obtained were compared to other samples of the same type, decalcified with AM solution. This correlation aimed to evaluate the tissue quality after the microwave process and assess the timing of the procedures. However, the small sample size cannot be considered statistically relevant, and it was intended to be a qualitative (proof-of-principle) survey.
Both AM solution and EDTA-MW show an optimal result concerning cows’ teeth decalcification and periodontal tissue preservation: the time needed for EDTA solution to achieve a complete decalcification was 10 days more than AM solution; for this reason, in the case of highly calcified tissued it is more convenient use an organic acid. There is no substantial difference in staining between the two processed tissues except for a slightly darker color in the keratinized mucosa of the cow’s periodontal tissue (Figure 3). This change in color tone could be attributed to more acidity of the stained section [25]. Odontoblasts were attached to the canal walls and showed good nuclei staining; the pulp preserved its structure without signs of damage. Gingiva was well characterized with good differentiation between the pluristratified epithelium and the connective tissue below and marked nuclei. This differentiation has been emphasized by adding orange G to the eosin mix. Orange G is used in trichrome staining for collagen, such as Mallory’s staining. Its proprieties could be added to the hematoxylin and eosin staining for a more efficient tissue architecture evaluation.
AM solution shows some limitations in bone marrow staining and preservation: bone marrow quantity in vertebrae appears less in AM decalcified samples than in EDTA-MW decalcified ones. Furthermore, bone marrow was darker in the specimens treated with the acid, in contrast to the ones decalcified with the chelating agent. This can be attributed to the difference in pH (Figure 4). Additionally, the cerebellum and spinal cord showed a high degree of damage in the samples processed with AM compared to the pieces processed with EDTA-MW. Finally, cow’s teeth with periodontal tissues treated for 90 days showed no abnormality or staining artifacts. These data indicate that using microwave and EDTA could be helpful in all the cases that are needed to decalcify composite tissue, such as vertebrae, articulation with bone and muscle attached, mouse or rat heads [26], and teeth with periapical or endodontic lesions [27]. Furthermore, this process could be applied when there is a necessity for decalcified biopsies of regenerated bone which are used as substitutes different from the natural bone-like dentin: it is possible to prolong the decalcification time to be sure that the different types of calcified tissues have reached their endpoint without the worry of over-process time [28,29]. The same principle could be applied in decalcifying a rodent’s jaw or mandible: bone will reach the decalcification endpoint much sooner than teeth, but the prolonged processing time wo not affect bone, or soft tissue, architecture.

5. Conclusions

Microwaves could aid the decalcification procedures, speeding up the chelating agent activity, even if this may not significantly reduce the total time needed for achieving tissue decalcification. Furthermore, they can be helpful in decalcifying composite tissues without caring about over-processing.
The introduction of Arduino boards has allowed a relatively easy way to implement the automatization into various instruments and machines that lack this feature. In this work, we used the potentiality of this microcontroller to transform a commercial microwave oven into a lab instrument. Furthermore, a safety control circuit has been introduced to increase reliability and allow continuous functioning. Finally, with this setup is possible to spare a considerable amount of resources while still having an instrument with similar capability as an expensive lab counterpart.

Supplementary Materials

https://www.mdpi.com/article/10.3390/bioengineering10010079/s1, Table S1: Arduino sketch; Table S2: Modified hematoxylin and eosin protocol.

Author Contributions

Conceptualization, P.S.; Methodology, S.D. and F.I.; Software, M.P.; Data curation, M.D.F., G.M.T. and L.G.; Review & Editing, P.S. and L.G.. All authors have read and agreed to the published version of the manuscript.

Funding

This research received no external funding.

Institutional Review Board Statement

Ethical review and approval were waived for this study due to cow’s teeth were taken from animals for human consumption, while mice tissues were taken from discarded material from other studies.

Informed Consent Statement

Not applicable.

Data Availability Statement

Not applicable.

Conflicts of Interest

The authors declare no conflict of interest.

Disclosure Statement

The authors report there are no competing interests to declare.

