Differences in Toxicity Induced by Varying Degrees of Polymerization of Tristyrylphenol Ethoxylates in Male Mice
Abstract
1. Introduction
2. Materials and Methods
2.1. Materials
2.2. Animals
2.3. Acute Toxicity Study
2.4. Subacute Toxicity Study
2.5. Organ Index Assessment
2.6. Biochemistry Analysis
2.7. Histopathological Analysis
2.8. Statistical Analysis
3. Results and Discussion
3.1. Acute Toxicity Study of TSPEOs
3.2. Subacute Toxicity Study of TSPEOs
3.2.1. Effects of TSPEOs Exposure on Body Weight of Male Mice
3.2.2. Effects of TSPEOs Exposure on Organ Indexes of Male Mice
3.2.3. Effects of TSPEOs Exposure on Serum Biochemical Parameters in Male Mice
3.2.4. Effects of TSPEOs Exposure on Liver and Kidney Biochemical Parameters in Male Mice
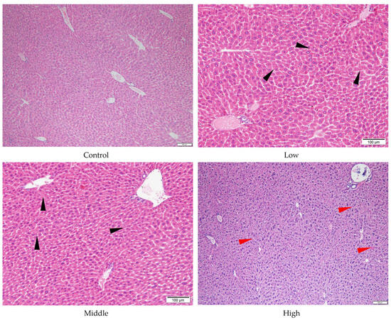
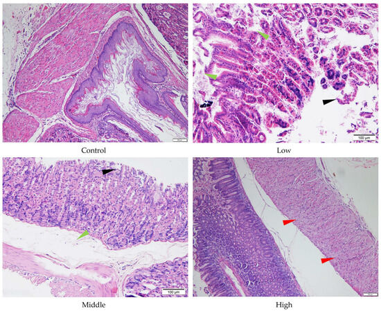
3.2.5. Effects of TSPEOs Exposure on Histopathological Analysis in Male Mice
3.3. Limitations of the Study
4. Conclusions
Supplementary Materials
Author Contributions
Funding
Institutional Review Board Statement
Informed Consent Statement
Data Availability Statement
Conflicts of Interest
References
- Soares, A.; Guieysse, B.; Jefferson, B.; Cartmell, E.; Lester, J.N. Nonylphenol in the environment: A critical review on occurrence, fate, toxicity and treatment in wastewaters. Environ. Int. 2008, 34, 1033–1049. [Google Scholar] [CrossRef] [PubMed]
- Ying, G.-G.; Williams, B.; Kookana, R. Environmental fate of alkylphenols and alkylphenol ethoxylates—A review. Environ. Int. 2002, 28, 215–226. [Google Scholar] [CrossRef]
- Eganhouse, R.P.; Pontolillo, J.; Gaines, R.B.; Frysinger, G.S.; Gabriel, F.L.; Kohler, H.-P.E.; Giger, W.; Barber, L.B. Isomer-Specific Determination of 4-Nonylphenols Using Comprehensive Two-Dimensional Gas Chromatography/Time-of-Flight Mass Spectrometry. Environ. Sci. Technol. 2009, 43, 9306–9313. [Google Scholar] [CrossRef] [PubMed]
- Jin, F.; Snyder, S.A. Recent advancements and future trends in analysis of nonylphenol ethoxylates and their degradation product nonylphenol in food and environment. TrAC Trends Anal. Chem. 2018, 107, 78–90. [Google Scholar] [CrossRef]
- Jobling, S.; Williams, R.; Johnson, A.; Taylor, A.; Gross-Sorokin, M.; Nolan, M.; Tyler, C.R.; Aerle, R.V.; Santos, E.; Brighty, G. Predicted Exposures to Steroid Estrogens in U.K. Rivers Correlate with Widespread Sexual Disruption in Wild Fish Populations. Environ. Health Perspect. 2006, 114 (Suppl. S1), 32–39. [Google Scholar] [CrossRef]
- Laws, S.C.; Carey, S.A.; Ferrell, J.M.; Bodman, G.J.; Cooper, R.L. Estrogenic activity of octylphenol, nonylphenol, bisphenol A and methoxychlor in rats. Toxicol. Sci. 2000, 54, 154–167. [Google Scholar] [CrossRef]
