Study on the Structural Characteristics and Foaming Properties of Ovalbumin—Citrus Pectin Conjugates Prepared by the Maillard Reaction
Abstract
1. Introduction
2. Materials and Methods
2.1. Materials
2.2. Preparation of OVA–CP Conjugates
2.3. Evaluation of the Degree of Grafting and Browning
2.4. SDS-PAGE
2.5. Fourier Transform Infrared Spectroscopy (FT-IR)
2.6. Intrinsic Fluorescence Spectroscopy
2.7. Determination of Surface Hydrophobicity
2.8. Determination of Free and Total Sulfhydryl Content
2.9. Measurement of Particle Size and Zeta Potential
2.10. Measurement of Solubility
2.11. Measurement of Foaming Properties
2.12. Foam Microstructure
2.13. Statistical Analysis
3. Results
3.1. Analysis of the Degree of Maillard Reaction
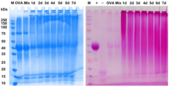
3.2. SDS-PAGE Analysis
3.3. Fourier-Transform Infrared (FT-IR) Spectroscopy and Secondary Structure of Proteins Analysis
3.4. Intrinsic Fluorescence Spectroscopy Analysis
3.5. Surface Hydrophobicity Analysis
3.6. Free and Total Sulfhydryl Content Analysis
3.7. Particle Size and Polydispersity Index (PDI) Analysis
3.8. Zeta Potential Analysis
3.9. Solubility Analysis
3.10. Foaming Properties Analysis
4. Conclusions
Author Contributions
Funding
Institutional Review Board Statement
Informed Consent Statement
Data Availability Statement
Conflicts of Interest
References
- Murray, B.S. Recent developments in food foams. Curr. Opin. Colloid Interface Sci. 2020, 50, 101394. [Google Scholar] [CrossRef]
- Green, A.J.; Littlejohn, K.A.; Hooley, P.; Cox, P.W. Formation and stability of food foams and aerated emulsions: Hydrophobins as novel functional ingredients. Curr. Opin. Colloid Interface Sci. 2013, 18, 292–301. [Google Scholar] [CrossRef]
- Narsimhan, G.; Xiang, N. Role of Proteins on Formation, Drainage, and Stability of Liquid Food Foams. Annu. Rev. Food Sci. Technol. 2018, 9, 45–63. [Google Scholar] [CrossRef]
- Koop, J.; Merz, J.; Schembecker, G. Hydrophobicity, amphilicity, and flexibility: Relation between molecular protein properties and the macroscopic effects of surface activity. J. Biotechnol. 2021, 334, 11–25. [Google Scholar] [CrossRef]
- Hinderink, E.B.A.; Meinders, M.B.J.; Miller, R.; Sagis, L.; Schroën, K.; Berton-Carabin, C.C. Interfacial protein-protein displacement at fluid interfaces. Adv. Colloid Interface Sci. 2022, 305, 102691. [Google Scholar] [CrossRef] [PubMed]
- Amagliani, L.; Silva, J.V.C.; Saffon, M.; Dombrowski, J. On the foaming properties of plant proteins: Current status and future opportunities. Trends Food Sci. Technol. 2021, 118, 261–272. [Google Scholar] [CrossRef]
- Razi, S.M.; Fahim, H.; Amirabadi, S.; Rashidinejad, A. An overview of the functional properties of egg white proteins and their application in the food industry. Food Hydrocoll. 2023, 135, 108183. [Google Scholar] [CrossRef]
- Sheng, L.; Tang, G.; Wang, Q.; Zou, J.; Ma, M.; Huang, X. Molecular characteristics and foaming properties of ovalbumin-pullulan conjugates through the Maillard reaction. Food Hydrocoll. 2020, 100, 105384. [Google Scholar] [CrossRef]
- Rostamabadi, H.; Chaudhary, V.; Chhikara, N.; Sharma, N.; Nowacka, M.; Demirkesen, I.; Rathnakumar, K.; Falsafi, S.R. Ovalbumin, an outstanding food hydrocolloid: Applications, technofunctional attributes, and nutritional facts, A systematic review. Food Hydrocoll. 2023, 139, 108514. [Google Scholar] [CrossRef]
