Characteristics of the Mixed Yogurt Fermented from Cow–Soy Milk in the Presence of Transglutaminase
Abstract
1. Introduction
2. Materials and Methods
2.1. Materials
2.2. Sample Preparation
2.3. The pH and Titratable Acidity
2.4. Apparent Morphology and Microstructure of Yogurt Sample
2.4.1. Chromaticity of Different Yogurt
2.4.2. Water Holding Capacity of Yogurt
2.4.3. Scanning Electron Microscope (SEM) of Yogurt
2.5. Quality Characteristics of Yogurt Sample
2.5.1. Texture Profile Analysis (TPA) of Yogurt
2.5.2. Rheological Properties of Yogurt
2.5.3. Flavor of Yogurt
2.5.4. Sensory Analysis of Yogurt
2.6. Protein Structural Changes in Yogurt Sample
2.7. Statistical Analysis
3. Results and Discussion
3.1. The pH Change in the Yogurt Sample during Fermentation and Titration Acidity after Post-Fermentation for 48 h
3.1.1. pH Analysis
3.1.2. Titration Acidity Analysis
3.2. Apparent Characteristics of Mixed Yogurt
3.2.1. Chromaticity Analysis
3.2.2. Water Holding Capacity (WHC) Analysis
3.2.3. Microstructure Analysis
3.3. Quality Characteristics of Yogurt Samples
3.3.1. TPA Analysis
3.3.2. Rheology Analysis
3.3.3. Sensory Analysis
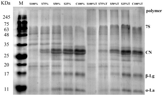
3.4. Change in Milk Protein Structure in Yogurt Sample
4. Conclusions
Author Contributions
Funding
Institutional Review Board Statement
Informed Consent Statement
Data Availability Statement
Conflicts of Interest
References
- Oyedeji, A.B.; Mellem, J.J.; Ijabadeniyi, O.A. Improvement of some quality attributes of soymilk through optimization of selected soybean sprouting parameters using response surface methodology. CYTA-J. Food 2018, 16, 230–237. [Google Scholar] [CrossRef]
- Das, D.; Sarkar, S.; Borsingh Wann, S.; Kalita, J.; Manna, P. Current perspectives on the anti-inflammatory potential of fermented soy foods. Food Res. Int. 2022, 152, 110922. [Google Scholar] [CrossRef]
- Shori, A.B.; Baba, A.S. Survival of Bifidobacterium bifidum in cow- and camel-milk yogurts enriched with Cinnamomum verum and Allium sativum. J. Assoc. Arab. Univ. Basic Appl. Sci. 2018, 18, 7–11. [Google Scholar] [CrossRef]
- Šertović, E.; Sarić, Z.; Oraščanin, M.; Božanić, R.; Barać, M.; Omanović-Mikličanin, E. Functional properties of cow’s milk and soy drinks prepared by fermentation with probiotic and yoghurt bacteria. Food Sci. Technol. 2022, 1678, 1–8. [Google Scholar] [CrossRef]
- Li, C.; Chang, S.K.C.; Nannapaneni, R. Comparative studies on the effect of probiotic additions on the physicochemical and microbiological properties of yoghurt made from soymilk and cow’s milk during refrigeration storage (R2). Food Control 2021, 119, 107474. [Google Scholar]
- Li, S.; Hu, M.; Wen, W.; Zhang, P.; Yu, W.; Fan, B.; Wang, F. Effect of different strains on quality characteristics of soy yogurt: Physicochemical, nutritional, safety features, sensory, and formation mechanism. Food Chem. X 2024, 22, 101359. [Google Scholar] [CrossRef]
- Zhang, X.; Wang, C.; Wang, J. Progress in Research on Mechanism of Action of Transglutaminase on Milk Proteins and Its Application. J. Dairy Technol. 2016, 39, 29–32. [Google Scholar]
- Gaspar, A.L.C.; Góes-Favoni, S.P.d. Action of microbial transglutaminase (MTGase) in the modification of food proteins: A review. Food Chem. 2015, 171, 315–322. [Google Scholar] [CrossRef]
- Temiz, H.; Cbakmak, E. The effect of microbial transglutaminase on probiotic fermented milk produced using a mixture of bovine milk and soy drink. Int. J. Dairy Technol. 2018, 70, 906–920. [Google Scholar] [CrossRef]
