An Integrated Approach in Assessing the Food-Related Properties of Microparticulated and Fermented Whey
Abstract
1. Introduction
2. Materials and Methods
2.1. Experimental Design
2.2. Chemical Analysis and Instrumental Colour Assessment
2.3. Protein Profile, Hydrodynamic, and Morphological Analyses
2.4. Data Processing and Statistical Analyses
3. Results
3.1. Chemical Composition, Colour, and FA Profile
3.2. Factorial Discriminant Analysis (FDA)
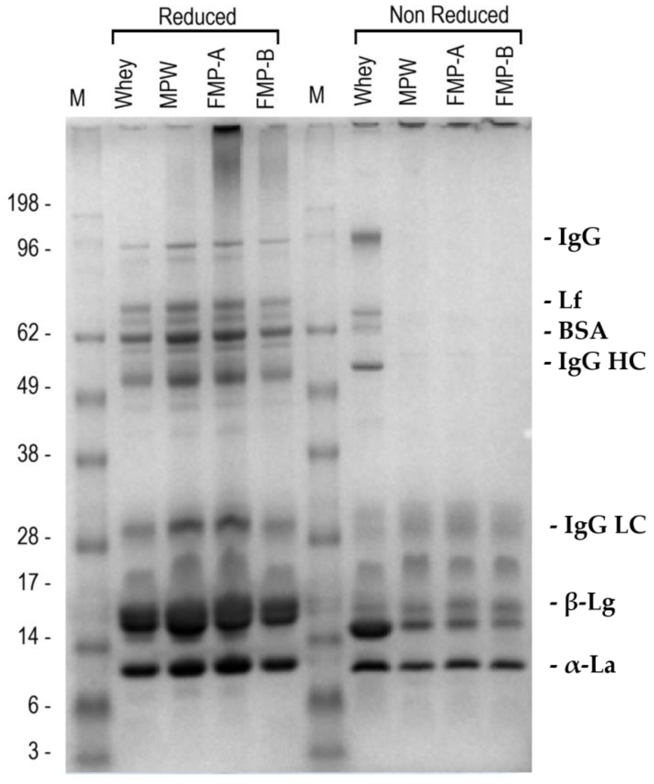
3.3. SDS Protein Profile and Supramolecular Structure
4. Discussion
5. Conclusions
Author Contributions
Funding
Institutional Review Board Statement
Informed Consent Statement
Data Availability Statement
Acknowledgments
Conflicts of Interest
Abbreviations
| α-La | α-lactoalbumin |
| β-Lg | β-lactoglobulin |
| BCA | Bicinchoninic acid assay |
| BSA | Bovine serum albumin |
| CA | Crude ash |
| CF | Crude fat |
| CLA | Conjugated linoleic acid |
| CP | Crude protein |
| DLS | Dynamic light scattering |
| DM | Dry matter |
| FA | Fatty acid |
| FAME | Fatty acid methyl esters |
| FDA | Factorial discriminant analysis |
| FMPW-A | Fermented microparticulated whey protein (mix of L. lactis and S. thermophilus) |
| FMPW-B | Fermented microparticulated whey protein (B. animalis) |
| IgG | Immunoglobulins |
| LAB | Lactic acid bacteria |
| Lf | Lactoferrin |
| LSMeans | Least-squares means |
| MPW | Microparticulated whey |
| MUFA | Monounsaturated fatty acids |
| MW | Molecular weight |
| PUFA | Polyunsaturated fatty acids |
| SDS-PAGE | Sodium dodecyl sulphate polyacrylamide gel electrophoresis |
| SFA | Saturated fatty acid |
| TEM | Transmission electron microscopy |
| WHEY | Native whey |
References
- Yiğit, A.; Bielska, P.; Cais-Sokolińska, D.; Samur, G. Whey proteins as a functional food: Health effects, functional properties, and applications in food. J. Am. Nutr. Assoc. 2023, 42, 758–768. [Google Scholar] [CrossRef]
- Rao, P.S.; Deshmukh, N.; Saipriya, K.; Bihola, A.; Sharma, H. Insights into the comparative analysis of metabolite profile of paneer whey, acid whey, and cheese whey. Food Res. Int. 2025, 221, 117210. [Google Scholar] [CrossRef]
- Gutiérrez-Hernández, C.A.; Hernández-Almanza, A.; Hernández-Beltran, J.U.; Balagurusamy, N.; Hernández-Teran, F. Cheese whey valorization to obtain single-cell oils of industrial interest: An overview. Food Biosci. 2022, 50, 102086. [Google Scholar] [CrossRef]
- Tonolo, F.; Fiorese, F.; Rilievo, G.; Grinzato, A.; Latifidoost, Z.; Nikdasti, A.; Cecconello, A.; Cencini, A.; Folda, A.; Arrigoni, G.; et al. Bioactive peptides from food waste: New innovative bio-nanocomplexes to enhance cellular uptake and biological effects. Food Chem. 2025, 463, 141326. [Google Scholar] [CrossRef]
- Giulianetti de Almeida, M.P.; Mockaitis, G.; Weissbrodt, D.G. Got Whey? Sustainability Endpoints for the Dairy Industry through Resource Biorecovery. Fermentation 2023, 9, 897. [Google Scholar] [CrossRef]
