Next Article in Journal
Risk Assessment of Pulegone in Foods Based on Benchmark Dose–Response Modeling
Next Article in Special Issue
Oral Administration of Lactiplantibacillus plantarum CCFM8661 Alleviates Dichlorvos-Induced Toxicity in Mice
Previous Article in Journal
An Overview of Interactions between Goat Milk Casein and Other Food Components: Polysaccharides, Polyphenols, and Metal Ions
Previous Article in Special Issue
Genome- and Toxicology-Based Safety Assessment of Probiotic Akkermansia muciniphila ONE Isolated from Humans
 
 
Font Type:
Arial Georgia Verdana
Font Size:
Aa Aa Aa
Line Spacing:
Column Width:
Background:
Article

Goat Cheese Produced with Sunflower (Helianthus annuus L.) Seed Extract and a Native Culture of Limosilactobacillus mucosae: Characterization and Probiotic Survival

by
Osíris Cordeiro Lima Guimarães
1,2,
Viviane Maria da Silva Quirino
2,
Alícia Santos de Moura
2,
Joyceana Oliveira Correia
1,2,
João Ricardo Furtado
3,
Isanna Menezes Florêncio
2,
Márcia Maria Cândido da Silva
4,
Hévila Oliveira Salles
3,
Karina Maria Olbrich dos Santos
5,
Antonio Silvio do Egito
4,* and
Flávia Carolina Alonso Buriti
1,2
1
Programa de Pós-Graduação em Ciências Farmacêuticas, Universidade Estadual da Paraíba, R. Juvêncio Arruda, s/n, Campina Grande 58429-600, PB, Brazil
2
Núcleo de Pesquisa e Extensão em Alimentos, Universidade Estadual da Paraíba, R. Juvêncio Arruda, s/n, Campina Grande 58429-600, PB, Brazil
3
Embrapa Caprinos e Ovinos, Estrada Sobral/Groaíras, km 4, Sobral 62010-970, CE, Brazil
4
Embrapa Caprinos e Ovinos, Núcleo Regional Nordeste, R. Osvaldo Cruz, 1143, Campina Grande 58428-095, PB, Brazil
5
Embrapa Agroindústria de Alimentos, Av. das Américas, 29501, Rio de Janeiro 23020-470, RJ, Brazil
*
Author to whom correspondence should be addressed.
Foods 2024, 13(18), 2905; https://doi.org/10.3390/foods13182905
Submission received: 31 May 2024 / Revised: 26 August 2024 / Accepted: 2 September 2024 / Published: 13 September 2024
(This article belongs to the Special Issue Probiotics: Selection, Cultivation, Evaluation and Application)

Abstract

The microbiological and biochemical properties of a goat cheese produced using Helianthus annuus (sunflower) seed extract as a coagulant and the potentially probiotic autochthonous culture Limosilactobacillus mucosae CNPC007 were examined in comparison to a control cheese devoid of the autochthonous culture. Throughout a 60-day storage period at 6 ± 1 °C, lactobacilli maintained a count of above 8 log CFU/g. Additionally, its viability in cheeses subjected to the in vitro gastrointestinal conditions demonstrated improvement over this period. Specifically, the recovery of lactobacilli above 6 log CFU/g was observed in 16.66% of the samples in the first day, increasing to 66.66% at both 30 and 60 days. While total coliforms were detected in both cheese trials, this sanitary parameter exhibited a decline in L. mucosae cheeses during storage, falling below the method threshold (<3 MPN/g) at 60 days. This observation suggests a potential biopreservative effect exerted by this microorganism, likely attributed to the higher acidity of L. mucosae cheeses at that point (1.80 g/100 g), which was twice that of the control trial (0.97 g/100 g). Furthermore, distinct relative proportions of >30 kDa, 30–20 kDa, and <20 kDa proteins during storage was verified for L. mucosae and control cheeses. Consequently, either the H. annuus seed extract or the L. mucosae CNPC007 autochthonous culture influenced the biochemical properties of the cheese, particularly in terms of proteolysis. Moreover, L. mucosae CNPC007 acidification property resulted in a biopreservative effect throughout the storage period, indicating the potential as a promising source of probiotics for this product.

1. Introduction

Goat milk, bearing a profile more akin to human milk, as opposed to cow and sheep milk, offers a plethora of health advantages to consumers, such as a reduced risk of eliciting allergic reactions in individuals with cow milk allergies [1,2,3], heightened digestibility and alkalinity, as well as enhanced therapeutic and nutritional attributes [4,5,6]. Such distinguishing features position goat milk as an outstanding foundation for the manufacture of various food products, including cheeses [7].
In the context of goat cheese production, the utilization of milk-clotting enzymes derived from plant sources presents an intriguing alternative to the rennet from animal and microbial origin [8,9,10]. This choice is driven by the renewability of plant inputs and the presence of these enzymes in various species within the plant kingdom [11,12,13]. Notably, it is essential to underscore that numerous cheeses worldwide are crafted using plant extracts, particularly in countries such as Spain, Portugal, Italy, France, Middle Eastern nations, and African countries [14,15,16].
The milk-clotting potential of Helianthus annuus (sunflower) seed extract has been described in various studies [17,18]. Egito et al. [17] reported on the milk-clotting capabilities of H. annuus extract in cow milk. Nasr et al. [18] demonstrated that H. annuus extract represents an economical milk-clotting method suitable for cheese production using both cow and goat milk, thanks to its robust rennet- and curd-forming properties. The main milk-clotting enzyme reported for the sunflower seeds is the aspartic proteinase [17,18,19,20,21]. Moreover, in a study conducted by Giada [22], an aqueous extract of H. annuus seeds was investigated, revealing that phenolic compounds constituted approximately 1.34% of the samples, a noteworthy proportion. Within this group of phenolic compounds, chlorogenic acid, quininic acid, caffeic acid, and p-hydroxybenzoic acid were identified [23,24,25]. This distinctive attribute, coupled with its application in goat cheese production, presents an enticing opportunity for the development of functional foods.
This is reinforced by the growing demand among the population for functional foods that offer benefits beyond their nutritional value, which was amplified during the COVID-19 pandemic, where there was a significant interest in methods that can strengthen the immune system and boost antioxidant mechanisms, such as plant-derived supplements and probiotic foods [26,27]. In this context, the development of new probiotic goat cheese enriched with plant-based ingredients aims to meet the current demands of consumers who are looking for such products. Particularly for clotted cheeses using a plant extract that is a source of proteases, it is necessary to evaluate whether the sunflower extract has any influence on the proteolytic activity in this type of product throughout storage.
The quest to augment the array of probiotic strains takes on pivotal significance, particularly in developing nations, where access to probiotic-rich foods remains restricted to small-scale dairy producers [28]. Within the Lactobacillaceae family, multiple potentially probiotic species can be found, among which Limosilactobacillus mucosae (formerly Lactobacillus mucosae) stands out. This bacterium exhibits proficient intestinal colonization, capabilities attributed to its adhesion to the gastrointestinal epithelium. Notably, L. mucosae has demonstrated the ability to modulate the intestinal immune system and inhibit pathogenic bacteria, rendering it an invaluable asset in the realm of probiotic food development [29,30]. The autochthonous strain Limosilactobacillus mucosae CNPC007 (formerly Lactobacillus mucosae CNPC007), initially isolated from goat milk by a team of researchers at the Brazilian Agricultural Research Corporation (EMBRAPA), exhibited the presence of genetic factors related to intestinal adhesion properties (msa, map, mub, and ef-tu) and to bile salt hydrolase production (bsh), the ability to deconjugate salts of glycodeoxycholic acid, and a high survival rate in simulated gastric and enteric in vitro conditions, properties that render this strain as potential probiotic candidate [30]. Moreover, this strain also showed a relatively high milk acidification and clotting capacity, diacetyl production, and proteolytic activity [16], that enforced it to have undergone comprehensive study and application in various food products, including goat cheese [31]. Therefore, it is desirable to investigate if this microorganism is able to develop proteolytic activity in a plant rennet goat cheese and if this food matrix is able to preserve the survival of this culture under in vitro simulated gastrointestinal conditions.
Furthermore, the potential of lactic acid bacteria, including probiotic Lactobacillaceae strains, as biopreservative agents in food has been recognized over the years due to their capacity as lactic acid producers, creating a hostile environment for spoilage and pathogenic bacteria. Some lactic acid bacteria also exhibit proteolytic activity, releasing bioactive peptides, and can produce bacteriocins. The biopreservative effect arises from the competitive growth and generation of antimicrobial molecules by lactic acid bacteria through their metabolic processes, fostering a natural or controlled microbiota. This, in turn, extends the shelf life and enhances the safety of products [32,33]. Recently, Galdino et al. [33] confirmed that L. mucosae CNPC007 could inhibit standard strains of sanitary indicators such as Salmonella enterica serovar Typhimurium ATCC 14028, Staphylococcus aureus ATCC 25923, and Escherichia coli ATCC 25922 in vitro. These characteristics could heighten the appeal of producing plant-rennet goat cheese with probiotic and biopreservative potential.
Considering these opportunities, the concurrent utilization of goat’s milk, plant extract and an autochthonous potentially probiotic microorganism in cheese production may enable the creation of a top-tier food product with multiple functional health benefits. Additionally, it can offer a novel food alternative for local producers to meet the increasing market demand for functional foods among the general population in recent years.
The objective of this study was to assess the composition, the biopreservative potential against microbial sanitary indicators and the proteolysis profile of a goat cheese manufactured using Helianthus annuus (sunflower) seed extract and the potentially probiotic autochthonous culture of Limosilactobacillus mucosae CNPC007. This assessment was conducted by comparing it with a control cheese produced without the potentially probiotic culture. Moreover, to explore the viability of this food product as a carrier for L. mucosae CNPC007 as a probiotic over a 60-day storage period, the cheese containing this microorganism underwent an in vitro assay simulating the conditions of the gastrointestinal tract at 30-day intervals.