- Wang, Q.; Pan, M.-H.; Chiou, Y.-S.; Li, Z.; Wei, S.; Yin, X.; Ding, B. Mechanistic understanding of the effects of ovalbumin-nanoliposome interactions on ovalbumin emulsifying properties. LWT 2022, 157, 113067. [Google Scholar] [CrossRef]
- Zhang, X.; Huang, Z.; An, D.; Zhang, H.; Wang, J.; Xia, N.; Ma, Y.; Han, S.; Wei, A. Effect of ultrasound and alkali-heat treatment on the thermal gel properties and catechin encapsulation capacity of ovalbumin. Food Hydrocoll. 2023, 145, 109069. [Google Scholar] [CrossRef]
- Hu, G.; Huang, X.; Ma, J.; Ma, L.; Ma, M.; Li, S. Elastic and transparent ovalbumin hydrogels formed via succinylation combined with pH-shifting treatment. Food Res. Int. 2023, 165, 112174. [Google Scholar] [CrossRef] [PubMed]
- Pi, J.; Wang, J.; Lv, J.; Jin, Y.; Oh, D.-H.; Fu, X. Modification of ovalbumin by the enzymatic method: Consequences for foaming characteristics of fibrils. Food Hydrocoll. 2023, 139, 108492. [Google Scholar] [CrossRef]
- Zhang, Q.; Li, L.; Lan, Q.; Li, M.; Wu, D.; Chen, H.; Liu, Y.; Lin, D.; Qin, W.; Zhang, Z.; et al. Protein glycosylation: A promising way to modify the functional properties and extend the application in food system. Crit. Rev. Food Sci. Nutr. 2019, 59, 2506–2533. [Google Scholar] [CrossRef] [PubMed]
- Ke, C.; Li, L. Influence mechanism of polysaccharides induced Maillard reaction on plant proteins structure and functional properties: A review. Carbohydr. Polym. 2023, 302, 120430. [Google Scholar] [CrossRef]
- Zhang, X.; Wang, Y.; Li, Z.; Li, Y.; Qi, B. Effects of polysaccharide type on the structure, interface behavior, and foam properties of soybean protein isolate hydrolysate-polysaccharide Maillard conjugates. Food Hydrocoll. 2024, 151, 109801. [Google Scholar] [CrossRef]
- Song, Y.; Qin, R.; Yang, S.; Li, J.; Wang, R. Improvement of Foaming and Emulsifying Properties of Gluten by Conjugation with Fructose through Maillard Reaction. Grain Oil Sci. Technol. 2018, 1, 119–125. [Google Scholar] [CrossRef]
- Hussain, A.; Hussain, M.; Ashraf, W.; Karim, A.; Muhammad Aqeel, S.; Khan, A.; Hussain, A.; Khan, S.; Lianfu, Z. Preparation, characterization and functional evaluation of soy protein isolate-peach gum conjugates prepared by wet heating Maillard reaction. Food Res. Int. 2024, 192, 114681. [Google Scholar] [CrossRef] [PubMed]
- Singhal, S.; Swami Hulle, N.R. Citrus pectins: Structural properties, extraction methods, modifications and applications in food systems—A review. Appl. Food Res. 2022, 2, 100215. [Google Scholar] [CrossRef]
- Guo, X.B.; Guo, X.M.; Meng, H.C.; Chen, X.W.; Zeng, Q.; Yu, S. Influences of different pectins on the emulsifying performance of conjugates formed between pectin and whey protein isolate. Int. J. Biol. Macromol. 2019, 123, 246–254. [Google Scholar] [CrossRef]
- Zhang, Y.Y.; Zhang, T.H.; Dong, C.; Zhao, R.; Zhang, X.G.; Wang, C. Lycopene-loaded emulsions stabilized by whey protein covalently modified with pectin or/and chlorogenic acid: Enhanced physicochemical stability and reduced bio-accessibility. Food Chem. 2023, 417, 135879. [Google Scholar] [CrossRef] [PubMed]
