Lipidomic Analysis Reveals the Anti-Obesity and Hepatoprotective Effects of Flavonoid Mimetic Components in Adzuki Beans on High-Fat Diet-Induced Obese Mice
Abstract
1. Introduction
2. Materials and Methods
2.1. Materials and Key Reagents
2.2. Analysis of Flavonoid Composition in Adzuki Beans
2.2.1. Sample Extraction
2.2.2. LC-MS Analysis
2.3. Animal Experiment Design
2.3.1. Preparation of Red Adzuki Beans Flavonoid Mimic (ABFM)
2.3.2. Animal Experiment Design and Sample Collection
2.4. Biochemical Parameters and Histological Analysis
2.5. Hepatic Lipid Metabolomics Analysis
2.5.1. Liver Sample Processing and Metabolite Extraction
2.5.2. LC-MS/MS Analysis
2.6. Data Processing
3. Results
3.1. Flavonoid Composition in Adzuki Beans
3.2. Effects of ABFM Intake on Body Weight and Organ Indices
3.3. Effects of ABFM Intake on Serum Biochemical Indices
3.4. Effects of ABFM Intake on Histological Degeneration
3.4.1. H&E Staining of Adipose Tissue
3.4.2. Oil Red O Staining of Liver
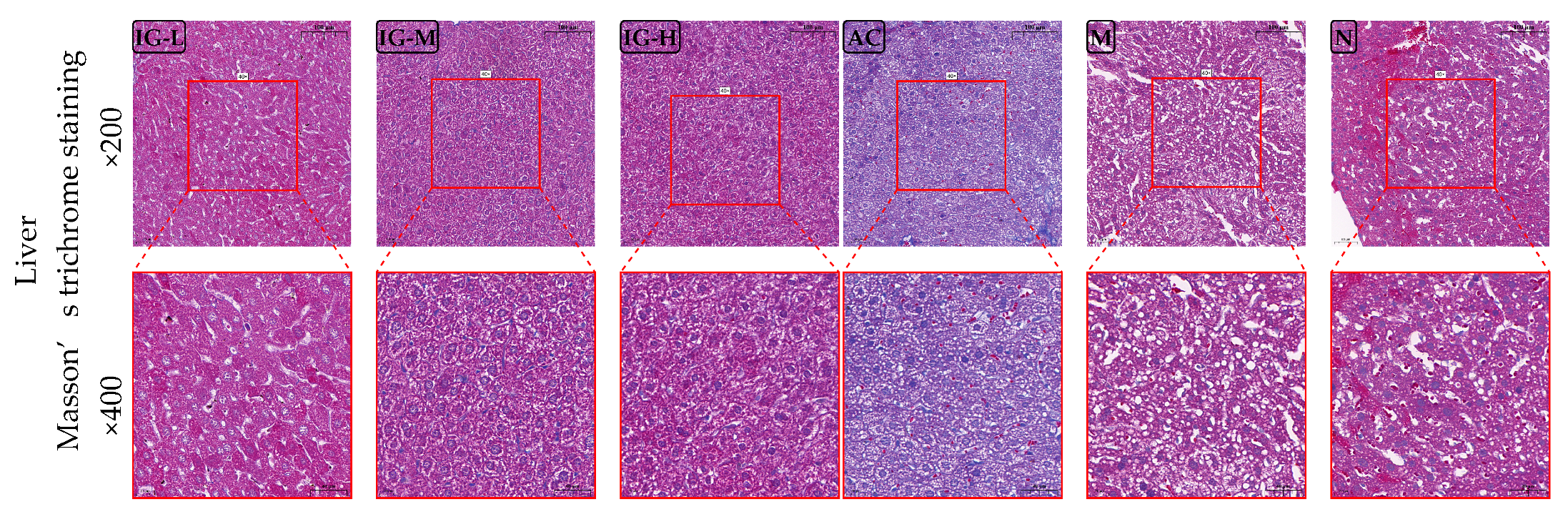
3.4.3. Masson’s Staining of Liver
3.5. Effects of ABFM Intake on Lipid Metabolomics
3.5.1. High-Fat Diet-Induced Hepatic Lipid Metabolism Disorder in Mice
3.5.2. Effects of ABFM Supplementation on Hepatic Lipid Metabolism in Mice
3.5.3. KEGG Pathway Enrichment Analysis
4. Discussion
5. Conclusions
Author Contributions
Funding
Institutional Review Board Statement
Informed Consent Statement
Data Availability Statement
Conflicts of Interest
References
- Federation, W.O. World Obesity Atlas 2025; World Obesity Federation: London, UK, 2025; pp. 8–9. Available online: https://data.worldobesity.org/publications/?cat=23 (accessed on 17 April 2025).