- European Commission. Directive 2008/105/EC of the European Parliament and of the Council of 16 December 2008 on environmental quality standards in the field of water policy, amending and subsequently repealing. Off. J. Eur. Union. L 2008, 348, 84–97. [Google Scholar]
- PARCOM recommendation. OSPAR Convention PARCOM Recommendation 92/8 on Nonylphenol-Ethoxylates; OSPAR Commission: London, UK, 1992. [Google Scholar]
- Zhou, J.; Li, C.; Jiang, Z.; Wang, L.; Su, H.; Li, H.; Deng, C.; Wang, Q.; Wang, J.; Jin, F.; et al. Occurrences of the Typical Agricultural Non-ionic Surfactants Tristyrylphenol Ethoxylates in Cherries (Cerasus pseudocerasus), Peaches (Amygdalus persica), and Kiwifruit (Actinidia chinensis) and the Implications of Human Exposure in China. J. Agric. Food Chem. 2019, 67, 2999–3005. [Google Scholar] [CrossRef]
- Zhou, J.; Yue, N.; Wang, Y.; Wang, J.; Jin, F. Dissipation and dietary risk assessment of tristyrylphenol ethoxylate homologues in cucumber after field application. Food Chem. 2021, 338, 127988. [Google Scholar] [CrossRef]
- Jiang, Z.; Cao, X.; Li, H.; Zhang, C.; El-Aty, A.M.A.; Jeong, J.H.; Shao, Y.; Shao, H.; Jin, M.; Jin, F.; et al. Rapid analysis of tristyrylphenol ethoxylates in cucumber-field system using supercritical fluid chromatography–tandem mass spectrometry. Food Chem. 2018, 266, 119–125. [Google Scholar] [CrossRef]
- Li, C.; Zhang, P.; He, Q.; Shao, H.; Zheng, L.; Wang, J.; Jin, F. Dissipation Profiles of Tristyrylphenol Ethoxylate Homologs in Lettuce under Greenhouse and Field Conditions. J. Agric. Food Chem. 2020, 68, 1507–1513. [Google Scholar] [CrossRef]
- Wang, H.; Li, M.; Li, S.; Chen, X.; Li, B.; Shao, H.; Jin, F. Dissipation and potential risk of tristyrylphenol ethoxylate homologs in peanuts by spraying and root irrigation: A comparative assessment. J. Hazard. Mater. 2024, 472, 134486. [Google Scholar] [CrossRef]
- Wang, Q.; Li, X.; Yue, N.; Jin, M.; Zheng, L.; Wang, J.; Jin, F. Different dissipation potential and dietary risk assessment of tristyrylphenol ethoxylates in cowpea ecosystem in China. Front. Nutr. 2022, 9, 1036025. [Google Scholar] [CrossRef]
- Zhang, Y.; Gao, J.; Li, C.; Zhou, J.; He, Q.; Wang, J.; Jin, F. Determination of tristyrylphenol ethoxylates in water by solid phase extraction-high performance liquid chromatography-tandem mass spectrometry. Environ. Chem. 2020, 39, 1941–1948. [Google Scholar] [CrossRef]
- United States Environmental Protection Agency. Tristyrylphenol Ethoxylates (CAS Reg. No. 70559-25-0) and (CAS Reg. No. 99734-09-5); Exemption from the Requirement of a Tolerance; US EPA: Washington, DC, USA, 2009.
