Effects of Sub-Lethal Doses of Selenium Nanoparticles on the Health Status of Rats
Abstract
1. Introduction
2. Materials and Methods
2.1. Chemicals
2.2. Selenium Nanoparticles (SeNPs)
2.3. Animals
2.4. Atomic Absorption Spectrometry (AAS)
2.5. Analysis of GPx, SOD, Glucose TOX and Activity of Liver Enzymes from Blood Samples
2.6. Histopathology Analysis
2.7. Data Analysis and Statistics
3. Results
3.1. Dietary SeNP Effect on Growth Performance and Weight of Dissected Tissues
3.2. Selenium Content in Blood and Liver Tissue
3.3. Biochemical Profile of Liver
3.4. Antioxidant Status of Rat´s Organism
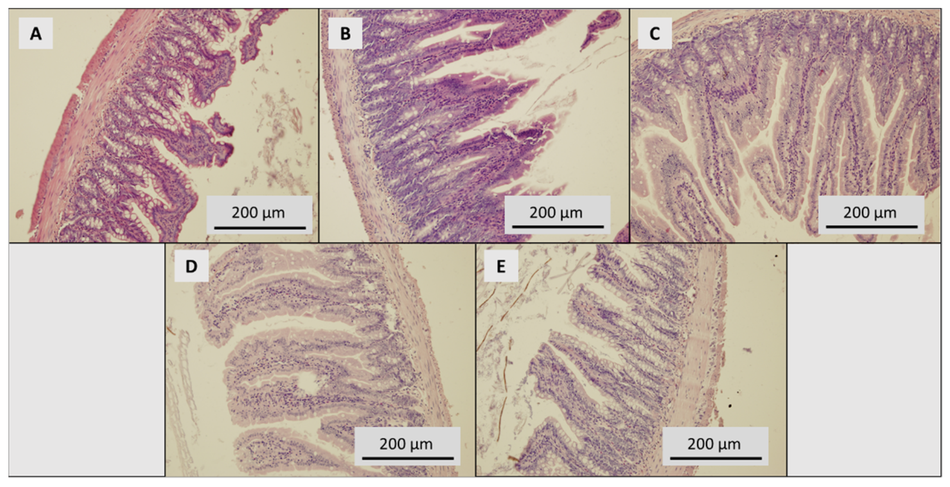
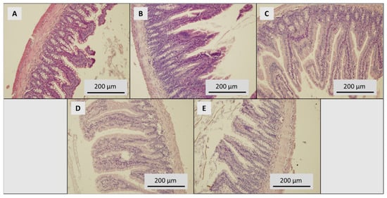
3.5. Histological Examination of the Liver and Duodenum
4. Discussion
5. Conclusions
Author Contributions
Funding
Institutional Review Board Statement
Informed Consent Statement
Data Availability Statement
Conflicts of Interest
References
- Bodnar, M.; Konieczka, P.; Namiesnik, J. The Properties, Functions, and Use of Selenium Compounds in Living Organisms. J. Environ. Sci. Health Part C Environ. Carcinogen. Ecotoxicol. Rev. 2012, 30, 225–252. [Google Scholar] [CrossRef] [PubMed]
- Avery, J.C.; Hoffmann, P.R. Selenium, Selenoproteins, and Immunity. Nutrients 2018, 10, 1203. [Google Scholar] [CrossRef] [PubMed]
- Whanger, P.; Vendeland, S.; Park, Y.C.; Xia, Y.M. Metabolism of subtoxic levels of selenium in animals and humans. Ann. Clin. Lab. Sci. 1996, 26, 99–113. [Google Scholar] [PubMed]
- Seko, Y.; Imura, N. Active oxygen generation as a possible mechanism of selenium toxicity. Biomed. Environ. Sci. 1997, 10, 333–339. [Google Scholar] [PubMed]
- Bhattacharjee, A.; Basu, A.; Bhattacharya, S. Selenium nanoparticles are less toxic than inorganic and organic selenium to mice in vivo. Nucl. Ind. 2019, 62, 259–268. [Google Scholar] [CrossRef]
- Chaudhary, S.; Umar, A.; Mehta, S.K. Selenium nanomaterials: An overview of recent developments in synthesis, properties and potential applications. Prog. Mater. Sci. 2016, 83, 270–329. [Google Scholar] [CrossRef]
- Khurana, A.; Tekula, S.; Saifi, M.A.; Venkatesh, P.; Godugu, C. Therapeutic applications of selenium nanoparticles. Biomed. Pharm. 2019, 111, 802–812. [Google Scholar] [CrossRef]
- Skalickova, S.; Milosavljevic, V.; Cihalova, K.; Horky, P.; Richtera, L.; Adam, V. Selenium nanoparticles as a nutritional supplement. Nutrition 2017, 33, 83–90. [Google Scholar] [CrossRef]
- Wadhwani, S.A.; Shedbalkar, U.U.; Singh, R.; Chopade, B.A. Biogenic selenium nanoparticles: Current status and future prospects. Appl. Microbiol. Biotechnol. 2016, 100, 2555–2566. [Google Scholar] [CrossRef]
- Indumathy, M.; Raj, S.S.; Arumugham, I.M.; Kumar, R.P. Assessment of Toxicity of Selenium Nanoparticle Varnish Using HepG2 Cell Lines: In vitro Study. J. Pharm. Res. Int. 2020, 32, 33–39. [Google Scholar] [CrossRef]
- Qamar, N.; John, P.; Hatti, A.B. Toxicological and Anti-Rheumatic Potential of Trachyspermum ammi Derived Biogenic Selenium Nanoparticles in Arthritic Balb/c Mice. Int. J. Nanomed. 2020, 15, 3497–3509. [Google Scholar] [CrossRef] [PubMed]
