Native and Heated Hydrolysates of Milk Proteins and Their Capacity to Inhibit Lipid Peroxidation in the Zebrafish Larvae Model
Abstract
:1. Introduction
2. Materials and Methods
2.1. Isolation of Caseins and Whey Proteins
2.2. Heat Treatment of Milk Proteins
2.3. Enzymatic Hydrolysis of Caseins and Whey Proteins
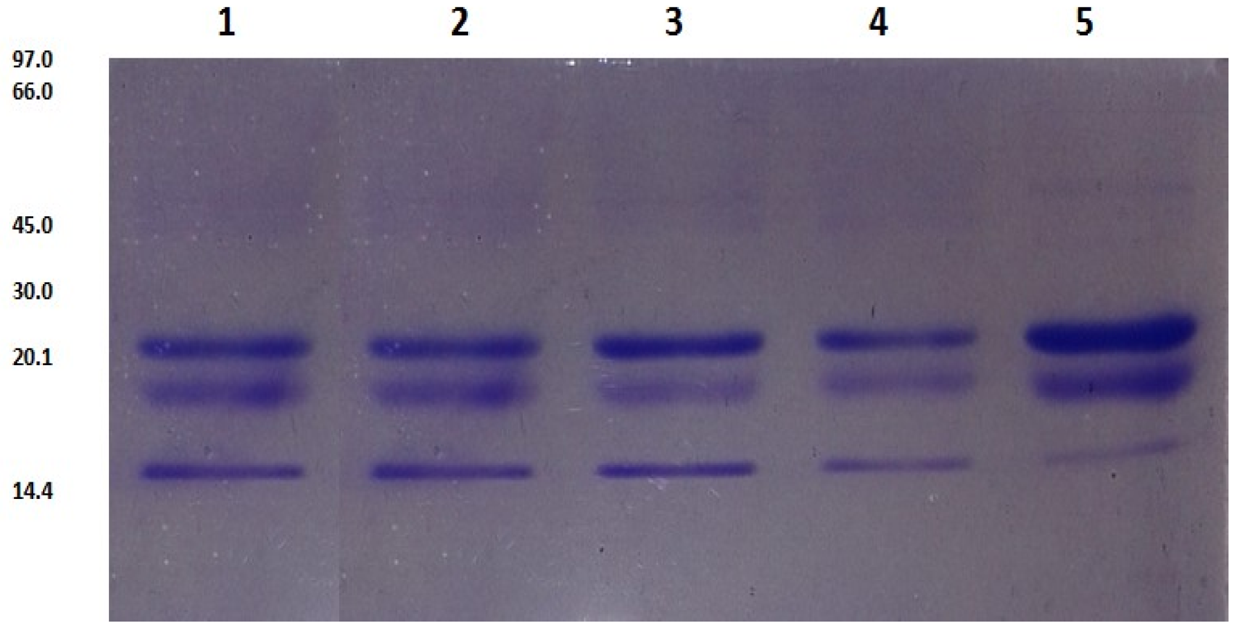
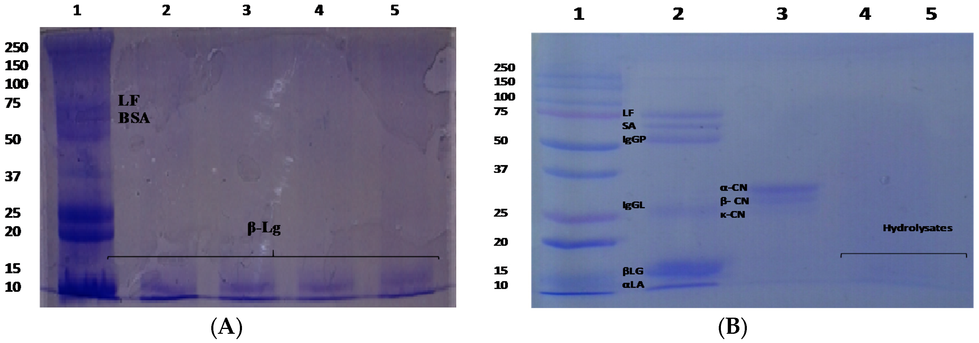
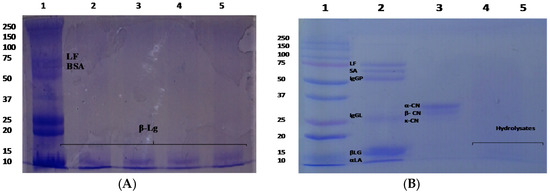
2.4. Sodium Dodecyl Sulphate-Polyacrylamide Gel Electrophoresis (SDS-PAGE)
2.5. Test of Toxicity in the Zebrafish Eggs Model
2.6. Test of Toxicity in the Zebrafish Larvae Model
2.7. In Vitro Thiobarbituric Acid Reactive Substances (TBARS)
2.8. In Vivo Thiobarbituric Acid Reactive Substances (TBARS) in Zebrafish Larvae Model
2.9. Statistical Analysis
3. Results
3.1. SDS-PAGE Electrophoresis Analysis
3.2. In Vitro Inhibition of Lipid Peroxidation (TBARS)
3.2.1. Native Casein Hydrolysates
3.2.2. Heated Caseins Hydrolysates
3.2.3. Native Whey Hydrolysates
3.2.4. Heated Whey Hydrolysates
3.3 In Vivo Inhibition of Lipid Peroxidation (TBARS) in the Zebrafish Larvae Model
3.3.1. Native Casein Hydrolysates
3.3.2. Heated Caseins Hydrolysates
3.3.3. Native Whey Hydrolysates
3.3.4. Heated Whey Hydrolysates
4. Conclusions
Acknowledgments
Author Contributions
Conflicts of Interest
References
- Pardo, M.F.; Natalucci, C.L. Electrophoretic analysis (Tricine-SDS-PAGE) of bovine caseins. Acta Farm. Bonaer. 2002, 21, 57–60. [Google Scholar]
- Jovanovic, S.; Barac, M.; Macej, O.; Vucic, T.; Lacnjevac, C. SDS-PAGE analysis of soluble proteins in reconstituted milk exposed to different heat treatments. Sensors 2007, 7, 371–383. [Google Scholar] [CrossRef]
- Meisel, H. Multifunctional peptides encrypted in milk proteins. Biofactors 2004, 21, 55–61. [Google Scholar] [CrossRef] [PubMed]
- You, S.J.; Udenigwe, C.C.; Aluko, R.E.; Wu, J. Multifunctional peptides from egg white lysozyme. Food Res. Int. 2010, 43, 848–855. [Google Scholar] [CrossRef]
- Lönnerdal, B. Human Milk: Bioactive Proteins/Peptides and Functional Properties. In Protein in Neonatal and Infant Nutrition: Recent Updates; Karger Publishers: Brussels, Belgium, 2016; pp. 97–107. [Google Scholar]
- Abdel-Hamid, M.; Otte, J.; De Gobba, C.; Osman, A.; Hamad, E. Angiotensin I-converting enzyme inhibitory activity and antioxidant capacity of bioactive peptides derived from enzymatic hydrolysis of buffalo milk proteins. Int. Dairy J. 2017, 66, 91–98. [Google Scholar] [CrossRef]