- Liu, Y.; Hu, Y.; Jiang, L.; Pan, B.; Qin, H.; Lin, Y. The toxicity effects of six pesticide surfactants on embryo development of zebrafish. Asian J. Ecotoxicol. 2014, 9, 1091–1096. [Google Scholar] [CrossRef]
- Li, X.; Li, H.; Chen, C.; Li, J.; Liu, F. Acute toxicity of different type pesticide surfactants to Daphnia magna. Chin. J. Appl. Ecol. 2013, 24, 2319–2324. [Google Scholar] [CrossRef]
- Sun, L.; Zhang, Y.; Zhuang, Y. Antiphotoaging effect and purification of an antioxidant peptide from tilapia (Oreochromis niloticus) gelatin peptides. J. Funct. Foods 2013, 5, 154–162. [Google Scholar] [CrossRef]
- Li, Y.; Zhuang, Y.; Tian, W.; Sun, L. In vivo acute and subacute toxicities of phenolic extract from rambutan (Nephelium lappaceum) peels by oral administration. Food Chem. 2020, 320, 126618. [Google Scholar] [CrossRef] [PubMed]
- Yan, X.; Rong, R.; Zhu, S.; Guo, M.; Gao, S.; Wang, S.; Xu, X. Effects of ZnO Nanoparticles on Dimethoate-Induced Toxicity in Mice. J. Agric. Food Chem. 2015, 63, 8292–8298. [Google Scholar] [CrossRef]
- Wang, X.; Wang, D.; Zhou, Z.; Zhu, W. Subacute oral toxicity assessment of benalaxyl in mice based on metabolomics methods. Chemosphere 2018, 191, 373–380. [Google Scholar] [CrossRef]
- Xu, B.; Xu, Z.-F.; Deng, Y.; Yang, J.-H. Protective effects of Chlorpromazine and Verapamil against cadmium-induced kidney damage in vivo. Exp. Toxicol. Pathol. 2010, 62, 27–34. [Google Scholar] [CrossRef]
- GB 15193.3-2014; National Food Safety Standard-Acute Oral Toxicity Test. Health and Family Planning Commission of PRC: Beijing, China.
- OECD. Test No. 425: Acute Oral Toxicity: Up-and-Down Procedure, OECD Guidelines for the Testing of Chemicals; OECD Publishing: Paris, France, 2008; Section 4. [Google Scholar] [CrossRef]
- GB 15193.22-2014; National Food Safety Standard-28 day Oral Toxicity Test. Health and Family Planning Commission of PRC: Beijing, China.
- Aniagu, S.O.; Nwinyi, F.C.; Akumka, D.D.; Ajoku, G.A.; Dzarma, S.; Izebe, K.S.; Ditse, M.; Nwaneri, P.E.C.; Wambebe, C.; Gamaniel, K. Toxicity studies in rats fed nature cure bitters. Afr. J. Biotechnol. 2005, 4, 72–78. [Google Scholar] [CrossRef]
- Lee, J.-M.; Lee, M.-A.; Do, H.-N.; Song, Y.-I.; Lee, H.-Y.; Park, S.H.; Kang, J.S.; Kang, J.-K. Historical control data from 13-week repeated toxicity studies in Crj: CD (SD) rats. Lab. Anim. Res. 2012, 28, 115. [Google Scholar] [CrossRef]
- Lechuga, M.; Fernandez-Serrano, M.; Jurado, E.; Nunez-Olea, J.; Rios, F. Acute toxicity of anionic and non-ionic surfactants to aquatic organisms. Ecotoxicol. Env. Saf. 2016, 125, 1–8. [Google Scholar] [CrossRef] [PubMed]
- Martins, N.; Pereira, J.L.; Antunes, F.E.; Melro, E.; Duarte, C.M.G.; Dias, L.; Soares, A.M.V.M.; Lopes, I. Role of surfactant headgroups on the toxicity of SLEnS-LAS mixed micelles: A case study using microtox test. Sci. Total Environ. 2018, 643, 1366–1372. [Google Scholar] [CrossRef] [PubMed]
