Live Aspergillus cristatum from Fuzhuan Brick Tea Alleviates DSS-Induced Colitis by Intestinal Barrier Restoration and Suppressing NLRP3 Signaling Pathway Regulation
Abstract
1. Introduction
2. Materials and Methods
2.1. Preparation of Spore Suspension
2.2. Animals and Experimental Design
2.3. Evaluation of the Disease Activity Index (DAI)
2.4. Histopathological Assessment
2.5. Measurement of Inflammatory Biomarkers and Intestinal Injury Indicators by ELISA
2.6. RT-qPCR
2.7. Western Blot
2.8. Statistical Analysis
3. Results
3.1. A. cristatum Administration Ameliorated DSS-Induced Colitis Symptoms
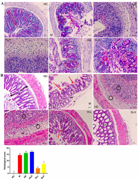
3.2. HLL and SLH Treatments Mitigated DSS-Induced Mucus Disruption and Depletion of Goblet Cell Depletion
3.3. HLL and SLH Improved the Histological Injury of Colon
3.4. HLL and SLH Decreased the Content of Proinflammatory Cytokines and Oxidative Stress-Associated Indicators
3.5. HLL and SLH Regulated the Expression of Inflammatory Cytokines at the mRNA Level
3.6. HLL and SLH Treatment Promoted the Expression Levels of Tight Junction Molecules
3.7. A. cristatum Intervention Alleviates DSS-Induced Colits by Suppressing the NLRP3 Pathway
4. Discussion
5. Conclusions
Supplementary Materials
Author Contributions
Funding
Institutional Review Board Statement
Informed Consent Statement
Data Availability Statement
Conflicts of Interest
References
- Yu, T.-Y.; Yan, J.; Wang, R.-C.; Zhang, L.; Hu, X.-K.; Xu, J.-X.; Li, F.-N.; Sun, Q. Integrative Multiomics Profiling Unveils the Protective Function of Ulinastatin against Dextran Sulfate Sodium-Induced Colitis. Antioxidants 2024, 13, 214. [Google Scholar] [CrossRef] [PubMed]
- Du, L.L.; Ha, C. Epidemiology and pathogenesis of ulcerative colitis. Gastroenterol. Clin. N. Am. 2020, 49, 643–654. [Google Scholar] [CrossRef]
- Levine, J.; McKibbin, J.; Ham, R.; Cohen-Mekelburg, S.; Bishu, S.; Tang, K.; Higgins, P.D.R.; Berinstein, J.-A. Use of Upadacitinib in 16 Tofacitinib-refractory Ulcerative Colitis Patients: A Single-center Case 2Series. Inflamm. Bowel Dis. 2023, 30, 2232–2235. [Google Scholar] [CrossRef]
- Huang, T.-Q.; Chen, Y.-X.; Zeng, S.-L.; Lin, Y.; Li, F.; Jiang, Z.-M.; Liu, E.-H. Bergenin Alleviates Ulcerative Colitis by Decreasing Gut Commensal Bacteroides vulgatus-Mediated Elevated Branched-Chain Amino Acids. J. Agric. Food Chem. 2024, 72, 3606–3621. [Google Scholar] [CrossRef]
- Khare, S.; Jog, R.; Bright, A.; Burgess, D.-J.; Chakder, S.-K.; Gokulan, K. Evaluation of mucosal immune profile associated with Zileuton nanocrystal-formulated BCS-II drug upon oral administration in Sprague Dawley rats. Nanotoxicology 2023, 17, 583–603. [Google Scholar] [CrossRef]
