Present in the Aquatic Environment, Unclear Evidence in Top Predators—The Unknown Effects of Anti-Seizure Medication on Eurasian Otters (Lutra lutra) from Northern Germany
Abstract
1. Introduction
2. Materials and Methods
2.1. Carcass Collection
2.2. Necropsy and Age Determination
2.3. Selected ASMs
2.4. Instrumental Analytics
2.5. High-Performance Liquid Chromatography (HPLC)
2.6. Mass Spectometry (MS)
2.7. Histology
2.8. Hematoxylin and Eosin
2.9. Thionine
2.10. Immunofluorescence
2.11. Image Processing
3. Results
3.1. Life History Data of Otters
3.2. Instrumental Analytics
3.2.1. High-Performance Liquid Chromatography
3.2.2. Mass Spectrometry
3.3. Histology
3.3.1. Hematoxylin and Eosin (HE)
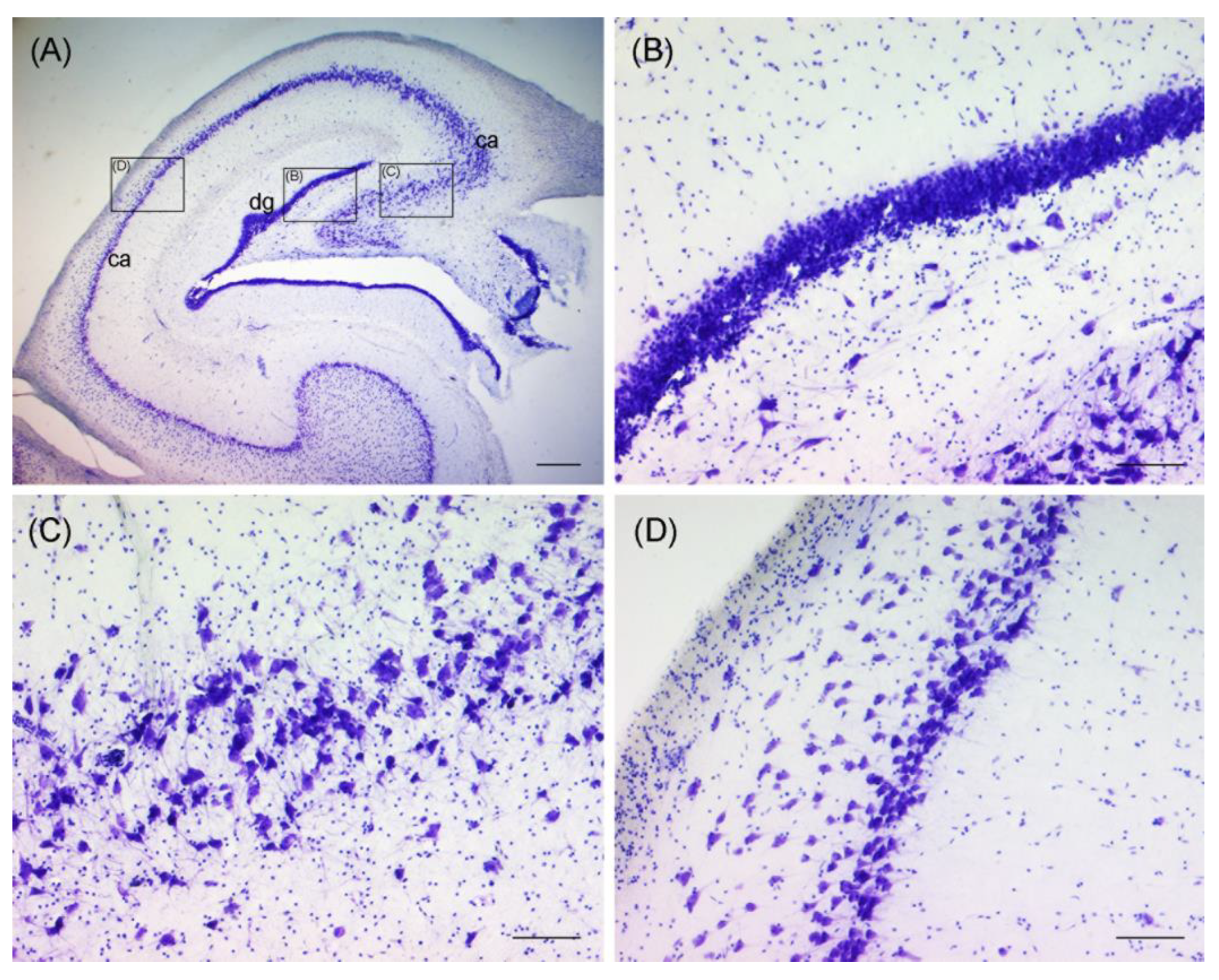
3.3.2. Thionine
3.3.3. Immunofluorescence
4. Discussion
5. Conclusions
Supplementary Materials
Author Contributions
Funding
Institutional Review Board Statement
Data Availability Statement
Acknowledgments
Conflicts of Interest
References
- aus der Beek, T.; Weber, F.A.; Bergmann, A.; Hickmann, S.; Ebert, I.; Hein, A.; Küster, A. Pharmaceuticals in the Environment—Global Occurrences and Perspectives. Environ. Toxicol. Chem. 2016, 35, 823–835. [Google Scholar] [CrossRef] [PubMed]
- Archer, E.; Petrie, B.; Kasprzyk-Hordern, B.; Wolfaardt, G.M. The fate of pharmaceuticals and personal care products (PPCPs), endocrine disrupting contaminants (EDCs), metabolites and illicit drugs in a WWTW and environmental waters. Chemosphere 2017, 174, 437–446. [Google Scholar] [CrossRef]
- Boecking, W.; Klamar, A.; Kitzmann, F.; Kirch, W. Pharmaco-economic impact of demographic change on pharmaceutical expenses in Germany and France. BMC Public Health 2012, 12, 894. [Google Scholar] [CrossRef]
- Monteiro, S.C.; Boxall, A.B.A. Occurrence and Fate of Human Pharmaceuticals in the Environment. In Reviews of Environmental Contamination and Toxicology; Cavieres, M.F., Knaak, J.B., van Wezel, A.P., Tjeerdema, R.S., Vighi, M., Eds.; Springer: New York, NY, USA, 2010; Volume 202, pp. 53–154. ISBN 9781441911568. [Google Scholar]
- Miller, T.H.; Bury, N.R.; Owen, S.F.; MacRae, J.I.; Barron, L.P. A review of the pharmaceutical exposome in aquatic fauna. Environ. Pollut. 2018, 239, 129–146. [Google Scholar] [CrossRef] [PubMed]
- Luo, Y.; Guo, W.; Ngo, H.H.; Nghiem, L.D.; Hai, F.I.; Zhang, J.; Liang, S.; Wang, X.C. A review on the occurrence of micropollutants in the aquatic environment and their fate and removal during wastewater treatment. Sci. Total Environ. 2014, 473–474, 619–641. [Google Scholar] [CrossRef]
- Carter, L.J.; Garman, C.D.; Ryan, J.; Dowle, A.; Bergström, E.; Thomas-Oates, J.; Boxall, A.B.A. Fate and Uptake of Pharmaceuticals in Soil-Plant Systems. J. Agric. Food Chem. 2014, 62, 816–825. [Google Scholar] [CrossRef]
- Arnold, K.E.; Brown, A.R.; Brown, A.R.; Ankley, G.T.; Sumpter, J.P. Medicating the environment: Assessing risks of pharmaceuticals to wildlife and ecosystems. Philos. Trans. R. Soc. B Biol. Sci. 2014, 369, 11. [Google Scholar] [CrossRef]
- LaLone, C.A.; Berninger, J.P.; Villeneuve, D.L.; Ankley, G.T. Leveraging existing data for prioritization of the ecological risks of human and veterinary pharmaceuticals to aquatic organisms. Philos. Trans. R. Soc. B Biol. Sci. 2014, 369, 20140022. [Google Scholar] [CrossRef] [PubMed]
- Halling-Sørensen, B.; Nors Nielsen, S.; Lanzky, P.F.; Ingerslev, F.; Holten Lützhøft, H.C.; Jørgensen, S.E. Occurrence, Fate and Effects of Pharmaceutical Substances in the Environment—A Review. Chemosphere 1998, 36, 357–393. [Google Scholar] [CrossRef] [PubMed]
- Backhaus, T. Medicines, shaken and stirred: A critical review on the ecotoxicology of pharmaceutical mixtures. Philos. Trans. R. Soc. B Biol. Sci. 2014, 369, 20130585. [Google Scholar] [CrossRef]
