The Potential of Chicken–Herb Essence to Improve Milk Production and Infant Health in the Sprague Dawley Animal Model
Abstract
1. Introduction
2. Materials and Methods
2.1. Methods
2.2. Statistical Analysis
3. Results and Discussion
3.1. Chemical Composition
3.2. Prolactin Levels
3.3. Lactoferrin Levels
3.4. Immunoglobulin A
3.5. Lactagogue Test
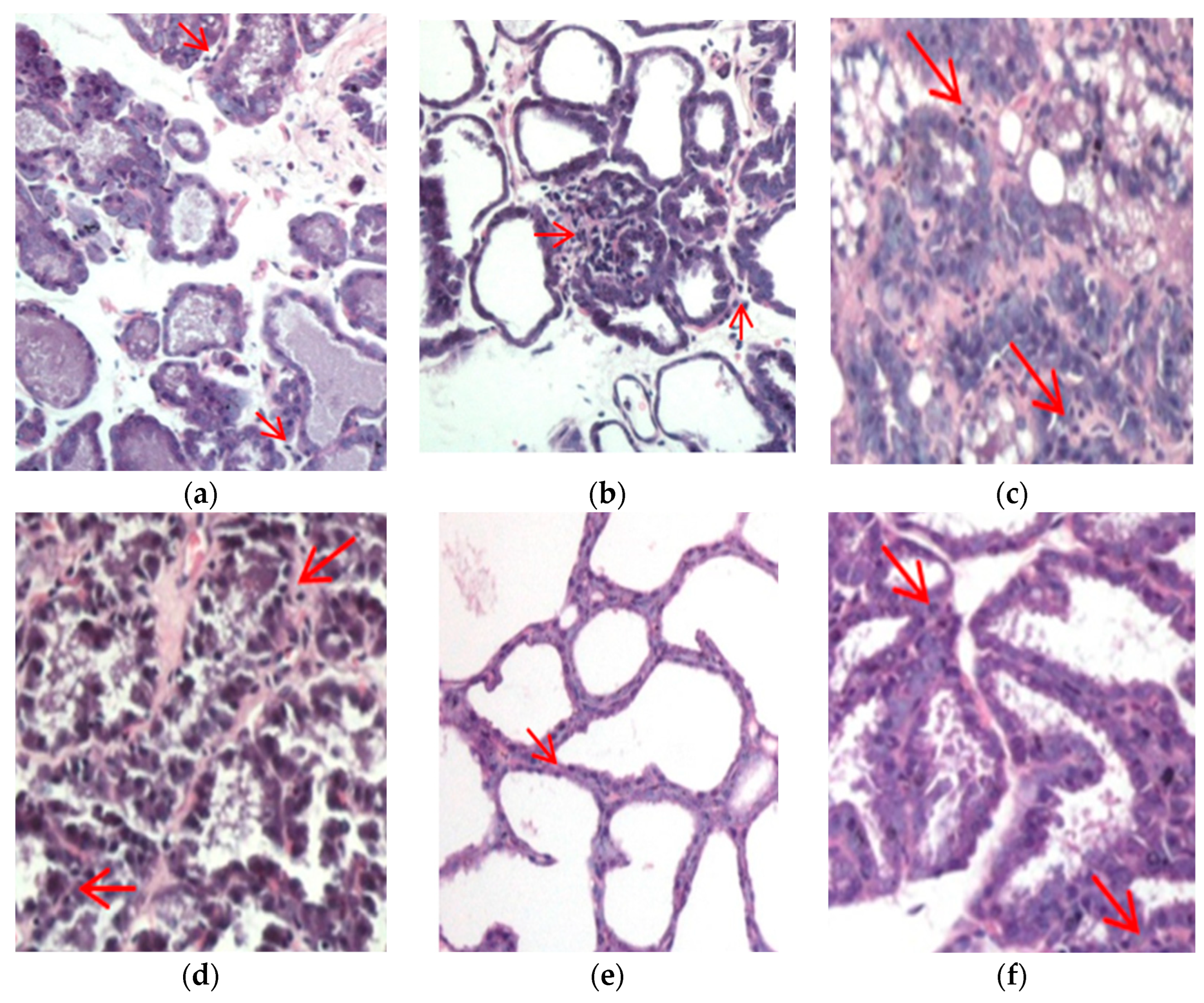
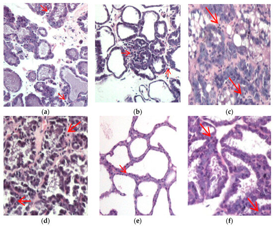
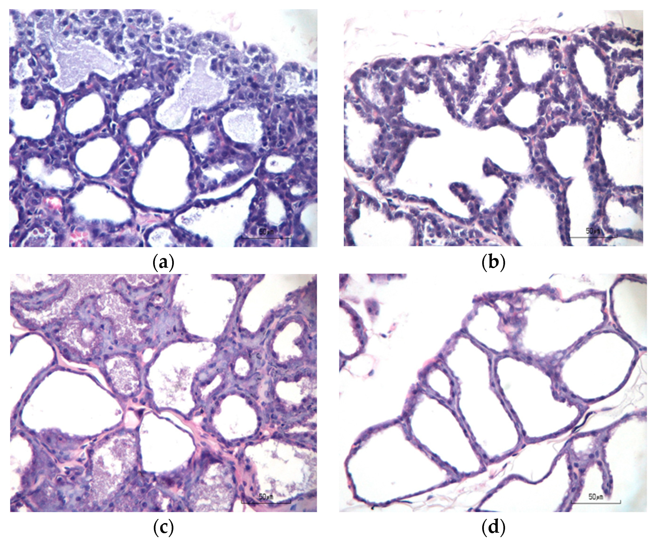
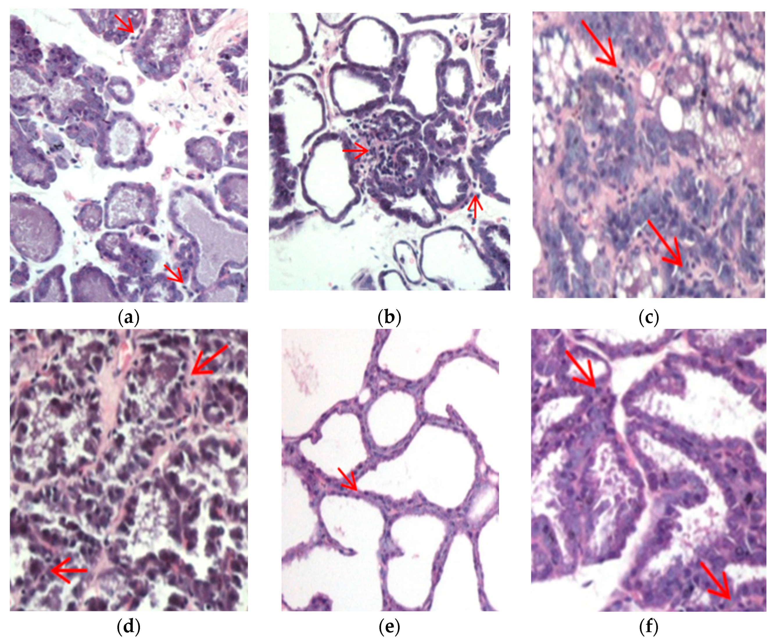
3.6. Alveolar Cells in Mammary Gland
3.7. Lymphocyte Cells in Mammary Gland
4. Conclusions
Author Contributions
Funding
Informed Consent Statement
Data Availability Statement
Acknowledgments
Conflicts of Interest
References
- Horta, B.L.; Victora, C.G. Long-Term Health Effects of Breastfeeding; WHO Press: Geneva, Switzerland, 2013; pp. 57–64. ISBN 978-92-4-150530-7. [Google Scholar]
- Yusrina, A.; Devy, S.R. Influencing Factors of The Intentions Mothers Breastfeeding Exclusively in Kelurahan Magersari, Sidoarjo. J. Promkes 2016, 4, 11–21. [Google Scholar] [CrossRef]
- Boquien, C. Human Milk: An Ideal Food for Nutrition of Preterm Newborn. Front. Pediatr. 2018, 6, 295. [Google Scholar] [CrossRef]
- Ballard, O.; Morrow, A.L. Human Milk Composition: Nutrients and Bioactive Factors. Pediatr. Clin. N. Am. 2013, 60, 49–74. [Google Scholar] [CrossRef] [PubMed]
- Kim, S.Y.; Yi, D.Y. Components of Human Breast Milk: From Macronutrient to Microbiome and MicroRNA. Clin. Exp. Pediatr. 2020, 63, 301–309. [Google Scholar] [CrossRef] [PubMed]
- WHO. Breastfeeding. Available online: https://www.who.int/life-course/news/events/worldbreastfeeding-week-2018/en/ (accessed on 15 December 2023).