- Sun, T.-H.; Ren, K.-J.; Xu, G.-M.; Ma, R.-L.; Wang, X.-N.; Min, T.-H.; Xie, X.; Sun, A.-B.; Ma, Y.-Y.; Wang, H.-A.; et al. Plasma-activated solutions mitigates DSS-induced colitis via restoring redox homeostasis and reversing microbiota dysbiosis. Adv. Sci. 2023, 10, e2304044. [Google Scholar] [CrossRef]
- Li, X.-Y.; Zhang, B.; Zhang, X.; Yu, S.Y.; Xue, H.-H.; Hu, X.-Y. TLE3 and TLE4-coordinated colonic macrophage-CD4+ T cell crosstalk maintains intestinal immune homeostasis. Mucosal Immunol. 2023, 16, 50–60. [Google Scholar] [CrossRef]
- Zou, L.; Kuo, W.-T.; Turner, J.-R. Tight Junctions as Targets and Effectors of Mucosal Immune Homeostasis. Cell. Mol. Gastroenterol. Hepatol. 2020, 10, 327–340. [Google Scholar]
- Raj, V.; Venkataraman, B.; Ojha, S.-K.; Almarzooqi, S.; Subramanian, V.-S.; Al-Ramadi, B.-K.; Adrian, T.-E.; Subramanya, S.-B. Cis-Nerolidol Inhibits MAP Kinase and NF-κB Signaling Pathways and Prevents Epithelial Tight Junction Dysfunction in Colon Inflammation: In vivo and in vitro Studies. Molecules 2023, 28, 2982. [Google Scholar] [CrossRef]
- Subramanian, S.; Geng, H.; Tan, X.-D. Cell death of intestinal epithelial cells in intestinal diseases. Shengli Xuebao 2020, 72, 308–324. [Google Scholar]
- Ho, G.-T.; Cartwright, J.-A.; Thompson, E.-J.; Bain, C.-C.; Rossi, A.-G. Resolution of Inflammation and Gut Repair in IBD: Translational Steps Towards Complete Mucosal Healing. Inflamm. Bowel Dis. 2020, 26, 1131–1143. [Google Scholar] [CrossRef]
- Meyers, A.-K.; Zhu, X.-W. The NLRP3 inflammasome: Metabolic regulation and contribution to inflammaging. Cells 2020, 9, 1808–1829. [Google Scholar] [CrossRef]
- Qin, M.; Long, F.; Wu, W.-J.; Yang, D.; Huang, M.-W.; Xiao, C.-X.; Chen, X.; Liu, X.-H.; Zhu, Y.-Z. Hydrogen sulfide protects against DSS-induced colitis by inhibiting NLRP3 inflammasome. Free Radic. Biol. Med. 2019, 137, 99–109. [Google Scholar] [CrossRef] [PubMed]
- Yang, W.-Q.; Ren, D.-Y.; Zhao, Y.; Liu, L.; Yang, X.-B. Fuzhuan brick tea polysaccharide improved ulcerative colitis in association with gut microbiota-derived tryptophan metabolism. J. Agric. Food Chem. 2021, 69, 8448–8459. [Google Scholar] [CrossRef] [PubMed]
- Zhang, S.-H.; Chen, B.; Wang, B.-M.; Chen, H.; Li, Y.; Cao, Q.; Zhong, J.; Shieh, M.-J.; Ran, Z.-H.; Tang, T.Y.; et al. Effect of Induction Therapy with Olamkicept vs. Placebo on Clinical Response in Patients with Active Ulcerative Colitis a Randomized Clinical Trial. JAMA-J. Am. Med. Assoc. 2023, 329, 725–734. [Google Scholar] [CrossRef]
- Xie, Z.-Y.; Bai, Y.-X.; Chen, G.-J.; Rui, Y.; Chen, D.; Sun, Y.; Zeng, X.-X.; Liu, Z.-H. Modulation of gut homeostasis by exopolysaccharides from aspergillus cristatus (mk346334), a strain of fungus isolated from Fuzhuan brick tea, contributes to immunomodulatory activity in cyclophosphamide-treated mice. Food Funct. 2020, 11, 10397–10412. [Google Scholar] [CrossRef] [PubMed]