- Huang, H.; Liang, H.; Kwok, K.-C. Effect of thermal processing on genistein, daidzein and glycitein content in soymilk. J. Sci. Food Agric. 2006, 86, 1110–1114. [Google Scholar] [CrossRef]
- Wu, X.; Luo, Y.; Zhao, F.; Murad, S.M.; Mu, G. Influence of dielectric barrier discharge cold plasma on physicochemical property of milk for sterilization. Plasma. Process. Polym. 2020, 18, 1–14. [Google Scholar] [CrossRef]
- Şanlı, T.; Sezgin, E.; Deveci, O.; Şenel, E.; Benli, M. Effect of using transglutaminase on physical, chemical and sensory properties of set-type yoghurt. Food Hydrocoll. 2011, 25, 1477–1481. [Google Scholar] [CrossRef]
- Arkan, N.D.; Setyawardani, T.; Rahardjo, A.H.D. Physicochemical and functional properties of yoghurt made of cow milk, colostrum, and milk-colostrum combination. Food Res. 2022, 6, 188–195. [Google Scholar] [CrossRef]
- Liu, L.; Huang, Y.; Zhang, X.; Zeng, J.; Zou, J.; Zhang, L.; Gong, P. Texture analysis and physicochemical characteristics of fermented soymilk gel by different lactic acid bacteria. Food Hydrocoll. 2023, 136, 108252. [Google Scholar] [CrossRef]
- Gantumur, M.A.; Hussain, M.; Li, J.; Hui, M.; Bai, X.; Sukhbaatar, N.; Li, J.; Chen, W.; Hou, J.; Jiang, Z. Modification of fermented whey protein concentrates: Impact of sequential ultrasound and TGase cross-linking. Food Res. Int. 2023, 163, 112158. [Google Scholar] [CrossRef]
- Wang, Y.; Feng, K.; Jin, J.; Safian Murad, M.; Mu, G.; Wu, X. Comparison on properties between normal and A2 bovine milk fermented using commercial bacteria mixed with/without two probiotics from human milk. Int. J. Biol. Macromol. 2022, 216, 105–113. [Google Scholar] [CrossRef]
- Pu, X.; Zhang, M.; Lin, X.; Tuo, Y.; Murad, M.S.; Mu, G.; Jiang, S. Development and characterization of acid-induced whey protein concentrate and egg white protein composite gel. LWT-Food Sci. Technol. 2022, 164, 113624. [Google Scholar] [CrossRef]
- Yang, J.; Sun, J.; Yan, J.; Zhang, X.; Ma, Y.; Liu, C.; Du, P.; Li, A. Impact of Potentilla anserine polysaccharide on storage properties of probiotic yak yoghurt. Int. Dairy J. 2023, 141, 105585. [Google Scholar] [CrossRef]
- Öztürk, H.İ.; Aydın, S.; Sözeri, D.; Demirci, T.; Sert, D.; Akın, N. Fortification of set-type yoghurts with Elaeagnus angustifolia L. flours: Effects on physicochemical, textural, and microstructural characteristics. LWT-Food Sci. Technol. 2018, 90, 620–626. [Google Scholar] [CrossRef]
- Luo, Y.; Pan, K.; Zhong, Q. Physical, chemical and biochemical properties of casein hydrolyzed by three proteases: Partial characterizations. Food Chem. 2014, 155, 146–154. [Google Scholar] [CrossRef]
- Shahabbaspour, Z.; Mortazavian, A.M.; Pourahmad, R.; Moghimi, A.; Sohrabvandi, S. The effects of ratio of cow’s milk to soymilk, probiotic strain and fruit concentrate on qualitative aspects of probiotic flavoured fermented drinks. Int. J. Dairy Technol. 2013, 65, 135–144. [Google Scholar] [CrossRef]
- Dashper, S.G.; Saion, B.N.; Stacey, M.A.; Manton, D.J.; Cochrane, N.J.; Stanton, D.P.; Yuan, Y.; Reynolds, E.C. Acidogenic potential of soy and bovine milk beverages. J. Dent. 2012, 40, 736–741. [Google Scholar] [CrossRef] [PubMed]
- Zhang, X.; Long, J.; Liu, J.; Hua, Y.; Zhang, C.; Li, X. Fermentation Characteristics, Antinutritional Factor Level and Flavor Compounds of Soybean Whey Yogurt. Foods 2024, 13, 330. [Google Scholar] [CrossRef] [PubMed]
- Ozer, B.; Avni Kirmaci, H.; Oztekin, S.; Hayaloglu, A.; Atamer, M. Incorporation of microbial transglutaminase into non-fat yogurt production. Int. Dairy J. 2007, 17, 199–207. [Google Scholar] [CrossRef]