- WHO. Global Breastfeeding Collective—A Call to Action. Available online: https://www.who.int/publications/m/item/global-breastfeeding-collective---a-call-to-action (accessed on 15 December 2023).
- Ministry of Health, Republic of Indonesia. 2018 National Basic Health Research Report; Ministry of Health: Jakarta, Indonesia, 2018; ISBN 978-602-373-118-3. [Google Scholar]
- Grzeskowiak, L.E.; Wlodek, M.E.; Geddes, D.T. What Evidence Do We Have for Pharmaceutical Galactagogues in the Treatment of Lactation Insu Ffi Ciency ?—A Narrative Review. Nutrients 2019, 11, 974. [Google Scholar] [CrossRef] [PubMed]
- Puspitasari, E. The Effect of Soy Milk Consumption on Increasing Breast Milk Production in Postpartum Mothers at RB Bina Sehat Bantul. J. Kebidanan 2018, 7, 54–60. [Google Scholar] [CrossRef]
- Sulaeman, A.; Puspasari, E.; Palupi, E.; Rachman, M.J. Organoleptic Characteristics and Nutrient Composition of Chicken Essence Beverage Made with Pressure Cooking. Gizi Indones. 2022, 45, 1–10. [Google Scholar] [CrossRef]
- Ingram, J.; Taylor, H.; Churchill, C.; Pike, A.; Greenwood, R. Metoclopramide or Domperidone for Increasing Maternal Breast Milk Output: A Randomised Controlled Trial. Arch. Dis. Child. Fetal Neonatal Ed. 2012, 97, 241–246. [Google Scholar] [CrossRef] [PubMed]
- Abbexa. Rat Prolactin (PRL) Protein. Available online: https://www.abbexa.com/prolactin-protein-recombinant-7 (accessed on 1 March 2023).
- Abbexa. Rat Lactoferrin (LTF) ELISA Kit. Available online: https://www.abbexa.com/rat-lactoferrin-elisa-kit (accessed on 1 March 2023).