- Blüher, M. Obesity: Global epidemiology and pathogenesis. Nat. Rev. Endocrinol. 2019, 15, 288–298. [Google Scholar] [CrossRef] [PubMed]
- Ruban, A.; Stoenchev, K.; Ashrafian, H.; Teare, J. Current treatments for obesity. Clin. Med. 2019, 19, 205–212. [Google Scholar] [CrossRef]
- Mark, A.L. Dietary Therapy for Obesity: An Emperor With No Clothes. Hypertension 2008, 51, 1426–1434. [Google Scholar] [CrossRef]
- Voelker, R. FDA Assesses Potential Cancer Risk Associated With Weight Loss Drug. JAMA 2020, 323, 600. [Google Scholar] [CrossRef]
- Sahebkar, A.; Simental-Mendía, L.E.; Reiner, Ž.; Kovanen, P.T.; Simental-Mendía, M.; Bianconi, V.; Pirro, M. Statistical vs. clinical significance: A matter of debate for orlistat treatment. Pharmacol. Res. 2017, 124, 158–159. [Google Scholar] [CrossRef]
- Buyukhatipoglu, H. A Possibly Overlooked Side Effect of Orlistat: Gastroesophageal Reflux Disease. J. Natl. Med. Assoc. 2008, 100, 1207. [Google Scholar] [CrossRef]
- Buysschaert, B.; Aydin, S.; Morelle, J.; Hermans, M.P.; Jadoul, M.; Demoulin, N. Weight loss at a high cost: Orlistat-induced late-onset severe kidney disease. Diabetes Metab. 2016, 42, 62–64. [Google Scholar] [CrossRef]
- Bansal, A.B.; Patel, P.; Khalili, Y.A. StatPearls, 2024-2-14 ed.; StatPearls: Treasure Island, FL, USA, 2024. Available online: https://www.ncbi.nlm.nih.gov/books/NBK542202/ (accessed on 15 August 2025).
- Singh, M.; Thrimawithana, T.; Shukla, R.; Adhikari, B. Managing obesity through natural polyphenols: A review. Future Foods 2020, 1–2, 100002. [Google Scholar] [CrossRef]
- Huang, Y.; Xu, B. Critical review on the intervention effects of flavonoids from cereal grains and food legumes on lipid metabolism. Food Chem. 2025, 464, 141790. [Google Scholar] [CrossRef]
- Birt, D.F.; Jeffery, E. Flavonoids. Adv. Nutr. 2013, 4, 576–577. [Google Scholar] [CrossRef] [PubMed]
- Yonekura-Sakakibara, K.; Higashi, Y.; Nakabayashi, R. The Origin and Evolution of Plant Flavonoid Metabolism. Front. Plant Sci. 2019, 10, 943. [Google Scholar] [CrossRef] [PubMed]
- Dias, M.C.; Pinto, D.C.G.A.; Silva, A.M.S. Plant Flavonoids: Chemical Characteristics and Biological Activity. Molecules 2021, 26, 5377. [Google Scholar] [CrossRef] [PubMed]
- Liu, J.; Cao, J.; Li, Y.; Guo, F. Beneficial Flavonoid in Foods and Anti-obesity Effect. Food Rev. Int. 2023, 39, 560–600. [Google Scholar] [CrossRef]
- Jung, U.J.; Cho, Y.-Y.; Choi, M.-S. Apigenin Ameliorates Dyslipidemia, Hepatic Steatosis and Insulin Resistance by Modulating Metabolic and Transcriptional Profiles in the Liver of High-Fat Diet-Induced Obese Mice. Nutrients 2016, 8, 305. [Google Scholar] [CrossRef] [PubMed]
- Sun, C.; Zhang, J.; Hou, J.; Hui, M.; Qi, H.; Lei, T.; Zhang, X.; Zhao, L.; Du, H. Induction of autophagy via the PI3K/Akt/mTOR signaling pathway by Pueraria flavonoids improves non-alcoholic fatty liver disease in obese mice. Biomed. Pharmacother. 2023, 157, 114005. [Google Scholar] [CrossRef]
