Sub-Chronic Toxicity of the Hydroethanolic Leaf Extract of Telfairia occidentalis Hook. f. (Cucurbitaceae) in Male Rats
Abstract
1. Introduction
2. Materials and Methods
2.1. Plant Material
2.2. Extraction
2.3. Laboratory Animals
2.4. Phytochemical Screening
2.5. Acute Toxicity Test
2.6. Sub-Chronic Toxicity Test
2.7. Blood and Tissue Collection
2.8. Sub-Chronic Toxicity Reversibility Test
2.9. Hematological Assessment
2.10. Biochemical Assessment
2.11. Antioxidant Indices Assessment
2.12. Histopathological Assessment
2.13. Sperm Analysis
2.14. Statistical Analysis
3. Results
3.1. Phytochemical Screening
3.2. Acute Toxicity Test
3.3. Effect of T. occidentalis on Body Weight, Food and Water Intake
3.4. Effect of T. occidentalis on Weight of Vital Organs (Per 100 g Body Weight)
3.5. Effect of T. occidentalis on Hematological Parameters
3.6. Effect of T. occidentalis on Serum Biochemical Parameters
3.7. Effect of T. occidentalis on Antioxidant Indices of Rat Kidneys, Testes, Brain and Liver
3.8. Effect of T. occidentalis on Sperm Motility, Count and Morphology (% Abnormality)
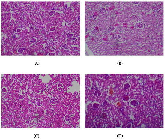
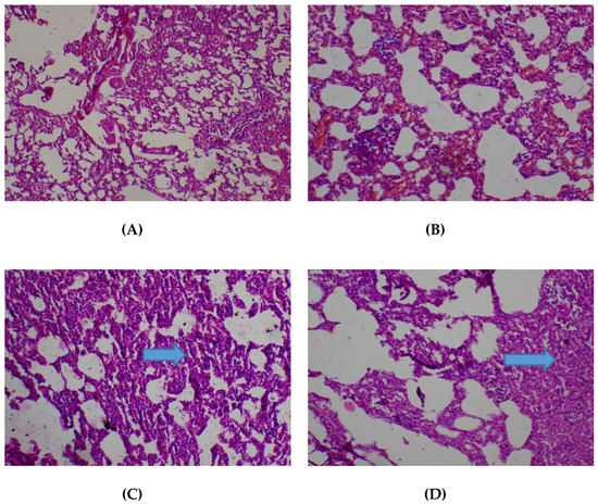
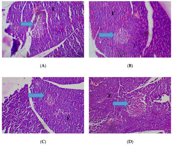
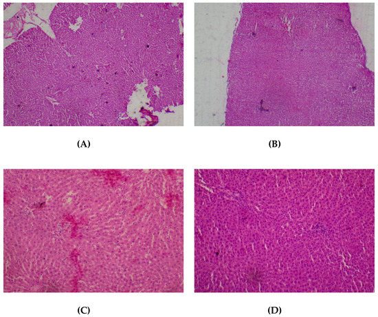
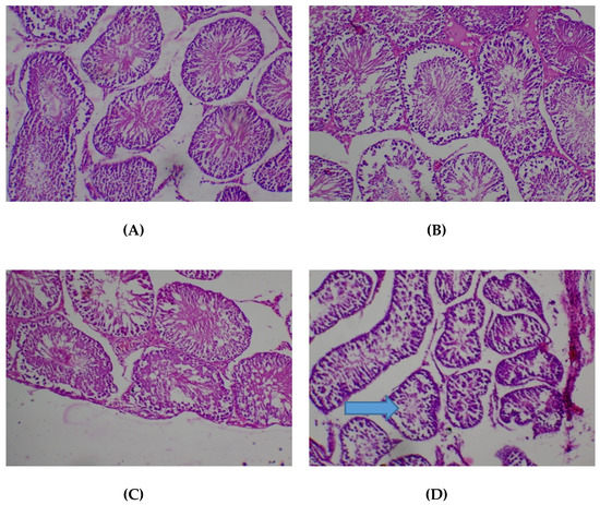
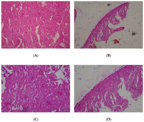
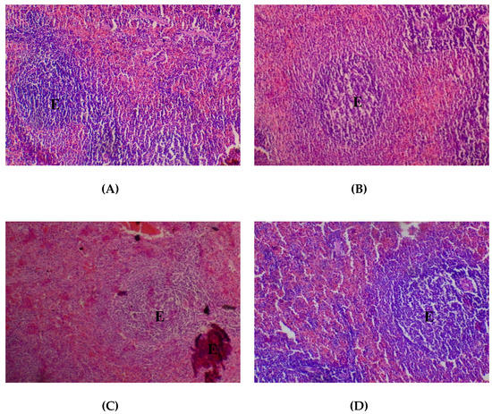
3.9. Histopathological Assessment of Selected Organs of Treated Rats
4. Discussion
5. Conclusions
Acknowledgments
Author Contributions
Conflicts of Interest
References
- Barret, B.; Kelfer, D.; Raabago, D. Assessing the risks and benefits of herbal medicine: An overview of scientific evidence. Altern. Ther. Health Med. 1999, 5, 40–49. [Google Scholar]
- Bateman, J.; Chapman, R.D.; Simpson, D. Possible toxicity of herbal remedies. Scott. Med. J. 1998, 43, 7–15. [Google Scholar] [CrossRef] [PubMed]
- Akoroda, M.O. Ethnobotany of Telfairia. occidentalis (Cucurbaceae) among Igbos of Nigeria. Econ. Bot. 1990, 44, 29–39. [Google Scholar] [CrossRef]
- Gbile, Z.O. Ethnobotany, taxonomy and conservation of medicinal plants. In The State of Medicinal Plants Research in Nigeria; Sofowora, A.O., Ed.; University of Ibadan Press: Ibadan, Nigeria, 1986. [Google Scholar]
- Alada, A.R.A. The hematological effect of Telfairia. occidentalis diet preparation. Afr. J. Biomed. Res. 2000, 3, 185–186. [Google Scholar]
- Olaniyan, M.F.; Adeleke, A. A study of the effect of pumpkin (ugu- Telfairia occidentalis) milk and raw egg mixture in the treatment of anemic pregnant women in a rural area. Afr. J. Tradit. Complement. Altern. Med. 2005, 2, 269–273. [Google Scholar]
- Olorunfemi, A.E.; Alnold, C.I.; Emmanuel, O.; Nkaima, N.; Akeem, A. Hypoglycaemia of Telfairia. occidentalis in rats. J. Pharm. Bioresour. 2009, 2, 36–42. [Google Scholar]
