Music Therapy in Global Aphasia: A Case Report
Abstract
1. Introduction
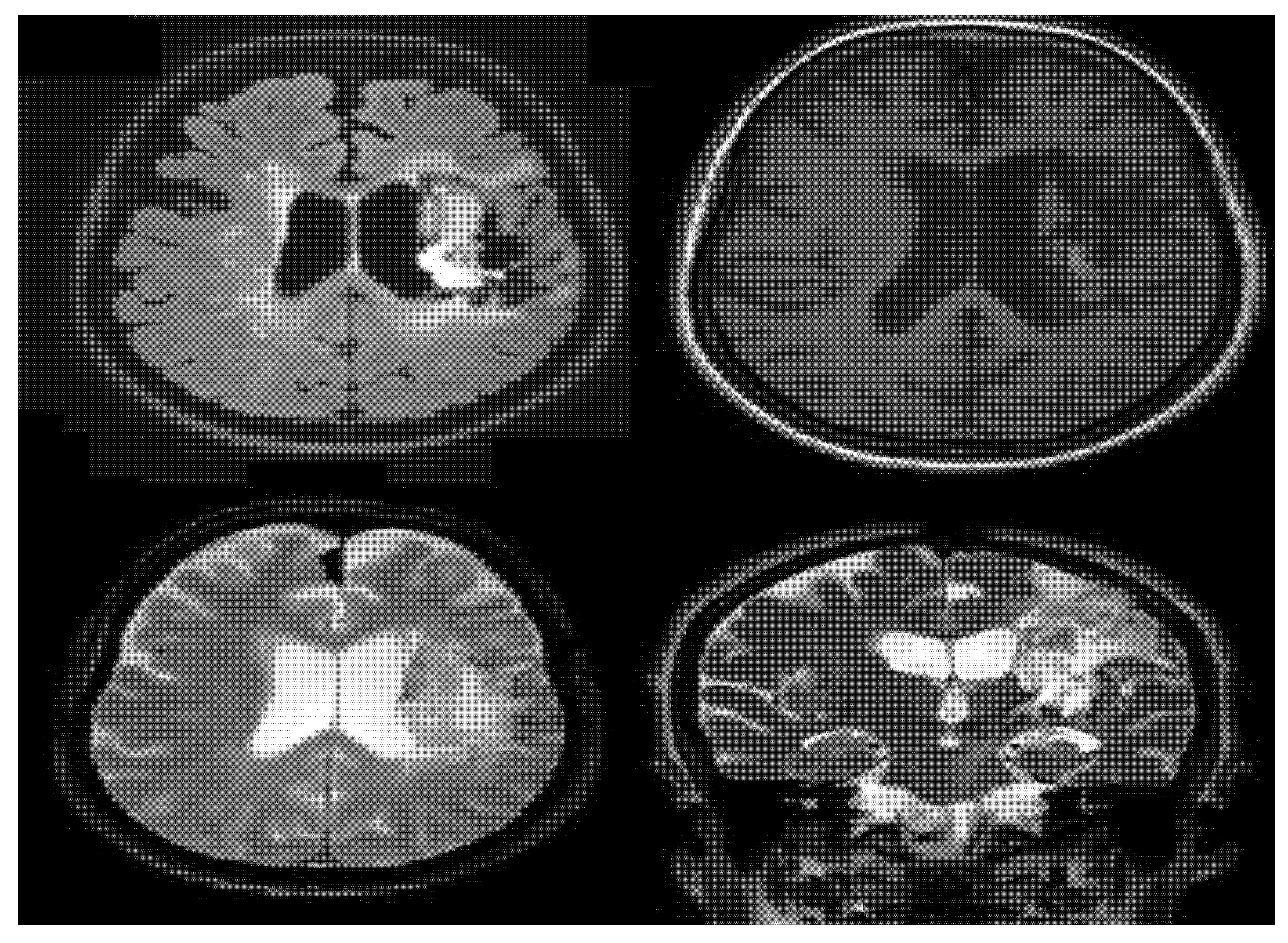
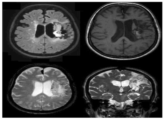
2. Case Description
3. Discussion
Author Contributions
Funding
Institutional Review Board Statement
Informed Consent Statement
Data Availability Statement
Conflicts of Interest
Correction Statement
References
- Tippett, D.C.; Hillis, A.E. Chapter 73—Vascular aphasia syndromes. In Neurobiology of Language; Hickok, G., Small, S.L., Eds.; Academic Press: Cambridge, MA, USA, 2016; pp. 913–922. ISBN 9780124077942. [Google Scholar] [CrossRef]
- Basso, A.; Capitani, E.; Vignolo, L.A. Influence of rehabilitation on language skills in aphasic patients.A controlled study. Arch. Neurol. 1979, 36, 190–196. [Google Scholar] [CrossRef]
- Brady, M.C.; Kelly, H.; Godwin, J.; Enderby, P. Speech and language therapy for aphasia following stroke. Cochrane Database Syst. Rev. 2012, 16, CD000425. [Google Scholar] [CrossRef]
- De Renzi, E.; Colombo, A.; Scarpa, M. The aphasic isolate. A clinical-CT scan study of a particularly severe subgroup of global aphasics. Brain 1991, 114 Pt 4, 1719–1730. [Google Scholar] [CrossRef]
- Sierpowska, J.; León-Cabrera, P.; Camins, À.; Juncadella, M.; Gabarrós, A.; Rodríguez-Fornells, A. The black box of global aphasia: Neuroanatomical underpinnings of remission from acute global aphasia with preserved inner language function. Cortex 2020, 130, 340–350. [Google Scholar] [CrossRef] [PubMed]
- Kakuda, W. Future directions of stroke rehabilitations. Clin. Neurol. 2020, 60, 181–186. [Google Scholar] [CrossRef]
- Palmer, R.; Dimairo, M.; Latimer, N.; Cross, E.; Brady, M.; Enderby, P.; Bowen, A.; Julious, S.; Harrison, M.; Alshreef, A.; et al. Computerised speech and language therapy or attention control added to usual care for people with long-term post-stroke aphasia: The Big CACTUS three-arm RCT. Health Technol. Assess. 2020, 24, 1–176. [Google Scholar] [CrossRef] [PubMed]
- Machado Sotomayor, M.J.; Arufe-Giráldez, V.; Ruíz-Rico, G.; Navarro-Patón, R. Music Therapy and Parkinson’s Disease: A Systematic Review from 2015–2020. Int. J. Environ. Res. Public Health 2021, 18, 11618. [Google Scholar] [CrossRef] [PubMed]
- Baird, A.; Samson, S. Music and dementia. Prog. Brain Res. 2015, 217, 207–235. [Google Scholar] [CrossRef]
- Leonardi, S.; Cacciola, A.; De Luca, R.; Aragona, B.; Andronaco, V.; Milardi, D.; Bramanti, P.; Calabrò, R. The role of music therapy in rehabilitation: Improving aphasia and beyond. Int. J. Neurosci. 2018, 128, 90–99. [Google Scholar] [CrossRef]
