Paraquat Poisoning: Insights from Autopsy, Histology, and Liquid Chromatography with Tandem Mass Spectrometry in Multidisciplinary Forensic Toxicology Practice
Abstract
1. Introduction
2. Materials and Methods
2.1. Ethical Approval
2.2. Case Reports and Autopsies
| Paraquat Concentration (µg/mL) | Number of Cases | Method of Detection | Reference | |||
|---|---|---|---|---|---|---|
| Blood | Urine | Gastric Content | Other Samples | |||
| 0.5–372.0 | N/A | N/A | N/A | 7 | LC-MS/MS | Present study |
| 0.3–2.2 (Heart) 1.0–1.6 (Peripheral) | 0.1–5.3 | 0.6–1.7 | 0.2–6.1 (Bile) 0.2 (Vitreous humor) | 4 | HPLC-MS/MS | [27] |
| 150.0 (Heart) 80.0 (Peripheral) | 910.0 | N/A | 320.0 (Bile) 60.0 (Vitreous humor) | 1 | HPLC-MS/MS | [28] |
| 291.5 * (2.9–1108.8) | N/A | 6028.3 * (3.0–21,617.2) | 200.0 (Vitreous humor) | 16 | LC-MS/MS | [23] |
| 3.3 * (0.1–9.5) | 3.0 * (0.1–13.5) | N/A | 4.1 * (0.5–11.9) (mg/g of lung) | 5 | GC-ion trap MS | [19] |
| 68.7 * (1.5–335.9) | N/A | N/A | N/A | 7 | HPLC (Liquid-Liquid-Extraction) | [32] |
| 5.1 | 6.0 | 17.2 | 80.6 (mg/kg of kidney) | 1 | HPLC-DAD | [33] |
| 30.1–636.6 | N/A | N/A | N/A | 24 | Spectrophotometry | [34] |
| 2.0 | 5.1 | N/A | 52.1 (µg/g of kidney) | 1 | HPLC | [25] |
| 7.9 * (0.2–25.0) | 192.0 | N/A | 41.5 * (0.3–146.0) (µg/g of liver) | 5 | HPLC ion-pair extraction | [35] |
| 7.2 * (1.1–13.3) | N/A | N/A | N/A | 3 | Spectrophotometry | [36] |
2.3. Toxicological Evaluation
2.3.1. Reagents
2.3.2. Preparation of Standards and Quality Control (QC) Samples
2.3.3. Forensic Sample Preparation
2.3.4. Method Validation
Linearity and Lower Limit of Quantification (LLOQ)
Accuracy and Precision
2.3.5. Procedure of Analysis and LC-MS/MS Instrumentation
3. Results
3.1. Demographic Characteristics, Autoptic, and Macroscopic Findings
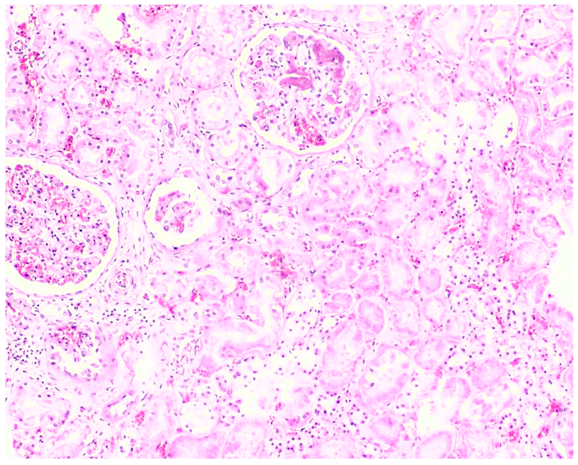
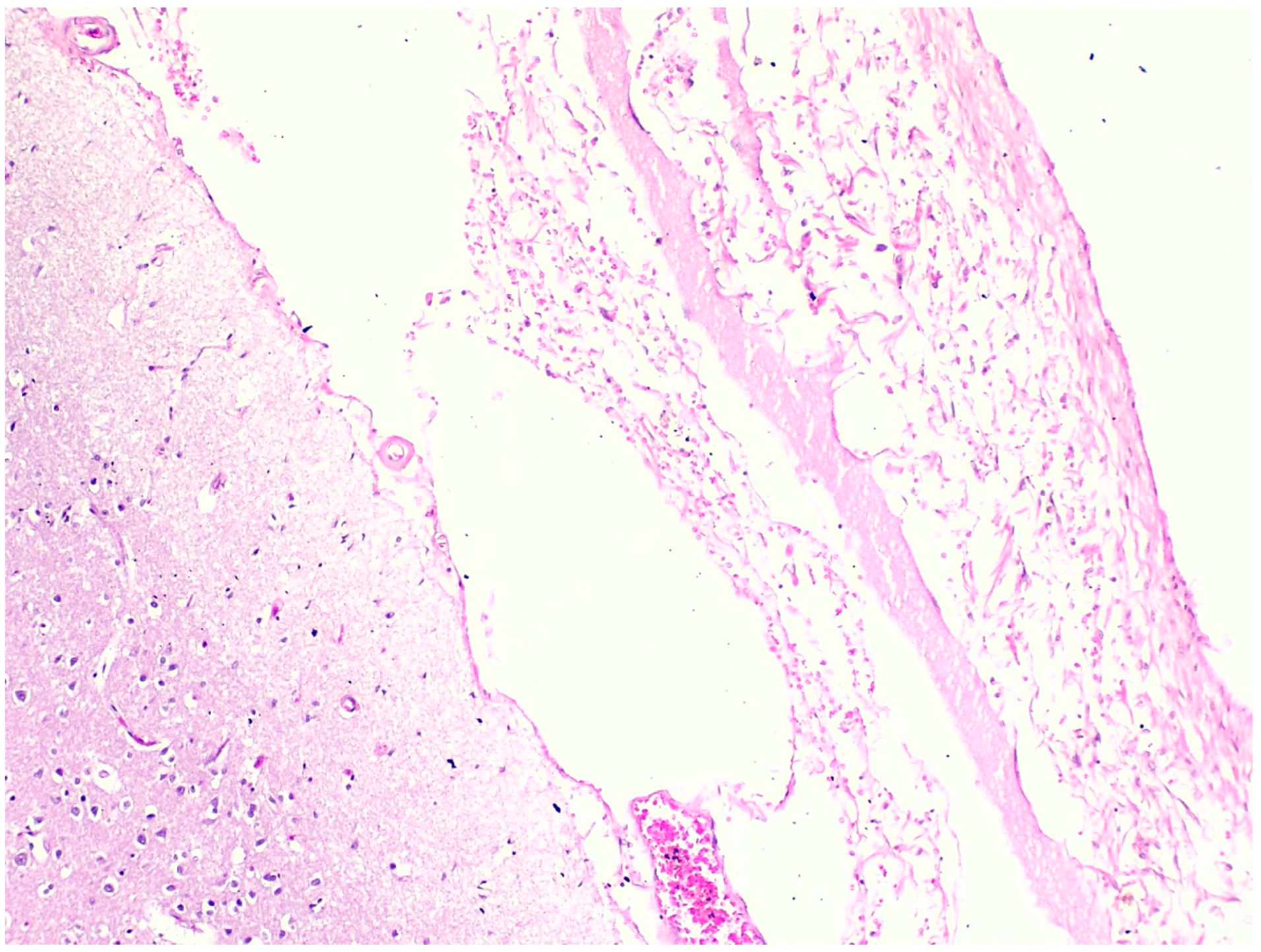
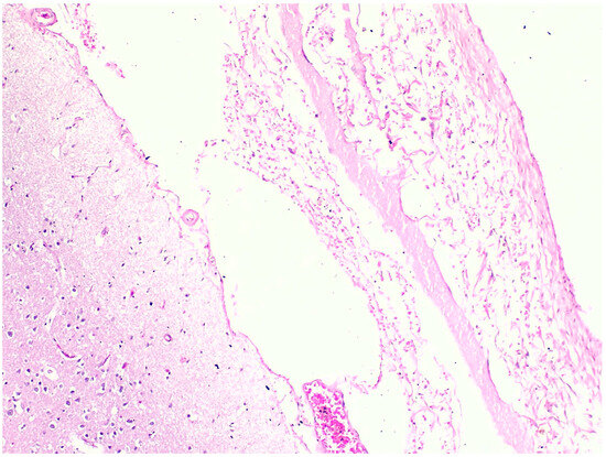
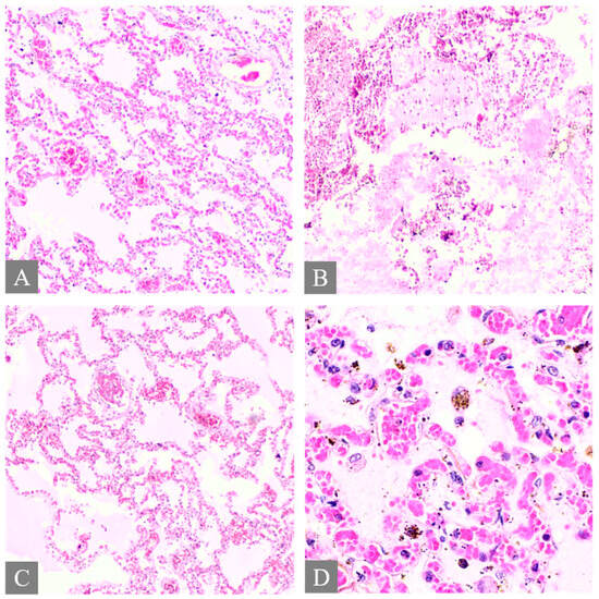
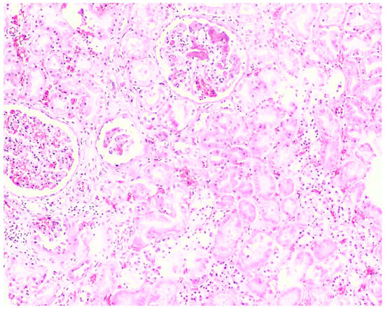
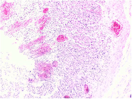
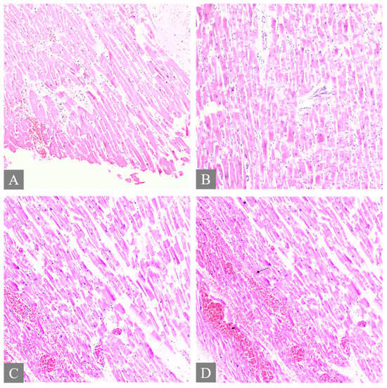
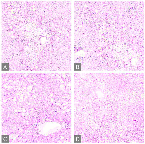
3.2. Microscopic Histopathological Findings
3.3. PQ Quantification
3.3.1. Selectivity and Specificity
3.3.2. Linearity of Calibration and LLOQ
3.3.3. Accuracy and Precision
3.4. Application
4. Discussion
5. Conclusions
Author Contributions
Funding
Institutional Review Board Statement
Informed Consent Statement
Data Availability Statement
Acknowledgments
Conflicts of Interest
References
- Tabasum, H.; Neelagund, S.E.; Kotresh, K.R.; Gowtham, M.D.; Sulochana, N. Estimation of chlorpyrifos distribution in forensic visceral samples and body fluids using LCMS method. J. Forensic Leg. Med. 2022, 91, 102423. [Google Scholar] [CrossRef] [PubMed]
- Ramu, Y.; Dhanpal, P. An autopsy study of cases of Death Due to Poisoning in the Department of FMT, RIMS, Adilabad. Int. J. Health Clin. Res. 2021, 4, 207–210. [Google Scholar]