- Nwozo, S.O.; Adaramoye, O.A.; Ajayioba, E.O. Antidiabetic and hypolipidemic studies of Telfairia. occidentalis on alloxan-induced diabetic rats. Niger. J. Nat. Prod. Med. 2004, 8, 45–47. [Google Scholar]
- Akindele, A.J.; Oladimeji-Salami, J.A.; Usuwah, B.A. Antinociceptive and anti-inflammatory activities of Telfairia. occidentalis hydroethanolic leaf extract (Cucurbitaceae). J. Med. Food. 2015, 18, 1157–1163. [Google Scholar] [CrossRef] [PubMed]
- Committee for the Update of the Guide for the Care and Use of Laboratory Animals. Guide for the Care and Use of Laboratory Animals, 8th ed.; National Academies Press: Washington, DC, USA, 2011. [Google Scholar]
- Harborne, J.B. Phytochemical Methods; Hall Ltd.: London, UK, 1963. [Google Scholar]
- Trease, G.E.; Evans, W.C. Drugs of biological origin. In Pharmacognosy, 12th ed.; Balliere Tindall: Kent, UK, 1989. [Google Scholar]
- Edeoga, H.O.; Okwu, D.E.; Mbaebie, B.O. Phytochemical constituents of some Nigerian medicinal plants. Afr. J. Biotechnol. 2005, 4, 685–688. [Google Scholar] [CrossRef]
- Randhawa, M.A. Calculation of LD50 values from the method of Miller and Tainter, 1944. J. Ayub. Med. Coll. Abbottabad. 2009, 21, 184–185. [Google Scholar] [PubMed]
- Amida, M.B.; Yemitan, O.K.; Adeyemi, O.O. Toxicological assessment of the aqueous root extracts of Sanseviera. liberica Gerome and Labroy (Agavaceae). J. Ethnopharmacol. 2007, 113, 171–175. [Google Scholar] [CrossRef] [PubMed]
- Adeyemi, O.O.; Akindele, A.J.; Nwumeh, K.I. Acute and subchronic toxicological assessment of Byrsocarpus. coccineus Schum and Thonn. (Connaraceae) aqueous leaf extract. Int. J. Appl. Res. Nat. Prod. 2010, 3, 1–11. [Google Scholar] [CrossRef]
- Yemitan, O.K.; Adeyemi, O.O. Toxicity studies of the aqueous root extract of Lecaniodiscus cupanioides. Niger. J. Health Biomed. Sci. 2004, 3, 20–23. [Google Scholar]
- Ogli, S.A.; Enyikwola, O.; Odeh, S.O. Evaluation of the efficacy of separate oral supplements compared with the combined oral supplements of vitamins C and E on sperm motility in Wistar rats. Niger. J. Physiol. Sci. 2009, 24, 129–135. [Google Scholar] [CrossRef] [PubMed][Green Version]
- Akindele, A.J.; Adeneye, A.A.; Salau, O.S.; Sofidiya, M.O.; Benebo, A.S. Dose and time-dependent sub-chronic toxicity study of hydroethanolic leaf extract of Flabellaria paniculata Cav. (Malpighiaceae) in rodents. Front. Pharmacol. 2014, 5, 78. [Google Scholar] [CrossRef] [PubMed]
- Soyinka, O.O.; Adeniyi, F.A.; Ajose, O.A. Biochemical parameters of liver function in artisans occupationally exposed to “vat dyes”. Indian J. Occup. Environ. Med. 2007, 11, 76–79. [Google Scholar] [CrossRef] [PubMed]