- Bitan, T.; Simic, T.; Saverino, C.; Jones, C.; Glazer, J.; Collela, B.; Wiseman-Hakes, C.; Green, R.; Rochon, E. Changes in Resting-State Connectivity following Melody-Based Therapy in a Patient with Aphasia. Neural Plast. 2018, 2018, 6214095. [Google Scholar] [CrossRef]
- Sihvonen, A.J.; Siponkoski, S.T.; Martínez-Molina, N.; Laitinen, S.; Holma, M.; Ahlfors, M.; Kuusela, L.; Pekkola, J.; Koskinen, S.; Särkämö, T. Neurological Music Therapy Rebuilds Structural Connectome after Traumatic Brain Injury: Secondary Analysis from a Randomized Controlled Trial. J. Clin. Med. 2022, 11, 2184. [Google Scholar] [CrossRef] [PubMed]
- Thaut, M.H. The future of music in therapy and medicine. Ann. N. Y. Acad. Sci. 2005, 1060, 303–308. [Google Scholar] [CrossRef] [PubMed]
- Kim, S.J.; Koh, I. The effects of music on pain perception of stroke patients during upper extremity joint exercises. J. Music Ther. 2005, 42, 81–92. [Google Scholar] [CrossRef]
- Nayak, S.; Wheeler, B.L.; Shiflett, S.C.; Agostinelli, S. Effect of music therapy on mood and social interaction among individuals with acute traumatic brain injury and stroke. Rehabil. Psychol. 2000, 45, 274–283. [Google Scholar] [CrossRef]
- Tomaino, C.M. Effective music therapy techniques in the treatment of nonfluent aphasia. Ann. N. Y. Acad. Sci. 2012, 1252, 312–317. [Google Scholar] [CrossRef] [PubMed]
- Zhang, X.Y.; Yu, W.Y.; Teng, W.J.; Lu, M.Y.; Wu, X.L.; Yang, Y.Q.; Chen, C.; Liu, L.X.; Liu, S.H.; Li, J.J. Effectiveness of Melodic Intonation Therapy in Chinese Mandarin on Non-fluent Aphasia in Patients After Stroke: A Randomized Control Trial. Front. Neurosci. 2021, 15, 648724. [Google Scholar] [CrossRef] [PubMed]
- Xu, C.; He, Z.; Shen, Z.; Huang, F. Potential Benefits of Music Therapy on Stroke Rehabilitation. Oxidative Med. Cell. Longev. 2022, 2022, 9386095. [Google Scholar] [CrossRef]
- Shi, E.R.; Zhang, Q. A domain-general perspective on the role of the basal ganglia in language and music: Benefits of music therapy for the treatment of aphasia. Brain Lang. 2020, 206, 104811. [Google Scholar] [CrossRef]
- De Renzi, E.; Motti, F.; Nichelli, P. Imitating gestures. A quantitative approach to ideomotor apraxia. Arch. Neurol. 1980, 37, 6–10. [Google Scholar] [CrossRef]
- Benaim, C.; Cailly, B.; Perennou, D.; Pelissier, J. Validation of the aphasic depression rating scale. Stroke 2004, 35, 1692–1696. [Google Scholar] [CrossRef]
- Hagen, C.; Malcmus, D.; Durham, P. Rehabilitation of the Head of Injured Adult: Comprehensive Physical Management; Professional Staff Association of Rancho Los Amigos Hospital: Downey, CA, USA, 1979; pp. 87–89. [Google Scholar]