- Liu, Y.B.; Guo, X.B.; Liu, T.; Fan, X.M.; Yu, X.Y.; Zhang, J. Study on the structural characteristics and emulsifying properties of chickpea protein isolate-citrus pectin conjugates prepared by Maillard reaction. Int. J. Biol. Macromol. 2024, 264, 130606. [Google Scholar] [CrossRef] [PubMed]
- Zhang, Q.Y.; Long, X.; Xie, J.; Xue, B.; Li, X.H.; Gan, J.H.; Bian, X.J.; Sun, T. Effect of D-galactose on physicochemical and functional properties of soy protein isolate during Maillard reaction. Food Hydrocoll. 2022, 133, 107914. [Google Scholar] [CrossRef]
- Wen, C.; Zhang, J.; Qin, W.; Gu, J.; Zhang, H.; Duan, Y.; Ma, H. Structure and functional properties of soy protein isolate-lentinan conjugates obtained in Maillard reaction by slit divergent ultrasonic assisted wet heating and the stability of oil-in-water emulsions. Food Chem. 2020, 331, 127374. [Google Scholar] [CrossRef] [PubMed]
- Ma, Y.G.; Zhang, J.; He, J.M.; Xu, Y.J.; Guo, X.B. Effects of high-pressure homogenization on the physicochemical, foaming, and emulsifying properties of chickpea protein. Food Res. Int. 2023, 170, 112986. [Google Scholar] [CrossRef]
- Ma, X.B.; Chi, C.D.; Pu, Y.F.; Miao, S.; Liu, D.H. Conjugation of soy protein isolate (SPI) with pectin: Effects of structural modification of the grafting polysaccharide. Food Chem. 2022, 387, 132876. [Google Scholar] [CrossRef]
- Yang, W.; Tu, Z.; Li, Q.; Kaltashov, I.A.; McClements, D.J. Utilization of sonication-glycation to improve the functional properties of ovalbumin: A high-resolution mass spectrometry study. Food Hydrocoll. 2021, 119, 106822. [Google Scholar] [CrossRef]
- Xie, Y.; Liu, R.; Zhang, C.; Liu, D.; Han, J. Structural Characteristics and Emulsifying Properties of Soy Protein Isolate Glycated with Galacto-Oligosaccharides under High-Pressure Homogenization. Foods 2022, 11, 3505. [Google Scholar] [CrossRef]
- Wang, Y.Q.; Gan, J.; Li, Y.; Nirasawa, S.; Cheng, Y.Q. Conformation and emulsifying properties of deamidated wheat gluten-maltodextrin/citrus pectin conjugates and their abilities to stabilize β-carotene emulsions. Food Hydrocoll. 2019, 87, 129–141. [Google Scholar] [CrossRef]
- Wang, H.-Y.; Qian, H.; Yao, W.-R. Melanoidins produced by the Maillard reaction: Structure and biological activity. Food Chem. 2011, 128, 573–584. [Google Scholar] [CrossRef]
- Zhang, B.; Guo, X.N.; Zhu, K.X.; Peng, W.; Zhou, H. Improvement of emulsifying properties of oat protein isolate–dextran conjugates by glycation. Carbohydr. Polym. 2015, 127, 168–175. [Google Scholar] [CrossRef] [PubMed]
- Spotti, M.J.; Loyeau, P.A.; Marangón, A.; Noir, H.; Rubiolo, A.C.; Carrara, C.R. Influence of Maillard reaction extent on acid induced gels of whey proteins and dextrans. Food Hydrocoll. 2019, 91, 224–231. [Google Scholar] [CrossRef]
- Zhang, Q.; Wu, D.Z.; Luo, W.; Lin, D.R.; Yan, J.; Liu, S.X.; Qin, W. Molecular structure and functional properties of glycinin conjugated to κ-carrageenan and guar gum: A comparative study. Food Chem. 2022, 386, 132810. [Google Scholar] [CrossRef]
- Chen, J.Z.Y.; Imamura, H. Universal model for α-helix and β-sheet structures in protein. Phys. A Stat. Mech. Its Appl. 2003, 321, 181–188. [Google Scholar] [CrossRef]
- Pirestani, S.; Nasirpour, A.; Keramat, J.; Desobry, S.; Jasniewski, J. Effect of glycosylation with gum Arabic by Maillard reaction in a liquid system on the emulsifying properties of canola protein isolate. Carbohydr. Polym. 2017, 157, 1620–1627. [Google Scholar] [CrossRef]