- Saoraya, J.; Inboriboon, P.C. Acute Poisoning Surveillance in Thailand: The Current State of Affairs and a Vision for the Future. ISRN Emerg. Med. 2013, 2013, 812836. [Google Scholar] [CrossRef]
- Stuart, A.M.; Merfield, C.N.; Horgan, F.G.; Willis, S.; Watts, M.A.; Ramírez-Muñoz, F.; U, J.S.; Utyasheva, L.; Eddleston, M.; Davis, M.L.; et al. Agriculture without paraquat is feasible without loss of productivity—Lessons learned from phasing out a highly hazardous herbicide. Environ. Sci. Pollut. Res. 2023, 30, 16984–17008. [Google Scholar] [CrossRef]
- Huang, Y.; Li, Z. Assessing pesticides in the atmosphere: A global study on pollution, human health effects, monitoring network and regulatory performance. Environ. Int. 2024, 187, 108653. [Google Scholar] [CrossRef]
- Blanco-Ayala, T.; Andérica-Romero, A.C.; Pedraza-Chaverri, J. New insights into antioxidant strategies against paraquat toxicity. Free Radic. Res. 2014, 48, 623–640. [Google Scholar] [CrossRef]
- Eizadi-Mood, N.; Jaberi, D.; Barouti, Z.; Rahimi, A.; Mansourian, M.; Dorooshi, G.; Sabzghabaee, A.M.; Alfred, S. The efficacy of hemodialysis on paraquat poisoning mortality: A systematic review and meta-analysis. J. Res. Med. Sci. 2022, 27, 74. [Google Scholar] [CrossRef]
- Gupta, S.; Garg, N.K.; Shekhawat, K. Regulation of Paraquat for wheat crop contamination. Environ. Sci. Pollut. Res. Int. 2022, 29, 70909–70920. [Google Scholar] [CrossRef]
- Gawarammana, I.B.; Buckley, N.A. Medical management of paraquat ingestion. Br. J. Clin. Pharmacol. 2011, 72, 745–757. [Google Scholar] [CrossRef]
- Soontornniyomkij, V.; Bunyaratvej, S. Fatal paraquat poisoning: A light microscopic study in eight autopsy cases. J. Med. Assoc. Thai 1992, 75 (Suppl. 1), 98–105. [Google Scholar]
- Kaojarern, S.; Ongphiphadhanakul, B. Predicting outcomes in paraquat poisonings. Vet. Hum. Toxicol. 1991, 33, 115–118. [Google Scholar] [PubMed]
- Tajai, P.; Fedeles, B.I.; Suriyo, T.; Navasumrit, P.; Kanitwithayanun, J.; Essigmann, J.M.; Satayavivad, J. An engineered cell line lacking OGG1 and MUTYH glycosylases implicates the accumulation of genomic 8-oxoguanine as the basis for paraquat mutagenicity. Free Radic. Biol. Med. 2018, 116, 64–72. [Google Scholar] [CrossRef] [PubMed]
- Kanchan, T.; Bakkannavar, S.M.; Acharya, P.R. Paraquat Poisoning: Analysis of an Uncommon Cause of Fatal Poisoning from Manipal, South India. Toxicol. Int. 2015, 22, 30–34. [Google Scholar] [CrossRef] [PubMed]
- Liu, H.-L.; Chen, W.-L.; Yang, M.-C.; Lin, H.-M.; Chou, C.-C.; Chang, C.-F.; Lin, T.-J.; Liu, K.-T.; Lin, Y.-R. Prediction of early mortality in patients with paraquat intoxication. J. Acute Med. 2013, 3, 6–10. [Google Scholar] [CrossRef]