- Usoh, I.F.; Akpan, E.J.; Etim, E.O.; Farombi, E.O. Antioxidant actions of dried flower extracts of Hibiscus sabdariffa L. on sodium arsenite-induced oxidative stress in rats. Pak. J. Nutr. 2005, 4, 135–141. [Google Scholar]
- Cheesbrough, M. Examination of semen. In District Laboratory Practice in Tropical Countries (Part 2); Cambridge University Press: Cambridge, UK, 2000; pp. 130–132. [Google Scholar]
- Seeff, L.B.; Lindsay, K.L.; Bacon, B.R.; Kresna, T.F.; Hoofnagle, J.H. Complementary and alternative medicine in chronic liver disease. Hepatology 2001, 34, 595–603. [Google Scholar] [CrossRef] [PubMed]
- European Union Reference Laboratory for Alternatives to Animal Testing (EURL ECVAM). Acute Toxicity. Available online: https://eurl-ecvam.jrc.ec.europa.eu/validation-regulatory-acceptance/systemic-toxicity/acute-toxicity (accessed on 13 November 2017).
- Organisation for Economic Co-Operation and Development (OECD). OECD Guideline for Testing of Chemicals: Acute Oral Toxicity—Acute Toxic Class Method (OECD 423). Available online: https://ntp.niehs.nih.gov/iccvam/suppdocs/feddocs/oecd/oecd_gl423.pdf (accessed on 13 November 2017).
- Hayes, A.W. Guidelines for acute oral toxicity testings. In Principles and Methods of Toxicity, 2nd ed.; Raven Press Ltd.: New York, NY, USA, 1989. [Google Scholar]
- Canadian Centre for Occupational Health and Safety. What Is a LD50 and LC50? Available online: https://www.ccohs.ca/oshanswers/chemicals/ld50.html (accessed on 13 November 2017).
- Raza, M.; Al-Shabanah, O.A.; El-Hadiyah, T.M.; Al-Majed, A.A. Effect of prolonged vigabatrin treatment on haematological and biochemical parameters in plasma, liver and kidney of Swiss albino mice. Sci. Pharm. 2002, 70, 135–145. [Google Scholar]
- Tan, P.V.; Mezui, C.; Enow-Orock, G.; Njikam, N.; Dimo, T.; Bitolog, P. Teratogenic effects, acute and sub chronic toxicity of the leaf aqueous extract of Ocimum suave Wild (Lamiaceae) in rats. J. Ethnopharmacol. 2008, 115, 232–237. [Google Scholar] [CrossRef] [PubMed]
- Saeed, S.A.; Urfy, M.Z.S.; Ali, T.M.; Khimani, F.W.; Gilani, A. Antioxidants: Their role in health and disease. Int. J. Pharmacol. 2005, 1, 226–233. [Google Scholar]
- Akindele, A.J.; Ezenwanebe, K.O.; Anunobi, C.C.; Adeyemi, O.O. Hepatoprotective and in vivo antioxidant effects of Byrsocarpus coccineus Schum and Thonn. (Connaraceae). J. Ethnopharmacol. 2010, 129, 46–52. [Google Scholar] [CrossRef] [PubMed]
- Adaramoye, O.A.; Achem, J.; Akintayo, O.O.; Fafunso, M.A. Hypolipidemic effect of Telfairia occidentalis in rats fed a cholesterol-rich diet. J. Med. Foods. 2007, 10, 330–336. [Google Scholar] [CrossRef] [PubMed]