- Hadrup, N.; Loeschner, K.; Mandrup, K.; Ravn-Haren, G.; Frandsen, H.L.; Larsen, E.H.; Lam, H.R.; Mortensen, A. Subacute oral toxicity investigation of selenium nanoparticles and selenite in rats. Drug Chem. Toxicol. 2019, 42, 76–83. [Google Scholar] [CrossRef] [PubMed]
- Kumar, N.; Krishnani, K.K.; Singh, N.P. Comparative study of selenium and selenium nanoparticles with reference to acute toxicity, biochemical attributes, and histopathological response in fish. Environ. Sci. Pollut. Res. 2018, 25, 8914–8927. [Google Scholar] [CrossRef]
- Gangadoo, S.; Dinev, I.; Willson, N.L.; Moore, R.J.; Chapman, J.; Stanley, D. Nanoparticles of selenium as high bioavailable and non-toxic supplement alternatives for broiler chickens. Environ. Sci. Pollut. Res. 2020, 27, 16159–16166. [Google Scholar] [CrossRef] [PubMed]
- Caracciolo, G.; Farokhzad, O.C.; Mahmoudi, M. Biological Identity of Nanoparticles In Vivo: Clinical Implications of the Protein Corona. Trends Biotechnol. 2017, 35, 257–264. [Google Scholar] [CrossRef] [PubMed]
- Urbankova, L.; Pribilova, M.; Horky, P. The Influence of Different Forms of Selenium on Vitality of Laboratory Rats. In Proceedings of the 26th International PhD Students Conference for Undergraduate and Postgraduate (MendelNet), Brno, Czech Republic, 6–7 November 2019; pp. 206–210. [Google Scholar]
- Urbankova, L.; Horky, P.; Skladanka, J.; Pribilova, M.; Smolikova, V.; Nevrkla, P.; Cernei, N.; Lackova, Z.; Hedbavny, J.; Ridoskova, A.; et al. Antioxidant status of rats’ blood and liver affected by sodium selenite and selenium nanoparticles. PeerJ 2018, 6. [Google Scholar] [CrossRef] [PubMed]
- Horky, P.; Ruttkay-Nedecky, B.; Nejdl, L.; Richtera, L.; Cernei, N.; Pohanka, M.; Kopel, P.; Skladanka, J.; Hloucalova, P.; Slama, P.; et al. Electrochemical Methods for Study of Influence of Selenium Nanoparticles on Antioxidant Status of Rats. Int. J. Electr. Sci. 2016, 11, 2799–2824. [Google Scholar] [CrossRef]
- Horky, P.; Jancikova, P.; Sochor, J.; Hynek, D.; Chavis, G.J.; Ruttkay-Nedecky, B.; Cernei, N.; Zitka, O.; Zeman, L.; Adam, V.; et al. Effect of Organic and Inorganic Form of Selenium on Antioxidant Status of Breeding Boars Ejaculate Revealed by Electrochemistry. Int. J. Electrochem. Sci. 2012, 7, 9643–9657. [Google Scholar]
- Horky, P.; Skladanka, J.; Nevrkla, P.; Slama, P. Effect of diet supplemented with antioxidants (selenium, copper, vitamins e and c) on antioxidant status and ejaculate quality of breeding boars. Ann. Anim. Sci. 2016, 16, 521–532. [Google Scholar] [CrossRef]
- Horky, P.; Sochor, J.; Skladanka, J.; Klusonova, I.; Nevrkla, P. Effect of selenium, vitamins E and C on antioxidant potential and quality of boar ejaculate. J. Anim. Feed Sci. 2016, 25, 29–36. [Google Scholar] [CrossRef]
- Pardechi, A.; Tabeidian, S.A.; Habibian, M. Comparative assessment of sodium selenite, selenised yeast and nanosized elemental selenium on performance response, immunity and antioxidative function of broiler chickens. It. J. Anim. Sci. 2020, 19, 1109–1122. [Google Scholar] [CrossRef]
- Shen, X.Y.; Huo, B.; Gan, S.Q. Effects of Nano-Selenium on Antioxidant Capacity in Se-Deprived Tibetan Gazelle (Procapra picticaudata) in the Qinghai-Tibet Plateau. Biol. Trace Element Res. 2020, 199, 981–988. [Google Scholar] [CrossRef]