- Romero-Juárez, P.A.; Visco, D.B.; Manhães-de-Castro, R.; Urquiza-Martínez, M.V.; Saavedra, L.M.; González-Vargas, M.C.; Mercado-Camargo, R.; Aquino, J.D.S.; Toscano, A.E.; Torner, L.; et al. Dietary flavonoid kaempferol reduces obesity-associated hypothalamic microglia activation and promotes body weight loss in mice with obesity. Nutr. Neurosci. 2023, 26, 25–39. [Google Scholar] [CrossRef]
- Liu, L.; Bestel, S.; Shi, J.; Song, Y.; Chen, X. Paleolithic human exploitation of plant foods during the last glacial maximum in North China. Proc. Natl. Acad. Sci. USA 2013, 110, 5380–5385. [Google Scholar] [CrossRef]
- Wang, Y.; Yao, X.; Shen, H.; Zhao, R.; Li, Z.; Shen, X.; Wang, F.; Chen, K.; Zhou, Y.; Li, B.; et al. Nutritional Composition, Efficacy, and Processing of Vigna angularis (Adzuki Bean) for the Human Diet: An Overview. Molecules 2022, 27, 6079. [Google Scholar] [CrossRef]
- Guo, Q.; Luo, J.; Zhang, X.; Zhi, J.; Yin, Z.; Zhang, J.; Zhang, W.; Xu, B.; Chen, L. A Comprehensive Review of the Chemical Constituents and Functional Properties of Adzuki Beans (Vigna angulariz). J. Agric. Food Chem. 2025, 73, 6361–6384. [Google Scholar] [CrossRef]
- Li, H.; Zou, L.; Li, X.-Y.; Wu, D.-T.; Liu, H.-Y.; Li, H.-B.; Gan, R.-Y. Adzuki bean (Vigna angularis): Chemical compositions, physicochemical properties, health benefits, and food applications. Compr. Rev. Food Sci. Food Saf. 2022, 21, 2335–2362. [Google Scholar] [CrossRef]
- Luo, J.; Luo, J.; Wu, Y.; Fu, Y.; Fang, Z.; Han, B.; Du, B.; Yang, Z.; Xu, B. Anti-Obesity Effects of Adzuki Bean Saponins in Improving Lipid Metabolism Through Reducing Oxidative Stress and Alleviating Mitochondrial Abnormality by Activating the PI3K/Akt/GSK3β/β-Catenin Signaling Pathway. Antioxidants 2024, 13(11), 1380. [Google Scholar] [CrossRef] [PubMed]
- Zhao, Q.; Fan, Y.; Zhao, L.; Zhu, Y.; Jiang, Y.; Gu, J.; Xue, Y.; Hao, Z.; Shen, Q. Identification and molecular binding mechanism of novel pancreatic lipase and cholesterol esterase inhibitory peptides from heat-treated adzuki bean protein hydrolysates. Food Chem. 2024, 439, 138129. [Google Scholar] [CrossRef]
- Xia, C.-X.; Gao, A.X.; Dong, T.T.-X.; Tsim, K.W.-K. Flavonoids from Seabuckthorn (Hippophae rhamnoides L.) mimic neurotrophic functions in inducing neurite outgrowth in cultured neurons: Signaling via PI3K/Akt and ERK pathways. Phytomedicine 2023, 115, 154832. [Google Scholar] [CrossRef]
- Gan, R.-Y.; Wang, M.-F.; Lui, W.-Y.; Wu, K.; Dai, S.-H.; Sui, Z.-Q.; Corke, H. Diversity in Antioxidant Capacity, Phenolic Contents, and Flavonoid Contents of 42 Edible Beans from China. Cereal Chem. 2017, 94, 291–297. [Google Scholar] [CrossRef]
- Liu, R.; Zheng, Y.; Cai, Z.; Xu, B. Saponins and Flavonoids from Adzuki Bean (Vigna angularis L.) Ameliorate High-Fat Diet-Induced Obesity in ICR Mice. Front. Pharmacol. 2017, 8, 687. [Google Scholar] [CrossRef]
- Vekic, J.; Stefanovic, A.; Zeljkovic, A. Obesity and Dyslipidemia: A Review of Current Evidence. Curr. Obes. Rep. 2023, 12, 207–222. [Google Scholar] [CrossRef]