- Iwansyah, A.C.; Damanik, M.R.M.; Kustiyah, L.; Hanafi, M. The Potency of Ethyl Acetate Fraction of Coleus amboinicus L. Leaves in Improving Milk Yield, Body Weight of Rat and Their Pups. J. Gizi Pangan 2017, 12, 61–68. [Google Scholar] [CrossRef]
- Mahmood, A.; Omar, M.N.; Ngah, N. Galactagogue Effects of Musa x Paradisiaca Flower Extract on Lactating Rats. Asian Pac. J. Trop. Med. 2012, 5, 882–886. [Google Scholar] [CrossRef]
- Chao, J.C.; Tseng, H.; Wen, C.; Chien, Y.; Kien, H.; Chen, J.; Chen, C. Chicken Extract Affects Colostrum Protein Compositions in Lactating Women. J. Nutr. Biochem. 2004, 15, 37–44. [Google Scholar] [CrossRef] [PubMed]
- Aparna, A.R.; Rajalakshmi, D. Honey—Its Characteristics, Sensory Aspects, and Applications. Food Rev. Int. 1999, 15, 455–471. [Google Scholar] [CrossRef]
- Swedlo, D.C. The Historical Development of Chiropractic. In Proceedings of the 11th Annual History of Medicine, Calgary, AB, USA, 22–23 March 2002; pp. 55–58. [Google Scholar]
- Goldfein, K.R.; Slavin, J.L. Why Sugar Is Added to Food: Food Science 101. Compr. Rev. Food Sci. Food Saf. 2015, 14, 644–656. [Google Scholar] [CrossRef]
- Rawson, A.M.; Dempster, A.W.; Humphreys, C.M.; Minton, N.P. Pathogenicity and Virulence of Clostridium Botulinum. Virulence 2023, 14, 2205251. [Google Scholar] [CrossRef] [PubMed]
- Peck, M.W. Biology and genomic analysis of Clostridium botulinum. Adv. Microb. Physiol. 2009, 55, 183–265+320. [Google Scholar] [CrossRef]
- Carnosine, A.; Substances, A.; Charoensin, S.; Laopaiboon, B.; Boonkum, W.; Phetcharaburanin, J. Thai Native Chicken as a Potential Functional Meat Source Rich. Animals 2021, 11, 902. [Google Scholar] [CrossRef] [PubMed]
- Abe, H. Role of Histidine-Related Compounds as Intracellular Proton Buffering Constituents in Vertebrate Muscle. Available online: https://pubmed.ncbi.nlm.nih.gov/10951092/ (accessed on 1 October 2023).
- Lawrence, R.A.; Lawrence, R.M. Physiology of Lactation. Breastfeeding A Guide for the Medical Profession, 6th ed.; Mosby: Philadelphia, PA, USA, 2005; ISBN 978-0323028233. [Google Scholar]
- Awano, M.; Koike, K.; Sawada, T.; FengHao, X.U.; Suzuki, N. Effect of Chicken Extract on Breast Milk Production in Primiparous Mothers in Japan: A Randomized Clinical Trial. Int. J. Probiotics Prebiotics 2021, 16, 16–21. [Google Scholar] [CrossRef]
- Patriani, P. The Influence of Marinating with Red Ginger (Zingiber Officinale Var Rubrum) Biomass on the Physical Quality and Sensory Properties of Buffalo Meat. In Proceedings of the IOP Conference Series: Earth and Environmental Science, Online, 1–2 August 2022; Volume 1187. [Google Scholar] [CrossRef]
- Yang, Z.; Jiang, R.; Chen, Q.; Wang, J.; Duan, Y.; Pang, X.; Jiang, S.; Bi, Y.; Zhang, H.; Lönnerdal, B.; et al. Concentration of Lactoferrin in Human Milk and Its Variation during Lactation in Different Chinese Populations. Nutrient 2018, 10, 1235. [Google Scholar] [CrossRef]