- Gunnarsson, L.; Jauhiainen, A.; Kristiansson, E.; Nerman, O.; Larsson, D.G.J. Evolutionary conservation of human drug targets in organisms used for environmental risk assessments. Environ. Sci. Technol. 2008, 42, 5807–5813. [Google Scholar] [CrossRef]
- Du, B.; Haddad, S.P.; Luek, A.; Scott, W.C.; Saari, G.N.; Kristofco, L.A.; Connors, K.A.; Rash, C.; Rasmussen, J.B.; Chambliss, C.K.; et al. Bioaccumulation and trophic dilution of human pharmaceuticals across trophic positions of an effluent-dependent wadeable stream. Philos. Trans. R. Soc. B Biol. Sci. 2014, 369, 20140058. [Google Scholar] [CrossRef] [PubMed]
- Shore, R.F.; Taggart, M.A.; Smits, J.; Mateo, R.; Richards, N.L.; Fryday, S. Detection and drivers of exposure and effects of pharmaceuticals in higher vertebrates. Philos. Trans. R. Soc. B Biol. Sci. 2014, 369, 20130570. [Google Scholar] [CrossRef]
- Hutchinson, T.H.; Madden, J.C.; Naidoo, V.; Walker, C.H. Comparative metabolism as a key driver of wildlife species sensitivity to human and veterinary pharmaceuticals. Philos. Trans. R. Soc. B Biol. Sci. 2014, 369, 20130583. [Google Scholar] [CrossRef] [PubMed]
- Bringolf, R.B.; Heltsley, R.M.; Newton, T.J.; Eads, C.B.; Fraley, S.J.; Shea, D.; Cope, W.G. Environmental occurrence and reproductive effects of the pharmaceutical fluoxetine in native freshwater mussels. Environ. Toxicol. Chem. 2010, 29, 1311–1318. [Google Scholar] [CrossRef] [PubMed]
- Painter, M.M.; Buerkley, M.A.; Julius, M.L.; Vajda, A.M.; Norris, D.O.; Barber, L.B.; Furlong, E.T.; Schultz, M.M.; Schoenfuss, H.L. Antidepressants at environmentally relevant concentrations affect predator avoidance behavior of larval fathead minnows (Pimephales promelas). Environ. Toxicol. Chem. 2009, 28, 2677–2684. [Google Scholar] [CrossRef] [PubMed]
- Brodin, T.; Fick, J.; Jonsson, M.; Klaminder, J. Dilute concentrations of a psychiatric drug alter behavior of fish from natural populations. Science 2013, 339, 814–815. [Google Scholar] [CrossRef]
- Kidd, K.A.; Paterson, M.J.; Rennie, M.D.; Podemski, C.L.; Findlay, D.L.; Blanchfield, P.J.; Liber, K. Direct and indirect responses of a freshwater food web to a potent synthetic oestrogen. Philos. Trans. R. Soc. B Biol. Sci. 2014, 369, 20130578. [Google Scholar] [CrossRef]
- Corcoran, J.; Winter, M.J.; Tyler, C.R. Pharmaceuticals in the aquatic environment: A critical review of the evidence for health effects in fish. Crit. Rev. Toxicol. 2010, 40, 287–304. [Google Scholar] [CrossRef]
- Säfholm, M.; Ribbenstedt, A.; Fick, J.; Berg, C. Risks of hormonally active pharmaceuticals to amphibians: A growing concern regarding progestagens. Philos. Trans. R. Soc. B Biol. Sci. 2014, 369, 20130577. [Google Scholar] [CrossRef] [PubMed]
- Oaks, J.L.; Gilbert, M.; Virani, M.Z.; Watson, R.T.; Meteyer, C.U.; Rideout, B.A.; Shivaprasad, H.L.; Ahmed, S.; Iqbal Chaudhry, M.J.; Arshad, M.; et al. Diclofenac residues as the cause of vulture population decline in Pakistan. Nature 2004, 427, 630–633. [Google Scholar] [CrossRef] [PubMed]
- Rogawski, M.A.; Löscher, W. The neurobiology of antiepileptic drugs. Nat. Rev. Neurosci. 2004, 5, 553–564. [Google Scholar] [CrossRef] [PubMed]
- Löscher, W.; Klein, P. The Pharmacology and Clinical Efficacy of Antiseizure Medications: From Bromide Salts to Cenobamate and Beyond. CNS Drugs 2021, 35, 935–963. [Google Scholar] [CrossRef] [PubMed]
- Perucca, P.; Mula, M. Antiepileptic drug effects on mood and behavior: Molecular targets. Epilepsy Behav. 2013, 26, 440–449. [Google Scholar] [CrossRef] [PubMed]
- Ikonomidou, C.; Turski, L. Antiepileptic drugs and brain development. Epilepsy Res. 2010, 88, 11–22. [Google Scholar] [CrossRef]