- Wen, X.; Xiao, Y.; Xiao, H.; Tan, X.; Wu, B.; Li, Z.; Wang, R.; Xu, X.; Li, T. Bisphenol S induces brown adipose tissue whitening and aggravates diet-induced obesity in an estrogen-dependent manner. Cell Rep. 2023, 42, 113504. [Google Scholar] [CrossRef]
- Aloo, S.-O.; Ofosu, F.K.; Kim, N.-H.; Kilonzi, S.M.; Oh, D.-H. Insights on Dietary Polyphenols as Agents against Metabolic Disorders: Obesity as a Target Disease. Antioxidants 2023, 12, 416. [Google Scholar] [CrossRef]
- Hoek-van den Hil, E.F.; van Schothorst, E.M.; van der Stelt, I.; Swarts, H.J.M.; Venema, D.; Sailer, M.; Vervoort, J.J.M.; Hollman, P.C.H.; Rietjens, I.; Keijer, J. Quercetin decreases high-fat diet induced body weight gain and accumulation of hepatic and circulating lipids in mice. Genes Nutr. 2014, 9, 8. [Google Scholar] [CrossRef] [PubMed]
- Dzah, C.S.; Asante-Donyinah, D.; Letsyo, E.; Dzikunoo, J.; Adams, Z.S. Dietary Polyphenols and Obesity: A Review of Polyphenol Effects on Lipid and Glucose Metabolism, Mitochondrial Homeostasis, and Starch Digestibility and Absorption. Plant Foods Hum. Nutr. 2023, 78, 1–12. [Google Scholar] [CrossRef] [PubMed]
- Chandel, N.S. Lipid Metabolism. Cold Spring Harb. Perspect. Biol. 2021, 13, a040576. [Google Scholar] [CrossRef]
- Heeren, J.; Scheja, L. Metabolic-associated fatty liver disease and lipoprotein metabolism. Mol. Metab. 2021, 50, 101238. [Google Scholar] [CrossRef]
- Wang, M.-Y.; Ma, W.-Y.; Wang, Q.-L.; Yang, Q.; Yan, X.-X.; Tang, H.; Li, Z.-Y.; Li, Y.-Y.; Feng, S.-X.; Wang, Z.-N. Flavonoid-enriched extract from Millettia speciosa Champ prevents obesity by regulating thermogenesis and lipid metabolism in high-fat diet–induced obese C57BL/6 mice. Food Sci. Nutr. 2022, 10, 445–459. [Google Scholar] [CrossRef]
- Burke, A.C.; Sutherland, B.G.; Telford, D.E.; Morrow, M.R.; Sawyez, C.G.; Edwards, J.Y.; Drangova, M.; Huff, M.W. Intervention with citrus flavonoids reverses obesity and improves metabolic syndrome and atherosclerosis in obese Ldlr−/− mice. J. Lipid Res. 2018, 59, 1714–1728. [Google Scholar] [CrossRef] [PubMed]
- Peng, L.X.; Zhang, Q.; Zhang, Y.H.; Yao, Z.D.; Song, P.P.; Wei, L.J.; Zhao, G.; Yan, Z.Y. Effect of tartary buckwheat, rutin, and quercetin on lipid metabolism in rats during high dietary fat intake. Food Sci. Nutr. 2020, 8, 199–213. [Google Scholar] [CrossRef] [PubMed]
- Albrahim, T.; Alonazi, M.A. Lycopene corrects metabolic syndrome and liver injury induced by high fat diet in obese rats through antioxidant, anti-inflammatory, antifibrotic pathways. Biomed. Pharmacother. 2021, 141, 111831. [Google Scholar] [CrossRef]
- Shen, C.-Y.; Hao, Y.-F.; Hao, Z.-X.; Liu, Q.; Zhang, L.; Jiang, C.-P.; Jiang, J.-G. Flavonoids from Rosa davurica Pall. fruits prevent high-fat diet-induced obesity and liver injury via modulation of the gut microbiota in mice. Food Funct. 2021, 12, 10097–10106. [Google Scholar] [CrossRef] [PubMed]