2. Materials and Methods

2.1. Helianthus Annuus (Sunflower) Seed Extract

The seed extract was prepared following the methodology outlined by Egito et al. [7], with some modifications. Helianthus annuus seeds were acquired from the local market in Campina Grande, Paraíba State, Brazil. Initially, the seeds underwent a one-hour soak in a 1% sodium hypochlorite solution. Subsequently, they were thoroughly rinsed with distilled water to eliminate any residual sodium hypochlorite. Next, 1.2 kg of sunflower seeds were finely ground in a blender until a uniform mass was achieved. To this mass, 1.5 L of 1% saline solution was added and the mixture was homogenized. The resulting mixture was then refrigerated at temperatures below 5 °C for a period of 24 h. Following this incubation, liquid extraction was carried out using a cheese press. The extracted liquid was subsequently stored in polyethylene bottles (ca. 500 mL) and frozen at −18 °C until it was ready for use in cheese production.

2.2. Activation of the Lyophilized Strain

The strain of L. mucosae CNPC007, supplied in lyophilized form by the Brazilian Agricultural Research Corporation (EMBRAPA), underwent two activation cycles in De Man Rogosa and Sharpe (MRS) broth, following good microbiological practices, and each cycle was conducted at 37 °C for 24 h.
The tubes were subsequently centrifuged at 3018× g for 10 min using a Parsec Biotechnik, model CT 0603 (Curitiba, Brazil). The resulting pellet was washed with 10 mL of a 0.85% saline solution, and this washing process was repeated three times to yield the pellets (with an average of 3.4 × 1010 CFU per pellet) utilized in the cheese manufacturing process.

2.3. Production of Cheese Batches

The milk utilized in cheese production was purchased from small farmers from the municipality of Soledade, Paraíba, Brazil, and subjected to pasteurization at 65 °C for 30 min. Using milk from the same purchasing, two distinct cheese making trials were conducted; one trial incorporated the strain L. mucosae CNPC007, while the other, serving as the control, was produced without the inclusion of the lactic culture. Each cheese trial (control and L. mucosae) was repeated three times, consisting of three separate batches (genuine independent replicates). In both cheese trials, 7.5 L of goat milk at 37 °C were used, along with 330 mL of sunflower seed extract and 1.875 g of calcium chloride. For the L. mucosae trial, 5 pellets with the activated culture were added (1.7 × 1011 CFU), in order to obtain enough amount that was required to guarantee high levels of L. mucosae in cheese and, consequently, to maximize the survival of this probiotic through the in vitro gastrointestinal conditions. Following coagulation (ca. 1 h), the cheeses underwent partial draining, salting (67.5 g of salt was dissolved in approximately 2 L of whey, which remained in contact with the curd for 15 min), and were then placed in cheese molds. At the time of molding, the average viability of lactobacilli in the curd was 1.4 × 109 CFU/g. Subsequently, they were pressed (Zatti Indústria Ltd., Coronel Freitas, Brazil) at room temperature for 24 h. Following this phase, the cheeses were removed from the molds, underwent a 48 h ripening period at 8 °C, and were finally vacuum sealed in nylon plastic bags. These vacuum-sealed cheeses were stored at 6 ± 1 °C for 60 days. Cheese samples from each trial were collected for analysis on day 1 (the day the cheese was ready for packaging after ripening), and also after 30 and 60 days of storage at 6 ± 1 °C. The complete cheese-making process for the studied cheese trials is illustrated in Figure 1.

2.4. Analysis of Proximate Composition and Physicochemical Parameters of Cheeses

All analyses of the proximate composition and physicochemical parameters were conducted in triplicate to ensure accuracy and reliability of the results.
The titratable acidity analysis was carried out on the cheese samples during the designated sampling periods, 1, 30, and 60 days of storage. This involved mixing 10 g of the sample with 95% ethyl alcohol to reach 100 mL of total volume and, after a 6 h interval, the mixture was filtered (185 mm qualitative paper, 80 g/m2, Unifil, Curitiba, Brazil). A portion of the filtrate was then titrated using a 0.1 mol/L sodium hydroxide solution, with 0.1% phenolphthalein serving as the indicator. The results are expressed as a percentage of lactic acid [34].
Except for moisture, which was also assessed during the sampling periods previously described (1, 30, and 60 days), the proximate composition analyses were conducted on the first day of storage. Moisture and total solids were determined by subjecting the samples to drying in a vacuum oven (model 104/30, Lucadema, São José do Rio Preto, Brazil), at 70 °C, until a constant weight was achieved [34]. Ash content was determined through gravimetry after incinerating the organic matter of the dried samples until complete ashed in a muffle furnace (Fornitec, São Paulo, Brazil) at 550 °C [34]. Fat content was determined utilizing a milk butyrometer following digestion of the cheese samples with H2SO4 (density = 1.5 g/mL) and isoamyl alcohol. The butyrometer, containing the digested material, was centrifuged in a Gerber centrifuge (Plurinox, Batatais, Brazil) for 10 min [34]. Protein content was estimated by quantifying the nitrogen content of 0.2 g cheese samples using the micro Kjeldahl method and then multiplying the results by 6.38 [35,36]. Total carbohydrates were calculated as the difference between 100 g of sample and the sum of the other components [36].

2.5. Probiotic Viability Analysis

The viability of lactobacilli was assessed throughout the L. mucosae cheese storage period in accordance with the previously outlined sampling schedules (1, 30, and 60 days). To achieve this, 25 g portions of the sample were aseptically transferred into 225 mL of peptone water (0.1%, w/v) and this mixture underwent serial dilutions using the same diluent [1,18]. Subsequently, 1 mL aliquots of these dilutions were pour plated onto MRS agar (HiMedia, Mumbai, India). The plates were then incubated in aerobic conditions at 37 °C for 48 h [23].

2.6. Resistance of the Probiotic to Passage through the Gastrointestinal System

The assessment of the resistance of lactobacilli present in L. mucosae cheeses under simulated gastrointestinal conditions was conducted throughout the storage period, employing the methodology as previously described by Galdino et al. [37], with some adaptations. To accomplish this, 25 g portions of the samples were diluted in 225 mL of a 0.5% sodium chloride solution. To 10 mL of these dilutions, 0.3 mL of a 1 mol/L hydrochloric acid solution and solutions of the enzymes porcine mucosa pepsin (Sigma Aldrich, St. Louis, MO, USA, 0.1 mL) and lipase (Amano lipase F-AP15, from Rhizopus oryzae, Sigma, 0.01 mL) in 0.5% sodium chloride solution were added, resulting in a total volume of 11.4 mL (3.07 g/L pepsin; 0.9 mg/L lipase) with a pH between 1.5 and 2.0. These dilutions with the enzyme solutions were incubated at 37 ± 1 °C for 2 h with agitation (150 rpm). Following this, aliquots of 0.17 mL of a 0.5% sodium chloride solution and 2 mL of sodium phosphate solution pH 12 (NaH2PO42H2O, 14 g; 1 N NaOH, 150 mL; distilled H2O qsp 1 L) containing the bile (Bovine Bile, Sigma, 0.1017 g) and pancreatin (Porcine Pancreas Pancreatin, Sigma, 0.0101 g) were added, resulting in a total volume of 13.57 mL (9.53 g/L bile; 0.953 g/L of pancreatin) with a pH between 4.7 and 5.8. These sample dilutions were incubated once more at 37 ± 1 °C for 2 h with agitation at 150 rpm. Four hours after the initiation of the assay, a 1 mL aliquot of sodium phosphate solution at pH 12 containing bile (0.1448 g) and pancreatin (0.0145 g) was added, resulting in a final volume of 14.57 mL (9.57 g/L bile; 0.9570 g/L pancreatin), with a pH between 6.2 and 6.7. The sample dilutions were then incubated at 37 ± 1 °C for an additional 2 h with agitation at 150 rpm, amounting to a total assay duration of 6 h. Aliquots (1 mL) of the cheese dilutions containing the simulated gastrointestinal fluids were collected after 30 min, 2 h, 4 h, and 6 h of the in vitro assay. These aliquots were serially diluted and pour plated onto MRS agar, followed by incubation in aerobic conditions at 37 °C for 48 h. Each assay was performed in duplicate.