- Avachat, C.; Barry, J.M.; Lyu, X.; Sherwin, C.M.; Birnbaum, A.K. Management of Anti-Seizure Medications during Pregnancy: Advancements in The Past Decade. Pharmaceutics 2022, 14, 2733. [Google Scholar] [CrossRef]
- Buehler, B.A.; Delimont, D.; van Waes, M.; Finnell, R.H. Prenatal Prediction of Risk of the Fetal Hydantoin Syndrome. N. Engl. J. Med. 1990, 322, 1567–1572. [Google Scholar] [CrossRef]
- Holmes, L.B.; Harvey, E.A.; Coull, B.A.; Huntington, K.B.; Khoshbin, S.; Hayes, A.M.; Ryan, L.M. The Teratogenicity of Anticonvulsant Drugs. N. Engl. J. Med. 2001, 344, 1132–1138. [Google Scholar] [CrossRef]
- Meador, K.J.; Baker, G.; Cohen, M.J.; Gaily, E.; Westerveld, M. Cognitive/behavioral teratogenetic effects of antiepileptic drugs. Epilepsy Behav. 2007, 11, 292–302. [Google Scholar] [CrossRef]
- Marsh, E.D.; Brooks-Kayal, A.R.; Porter, B.E. Seizures and antiepileptic drugs: Does exposure alter normal brain development? Epilepsia 2006, 47, 1999–2010. [Google Scholar] [CrossRef]
- Fishman, R.H.B.; Ornoy, A.; Yanai, J. Correlated ultrastructural damage between cerebellum cells after early anticonvulsant treatment in mice. Int. J. Dev. Neurosci. 1989, 7, 15–26. [Google Scholar] [CrossRef]
- Rogel-Fuchs, Y.; Newman, M.E.; Trombka, D.; Zahalka, E.A.; Yanai, J. Hippocampal cholinergic alterations and related behavioral deficits after early exposure to phenobarbital. Int. J. Dev. Neurosci. 1992, 29, 1–6. [Google Scholar] [CrossRef] [PubMed]
- Schilling, M.A.; Inman, S.L.; Morford, L.L.; Moran, M.S.; Vorhees, C.V. Prenatal Phenytoin Exposure and Spatial Navigation in Offspring: Effects on Reference and Working Memory and on Discrimination Learning. Neurotoxicol. Teratol. 1999, 21, 567–578. [Google Scholar] [CrossRef] [PubMed]
- Brodie, M.J. Tolerability and Safety of Commonly Used Antiepileptic Drugs in Adolescents and Adults: A Clinician’s Overview. CNS Drugs 2017, 31, 135–147. [Google Scholar] [CrossRef] [PubMed]
- Ingram, J.L.; Peckham, S.M.; Tisdale, B.; Rodier, P.M. Prenatal exposure of rats to valproic acid reproduces the cerebellar anomalies associated with autism. Neurotoxicol. Teratol. 2000, 22, 319–324. [Google Scholar] [CrossRef] [PubMed]
- Vorhees, C.V. Behavioral teratogenicity of valproic acid: Selective effects on behavior after prenatal exposure to rats. Psychopharmacology 1987, 92, 173–179. [Google Scholar] [CrossRef] [PubMed]
- Brodie, M.J.; Besag, F.; Ettinger, A.B.; Mula, M.; Gobbi, G.; Comai, S.; Aldenkamp, A.P.; Steinhoff, B.J. Epilepsy, Antiepileptic Drugs, and Aggression: An Evidence-Based Review. Pharmacol. Rev. 2016, 68, 563–602. [Google Scholar] [CrossRef]
- Beran, R.G.; Gibson, R.J. Aggressive behaviour in intellectually challenged patients with epilepsy treated with lamotrigine. Epilepsia 1998, 39, 280–282. [Google Scholar] [CrossRef] [PubMed]
- Matalon, S.; Schechtman, S.; Goldzweig, G.; Ornoy, A. The teratogenic effect of carbamazepine: A meta-analysis of 1255 exposures. Reprod. Toxicol. 2002, 16, 9–17. [Google Scholar] [CrossRef]
- Salahinejad, A.; Meuthen, D.; Attaran, A.; Chivers, D.P.; Ferrari, M.O.C. Effects of common antiepileptic drugs on teleost fishes. Sci. Total Environ. 2023, 866, 161324. [Google Scholar] [CrossRef]
- Bayer, S.A.; Altman, J.; Russo, R.J.; Zhang, X. Timetables of neurogenesis in the human brain based on experimentally determined patterns in the rat. Neurotoxicology 1993, 14, 83–144. [Google Scholar]
- Kandel, E.R.; Shadlen, M.L. The Brain and Behavior. In Principles of Neural Science; Kandel, E.R., Koester, J.D., Mack, S.H., Siegelbaum, S.A., Eds.; Mc Graw Hill: New York, NY, USA, 2021; pp. 7–25. ISBN 978-1-259-64223-4. [Google Scholar]