- Giacino, J.T.; Kalmar, K.; Whyte, J. The JFK Coma Recovery Scale-Revised: Measurement characteristics and diagnostic utility. Arch. Phys. Med. Rehabil. 2004, 85, 2020–2029. [Google Scholar] [CrossRef] [PubMed]
- Beaulieu, C.L.; Dijkers, M.P.; Barrett, R.S.; Horn, S.D.; Giuffrida, C.G.; Timpson, M.L.; Carroll, D.M.; Smout, R.J.; Hammond, F.M. Occupational, Physical, and Speech Therapy Treatment Activities During Inpatient Rehabilitation for Traumatic Brain Injury. Arch. Phys. Med. Rehabil. 2015, 96 (Suppl. 8), S222–S234.e17. [Google Scholar] [CrossRef] [PubMed]
- Cappa, S.F.; Benke, T.; Clarke, S.; Rossi, B.; Stemmer, B.; van Heugten, C.M.; Task Force on Cognitive Rehabilitation. European Federation of Neurological Societies. EFNS guidelines on cognitive rehabilitation: Report of an EFNS task force. Eur. J. Neurol. 2005, 12, 665–680. [Google Scholar] [CrossRef] [PubMed]
- Proverbio, A.M.; Gabaro, V.; Orlandi, A.; Zani, A. Semantic brain areas are involved in gesture comprehension: An electrical neuroimaging study. Brain Lang. 2015, 147, 30–40. [Google Scholar] [CrossRef] [PubMed]
- Liu, Q.; Li, W.; Yin, Y.; Zhao, Z.; Yang, Y.; Zhao, Y.; Tan, Y.; Yu, J. The effect of music therapy on language recovery in patients with aphasia after stroke: A systematic review and meta-analysis. Neurol. Sci. 2022, 43, 863–872. [Google Scholar] [CrossRef] [PubMed]
- Straube, T.; Schulz, A.; Geipel, K.; Mentzel, H.J.; Miltner, W.H. Dissociation between singing and speaking in expressive aphasia: The role of song familiarity. Neuropsychologia 2008, 46, 1505–1512. [Google Scholar] [CrossRef] [PubMed]
- Cadalbert, A.; Landis, T.; Regard, M.; Graves, R.E. Singing with and without words: Hemispheric asymmetries in motor control. J. Clin. Exp. Neuropsychol. 1994, 16, 664–670. [Google Scholar] [CrossRef]
- Yamaguchi, S.; Akanuma, K.; Hatayama, Y.; Otera, M.; Meguro, K. Singing therapy can be effective for a patient with severe nonfluent aphasia. Int. J. Rehabil. Res. 2012, 35, 78–81. [Google Scholar] [CrossRef] [PubMed]

| NMT Techniques | Description |
|---|---|
| Developmental Speech and Language Training through Music (DSLM) | The use of musical materials and experiences to enhance speech and language development. Technique appropriate specially for children with autism and disabilities. |
| Melodic Intonation Therapy (MIT) | A three-level approach to improve fluent output of language for clients with severe Broca’s aphasia. |
| Musical Speech Stimulation (MUSTIM) | Utilization of musical materials (such as songs, rhymes and chants) to stimulate non propositional speech. |
| Oral Motor and Respiratory Exercises (OMREX) | Sound vocalization exercises and wind instrument playing to strength and coordination in making speech sounds. Technique appropriate for patients with apraxia, cerebral palsy, and respiratory problems. |