- Tajai, P.; Kornjirakasemsan, A. Predicting mortality in paraquat poisoning through clinical findings, with a focus on pulmonary and cardiovascular system disorders. J. Pharm. Policy Pract. 2023, 16, 123. [Google Scholar] [CrossRef]
- Luo, R.; Shen, B.; Xiang, P.; Liu, W. Determination of twenty herbicides in blood by ultrapressure liquid chromatography-tandem mass spectrometry. Forensic Sci. Int. 2021, 327, 110910. [Google Scholar] [CrossRef]
- Delirrad, M.; Majidi, M.; Boushehri, B. Clinical features and prognosis of paraquat poisoning: A review of 41 cases. Int. J. Clin. Exp. Med. 2015, 8, 8122–8128. [Google Scholar]
- Dinis-Oliveira, R.J.; Duarte, J.A.; Sánchez-Navarro, A.; Remião, F.; Bastos, M.L.; Carvalho, F. Paraquat Poisonings: Mechanisms of Lung Toxicity, Clinical Features, and Treatment. Crit. Rev. Toxicol. 2008, 38, 13–71. [Google Scholar] [CrossRef]
- Dinis-Oliveira, R.J.; de Pinho, P.G.; Santos, L.; Teixeira, H.; Magalhães, T.; Santos, A.; de Lourdes Bastos, M.; Remião, F.; Duarte, J.A.; Carvalho, F. Postmortem analyses unveil the poor efficacy of decontamination, anti-inflammatory and immunosuppressive therapies in paraquat human intoxications. PLoS ONE 2009, 4, e7149. [Google Scholar] [CrossRef]
- Berry, C.; La Vecchia, C.; Nicotera, P. Paraquat and Parkinson’s disease. Cell Death Differ. 2010, 17, 1115–1125. [Google Scholar] [CrossRef]
- Paul, K.C.; Cockburn, M.; Gong, Y.; Bronstein, J.; Ritz, B. Agricultural paraquat dichloride use and Parkinson’s disease in California’s Central Valley. Int. J. Epidemiol. 2024, 53, dyae004. [Google Scholar] [CrossRef] [PubMed]
- Tangamornsuksan, W.; Lohitnavy, O.; Sruamsiri, R.; Chaiyakunapruk, N.; Norman Scholfield, C.; Reisfeld, B.; Lohitnavy, M. Paraquat exposure and Parkinson’s disease: A systematic review and meta-analysis. Arch. Environ. Occup. Health 2019, 74, 225–238. [Google Scholar] [CrossRef] [PubMed]
- Tsao, Y.C.; Lai, Y.C.; Liu, H.C.; Liu, R.H.; Lin, D.L. Simultaneous Determination and Quantitation of Paraquat, Diquat, Glufosinate and Glyphosate in Postmortem Blood and Urine by LC-MS-MS. J. Anal. Toxicol. 2016, 40, 427–436. [Google Scholar] [CrossRef]
- Wunnapuk, K.; Medley, G.A.; Liu, X.; Grice, J.E.; Jayasinghe, S.; Gawarammana, I.; Buckley, N.A.; Roberts, M.S. Simple and sensitive liquid chromatography-tandem mass spectrometry methods for quantification of paraquat in plasma and urine: Application to experimental and clinical toxicological studies. J. Chromatogr. B Anal. Technol. Biomed. Life Sci. 2011, 879, 3047–3052. [Google Scholar] [CrossRef]
- Ito, S.; Nagata, T.; Kudo, K.; Kimura, K.; Imamura, T. Simultaneous determination of paraquat and diquat in human tissues by high-performance liquid chromatography. J. Chromatogr. 1993, 617, 119–123. [Google Scholar] [CrossRef] [PubMed]