- Pires, A.F.; Marnotes, N.G.; Rubio, O.D.; Garcia, A.C.; Pereira, C.D. Dairy by-products: A review on the valorization of whey and second cheese whey. Foods 2021, 10, 1067. [Google Scholar] [CrossRef] [PubMed]
- Luparelli, A.; Trisciuzzi, D.; Schirinzi, W.M.; Caputo, L.; Smiriglia, L.; Quintieri, L.; Nicolotti, O.; Monaci, L. Whey Proteins and Bioactive Peptides: Advances in Production, Selection and Bioactivity Profiling. Biomedicines 2025, 13, 1311. [Google Scholar] [CrossRef] [PubMed]
- Zhang, L.; Zhou, R.; Zhang, J.; Zhou, P. Heat-induced denaturation and bioactivity changes of whey proteins. Int. Dairy J. 2021, 123, 105175. [Google Scholar] [CrossRef]
- Tovar Jiménez, X.; Arana Cuenca, A.; Téllez Jurado, A.; Abreu Corona, A.; Muro Urista, C.R. Traditional methods for whey protein isolation and concentration: Effects on nutritional properties and biological activity. J. Mex. Chem. Soc. 2012, 56, 369–377. [Google Scholar] [CrossRef]
- Kruchinin, A.; Barkovskaya, I.; Illarionova, E.; Bolshakova, E.; Turovskaya, S.; Galstyan, A. Effect of enzymatic degradation of proteins on technological properties of whey powdered products. Int. J. Dairy Technol. 2025, 78, 1–14. [Google Scholar] [CrossRef]
- Guralnick, J.R.; Panthi, R.R.; Bot, F.; Cenini, V.L.; O’Hagan, B.M.G.; Crowley, S.V.; O’Mahony, J.A. Pilot-scale production and physicochemical characterisation of spray-dried nanoparticulated whey protein powders. Int. J. Dairy Technol. 2021, 74, 581–591. [Google Scholar] [CrossRef]
- Sturaro, A.; Penasa, M.; Cassandro, M.; Varotto, A.; De Marchi, M. Effect of microparticulated whey proteins on milk coagulation properties. J. Dairy Sci. 2014, 97, 6729–6736. [Google Scholar] [CrossRef] [PubMed]
- Zacometti, C.; Khazzar, S.; Massaro, A.; Tata, A.; Riuzzi, G.; Piro, R.; Novelli, E.; Segato, S.; Balzan, S. DART-HRMS reveals metabolic changes of whey through microparticulation and fermentations. Appl. Food Res. 2024, 4, 100443. [Google Scholar] [CrossRef]
- Kew, B.; Holmes, M.; Stieger, M.; Sarkar, A. Review on fat replacement using protein-based microparticulated powders or microgels: A textural perspective. Trends Food Sci. Technol. 2020, 106, 457–468. [Google Scholar] [CrossRef] [PubMed]
- Beret, M.V.; Wolf, I.V.; Rebechi, S.; Spotti, M.L.; Vénica, C.I.; Perotti, M.C. Microparticulated and concentrated whey proteins as structure and flavour enhancers in semi-skim high-protein yoghurts. Int. Dairy J. 2024, 157, 106008. [Google Scholar] [CrossRef]
- Filla, J.M.; Stadler, M.; Heck, A.; Hinrichs, J. Assessing whey protein sources, dispersion preparation method and enrichment of thermomechanically stabilized whey protein pectin complexes for technical scale production. Foods 2021, 10, 715. [Google Scholar] [CrossRef]
- Wolz, M.; Mersch, E.; Kulozik, U. Thermal aggregation of whey proteins under shear stress. Food Hydrocoll. 2016, 56, 396–404. [Google Scholar] [CrossRef]