- Lin, Y.; Shi, D.; Su, B.; Wei, J.; Găman, M.-A.; Sedanur Macit, M.; Borges do Nascimento, I.J.; Guimaraes, N.S. The effect of green tea supplementation on obesity: A systematic review and dose–response meta-analysis of randomized controlled trials. Phytother. Res. 2020, 34, 2459–2470. [Google Scholar] [CrossRef]
- Stefania, D.S.; Clodoveo, M.L.; Cariello, M.; D’Amato, G.; Franchini, C.; Faienza, M.F.; Corbo, F. Polyphenols and obesity prevention: Critical insights on molecular regulation, bioavailability and dose in preclinical and clinical settings. Crit. Rev. Food Sci. Nutr. 2021, 61, 1804–1826. [Google Scholar] [CrossRef]
- Zhou, Y.; Wang, T.; Song, D.; Wang, A. Dietary intake of flavonoid subclasses and risk of type 2 diabetes in prospective cohort studies: A dose–response meta-analysis. Clin. Nutr. 2018, 37, 2294–2298. [Google Scholar] [CrossRef]
- Snijman, P.W.; Swanevelder, S.; Joubert, E.; Green, I.R.; Gelderblom, W.C.A. The antimutagenic activity of the major flavonoids of rooibos (Aspalathus linearis): Some dose–response effects on mutagen activation–flavonoid interactions. Mutat. Res./Genet. Toxicol. Environ. Mutagen. 2007, 631, 111–123. [Google Scholar] [CrossRef]
- Erk, T.; Hauser, J.; Williamson, G.; Renouf, M.; Steiling, H.; Dionisi, F.; Richling, E. Structure– and dose–absorption relationships of coffee polyphenols. BioFactors 2014, 40, 103–112. [Google Scholar] [CrossRef]
- Gerardi, G.; Cavia-Saiz, M.; Rivero-Pérez, M.D.; González-SanJosé, M.L.; Muñiz, P. The dose–response effect on polyphenol bioavailability after intake of white and red wine pomace products by Wistar rats. Food Funct. 2020, 11, 1661–1671. [Google Scholar] [CrossRef] [PubMed]
- Feng, K.; Lan, Y.; Zhu, X.; Li, J.; Chen, T.; Huang, Q.; Ho, C.-T.; Chen, Y.; Cao, Y. Hepatic Lipidomics Analysis Reveals the Antiobesity and Cholesterol-Lowering Effects of Tangeretin in High-Fat Diet-Fed Rats. J. Agric. Food Chem. 2020, 68, 6142–6153. [Google Scholar] [CrossRef] [PubMed]
- Du, S.; Chen, X.; Ren, R.; Li, L.; Zhang, B.; Wang, Q.; Meng, Y.; Qiu, Z.; Wang, G.; Zheng, G.; et al. Integration of network pharmacology, lipidomics, and transcriptomics analysis to reveal the mechanisms underlying the amelioration of AKT-induced nonalcoholic fatty liver disease by total flavonoids in vine tea. Food Funct. 2024, 15, 5158–5174. [Google Scholar] [CrossRef] [PubMed]
- Wang, Y.-Y.; Lu, S.-J.; Gui, R.; Wu, J.-P.; Li, J.; He, X.-A.; Zhang, W.; Deng, G.-M.; Wang, W.-X.; Long, H.-P.; et al. Hepatic lipidomics and proteomics analysis reveals the mechanism of Cyclocarya paliurus flavonoids in preventing non-alcoholic steatohepatitis in mice. J. Funct. Foods 2022, 99, 105341. [Google Scholar] [CrossRef]
- Jiang, X.; Fulte, S.; Deng, F.; Chen, S.; Xie, Y.; Chao, X.; He, X.C.; Zhang, Y.; Li, T.; Li, F.; et al. Lack of VMP1 impairs hepatic lipoprotein secretion and promotes non-alcoholic steatohepatitis. J. Hepatol. 2022, 77, 619–631. [Google Scholar] [CrossRef]
- Willis, S.A.; Bawden, S.J.; Malaikah, S.; Sargeant, J.A.; Stensel, D.J.; Aithal, G.P.; King, J.A. The role of hepatic lipid composition in obesity-related metabolic disease. Liver Int. 2021, 41, 2819–2835. [Google Scholar] [CrossRef]