- Bater, P.; Gotto, A.M.; Larrosa, J.C.; Marconi, J.; Szarek, M.; Grundy, S.M.; Kestelein, J.J.P.; Bitner, V.; Fruchart, J.C. HDL-Cholesterol, very low levels of LDL cholesterol and cardiovascular events. N. Engl. J. Med. 2007, 357, 1301–1310. [Google Scholar] [CrossRef] [PubMed]
- Levine, B.S. Animal clinical pathology. In Handbook of Toxicology, 2nd ed.; Derelanko, M.J., Hollinger, M.A., Eds.; CRC Press: Boca Raton, FL, USA, 2002; pp. 742–768. [Google Scholar]
- Caisey, J.D.; King, D.J. Clinical chemical values for some common laboratory animals. Clin. Chem. 1980, 26, 1877–1879. [Google Scholar] [PubMed]
- Woodman, D.D. Assessment of hepatotoxicity. In Animal Clinical Chemistry: A Primer for Toxicologist; Evans, G.O., Ed.; Taylor and Francis: London, UK, 1996; pp. 71–86. [Google Scholar]
- Gaetani, G.; Ferrari, A.; Rolfo, M.; Mangerini, R.; Arena, S.; Krikman, H. Predominant role of catalase in the disposal of hydrogen peroxide within human erythrocytes. Blood 1996, 87, 1595–1599. [Google Scholar] [PubMed]
- MacCall, M.R.; Frei, B. Can antioxidant vitamins materially reduce oxidative damage in humans? Free Radic. Biol. Med. 1999, 26, 1034–1053. [Google Scholar] [CrossRef]
- Gilbony, P.T. Mildly elevated liver transaminase levels in sympathomatics patient. Am. Fam. Physician. 2005, 71, 1105–1110. [Google Scholar]
- AlJabr, A.M.; Hussain, A.; Rizwan-ul-Haq, M.; Hassan Al-Ayedh, A. Toxicity of plant secondary metabolites modulating detoxification genes expression for natural red palm weevil pesticide development. Molecules 2017, 22, 169. [Google Scholar] [CrossRef] [PubMed]
- Nascimento, N.C.; Fett-Neto, A.G. Plant secondary metabolism and challenges in modifying its operation: An overview. In Plant Secondary Metabolism Engineering Methods and Applications; Fett-Neto, A.G., Ed.; Humana Press: New York, NY, USA, 2010; pp. 1–13. [Google Scholar]
- Chikezie, P.C.; Ibegbulem, C.O.; Mbagwu, F.N. Medicinal potentials and toxicity concerns of bioactive principles. Med. Aromat. Plants 2015, 4, 202. [Google Scholar] [CrossRef]
- Eseyin, O.A.; Sattar, M.A.; Rathore, H.A.; Aigbe, F.; Afzal, S.; Ahmad, A.; Lazhari, M.; Akthar, S. GC-MS and HPLC profiles of phenolic fractions of the leaf of Telfairia occidentalis. Pak. J. Pharm. Sci. 2018, 31, 45–50. [Google Scholar]








| Treatment | Body Weight (%) | Food Intake (g) | Water Intake (mL) |
|---|---|---|---|
| Control | 54.11 ± 3.24 | 40.13 ± 2.51 | 33.25 ± 0.26 |
| T. occidentalis 80 mg/kg | 78.09 ± 0.36 | 45.50 ± 0.72 | 34.50 ± 3.12 |
| T. occidentalis 400 mg/kg | 45.45 ± 2.24 | 44.88 ± 1.27 | 38.25 ± 5.50 |
| T. occidentalis 2000 mg/kg | 36.93 ± 5.50 | 34.75 ± 5.29 | 37.38 ± 0.31 |
| Control | TO 80 mg/kg | TO 400 mg/kg | TO 2000 mg/kg | |||||
|---|---|---|---|---|---|---|---|---|
| Main | Reversibility | Main | Reversibility | Main | Reversibility | Main | Reversibility | |