2.7. Analysis of Sanitary Conditions

In accordance with their respective classification for moisture content [38], the produced cheeses were assessed for the presence of microbiological contaminants, adhering to the regulatory standards in force at the time when the study was conducted [39].
To ascertain the presence of both total and thermotolerant coliforms, portions of the cheese samples were initially diluted in peptone water at a 1:10 ratio, following the same approach described earlier for the analysis of lactobacilli. After this, sequential dilutions were performed until a 10−3 dilution was achieved.
In the presumptive phase, samples from each dilution were taken and added in triplicate to tubes containing 10 mL of lauryl-tryptose broth (Kasvi, São José dos Pinhais, Brazil), along with inverted Durham tubes. These tubes were then incubated at 35 °C for 24 h. For the confirmatory phase regarding total coliforms, the samples with Durham tubes showing the presence of gas from the presumptive phase were transferred to tubes containing 10 mL of the brilliant green bile lactose broth (Kasvi, São José dos Pinhais, Brazil) also with inverted Durham tubes. These samples were incubated at 35 °C for an additional 24 h. The results from this stage were reported as the most probable number (MPN)/g of total coliforms (at 35 °C)/g of cheese. In the confirmation phase for thermotolerant coliforms, the samples that exhibited gas production in the presumptive phase were transferred to tubes containing 10 mL of EC broth culture medium (Kasvi, São José dos Pinhais, Brazil), including inverted Durham tubes. These samples were then incubated at 45 °C for 24 h. The results from this stage were presented as the MPN of thermotolerant coliforms (at 45 °C)/g of cheese.
To detect the presence of Staphylococcus spp., 100 µL of the decimal dilutions were spread onto Petri dishes containing mannitol salt agar (Kasvi, São José dos Pinhais, Brazil). These plates were then incubated at 37 °C for a period of 24–48 h.
To identify the presence of Salmonella spp., the 10−1 dilution, prepared as described earlier, underwent incubation at 35 °C for 24 h for enrichment. After this period, an aliquot of the enriched sample was collected using a platinum loop and streaked onto Petri dishes containing Salmonella differential agar (RajHans medium, HiMedia). These plates were then incubated at 35 °C for an additional 24 h.

2.8. Proteolytic Analysis by Sodium Dodecyl Sulphate Polyacrylamide Gel Electrophoresis (SDS-PAGE)

The PAGE-SDS-2β-mercaptoethanol system, as described by Laemmli [40] and adapted for the use of plate gels (18 × 16 cm) (SE600, GE Healthcare, Global Life Sciences Solutions, Marlborough, MA, USA), was employed. A 15% polyacrylamide separating gel and a 5% stacking gel were utilized. To prepare the SDS-PAGE gel, cheese samples (2 mg) were dissolved in Tris-HCl buffer at pH 6.8, containing SDS (1.6 mg/100 mL), 2-mercaptoethanol (4 mL/100 mL), glycerol (10 mL/100 mL), and bromophenol blue (10 mg/100 mL). This mixture was then boiled at 100 °C for 3 min. Volumes of 30 μL of the prepared samples were loaded onto the gel. Electrophoresis was conducted at 4 °C for 168 min at the following settings: 500 V, 120 mA, and 60 W. For molecular weight standards, the SigmaMarkerTM wide range (6500–200,000 Da, Sigma-Aldrich, Saint Louis, MO, USA) was employed, which included myosin (200 kDa), β-galactosidase (116 kDa), phosphorylase B (97 kDa), bovine serum albumin (66 kDa), glutamic dehydrogenase (55 kDa), ovalbumin (45 kDa), glyceraldehyde-3-phosphate dehydrogenase (36 kDa), carbonic anhydrase (29 kDa), trypsinogen (24 kDa), trypsin inhibitor (20 kDa), α-lactalbumin (14.2 kDa), and aprotinin (6.5 kDa). Following electrophoresis, the proteins or peptides were fixed with a 12% (w/v) trichloroacetic acid solution for 30 min and subsequently stained overnight using a solution of R-250 Coomassie blue (0.8 g/100 mL), ammonium sulphate (8 g/100 mL), phosphoric acid (0.96 mL/100 mL), and ethanol (20 mL/100 mL). The gel was then destained overnight in a solution comprising 30% (v/v) ethanol, 7.5% (v/v) acetic acid, and 5% (w/v) trichloroacetic acid. The SDS-PAGE gel was photographed after destaining and the molar masses of bands were identified by measuring their relative mobilities in comparison with those of the markers from the standard mixture processing the bands using the GelAnalyzer software, version 23.1.1, http://www.gelanalyzer.com/ (accessed on 26 July 2024).

2.9. Statistical Analysis

To assess the data’s homogeneity, the Levene test was utilized. For comparing data related to cheese storage time, the Friedman’s non-parametric test was employed, with a significance level of p < 0.05. In the case where significant results were obtained, the Wilcoxon test was used to analyze the contrasts. Additionally, for comparing the cheese trials on the same day of storage, the Mann–Whitney U test was applied. All data analyses were conducted using Statistica 9.0 Software (StatSoft®, Tulsa, OK, USA).
To assess the microbial sanitary indicators during cheese storage of cheeses and the survival of lactobacilli through the in vitro assay, the exact binomial test was carried out [41]. The null hypothesis (H0) posited that the presence of sanitary indicators (microbiological analysis during storage for safety evaluation) and the survival rate above 6 log CFU/g throughout the assay (in vitro simulated gastrointestinal resistance) should be at least 25%.

3. Results and Discussion

3.1. Sunflower Seed Extract Properties and Cheese Proximate Composition and Physicochemical Parameters

The figures showing the appearance and the milk clotting property of the Helianthus annuus seed extract processed in the present study are shown in Supplementary Figures S1 and S2, respectively (see Supplementary Data). The extracts were fluid, slightly opaque, with a brownish color (Figure S1). After being the extracts frozen and thawed for use, these characteristics were maintained. During the preliminary studies, clotting activity in tubes containing 1 mL of reconstituted milk powder and 500 µL extract was verified after 20 min, while milk in tubes containing 40 µL extract clotted after 1 h (Figure S2). Therefore, 40 µL extract for each 1 mL milk was used as reference to define the amount of extract that would be used in cheese production, with an increase of 10% in order to be used with a higher milk volume. This milk-clotting property of the extract was maintained even after being frozen and thawed.
The results of the analyses of proximate composition of cheeses are shown in Table 1.
No significant differences were observed between the cheese trials for the studied proximate composition parameters (p > 0.05). Both cheese trials met the requirements for protein source’s products according to Brazilian regulatory standards, which stipulate a minimum content of 10% for food products sources of this nutrient [42]. In terms of fat content, the cheeses in this study were classified as medium-fat according to both Brazilian and Codex Alimentarius standards, as their fat content in dry matter (FDM) fell within the range from 25% to 45% [38,43]. In the present study, the calculated value for total carbohydrates by difference was 9.85 ± 5.34 g/100 g and 10.72 ± 5.28 g/100 g for control and L. mucosae cheese, respectively, without significant differences between them (p > 0.05). It is worth noting that variable proximate composition values have been reported in the literature for cheeses produced with milk from different species and plant rennet. For instance, Serra et al. [44] conducted a study with cheeses produced from buffalo and sheep milk using kiwi juice as a coagulant and observed ash values ranging from 1.27% to 1.69%, and fat values ranging from 27.40% to 27.55%.
The moisture and acidity results are shown in Table 2.
In terms of moisture content, control and L. mucosae cheeses did not differ significantly from each other in the same sampling storage period (p > 0.05) and, for both cheeses, their moisture values during storage did not differ significantly (p > 0.05). Both control and L. mucosae cheeses were classified as high-moisture cheeses in accordance with the Brazilian regulatory standards, with moisture ranging from 46.0% to 54.9% [38]. Moreover, according to the Codex Alimentarius [43], these cheeses were classified as firm/semi-hard, as they exhibited moisture in the free-fat base (MFFB) ranging from 54% to 69%.
Regarding titratable acidity, both cheese trials exhibited a significant increase in acidity during storage at each sampling day (p < 0.05). Moreover, the significant difference in acidity between the L. mucosae and control cheeses was evident at 30 days and became more pronounced on the final day of storage, with the L. mucosae cheese showing twice the acidity of the control product (p < 0.05). This increase in acidity can be attributed to the fermentative behavior of L. mucosae CNPC007 in goat milk and its acidification capacity in dairy products, as previously demonstrated by this research group [37]. This trend observed especially in L. mucosae cheese in the present study is consistent with the findings of Moraes et al. [31], who reported a significant increase in acidity after 14 and 28 days compared to day 1 (p < 0.05) for Coalho goat cheese manufactured with the commercial Ha-la coagulant (containing protease from Aspergillus awamori), Streptococcus thermophilus TA40 (a commercial lactic acid culture for dairy applications), and L. mucosae CNPC007.