- Lee, J.; Hosseindoust, A.; Kim, M.; Kim, K.; Choi, Y.; Lee, S.; Cho, H.; Chae, B. Supplemental hot melt extruded nano-selenium increases expression profiles of antioxidant enzymes in the livers and spleens of weanling pigs. Anim. Feed Sci. Technol. 2020, 262. [Google Scholar] [CrossRef]
- Zheng, Y.L.; Dai, W.Z.; Hu, X.L.; Hong, Z.P. Effects of dietary glycine selenium nanoparticles on loin quality, tissue selenium retention, and serum antioxidation in finishing pigs. Anim. Feed Sci. Technol. 2020, 260. [Google Scholar] [CrossRef]
- Reed, J.J.; Ward, M.A.; Vonnahme, K.A.; Neville, T.L.; Julius, S.L.; Borowicz, P.P.; Taylor, J.B.; Redmer, D.A.; Grazul-Bilska, A.T.; Reynolds, L.P.; et al. Effects of selenium supply and dietary restriction on maternal and fetal body weight, visceral organ mass and cellularity estimates, and jejunal vascularity in pregnant ewe lambs. J. Anim. Sci. 2007, 85, 2721–2733. [Google Scholar] [CrossRef]
- Strubelt, O.; Kremer, J.; Tilse, A.; Keogh, J.; Pentz, R.; Younes, M. Comparative studies on the toxicity of mercury, cadmium, and copper toward the isolated perfused rat liver. J. Toxicol. Environ. Health 1996, 47, 267–283. [Google Scholar] [CrossRef]
- Hall, J.A.; Bobe, G.; Nixon, B.K.; Vorachek, W.R.; Hugejiletu; Nichols, T.; Mosher, W.D.; Pirelli, G.J. Effect of transport on blood selenium and glutathione status in feeder lambs. J. Anim. Sci. 2014, 92, 4115–4122. [Google Scholar] [CrossRef]
- Zheng, S.F.; Xing, H.J.; Zhang, Q.J.; Xue, H.; Zhu, F.T.; Xu, S.W. Pharmacokinetics of Sodium Selenite Administered Orally in Blood and Tissues of Selenium-Deficient Ducklings. Biol. Trace Element Res. 2019, 190, 509–516. [Google Scholar] [CrossRef]
- Shang, N.N.; Wang, X.F.; Shu, Q.M.; Wang, H.; Zhao, L.N. The Functions of Selenium and Selenoproteins Relating to the Liver Diseases. J. Nanosci. Nanotechnol. 2019, 19, 1875–1888. [Google Scholar] [CrossRef]
- Ozardali, I.; Bitiren, M.; Karakilcik, A.Z.; Zerin, M.; Aksoy, N.; Musa, D. Effects of selenium on histopathological and enzymatic changes in experimental liver injury of rats. Exp. Toxicol. Pathol. 2004, 56, 59–64. [Google Scholar] [CrossRef]
- Zwolak, I.; Zaporowska, H. Selenium interactions and toxicity: A review Selenium interactions and toxicity. Cell Biol. Toxicol. 2012, 28, 31–46. [Google Scholar] [CrossRef]
- Nardo, B.; Puviani, L.; Caraceni, P.; Pacile, V.; Bertelli, R.; Beltempo, P.; Cavallari, G.; Chieco, P.; Pariali, M.; Pertosa, A.M.; et al. Portal vein arterialization for the treatment of post resection acute liver failure in the rat. Transpl. Proc. 2006, 38, 1185–1186. [Google Scholar] [CrossRef]
- Schemitt, E.G.; Hartmann, R.M.; Colares, J.R.; Licks, F.; Salvi, J.O.; Marroni, C.A.; Marroni, N.P. Protective action of glutamine in rats with severe acute liver failure. World J. Hepatol. 2019, 11, 273–286. [Google Scholar] [CrossRef]
- Li, B.Z.; Li, D.; Jing, W.X.; Fan, J.H.; Dahms, H.U.; Lee, S.C.; Wang, L. Biogenic selenium and its hepatoprotective activity. Sci. Rep. 2017, 7. [Google Scholar] [CrossRef]