- Mao, Z.; Yu, Y.; Sun, H.; Xie, W.; Zhao, H.; Jiang, Q.; Sun, Y.; Cao, Y.; Chen, F. Development and validation of a sensitive and high throughput UPLC-MS/MS method for determination of paraquat and diquat in human plasma and urine: Application to poisoning cases at emergency departments of hospitals. Forensic Toxicol. 2022, 40, 102–110. [Google Scholar] [CrossRef] [PubMed]
- Ma, H.; Hu, M.; Zhang, C.; Jia, J.; Fu, S.; Wei, Z.; Yun, K. HPLC-MS/MS determination and the postmortem distribution or postmortem redistribution of paraquat and its metabolites in four fatal intoxication cases. Forensic Sci. Int. 2023, 345, 111606. [Google Scholar] [CrossRef]
- Liu, Z.; Huang, F.; Zhao, S.; Ma, L.; Shi, Q.; Zhou, Y. Homicidal paraquat poisoning: Poisoned while drinking. J. Forensic Sci. 2022, 67, 1312–1319. [Google Scholar] [CrossRef]
- Guo, H.; Li, L.; Gao, L. Paraquat and Diquat: Recent Updates on Their Pretreatment and Analysis Methods since 2010 in Biological Samples. Molecules 2023, 28, 684. [Google Scholar] [CrossRef]
- Tungsanga, K.; Chusilp, S.; Israsena, S.; Sitprija, V. Paraquat poisoning: Evidence of systemic toxicity after dermal exposure. Postgrad. Med. J. 1983, 59, 338–339. [Google Scholar] [CrossRef]
- Lau, G.; Lai, S.H. Forensic Histopathology. Forensic Pathol. Rev. 2008, 5, 239–265. [Google Scholar] [CrossRef]
- Baeck, S.K.; Shin, Y.S.; Chung, H.S.; Pyo, M.Y. Comparison study of the extraction methods of paraquat in post-mortem human blood samples. Arch. Pharmacal Res. 2007, 30, 235–239. [Google Scholar] [CrossRef]
- Arys, K.; Van Bocxlaer, J.; Clauwaert, K.; Lambert, W.; Piette, M.; Van Peteghem, C.; De Leenheer, A. Quantitative Determination of Paraquat in a Fatal Intoxication by HPLC-DAD following Chemical Reduction with Sodium Borohydride. J. Anal. Toxicol. 2000, 24, 116–121. [Google Scholar] [CrossRef]
- Lee, S.K.; Ameno, K.; In, S.W.; Yang, J.Y.; Kim, K.U.; Koo, K.S.; Yoo, Y.C.; Ameno, S.; Ijiri, I. Levels of paraquat in fatal intoxications. Int. J. Legal Med. 1999, 112, 198–200. [Google Scholar] [CrossRef]
- Querée, E.A.; Dickson, S.J.; Shaw, S.M. Extraction and Quantification of Paraquat in Liver and Hemolyzed Blood. J. Anal. Toxicol. 1985, 9, 10–14. [Google Scholar] [CrossRef]
- Fairshter, R.D.; Dabir-Vaziri, N.; Smith, W.R.; Glauser, F.L.; Wilson, A.F. Paraquat poisoning: An analytical toxicologic study of three cases. Toxicology 1979, 12, 259–266. [Google Scholar] [CrossRef]
- Tiwari, G.; Tiwari, R. Bioanalytical method validation: An updated review. Pharm. Methods 2010, 1, 25–38. [Google Scholar] [CrossRef]
- U.S. FDA. Bioanalytical Method Validation Guidance for Industry; U.S. Food and Drug Administration: Silver Spring, MD, USA, 2018.
- Blanc, P. Acute Responses to Toxic Exposures. In Murray and Nadel’s Textbook of Respiratory Medicine; WB Saunders: Philadelphia, PA, USA, 2016; pp. 1343–1353.e7. [Google Scholar]