| Testes (g) | 1.00 ± 0.20 | 0.94 ± 0.22 | 1.27 ± 0.02 | 1.06 ± 0.12 | 1.07 ± 0.07 | 0.92 ± 0.07 | 0.47 ± 0.23 * | 0.85 ± 0.32 |
| Heart (g) | 0.81 ± 0.07 | 0.82 ± 0.04 | 1.00 ± 0.02 | 0.89 ± 0.05 | 0.89 ± 0.10 | 0.84 ± 0.02 | 0.83 ± 0.14 | 0.80 ± 0.04 |
| Kidney (g) | 0.54 ± 0.08 | 0.56 ± 0.02 | 0.62 ± 0.01 * | 0.61 ± 0.03 | 0.61 ± 0.08 | 0.61 ± 0.01 | 0.57 ± 0.07 | 0.55 ± 0.04 |
| Liver (g) | 5.31 ± 0.42 | 5.56 ± 0.21 | 6.59 ± 0.10 | 6.15 ± 0.12 | 5.92 ± 0.47 | 5.40 ± 0.34 | 5.61 ± 0.61 | 5.48 ± 0.22 |
| Spleen (g) | 0.69 ± 0.06 | 0.62 ± 0.04 | 0.66 ± 0.01 | 0.62 ± 0.03 | 0.78 ± 0.03 | 0.71 ± 0.05 | 0.61 ± 0.03 | 0.61 ± 0.07 |
| Lung (g) | 1.55 ± 0.06 | 1.54 ± 0.20 | 1.70 ± 0.03 | 1.65 ± 0.05 | 1.58 ± 0.05 | 1.62 ± 0.01 | 1.61 ± 0.20 | 1.58 ± 0.06 |
| Pancreas (g) | 0.44 ± 0.02 | 0.44 ± 0.05 | 0.49 ± 0.03 | 0.44 ± 0.06 | 0.47 ± 0.04 | 0.45 ± 0.02 | 0.46 ± 0.04 | 0.43 ± 0.01 |
| Brain (g) | 1.41 ± 0.02 | 1.48 ± 0.01 | 1.33 ± 0.05 | 1.37 ± 0.04 | 1.41 ± 0.04 | 1.45 ± 0.07 | 1.49 ± 0.05 | 1.50 ± 0.04 |
| Treatment | WBC (109/L) | Hb (g/dL) | RBC (1012/L) | HCT (%) | MCV (fL) | MCH (pg) | MCHC (g/dL) | RDW-CV (%) | RDW-SD (fL) | PLT (109) | MPV (fL) | PDW (fL) | PCV (%) |
|---|---|---|---|---|---|---|---|---|---|---|---|---|---|
| Control (Main) | 4.78 ± 0.62 | 9.18 ± 1.99 | 5.10 ± 0.92 | 27.90 ± 5.77 | 54.20 ± 1.36 | 17.68 ± 0.63 | 32.70 ± 0.35 | 15.43 ± 0.90 | 25.73 ± 3.91 | 417.75 ± 45.83 | 7.75 ± 0.35 | 15.65 ± 0.30 | 0.32 ± 0.03 |
| Reversibility | 6.38 ± 0.43 | 10.16 ± 1.67 | 6.21 ± 0.76 | 31.23 ± 2.43 | 56.30 ± 0.35 | 17.48 ± 0.56 | 32.87 ± 0.55 | 16.44 ± 0.30 | 27.63 ± 0.64 | 647.50 ± 35.84 | 8.45 ± 0.36 | 16.43 ± 0.32 | 0.35 ± 0.02 |
| TO 80 mg/kg (Main) | 8.15 ± 1.83 | 12.23 ± 0.66 * | 6.71 ± 0.38 | 36.88 ± 1.85 | 55.10 ± 1.50 | 18.18 ± 0.14 | 33.08 ± 0.11 | 14.63 ± 0.42 | 23.40 ± 6.54 | 624.25 ± 57.16 | 7.83 ± 0.23 | 15.93 ± 0.17 | 0.49 ± 0.05 * |
| Reversibility | 10.22 ± 0.86 | 13.45 ± 0.64 | 7.12 ± 0.23 | 37.34 ± 1.23 | 58.10 ± 1.40 | 18.26 ± 0.16 | 33.56 ± 0.23 | 15.83 ± 0.23 | 26.40 ± 0.59 | 824.36 ± 22.14 | 8.86 ± 0.22 | 18.23 ± 0.14 | 0.49 ± 0.06 |
| TO 400 mg/kg (Main) | 7.53 ± 2.73 | 11.13 ± 1.00 * | 6.13 ± 0.51 | 33.48 ± 2.97 | 54.63 ± 1.59 | 18.07 ± 0.60 | 33.13 ± 0.23 | 14.88 ± 0.37 | 29.93 ± 0.59 | 480.50 ± 152.19 | 7.50 ± 0.21 | 15.55 ± 0.24 | 7.53 ± 2.73 |
| Reversibility | 9.83 ± 1.64 | 12.23 ± 0.12 | 6.88 ± 0.44 | 35.47 ± 2.57 | 55.65 ± 1.86 | 18.47 ± 0.56 | 33.45 ± 0.20 | 15.80 ± 0.17 | 30.47 ± 0.50 | 640.50 ± 12.18 | 8.52 ± 0.51 | 17.44 ± 0.24 | 0.46 ± 0.01 |
| TO 2000 mg/kg (Main) | 5.53 ± 1.63 | 9.78 ± 1.71 | 5.33 ± 0.46 | 29.23 ± 2.39 | 54.74 ± 0.52 | 18.33 ± 0.03 | 33.38 ± 0.46 | 13.70 ± 0.46 * | 29.13 ± 1.07 | 430.00 ± 30.65 | 7.68 ± 0.28 | 5.53 ± 1.63 | 9.78 ± 1.71 |
