Proteomic Analysis of Pecan (Carya illinoinensis) Nut Development
Abstract
1. Introduction
2. Materials and Methods
2.1. Pecan Extract Preparation
2.2. SDS-PAGE and Immunoblot
2.3. Protein Mass Spectrometry
2.4. Two-Dimensional Gel Electrophoresis
3. Results
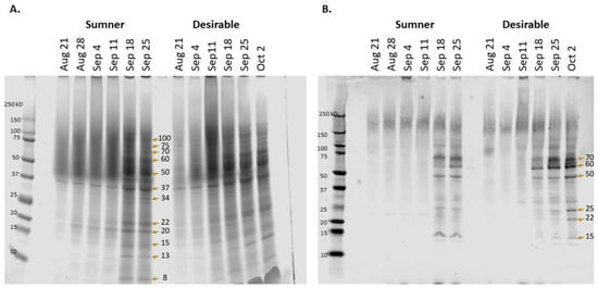
3.1. Timeline of Soluble Protein Accumulation
3.2. Mass-Spectrometric Proteomic Analysis
3.3. Allergen Peptide Analysis
3.4. 2D-Gel Comparison of Maturing Cotyledons
4. Discussion
Supplementary Materials
Author Contributions
Funding
Institutional Review Board Statement
Informed Consent Statement
Data Availability Statement
Acknowledgments
Conflicts of Interest
References
- Thompson, T.E.; Conner, P.J. Pecan. In Fruit Breeding; Badenes, M.L., Byrne, D.H., Eds.; Springer: Boston, MA, USA, 2012; pp. 771–801. [Google Scholar]
- Kramer, J.; Simnitt, S.; Calvin, L. Fruit and Tree Nuts Outlook: March 2020; Economic Research Service: Washington, DC, USA, 2020. [Google Scholar]
- Wu, X.; Beecher, G.R.; Holden, J.M.; Haytowitz, D.B.; Gebhardt, S.E.; Prior, R.L. Lipophilic and hydrophilic antioxidant capacities of common foods in the United States. J. Agric. Food Chem. 2004, 52, 4026–4037. [Google Scholar] [CrossRef] [PubMed]
- Gebhardt, S.E.; Thomas, R.G. Nutritive Value of Foods; US Government Printing Office: Washington, DC, USA, 2002; Volume 72. [Google Scholar]
- Wakeling, L.T.; Mason, R.L.; D’Arcy, B.R.; Caffin, N.A. Composition of pecan cultivars Wichita and Western Schley [Carya illinoinensis (Wangenh.) K. Koch] grown in Australia. J. Agric. Food Chem. 2001, 49, 1277–1281. [Google Scholar] [PubMed]
- Beuchat, L.R. Relationship of Water Activity to Moisture Content in Tree Nuts. J. Food Sci. 1978, 43, 754–755. [Google Scholar] [CrossRef]
- Rudolph, C.J.; Odell, G.V.; Hinrichs, H.A.; Hopfer, D.A.; Kays, S.J. Genetic, environmental, and maturity effects on pecan kernel lipid, fatty acid, tocopherol, and protein composition. J. Food Qual. 1992, 15, 263–278. [Google Scholar] [CrossRef]
- Venkatachalam, M.; Kshirsagar, H.H.; Seeram, N.P.; Heber, D.; Thompson, T.E.; Roux, K.H.; Sathe, S.K. Biochemical composition and immunological comparison of select pecan [Carya illinoinensis (Wangenh.) K. Koch] cultivars. J. Agric. Food Chem. 2007, 55, 9899–9907. [Google Scholar] [CrossRef]
- Toro-Vazquez, J.F.; Charó-Alonso, M.A.; Pérez-Briceño, F. Fatty acid composition and its relationship with physicochemical properties of pecan (Carya illinoensis) oil. J. Am. Oil Chem. Soc. 1999, 76, 957–965. [Google Scholar] [CrossRef]
- McKay, D.L.; Eliasziw, M.; Chen, C.Y.O.; Blumberg, J.B. A Pecan-Rich Diet Improves Cardiometabolic Risk Factors in Overweight and Obese Adults: A Randomized Controlled Trial. Nutrients 2018, 10, 339. [Google Scholar] [CrossRef]
- Morgan, W.A.; Clayshulte, B.J. Pecans lower low-density lipoprotein cholesterol in people with normal lipid levels. J. Am. Diet. Assoc. 2000, 100, 312–318. [Google Scholar] [CrossRef]
- Rajaram, S.; Burke, K.; Connell, B.; Myint, T.; Sabate, J. A monounsaturated fatty acid-rich pecan-enriched diet favorably alters the serum lipid profile of healthy men and women. J. Nutr. 2001, 131, 2275–2279. [Google Scholar] [CrossRef]
- Smeekens, J.M.; Bagley, K.; Kulis, M. Tree Nut Allergies: Allergen Homology, Cross-reactivity, and Implications for Therapy. Clin. Exp. Allergy 2018, 48, 762–772. [Google Scholar] [CrossRef]
- Sharma, G.M.; Irsigler, A.; Dhanarajan, P.; Ayuso, R.; Bardina, L.; Sampson, H.A.; Roux, K.H.; Sathe, S.K. Cloning and characterization of 2S albumin, Car i 1, a major allergen in pecan. J. Agric. Food Chem. 2011, 59, 4130–4139. [Google Scholar] [CrossRef] [PubMed]
- Sharma, G.M.; Irsigler, A.; Dhanarajan, P.; Ayuso, R.; Bardina, L.; Sampson, H.A.; Roux, K.H.; Sathe, S.K. Cloning and characterization of an 11S legumin, Car i 4, a major allergen in pecan. J. Agric. Food Chem. 2011, 59, 9542–9552. [Google Scholar] [CrossRef] [PubMed]