References

  1. Skinner, R.A. Decalcification of Bone Tissue. In Handbook of Histology Methods for Bone and Cartilage; An, Y.H., Martin, K.L., Eds.; Humana Press: Totowa, NJ, USA, 2003. [Google Scholar]
  2. Liu, H.; Zhu, R.; Liu, C.; Ma, R.; Wang, L.; Chen, B.; Li, L.; Niu, J.; Zhao, D.; Mo, F.; et al. Evaluation of Decalcification Techniques for Rat Femurs Using HE and Immunohistochemical Staining. Biomed Res. Int. 2017, 2017, 9050754. [Google Scholar] [CrossRef] [PubMed]
  3. Bogoevski, K.; Woloszyk, A.; Blackwood, K.; Woodruff, M.A.; Glatt, V. Tissue Morphology and Antigenicity in Mouse and Rat Tibia: Comparing 12 Different Decalcification Conditions. J. Histochem. Cytochem. 2019, 67, 545–561. [Google Scholar] [CrossRef] [PubMed]
  4. Campo, R.D.; Betz, R.R. Loss of proteoglycans during decalcification of fresh metaphyses with disodium ethylenediaminetetraacetate (EDTA). Calcif. Tissue Int. 1987, 41, 52–55. [Google Scholar] [CrossRef] [PubMed]
  5. Rajesh, N.G.; Pradhan, P.; Badhe, B.A.; Ilanchezian, K.; Manimehalai, D.; Jyothish, A. A novel approach to decalcification in histopathology laboratory: An adaptation from the Hammersmith protocol. Indian J. Pathol. Microbiol. 2019, 62, 423–429. [Google Scholar] [CrossRef]
  6. Case, N.M. The use of a cation exchange resin in decalcification. Stain. Technol. 1953, 28, 155–158. [Google Scholar] [CrossRef] [PubMed]
  7. Morris, R.E., Jr.; Benton, R.S. Studies on demineralization of bone. III. The effect of ion exchange resins and versenate in demineralization. Am. J. Clin. Pathol. 1956, 26, 771–777. [Google Scholar] [CrossRef]
  8. Salih, M.M. Comparison between Conventional Decalcification and a Microwave-Assisted Method in Bone Tissue Affected with Mycetoma. Biochem. Res. Int. 2020, 2020, 6561980. [Google Scholar] [CrossRef] [PubMed]
  9. Sangeetha, R.; Uma, K.; Chandavarkar, V. Comparison of routine decalcification methods with microwave decalcification of bone and teeth. J. Oral Maxillofac. Pathol. 2013, 17, 386–391. [Google Scholar] [PubMed]
  10. Login, G.R.; Dovorak, A. The Microwave Tool Book a Practical Guide for Microscopist; Beth Israeli Hospital: Boston, MA, USA, 1994; pp. 1–160. [Google Scholar]
  11. Alers, J.C.; Krijtenburg, P.J.; Vissers, K.J.; van Dekken, H. Effect of bone decalcification procedures on DNA in situ hybridization and comparative genomic hybridization. EDTA is highly preferable to a routinely used acid decalcifier. J. Histochem. Cytochem. 1999, 47, 703–710. [Google Scholar] [CrossRef]
  12. Morse, A. Formic acid-sodium citrate decalcification and butyl alcohol dehydration of teeth and bones for sectioning in paraffin. J. Dent. Res. 1945, 24, 3–4. [Google Scholar] [CrossRef]
  13. Bancroft, J.D. Theory and Practice of Histological Techniques, 6th ed.; Elsevier: Amsterdam, The Netherlands, 2008. [Google Scholar]
  14. Gomarasca, M.; Savadori, P.; Mariano, S.; Cipolla, L.; Lombardi, G. Histological validation of adipogenic differentiation potential of ASC on collagen-based 2D scaffolds. Histochem. Cell Biol. 2020, 154, 449–455. [Google Scholar] [CrossRef] [PubMed]
  15. Belaldavar, C.; Hallikerimath, S.; Angadi, P.V.; Kale, A.D. Comparison of tetrachromic VOF stain to other histochemical staining techniques for characterizing stromal soft and hard tissue components. Biotech. Histochem. 2014, 89, 545–551. [Google Scholar] [CrossRef] [PubMed]
  16. Savi, F.M.; Brierly, G.I.; Baldwin, J.; Theodoropoulos, C.; Woodruff, M.A. Comparison of Different Decalcification Methods Using Rat Mandibles as a Model. J. Histochem. Cytochem. 2017, 65, 705–722. [Google Scholar] [CrossRef]