3.2. Viability of Lactobacilli during Storage and Its Resistance through the In Vitro Gastrointestinal Conditions

The viability of lactobacilli in L. mucosae cheese during storage (mean ± standard deviation) and the survival in this food product when subjected to the in vitro simulated conditions of the gastrointestinal tract (minimum and maximum values) are presented in Table 3.
The highest population of the lactic acid bacteria was observed at 30 days, which differed significantly from the first day (p < 0.05). However, no significant difference was observed when comparing the 60th day to the other sampling periods (p > 0.05). This indicates that the population of lactobacilli remained relatively stable during the storage period, demonstrating a good viability in the goat cheese with H. annuus extract stored at 6 ± 1 °C for 60 days. Similar results were obtained by Moraes et al. [31] in their study with goat Coalho cheese produced using the commercial Ha-la coagulant, Streptococcus thermophilus TA40, and L. mucosae CNPC007. They reported results ranging from 8.28 to 8.72 log CFU/g for the potentially probiotic autochthonous culture in the product stored at 4 °C for 28 days. According to these authors, the viability of the autochthonous bacteria in the experimental cheeses is aligned with the international recommendations for probiotic foods, which typically require a count of around 108 CFU/g.
Regarding the in vitro assay simulating the gastrointestinal conditions, the results indicate that at the beginning of the assays (0 h), all sampling periods had a nearly similar population of lactobacilli. However, the L. mucosae cheeses in all sampling periods exhibited a reduction in the survival of the lactic acid bacteria during the gastric phase (samples collected at 30 min and 2 h). Subsequently, during the enteric phases I and II (samples collected after 4 h and 6 h, respectively), there was an increase in the survival of lactobacilli, indicating partial recovery of viability. Overall, the survival of this bacteria through the in vitro gastrointestinal conditions improved with time. On the first day, only 4.17% of the samples were able to recover lactobacilli above 6 log CFU/g, whereas this percentage increased to 29.17% for samples at 30 and 60 days. For most of the samples analyzed, L. mucosae survived at around 5.5 log CFU/g after 4 h of the assay. However, there were exceptions, such as one batch on day 1 and one batch at day 30, where the survival was around 4.01 log CFU/g and 6.56 log CFU/g, respectively. After 6 h of the assay, lactobacilli survived above 6.0 log CFU/g for most samples, except for two batches on day 1 and one batch on day 60. The survival after 6 h of the assay exceeded 7.0 log CFU/g for two batches at 60 days.
The observed behavior, where there was a decrease in the survival of the probiotic during the gastric phase followed by an improvement in the recovered population during the enteric phases, has also been described in other studies [37,45]. According to these studies, the decrease in the population of lactobacilli in the gastric phase is attributed to the stress caused by the decrease in pH, which leads to injury to the microorganisms. However, this decrease is typically reversed in the enteric phase due to the increase in pH, which allows for the repair and recovery of the microorganisms.
Based on the results, it is evident that lactobacilli maintained good viability throughout the entire storage period in the goat cheeses with H. annuus extract. Additionally, this microorganism exhibited satisfactory survival in the cheese when subjected to the in vitro simulated gastrointestinal conditions, as it was recoverable at the end of the assays.

3.3. Concentration of Microbial Contamination Indicators in Cheeses during Storage

The results of the analysis of the microbial contamination indicators in the cheeses are shown in Table 4. The results of total coliforms (at 35 °C), thermotolerant coliforms (at 45 °C), and E. coli are presented as the most probable number (MPN)/g sample, while the results of Staphylococcus spp. are presented as CFU/g of sample.
All cheeses were negative for the presence of Salmonella spp. in 25 g of product and exhibited results of E. coli and thermotolerant coliforms below the method threshold (<3 MPN/g). The total coliform counts decreased in all batches, except for one batch of the control cheese. All cheeses met the acceptable quality criteria for E. coli and Salmonella spp. according to the Brazilian regulatory standards in effect at the time of the study [39], which specified a maximum population of 102 MPN/g for E. coli in cheeses with moisture of 46% or above and the absence of Salmonella spp./25 g of product. Staphylococcus spp. was detected in one batch of control cheese on the 1st and 30th days of storage (9.5 × 10³ CFU/g and 4.0 × 102 CFU/g, respectively), leading to an unsatisfactory result in terms of this parameter’s quality, as it exceeded the maximum limit established for this microorganism in cheeses by the same Brazilian regulatory standards, which was 102 CFU/g [39]. However, by the 60th day, Staphylococcus spp. count had decreased below the detectable threshold the methodology (<102 CFU/g).
Based on these results, the control trial cheeses, without L. mucosae CNPC007, were more susceptible to contamination with total coliforms and Staphylococcus spp., while these contaminants were reduced or prevented in the batches from the probiotic trial.
The results of Staphylococcus spp. falling below the detectable threshold of the methodology and the higher reduction in the number of total coliforms in the cheeses containing L. mucosae at 60 days of storage may indicate a potential inhibitory effect of this microorganism on these microbial indicators, contributing to the biopreservation of the product during storage. This effect is most probably due to the higher values of titratable acidity over the storage. The biopreservative effect of potentially probiotic lactic acid bacteria has been reported in other studies. Buriti, Cardarelli, and Saad [46] conducted a study involving the addition of a coculture of Lacticaseibacillus paracasei LBC82 (formerly Lactobacillus paracasei LBC82) and Streptococcus thermophilus TA40 to fresh cream cheeses. In this study, total coliforms were initially observed at levels between 1.0 and 1.4 log CFU/g of sample (equivalent to 10 and 25 CFU/g) on the day of production (day 0). However, as the study progressed, the number of coliforms in these cheeses decreased to levels below the method’s threshold starting from day 14. Additionally, the authors confirmed that L. paracasei exhibited inhibitory effects against Latilactobacillus sakei (formerly Lactobacillus sakei), Listeria monocytogenes, and Staphylococcus aureus when tested in MRS agar, where inhibition zones measuring between 2 and 3 cm were observed. Recently, Galdino et al. [33] verified that L. mucosae CNPC007, when tested in vitro in Mueller-Hinton agar, was able to inhibit E. coli ATCC 25922, Salmonella Typhimurium ATCC 14028, and S. aureus ATCC 25923 by, respectively, 30.00%, 20.87%, and 23.21% of the inhibition capacity of the positive control Ciprofloxacin 2 mg/mL.