- Wang, L.; Li, M.-F.; Gu, Y.; Shi, J.-L.; Yan, J.; Wang, X.; Li, B.-Q.; Wang, B.-M.; Zhong, W.-L.; Cao, H.-L. Dietary flavonoids-microbiota crosstalk in intestinal inflammation and carcinogenesis. J. Nutr. Biochem. 2024, 125, 109494. [Google Scholar] [CrossRef] [PubMed]
- Wang, Y.; Li, T.; Yang, C.-C.; Wu, Y.-M.; Liu, Y.-Y.; Yang, X.-B. Eurotium cristatum from Fu Brick Tea Promotes Adipose Thermogenesis by Boosting Colonic Akkermansia muciniphila in High-Fat-Fed Obese Mice. Foods 2023, 12, 3716. [Google Scholar] [CrossRef] [PubMed]
- Wang, X.; Cui, Y.-Y.; Sang, C.-W.; Wang, B.; Yuan, Y.-R.; Liu, B.; Yuan, Y.-H.; Yue, T.-L. Fungi with potential probiotic properties isolated from Fuzhuan brick tea. Food Sci. Hum. Wellness 2023, 11, 686–696. [Google Scholar] [CrossRef]
- Wang, Y.; Feng, K.; Yang, H.; Zhang, Z.; Yuan, Y.; Yue, T. Effect of Cinnamaldehyde and Citral Combination on Transcriptional Profile, Growth, Oxidative Damage and Patulin Biosynthesis of Penicillium expansum. Front. Microbiol. 2018, 9, 597. [Google Scholar] [CrossRef] [PubMed]
- Ghia, J.E.; Blennerhassett, P.; Kumar-Ondiveeran, H.; Verdu, E.F.; Collins, S.M. The Vagus Nerve: A Tonic Inhibitory Influence Associated with Inflammatory Bowel Disease in a Murine Model. Gastroenterology 2006, 131, 1122–1130. [Google Scholar] [CrossRef]
- Liu, T.; Feng, J.-H.; Han, H.-Y.; Huang, J.-L.; Zhang, L.-A.; Hettinga, K.; Zhou, P. Anti-inflammatory effects of dietary β-Casein peptides and its peptide QEPVL in a DSS-induced inflammatory bowel disease mouse model. Food Biosci. 2023, 56, 103375. [Google Scholar] [CrossRef]
- Kang, D.; Su, M.; Duan, Y.; Huang, Y. Eurotium cristatum, a potential probiotic fungus from Fuzhuan brick tea, alleviated obesity in mice by modulating gut microbiota. Food Funct. 2019, 10, 5032–5045. [Google Scholar] [CrossRef]
- Kwon, H.J.; Chun, S.-Y.; Lee, E.H.; Yoon, B.; Han, M.-H.; Chung, J.-W.; Ha, Y.-S.; Lee, J.-N.; Kim, H.-T.; Kim, D.-H.; et al. Protaetia brevitarsis-Derived Protein Hydrolysate Reduces Obesity-Related Colitis Induced by High-Fat Diet in Mice through Anti-Inflammatory Pathways. Int. J. Mol. Sci. 2023, 24, 12333. [Google Scholar] [CrossRef] [PubMed]
- Zhong, J.; Yu, R.-Y.; Zhou, Q.; Liu, P.; Liu, Z.-J.; Bian, Y.-F. Naringenin prevents TNF-alpha-induced gut-vascular barrier disruption associated with inhibiting the NF-kappaB-mediated MLCK/p-MLC and NLRP3 pathways. Food Funct. 2021, 12, 2715–2725. [Google Scholar] [CrossRef]
- Xu, A.-Q.; Wang, Y.-L.; Wen, J.-Y.; Liu, P.; Liu, Z.-Y.; Li, Z.-J. Fungal community associated with fermentation and storage of Fuzhuan brick-tea. Int. J. Food Microbiol. 2011, 146, 14–22. [Google Scholar] [CrossRef] [PubMed]