  17. Miquelestorena-Standley, E.; Jourdan, M.-L.; Collin, C.; Bouvier, C.; Larousserie, F.; Aubert, S.; Gomez-Brouchet, A.; Guinebretière, J.-M.; Tallegas, M.; Brulin, B.; et al. Effect of decalcification protocols on immunohistochemistry and molecular analyses of bone samples. Mod. Pathol. 2020, 33, 1505–1517. [Google Scholar] [CrossRef] [PubMed]
  18. Page, K.M. Bone. In Theory and Practice of Histological Techniques; Bancroft, J.D., Stevens, A., Eds.; Churchill Livingstone: New York, NY, USA, 1996. [Google Scholar]
  19. Kapila, S.N.; Natarajan, S.; Boaz, K.; Pandya, J.A.; Yinti, S.R. Driving the Mineral out Faster: Simple Modifications of the Decalcification Technique. J. Clin. Diagn. Res. 2015, 9, ZC93–ZC97. [Google Scholar] [CrossRef] [PubMed]
  20. Pitol, D.L.; Caetano, F.H.; Lunardi, L.O. Microwave-induced fast decalcification of rat bone for electron microscopic analysis: An ultrastructural and cytochemical study. Braz. Dent. J. 2007, 18, 153–157. [Google Scholar] [CrossRef]
  21. Imaizumi, K.; Taniguchi, K.; Ogawa, Y. An evaluation of the effect of microwave irradiation on bone decalcification aimed to DNA extraction. Leg. Med. 2013, 15, 272–277. [Google Scholar] [CrossRef]
  22. Kondaveet, K.H.; Kumar, K.N.; Dayal, V.S.; Mathe Ellison, S.; Suseelai, V. A systematic literature review on prototyping with Arduino: Applications, challenges, advantages, and limitations. Comput. Sci. Rev. 2021, 40, 100364. [Google Scholar] [CrossRef]
  23. Travlos, G.S. Normal structure, function, and histology of the bone marrow. Toxicol. Pathol. 2006, 34, 548–565. [Google Scholar] [CrossRef] [PubMed]
  24. Mondal, S.K. Manual of Histological Technique; JP Medical Ltd.: London, UK, 2017. [Google Scholar]
  25. Hairston, M.A. The effect of pH on staining by eosins. Stain. Technol. 1955, 30, 299–304. [Google Scholar] [CrossRef]
  26. Bendinelli, P.; Maroni, P.; Matteucci, E.; Desiderio, M.A. Cell and Signal Components of the Microenvironment of Bone Metastasis Are Affected by Hypoxia. Int. J. Mol. Sci. 2016, 17, 706. [Google Scholar] [CrossRef] [PubMed]
  27. Giardino, L.; Grande, N.M.; Savadori, P.; Del Fabbro, M.; Plotino, G. Clinical and Histological Findings of Post-Treatment Infection in the Presence of Vertical Root Fracture and Apical Periodontitis: Case Reports. Eur. Endod. J. 2019, 4, 45–48. [Google Scholar] [CrossRef] [PubMed]
  28. Minetti, E.; Palermo, A.; Savadori, P.; Barlattani, A., Jr.; Franco, R.; Michele, M.; Gianfreda, F.; Bollero, P. Autologous tooth graft: A histological comparison between dentin mixed with xenograft and dentin alone grafts in socket preservation. J. Biol. Regul. Homeost. Agents 2019, 33 (Suppl. 2), 189–197. [Google Scholar] [PubMed]
  29. Farronato, M.; Baselli, G.; Baldini, B.; Favia, G.; Tartaglia, G.M. 3D Cephalometric Normality Range: Auto Contractive Maps (ACM) Analysis in Selected Caucasian Skeletal Class I Age Groups. Bioengineering 2022, 9, 2016. [Google Scholar] [CrossRef]
Figure 1. Electric diagram of the safety control board.
Figure 1. Electric diagram of the safety control board.
Bioengineering 10 00079 g001
Figure 2. General connections of the complete setup.
Figure 2. General connections of the complete setup.
Bioengineering 10 00079 g002
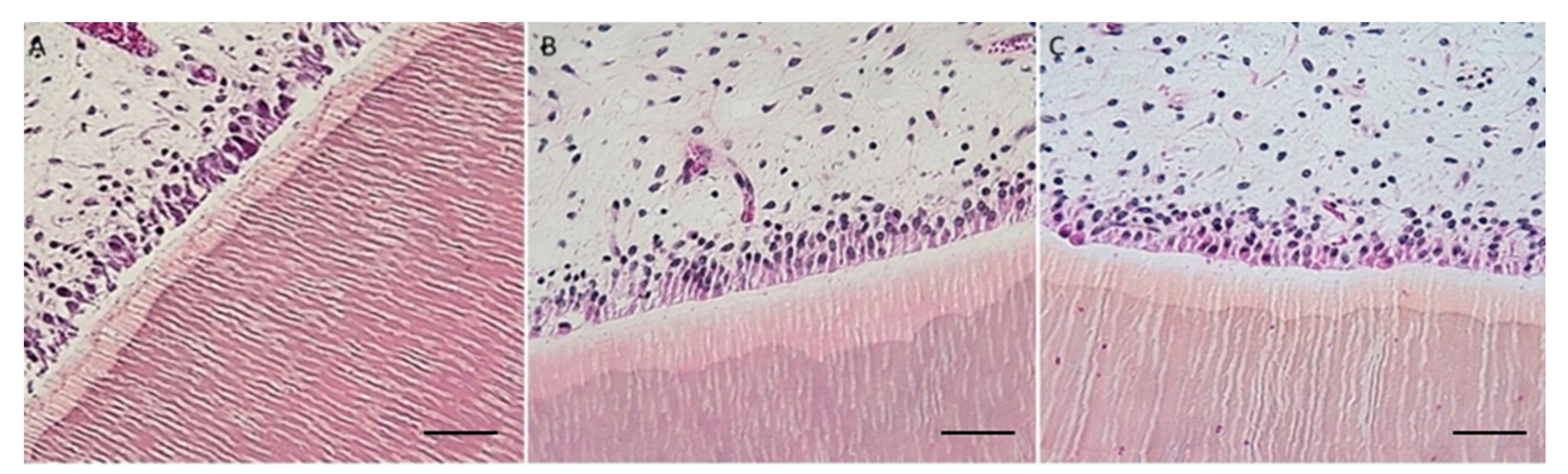
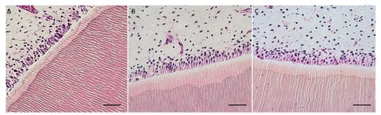