- Jacobs, B.; van Praag, H.; Gage, F. Adult brain neurogenesis and psychiatry: A novel theory of depression. Mol. Psychiatry 2000, 5, 262–269. [Google Scholar] [CrossRef]
- Kempermann, G. Regulation of adult hippocampal neurogenesis—Implications for novel theories of major depression. Bipolar Disord. 2002, 4, 17–33. [Google Scholar] [CrossRef] [PubMed]
- Sanes, J.R.; Jessell, T.M. Differentiation and Survival of Nerve Cells. In Principles of Neural Science; Kandel, E.R., Koester, J.D., Mack, S.H., Siegelbaum, S.H., Eds.; Mc Graw Hill: New York, NY, USA, 2021; pp. 1130–1155. ISBN 978-1-259-64223-4. [Google Scholar]
- Webb, S.J.; Monk, C.S.; Nelson, C.A. Mechanisms of postnatal neurobiological development: Implications for human development. Dev. Neuropsychol. 2001, 19, 147–171. [Google Scholar] [CrossRef]
- Bittigau, P.; Sifringer, M.; Genz, K.; Reith, E.; Pospischil, D.; Govindarajalu, S.; Dzietko, M.; Pesditschek, S.; Mai, I.; Dikranian, K.; et al. Antiepileptic drugs and apoptotic neurodegeneration in the developing brain. Proc. Natl. Acad. Sci. USA 2002, 99, 15089–15094. [Google Scholar] [CrossRef]
- Stefovska, V.G.; Uckermann, O.; Czuczwar, M.; Smitka, M.; Czuczwar, P.; Kis, J.; Kaindl, A.M.; Turski, L.; Turski, W.A.; Ikonomidou, C. Sedative and anticonvulsant drugs suppress postnatal neurogenesis. Ann. Neurol. 2008, 64, 434–445. [Google Scholar] [CrossRef]
- Rohner, S.; Wohlsein, P.; Prenger-berninghoff, E.; Ewers, C.; Waindok, P.; Strube, C.; Baechlein, C.; Becher, P.; Wilmes, D.; Rickerts, V.; et al. Pathological Findings in Eurasian Otters (Lutra lutra) Found Dead between 2015–2020 in Schleswig-Holstein, Germany. Animals 2022, 12, 59. [Google Scholar] [CrossRef]
- Conroy, J.W.H.; Chanin, P.R.F. The status of the Eurasian otter (Lutra lutra) in Europe- A review. J. Int. Otter Surviv. Fund 2000, 1, 7–28. [Google Scholar]
- Duplaix, N.; Savage, M. The Global Otter Conservation Strategy; IUCN/SSC Otter Specialist Group: Salem, OR, USA, 2018. [Google Scholar]
- Reuther, C. Fischotterschutz in Schleswig—Holstein; Ministerium für Umwelt, Natur und Forsten des Landes Schleswig-Holstein: Kiel, Germany, 2001. [Google Scholar]
- Grünwald-Schwark, V.; Zachos, F.E.; Honnen, A.-C.; Borkenhagen, P.; Krüger, F.; Wagner, J.; Drews, A.; Krekemeyer, A.; Schmüser, H.; Fichtner, A.; et al. Der Fischotter (Lutra lutra) in Schleswig-Holstein—Signatur Einer Rückwandernden, Bedrohten Wirbeltierart und Konsequenzen für den Naturschutz; W. Kohlhammer GmbH: Stuttgart, Germany, 2012; Volume 87. [Google Scholar]
- Loy, A.; Kranz, A.; Oleynikov, A.; Roos, A.; Savage, M.; Duplaix, N. Lutra lutra (amended version of 2021 assessment). The IUCN Red List of Threatened Species 2022: E.T12419A218069689. 2022. Available online: https://www.iucnredlist.org/species/12419/218069689 (accessed on 13 December 2022).
- European Union Council Directive 92/43/EEC of 21 May 1992. Off. J. Eur. Communities 1992, 35, 7–51.
- Bundestag. Gesetz über Naturschutz und Landschaftspflege (Bundesnaturschutzgesetz—BNatSchG); Bundesministerium der Justiz und für Verbraucherschutz: Berlin, Germany, 2021; pp. 1–67. [Google Scholar]
- Meinig, H.; Boye, P.; Dähne, M.; Hutterer, R.; Lang, J. Rote Liste und Gesamtartenliste der Säugetiere (Mammalia) Deutschlands. Nat. Biol. Vielfalt 2020, 170, 73. [Google Scholar] [CrossRef]
- Borkenhagen, P. Die Säugetiere Schleswig—Holsteins, Rote Liste 2014. Ministerium für Energiewende, Landwirtschaft, Umwelt und ländliche Räume des Landes Schleswig-Holstein (MELUR), Flintbek, Germany, 122. Available online: https://www.schleswig-holstein.de/DE/Fachinhalte/A/artenschutz/Downloads/rl_saeuger_pdf.pdf?__blob=publicationFile&v=1 (accessed on 13 December 2022).