- Hernández-Ledesma, B.; Dávalos, A.; Bartolomé, B.; Amigo, L. Prepa-ration of antioxidant enzymatic hydrolysates from alpha-lactalbumin and beta-lactoglobulin. Identification of active peptides by HPLC-MS/MS. J. Agric. Food Chem. 2005, 53, 588–593. [Google Scholar] [CrossRef] [PubMed]
- Chen, H.M.; Muramoto, K.; Yamauchi, F. Structural Analysis of Antioxidative Peptides from Soybean β-Conglycinin. J. Agric. Food Chem. 1995, 43, 574–578. [Google Scholar] [CrossRef]
- Peña-Ramos, E.A.; Xiong, Y.L. Whey and soy protein hydrolysates inhibit lipid oxidation in cooked pork patties. Meat Sci. 2003, 64, 259–263. [Google Scholar] [CrossRef]
- Carrillo, W.; Gómez-Ruiz, J.A.; Miralles, B.; Ramos, M.; Barrio, D.; Recio, I. Identification of antioxidants peptides of hen egg White Lysozyme and evaluation of inhibition of lipid peroxidation and cytotoxicity in the zebrafish model. Eur. Food Res. Technol. 2016, 242, 1777–1785. [Google Scholar] [CrossRef]
- Tsuge, N.; Eikawa, Y.; Nomura, Y.; Yamamoto, M.; Sugisawa, K. Antioxidative activity of peptides prepared by enzymatic hydrolysis of egg-white albumin. Nippon Nogeikagaku Kaishi 1991, 65, 1635–1641. [Google Scholar] [CrossRef]
- Sakanaka, S.; Tachibana, Y.; Ishihara, N.; Juneja, L.R. Antioxidant properties of casein calcium peptides and their effects on lipid oxidation in beef homogenates. J. Agric. Food Chem. 2005, 53, 464–468. [Google Scholar] [CrossRef] [PubMed]
- Amarowicz, R.; Shahidi, F. Antioxidant activity of peptide fractions of capelin protein hydrolysates. Food Chem. 1997, 58, 355–359. [Google Scholar] [CrossRef]
- Rodríguez Saint-Jean, S.; las Heras, A.; Carrillo, W.; Recio, I.; Ortiz-Delgado, J.B.; Ramos, M.; Pérez-Prieto, S.I. Antiviral activity of casein and αs2 casein hydrolysates against the infectious haematopoietic necrosis virus, a rhabdovirus from salmonid fish. J. Fish Dis. 2013, 36, 467–481. [Google Scholar] [CrossRef] [PubMed]
- Laemmli, U.K. Cleavage of structural proteins during the assembly of bacteriophage T4. Nature 1970, 227, 680–685. [Google Scholar] [CrossRef] [PubMed]
- Westerfield, M. The Zebrafish Book. A Guide for the Laboratory Use of Zebrafish (Danio Rerio), 3rd ed.; University of Oregon Press: Eugene, OR, USA, 1995; p. 385. [Google Scholar]