Figure 3. Cows teeth and periodontal tissue. (A) Cow tooth decalcified with Anna Morse’s solution, 100× scale bare 100 µm H&E staining. (B) Cow tooth decalcified with EDTA-MW, 100× scale bare 100 µm H&E staining. (C) Cow tooth decalcified with EDTA-MW for 90 days, scale bare 100 µm H&E staining. It is possible to recognize pulp tissue in the upper part of the images, odontoblast attached to the canal walls, and dentin with its characteristic dentin tubules. Dentin is composed of pre-dentin, a lighter shade of pink, and dentin, a darker shade of pink. (D) Periodontal tissue treated with Anna Morse’s solution scale bare 100 µm H&E staining. (E) Periodontal tissue treated with EDTA-MW scale bar 100 µm H&E staining. (F) Periodontal tissue treated with EDTA-MW for 90 days scale bare 100 µm H&E staining. It is possible to distinguish the pluristratified keratine cell layer in the upper part of the images, stained in purple, and the connective tissue below dyed in orange.
Figure 3. Cows teeth and periodontal tissue. (A) Cow tooth decalcified with Anna Morse’s solution, 100× scale bare 100 µm H&E staining. (B) Cow tooth decalcified with EDTA-MW, 100× scale bare 100 µm H&E staining. (C) Cow tooth decalcified with EDTA-MW for 90 days, scale bare 100 µm H&E staining. It is possible to recognize pulp tissue in the upper part of the images, odontoblast attached to the canal walls, and dentin with its characteristic dentin tubules. Dentin is composed of pre-dentin, a lighter shade of pink, and dentin, a darker shade of pink. (D) Periodontal tissue treated with Anna Morse’s solution scale bare 100 µm H&E staining. (E) Periodontal tissue treated with EDTA-MW scale bar 100 µm H&E staining. (F) Periodontal tissue treated with EDTA-MW for 90 days scale bare 100 µm H&E staining. It is possible to distinguish the pluristratified keratine cell layer in the upper part of the images, stained in purple, and the connective tissue below dyed in orange.
Bioengineering 10 00079 g003aBioengineering 10 00079 g003b
Figure 4. (A,B) Mouse head decalcified with EDTA-MW and Anna Morse’s solution, respectively, 40× scale bar 400 µm H&E staining. The formic acid solution causes some damage in the inner part of the cerebellum, identifiable as holes in the nervous tissue. (C,D) Mouse vertebra decalcified, respectively, with EDTA-MW and Anna Morse’s solution, 40× scale bar 400 µm H&E staining. A similar type of damage sustained by the cerebellum could be found in the spinal cord of the sample decalcified with Anna Morse’s solution. (E,F) Details taken at 100× of mouse vertebra decalcified with EDTA-MW and Anna Morse’solution, 400× scale bar 100 µm H&E staining. (G,H) Detail of bone marrow, hematopoietic tissue is better preserved in the sample decalcified with EDTA-MA (G) than in the one decalcified with Anna Morse’s solution (H) 400× scale bar 40 µm H&E staining.
Figure 4. (A,B) Mouse head decalcified with EDTA-MW and Anna Morse’s solution, respectively, 40× scale bar 400 µm H&E staining. The formic acid solution causes some damage in the inner part of the cerebellum, identifiable as holes in the nervous tissue. (C,D) Mouse vertebra decalcified, respectively, with EDTA-MW and Anna Morse’s solution, 40× scale bar 400 µm H&E staining. A similar type of damage sustained by the cerebellum could be found in the spinal cord of the sample decalcified with Anna Morse’s solution. (E,F) Details taken at 100× of mouse vertebra decalcified with EDTA-MW and Anna Morse’solution, 400× scale bar 100 µm H&E staining. (G,H) Detail of bone marrow, hematopoietic tissue is better preserved in the sample decalcified with EDTA-MA (G) than in the one decalcified with Anna Morse’s solution (H) 400× scale bar 40 µm H&E staining.
Bioengineering 10 00079 g004aBioengineering 10 00079 g004b
Disclaimer/Publisher’s Note: The statements, opinions and data contained in all publications are solely those of the individual author(s) and contributor(s) and not of MDPI and/or the editor(s). MDPI and/or the editor(s) disclaim responsibility for any injury to people or property resulting from any ideas, methods, instructions or products referred to in the content.