3.4. Proteolytic Analysis by Sodium Dodecyl Sulphate Polyacrylamide Gel Electrophoresis (SDS-PAGE)

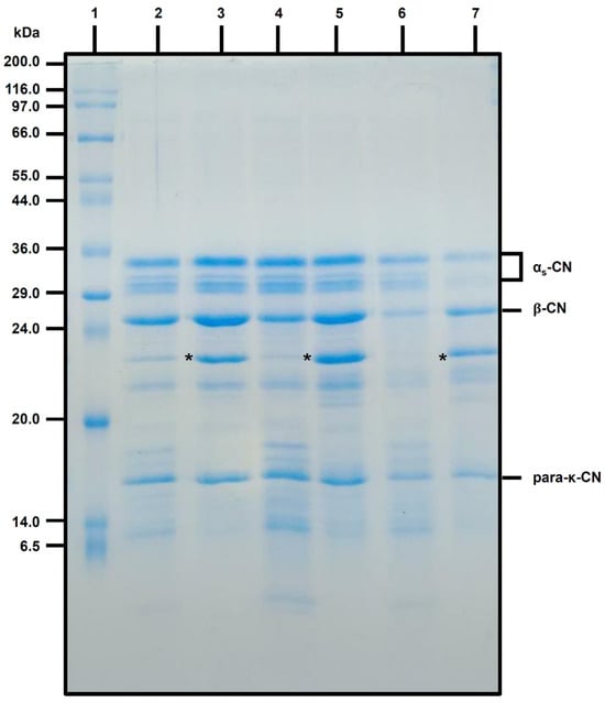
The SDS-PAGE electrograms of one batch of control and L. mucosae cheeses after 1, 30, and 60 days of storage are shown in Figure 2.
In all treatments, characteristic cheese protein and peptide bands were observed, with a notable presence of caseins (CN), particularly αs-CN and β-CN, as well as the para-κ-CN peptide. On days 1 and 30, the revealed protein and peptide bands in L. mucosae cheese appeared more intense than those in the control cheeses.
In order to evaluate the protein distributions between cheese trials and their mobility during the storage, the densitometric analysis of the SDS-PAGE gel was performed (Figure 3) and, for a better discussion of these densitometric results, protein bands were divided into three groups, according to their molecular weights: >30 kDa, 30–20 kDa, and <20 kDa. Areas of density peaks provided the relative proportion (%) of proteins, shown in Figure 4, which were used to evaluate their changes and proteolysis during storage in control and L. mucosae cheeses.
At 1 and 30 days of storage, L. mucosae cheeses showed higher relative proportions of >30 kDa proteins compared to control cheeses (Figure 4). However, by day 60, there was a tendency for the intensity of these bands to decrease in L. mucosae cheeses. In control cheeses, on the other hand, the relative proportion of >30 kDa proteins remained stable during all the storage. For the relative proportion of 30–20 kDa proteins, an opposite behavior was verified, with a decrease of this group of proteins during storage in control cheeses, and with an increase in L. mucosae cheeses. Considering the proteins of this range in the Figure 2, for all storage periods, there were prominent bands, marked with “*” in the region below 24 kDa in L. mucosae cheeses, which were either poorly visible (days 1 and 30) or not visible (60 days) in the control cheeses. Conversely, in the control cheese at all sampling periods, the bands in the 6.5 to 14 kDa range were more intense (Figure 2), parallel to the higher relative proportions of <20 kDa proteins (Figure 4), compared to their respective L. mucosae cheeses, with the control cheese also exhibiting increase in the relative proportion of these proteins during storage. Additionally, prominent peaks marked with a circle and “*” in the region below 6.5 kDa in the densitograms were observed only in control cheeses at 30 and 60 days (Figure 3).
Therefore, in the present study, a distinct pattern of proteolysis was observed in control and L. mucosae cheeses, with the relative proportions of 30–20 kDa proteins decreasing at the end of storage, with an increase of the <20 kDa proteins and <6.5 kDa peptides, while for L. mucosae cheeses, the proteolysis during storage was verified for >30 kDa proteins, with an increase in 30–20 kDa proteins at 60 days. These changes were more evident at the end of storage for both cheeses. According to Barać et al. [47] several factors, including the residual rennet, the indigenous milk proteases, and also the starter and non-starter microbiological cultures, are responsible for proteolysis obtained in cheese. In this study, at 60 days, the tendency for the mobility of 30–20 kDa proteins to <20 kDa bands was probably due to the residual plant rennet from sunflower seed extract, while in L. mucosae cheeses, the proteolysis of >30 kDa proteins was probably due to the lactic acid bacteria metabolism. Even with this proteolytic pattern in L. mucosae cheeses, the presumable amino acid degradation was insufficient to interfere in the titratable acidity of the product due also to the high lactic acid production verified in cheeses containing this bacterium.
Regarding the proteolytic potential of plant extracts, a study conducted by Egito et al. [17] using extracts of sunflower and Albizia (Albizia lebbeck) seeds, as analyzed through electrophoresis and high-performance liquid chromatography, revealed that αs-CN and β-CN were more susceptible to hydrolysis by Albizzia extract compared to sunflower extract. In the presence of the Albizia extract, most of the αs-CN disappeared after 40 min, while the band of β-CN was still visible after 6 h. In the presence of sunflower extract, both αs-CN and β-CN remained visible after 6 h, with traces of these caseins still detected after 24 h.
Moreover, the regions where αs-CN, β-CN and para-κ-CN bands were revealed in the gels for both control and L. mucosae cheeses in the present study (Figure 2) closely resembled the regions where these same bands appeared in the study conducted by Egito et al. [17]. However, as previously mentioned, the protein profile of L. mucosae cheese differed from that of the control cheese also due to the presence of a band with strong intensity between 20 and 24 kDa.
As observed in the present study for the proteolysis of cheeses with L. mucosae strain CNPC007, the proteolytic potential of this microorganism has already been described in some studies, such as Morais et al. [48], where a greater proteolytic extension was reported in yogurt containing L. mucosae compared to a control yogurt without the culture, and Moraes et al. [30], who described the possible proteolysis of L. mucosae in goat cheeses as a potential source of aroma alteration throughout the cheese maturation period.

4. Conclusions

Goat cheese processed with H. annuus seed extract as plant rennet is a promising option as L. mucosae CNPC007 carrier, since this microorganism showed either high viability and stability in the product during storage or high survival under in vitro gastrointestinal conditions. The biochemical properties of the cheese were significantly influenced either by the H. annuus seed extract, an alternative source of proteases to animal and microbial rennet that allowed protein breakdown and release of peptides in control cheese, or by L. mucosae CNPC007 that resulted in a product with distinct proteolytic profile, allied to its potential bioprotective effect, probably as a result of the acidification capacity of this lactic acid bacteria.

Supplementary Materials

The following supporting information can be downloaded at: https://www.mdpi.com/2304-8158/13/18/2905/s1, Figure S1. Appearance of Helianthus annuus (sunflower) seed extract used in the present study; Figure S2. Coagulant activity in three test tubes containing 40 μL Helianthus annuus (sunflower) seed extract and 1 mL of reconstituted milk powder after 1 h.

Author Contributions

O.C.L.G.: conceptualization, data curation, formal analysis, investigation, methodology, project administration, validation, writing—original draft, writing—review and editing. V.M.d.S.Q.: investigation, validation. A.S.d.M.: investigation, validation. J.O.C.: formal analysis, investigation, validation. J.R.F.: formal analysis, investigation, methodology. I.M.F.: investigation, methodology. M.M.C.d.S.: formal analysis, investigation, methodology, validation. H.O.S.: formal analysis, investigation, methodology, validation. K.M.O.d.S.: investigation, funding acquisition, resources. A.S.d.E.: investigation, validation, conceptualization, methodology, funding acquisition, resources, visualization, supervision, writing—review and editing. F.C.A.B.: methodology, funding acquisition, investigation, resources, project administration, supervision, writing—review and editing. All authors have read and agreed to the published version of the manuscript.

Funding

This study received financial support and scholarships from Conselho Nacional de Desenvolvimento Científico e Tecnológico (CNPq, Projects 125186/2019-3, 120757/2020-6, 307075/2020-6, 308253/2020-5 and 301723/2021-4), Fundação de Apoio à Pesquisa do Estado da Paraíba (FAPESQ, Projects 028/2018 and 1066/2019), Empresa Brasileira de Pesquisa Agropecuária (EMBRAPA, PROBIOLACT Project 23.16.05.038.00.00), Coordenação de Aperfeiçoamento de Pessoal de Nível Superior (CAPES, Finance Code 001 and Call 04/2021—FAPESQ/CAPES—PDPG), and Fundação Parque Tecnológico da Paraíba (PaqTcPB, Project AC-NUPEA-UEPB). This study was also financed in part by Paraíba State University, Grant #01/2024.

Institutional Review Board Statement

Not applicable.

Informed Consent Statement

Not applicable.

Data Availability Statement

The original contributions presented in the study are included in the article/Supplementary Materials, further inquiries can be directed to the corresponding author.

Acknowledgments

The authors thank the members and collaborators of the Núcleo de Pesquisa e Extensão em Alimentos, Programa de Pós-Graduação em Ciências Farmacêuticas, Embrapa Agroindústria de Alimentos, Embrapa Caprinos e Ovinos (Núcleo Regional Nordeste) and Embrapa Algodão for their technical assistance.

Conflicts of Interest

The authors whose names are listed immediately below certify that they have NO conflicts of interest to declare: Osíris Cordeiro Lima Guimarães, Viviane Maria da Silva Quirino, Alícia Santos de Moura, Joyceana Oliveira Correia, Isanna Menezes Florêncio, and Flávia Carolina Alonso Buriti. The authors whose names are listed immediately below report the following conflicts of interest related to the work under consideration: Author Márcia Maria Cândido da Silva received research grants by Conselho Nacional de Desenvolvimento Científico e Tecnológico and Fundação de Apoio à Pesquisa do Estado da Paraíba to exert a research fellow position at Embrapa Caprinos e Ovinos, Núcleo Regional Nordeste, Campina Grande, Brazil. The contribution of the author in the paper was assisting in the execution of practical experimental aspect, adapting and standardizing part of the methods used and in revise the students research reports, which were also used to compose part of the manuscript. Author João Ricardo Furtado was employed by the company Brazilian Agricultural Research Corporation, contributing to the study by performing the densitometry analysis for the protein bands of the electrophoresis gel presented in the manuscript, as well as obtaining and organizing the densitogram images. Author Hévila Oliveira Salles was employed by the company Brazilian Agricultural Research Corporation, contributing to the study by analyzing the densitometry data, grouping the data based on the molar mass of the proteins to calculate the mobilization of these protein groups in the samples during storage, and also assisting in the interpretation of these results. Author Karina Maria Olbrich dos Santos contributed to the paper as an employed by the company Embrapa Agroindústria de Alimentos, Empresa Brasileira de Pesquisa Agropecuária, by preparing part of the material used in the analyzed samples, assisting in tracking the research progress, helping in the interpretation of the results, and reviewing the manuscript. Author Antonio Silvio do Egito was employed by the company Embrapa Caprinos e Ovinos, Empresa Brasileira de Pesquisa Agropecuária. The contribution of the author in the paper was acting as co-advisor, designing the study, assisting in the training of the students, tracking the research progress, helping in the interpretation of the results, and reviewing the manuscript. The authors declare that this study received funding from Empresa Brasileira de Pesquisa Agropecuária (EMBRAPA, PROBIOLACT Project 23.16.05.038.00.00). The funder had the following involvement with the study: provided resources (specialist reagents and consumables). The funder was not involved in the study design, collection, analysis, interpretation of data, the writing of this article, or the decision to submit it for publication. The remaining authors declare that the research was conducted in the absence of any commercial or financial relationships that could be construed as a potential conflict of interest.