| Reversibility | 7.56 ± 0.83 | 10.95 ± 1.46 | 5.93 ± 0.35 | 32.42 ± 3.64 | 5642 ± 0.66 | 18.63 ± 0.13 | 33.88 ± 0.26 | 14.89 ± 0.60 | 30.23 ± 1.01 | 643.00 ± 13.44 | 8.36 ± 0.42 | 18.65 ± 0.24 | 0.36 ± 0.02 |
| Control | 80 mg/kg TO | 400 mg/kg TO | 2000 mg/kg TO | |||||
|---|---|---|---|---|---|---|---|---|
| Main | Reversibility | Main | Reversibility | Main | Reversibility | Main | Reversibility | |
| ALP (IU/L) | 139.20 ± 0.41 | 142.22 ± 0.32 | 190.33 ± 3.31 * | 139.43 ± 1.24 | 216.70 ± 18.48 * | 140.12 ± 4.55 | 230.75 ± 26.19 * | 145.00 ± 2.69 |
| AST (IU/L) | 130.40 ± 4.23 | 141.22 ± 2.30 | 125.00 ± 3.41 | 131.20 ± 1.28 | 110.68 ± 2.53 *** | 126.54 ± 2.32 | 112.86 ± 2.36 ** | 122.43 ± 2.04 |
| ALT (IU/L) | 57.35 ± 2.01 | 62.21 ± 1.22 | 60.85 ± 0.57 | 59.40 ± 0.26 | 48.45 ± 2.27 * | 53.21 ± 2.34 | 48.53 ± 2.54 *** | 51.45 ± 1.34 |
| Total Bilirubin (µmol/L) | 5.85 ± 0.10 | 5.10 ± 0.11 | 6.08 ± 0.10 | 4.21 ± 0.20 | 6.38 ± 0.10 * | 4.28 ± 0.13 | 6.67 ± 0.08 * | 4.57 ± 0.27 |
| Albumin (g/L) | 40.30 ± 1.76 | 44.00 ± 0.64 | 41.08 ± 1.31 | 45.34 ± 1.23 | 41.22 ± 2.21 | 46.12 ± 2.23 | 40.40 ± 3.71 | 44.30 ± 2.67 |
| Total Protein (g/L) | 78.25 ± 0.63 | 80.12 ± 0.64 | 81.93 ± 0.62 ** | 81.41 ± 0.54 | 82.55 ± 0.24 ** | 81.24 ± 0.12 | 81.25 ± 0.55* | 81.25 ± 0.55 * |
| Cholesterol (mg/dL) | 2.03 ± 0.06 | 2.13 ± 0.10 | 1.93 ± 0.01 | 1.95 ± 0.08 | 1.72 ± 0.05 * | 1.83 ± 0.12 | 1.90 ± 0.09 | 1.92 ± 0.13 |
| TG (mg/dL) | 1.00 ± 0.09 | 1.12 ± 0.07 | 0.91 ± 0.14 | 0.96 ± 0.01 | 0.83 ± 0.05 | 0.90 ± 0.10 | 0.75 ± 0.01 | 0.85 ± 0.05 |
| HDL (mmol/L | 1.74 ± 0.05 | 1.85 ± 0.07 | 1.99 ± 0.04* | 1.94 ± 0.10 | 1.87 ± 0.03 * | 1.90 ± 0.01 | 1.97 ± 0.08 * | 1.96 ± 0.13 |
| LDL (mmol/L) | 0.69 ± 0.01 | 0.74 ± 0.02 | 0.67 ± 0.02 | 0.69 ± 0.04 | 0.58 ± 0.07 | 0.68 ± 0.10 | 0.59 ± 0.03 | 0.67 ± 0.02 |
| Control | 80 mg/kg TO | 400 mg/kg TO | 2000 mg/kg TO | |||||
|---|---|---|---|---|---|---|---|---|
| Main | Reversibility | Main | Reversibility | Main | Reversibility | Main | Reversibility | |
| Creatinine (µmol/L) | 55.11 ± 0.61 | 57.31 ± 0.54 | 52.08 ± 2.51 | 54.66 ± 0.41 | 46.92 ± 0.64 * | 47.89 ± 0.45 | 48.02 ± 2.14 * | 50.21 ± 0.67 |
| Urea (mmol/L) | 6.10 ± 0.37 | 6.68 ± 0.56 | 4.95 ± 0.06 * | 5.76 ± 0.12 | 5.95 ± 0.06 | 6.25 ± 0.05 | 6.23 ± 0.52 | 6.44 ± 0.02 |
| Na+ (mmol/L) | 139.00 ± 4.80 | 136.00 ± 2.05 | 135.75 ± 4.89 | 134.70 ± 2.65 | 136.25 ± 6.06 | 135.45 ± 3.06 | 137.00 ± 2.35 | 134.00 ± 2.30 |
| Ca2+ (mg/dL) | 2.39 ± 0.05 | 2.44 ± 0.04 | 2.54 ± 0.06 | 2.50 ± 0.05 | 2.46 ± 0.06 | 2.44 ± 0.02 | 2.92 ± 0.23 * | 2.62 ± 0.23 |
| K+ (mmol/L) | 4.50 ± 0.22 | 4.30 ± 0.26 | 4.43 ± 0.31 | 4.23 ± 0.11 | 4.50 ± 0.54 | 4.20 ± 0.21 | 4.33 ± 0.42 | 4.13 ± 0.47 |