- Riuzzi, G.; Davis, H.; Lanza, I.; Butler, G.; Contiero, B.; Gottardo, F.; Segato, S. Multivariate modelling of milk fatty acid profile to discriminate the forages in dairy cows’ ration. Sci. Rep. 2021, 11, 23201. [Google Scholar] [CrossRef]
- Bergamaschi, M.; Bittante, G. Detailed fatty acid profile of milk, cheese, ricotta and by products, from cows grazing summer highland pastures. J. Dairy Res. 2017, 84, 329–338. [Google Scholar] [CrossRef]
- Bahrami, G.; Mostafaie, A.; Kiani, A.; Chalabi, M. Bacterial starter cultures induce suitable changes in milk fatty acid profiles at different fermentation conditions. J. Dairy Res. 2020, 87, 469–473. [Google Scholar] [CrossRef]
- García-Burgos, M.; Moreno-Fernández, J.; Alférez, M.J.M.; Díaz-Castro, J.; López-Aliaga, I. New perspectives in fermented dairy products and their health relevance. J. Funct. Foods 2020, 72, 104059. [Google Scholar] [CrossRef]
- Bintsis, T. Lactic acid bacteria as starter cultures: An update in their metabolism and genetics. AIMS Microbiol. 2018, 4, 665–684. [Google Scholar] [CrossRef] [PubMed]
- Goyal, C.; Dhyani, P.; Rai, D.C.; Tyagi, S.; Dhull, S.B.; Sadh, P.K.; Duhan, J.S.; Saharan, B.S. Emerging Trends and Advancements in the Processing of Dairy Whey for Sustainable Biorefining. J. Food Process. Preserv. 2023, 2023, 6626513. [Google Scholar] [CrossRef]
- Saubenova, M.; Oleinikova, Y.; Rapoport, A.; Maksimovich, S.; Yermekbay, Z.; Khamedova, E. Bioactive Peptides Derived from Whey Proteins for Health and Functional Beverages. Fermentation 2024, 10, 359. [Google Scholar] [CrossRef]
- AOAC International. Official Methods of Analysis, 20th ed.; AOAC International: Rockville, MD, USA, 2016; ISBN 0-935584-87-0. [Google Scholar]
- Segato, S.; Marchesini, G.; Serva, L.; Contiero, B.; Magrin, L.; Andrighetto, I. Assessment of Fermentative Quality of Ensiled High-Moisture Maize Grains by a Multivariate Modelling Approach. Agronomy 2022, 12, 429. [Google Scholar] [CrossRef]
- Segato, S.; Balzan, S.; Elia, C.A.; Lignitto, L.; Granata, A.; Magro, L.; Contiero, B.; Andrighetto, I.; Novelli, E. Effect of period of milk production and ripening on quality traits of Asiago cheese. Ital. J. Anim. Sci. 2007, 6, 469–471. [Google Scholar] [CrossRef]
- Zhang, Z.; Jiang, K.; Yang, A.; Xu, K.; Meng, F.; Zhong, F.; Wang, B. Effect of Whey Protein Changes on Milk Flavor and Sensory Characteristics During Heating. Foods 2025, 14, 33. [Google Scholar] [CrossRef]
- Bandara, T.A.; Munasinghe-Arachchige, S.P.; Gamlath, C.J. Fermented whey beverages: A review of process fundamentals, recent developments and nutritional potential. Int. J. Dairy Technol. 2023, 76, 737–757. [Google Scholar] [CrossRef]
- Melnikova, E.I.; Losev, A.N.; Stanislavskaya, E.B. Microparticulation of caseic whey to use in fermetned milk production. Foods Raw Mater. 2017, 5, 83–93. [Google Scholar] [CrossRef]
- Melnikova, E.I.; Bogdanova, E.V.; Koshevarova, I.B. Nutritional evaluation of whey protein hydrolysate: Chemical composition, peptide profile, and osmolarity. Food Sci. Technol. 2022, 42, 110721. [Google Scholar] [CrossRef]