References

  1. Siddiqui, S.A.; Salman, S.H.M.; Redha, A.A.; Zannou, O.; Chabi, I.B.; Oussou, K.F.; Bhowmik, S.; Nirmal, N.P.; Maqsood, S. Physicochemical and nutritional properties of different non-bovine milk and dairy products: A review. Int. Dairy J. 2024, 148, 105790. [Google Scholar] [CrossRef]
  2. Akshit, F.N.U.; Mao, T.; Kaushik, R.; Poswal, V.; Deshwal, G.K. Global comprehensive review and meta-analysis of goat milk composition by location, publication year and lactation stage. J. Food Compos. Anal. 2024, 127, 105973. [Google Scholar] [CrossRef]
  3. van Leeuwen, S.S.; te Poele, E.M.; Chatziioannou, A.C.; Benjamins, E.; Haandrikman, A.; Dijkhuizen, L. Goat milk oligosaccharides: Their diversity, quantity, and functional properties in comparison to human milk oligosaccharides. J. Agric. Food Chem. 2020, 68, 13469–13485. [Google Scholar] [CrossRef]
  4. Park, Y.W.; Juárez, M.; Ramos, M.; Haenlein, G.F.W. Physico-chemical characteristics of goat and sheep milk. Small Rumin. Res. 2007, 68, 88–113. [Google Scholar] [CrossRef]
  5. Bidot Fernández, A. Composition, attributes and benefits of goat milk: Literature review. J. Anim. Prod. 2017, 29, 32–41. [Google Scholar]
  6. Kashyap, S.; Shivakumar, N.; Sejian, V.; Deutz, N.E.P.; Preston, T.; Sreeman, S.; Devi, S.; Kurpad, A. Goat milk protein digestibility in relation to intestinal function. Am. J. Clin. Nutr. 2021, 113, 845–853. [Google Scholar] [CrossRef]
  7. Pal, M.; Dudhreijiya, P.T.; Pinto, S.V. Goat milk products and their significance. Beverage Food World 2017, 44, 21–25. [Google Scholar]
  8. Lopes, A.; Teixeira, G.; Liberato, M.C.; Pais, M.S.; Clemente, A. New vegetal sources for milk clotting enzymes. J. Mol. Catal. B Enzym. 1998, 5, 63–68. [Google Scholar] [CrossRef]
  9. Liburdi, K.; Boselli, C.; Giangolini, G.; Amatiste, S.; Esti, M. An evaluation of the clotting properties of three plant rennet in the milks of different animal species. Foods 2019, 8, 600. [Google Scholar] [CrossRef] [PubMed]
  10. Ben Amira, A.; Besbes, S.; Attia, H.; Blecker, C. Milk-clotting properties of plant rennets and their enzymatic, rheological, and sensory role in cheese making: A review. Int. J. Food Prop. 2017, 20, S76–S93. [Google Scholar] [CrossRef]
  11. Shah, M.A.; Mir, S.A.; Paray, M.A. Plant proteases as milk-clotting enzymes in cheesemaking: A review. Dairy Sci. Technol. 2014, 94, 5–16. [Google Scholar] [CrossRef]
  12. Jacob, M.; Jaros, D.; Rohm, H. Recent advances in milk clotting enzymes. Int. J. Dairy Technol. 2010, 64, 14–33. [Google Scholar] [CrossRef]
  13. Fresno, M.; Argüello, A.; Torres, A.; Castro, N.; Álvarez, S.; Sepe, L. Invited review: Milk clotting enzymes: A transcendental decision in goat’s milk cheese quality. Small Rumin. Res. 2023, 229, 107147. [Google Scholar]
  14. Almeida, C.M.; Simões, I. Cardoon-based rennets for cheese production. Appl. Microbiol. Biotechnol. 2018, 102, 4675–4686. [Google Scholar] [PubMed]
  15. Nicosia, F.D.; Puglisi, I.; Pino, A.; Caggia, C.; Randazzo, C.L. Plant milk-clotting enzymes for cheesemaking. Foods 2022, 11, 871. [Google Scholar] [CrossRef] [PubMed]
  16. Nasiri, E.; Hesari, J.; Shekaforoush, S.S.; Damirchi, A.S.; Gensberger-Reigl, S.; Pischetsrieder, M. Novel milk-clotting enzyme from sour orange flowers (Citrus aurantium L.) as a coagulant in Iranian white cheese. Eur. Food Res. Technol. 2020, 246, 139–148. [Google Scholar] [CrossRef]
  17. Egito, A.S.; Girardet, J.M.; Laguna, L.E.; Poirson, C.; Molle, D.; Miclo, L.; Humbert, G.; Gaillard, J.L. Milk-clotting activity of enzyme extracts from sunflower and albizia seeds and specific hydrolysis of bovine κ-casein. Int. Dairy J. 2007, 17, 816–825. [Google Scholar]
  18. Nasr, A.I.A.M.; Mohamed Ahmed, I.A.; Hamid, O.I.A. Characterization of partially purified milk-clotting enzyme from sunflower (Helianthus annuus) seeds. Food Sci. Nutr. 2016, 4, 733–741. [Google Scholar]
  19. Park, H.; Yamanaka, N.; Mikkonen, A.; Kusakabe, I.; Kobayashi, H. Purification and characterization of aspartic proteinase from sunflower seeds. Biosci. Biotechnol. Biochem. 2000, 64, 931–939. [Google Scholar] [CrossRef]
  20. Park, H.; Kusakabe, I.; Sakakibara, Y.; Kobayashi, H. Autoproteolytic processing of aspartic proteinase from sunflower seeds. Biosci. Biotechnol. Biochem. 2001, 65, 702–705. [Google Scholar] [CrossRef]
  21. Simões, I.; Faro, C. Structure and function of aspartic proteinases. Eur. J. Biochem. 2004, 271, 2067–2075. [Google Scholar] [CrossRef] [PubMed]
  22. Giada, M.L.R. Antioxidant capacity of the striped sunflower seed (Helianthus annuus L.) aqueous extract. Eur. J. Lipid Sci. Technol. 2008, 110, 284–290. [Google Scholar] [CrossRef]
  23. Pedrosa, M.M.; Muzquiz, M.; García-Vallejo, C.; Burbano, C.; Cuadrado, C.; Ayet, G.; Robredo, L.M. Determination of caffeic and chlorogenic acids and their derivatives in different sunflower seeds. J. Sci. Food Agric. 2000, 80, 459–464. [Google Scholar] [CrossRef]
  24. Karamać, M.; Kosińska, A.; Estrella, I.; Hernández, T.; Dueñas, M. Antioxidant activity of phenolic compounds identified in sunflower seeds. Eur. Food Res. Technol. 2012, 235, 221–230. [Google Scholar] [CrossRef]
  25. Abdalla, A.A.A.; Yagi, S.; Abdallah, A.H.; Abdalla, M.; Sinan, K.I.; Zengin, G. Phenolic profile, antioxidant and enzyme inhibition properties of seed methanolic extract of seven new sunflower lines: From fields to industrial applications. Process Biochem. 2021, 111, 53–61. [Google Scholar] [CrossRef]
  26. Günalan, E.; Cebiogu, I.K.; Çonak, O. The popularity of the biologically-based therapies during coronavirus pandemic among the Google users in the USA, UK, Germany, Italy and France. Complement Ther. Med. 2021, 58, 102682. [Google Scholar] [CrossRef]
  27. Han, B.; Hoang, B.X. Opinions on the current pandemic of COVID-19 Use functional food to boost our immune functions. J. Infect. Public Health 2020, 13, 1811–1817. [Google Scholar] [CrossRef]
  28. Vinderola, G.; Capellini, B.; Villarreal, F.; Suárez, V.; Quiberoni, A.; Reinheimer, J. Usefulness of a set of simple in vitro tests for the screening and identification of probiotic candidate strains for dairy use. LWT-Food Sci. Technol. 2008, 41, 1678–1688. [Google Scholar] [CrossRef]
  29. London, L.; Price, N.P.J.; Ryan, P.; Wang, L.; Auty, M.A.E.; Fitzgerald, G.F.; Stanton, C.; Ross, R.P. Characterization of a bovine isolate Lactobacillus mucosae DPC 6426 which produces an exopolysaccharide composed predominantly of mannose residues. J. Appl. Microbiol. 2014, 117, 509–517. [Google Scholar] [CrossRef]
  30. Moraes, G.M.D.; Abreu, L.R.; Egito, A.S.; Salles, H.O.; Silva, L.M.F.; Nero, S.D.; Todorov, S.D.; dos Santos, K.M.O. Functional properties of Lactobacillus mucosae strains isolated from Brazilian goat milk. Probiotics Antimicrob. Proteins 2017, 9, 235–245. [Google Scholar] [CrossRef]
  31. Moraes, G.M.D.; dos Santos, K.M.O.; Barcelos, S.C.; Lopes, S.A.; Egito, A.S. Potentially probiotic goat cheese produced with autochthonous adjunct culture of Lactobacillus mucosae: Microbiological, physicochemical and sensory attributes. LWT-Food Sci. Technol. 2018, 94, 57–63. [Google Scholar] [CrossRef]
  32. Stiles, M.E. Biopreservation by lactic acid bacteria. Antonie Leewenhoek 1996, 70, 331–345. [Google Scholar] [CrossRef]
  33. Galdino, I.K.C.P.O.; da Silva, M.O.M.; da Silva, A.P.A.; Santos, V.N.; Feitosa, R.L.P.; Ferreira, L.C.N.; Dantas, G.C.; dos Santos Pereira, E.V.; de Oliveira, T.A.; dos Santos, K.M.O.; et al. β-Glucosidase activity and antimicrobial properties of potentially probiotic autochthonous lactic cultures. PeerJ 2023, 11, e16094. [Google Scholar] [CrossRef] [PubMed]
  34. Instituto Adolfo Lutz. Métodos Físico-Químicos Para Análise de Alimentos; Instituto Adolfo Lutz: São Paulo, Brasil, 2008. [Google Scholar]
  35. AOAC International. Official Methods of Analysis of the AOAC International; AOAC International: Gaithersburg, MD, USA, 2005. [Google Scholar]
  36. FAO. Food Energy: Methods of Analysis and Conversion Factors: Report of a Technical Workshop; FAO: Rome, Italy, 2003. [Google Scholar]
  37. Galdino, I.K.C.P.O.; Oliveira, M.M.; Oliveira, A.T.; da Silva, G.M.; de Oliveira, T.A.; dos Santos, K.M.O.; Egito, A.S.; Alonso Buriti, F.C. Fermentative behavior of native lactobacilli in goat milk and their survival under in vitro simulated gastrointestinal conditions. LWT-Food Sci. Technol. 2021, 135, 109905. [Google Scholar]
  38. Brasil. Portaria Nº 146, de 07 de março de 1996. Regulamentos técnicos de identidade e qualidade dos produtos lácteos. D. Of. Repúb. Fed. Bras. 1996, 134, 3977–3986. [Google Scholar]
  39. ANVISA. Resolução RDC No. 60, de 23 de dezembro de 2019. Estabelece as listas de padrões microbiológicos para alimentos. D. Of. União 2019, 157, 45–53. [Google Scholar]
  40. Laemmli, U.K. Cleavage of structural proteins during the assembly of the head of bacteriophage T4. Nature 1970, 227, 680–685. [Google Scholar] [PubMed]
  41. Conover, W.J. Practical Nonparametric Analysis, 3rd ed.; Wiley: New York, NY, USA, 2001. [Google Scholar]
  42. ANVISA. Resolução RDC No. 75, de 8 de outubro de 2020. Estabelece os requisitos técnicos para declaração da rotulagem nutricional nos alimentos embalados. D. Of. União 2020, 158, 113–124. [Google Scholar]
  43. CXS 283–1978; General Standard for Cheese. Codex Alimentarius: Rome, Italy, 2021. Available online: https://www.fao.org/fao-who-codexalimentarius/sh-proxy/en/?lnk=1&url=https%253A%252F%252Fworkspace.fao.org%252Fsites%252Fcodex%252FStandards%252FCXS%2B283-1978%252FCXS_283e.pdf (accessed on 31 March 2022).