- Wang, X.L.; Yang, T.B.; Wei, J.; Lei, G.H.; Zeng, C. Association between serum selenium level and type 2 diabetes mellitus: A non-linear dose-response meta-analysis of observational studies. Nutr. J. 2016, 15. [Google Scholar] [CrossRef]
- Zeng, M.S.; Li, X.; Liu, Y.; Zhao, H.; Zhou, J.C.; Li, K.; Huang, J.Q.; Sun, L.H.; Tang, J.Y.; Xia, X.J.; et al. A high-selenium diet induces insulin resistance in gestating rats and their offspring. Free Rad. Biol. Med. 2012, 52, 1335–1342. [Google Scholar] [CrossRef]
- Kiersztan, A.; Lukasinska, I.; Baranska, A.; Lebiedzinska, M.; Nagalski, A.; Derlacz, R.A.; Bryla, J. Differential effects of selenium compounds on glucose synthesis in rabbit kidney-cortex tubules and hepatocytes. In vitro and in vivo studies. J. Inorganic Biochem. 2007, 101, 493–505. [Google Scholar] [CrossRef]
- Ebokaiwe, A.P.; Okori, S.; Nwankwo, J.O.; Ejike, C.; Osawe, S.O. Selenium nanoparticles and metformin ameliorate streptozotocin-instigated brain oxidative-inflammatory stress and neurobehavioral alterations in rats. Naunyn Schmiedebergs Arch. Pharmacol. 2020, 1–12. [Google Scholar] [CrossRef]
- Deng, W.J.; Wang, H.; Wu, B.J.; Zhang, X.W. Selenium-layered nanoparticles serving for oral delivery of phytomedicines with hypoglycemic activity to synergistically potentiate the antidiabetic effect. Acta Pharm. Sinica B 2019, 9, 74–86. [Google Scholar] [CrossRef]
- Liu, Y.T.; Zeng, S.G.; Liu, Y.X.; Wu, W.J.; Shen, Y.B.; Zhang, L.; Li, C.; Chen, H.; Liu, A.P.; Shen, L.; et al. Synthesis and antidiabetic activity of selenium nanoparticles in the presence of polysaccharides from Catathelasma ventricosum. Int. J. Biol. Macromol. 2018, 114, 632–639. [Google Scholar] [CrossRef]
- Al-Quraishy, S.; Dkhil, M.A.; Moneim, A.E.A. Anti-hyperglycemic activity of selenium nanoparticles in streptozotocin-induced diabetic rats. Int. J. Nanomed. 2015, 10, 6741–6756. [Google Scholar] [CrossRef]
- Eid, S.Y.; El-Zaher, H.M.; Emara, S.S.; Farid, O.A.; Michael, M.I. Nano selenium treatment effects on thyroid hormones, immunity and antioxidant status in rabbits. World Rabbit Sci. 2019, 27, 93–100. [Google Scholar] [CrossRef]
- Wang, Z.N.; Li, H.; Tang, H.; Zhang, S.J.; Pauline, M.; Bi, C.L. Short Communication: Effects of Dietary Selenium Supplementation on Selenium Deposition and Antioxidant Status in Postpartum Mice. Biol. Trace Element Res. 2020, 1–5. [Google Scholar] [CrossRef] [PubMed]
- Zidkova, J.; Melcova, M.; Mlejnek, P.; Zidek, V.; Szakova, J.; Koplik, R.; Mestek, O. The effect of dietary selenium on antioxidative status in rats. Ann. Nutr. Metab. 2015, 67, 207. [Google Scholar]
- Nasirpour, M.; Sadeghi, A.A.; Chamani, M. Effects of nano-selenium on the liver antioxidant enzyme activity and immunoglobolins in male rats exposed to oxidative stress. J. Livestock Sci. 2017, 8, 81–87. [Google Scholar]
- Culotta, V.C. Superoxide dismutase, oxidative stress, and cell metabolism. In Current Topics in Cellular Regulation; Selsevier Academic Press Inc.: San Diego, CA, USA, 2000; Volume 36, pp. 117–132. [Google Scholar]