- Bertram, A.; Haenel, S.S.; Hadem, J.; Hoeper, M.M.; Gottlieb, J.; Warnecke, G.; Kaschinski, S.; Hafer, C.; Kühn-Velten, W.N.; Günther, D.; et al. Tissue concentration of paraquat on day 32 after intoxication and failed bridge to transplantation by extracorporeal membrane oxygenation therapy. BMC Pharmacol. Toxicol. 2013, 14, 45. [Google Scholar] [CrossRef]
- Kim, H.J.; Kim, H.K.; Lee, H.; Bae, J.S.; Kown, J.T.; Gil, H.W.; Hong, S.Y. Toxicokinetics of paraquat in Korean patients with acute poisoning. Korean J. Physiol. Pharmacol. 2016, 20, 35–39. [Google Scholar] [CrossRef][Green Version]
- Russell, L.A.; Stone, B.E.; Rooney, P.A. Paraquat Poisoning: Toxicologic and Pathologic Findings in Three Fatal Cases. Clin. Toxicol. 1981, 18, 915–928. [Google Scholar] [CrossRef]
- Kumar, S.; Gupta, S.; Bansal, Y.S.; Bal, A.; Rastogi, P.; Muthu, V.; Arora, V. Pulmonary histopathology in fatal paraquat poisoning. Autops. Case Rep. 2021, 11, e2021342. [Google Scholar] [CrossRef]
- Dearden, L.C.; Fairshter, R.D.; Morrison, J.T.; Wilson, A.F.; Brundage, M. Ultrastructural evidence of pulmonary capillary endothelial damage from paraquat. Toxicology 1982, 24, 211–222. [Google Scholar] [CrossRef] [PubMed]
- Conradi, S.E.; Olanoff, L.S.; Dawson, W.T., Jr. Fatality due to paraquat intoxication: Confirmation by postmortem tissue analysis. Am. J. Clin. Pathol. 1983, 80, 771–776. [Google Scholar] [CrossRef] [PubMed]
- Kim, S.-j.; Gil, H.-W.; Yang, J.-O.; Lee, E.-Y.; Hong, S.-Y. The clinical features of acute kidney injury in patients with acute paraquat intoxication. Nephrol. Dial. Transplant. 2009, 24, 1226–1232. [Google Scholar] [CrossRef]
- Mullick, F.G.; Ishak, K.G.; Mahabir, R.; Stromeyer, F.W. Hepatic injury associated with paraquat toxicity in humans. Liver 1981, 1, 209–221. [Google Scholar] [CrossRef]
- Dinis-Oliveira, R.J.; Remião, F.; Duarte, J.A.; Ferreira, R.; Sánchez Navarro, A.; Bastos, M.L.; Carvalho, F. P-glycoprotein induction: An antidotal pathway for paraquat-induced lung toxicity. Free Radic. Biol. Med. 2006, 41, 1213–1224. [Google Scholar] [CrossRef]
- Takegoshi, K.; Nakanuma, Y.; Ohta, M.; Thoyama, T.; Okuda, K.; Kono, N. Light and electron microscopic study of the liver in paraquat poisoning. Liver 1988, 8, 330–336. [Google Scholar] [CrossRef]
- Noguchi, N.; Tanaka, E.; Yamamoto, H.; Misawa, S. Initial accumulation of paraquat in the heart leading to acute death. Nihon Hoigaku Zasshi 1990, 44, 6–11. [Google Scholar]
- Corasaniti, M.T.; Strongoli, M.C.; Pisanelli, A.; Bruno, P.; Rotiroti, D.; Nappi, G.; Nisticò, G. Distribution of paraquat into the brain after its systemic injection in rats. Funct. Neurol. 1992, 7, 51–56. [Google Scholar]
- Shahzad, C.; Tahir, M.; Lone, K.; Jafari, F.; Sami, W.; Khan, T.M. Paraquat Induced Toxicity in Adrenals in Albino Mice. Am. J. Biomed. Sci. 2011, 3, 228–235. [Google Scholar] [CrossRef]