- Chadwick, E. Post Mortem Study of Otters in England and Wales 1992–2003; Environment Agency: Bristol, UK, 2007. [Google Scholar]
- Gutleb, A.C. Todesursachenforschung Fischotter, Grundlagen für ein Schutzkonzept von Lutra lutra L. 1758; WWF Austria: Vienna, Austria, 1994. [Google Scholar]
- Fusillo, R.; Romanucci, M.; Marcelli, M.; Massimini, M.; Della Salda, L. Health and Mortality Monitoring in Threatened Mammals: A First Post Mortem Study of Otters (Lutra lutra L.) in Italy. Animals 2022, 12, 609. [Google Scholar] [CrossRef] [PubMed]
- Simpson, V.R. Health Status of Otters in Southern and South West England 1996–2003; Environment Agency: Bristol, UK, 2007. [Google Scholar]
- Hauer, S.; Ansorge, H.; Zinke, O. Mortality patterns of otters (Lutra lutra) from eastern Germany. J. Zool. 2002, 256, 361–368. [Google Scholar] [CrossRef]
- Ansorge, H.; Schipke, R.; Zinke, O. Population structure of the otter, Lutra lutra. Parameters and model for a Central European region. Z. Saugetierkd.—Int. J. Mamm. Biol. 1997, 62, 143–151. [Google Scholar]
- Sommer, R.; Griesau, A.; Ansorge, H.; Priemer, J. Daten zur Populationsökologie des Fischotters Lutra lutra (Linnaeus, 1758) in Mecklenburg-Vorpommern; Gesellschaft für Wildtier- und Jagdforschung e.V.: Leipzig, Germany, 2005; Volume 30. [Google Scholar]
- Mazzamuto, M.V.; Schilling, A.-K.; Romeo, C. Wildlife Disease Monitoring: Methods and Perspectives. Animals 2022, 12, 3032. [Google Scholar] [CrossRef]
- Newman, C.; Byrne, A.W. Musteloid diseases: Implications for conservation and species management. In Biology and Conservation of Musteloids; MacDonald, D.W., Newman, C., Harrington, L.A., Eds.; Oxford University Press: Oxford, UK, 2017; pp. 231–254. ISBN 978-0-19-875981-2. [Google Scholar]
- O’Rourke, E.; Hynes, J.; Losada, S.; Barber, J.L.; Pereira, M.G.; Kean, E.F.; Hailer, F.; Chadwick, E.A. Anthropogenic Drivers of Variation in Concentrations of Perfluoroalkyl Substances in Otters (Lutra lutra) from England and Wales. Environ. Sci. Technol. 2022, 56, 1675–1687. [Google Scholar] [CrossRef] [PubMed]
- Brand, A.F.; Hynes, J.; Walker, L.A.; Glόria Pereira, M.; Lawlor, A.J.; Williams, R.J.; Shore, R.F.; Chadwick, E.A. Biological and anthropogenic predictors of metal concentration in the Eurasian otter, a sentinel of freshwater ecosystems. Environ. Pollut. 2020, 266, 9. [Google Scholar] [CrossRef] [PubMed]
- Dibbern, M.; Elmeros, M.; Dietz, R.; Søndergaard, J.; Michelsen, A.; Sonne, C. Mercury exposure and risk assessment for Eurasian otters (Lutra lutra) in Denmark. Chemosphere 2021, 272, 129608. [Google Scholar] [CrossRef]
- Kean, E.F.; Shore, R.F.; Scholey, G.; Strachan, R.; Chadwick, E.A. Persistent pollutants exceed toxic thresholds in a freshwater top predator decades after legislative control. Environ. Pollut. 2021, 272, 116415. [Google Scholar] [CrossRef]
- Roos, A.; Greyerz, E.; Olsson, M.; Sandegren, F. The otter (Lutra lutra) in Sweden—Population trends in relation to ΣDDT and total PCB concentrations during 1968–1999. Environ. Pollut. 2001, 111, 457–469. [Google Scholar] [CrossRef] [PubMed]
- Gkotsis, G.; Nika, M.-C.; Nikolopoulou, V.; Alygizakis, N.; Bizani, E.; Aalizadeh, R.; Badry, A.; Chadwick, E.; Cincinelli, A.; Claßen, D.; et al. Assessment of contaminants of emerging concern in European apex predators and their prey by LC-QToF MS wide-scope target analysis. Environ. Int. 2022, 170, 107623. [Google Scholar] [CrossRef]
- Roos, A.; Berger, U.; Järnberg, U.; Van Dijk, J.; Bignert, A. Increasing concentrations of perfluoroalkyl acids in scandinavian otters (Lutra lutra) between 1972 and 2011: A new threat to the otter population? Environ. Sci. Technol. 2013, 47, 11757–11765. [Google Scholar] [CrossRef]
- Roos, A.; Rigét, F.; Örberg, J. Bone mineral density in Swedish otters (Lutra lutra) in relation to PCB and DDE concentrations. Ecotoxicol. Environ. Saf. 2010, 73, 1063–1070. [Google Scholar] [CrossRef]
- Richards, N.L.; Cook, G.; Simpson, V.; Hall, S.; Harrison, N.; Scott, K.S. Qualitative detection of the NSAIDs diclofenac and ibuprofen in the hair of Eurasian otters (Lutra lutra) occupying UK waterways with GC-MS. Eur. J. Wildl. Res. 2011, 57, 1107–1114. [Google Scholar] [CrossRef]
- Roos, A.; Loso, K.; Fang, J. Pharmaceuticals in otters from Sweden. In Proceedings of the 14th International Otter Congress IUCN SSC Otter Specialist Group; IUCN/SSC Otter Specialist Group: Tangjiahe, China, 2019; p. 56. [Google Scholar]