- Sellers, R.S.; Mortan, D.; Michael, B.; Roome, N.; Johnson, J.K.; Yano, B.L.; Perry, R.; Schafer, K. Society of Toxicologic Pathology position paper: Organ weight recommendations for toxicology studies. Toxicol. Pathol. 2007, 35, 751–755. [Google Scholar] [CrossRef]
- Gao, Y.; Li, C.; Wang, Y.; Liu, Y.; Li, G.; Fan, X.; Li, Y.; Tian, J.; Lee, A.W. Nonclinical safety of astilbin: A 4-week oral toxicity study in rats with genotoxicity, chromosomal aberration, and mammalian micronucleus tests. Food Chem. Toxicol. 2017, 107, 1–9. [Google Scholar] [CrossRef] [PubMed]
- Garcia, T.; Lafuente, D.; Blanco, J.; Sánchez, D.J.; Sirvent, J.J.; Domingo, J.L.; Gómez, M. Oral subchronic exposure to silver nanoparticles in rats. Food Chem. Toxicol. 2016, 92, 177–187. [Google Scholar] [CrossRef]
- Ozer, J.; Ratner, M.; Shaw, M.; Bailey, W.; Schomaker, S. The current state of serum biomarkers of hepatotoxicity. Toxicology 2008, 245, 194–205. [Google Scholar] [CrossRef]
- Rahman, M.F. Effects of Vepacide (Azadirachta indica) on aspartate and alanine aminotransferase profiles in a subchronic study with rats. Hum. Exp. Toxicol. 2001, 20, 243–249. [Google Scholar] [CrossRef]
- Deng, Y.-D.; Zhang, X.-D.; Yang, X.-S.; Huang, Z.-L.; Wei, X.; Yang, X.-F.; Liao, W.-Z. Subacute toxicity of mesoporous silica nanoparticles to the intestinal tract and the underlying mechanism. J. Hazard. Mater. 2021, 409, 124502. [Google Scholar] [CrossRef] [PubMed]
- Lennicke, C.; Cochemé, H.M. Redox metabolism: ROS as specific molecular regulators of cell signaling and function. Mol. Cell 2021, 81, 3691–3707. [Google Scholar] [CrossRef] [PubMed]
- Lu, S.C. Glutathione synthesis. Biochim. Et. Biophys. Acta (BBA)-Gen. Subj. 2013, 1830, 3143–3153. [Google Scholar] [CrossRef] [PubMed]
- Lubos, E.; Loscalzo, J.; Handy, D.E. Glutathione peroxidase-1 in health and disease: From molecular mechanisms to therapeutic opportunities. Antioxid. Redox Signal 2011, 15, 1957–1997. [Google Scholar] [CrossRef]
- Valko, M.; Leibfritz, D.; Moncol, J.; Cronin, M.T.D.; Mazur, M.; Telser, J. Free radicals and antioxidants in normal physiological functions and human disease. Int. J. Biochem. Cell Biol. 2007, 39, 44–84. [Google Scholar] [CrossRef]
- Kassotis, C.D.; LeFauve, M.K.; Chiang, Y.-T.T.; Knuth, M.M.; Schkoda, S.; Kullman, S.W. Nonylphenol Polyethoxylates Enhance Adipose Deposition in Developmentally Exposed Zebrafish. Toxics 2022, 10, 99. [Google Scholar] [CrossRef]
- Kassotis, C.D.; Kollitz, E.M.; Ferguson, P.L.; Stapleton, H.M. Nonionic Ethoxylated Surfactants Induce Adipogenesis in 3T3-L1 Cells. Toxicol. Sci. 2017, 162, 124–136. [Google Scholar] [CrossRef]






| Organ | Parameters | Control | Low | Middle | High |
|---|---|---|---|---|---|