- Pan, N.; Wan, W.; Du, X.; Kong, B.; Liu, Q.; Lv, H.; Xia, X.; Li, F. Mechanisms of Change in Emulsifying Capacity Induced by Protein Denaturation and Aggregation in Quick-Frozen Pork Patties with Different Fat Levels and Freeze–Thaw Cycles. Foods 2022, 11, 44. [Google Scholar] [CrossRef]
- Nasrollahzadeh, F.; Varidi, M.; Koocheki, A.; Hadizadeh, F. Effect of microwave and conventional heating on structural, functional and antioxidant properties of bovine serum albumin-maltodextrin conjugates through Maillard reaction. Food Res. Int. 2017, 100, 289–297. [Google Scholar] [CrossRef]
- Rothstein, A. Sulfhydryl Groups in Membrane Structure and Function. Curr. Top. Membr. Transp. 1971, 1, 135–176. [Google Scholar] [CrossRef]
- Bao, P.; Chen, L.; Hu, Y.; Wang, Y.; Zhou, C. l-Arginine and l-lysine retard aggregation and polar residue modifications of myofibrillar proteins: Their roles in solubility of myofibrillar proteins in frozen porcine Longissimus lumborum. Food Chem. 2022, 393, 133347. [Google Scholar] [CrossRef]
- Luo, B.; Shen, W.; Zhou, J.; Chen, X.; Jin, W.; Jia, X.; Li, F. Effect of ascorbic acid treatment on physicochemical and emulsifying properties of highland barley protein. J. Cereal Sci. 2024, 116, 103861. [Google Scholar] [CrossRef]
- Choi, J.; Fuentes, C.; Fransson, J.; Wahlgren, M.; Nilsson, L. Separation and zeta-potential determination of proteins and their oligomers using electrical asymmetrical flow field-flow fractionation (EAF4). J. Chromatogr. A 2020, 1633, 461625. [Google Scholar] [CrossRef] [PubMed]
- Liu, Y.; Weng, P.; Liu, Y.; Wu, Z.; Wang, L.; Liu, L. Citrus pectin research advances: Derived as a biomaterial in the construction and applications of micro/nano-delivery systems. Food Hydrocoll. 2022, 133, 107910. [Google Scholar] [CrossRef]
- Hu, G.; Zhang, J.; Wang, Q.; Ma, M.; Ma, L.; Li, S. Succinylation Modified Ovalbumin: Structural, Interfacial, and Functional Properties. Foods 2022, 11, 2724. [Google Scholar] [CrossRef] [PubMed]
- Chen, C.; Shi, K.; Qin, X.; Zhang, H.; Chen, H.; Hayes, D.G.; Wu, Q.; Hu, Z.; Liu, G. Effect of interactions between glycosylated protein and tannic acid on the physicochemical stability of Pickering emulsions. LWT 2021, 152, 112383. [Google Scholar] [CrossRef]
- Jiang, W.; Wang, Y.Y.; Ma, C.C.; McClements, D.J.; Liu, F.; Liu, X. Pea protein isolate-inulin conjugates prepared by pH-shift treatment and ultrasonic-enhanced glycosylation: Structural and functional properties. Food Chem. 2022, 384, 132511. [Google Scholar] [CrossRef] [PubMed]
- He, J.; Zhang, J.; Xu, Y.; Ma, Y.; Guo, X. The Structural and Functional Differences between Three Species of Fish Scale Gelatin and Pigskin Gelatin. Foods 2022, 11, 3960. [Google Scholar] [CrossRef] [PubMed]
- Zhan, F.; Li, J.; Wang, Y.; Shi, M.; Li, B.; Sheng, F. Bulk, Foam, and Interfacial Properties of Tannic Acid/Sodium Caseinate Nanocomplexes. J. Agric. Food Chem. 2018, 65, 6832–6839. [Google Scholar] [CrossRef]
- Croguennec, T.; Renault, A.; Beaufils, S.; Dubois, J.-J.; Pezennec, S. Interfacial properties of heat-treated ovalbumin. J. Colloid Interface Sci. 2007, 315, 627–636. [Google Scholar] [CrossRef] [PubMed]