- Allen, M.M.; Pike, O.A.; Kenealey, J.D.; Dunn, M.L. Metabolomics of acid whey derived from Greek yogurt. J. Dairy Sci. 2021, 104, 11401–11412. [Google Scholar] [CrossRef] [PubMed]
- Wu, Q.; Cheung, C.K.W.; Shah, N.P. Towards galactose accumulation in dairy foods fermented by conventional starter cultures: Challenges and strategies. Trends Food Sci. Technol. 2015, 41, 24–36. [Google Scholar] [CrossRef]
- Ohlsson, J.A.; Johansson, M.; Hansson, H.; Abrahamson, A.; Byberg, L.; Smedman, A.; Lindmark-Månsson, H.; Lundh, Å. Lactose, glucose and galactose content in milk, fermented milk and lactose-free milk products. Int. Dairy J. 2017, 73, 151–154. [Google Scholar] [CrossRef]
- Barros, R.F.; Cutrim, C.; Costa, M.; Conte Junior, C.; Cortez, M.A. Lactose hydrolysis and organic acids production in yogurt prepared with different onset temperatures of enzymatic action and fermentation. Cienc. Tecnol. Aliment. 2019, 20, e-43549. [Google Scholar] [CrossRef]
- Segato, S.; Caligiani, A.; Contiero, B.; Galaverna, G.; Bisutti, V.; Cozzi, G. 1 H NMR Metabolic Profile to Discriminate Pasture Based Alpine Asiago PDO Cheeses. Animals 2019, 9, 722. [Google Scholar] [CrossRef]
- Clarke, H.J.; Mccarthy, W.P.; O’Sullivan, M.G.; Kerry, J.P.; Kilcawley, K.N. Oxidative Quality of Dairy Powders: Influencing Factors and Analysis. Foods 2021, 10, 2315. [Google Scholar] [CrossRef]
- Gao, Y.; Gao, L.; Kang, Y.; Yang, G.; Zhao, Z.; Zhao, Y.; Li, S. Non-Targeted Metabolomics Analysis Reveals Metabolite Profiles Change During Whey Fermentation with Kluyveromyces marxianus. Metabolites 2024, 14, 694. [Google Scholar] [CrossRef]
- Bhat, R.S.; Alsuhaibani, A.S.; Albugami, F.S.; Aldawsari, F.S. Omega 3 Fatty Acid as A Health Supplement: An Overview of its Manufacture and Regulatory Aspects. Curr. Res. Nutr. Food Sci. 2024, 12, 70–90. [Google Scholar] [CrossRef]
- Yilmaz-Ersan, L. Fatty acid composition of cream fermented by probiotic bacteria. Mljekarstvo 2013, 63, 132–139. [Google Scholar]
- Nasrollahzadeh, A.; Mollaei Tavani, S.; Arjeh, E.; Jafari, S.M. We Production of conjugated linoleic acid by lactic acid bacteria; important factors and optimum conditions. Food Chem. X 2023, 20, 100942. [Google Scholar] [CrossRef]
- Maione, C.; Barbosa, F.; Melgaço, R.M. Predicting the botanical and geographical origin of honey with multivariate data analysis and machine learning techniques: A review. Comput. Electron. Agric. 2019, 157, 436–446. [Google Scholar] [CrossRef]
- Tang, Q.; Roos, Y.H.; O’Sullivan, M.; Miao, S. Food Hydrocolloids A comparative study on gelation behaviours of lentil-dairy binary protein gels treated by heat and microbial transglutaminase. Food Hydrocoll. 2025, 159, 110568. [Google Scholar] [CrossRef]