| Lung | Weight (g) | 0.280 ± 0.074 | 0.239 ± 0.036 * | 0.231 ± 0.028 * | 0.218 ± 0.024 ** |
| Index (%) | 0.797 ± 0.176 | 0.717 ± 0.136 | 0.673 ± 0.083 * | 0.663 ± 0.058 * | |
| Liver | Weight (g) | 1.608 ± 0.205 | 1.525 ± 0.304 | 1.589 ± 0.282 | 1.441 ± 0.276 |
| Index (%) | 4.605 ± 0.463 | 4.501 ± 0.539 | 4.612 ± 0.606 | 4.360 ± 0.624 | |
| Testis | Weight (g) | 0.232 ± 0.033 | 0.276 ± 0.029 ** | 0.248 ± 0.037 | 0.229 ± 0.032 |
| Index (%) | 0.666 ± 0.106 | 0.828 ± 0.116 ** | 0.722 ± 0.092 | 0.697 ± 0.090 | |
| Brain | Weight (g) | 0.473 ± 0.057 | 0.457 ± 0.060 | 0.477 ± 0.040 | 0.446 ± 0.063 |
| Index (%) | 1.355 ± 0.139 | 1.368 ± 0.222 | 1.397 ± 0.165 | 1.361 ± 0.212 | |
| Spleen | Weight (g) | 0.108 ± 0.071 | 0.090 ± 0.015 | 0.104 ± 0.028 | 0.103 ± 0.030 |
| Index (%) | 0.318 ± 0.242 | 0.268 ± 0.036 | 0.302 ± 0.088 | 0.314 ± 0.093 | |
| Kidney | Weight (g) | 0.568 ± 0.090 | 0.538 ± 0.084 | 0.572 ± 0.104 | 0.501 ± 0.063 * |
| Index (%) | 1.626 ± 0.221 | 1.598 ± 0.195 | 1.666 ± 0.287 | 1.524 ± 0.168 | |
| Stomach | Weight (g) | 0.257 ± 0.032 | 0.239 ± 0.046 | 0.248 ± 0.036 | 0.260 ± 0.041 |
| Index (%) | 0.737 ± 0.069 | 0.711 ± 0.126 | 0.723 ± 0.091 | 0.789 ± 0.094 | |
| Heart | Weight (g) | 0.179 ± 0.029 | 0.172 ± 0.027 | 0.184 ± 0.029 | 0.165 ± 0.015 |
| Index (%) | 0.514 ± 0.084 | 0.511 ± 0.074 | 0.540 ± 0.107 | 0.503 ± 0.037 |
| Organ | Parameters | Control | Low | Middle | High |
|---|---|---|---|---|---|
| Lung | Weight (g) | 0.280 ± 0.074 | 0.237 ± 0.028 * | 0.257 ± 0.029 | 0.238 ± 0.036 * |
| Index (%) | 0.797 ± 0.176 | 0.713 ± 0.072 | 0.824 ± 0.094 | 0.758 ± 0.142 | |
| Liver | Weight (g) | 1.608 ± 0.205 | 1.580 ± 0.283 | 1.511 ± 0.337 | 1.671 ± 0.351 * |
| Index (%) | 4.605 ± 0.463 | 4.739 ± 0.717 | 4.780 ± 0.645 | 5.244 ± 0.670 * | |
| Testis | Weight (g) | 0.232 ± 0.033 | 0.241 ± 0.052 | 0.235 ± 0.037 | 0.225 ± 0.038 |
| Index (%) | 0.666 ± 0.106 | 0.725 ± 0.149 | 0.753 ± 0.112 | 0.712 ± 0.109 | |
| Brain | Weight (g) | 0.473 ± 0.057 | 0.449 ± 0.030 | 0.460 ± 0.036 | 0.463 ± 0.049 |
| Index (%) | 1.355 ± 0.139 | 1.354 ± 0.120 | 1.477 ± 0.132 | 1.483 ± 0.243 | |
| Spleen | Weight (g) | 0.108 ± 0.071 | 0.097 ± 0.030 | 0.099 ± 0.028 | 0.089 ± 0.024 |
| Index (%) | 0.318 ± 0.242 | 0.291 ± 0.077 | 0.314 ± 0.078 | 0.279 ± 0.062 | |
| Kidney | Weight (g) | 0.568 ± 0.090 | 0.512 ± 0.067 | 0.488 ± 0.060 ** | 0.505 ± 0.053 * |
| Index (%) | 1.626 ± 0.221 | 1.536 ± 0.154 | 1.558 ± 0.147 | 1.606 ± 0.195 | |
| Stomach | Weight (g) | 0.257 ± 0.0320 | 0.250 ± 0.034 | 0.252 ± 0.049 | 0.265 ± 0.045 |
| Index (%) | 0.737 ± 0.069 | 0.754 ± 0.096 | 0.804 ± 0.121 | 0.840 ± 0.123 * | |
| Heart | Weight (g) | 0.179 ± 0.029 | 0.163 ± 0.022 | 0.173 ± 0.040 | 0.171 ± 0.042 |
| Index (%) | 0.514 ± 0.084 | 0.490 ± 0.055 | 0.554 ± 0.125 | 0.540 ± 0.122 |
| Parameters | Control | AE #602 | AE #604 | ||||
|---|---|---|---|---|---|---|---|