- Hamdani, A.M.; Wani, I.A.; Bhat, N.A.; Siddiqi, R.A. Effect of guar gum conjugation on functional, antioxidant and antimicrobial activity of egg white lysozyme. Food Chem. 2018, 240, 1201–1209. [Google Scholar] [CrossRef]
- Dai, T.; Yan, X.; Li, Q.; Li, T.; Liu, C.; McClements, D.J.; Chen, J. Characterization of binding interaction between rice glutelin and gallic acid: Multi-spectroscopic analyses and computational docking simulation. Food Res. Int. 2017, 102, 274–281. [Google Scholar] [CrossRef]
- Gharbi, N.; Labbafi, M. Influence of treatment-induced modification of egg white proteins on foaming properties. Food Hydrocoll. 2019, 90, 72–81. [Google Scholar] [CrossRef]
- Meng, Y.; Wei, Z.; Xue, C. Correlation among molecular structure, air/water interfacial behavior and foam properties of naringin-treated chickpea protein isolates. Food Hydrocoll. 2024, 147, 109309. [Google Scholar] [CrossRef]










| Sample | α-Helix (%) | β-Sheet (%) | β-Turn (%) | Random Coil (%) |
|---|---|---|---|---|
| OVA | 12.20 | 35.33 | 40.34 | 12.13 |
| Mixture | 22.77 | 33.51 | 33.03 | 10.69 |
| OVA–CP–1d | 22.51 | 34.27 | 32.53 | 10.68 |
| OVA–CP–2d | 22.69 | 33.82 | 33.05 | 10.46 |
| OVA–CP–3d | 20.38 | 36.96 | 31.07 | 11.58 |
| OVA–CP–4d | 22.26 | 36.02 | 31.12 | 10.60 |
| OVA–CP–5d | 22.02 | 37.14 | 30.14 | 10.70 |
| OVA–CP–6d | 21.84 | 36.17 | 31.42 | 10.57 |
| OVA–CP–7d | 21.78 | 38.78 | 28.65 | 10.79 |
| Sample | Solubility (%) |
|---|---|
| OVA | 95.23 ± 0.38 d |
| Mixture | 96.58 ± 0.11 c |
| OVA–CP–1d | 97.29 ± 0.28 bc |
| OVA–CP–2d | 97.72 ± 0.23 b |
| OVA–CP–3d | 98.95 ± 0.15 a |
| OVA–CP–4d | 98.02 ± 0.73 b |
| OVA–CP–5d | 94.92 ± 0.37 ad |
| OVA–CP–6d | 93.60 ± 0.90 e |
| OVA–CP–7d | 94.44 ± 1.06 de |
Disclaimer/Publisher’s Note: The statements, opinions and data contained in all publications are solely those of the individual author(s) and contributor(s) and not of MDPI and/or the editor(s). MDPI and/or the editor(s) disclaim responsibility for any injury to people or property resulting from any ideas, methods, instructions or products referred to in the content. |
© 2024 by the authors. Licensee MDPI, Basel, Switzerland. This article is an open access article distributed under the terms and conditions of the Creative Commons Attribution (CC BY) license (https://creativecommons.org/licenses/by/4.0/).
Share and Cite
Zhang, S.; Liu, Y.; Wu, W. Study on the Structural Characteristics and Foaming Properties of Ovalbumin—Citrus Pectin Conjugates Prepared by the Maillard Reaction. Foods 2024, 13, 3542. https://doi.org/10.3390/foods13223542
Zhang S, Liu Y, Wu W. Study on the Structural Characteristics and Foaming Properties of Ovalbumin—Citrus Pectin Conjugates Prepared by the Maillard Reaction. Foods. 2024; 13(22):3542. https://doi.org/10.3390/foods13223542
Chicago/Turabian StyleZhang, Shanshan, Yibo Liu, and Wenhui Wu. 2024. "Study on the Structural Characteristics and Foaming Properties of Ovalbumin—Citrus Pectin Conjugates Prepared by the Maillard Reaction" Foods 13, no. 22: 3542. https://doi.org/10.3390/foods13223542
APA StyleZhang, S., Liu, Y., & Wu, W. (2024). Study on the Structural Characteristics and Foaming Properties of Ovalbumin—Citrus Pectin Conjugates Prepared by the Maillard Reaction. Foods, 13(22), 3542. https://doi.org/10.3390/foods13223542