- Chen, Y.; Yang, B.; Ross, R.-P.; Jin, Y.; Stanton, C.; Zhao, J.-X.; Zhang, H.; Chen, W. Orally administered CLA ameliorates DSS-induced colitis in mice via intestinal barrier improvement, oxidative stress reduction, and inflammatory cytokine and gut microbiota modulation. J. Agric. Food Chem. 2019, 67, 13282–13298. [Google Scholar] [CrossRef] [PubMed]
- Xu, A.-A.; Zhao, Y.-L.; Shi, Y.-X.; Zuo, X.-X.; Yang, Y.-J.; Wang, Y.-F.; Xu, P. Effects of oxidation-based tea processing on the characteristics of the derived polysaccharide conjugates and their regulation of intestinal homeostasis in DSS-induced colitis mice. Int. J. Biol. Macromol. 2022, 214, 402–413. [Google Scholar] [CrossRef]
- Qiu, T.; Niu, L.; Zhang, Y.; Lv, Y.-F. The inhibition of HACE1 ameliorates inflammatory responses in Citrobacter rodentium-induced murine colitis through Nrf2/ NLRP3 signaling pathway. Food Sci. Technol. 2023, 43, e124122. [Google Scholar] [CrossRef]
- Sireswar, S.; Dey, G.; Biswas, S. Influence of fruit-based beverages on efficacy of Lacticaseibacillus rhamnosus GG (Lactobacillus rhamnosus GG) against DSS-induced intestinal inflammation. Food Res. Int. 2021, 149, 110661. [Google Scholar] [CrossRef]
- Zhang, S.-R.; Liu, S.-J.; Li, H.-H.; Luo, L.-Y.; Zeng, L. Identification of the key phytochemical components responsible for sensory characteristics of Hunan fuzhuan brick tea. J. Food Compos. Anal. 2023, 12, 105289. [Google Scholar] [CrossRef]
- Pang, B.; Jin, H.; Liao, N.; Li, J.; Jiang, C.; Shi, J. Vitamin A supplementation ameliorates ulcerative colitis in gut microbiota-dependent manner. Food Res. Int. 2021, 148, 110568. [Google Scholar] [CrossRef]
- Dejana, E.-D. Endothelial cell-cell junctions: Happy together. Nat. Rev. Mol. Cell Biol. 2004, 5, 261–270. [Google Scholar] [CrossRef] [PubMed]
- Liu, D.-C.; Tian, Q.-Q.; Liu, K.-J.; Ren, F.; Liu, G.-L.; Zhou, J.-Y.; Yuan, L.-W.; Fang, Z.-X.; Zou, B.; Wang, S.-L. Ginsenoside Rg3 Ameliorates DSS-Induced Colitis by Inhibiting NLRP3 Inflammasome Activation and Regulating Microbial Homeostasis. J. Agric. Food Chem. 2023, 71, 3472–3483. [Google Scholar] [CrossRef]
- Yang, L.-N.; Lin, Q.; Han, L.; Wang, Z.-Y.; Luo, M.-S.; Kang, W.-R.; Liu, J.; Wang, J.; Ma, T.; Liu, H. Soy hull dietary fiber alleviates inflammation in BALB/C mice by modulating the gut microbiota and suppressing the TLR-4/NF-kappaB signaling pathway. Food Funct. 2020, 11, 5965–5975. [Google Scholar] [CrossRef]
- Chen, H.-W.; Yang, H.-X.; Deng, J.J.; Fan, D.D. Ginsenoside Rk3 Ameliorates Obesity-Induced Colitis by Regulating of Intestinal Flora and the TLR4/NF-kappaB Signaling Pathway in C57BL/6 Mice. J. Agric. Food Chem. 2021, 69, 3082–3093. [Google Scholar] [CrossRef] [PubMed]
- Machado, A.-P.; Geraldi, M.-V.; do Nascimento, R.-d.-P.; Moya, A.-M.-T.-M.; Vezza, T.; Diez-Echave, P.; Juan Galvaz, J.; Cazarin, C.-B.-B.; Marostica Junior, M.-R. Polyphenols from food by-products: An alternative or complementary therapy to IBD conventional treatments. Food Res. Int. 2021, 140, 110018. [Google Scholar] [CrossRef]