- Laconi, A.; Cecconello, A.; Molinari, S.; Rilievo, G.; Cencini, A.; Tonolo, F.; Krystofova, A.; Majethia, H.N.; Tolosi, R.; Schiavon, E.; et al. Highly Specific Polyphenolic Colloids as Alternatives to Antimicrobials in Livestock Production. Int. J. Mol. Sci. 2024, 25, 9363. [Google Scholar] [CrossRef] [PubMed]
- Liu, K.; Tian, Y.; Stieger, M.A.; van der Linden, E.; van der Velde, F. Evidence for ball-bearing mechanism of microparticulated whey protein as fat replacer in liquid and semi-solid multi-component model foods. Food Hydrocoll. 2016, 52, 403–414. [Google Scholar] [CrossRef]
- Chung, C.; Degner, B.; McClements, D.J. Development of Reduced-calorie foods: Microparticulated whey proteins as fat mimetics in semi-solid food emulsions. Food Res. Int. 2014, 56, 136–145. [Google Scholar] [CrossRef]
- Pisponen, A.; Mootse, H.; Poikalainen, V.; Kaart, T.; Maran, U.; Karus, A. Effects of temperature and concentration on particle size in a lactose solution using dynamic light scattering analysis. Int. Dairy J. 2016, 61, 205–210. [Google Scholar] [CrossRef]
- Ipsen, R. Microparticulated whey proteins for improving dairy product texture. Int. Dairy J. 2017, 67, 73–79. [Google Scholar] [CrossRef]
- Shori, A.B.; Albalawi, A.; Al Zahrani, A.J.; Al-sulbi, O.S.; Baba, A.S. Microbial analysis, antioxidant activity, and sensory properties of yoghurt with different starter cultures during storage. Int. Dairy J. 2022, 126, 105267. [Google Scholar] [CrossRef]





| Item | WHEY | MPW | FMPW-A | FMPW-B | SEM | p-Value |
|---|---|---|---|---|---|---|
| Crude protein | 0.67 b | 8.77 a | 8.83 a | 8.81 a | 0.51 | 0.001 |
| Crude fat | 0.28 b | 1.23 a | 1.21 a | 1.26 a | 0.07 | 0.001 |
| Crude ash | 0.43 b | 0.62 a | 0.63 a | 0.64 a | 0.03 | 0.003 |
| Lactose | 3.86 a | 3.36 b | 2.77 c | 2.84 c | 0.18 | 0.008 |
| Galactose | 0.24 ab | 0.18 b | 0.32 a | 0.32 a | 0.03 | 0.001 |
| Glucose | 0.17 a | 0.12 ab | 0.09 b | 0.08 b | 0.02 | 0.001 |
| pH | 6.54 a | 6.44 a | 4.48 b | 4.52 b | 0.16 | 0.001 |
| L* (lightness) | 47.4 b | 81.4 a | 83.4 a | 82.9 a | 2.1 | 0.001 |
| a* (redness) | −2.2 b | −1.0 a | −0.8 a | −1.0 a | 0.1 | 0.001 |
| b* (yellowness) | 0.6 b | 7.8 a | 8.1 a | 7.9 a | 0.4 | 0.001 |
| C* (croma) | 2.3 b | 7.9 a | 8.1 a | 8.0 a | 0.3 | 0.001 |
| H* (hue angle) | 164.7 a | 97.3 b | 95.6 b | 97.1 b | 0.5 | 0.001 |
| Item | WHEY | MPW | FMPW-A | FMPW-B | SEM | p-Value |
|---|---|---|---|---|---|---|
| C4:0 | 3.42 | 3.40 | 3.42 | 3.44 | 0.04 | 0.701 |
| C6:0 | 1.32 | 1.28 | 1.30 | 1.24 | 0.06 | 0.652 |
| C8:0 | 1.11 a | 1.15 a | 0.88 b | 0.90 b | 0.05 | 0.001 |
| C10:0 | 2.16 | 2.22 | 2.43 | 2.44 | 0.12 | 0.157 |
| C12:0 | 3.06 ab | 2.83 b | 3.35 a | 3.37 a | 0.10 | 0.001 |
| C14:0 | 10.2 b | 9.9 b | 12.1 a | 12.0 a | 0.35 | 0.001 |
| C14:1 | 0.94 a | 0.75 b | 0.94 a | 0.97 a | 0.04 | 0.001 |
| C15:0 | 1.81 a | 1.53 ab | 1.34 b | 1.44 b | 0.08 | 0.001 |
| C15:1 | 0.19 a | 0.16 ab | 0.14 b | 0.15 ab | 0.01 | 0.017 |
| C16:0 | 28.8 b | 29.5 ab | 30.5 a | 29.7 ab | 0.33 | 0.003 |
| C16:1 | 1.46 | 1.80 | 1.71 | 1.71 | 0.10 | 0.085 |
| C17:0 | 0.71 | 0.74 | 0.65 | 0.66 | 0.04 | 0.145 |