- Lucca, G.; Comim, C.M.; Valvassori, S.S.; Reus, G.Z.; Vuolo, F.; Petronilho, F.; Dal-Pizzol, F.; Gavioli, E.C.; Quevedo, J. Effects of chronic mild stress on the oxidative parameters in the rat brain. Neurochem. Int. 2009, 54, 358–362. [Google Scholar] [CrossRef]
- Guo, L.L.; Xiao, J.Y.; Liu, H.J.; Liu, H.M. Selenium nanoparticles alleviate hyperlipidemia and vascular injury in ApoE-deficient mice by regulating cholesterol metabolism and reducing oxidative stress. Metallomics 2020, 12, 204–217. [Google Scholar] [CrossRef]
- Hamza, R.Z.; Diab, A.E.-A.A. Testicular protective and antioxidant effects of selenium nanoparticles on Monosodium glutamate-induced testicular structure alterations in male mice. Toxicol. Rep. 2020, 7, 254–260. [Google Scholar] [CrossRef]
- He, Y.D.; Chen, S.Y.; Liu, Z.X.; Cheng, C.; Li, H.; Wang, M.Q. Toxicity of selenium nanoparticles in male Sprague-Dawley rats at supranutritional and nonlethal levels. Life Sci. 2014, 115, 44–51. [Google Scholar] [CrossRef]






| Day | 0 | 7 | 14 | 21 | 28 | Weight Gain |
|---|---|---|---|---|---|---|
| Control group | 155 ± 7 | 174 ± 11 | 195 ± 7 | 196 ± 8 | 197 ± 11 | 41 ± 9 |
| SeNPs 0.5 mg/kg | 151 ± 4 | 183 ± 4 | 191 ± 4 | 190 ± 4 | 198 ± 5 | 47 ± 4 |
| SeNPs 1.5 mg/kg | 149 ± 10 | 166 ± 10 | 176 ± 7 | 181 ± 8 | 183 ± 8 | 34 ± 9 |
| SeNPs 3.0 mg/kg | 160 ± 8 | 195 ± 7 | 200 ± 7 | 204 ± 7 | 204 ± 6 | 44 ± 7 |
| SeNPs 5.0 mg/kg | 154 ± 11 | 173 ± 11 | 179 ± 12 | 187 ± 11 | 188 ± 10 | 34 ± 11 |
| Sample | Liver | % of Live Weight | Duodenum | % of Live Weight |
|---|---|---|---|---|
| Control group | 6.9 ± 0.9 | 3.7 | 7.3 ± 0.4 | 3.9 |
| SeNPs 0.5 mg/kg | 7.5 ± 0.4 | 3.8 | 7.0 ± 0.3 | 3.5 |
| SeNPs 1.5 mg/kg | 7.4 ± 0.6 | 4.0 | 6.6 ± 0.2 | 3.6 |
| SeNPs 3.0 mg/kg | 6.9 ± 0.4 | 3.3 | 7.0 ± 0.3 | 3.4 |
| SeNPs 5.0 mg/kg | 6.1 ± 0.6 | 3.2 | 7.4 ± 0.4 | 3.9 |
Publisher’s Note: MDPI stays neutral with regard to jurisdictional claims in published maps and institutional affiliations. |
© 2021 by the authors. Licensee MDPI, Basel, Switzerland. This article is an open access article distributed under the terms and conditions of the Creative Commons Attribution (CC BY) license (http://creativecommons.org/licenses/by/4.0/).
Share and Cite
Urbankova, L.; Skalickova, S.; Pribilova, M.; Ridoskova, A.; Pelcova, P.; Skladanka, J.; Horky, P. Effects of Sub-Lethal Doses of Selenium Nanoparticles on the Health Status of Rats. Toxics 2021, 9, 28. https://doi.org/10.3390/toxics9020028
Urbankova L, Skalickova S, Pribilova M, Ridoskova A, Pelcova P, Skladanka J, Horky P. Effects of Sub-Lethal Doses of Selenium Nanoparticles on the Health Status of Rats. Toxics. 2021; 9(2):28. https://doi.org/10.3390/toxics9020028
Chicago/Turabian StyleUrbankova, Lenka, Sylvie Skalickova, Magdalena Pribilova, Andrea Ridoskova, Pavlina Pelcova, Jiri Skladanka, and Pavel Horky. 2021. "Effects of Sub-Lethal Doses of Selenium Nanoparticles on the Health Status of Rats" Toxics 9, no. 2: 28. https://doi.org/10.3390/toxics9020028
APA StyleUrbankova, L., Skalickova, S., Pribilova, M., Ridoskova, A., Pelcova, P., Skladanka, J., & Horky, P. (2021). Effects of Sub-Lethal Doses of Selenium Nanoparticles on the Health Status of Rats. Toxics, 9(2), 28. https://doi.org/10.3390/toxics9020028