| Low | Middle | High | Low | Middle | High | ||
| TP (g/L) | 45.0 ± 2.3 | 42.9 ± 4.1 | 44.5 ± 3.5 | 44.4 ± 1.5 | 40.7 ± 2.2 | 42.6 ± 2.1 | 47.1 ± 5.1 |
| ALB (g/L) | 26.4 ± 2.8 | 25.7 ± 3.1 | 27.2 ± 2.0 | 28.8 ± 1.1 | 24.7 ± 2.8 | 28.2 ± 0.81 | 29.6 ± 3.6 |
| ALP (U/L) | 60.9 ± 16 | 53.9 ± 4.4 | 57.1 ± 12.0 | 52.4 ± 7.8 | 57.1 ± 16 | 64.5 ± 15 | 69.0 ± 19.0 |
| ALT (U/L) | 6.41 ± 1.7 | 9.62 ± 4.0 | 8.27 ± 3.5 | 9.33 ± 1.2 | 9.9 ± 3.4 | 9.12 ± 3.9 | 9.07 ± 2.9 |
| AST (U/L) | 8.39 ± 2.2 | 9.49 ± 2.5 | 9.65 ± 3.9 | 6.93 ± 1.6 | 10.8 ± 5.1 | 10.5 ± 3.5 | 11.6 ± 2.9 |
| T-BIL (μmol/L) | 3.62 ± 1.0 | 4.24 ± 1.6 | 4.13 ± 1.3 | 4.88 ± 2.1 | 4.24 ± 1.1 | 4.22 ± 0.7 | 4.1 ± 2.9 |
| Cr (μmol/L) | 21.5 ± 13.0 | 24.7 ± 7.5 | 23.7 ± 12.0 | 26.7 ± 11.0 | 19.5 ± 3.5 | 21.1 ± 9.9 | 31.1 ± 8.3 |
| BUN (mmol/L) | 2.23 ± 0.28 | 2.66 ± 0.28 | 2.35 ± 0.94 | 2.18 ± 0.4 | 2.59 ± 0.61 | 2.15 ± 0.38 | 2.72 ± 0.36 |
| T3 (ng/mL) | 29.1 ± 5.7 | 34.8 ± 6.5 | 34.6 ± 9.0 | 35.4 ± 3.6 | 35.9 ± 5.4 | 33.3 ± 3.9 | 33.7 ± 6.3 |
| T4 (ng/mL) | 117 ± 20.0 | 127 ± 21 | 134 ± 15.0 | 135 ± 8.5 | 127 ± 31 | 125 ± 12.0 | 139 ± 19.0 |
| TSH (ng/mL) | 22.8 ± 2.0 | 21.7 ± 1.5 | 21.9 ± 2.1 | 22.6 ± 2.8 | 21.8 ± 3.9 | 21.7 ± 2.1 | 20.2 ± 1.6 |
| T (ng/mL) | 3.15 ± 0.5 | 2.96 ± 0.34 | 2.87 ± 0.5 | 3.16 ± 0.54 | 2.96 ± 0.7 | 2.95 ± 0.11 | 2.58 ± 0.21 |
Disclaimer/Publisher’s Note: The statements, opinions and data contained in all publications are solely those of the individual author(s) and contributor(s) and not of MDPI and/or the editor(s). MDPI and/or the editor(s) disclaim responsibility for any injury to people or property resulting from any ideas, methods, instructions or products referred to in the content. |
© 2025 by the authors. Licensee MDPI, Basel, Switzerland. This article is an open access article distributed under the terms and conditions of the Creative Commons Attribution (CC BY) license (https://creativecommons.org/licenses/by/4.0/).
Share and Cite
Li, C.; Jin, F.; Wang, F.; Fan, B. Differences in Toxicity Induced by Varying Degrees of Polymerization of Tristyrylphenol Ethoxylates in Male Mice. Toxics 2025, 13, 827. https://doi.org/10.3390/toxics13100827
Li C, Jin F, Wang F, Fan B. Differences in Toxicity Induced by Varying Degrees of Polymerization of Tristyrylphenol Ethoxylates in Male Mice. Toxics. 2025; 13(10):827. https://doi.org/10.3390/toxics13100827
Chicago/Turabian StyleLi, Chunmei, Fen Jin, Fengzhong Wang, and Bei Fan. 2025. "Differences in Toxicity Induced by Varying Degrees of Polymerization of Tristyrylphenol Ethoxylates in Male Mice" Toxics 13, no. 10: 827. https://doi.org/10.3390/toxics13100827
APA StyleLi, C., Jin, F., Wang, F., & Fan, B. (2025). Differences in Toxicity Induced by Varying Degrees of Polymerization of Tristyrylphenol Ethoxylates in Male Mice. Toxics, 13(10), 827. https://doi.org/10.3390/toxics13100827