- Sherrard-Smith, E.; Chadwick, E.A. Age structure of the otter (Lutra lutra) population in England and Wales, and problems with cementum ageing. IUCN Otter Spec. Bull. 2010, 27, 42–49. [Google Scholar]
- Czapp, M.; Bankstahl, J.P.; Zibell, G.; Potschka, H. Brain penetration and anticonvulsant efficacy of intranasal phenobarbital in rats. Epilepsia 2008, 49, 1142–1150. [Google Scholar] [CrossRef]
- Radtke-Schuller, S. Cyto- and Myeloarchitectural Brain Atlas of the Ferret (Mustela putorius) in MRI Aided Stereotaxic Coordinates, 1st ed.; Springer International Publishing: Cham, Switzerland, 2018; ISBN 9783319766256. [Google Scholar]
- Hadžiselimović, H.; Dilberović, F. The appearance of the otter brain. Cells Tissues Organs 1977, 97, 387–392. [Google Scholar] [CrossRef]
- Siebert, U.; Wünschmann, A.; Weiss, R.; Frank, H.; Benke, H.; Frese, K. Post-mortem Findings in Harbour Porpoises (Phocoena phocoena) from the German North and Baltic Seas. J. Comp. Pathol. 2001, 124, 102–114. [Google Scholar] [CrossRef] [PubMed]
- Böck, P. Zellkern, Chromosomen und Zytoplasma. In Romeis—Mikroskopische Technik; Böck, P., Ed.; Urban & Schwarzenberg: Munich, Germany, 1989; pp. 345–362. [Google Scholar]
- Gernert, M.; Thompson, K.W.; Löscher, W.; Tobin, A.J. Genetically engineered GABA-producing cells demonstrate anticonvulsant effects and long-term transgene expression when transplanted into the central piriform cortex of rats. Exp. Neurol. 2002, 176, 183–192. [Google Scholar] [CrossRef]
- Käufer, C.; Schreiber, C.S.; Hartke, A.S.; Denden, I.; Stanelle-Bertram, S.; Beck, S.; Kouassi, N.M.; Beythien, G.; Becker, K.; Schreiner, T.; et al. Microgliosis and neuronal proteinopathy in brain persist beyond viral clearance in SARS-CoV-2 hamster model. eBioMedicine 2022, 79, 1–11. [Google Scholar] [CrossRef]
- Berkemeier, F.; Häussler, B.; Höer, A.; Maag, L.; Zimmermann, A. Arzneimittel-Atlas 2018—Der Arzneimittelverbrauch in der GKV; Häussler, B., Höer, A., Eds.; MWV Medizinisch Wissenschaftliche Verlagsgesellschaft mbH & Co. KG: Berlin, Germany, 2019; ISBN 978-3-95466-427-6. [Google Scholar]
- Cao, H.; Lin, X.; Zhan, H.; Zhang, H.; Lin, J. Photocatalytic degradation kinetics and mechanism of phenobarbital in TiO2 aqueous solution. Chemosphere 2013, 90, 1514–1519. [Google Scholar] [CrossRef] [PubMed]
- Writer, J.H.; Antweiler, R.C.; Ferrer, I.; Ryan, J.N.; Thurman, E.M. In-stream attenuation of neuro-active pharmaceuticals and their metabolites. Environ. Sci. Technol. 2013, 47, 9781–9790. [Google Scholar] [CrossRef]
- Williams, C.F.; Adamsen, F.J. Sorption-Desorption of Carbamazepine from Irrigated Soils. J. Environ. Qual. 2006, 35, 1779–1783. [Google Scholar] [CrossRef]
- Andreozzi, R.; Marotta, R.; Pinto, G.; Pollio, A. Carbamazepine in water: Persistence in the environment, ozonation treatment and preliminary assessment on algal toxicity. Water Res. 2002, 36, 2869–2877. [Google Scholar] [CrossRef] [PubMed]
- Hai, F.I.; Yang, S.; Asif, M.B.; Sencadas, V.; Shawkat, S.; Sanderson-Smith, M.; Gorman, J.; Xu, Z.Q.; Yamamoto, K. Carbamazepine as a Possible Anthropogenic Marker in Water: Occurrences, Toxicological Effects, Regulations and Removal by Wastewater Treatment Technologies. Water 2018, 10, 107. [Google Scholar] [CrossRef]
- Boulard, L.; Dierkes, G.; Schlüsener, M.P.; Wick, A.; Koschorreck, J.; Ternes, T.A. Spatial distribution and temporal trends of pharmaceuticals sorbed to suspended particulate matter of German rivers. Water Res. 2020, 171, 1–9. [Google Scholar] [CrossRef]
- Bergmann, A.; Fohrmann, R.; Weber, F. Zusammenstellung von Monitoringdaten zu Umweltkontzentrationen von Arzneimitteln; Umweltbundesamt (UBA): Dessau-Roßlau, Germany, 2011. [Google Scholar]
- Heberer, T. Occurrence, fate, and removal of pharmaceutical residues in the aquatic environment—A review of recent research data. Toxicol. Lett. 2002, 131, 5–17. [Google Scholar] [CrossRef]
- Landesamt für Landwirtschaft, Umwelt und Schleswig-Holstein, ländliche R. des L. Bericht zur Chemischen Situation der Fließgewässer und Seen in Schleswig-Holstein; Landesamt für Landwirtschaft, Umwelt und ländliche Räume des Landes Schleswig-Holstein, Abteilung Gewässer: Flintbek, Germany, 2018. [Google Scholar]