- Rai, D.; Adelman, A.S.; Zhuang, W.; Rai, G.P.; Boettcher, J.; Lönnerdal, B. Longitudinal Changes in Lactoferrin Concentrations in Human Milk: A Global Systematic Review. Crit. Rev. Food Sci. Nutr. 2011, 54, 1539–1547. [Google Scholar] [CrossRef]
- Fatimah, M.N.; Massi, A.D.B.; Febriani, M.; Hatta, A.; Karuniawati, S.; Rauf, S.; Wahyuni, F.; Hamid, E.; Alasiry, I.; Pattelongi, T.A.E.; et al. The Role of Exclusive Breastfeeding on SIgA and Lactoferrin Levels in Toddlers Suffering from Acute Respiratory Infection: A Cross-Sectional Study. Ann. Med. Surg. 2022, 77, 103644. [Google Scholar] [CrossRef]
- Kell, D.B.; Heyden, E.L.; Pretorius, E. The Biology of Lactoferrin, an Iron-Binding Protein That Can Help Defend Against Viruses and Bacteria. Front. Immunol. 2020, 11, 1221. [Google Scholar] [CrossRef] [PubMed]
- Peroni, D.G.; Fanos, V. Lactoferrin Is an Important Factor When Breastfeeding and COVID-19 are Considered. Int. J. Paediatr. 2020, 109, 2139–2140. [Google Scholar] [CrossRef] [PubMed]
- Sari, I.P. Lactagogue Effect of Uyup-Uyup (Traditional Medicine) and Sauropus androgynus Merr Extract on Pigeon Ingluvies Glands. Maj. Farm. Indones. 2003, 14, 265–269. [Google Scholar] [CrossRef]
- Widowati, L.; Isnawati, A.; Alegantina, S.; Retiaty, F. Potency of Fenugreek Seed and Moringa Leaves Extract Ingredients as Laktagoga with High Nutrition Value. Media Litbangkes 2019, 29, 143–152. [Google Scholar] [CrossRef]
- Hosseinzadeh, H.; Tafaghodi, M.; Mosavi, M.J.; Taghiabadi, E. Effect of Aqueous and Ethanolic Extracts of Nigella Sativa Seeds on Milk Production in Rats. J. Acupunct. Meridian Stud. 2013, 6, 18–23. [Google Scholar] [CrossRef] [PubMed]
- Lacasse, P.; Ollier, S. The Dopamine Antagonist Domperidone Increases Prolactin Concentration and Enhances Milk Production in Dairy Cows. J. Dairy Sci. 2015, 98, 7856–7864. [Google Scholar] [CrossRef]
- Campbell-yeo, A.M.L.; Alexander, C. Effect of Domperidone on the Composition of Preterm Human Breast Milk. Pediatrics 2015, 125, e107–e114. [Google Scholar] [CrossRef]
- Rezaei, R.; Wu, Z.; Hou, Y.; Bazer, F.W.; Wu, G. Amino Acids and Mammary Gland Development: Nutritional Implications for Milk Production and Neonatal Growth. J. Anim. Sci. Biotechnol. 2016, 7, 2–22. [Google Scholar] [CrossRef]
- Nurmala, S.; Rahminiwati, M.; Sholehah, A.N.; Zaddana, C. The Effect of Galanga Rhizome (Kaempferia galanga L.) Extract on The Mice’s Mammary Glands. Indones. J. Pharm. Sci. Technol. 2024, 11, 109–116. [Google Scholar] [CrossRef]
- Djonov, V.; Andres, A. Vascular Remodelling During the Normal and Malignant Life Cycle of the Mammary Gland. Microsc. Res. Tech. 2001, 189, 182–189. [Google Scholar] [CrossRef]
- Inman, J.L.; Robertson, C.; Mott, J.D.; Bissell, M.J. Mammary Gland Development: Cell Fate Specification, Stem Cells and the Microenvironment. Development 2015, 2, 1028–1042. [Google Scholar] [CrossRef] [PubMed]
- Liu, P.; Zhang, P.; Yuan, C.; Li, J.; Yang, Q. Mechanism of Transepithelial Migration of Lymphocytes into the Milk in Porcine Mammary Glands. J. Reprod. Immunol. 2022, 149, 103440. [Google Scholar] [CrossRef]