| HCO32− (mmol/L) | 19.00 ± 0.92 | 19.86 ± 0.42 | 19.50 ± 1.19 | 19.64 ± 0.66 | 17.50 ± 0.65 | 19.50 ± 0.22 | 18.25 ± 1.38 | 19.20 ± 1.46 |
| PO42− (mmol/L) | 0.97 ± 1.07 | 0.95 ± 1.00 | 1.07 ± 0.08 | 1.10 ± 0.02 | 1.04 ± 0.03 * | 1.07 ± 0.05 | 0.96 ± 0.01 | 1.01 ± 0.02 |
| Cl− (mmol/L) | 105.00 ± 4.92 | 107.00 ± 0.94 | 107.00 ± 11.37 | 106.00 ± 1.23 | 111.62 ± 5.32 | 108.62 ± 0.32 | 116.50 ± 14.16 | 110.50 ± 1.10 |
| GSH (nm/mg Protein) | SOD (U/mg Protein) | CAT (U/mg Protein) | MDA (nm/mg Protein) | Protein (mg) | |
|---|---|---|---|---|---|
| Kidney | |||||
| Control | 48.84 ± 2.04 | 51.55 ± 3.75 | 620.88 ± 56.68 | 0.92 ± 0.05 | 32.23 ± 1.97 |
| Reversibility | 50.44 ± 1.42 | 52.45 ± 2.10 | 627.00 ± 6.60 | 0.88 ± 0.12 | 33.43 ± 1.01 |
| 80 mg/kg TO | 50.10 ± 4.20 | 52.32 ± 2.11 | 625.68 ± 65.02 | 0.92 ± 0.06 | 29.34 ± 0.78 |
| Reversibility | 51.10 ± 0.20 | 53.92 ± 0.19 | 625.73 ± 5.32 | 0.85 ± 0.54 | 28.94 ± 0.06 |
| 400 mg/kg TO | 52.86 ± 5.46 | 53.22 ± 2.38 | 633.22 ± 65.48 | 0.91 ± 0.05 | 27.63 ± 0.93 |
| Reversibility | 52.23 ± 0.09 | 52.82 ± 1.67 | 630.27 ± 6.21 | 0.94 ± 0.04 | 26.88 ± 0.65 |
| 2000 mg/kg TO | 51.00 ± 2.30 | 52.93 ± 0.53 | 628.98 ± 60.48 | 0.90 ± 0.06 | 30.19 ± 0.77 |
| Reversibility | 49.60 ± 1.32 | 50.84 ± 0.06 | 625.77 ± 0.69 | 0.91 ± 0.12 | 29.80 ± 0.40 |
| Liver | |||||
| Control | 20.59 ± 3.87 | 57.48 ± 2.09 | 693.12 ± 15.21 | 2.35 ± 0.15 | 32.40 ± 0.88 |
| Reversibility | 22.34 ± 2.54 | 65.68 ± 3.11 | 700.22 ± 9.23 | 2.12 ± 0.21 | 34.23 ± 0.56 |
| 80 mg/kg TO | 23.90 ± 1.50 | 69.63 ± 11.55 | 693.91 ± 8.85 | 1.95 ± 0.06 | 28.23 ± 0.64 |
| Reversibility | 24.45 ± 1.50 | 71.03 ± 6.50 | 695.11 ± 4.09 | 1.98 ± 0.11 | 29.23 ± 0.34 |
| 400 mg/kg TO | 58.49 ± 1.07 | 110.96 ± 7.40 * | 705.91 ± 10.61 | 1.75 ± 0.15 | 25.18 ± 0.57 |
| Reversibility | 45.39 ± 1.12 | 102.23 ± 4.23 ** | 702.21 ± 1.61 | 1.87 ± 0.08 | 28.08 ± 0.04 |
| 2000 mg/kg TO | 40.07 ± 7.58 * | 104.13 ± 0.19 * | 705.78 ± 8.30 | 1.82 ± 0.40 | 31.81 ± 0.40 |
| Reversibility | 36.26 ± 3.45 ** | 89.12 ± 1.22 | 703.38 ± 2.40 | 1.90 ± 0.52 | 33.22 ± 0.45 |
| Testes | |||||
| Control | 48.30 ± 8.10 | 88.87 ± 6.67 | 599.69 ± 56.29 | 0.92 ± 0.01 | 33.09 ± 0.42 |
| Reversibility | 51.35 ± 2.21 | 91.12 ± 12.45 | 612.24 ± 5.90 | 0.85 ± 0.03 | 35.00 ± 0.56 |
| 80 mg/kg TO | 50.05 ± 4.45 | 89.85 ± 4.85 | 587.22 ± 44.01 | 0.89 ± 0.03 | 29.22 ± 0.42 |
| Reversibility | 53.56 ± 3.76 | 95.05 ± 0.15 | 606.10 ± 14.01 | 0.81 ± 0.12 | 30.28 ± 0.44 |
| 400 mg/kg TO | 39.40 ± 12.90 | 73.42 ± 5.81 | 577.42 ± 44.12 | 1.58 ± 0.02 ** | 26.30 ± 0.40 |
| Reversibility | 45.68 ± 6.23 | 81.33 ± 2.43 | 582.56 ± 3.10 | 1.01 ± 0.01 | 27.49 ± 1.12 |
| 2000 mg/kg TO | 25.55 ± 0.90 | 59.50 ± 5.50 * | 440.33 ± 225.10 | 2.08 ± 0.02 ** | 30.58 ± 1.02 |
| Reversibility | 47.69 ± 1.88 | 79.84±6.42 | 594.29 ± 15.28 | 1.13 ± 0.04 | 31.65 ± 0.92 |