- OECD. Test No. 236: Fish Embryo Acute Toxicity (FET) Test; OECD Publishing: Paris, France, 2013. [Google Scholar]
- Domingues, I.; Oliveira, R.; Lourenco, J.; Grisolia, C.K.; Mendo, S.; Soares, A.M. Biomarkers as a tool to assess effects of chromium (VI): Comparison of responses in zebrafish early life stages and adults. Comp. Biochem. Physiol. C Toxicol. Pharmacol. 2010, 152, 338–345. [Google Scholar] [CrossRef] [PubMed]
- Nagel, R. DarT: The embryo test with the Zebrafish Danio rerio a general model in ecotoxicology and toxicology. Altex 2002, 19, 38–48. [Google Scholar] [PubMed]
- Kimmel, C.B.; Ballard, W.W.; Kimmel, S.R.; Ullmann, B.; Schilling, T.F. Stages of embryonic development of the zebrafish. Dev. Dyn. 1995, 203, 253–310. [Google Scholar] [CrossRef] [PubMed]
- Carrillo, W.; Tubón, J.; Vilcacundo, R. Isolation of hen egg white lysozyme by cation exchange chromatography, analysis of its digestibility and evaluation of the inhibition lipid peroxidation in the zebrafish model. Asian J. Pharm. Clin. Res. 2016, 9, 345–349. [Google Scholar]
- Wu, S.J.; Ng, L.T. Antioxidant and free radical scavenging activities of wild bitter melon (Monordica charantia Linn. Var. abbreviate Ser.) in Taiwan. LWT Food Sci. Technol. 2008, 41, 323–330. [Google Scholar] [CrossRef]
- VanderVeen, L.A.; Hashim, M.F.; Shyr, Y.; Marnett, L.J. Induction of frameshift and base pair substitution mutations by the major DNA adduct of the endogenous carcinogen malondialdehyde. Proc. Natl. Acad. Sci. USA 2003, 100, 14247–14252. [Google Scholar] [CrossRef] [PubMed]
- Hu, M.; McClements, D.J.; Decker, E.A. Lipid oxidation in corn oil-in-water emulsions stabilized by casein, whey protein isolate, and soy protein isolate. J. Agric. Food Chem. 2003, 51, 1696–1700. [Google Scholar] [CrossRef] [PubMed]
- Tong, L.M.; Sasaki, S.; McClements, D.J.; Decker, E.A. Antioxidant activity of whey in a salmon oil emulsion. J. Food Sci. 2000, 65, 1325–1329. [Google Scholar] [CrossRef]
- Shon, J.; Haque, Z.U. Antioxidative ability of native and thermized sour whey in oxidation-catalysed model systems. Int. J. Dairy Technol. 2007, 60, 143–148. [Google Scholar] [CrossRef]
- Faraji, H.; Decker, E.A.; Aaron, D.K. Suppression of lipid oxidation in phosphatidylcholine liposomes and ground pork by spray-dried porcine plasma. J. Agric. Food Chem. 1991, 39, 1288–1290. [Google Scholar] [CrossRef]