- Hannan, F.M.; Elajnaf, T.; Vandenberg, L.N.; Kennedy, S.H.; Thakker, R.V. Hormonal Regulation of Mammary Gland Development and Lactation. Nat. Rev. Endocrinol. 2023, 19, 46–61. [Google Scholar] [CrossRef] [PubMed]
- Mohan, T.; Deng, L.; Wang, B.Z. CCL28 Chemokine: An Anchoring Point Bridging Innate and Adaptive Immunity. Int. Immunopharmacol. 2017, 51, 165–170. [Google Scholar] [CrossRef] [PubMed]
- Zheng, Y.; Corrêa-Silva, S.; de Souza, E.C.; Maria Rodrigues, R.; da Fonseca, F.A.M.; Gilio, A.E.; Carneiro-Sampaio, M.; Palmeira, P. Macrophage Profile and Homing into Breast Milk in Response to Ongoing Respiratory Infections in the Nursing Infant. Cytokine 2020, 129, 155045. [Google Scholar] [CrossRef] [PubMed]
- Dill, R.; Walker, A.M. Role of Prolactin in Promotion of Immune Cell Migration into the Mammary Gland. J. Mammary Gland. Biol. Neoplasia 2017, 22, 13–26. [Google Scholar] [CrossRef]
- Hassiotou, F.; Hartmann, P.E. At the Dawn of a New Discovery: The Potential of Breast Milk Stem Cells. Adv. Nutr. Int. Rev. J. 2014, 5, 770–778. [Google Scholar] [CrossRef]
- Hassiotou, F.; Geddes, D.T.; Hartmann, P.E. Cells in Human Milk: State of the Science. J. Hum. Lact. 2013, 29, 171–182. [Google Scholar] [CrossRef]






| Ingredients | Testing Formula (g, %) |
|---|---|
| Chicken carcass | 800 (45.75) |
| Red ginger | 240 (13.72) |
| Coconut sugar | 213.3 (12.20) |
| Sesame oil | 13.3 (0.76) |
| Nutmeg seeds | 5.3 (0.30) |
| Salt | 2.7 (0.15) |
| Trigona honey | 74 (4.23) |
| Water | 400 (22.88) |
| Animal Code | Treatment Group | Weight (g) | Number of Offspring | Cholesterol (mg/dL) (Day-14) | Protein Total (g/dL) (Day-14) | |
|---|---|---|---|---|---|---|
| Day-2 | Day-14 | |||||
| 001 | Normal | 224 | 245 | 6 | 72.69 | 6.5 |
| 002 | Normal | 257 | 257 | 6 | 50.60 | 6.1 |
| 003 | Normal | 223 | 195 | 6 | 33.44 | 6.2 |
| 004 | Normal | 207 | 189 | 6 | 44.35 | 6.7 |
| 005 | Normal | 234 | 245 | 6 | 81.23 | 5.9 |
| 006 | Normal | 202 | 205 | 6 | 67.66 | 6.6 |
| 007 | Positive control | 193 | 181 | 6 | 49.42 | 5.2 |
| 008 | Positive control | 228 | 235 | 6 | 56.59 | 6.0 |
| 009 | Positive control | 228 | 227 | 6 | 58.31 | 6.2 |
| 010 | Positive control | 210 | 185 | 6 | 40.86 | 6.3 |
| 011 | Positive control | 190 | 189 | 6 | 44.49 | 5.7 |
| 012 | Positive control | 190 | 173 | 6 | 37.92 | 6.4 |
| 013 | TG I | 219 | 194 | 6 | 89.99 | 6.4 |
| 014 | TG I | 225 | 200 | 6 | 107.49 | 6.1 |
| 015 | TG I | 174 | 173 | 6 | 101.15 | 6.3 |
| 016 | TG I | 168 | 164 | 6 | 61.94 | 6.3 |
| 017 | TG I | 221 | 230 | 6 | 60.31 | 6.5 |
| 018 | TG I | 251 | 247 | 6 | 64.12 | 6.9 |
| 019 | TG II | 230 | 217 | 6 | 52.89 | 6.5 |
| 020 | TG II | 175 | 175 | 6 | 60.76 | 6.4 |
| 021 | TG II | 195 | 180 | 6 | 51.16 | 6.6 |
| 022 | TG II | 205 | 211 | 6 | 70.97 | 6.3 |
| 023 | TG II | 229 | 246 | 6 | 60.53 | 5.4 |
| 024 | TG II | 222 | 220 | 6 | 38.41 | 6.3 |
| Mean ± SD 1 | 212.50 ± 23.18 | 207.63 ± 28.43 | 6 | 60.72 ± 19.23 | 6.24 ± 0.39 | |