- Laohaudomchok, W.; Nankongnab, N.; Siriruttanapruk, S.; Klaimala, P.; Lianchamroon, W.; Ousap, P.; Jatiket, M.; Kajitvichyanukul, P.; Kitana, N.; Siriwong, W.; et al. Pesticide use in Thailand: Current situation, health risks, and gaps in research and policy. Hum. Ecol. Risk Assess. 2021, 27, 1147–1169. [Google Scholar] [CrossRef] [PubMed]
- Srisuma, S.; Tongpoo, A.; Pathumarak, J.; Rittilert, P.; Mayurapong, M.; Wongrathanandha, C. Occupational Paraquat Exposure Cases Reported to the Ramathibodi Poison Center. Biomed. Sci. Clin. Med. 2023, 62, 133–141. [Google Scholar]
- Cha, E.S.; Chang, S.S.; Gunnell, D.; Eddleston, M.; Khang, Y.H.; Lee, W.J. Impact of paraquat regulation on suicide in South Korea. Int. J. Epidemiol. 2016, 45, 470–479. [Google Scholar] [CrossRef] [PubMed]
- Chang, S.-S.; Gunnell, D. Banning Paraquat Would Prevent Nearly 200 Deaths from Suicide per Year in Taiwan. Taiwan. J. Psychiatry 2019, 33, 119–121. [Google Scholar] [CrossRef]
- Chang, S.S.; Lin, C.Y.; Lee, M.B.; Shen, L.J.; Gunnell, D.; Eddleston, M. The early impact of paraquat ban on suicide in Taiwan. Clin. Toxicol. 2022, 60, 131–135. [Google Scholar] [CrossRef]
- Knipe, D.W.; Chang, S.S.; Dawson, A.; Eddleston, M.; Konradsen, F.; Metcalfe, C.; Gunnell, D. Suicide prevention through means restriction: Impact of the 2008-2011 pesticide restrictions on suicide in Sri Lanka. PLoS ONE 2017, 12, e0172893. [Google Scholar] [CrossRef]
- Myung, W.; Lee, G.H.; Won, H.H.; Fava, M.; Mischoulon, D.; Nyer, M.; Kim, D.K.; Heo, J.Y.; Jeon, H.J. Paraquat prohibition and change in the suicide rate and methods in South Korea. PLoS ONE 2015, 10, e0128980. [Google Scholar] [CrossRef]
- Buendía, J.A.; Restrepo Chavarriaga, G.J.; Zuluaga, A.F. Social and economic variables related with Paraquat self-poisoning: An ecological study. BMC Public. Health 2020, 20, 404. [Google Scholar] [CrossRef]
- Kim, J.; Shin, S.D.; Jeong, S.; Suh, G.J.; Kwak, Y.H. Effect of prohibiting the use of Paraquat on pesticide-associated mortality. BMC Public Health 2017, 17, 858. [Google Scholar] [CrossRef]
- Grabosch, R. The Distribution of Paraquat: Does Syngenta Respect Human Rights? European Center for Constitional and Human Rights: Berlin, Germany, 2011. [Google Scholar]
- Sapbamrer, R.; Kitro, A.; Panumasvivat, J.; Assavanopakun, P. Important role of the government in reducing pesticide use and risk sustainably in Thailand: Current situation and recommendations. Front. Public Health 2023, 11, 1141142. [Google Scholar] [CrossRef]









| Chemicals | Precursor Ions (m/z) | Fragment Voltage (V) | Product Ions (m/z) | Collision Energy (V) |
|---|---|---|---|---|
| Ethyl viologen | 215.1 | 92 | 186.1 | 14 |
| 158.1 | 34 | |||
| Paraquat | 187.1 | 92 | 172.1 | 18 |
| 156.1 | 46 |
| Autopsy Case No. | Age | Gender | Weight (g) | Manner/Amount of Ingestion (mL) | Survival Time (Day) | |||||
|---|---|---|---|---|---|---|---|---|---|---|
| Brain | Heart | R/L Lung | Liver | Spleen | R/L Kidney | |||||