- Liu, A.-L.; Lv, H.; Wang, H.-Y.; Yang, H.; Li, Y.; Qian, J.-M. Aging Increases the Severity of Colitis and the Related Changes to the Gut Barrier and Gut Microbiota in Humans and Mice. J. Gerontol. Ser. A Biol. Sci. Med. Sci. 2020, 75, 1284–1292. [Google Scholar] [CrossRef]
- Maftei, N.M.; Raileanu, C.R.; Balta, A.A.; Ambrose, L.; Boev, M.; Marin, D.B.; Lisa, E.L. The Potential Impact of Probiotics on Human Health: An Update on Their Health-Promoting Properties. Microorganisms 2024, 12, 234. [Google Scholar] [CrossRef]
- Dasriya, V.L.; Samtiya, M.; Ranveer, S.; Dhillon, H.S.; Devi, N.; Sharma, V.; Nikam, P.; Puniya, M.; Chaudhary, P.; Chaudhary, V.; et al. Modulation of gut-microbiota through probiotics and dietary interventions to improve host health. J. Sci. Food Agric. 2024, 104, 6359–6375. [Google Scholar] [CrossRef]





Disclaimer/Publisher’s Note: The statements, opinions and data contained in all publications are solely those of the individual author(s) and contributor(s) and not of MDPI and/or the editor(s). MDPI and/or the editor(s) disclaim responsibility for any injury to people or property resulting from any ideas, methods, instructions or products referred to in the content. |
© 2025 by the authors. Licensee MDPI, Basel, Switzerland. This article is an open access article distributed under the terms and conditions of the Creative Commons Attribution (CC BY) license (https://creativecommons.org/licenses/by/4.0/).
Share and Cite
Wang, X.; Cheng, M.; Liu, J.; Guo, Y.; Zhang, Y.; Yuan, Y.; Yue, T. Live Aspergillus cristatum from Fuzhuan Brick Tea Alleviates DSS-Induced Colitis by Intestinal Barrier Restoration and Suppressing NLRP3 Signaling Pathway Regulation. Foods 2025, 14, 549. https://doi.org/10.3390/foods14040549
Wang X, Cheng M, Liu J, Guo Y, Zhang Y, Yuan Y, Yue T. Live Aspergillus cristatum from Fuzhuan Brick Tea Alleviates DSS-Induced Colitis by Intestinal Barrier Restoration and Suppressing NLRP3 Signaling Pathway Regulation. Foods. 2025; 14(4):549. https://doi.org/10.3390/foods14040549
Chicago/Turabian StyleWang, Xin, Miaomiao Cheng, Jinhu Liu, Yaodong Guo, Yuxiang Zhang, Yahong Yuan, and Tianli Yue. 2025. "Live Aspergillus cristatum from Fuzhuan Brick Tea Alleviates DSS-Induced Colitis by Intestinal Barrier Restoration and Suppressing NLRP3 Signaling Pathway Regulation" Foods 14, no. 4: 549. https://doi.org/10.3390/foods14040549
APA StyleWang, X., Cheng, M., Liu, J., Guo, Y., Zhang, Y., Yuan, Y., & Yue, T. (2025). Live Aspergillus cristatum from Fuzhuan Brick Tea Alleviates DSS-Induced Colitis by Intestinal Barrier Restoration and Suppressing NLRP3 Signaling Pathway Regulation. Foods, 14(4), 549. https://doi.org/10.3390/foods14040549