- Shantha, N.C.; Decker, E.A. Rapid, sensitive, iron-based spectrophotometric methods for determination of peroxide values of food lipids. J. AOAC Int. 1994, 77, 421–424. [Google Scholar] [PubMed]
- Taylor, M.J.; Richardson, T. Antioxidant activity of skim milk: Effect of heat and resultant sulfhydryl groups. J. Dairy Sci. 1980, 63, 1783–1795. [Google Scholar] [CrossRef]
- Allen, J.C.; Wrieden, W.L. Influence of milk proteins on lipid oxidation in aqueous emulsion. I. Casein, whey protein, and a-lactalbumin. J. Dairy Res. 1982, 49, 239–248. [Google Scholar] [CrossRef]
- Allen, J.C.; Wrieden, W.L. Influence of milk proteins on lipid oxidation in aqueous emulsion. II. Lactoperoxidase, lactoferrin, superoxide dismutase, and xanthine oxidase. J. Dairy Res. 1982, 49, 249–263. [Google Scholar] [CrossRef]
- Elias, R.J.; McClements, D.J.; Decker, E.A. Antioxidant activity of cysteine, tryptophan, and methionine residues in continuous phase beta-lactoglobulin in oil-in-water emulsions. J. Agric. Food Chem. 2005, 53, 10248–10253. [Google Scholar] [CrossRef] [PubMed]
- Park, E.Y.; Murakami, H.; Mori, T.; Matsumura, Y. Effects of protein and peptide addition on lipid oxidation in powder model system. J. Agric. Food Chem. 2005, 53, 137–144. [Google Scholar] [CrossRef] [PubMed]
- Donnelly, J.L.; Decker, E.A.; McClements, D.J. Iron-catalyzed oxidation of menhaden oil as affected by emulsifiers. J. Food Sci. 1998, 63, 997–1000. [Google Scholar] [CrossRef]





| Treatment | Sample | % Inhibition of Lipid Peroxidation (TBARS) of Caseins Hydrolysates (mg/mL) | |||
|---|---|---|---|---|---|
| 0.02 | 0.04 | 0.2 | 0.4 | ||
| Hydrolysis | BHT | 69.49 ± 0.26 a | 74.57 ± 0.46 a | 77.96 ± 0.70 a | 78.71 ± 0.26 a |
| Whole milk | 33.33 ± 2.39 b | 44.25 ± 0.26 b | 51.60 ± 1.33 b | 55.55 ± 0.26 b | |
| Milk 1 | 14.87 ± 0.96 c | 21.46 ± 0.46 c | 26.55 ± 0.92 c | 30.88 ± 0.96 c | |
| Milk 2 | 18.83 ± 0.70 d | 24.48 ± 1.48 d | 29.37 ± 1.66 d | 36.72 ± 1.22 d | |
| Milk 3 | 19.77 ± 0.70 e | 25.98 ± 1.66 e | 30.69 ± 0.70 e | 37.85 ± 0.46 e | |
| Milk 4 | 25.42 ± 0.46 f | 32.20 ± 0.46 f | 35.97 ± 0.70 f | 40.67 ± 1.84 f | |
| Heat + hydrolysis | Whole milk | 45.00 ± 0.53 a | 50.09 ± 0.53 a | 53.48 ± 0.53 a | 58.00 ± 0.26 a |
| Milk 1 | 19.20 ± 0.92 b | 25.80 ± 0.26 b | 32.20 ± 0.46 b | 37.66 ± 0.26 b | |
| Milk 2 | 24.48 ± 0.70 c | 30.88 ± 0.26 c | 38.04 ± 1.16 c | 42.37 ± 0.46 c | |
| Milk 3 | 25.42 ± 0.46 d | 31.26 ± 0.70 d | 39.73 ± 0.70 d | 46.51 ± 0.96 d | |