| 1 | 44 | M | N/A | 310 (~) | 740 (↑)/625 (↑) | 1515 (~) | 50 (~) | 100 (~)/110 (~) | Suicide/N/A | N/A |
| 2 | 45 | M | 1450 (↑) | 344 (~) | 710 (↑)/670 (↑) | 1560 (↑) | 105 (~) | 145 (↑)/135 (↑) | N/A | N/A |
| 3 | 39 | M | 1410 (~) | 535 (↑) | 1044 (↑)/1000 (↑) | N/A | N/A | N/A | Suicide/N/A | 1 |
| 4 | 44 | F | 1381 (↑) | 246 (~) | 1009 (↑)/728 (↑) | 1520 (↑) | 88 (~) | 141 (↑)/146 (↑) | N/A | 2 |
| 5 | 70 | F | 1120 (↓) | 295 (~) | 779 (↑)/553 (↑) | 1027 (↓) | 120 (~) | 140 (~)/115 (~) | N/A | N/A |
| 6 | 54 | M | 978 (~) | 253 (~) | 270 (~)/322 (~) | 1140 (~) | 87 (~) | 81 (~)/73 (~) | N/A/500 | 1 |
| 7 | 42 | M | 1356 (~) | 380 (↑) | 880 (↑)/773 (↑) | 1683 (↑) | 177 (↑) | 210 (↑)/225 (↑) | N/A | N/A |
| Autopsy Case No. | Heart | Lung | Liver | Stomach/Intestine | Kidney |
|---|---|---|---|---|---|
| 1 | Subendocardial, myocardial hemorrhage | Pulmonary edema, hemorrhage | Steatosis/necrosis, jaundice | Greenish blue color (lips, nose, larynx, trachea, stomach, intestine) | Acute kidney injury |
| 2 | N/A | Pulmonary edema, greenish blue color (trachea) | N/A | Greenish blue color (stomach, intestine) | N/A |
| 3 | Petechial hemorrhage, myocardial hemorrhage | Pulmonary congestion, hemorrhage | Steatosis | Gastritis | N/A |
| 4 | N/A | Severe pulmonary edema, intrapulmonary hemorrhage | Steatosis | Gastritis, mucosal hemorrhage, corrosive burn of esophagus | N/A |
| 5 | Congestion | Pulmonary fibrosis, edema, congestion | Jaundice | Mucosal damage | N/A |
| 6 | Petechial hemorrhage, coronary occlusion | Adhesion of all lobes, pulmonary hemorrhage | N/A | Erosion ulcer, petechial hemorrhage (esophagus, stomach), greenish-blue color (gastric content) | Acute kidney injury |
| 7 | N/A | Pulmonary edema, congestion | N/A | Gastritis | N/A |
| Autopsy Case No. | Brain | Heart | Lung | Liver | Spleen | Kidney | Adrenal Gland | Esophagus/ Stomach |
|---|---|---|---|---|---|---|---|---|
| 1 | N/A | Hemorrhage at subendocardial and myocardium | Edema | Steatosis | N/A | Partial autolysis | Partial autolysis | N/A |
| 2 | N/A | N/A | N/A | Steatosis | N/A | N/A | N/A | N/A |
| 3 | Subarachnoid congestion, hemorrhage, eosinophilic neurons | Thrombosis, myocardial necrosis, focal subendocardial hemorrhage, atherosclerosis | Diffuse alveolar damage, fibrin platelet thrombi | Multifocal ballooning degeneration (hepatocyte), steatosis | Congestion | Acute tubular necrosis, fibrin platelet thrombi in glomeruli | Focal cortical necrosis | Mucosal infarct, hemorrhage |
| 4 | N/A | N/A | Edema, congestion, petechial hemorrhage | Steatosis | Congestion | N/A | N/A | Mucosal hemorrhage, esophagitis |
| 5 | N/A | Atherosclerosis | Diffuse alveolar damage, hemorrhage, fibrosis | Cholestasis | N/A | Acute kidney injury | N/A | N/A |
| 6 | N/A | Myocardial infarction, coronary occlusion | Edema, congestion, petechial hemorrhage | N/A | N/A | N/A | Lipid depletion | Mucosal infarct, hemorrhage |