- Kruuk, H. Otters: Ecology, Behaviour and Conservation; Oxford University Press: Oxford, UK, 2006; ISBN 9780198565871. [Google Scholar]
- Macdonald, D.W.; Harrington, L.A.; Newman, C. Dramatis personae: An introduction to the wild musteloids. In Biology and Conservation of Musteloids; MacDonald, D.W., Newman, C., Harrington, L.A., Eds.; Oxford University Press: Oxford, UK, 2017; pp. 3–74. [Google Scholar]
- Bean, T.G.; Chadwick, E.A.; Herrero-villar, M.; Mateo, R.; Naidoo, V.; Ratter, B. Do Pharmaceuticals in the Environment Pose a Risk to Wildlife? Environ. Toxicol. Chem. 2022, 00, 1–16. [Google Scholar] [CrossRef]
- Kuhn, R.A.; Ansorge, H.; Godynicki, S.; Meyer, W. Hair density in the Eurasian otter Lutra lutra and the Sea otter Enhydra lutris. Acta Theriol. 2010, 55, 211–222. [Google Scholar] [CrossRef]
- Rached, A.; Moriceau, M.-A.; Serfaty, X.; Lefebvre, S.; Lattard, V. Biomarkers Potency to Monitor Non-target Fauna Poisoning by Anticoagulant Rodenticides. Front. Vet. Sci. 2020, 7, 616276. [Google Scholar] [CrossRef] [PubMed]
- Xu, C.; Zou, M.; Liu, Y.; Ren, J.; Tian, Y.; Yan, J.; Wang, Y.; Cheng, G. Pharmacokinetics of carbamazepine polymorphs and dihydrate in rats, related to dogs and humans. Arch. Pharm. Res. 2011, 34, 1973–1982. [Google Scholar] [CrossRef]
- Ren, T.; Xiao, M.; Yang, M.; Zhao, J.; Zhang, Y.; Hu, M.; Cheng, Y.; Xu, H.; Zhang, C.; Yan, X.; et al. Reduced Systemic and Brain Exposure with Inhibited Liver Metabolism of Carbamazepine After Its Long-Term Combination Treatment with Piperine for Epilepsy Control in Rats. AAPS J. 2019, 21, 4–16. [Google Scholar] [CrossRef]
- Xu, C.; Cheng, G.; Liu, Y.; Tian, Y.; Yan, J.; Zou, M. Effect of the timing of food intake on the absorption and bioavailability of carbamazepine immediate-release tablets in beagle dogs. Biopharm. Drug Dispos. 2012, 33, 30–38. [Google Scholar] [CrossRef] [PubMed]
- Tolou-Ghamari, Z.; Zare, M.; Habibabadi, J.M.; Najafi, M.R. A quick review of carbamazepine pharmacokinetics in epilepsy from 1953 to 2012. J. Res. Med. Sci. 2013, 18, 81–85. [Google Scholar]
- Friis, M.L.; Christiansen, J.; Hvidberg, E.F. Brain concentrations of carbamazepine and carbamazepine-10,11-epoxide in epileptic patients. Eur. J. Clin. Pharmacol. 1978, 14, 47–51. [Google Scholar] [CrossRef] [PubMed]
- Löscher, W.; Nau, H. Distribution of Valproic Acid and Its Metabolites in Various Brain Areas of Dogs and Rats after Acute and Prolonged Treatment. J. Pharmacol. Exp. Ther. 1983, 226, 845–854. [Google Scholar] [PubMed]
- Löscher, W. Serum Protein Binding and Pharmakokinetics of Valproate in Man, Dog, Rat and Mouse. J. Pharmacol. Exp. Ther. 1978, 204, 255–261. [Google Scholar]
- Löscher, W. Dogs as a Natural Animal Model of Epilepsy. Front. Vet. Sci. 2022, 9, 928009. [Google Scholar] [CrossRef]
- Batucan, N.S.P.; Tremblay, L.A.; Northcott, G.L.; Matthaei, C.D. Medicating the environment? A critical review on the risks of carbamazepine, diclofenac and ibuprofen to aquatic organisms. Environ. Adv. 2022, 7, 100164. [Google Scholar] [CrossRef]
- Harris, C.A.; Scott, A.P.; Johnson, A.C.; Panter, G.H.; Sheahan, D.; Roberts, M.; Sumpter, J.P. Principles of sound ecotoxicology. Environ. Sci. Technol. 2014, 48, 3100–3111. [Google Scholar] [CrossRef] [PubMed]




| Otter No. | Year of Finding/ Death | Sex | Age (Years) | Status before Necropsy | Decompo-sition Grade | Nutritional State | Cause of Death |
|---|---|---|---|---|---|---|---|
| 1 (w) | 2016 | m | 2.5–3.5 | frozen | 2 | moderate | trauma |
| 2 (w) | 2017 | m | 0.75–2.5 | frozen | 3 | good | trauma |
| 3 (w) | 2018 | f | - | frozen | 2 | moderate | trauma |
| 4 (w) | 2018 | f | 1.3–2.25 | frozen | 3 | moderate | trauma |
| 5 (w) | 2019 | f | - | frozen | 3 | good | trauma |
| 6 (w) | 2019 | f | 0.6–1.7 | frozen | 3 | good | trauma |
| 7 (w) | 2019 | m | - | frozen | 3 | moderate | bacterial septicemia |
| 8 (w) | 2019 | f | 1.5–2.5 | frozen | 2 | moderate | trauma |
| 9 (w) | 2019 | f | 2.5–3.5 | frozen | 4 | good | trauma |
| 10 (w) | 2019 | m | 0.5–2.5 | frozen | 4 | good | trauma |
| 11 (w) | 2019 | f | 2.4–4.5 | frozen | 2 | good | trauma |
| 12 (w) | 2019 | f | 2.3–3.3 | frozen | 3 | good | trauma |
| 13 (w) | 2020 | m | - | fresh/frozen | 2 | good | trauma |
| 14 (w) | 2020 | m | 1–2 | fresh/cooled | 3 | good | trauma |
| 15 (w) | 2020 | m | 3.25–4.25 | fresh/cooled | 1 | bad | starving |
| 16 (w) | 2020 | m | 5,5–7,5 | frozen | 2 | good | trauma |