| C17:1 | 0.46 | 0.50 | 0.35 | 0.37 | 0.06 | 0.155 |
| C18:0 | 11.4 | 11.7 | 10.9 | 11.0 | 0.27 | 0.073 |
| C18:1 | 27.0 a | 25.6 a | 23.2 b | 23.6 b | 0.36 | 0.001 |
| C18:1 t-11 | 1.10 b | 1.53 ab | 1.73 a | 1.72 a | 0.13 | 0.001 |
| C18:2 n-6 | 2.46 b | 2.95 a | 2.78 a | 2.84 a | 0.09 | 0.004 |
| C18:2 c-9, t-11 | 0.57 ab | 0.67 a | 0.47 b | 0.56 ab | 0.05 | 0.042 |
| C18:3 n-3 | 0.62 a | 0.60 a | 0.45 b | 0.44 b | 0.04 | 0.009 |
| C20:0 | 0.62 | 0.64 | 0.58 | 0.59 | 0.04 | 0.626 |
| C20:1 n-9 | 0.12 b | 0.12 b | 0.18 a | 0.16 ab | 0.01 | 0.001 |
| C20:2 n-6 | 0.13 | 0.13 | 0.15 | 0.14 | 0.01 | 0.662 |
| C20:3 n-6 | 0.11 b | 0.11 b | 0.18 a | 0.16 a | 0.01 | 0.001 |
| C20:4 n-6 | 0.17 ab | 0.14 b | 0.22 a | 0.23 a | 0.02 | 0.005 |
| Calculated | ||||||
| SFA | 64.6 b | 64.8 b | 67.3 a | 66.7 a | 0.44 | 0.001 |
| MUFA | 31.3 a | 30.5 a | 28.3 b | 28.7 b | 0.41 | 0.001 |
| PUFA | 4.13 b | 4.69 a | 4.44 ab | 4.57 a | 0.11 | 0.005 |
| ∑ FA n-6 | 3.53 b | 4.11 a | 3.97 a | 4.11 a | 0.12 | 0.001 |
| ∑ FA n-3 | 0.65 a | 0.64 a | 0.48 b | 0.47 b | 0.05 | 0.010 |
Disclaimer/Publisher’s Note: The statements, opinions and data contained in all publications are solely those of the individual author(s) and contributor(s) and not of MDPI and/or the editor(s). MDPI and/or the editor(s) disclaim responsibility for any injury to people or property resulting from any ideas, methods, instructions or products referred to in the content. |
© 2025 by the authors. Licensee MDPI, Basel, Switzerland. This article is an open access article distributed under the terms and conditions of the Creative Commons Attribution (CC BY) license (https://creativecommons.org/licenses/by/4.0/).
Share and Cite
Khazzar, S.; Balzan, S.; Peker, A.; Da Dalt, L.; Fontana, F.; Garbin, E.; Tonolo, F.; Rilievo, G.; Novelli, E.; Segato, S. An Integrated Approach in Assessing the Food-Related Properties of Microparticulated and Fermented Whey. Foods 2025, 14, 3421. https://doi.org/10.3390/foods14193421
Khazzar S, Balzan S, Peker A, Da Dalt L, Fontana F, Garbin E, Tonolo F, Rilievo G, Novelli E, Segato S. An Integrated Approach in Assessing the Food-Related Properties of Microparticulated and Fermented Whey. Foods. 2025; 14(19):3421. https://doi.org/10.3390/foods14193421
Chicago/Turabian StyleKhazzar, Sara, Stefania Balzan, Arzu Peker, Laura Da Dalt, Federico Fontana, Elisabetta Garbin, Federica Tonolo, Graziano Rilievo, Enrico Novelli, and Severino Segato. 2025. "An Integrated Approach in Assessing the Food-Related Properties of Microparticulated and Fermented Whey" Foods 14, no. 19: 3421. https://doi.org/10.3390/foods14193421
APA StyleKhazzar, S., Balzan, S., Peker, A., Da Dalt, L., Fontana, F., Garbin, E., Tonolo, F., Rilievo, G., Novelli, E., & Segato, S. (2025). An Integrated Approach in Assessing the Food-Related Properties of Microparticulated and Fermented Whey. Foods, 14(19), 3421. https://doi.org/10.3390/foods14193421