| Rhythmic Speech Cueing (RSC) | Utilization of metric/patterned rhythmic cues to control speech rate and to facilitate initiation of speech. Appropriate for clients with apraxia, dysarthria and fluency disorders. |
| Symbolic Communication Training through Music (SYCOM) | Use of structured experiences in instrumental or vocal improvisation to train communication behavior. Technique appropriate for patients who may not develop speech but could still master or re-gain language concepts. |
| Therapeutic Singing (TS) | Singing activities to practice speech articulation and improve respiratory function. This technique is appropriate for patients with apraxia, dysarthria and medical conditions. |
| Vocal Intonation Therapy (VIT) | Controlled singing and vocal exercises to improve inflection, pitch, breath control, vocal timbre and volume. Appropriate for patients with voice disorders, medical conditions and dysarthria. |
| T0 | T1 | |
|---|---|---|
| ADRS | 13 | 10 |
| SCNV | 19 | 27 |
| LCF | 5 | 6 |
| TOKEN TEST | 3 | 4 |
Disclaimer/Publisher’s Note: The statements, opinions and data contained in all publications are solely those of the individual author(s) and contributor(s) and not of MDPI and/or the editor(s). MDPI and/or the editor(s) disclaim responsibility for any injury to people or property resulting from any ideas, methods, instructions or products referred to in the content. |
© 2023 by the authors. Licensee MDPI, Basel, Switzerland. This article is an open access article distributed under the terms and conditions of the Creative Commons Attribution (CC BY) license (https://creativecommons.org/licenses/by/4.0/).
Share and Cite
Piccolo, A.; Corallo, F.; Cardile, D.; Torrisi, M.; Smorto, C.; Cammaroto, S.; Lo Buono, V. Music Therapy in Global Aphasia: A Case Report. Medicines 2023, 10, 16. https://doi.org/10.3390/medicines10020016
Piccolo A, Corallo F, Cardile D, Torrisi M, Smorto C, Cammaroto S, Lo Buono V. Music Therapy in Global Aphasia: A Case Report. Medicines. 2023; 10(2):16. https://doi.org/10.3390/medicines10020016
Chicago/Turabian StylePiccolo, Adriana, Francesco Corallo, Davide Cardile, Michele Torrisi, Chiara Smorto, Simona Cammaroto, and Viviana Lo Buono. 2023. "Music Therapy in Global Aphasia: A Case Report" Medicines 10, no. 2: 16. https://doi.org/10.3390/medicines10020016
APA StylePiccolo, A., Corallo, F., Cardile, D., Torrisi, M., Smorto, C., Cammaroto, S., & Lo Buono, V. (2023). Music Therapy in Global Aphasia: A Case Report. Medicines, 10(2), 16. https://doi.org/10.3390/medicines10020016