| 7 | Red blood cells within the subarachnoid space | Cardiomegaly, hemorrhage at myocardium | Edema, congestion, | Steatosis | Congestion | N/A | Lipid depletion of cortical cells | Superficial mucosal hemorrhage |
| Nominal Concentration (ng/mL) | INTRA-DAY | Inter-Day | ||||||
|---|---|---|---|---|---|---|---|---|
| Mean Detected (ng/mL) | SD | Accuracy (%RR) | Precision (%CV) | Mean Detected (ng/mL) | SD | Accuracy (%RR) | Precision (%CV) | |
| 75.0 | 83.2 | 1.9 | 110.9 | 2.2 | 77.1 | 3.9 | 102.8 | 5.1 |
| 600.0 | 657.8 | 28.2 | 109.6 | 4.3 | 623.6 | 20.4 | 103.9 | 3.3 |
| 1500.0 | 1607.2 | 72.5 | 107.2 | 4.5 | 1517.7 | 104.9 | 101.2 | 6.9 |
| Autopsy Case No. | Paraquat Concentration (µg/mL) |
|---|---|
| 1 | 332.0 |
| 2 | 372.0 |
| 3 | 9.8 |
| 4 | 9.7 |
| 5 | 0.9 |
| 6 | 36.0 |
| 7 | 0.5 |
Disclaimer/Publisher’s Note: The statements, opinions and data contained in all publications are solely those of the individual author(s) and contributor(s) and not of MDPI and/or the editor(s). MDPI and/or the editor(s) disclaim responsibility for any injury to people or property resulting from any ideas, methods, instructions or products referred to in the content. |
© 2024 by the authors. Licensee MDPI, Basel, Switzerland. This article is an open access article distributed under the terms and conditions of the Creative Commons Attribution (CC BY) license (https://creativecommons.org/licenses/by/4.0/).
Share and Cite
Nuwongsa, I.; Markmee, T.; Pholpo, N.; Chockjamsai, M.; Monum, T.; Amornlertwatana, Y.; Tajai, P. Paraquat Poisoning: Insights from Autopsy, Histology, and Liquid Chromatography with Tandem Mass Spectrometry in Multidisciplinary Forensic Toxicology Practice. Toxics 2024, 12, 675. https://doi.org/10.3390/toxics12090675
Nuwongsa I, Markmee T, Pholpo N, Chockjamsai M, Monum T, Amornlertwatana Y, Tajai P. Paraquat Poisoning: Insights from Autopsy, Histology, and Liquid Chromatography with Tandem Mass Spectrometry in Multidisciplinary Forensic Toxicology Practice. Toxics. 2024; 12(9):675. https://doi.org/10.3390/toxics12090675
Chicago/Turabian StyleNuwongsa, Issarapong, Tanyarat Markmee, Nareerat Pholpo, Manoch Chockjamsai, Tawachai Monum, Yutti Amornlertwatana, and Preechaya Tajai. 2024. "Paraquat Poisoning: Insights from Autopsy, Histology, and Liquid Chromatography with Tandem Mass Spectrometry in Multidisciplinary Forensic Toxicology Practice" Toxics 12, no. 9: 675. https://doi.org/10.3390/toxics12090675
APA StyleNuwongsa, I., Markmee, T., Pholpo, N., Chockjamsai, M., Monum, T., Amornlertwatana, Y., & Tajai, P. (2024). Paraquat Poisoning: Insights from Autopsy, Histology, and Liquid Chromatography with Tandem Mass Spectrometry in Multidisciplinary Forensic Toxicology Practice. Toxics, 12(9), 675. https://doi.org/10.3390/toxics12090675