| Brain | |||||
| Control | 20.59 ± 3.87 | 57.48 ± 2.09 | 693.12 ± 15.21 | 2.35 ± 0.15 | 32.40 ± 0.88 |
| Reversibility | 22.34 ± 2.54 | 65.68 ± 3.11 | 700.22 ± 9.23 | 2.12 ± 0.21 | 34.23 ± 0.56 |
| 80 mg/kg TO | 23.90 ± 1.50 | 69.63 ± 11.55 | 693.91 ± 8.85 | 1.95 ± 0.06 | 28.23 ± 0.64 |
| Reversibility | 24.45 ± 1.50 | 71.03 ± 6.50 | 695.11 ± 4.09 | 1.98 ± 0.11 | 29.23 ± 0.34 |
| 400 mg/kg TO | 58.49 ± 1.07 | 110.96 ± 7.40 * | 705.91 ± 10.61 | 1.75 ± 0.15 | 25.18 ± 0.57 |
| Reversibility | 45.39 ± 1.12 | 102.23 ± 4.23 ** | 702.21 ± 1.61 | 1.87 ± 0.08 | 28.08 ± 0.04 |
| 2000 mg/kg TO | 40.07 ± 7.58 * | 104.13 ± 0.19 * | 705.78 ± 8.30 | 1.82 ± 0.40 | 31.81 ± 0.40 |
| Reversibility | 36.26 ± 3.45 ** | 89.12 ± 1.22 | 703.38 ± 2.40 | 1.90 ± 0.52 | 33.22 ± 0.45 |
| Treatment | Sperm Motility (%) | Sperm Count (million/mL) | Morphology (% Abnormality) |
|---|---|---|---|
| Control | 68.50 ± 17.00 | 26.50 ± 7.84 | 11.00 ± 1.00 |
| Reversibility | 63.50 ± 5.60 | 23.50 ± 2.56 | 15.62 ± 4.20 |
| 80 mg/kg TO | 86.50 ± 4.99 ** | 34.00 ± 2.50 * | 10.50 ± 4.33 |
| Reversibility | 66.20 ± 2.24 | 25.30 ± 3.24 | 12.40 ± 5.46 |
| 400 mg/kg TO | 68.50 ± 5.80 | 24.75 ± 3.30 | 20.00 ± 2.04 |
| Reversibility | 65.50 ± 3.20 | 21.44 ± 1.20 | 20.00 ± 2.04 |
| 2000 mg/kg TO | 26.25 ± 8.54 *** | 15.00 ± 4.06 * | 38.75 ± 0.6 |
| Reversibility | 61.45 ± 6.53 | 21.50 ± 5.02 | 22.45 ± 1.46 |
© 2018 by the authors. Licensee MDPI, Basel, Switzerland. This article is an open access article distributed under the terms and conditions of the Creative Commons Attribution (CC BY) license (http://creativecommons.org/licenses/by/4.0/).
Share and Cite
Akindele, A.J.; Oladimeji-Salami, J.A.; Oyetola, R.A.; Osiagwu, D.D. Sub-Chronic Toxicity of the Hydroethanolic Leaf Extract of Telfairia occidentalis Hook. f. (Cucurbitaceae) in Male Rats. Medicines 2018, 5, 4. https://doi.org/10.3390/medicines5010004
Akindele AJ, Oladimeji-Salami JA, Oyetola RA, Osiagwu DD. Sub-Chronic Toxicity of the Hydroethanolic Leaf Extract of Telfairia occidentalis Hook. f. (Cucurbitaceae) in Male Rats. Medicines. 2018; 5(1):4. https://doi.org/10.3390/medicines5010004
Chicago/Turabian StyleAkindele, Abidemi J., Joy A. Oladimeji-Salami, Ramon A. Oyetola, and Daniel D. Osiagwu. 2018. "Sub-Chronic Toxicity of the Hydroethanolic Leaf Extract of Telfairia occidentalis Hook. f. (Cucurbitaceae) in Male Rats" Medicines 5, no. 1: 4. https://doi.org/10.3390/medicines5010004
APA StyleAkindele, A. J., Oladimeji-Salami, J. A., Oyetola, R. A., & Osiagwu, D. D. (2018). Sub-Chronic Toxicity of the Hydroethanolic Leaf Extract of Telfairia occidentalis Hook. f. (Cucurbitaceae) in Male Rats. Medicines, 5(1), 4. https://doi.org/10.3390/medicines5010004