- Gruevska, A.; Leslie, J.; Perpiñán, E.; Maude, H.; Collins, A.L.; Johnson, S.; Evangelista, L.; Sabey, E.; French, J.; White, S.; et al. Spatial lipidomics reveals sphingolipid metabolism as anti-fibrotic target in the liver. Metab. Clin. Exp. 2025, 168, 156237. [Google Scholar] [CrossRef]












| Flavonoids | DZN | GSN | GTE | RTN | DZI | APG | AGL | NGE | Q3G | LQG | VTX | TXF | IVX | KFL |
|---|---|---|---|---|---|---|---|---|---|---|---|---|---|---|
| Proportion (%) | 32.75 ± 5.34 | 23.33 ± 5.33 | 22.03 ± 2.00 | 10.42 ± 6.69 | 5.35 ± 0.64 | 2.21 ± 0.73 | 1.34 ± 0.46 | 1.23 ± 0.28 | 0.71 ± 0.45 | 0.38 ± 0.09 | 0.12 ± 0.01 | 0.05 ± 0.07 | 0.05 ± 0.02 | 0.02 ± 0.02 |
| Group (g) | Liver | Epididymal Fat | BAT | Kidney |
|---|---|---|---|---|
| M | 0.86 ± 0.07 | 1.53 ± 0.45 | 0.16 ± 0.14 | 0.33 ± 0.02 |
| IG-L | 0.87 ± 0.10 ns | 0.77 ± 0.15 *** | 0.07 ± 0.05 | 0.30 ± 0.05 ns |
| IG-M | 0.96 ± 0.12 ns | 0.99 ± 0.26 ** | 0.11 ± 0.07 | 0.32 ± 0.04 ns |
| IG-H | 1.09 ± 0.07 *** | 0.93 ± 0.17 ** | 0.15 ± 0.10 | 0.33 ± 0.02 ns |
| AC | 0.93 ± 0.05 ns | 1.09 ± 0.17 * | 0.10 ± 0.07 | 0.33 ± 0.02 ns |
| N | 0.81 ± 0.08 ns | 0.65 ± 0.06 **** | 0.04 ± 0.03 | 0.25 ± 0.03 ** |
Disclaimer/Publisher’s Note: The statements, opinions and data contained in all publications are solely those of the individual author(s) and contributor(s) and not of MDPI and/or the editor(s). MDPI and/or the editor(s) disclaim responsibility for any injury to people or property resulting from any ideas, methods, instructions or products referred to in the content. |
© 2025 by the authors. Licensee MDPI, Basel, Switzerland. This article is an open access article distributed under the terms and conditions of the Creative Commons Attribution (CC BY) license (https://creativecommons.org/licenses/by/4.0/).
Share and Cite
Zhang, J.; Jiang, X.; Xu, Q.; Li, W.; Zhang, D. Lipidomic Analysis Reveals the Anti-Obesity and Hepatoprotective Effects of Flavonoid Mimetic Components in Adzuki Beans on High-Fat Diet-Induced Obese Mice. Foods 2025, 14, 3191. https://doi.org/10.3390/foods14183191
Zhang J, Jiang X, Xu Q, Li W, Zhang D. Lipidomic Analysis Reveals the Anti-Obesity and Hepatoprotective Effects of Flavonoid Mimetic Components in Adzuki Beans on High-Fat Diet-Induced Obese Mice. Foods. 2025; 14(18):3191. https://doi.org/10.3390/foods14183191
Chicago/Turabian StyleZhang, Jiayu, Xiujie Jiang, Qingpeng Xu, Weidong Li, and Dongjie Zhang. 2025. "Lipidomic Analysis Reveals the Anti-Obesity and Hepatoprotective Effects of Flavonoid Mimetic Components in Adzuki Beans on High-Fat Diet-Induced Obese Mice" Foods 14, no. 18: 3191. https://doi.org/10.3390/foods14183191
APA StyleZhang, J., Jiang, X., Xu, Q., Li, W., & Zhang, D. (2025). Lipidomic Analysis Reveals the Anti-Obesity and Hepatoprotective Effects of Flavonoid Mimetic Components in Adzuki Beans on High-Fat Diet-Induced Obese Mice. Foods, 14(18), 3191. https://doi.org/10.3390/foods14183191