  44. Serra, A.; Conte, G.; Corrales-Retana, L.; Casarosa, L.; Ciucci, F.; Mele, M. Nutraceutical and technological properties of buffalo and sheep cheese produced by the addition of kiwi juice as a coagulant. Foods 2020, 9, 637. [Google Scholar] [CrossRef]
  45. Liserre, A.M.; Ré, M.I.; Franco, B.D.G.M. Microencapsulation of Bifidobacterium animalis subsp. lactis in modified alginate-chitosan beads and evaluation in simulated gastrointestinal conditions. Food Biotechnol. 2007, 21, 1–16. [Google Scholar]
  46. Buriti, F.C.A.; Cardarelli, H.R.; Saad, S.M.I. Biopreservation by Lactobacillus paracasei in coculture with Streptococcus thermophilus in potentially probiotic and synbiotic fresh cream cheeses. J. Food Prot. 2007, 70, 228–235. [Google Scholar] [CrossRef] [PubMed]
  47. Barać, M.B.; Smiljanić, M.; Pešić, M.B.; Stanojević, S.P.; Jovanović, S.T.; Maćej, O.D. Primary proteolysis of white brined goat cheese monitored by high molarity Tris buffer SDS-PAGE system. Mljekarstvo 2013, 63, 122–131. [Google Scholar]
  48. Morais, J.L.; Garcia, E.F.; Viera, V.B.; Pontes, E.D.S.; Araújo, M.G.G.; Figueirêdo, R.M.F.; Moreira, I.S.; Egito, A.S.; dos Santos, K.M.O.; Soares, I.K.B. Autochthonous adjunct culture of Limosilactobacillus mucosae CNPC007 improved the techno-functional, physicochemical, and sensory properties of goat milk Greek-style yogurt. J. Dairy Sci. 2022, 105, 1889–1899. [Google Scholar] [PubMed]
Figure 1. Complete cheesemaking process of the cheese trials studied.
Figure 1. Complete cheesemaking process of the cheese trials studied.
Foods 13 02905 g001
Figure 2. Sodium dodecyl sulfate polyacrylamide gel electrophoresis of control and L. mucosae cheeses in the day of packing (day 1) and after 30 and 60 days of storage at 6 ± 1 °C. The SDS-PAGE pattern of standard mixture Sigma Marker (Wide Range 6500–200,000 Da, Sigma-Aldrich) is shown in lane 1. The pattern of control cheeses on days 1, 30, and 60 is shown in lanes 2, 4 and 6, respectively, while the pattern of L. mucosae cheeses is shown in lanes 3, 5, and 7 for the same sampling periods, respectively. αs-CN = αs-casein. β-CN = β-casein. para-κ-CN = para-κ-casein, * = highlight for the intense bands verified in L. mucosae cheeses.
Figure 2. Sodium dodecyl sulfate polyacrylamide gel electrophoresis of control and L. mucosae cheeses in the day of packing (day 1) and after 30 and 60 days of storage at 6 ± 1 °C. The SDS-PAGE pattern of standard mixture Sigma Marker (Wide Range 6500–200,000 Da, Sigma-Aldrich) is shown in lane 1. The pattern of control cheeses on days 1, 30, and 60 is shown in lanes 2, 4 and 6, respectively, while the pattern of L. mucosae cheeses is shown in lanes 3, 5, and 7 for the same sampling periods, respectively. αs-CN = αs-casein. β-CN = β-casein. para-κ-CN = para-κ-casein, * = highlight for the intense bands verified in L. mucosae cheeses.
Foods 13 02905 g002
Figure 3. Densitometric analysis of bands obtained by SDS-PAGE for cheeses at 1, 30, and 60 days of storage of control (lanes 2, 4, and 6, respectively) and L. mucosae (lanes 3, 5, and 7, respectively) trials. The SDS-PAGE pattern of standard mixture Sigma Marker (Wide Range 6500–200,000 Da, Sigma-Aldrich) is labelled as “S”. * = highlight for the prominent peaks marked with a circle in the region below 6.5 kDa in control cheeses at 30 and 60 days.
Figure 3. Densitometric analysis of bands obtained by SDS-PAGE for cheeses at 1, 30, and 60 days of storage of control (lanes 2, 4, and 6, respectively) and L. mucosae (lanes 3, 5, and 7, respectively) trials. The SDS-PAGE pattern of standard mixture Sigma Marker (Wide Range 6500–200,000 Da, Sigma-Aldrich) is labelled as “S”. * = highlight for the prominent peaks marked with a circle in the region below 6.5 kDa in control cheeses at 30 and 60 days.
Foods 13 02905 g003
Figure 4. Relative intensity (%) of proteins obtained by SDS-PAGE and quantified by densitometric analysis using GelAnalyzer 23.1.1 in control and L. mucosae cheeses after 1, 30, and 60 days of storage.
Figure 4. Relative intensity (%) of proteins obtained by SDS-PAGE and quantified by densitometric analysis using GelAnalyzer 23.1.1 in control and L. mucosae cheeses after 1, 30, and 60 days of storage.
Foods 13 02905 g004
Table 1. Proximate composition of cheeses (mean ± standard deviation).
Table 1. Proximate composition of cheeses (mean ± standard deviation).
ItemCheese Trial
ControlL. mucosae
Total solids (g/100 g) *52.65 ± 2.80 A52.86 ± 1.39 A
Ash (g/100 g)3.74 ± 0.23 A3.65 ± 0.38 A
Fat (g/100 g)21.79 ± 1.96 A22.72 ± 1.62 A
FDM (g/100 g)41.61 ± 5.60 A42.95 ± 2.38 A
MFFB (g/100 g)60.63 ± 4.77 A 60.99 ± 1.25 A
Protein (g/100 g)19.09 ± 2.69 A17.49 ± 1.50 A
Total carbohydrates (g/100 g)9.85 ± 5.34 A10.72 ± 5.28 A
* Average of sampling days 1, 30, and 60. FDM, fat in dry matter. MFFB, moisture in the free-fat base. A, superscript capital letter in the same row denotes that the trials did not differ significantly from each other (p < 0.05).
Table 2. Moisture and acidity values during the cheese storage time (mean ± standard deviation).
Table 2. Moisture and acidity values during the cheese storage time (mean ± standard deviation).
Parameter Time (Days)
Trial13060
Moisture (g/100 g)Control46.78 ± 4.16 Aa47.68 ± 2.14 Aa47.59 ± 1.72 Aa
L. mucosae46.73 ± 2.66 Aa46.98 ± 2.62 Aa47.70 ± 0.62 Aa
AcidityControl0.39 ± 0.097 Aa0.60 ± 0.040 Ab0.97 ± 0.23 Ac
(g lactic acid/100 g)L. mucosae0.50 ± 0.059 Aa1.04 ± 0.46 Bb1.80 ± 0.08 Bc
A, B different superscript capital letters in a column denote that the trials differed significantly from each other (p < 0.05). a, b, c different superscript lowercase letters in a row denote that the storage times differed significantly from each other for a same trial (p < 0.05).
Table 3. Viability of lactobacilli in cheeses during the storage period at 6 ± 1 °C (mean ± standard deviation, log CFU/g) and its survival in the product when submitted through the in vitro the gastrointestinal resistance assay (minimum–maximum values, log CFU/g).
Table 3. Viability of lactobacilli in cheeses during the storage period at 6 ± 1 °C (mean ± standard deviation, log CFU/g) and its survival in the product when submitted through the in vitro the gastrointestinal resistance assay (minimum–maximum values, log CFU/g).
Time (Days)
13060
Mean ± Standard Deviation (log CFU/g)
Viability8.43 ± 0.29 a8.76 ± 0.12 b8.75 ± 0.24 a,b
Range
Min.–Max.
(log CFU/g)
% above 6 log CFU/gMin.–Max.
(log CFU/g)
% above 6 log CFU/gMin.–Max.
(log CFU/g)
% above 6 log CFU/g
Before the assay—0 h8.66–9.05100 (6/6)8.49–8.85100 (6/6)8.75–9.05100 (6/6)
During the assay
30 min3.64–5.950 (0/6) 2.90–6.3016.66 (1/6)5.77–6.4733.33 (2/6)
2 h<LT–5.000 (0/6) 4.94–5.600 (0/6) 5.03–5.630 (0/6)
4 h<LT–5.830 (0/6) 5.36–6.5833.33 (2/6) 5.00–5.900 (0/0)
6 h<LT–6.0616.66(1/6)<LT–7.0566.66 (4/6)5.22–7.5483.33 (5/6)
Assay (overall range)<LT–6.064.17 (1/24) a<LT–7.0529.17 (7/24) b 5.00–7.5429.17 (7/24) b
a, b, different superscript lowercase letters in a row denote that the storage times differed significantly from each other (p < 0.05) for the viability of lactobacilli in cheese during storage or that the storage times for the overall in vitro assay consolidated results differed significantly from each other in the exact binomial test (p < 0.05) for the viability rate above 6.00 log cfu/g, the probiotic amount considered relevant to result in a beneficial effect to the consumer, considering the null hypothesis (h0) that this proportion during the passage through the in vitro simulation of the gastrointestinal tract was at least 25%. LT = lower than method threshold.
Table 4. Populations of microbial contaminants detected in the three batches of control and L. mucosae cheeses during the storage at 6 ± 1 °C.
Table 4. Populations of microbial contaminants detected in the three batches of control and L. mucosae cheeses during the storage at 6 ± 1 °C.
Bacterial Count Range% of Samples above the Threshold (No. of Above the Threshold/Total No. Analysed)
Microbial contaminantTrial Time (days) Time (days)
1306013060
Total coliforms (at 35 °C, MPN/g)Control3.6–>1100<3–>1100<3–>1100100 (3/3) A66.7 (2/3) A66.7 (2/3) B
L. mucosae>110093–>1100<3100 (3/3) A100 (3/3) A0 (0/3) A
Thermotolerant coliforms
(at 45 °C, MPN/g)
Control<3<3<30 (3/3) A0 (3/3) A0 (3/3) A
L. mucosae<3<3<30 (3/3) A0 (3/3) A0 (3/3) A
E. coli (MPN/g)Control<3<3<30 (3/3) A0 (3/3) A0 (3/3) A
L. mucosae<3<3<30 (3/3) A0 (3/3) A0 (3/3) A
Salmonella spp. (in 25 g)ControlAbsentAbsentAbsent0 (3/3) A0 (3/3) A0 (3/3) A
L. mucosaeAbsentAbsentAbsent0 (3/3) A0 (3/3) A0 (3/3) A
Staphylococcus spp. (CFU/g)Control<102–9.5 × 103<102–4.0 × 103<10233.3 (1/3) B33.33 (1/3) B0 (0/3) A
L. mucosae<102<102<1020 (3/3) A0 (3/3) A0 (0/3) A
A, B, different superscript capital letters in a column denote that cheese trials differed significantly from each other (p < 0.05) for the same microbial indicator in the same sampling period.
Disclaimer/Publisher’s Note: The statements, opinions and data contained in all publications are solely those of the individual author(s) and contributor(s) and not of MDPI and/or the editor(s). MDPI and/or the editor(s) disclaim responsibility for any injury to people or property resulting from any ideas, methods, instructions or products referred to in the content.