- Feng, L.; Lin, L.; He, T.; Zhou, X.; Jiang, S.; Lu, J. Effect of transglutaminase on gel properties of surimi and precocious Chinese mitten crab (Eriocheir sinensis) meat. Food Hydrocoll. 2020, 98, 105261. [Google Scholar]
- Karam, M.C.; Gaiani, C.; Hosri, C.; Burgain, J.; Scher, J. Effect of dairy powders fortification on yogurt textural and sensorial properties: A review. J. Dairy Res. 2013, 80, 400–409. [Google Scholar] [CrossRef] [PubMed]
- Lorenzen, P.C.; Neve, H.; Mautner, A.; Schlimme, E. Effect of enzymatic cross-linking of milk proteins on functional properties of set-style yoghurt. Int. J. Dairy Technol. 2002, 55, 152–157. [Google Scholar] [CrossRef]
- Han, Y.; Mei, Y.; Li, K.; Xu, Y.; Wang, F. Effect of transglutaminase on rennet-induced gelation of skim milk and soymilk mixtures. J. Sci. Food Agric. 2019, 99, 1820–1827. [Google Scholar] [CrossRef] [PubMed]
- Tsevdou, M.S.; Eleftheriou, E.G.; Taoukis, P.S. Transglutaminase treatment of thermally and high pressure processed milk: Effects on the properties and storage stability of set yoghurt. Innov. Food Sci. Emerg. 2013, 17, 144–152. [Google Scholar] [CrossRef]
- Kailasapathy, K. Survival of free and encapsulated probiotic bacteria and their effect on the sensory properties of yoghurt. LWT-Food Sci. Technol. 2006, 39, 1221–1227. [Google Scholar] [CrossRef]
- Bönisch, M.P.; Huss, M.; Weitl, K.; Kulozik, U. Transglutaminase cross-linking of milk proteins and impact on yoghurt gel properties. Int. Dairy J. 2007, 17, 1360–1371. [Google Scholar] [CrossRef]
- Mitra, P.; Nepal, K.; Tavade, P. Effect of whey and soy proteins fortification on the textural and rheological properties of value-added yogurts. Appl. Food Res. 2022, 2, 100195. [Google Scholar] [CrossRef]
- Kim, Y.; Kee, J.I.; Lee, S.; Yoo, S.H. Quality improvement of rice noodle restructured with rice protein isolate and transglutaminase. Food Chem. 2014, 145, 409–416. [Google Scholar] [CrossRef] [PubMed]
- Li, X.; Liu, Y.; Yi, C.; Cheng, Y.; Zhou, S.; Hua, Y. Microstructure and rheological properties of mixtures of acid-deamidated rice protein and dextran. J. Cereal Sci. 2010, 51, 7–12. [Google Scholar] [CrossRef]
- Kristo, E.; Biliaderis, C.G.; Tzanetakis, N. Modelling of rheological, microbiological and acidification properties of a fermented milk product containing a probiotic strain of Lactobacillus paracasei. Int. Dairy J. 2003, 13, 517–528. [Google Scholar] [CrossRef]
- Li, H.; Zhang, L.; Cui, Y.; Luo, X.; Xue, C.; Wang, S.; Jiao, Y.; Zhang, S.; Liu, W.; Fan, R.; et al. Characterization of recombinant Zea mays transglutaminase expressed in Pichia pastoris and its impact on full and non-fat yoghurts. J. Sci. Food Agric. 2014, 94, 1225–1230. [Google Scholar] [CrossRef] [PubMed]
- Miwa, N. Innovation in the food industry using microbial transglutaminase: Keys to success and future prospects. Anal. Biochem. 2020, 597, 113638. [Google Scholar] [CrossRef]
- Hovjecki, M.; Miloradovic, Z.; Mirkovic, N.; Radulovic, A.; Pudja, P.; Miocinovic, J. Rheological and textural properties of goat’s milk set-type yoghurt as affected by heat treatment, transglutaminase addition and storage. J. Sci. Food Agric. 2021, 101, 5898–5906. [Google Scholar] [CrossRef]









| Serial Number | Sensor Name | Performance Description |
|---|---|---|
| 1 | W1C | Aromatic components (benzene) |
| 2 | W5S | High sensitivity, sensitive to nitrogen oxides |
| 3 | W3C | Ammonia, sensitive to aromatic components |
| 4 | W6S | Mainly selective for hydrogen |
| 5 | W5C | Alkane aromatic component |
| 6 | W1S | Sensitive to methyl groups |