| Chemical Composition | Unit | Amount |
|---|---|---|
| Carbohydrate Protein | %wb | 26.39 ± 2.78 |
| %wb | 4.05 ± 0.26 | |
| Fat | %wb | <0.02 |
| Ash | %wb | 0.73 ± 0.04 |
| Moisture | %wb | 68.84 ± 2.96 |
| Energy | kcal/100g | 121.75 ± 11.68 |
| Dipeptide | ng/mL | 353.52 ± 19.71 |
| Treatment Groups | Prolactin Day 3 (mg/mL) | Prolactin Day 14 (mg/mL) | Prolactin Level over 11 Days (mg/mL) |
|---|---|---|---|
| Normal | 87.11 ± 50.92 a | 72.99 ± 34.35 a | −14.12 ± 70.40 a |
| Positive control | 212.02 ± 25.12 b | 79.19 ± 23.65 a | −132.82 ± 15.30 b |
| TG I | 71.76 ± 15.50 a | 63.17 ± 11.47 a | −8.59 ± 21.98 a |
| TG II | 52.25 ± 8.49 a | 266.43 ± 69.86 b | 214.18 ± 71.99 c |
| Treatment Groups | Lactoferrin Day 3 | Lactoferrin Day 14 | Lactoferrin Level over 11 Days |
|---|---|---|---|
| (pg/mL) | (pg/mL) | (pg/mL) | |
| Normal | 1122.62 ± 411.57 a | 1342.32± 123.25 a | 219.70 ± 503.10 a,b |
| Positive control | 1590.13 ± 292.43 b | 1360.67 ± 143.51 a | −229.47 ± 290.37 a |
| TG I | 880.95 ± 137.17 a | 1427.95 ± 122.82 a | 547.00 ± 226.37 b,c |
| TG II | 1057.25 ± 141.19 a | 1961.27 ± 366.09 b | 904.02 ± 435.35 c |
| Treatment Groups | IgA (pg/mL) |
|---|---|
| Normal | 201.91 ± 31.94 a |
| Positive control | 200.08 ± 22.66 a |
| TG I | 231.57 ± 92.33 a |
| TG II | 398.34 ± 214.85 b |
Disclaimer/Publisher’s Note: The statements, opinions and data contained in all publications are solely those of the individual author(s) and contributor(s) and not of MDPI and/or the editor(s). MDPI and/or the editor(s) disclaim responsibility for any injury to people or property resulting from any ideas, methods, instructions or products referred to in the content. |
© 2024 by the authors. Licensee MDPI, Basel, Switzerland. This article is an open access article distributed under the terms and conditions of the Creative Commons Attribution (CC BY) license (https://creativecommons.org/licenses/by/4.0/).
Share and Cite
Puspasari, E.; Sulaeman, A.; Palupi, E.; Pasaribu, F.H.; Apriantini, A. The Potential of Chicken–Herb Essence to Improve Milk Production and Infant Health in the Sprague Dawley Animal Model. Foods 2024, 13, 1603. https://doi.org/10.3390/foods13111603
Puspasari E, Sulaeman A, Palupi E, Pasaribu FH, Apriantini A. The Potential of Chicken–Herb Essence to Improve Milk Production and Infant Health in the Sprague Dawley Animal Model. Foods. 2024; 13(11):1603. https://doi.org/10.3390/foods13111603
Chicago/Turabian StylePuspasari, Erna, Ahmad Sulaeman, Eny Palupi, Fachriyan Hasmi Pasaribu, and Astari Apriantini. 2024. "The Potential of Chicken–Herb Essence to Improve Milk Production and Infant Health in the Sprague Dawley Animal Model" Foods 13, no. 11: 1603. https://doi.org/10.3390/foods13111603
APA StylePuspasari, E., Sulaeman, A., Palupi, E., Pasaribu, F. H., & Apriantini, A. (2024). The Potential of Chicken–Herb Essence to Improve Milk Production and Infant Health in the Sprague Dawley Animal Model. Foods, 13(11), 1603. https://doi.org/10.3390/foods13111603