| 17 (w) | 2020 | f | 2.3–3.3 | frozen | 2 | good | trauma |
| 18 (w) | 2020 | m | 0 | frozen | 2 | bad | starving |
| 19 (w) | 2020 | f | 0.5–2.5 | frozen | 3 | good | trauma |
| 20 (w) | 2020 | m | 1.5–3.5 | frozen | 3 | good | trauma |
| 21 (hc) | 2003 | m | 11.2 | frozen | 4 | good | metastatic neoplasia |
| 22 (hc) | 2012 | f | 2.3 | frozen | 3 | good | anesthesia |
| 23 (hc) | 2014 | f | 11.25 | frozen | 3 | moderate | cardiac arrest |
| 24 (hc) | 2019 | f | 17.9 | frozen | 3 | bad | unknown |
| 25 (hc) | 2020 | m | 6.75–7 | frozen | 2 | moderate | euthanasia |
| No. Otter | Peak Substance 1 (min) | Peak Substance 2 (min) | Peak Substance 3 (min) | Peak Substance 4 (min) | Peak Substance 5 (min) | Peak Substance 6 (min) | Peak Substance 7 (min) | Peak Substance 8 (min) |
|---|---|---|---|---|---|---|---|---|
| 1 (w) | 2.013 | - | - | 6.909 | - | - | - | - |
| 2 (w) | 2.020 | - | - | 6.913 | - | - | - | - |
| 3 (w) | - | - | - | 6.909 | - | - | - | - |
| 4 (w) | - | - | - | 6.653; 6.906 | - | - | - | - |
| 5 (w) | - | - | - | 6.653; 6.906 | - | - | - | - |
| 6 (w) | - | - | - | 6.913 | - | - | - | - |
| 7 (w) | 2.144 | - | - | 6.905 | - | - | - | 17.002 |
| 8 (w) | 2.037 | - | - | 6.670; 6.922 | - | - | - | - |
| 9 (w) | 2.029 | - | - | 6.919 | - | - | - | - |
| 10 (w) | - | - | - | - | 9.700 | - | - | - |
| 11 (w) | - | 4.489 | - | - | - | - | - | - |
| 12 (w) | - | 4.459 | - | - | - | - | - | - |
| 13 (w) | - | 4.499 | 5.423 | - | - | - | - | - |
| 14 (w) | - | 4.482 | - | - | - | - | - | - |
| 15 (w) | - | 4.523 | - | - | - | - | - | - |
| 21 (hc) | - | - | - | - | - | 10.670 | - | - |
| 22 (hc) | - | - | - | - | - | - | 12.097 | - |
| 23 (hc) | - | 4.498 | - | - | - | - | - | - |
| 24 (hc) | - | 4.474 | - | - | - | - | - | - |
| 25 (hc) | - | - | - | - | - | 10.662 | 12.131 | - |
| No. Otter | Substance 1, Retention Time 2.19 min; m/z Accurate m/z 365.2531 | Substance 2, Retention Time 2.15 min; Accurate m/z 277.2006 |
|---|---|---|
| 4 (w) | - | + |
| 5 (w) | + | - |
| 7 (w) | + | - |
| 8 (w) | + | + |
| 11 (w) | + | + |
| 12 (w) | + | + |
| 13 (w) | + | + |
| 14 (w) | + | + |
| 21 (hc) | + | + |
| 22 (hc) | + | + |
| 23 (hc) | - | + |
| 24 (hc) | + | + |
| 25 (hc) | + | + |
Disclaimer/Publisher’s Note: The statements, opinions and data contained in all publications are solely those of the individual author(s) and contributor(s) and not of MDPI and/or the editor(s). MDPI and/or the editor(s) disclaim responsibility for any injury to people or property resulting from any ideas, methods, instructions or products referred to in the content. |
© 2023 by the authors. Licensee MDPI, Basel, Switzerland. This article is an open access article distributed under the terms and conditions of the Creative Commons Attribution (CC BY) license (https://creativecommons.org/licenses/by/4.0/).
Share and Cite
Rohner, S.; Gramer, M.; Wiesweg, I.; Scherf-Clavel, O.; Wohlsein, P.; Schmelz, M.; Siebert, U.; Richter, F.; Gernert, M. Present in the Aquatic Environment, Unclear Evidence in Top Predators—The Unknown Effects of Anti-Seizure Medication on Eurasian Otters (Lutra lutra) from Northern Germany. Toxics 2023, 11, 338. https://doi.org/10.3390/toxics11040338
Rohner S, Gramer M, Wiesweg I, Scherf-Clavel O, Wohlsein P, Schmelz M, Siebert U, Richter F, Gernert M. Present in the Aquatic Environment, Unclear Evidence in Top Predators—The Unknown Effects of Anti-Seizure Medication on Eurasian Otters (Lutra lutra) from Northern Germany. Toxics. 2023; 11(4):338. https://doi.org/10.3390/toxics11040338
Chicago/Turabian StyleRohner, Simon, Martina Gramer, Ivo Wiesweg, Oliver Scherf-Clavel, Peter Wohlsein, Martin Schmelz, Ursula Siebert, Franziska Richter, and Manuela Gernert. 2023. "Present in the Aquatic Environment, Unclear Evidence in Top Predators—The Unknown Effects of Anti-Seizure Medication on Eurasian Otters (Lutra lutra) from Northern Germany" Toxics 11, no. 4: 338. https://doi.org/10.3390/toxics11040338
APA StyleRohner, S., Gramer, M., Wiesweg, I., Scherf-Clavel, O., Wohlsein, P., Schmelz, M., Siebert, U., Richter, F., & Gernert, M. (2023). Present in the Aquatic Environment, Unclear Evidence in Top Predators—The Unknown Effects of Anti-Seizure Medication on Eurasian Otters (Lutra lutra) from Northern Germany. Toxics, 11(4), 338. https://doi.org/10.3390/toxics11040338