Share and Cite

MDPI and ACS Style

Lima Guimarães, O.C.; da Silva Quirino, V.M.; de Moura, A.S.; Correia, J.O.; Furtado, J.R.; Florêncio, I.M.; da Silva, M.M.C.; Salles, H.O.; dos Santos, K.M.O.; do Egito, A.S.; et al. Goat Cheese Produced with Sunflower (Helianthus annuus L.) Seed Extract and a Native Culture of Limosilactobacillus mucosae: Characterization and Probiotic Survival. Foods 2024, 13, 2905. https://doi.org/10.3390/foods13182905

AMA Style

Lima Guimarães OC, da Silva Quirino VM, de Moura AS, Correia JO, Furtado JR, Florêncio IM, da Silva MMC, Salles HO, dos Santos KMO, do Egito AS, et al. Goat Cheese Produced with Sunflower (Helianthus annuus L.) Seed Extract and a Native Culture of Limosilactobacillus mucosae: Characterization and Probiotic Survival. Foods. 2024; 13(18):2905. https://doi.org/10.3390/foods13182905

Chicago/Turabian Style

Lima Guimarães, Osíris Cordeiro, Viviane Maria da Silva Quirino, Alícia Santos de Moura, Joyceana Oliveira Correia, João Ricardo Furtado, Isanna Menezes Florêncio, Márcia Maria Cândido da Silva, Hévila Oliveira Salles, Karina Maria Olbrich dos Santos, Antonio Silvio do Egito, and et al. 2024. "Goat Cheese Produced with Sunflower (Helianthus annuus L.) Seed Extract and a Native Culture of Limosilactobacillus mucosae: Characterization and Probiotic Survival" Foods 13, no. 18: 2905. https://doi.org/10.3390/foods13182905

APA Style

Lima Guimarães, O. C., da Silva Quirino, V. M., de Moura, A. S., Correia, J. O., Furtado, J. R., Florêncio, I. M., da Silva, M. M. C., Salles, H. O., dos Santos, K. M. O., do Egito, A. S., & Buriti, F. C. A. (2024). Goat Cheese Produced with Sunflower (Helianthus annuus L.) Seed Extract and a Native Culture of Limosilactobacillus mucosae: Characterization and Probiotic Survival. Foods, 13(18), 2905. https://doi.org/10.3390/foods13182905

Note that from the first issue of 2016, this journal uses article numbers instead of page numbers. See further details here.

Article Metrics

Back to TopTop