| Milk 4 | 31.63 ± 0.46 e | 35.02 ± 0.92 e | 42.75 ± 0.26 e | 46.70 ± 1.86 e | |
| Treatment | Sample | % Inhibition of Lipid Peroxidation (TBARS) of Whey Protein Hydrolysates (mg/mL) | |||
|---|---|---|---|---|---|
| 0.02 | 0.04 | 0.2 | 0.4 | ||
| Hydrolysis | BHT | 69.49 ± 0.26 a | 74.57 ± 0.46 a | 77.96 ± 0.70 a | 78.71 ± 0.26 a |
| Whole milk | 18.07 ± 0.92 b | 25.23 ± 0.70 b | 28.43 ± 1.48 b | 34.84 ± 0.70 b | |
| Milk 1 | 10.73 ± 0.46 c | 18.07 ± 0.46 c | 21.09 ± 0.96 c | 29.19 ± 5.34 c | |
| Milk 2 | 12.42 ± 1.22 d | 19.77 ± 0.46 d | 22.78 ± 0.70 d | 30.50 ± 0.46 d | |
| Milk 3 | 13.37 ± 1.06 e | 21.09 ± 0.96 e | 25.23 ± 0.70 e | 27.49 ± 0.26 e | |
| Milk 4 | 14.31 ± 0.26 f | 19.77 ± 0.46 d | 25.23 ± 0.70 e | 30.88 ± 0.26 f | |
| Heat + hydrolysis | Whole milk | 26.93 ± 0.70 a | 29.00 ± 0.70 a | 33.52 ± 0.70 a | 40.86 ± 0.26 a |
| Milk 1 | 14.12 ± 0.46 b | 19.20 ± 1.38 b | 26.36 ± 1.48 b | 31.63 ± 0.79 b | |
| Milk 2 | 17.51 ± 0.46 c | 21.46 ± 0.46 c | 26.36 ± 0.96 c | 34.27 ± 1.92 c | |
| Milk 3 | 18.83 ± 0.70 d | 23.16 ± 2.01 d | 28.43 ± 0.96 d | 34.08 ± 0.70 c | |
| Milk 4 | 20.90 ± 1.22 e | 25.42 ± 0.46 e | 29.56 ± 1.16 e | 34.08 ± 0.70 c | |
© 2017 by the authors. Licensee MDPI, Basel, Switzerland. This article is an open access article distributed under the terms and conditions of the Creative Commons Attribution (CC BY) license (http://creativecommons.org/licenses/by/4.0/).
Share and Cite
Carrillo, W.; Guzmán, X.; Vilcacundo, E. Native and Heated Hydrolysates of Milk Proteins and Their Capacity to Inhibit Lipid Peroxidation in the Zebrafish Larvae Model. Foods 2017, 6, 81. https://doi.org/10.3390/foods6090081
Carrillo W, Guzmán X, Vilcacundo E. Native and Heated Hydrolysates of Milk Proteins and Their Capacity to Inhibit Lipid Peroxidation in the Zebrafish Larvae Model. Foods. 2017; 6(9):81. https://doi.org/10.3390/foods6090081
Chicago/Turabian StyleCarrillo, Wilman, Xavier Guzmán, and Edgar Vilcacundo. 2017. "Native and Heated Hydrolysates of Milk Proteins and Their Capacity to Inhibit Lipid Peroxidation in the Zebrafish Larvae Model" Foods 6, no. 9: 81. https://doi.org/10.3390/foods6090081
APA StyleCarrillo, W., Guzmán, X., & Vilcacundo, E. (2017). Native and Heated Hydrolysates of Milk Proteins and Their Capacity to Inhibit Lipid Peroxidation in the Zebrafish Larvae Model. Foods, 6(9), 81. https://doi.org/10.3390/foods6090081