Share and Cite

MDPI and ACS Style

Savadori, P.; Dalfino, S.; Piazzoni, M.; Inchingolo, F.; Del Fabbro, M.; Tartaglia, G.M.; Giardino, L. Arduino Automated Microwave Oven for Tissue Decalcification. Bioengineering 2023, 10, 79. https://doi.org/10.3390/bioengineering10010079

AMA Style

Savadori P, Dalfino S, Piazzoni M, Inchingolo F, Del Fabbro M, Tartaglia GM, Giardino L. Arduino Automated Microwave Oven for Tissue Decalcification. Bioengineering. 2023; 10(1):79. https://doi.org/10.3390/bioengineering10010079

Chicago/Turabian Style

Savadori, Paolo, Sophia Dalfino, Marco Piazzoni, Francesco Inchingolo, Massimo Del Fabbro, Gianluca Martino Tartaglia, and Luciano Giardino. 2023. "Arduino Automated Microwave Oven for Tissue Decalcification" Bioengineering 10, no. 1: 79. https://doi.org/10.3390/bioengineering10010079

APA Style

Savadori, P., Dalfino, S., Piazzoni, M., Inchingolo, F., Del Fabbro, M., Tartaglia, G. M., & Giardino, L. (2023). Arduino Automated Microwave Oven for Tissue Decalcification. Bioengineering, 10(1), 79. https://doi.org/10.3390/bioengineering10010079

Note that from the first issue of 2016, this journal uses article numbers instead of page numbers. See further details here.

Article Metrics

Back to TopTop