| 7 | W1W | Sensitive to sulfide |
| 8 | W2S | Sensitive to alcohols and aldehydes and ketones |
| 9 | W2W | Aromatic component, sensitive to organic sulfide |
| 10 | W3S | Sensitive to alkanes |
| Sample | L* | a* | b* | ΔE |
|---|---|---|---|---|
| S100%T | 108.33 ± 0.06 d | −157.50 ± 0.00 a | 19.21 ± 0.25 a | 25.11 ± 5.71 b |
| S75%T | 117.83 ± 0.59 c | −169.80 ± 0.6 b | 20.14 ± 0.24 a | 42.21 ± 0.23 a |
| S50%T | 118.77 ± 0.29 c | −169.67 ± 0.74 b | 19.30 ± 0.34 a | 44.08 ± 0.38 a |
| S25%T | 120.93 ± 0.15 b | −172.40 ± 0.62 bc | 19.42 ± 0.70 a | 46.39 ± 0.81 a |
| C100%T | 122.87 ± 1.61 a | −173.40 ± 3.95 d | 16.89 ± 3.70 a | 48.41 ± 4.77 a |
| Sample | L* | a* | b* | ΔE |
|---|---|---|---|---|
| S 100% | 93.22 ± 0.20 e | −137.23 ± 0.47 a | 21.42 ± 0.19 a | 6.28 ± 0.64 d |
| S75% | 115.10 ± 0.00 d | −165.50 ± 0.10 b | 19.28 ± 0.15 b | 37.72 ± 0.10 c |
| S50% | 116.60 ± 0.10 c | −167.17 ± 0.12 c | 19.01 ± 0.12 b | 40.29 ± 0.12 b |
| S25% | 118.40 ± 0.10 b | −167.07 ± 0.15 c | 15.07 ± 0.24 c | 40.54 ± 0.17 b |
| C100% | 120.37 ± 0.31 a | −167.83 ± 0.80 c | 12.44 ± 0.34 d | 41.58 ± 0.72 a |
| Sample | Color | Flavor and Odor | Texture | Total Score |
|---|---|---|---|---|
| S100%T | 7.67 ± 0.58 c | 12.00 ± 1.00 c | 15.00 ± 1.00 c | 35.33 ± 0.58 d |
| S75%T | 8.33 ± 0.58 bc | 10.67 ± 1.15 bc | 15.67 ± 0.58 c | 36.33 ± 0.58 d |
| S50%T | 8.67 ± 0.58 b | 13.00 ± 1.00 b | 17.00 ± 0.00 b | 37.67 ± 0.58 c |
| S25%T | 9.00 ± 0.00 b | 16.67 ± 0.58 a | 18.00 ± 0.00 ab | 39.67 ± 0.58 b |
| C100%T | 10.00 ± 0.00 a | 17.67 ± 0.58 a | 18.33 ± 0.58 a | 41.00 ± 1.00 a |
| Sample | Color | Flavor and Odor | Texture | Total Score |
|---|---|---|---|---|
| S 100% | 6.33 ± 0.58 d | 9.00 ± 1.00 b | 8.33 ± 0.58 d | 24.00 ± 0.00 e |
| S75% | 7.33 ± 0.58 cd | 11.00 ± 1.73 b | 12.00 ± 1.00 c | 27.33 ± 1.53 d |
| S50% | 8.33 ± 0.58 bc | 18.00 ± 1.00 a | 14.67 ± 0.58 b | 35.00 ± 0.00 c |
| S25% | 8.67 ± 0.58 ab | 17.00 ± 1.73 a | 14.33 ± 0.58 b | 37.00 ± 1.00 b |
| C100% | 9.67 ± 0.58 a | 17.67 ± 1.53 a | 17.67 ± 1.53 a | 41.33 ± 0.58 a |
Disclaimer/Publisher’s Note: The statements, opinions and data contained in all publications are solely those of the individual author(s) and contributor(s) and not of MDPI and/or the editor(s). MDPI and/or the editor(s) disclaim responsibility for any injury to people or property resulting from any ideas, methods, instructions or products referred to in the content. |
© 2024 by the authors. Licensee MDPI, Basel, Switzerland. This article is an open access article distributed under the terms and conditions of the Creative Commons Attribution (CC BY) license (https://creativecommons.org/licenses/by/4.0/).
Share and Cite
Lin, X.; Cao, Z.; Zhang, J.; Mu, G.; Jiang, S. Characteristics of the Mixed Yogurt Fermented from Cow–Soy Milk in the Presence of Transglutaminase. Foods 2024, 13, 2120. https://doi.org/10.3390/foods13132120
Lin X, Cao Z, Zhang J, Mu G, Jiang S. Characteristics of the Mixed Yogurt Fermented from Cow–Soy Milk in the Presence of Transglutaminase. Foods. 2024; 13(13):2120. https://doi.org/10.3390/foods13132120
Chicago/Turabian StyleLin, Xudong, Zhiqi Cao, Jiaxin Zhang, Guangqing Mu, and Shujuan Jiang. 2024. "Characteristics of the Mixed Yogurt Fermented from Cow–Soy Milk in the Presence of Transglutaminase" Foods 13, no. 13: 2120. https://doi.org/10.3390/foods13132120
APA StyleLin, X., Cao, Z., Zhang, J., Mu, G., & Jiang, S. (2024). Characteristics of the Mixed Yogurt Fermented from Cow–Soy Milk in the Presence of Transglutaminase. Foods, 13(13), 2120. https://doi.org/10.3390/foods13132120