- Zhang, Y.; Lee, B.; Du, W.X.; Lyu, S.C.; Nadeau, K.C.; Grauke, L.J.; Wang, S.; Fan, Y.; Yi, J.; McHugh, T.H. Identification and Characterization of a New Pecan [Carya illinoinensis (Wangenh.) K. Koch] Allergen, Car i 2. J. Agric. Food Chem. 2016, 64, 4146–4151. [Google Scholar] [CrossRef] [PubMed]
- McKay, J.W. Embryology of pecan. J. Agr. Res. 1947, 74, 263–283. [Google Scholar]
- Herrera, E.A. Fruit growth and development of ‘Ideal’ and ‘Western’ pecans. J. Amer. Soc. Hort. Sci. 1990, 115, 915–923. [Google Scholar] [CrossRef]
- Mattison, C.P.; Rai, R.; Settlage, R.E.; Hinchliffe, D.J.; Madison, C.; Bland, J.M.; Brashear, S.; Graham, C.J.; Tarver, M.R.; Florane, C.; et al. RNA-Seq Analysis of Developing Pecan (Carya illinoinensis) Embryos Reveals Parallel Expression Patterns among Allergen and Lipid Metabolism Genes. J. Agric. Food Chem. 2017, 65, 1443–1455. [Google Scholar] [CrossRef] [PubMed]
- Mattison, C.P.; Tarver, M.R.; Florane, C.; Graham, C.J. Temporal expression of pecan allergens during nut development. J. Hortic. Sci. Biotechnol. 2013, 88, 173–178. [Google Scholar] [CrossRef]
- Lovell, J.T.; Bentley, N.B.; Bhattarai, G.; Jenkins, J.W.; Sreedasyam, A.; Alarcon, Y.; Bock, C.; Boston, L.B.; Carlson, J.; Cervantes, K.; et al. Four chromosome scale genomes and a pan-genome annotation to accelerate pecan tree breeding. Nat. Commun. 2021, 12, 4125. [Google Scholar] [CrossRef]
- Xu, Z.; Ni, J.; Shah, F.A.; Wang, Q.; Wang, Z.; Wu, L.; Fu, S. Transcriptome analysis of pecan seeds at different developing stages and identification of key genes involved in lipid metabolism. PLoS ONE 2018, 13, e0195913. [Google Scholar] [CrossRef]
- Bublin, M.; Eiwegger, T.; Breiteneder, H. Do lipids influence the allergic sensitization process? J. Allergy Clin. Immunol. 2014, 134, 521–529. [Google Scholar] [CrossRef]
- Zhang, C.; Yao, X.; Ren, H.; Chang, J.; Wang, K. RNA-Seq Reveals Flavonoid Biosynthesis-Related Genes in Pecan (Carya illinoinensis) Kernels. J. Agric. Food Chem. 2019, 67, 148–158. [Google Scholar] [CrossRef]
- Mo, Z.; Feng, G.; Su, W.; Liu, Z.; Peng, F. Transcriptomic Analysis Provides Insights into Grafting Union Development in Pecan (Carya illinoinensis). Genes 2018, 9, 71. [Google Scholar] [CrossRef] [PubMed]
- Mo, Z.; He, H.; Su, W.; Peng, F. Analysis of differentially accumulated proteins associated with graft union formation in pecan (Carya illinoensis). Sci. Hortic. 2017, 224, 126–134. [Google Scholar] [CrossRef]
- Jiao, Y.; Zhang, J.; Pan, C. Integrated physiological, proteomic, and metabolomic analyses of pecan cultivar ‘Pawnee’ adaptation to salt stress. Sci. Rep. 2022, 12, 1841. [Google Scholar] [CrossRef] [PubMed]
- Sathe, S.K.; Venkatachalam, M.; Sharma, G.M.; Kshirsagar, H.H.; Teuber, S.S.; Roux, K.H. Solubilization and electrophoretic characterization of select edible nut seed proteins. J. Agric. Food Chem. 2009, 57, 7846–7856. [Google Scholar] [CrossRef]
- Mattison, C.P.; Grimm, C.C.; Wasserman, R.L. In vitro digestion of soluble cashew proteins and characterization of surviving IgE-reactive peptides. Mol. Nutr. Food Res. 2014, 58, 884–893. [Google Scholar] [CrossRef]
- López-Coral, A.; Striz, A.C.; Tuma, P.L. A Serine/Threonine Kinase 16-Based Phospho-Proteomics Screen Identifies WD Repeat Protein-1 As A Regulator of Constitutive Secretion. Sci. Rep. 2018, 8, 13049. [Google Scholar] [CrossRef]
- Ojeda-Barrios, D.L.; Balandran-Valladares, M.I.; Cruz-Alvarez, O.; Hernández-Rodríguez, O.A.; Jacobo-Cuellar, J.L.; Flores-Córdova, M.A.; Parra-Quezada, R.Á.; Sánchez-Chávez, E. Changes in nutrient concentration and oxidative metabolism in pecan leaflets at different doses of zinc. Plant Soil Environ. 2021, 67, 33–39. [Google Scholar]
- Escudero-Almanza, D.-J.; Cruz-Alvarez, O.; Hernández-Rodríguez, O.-A.; Jacobo-Cuellar, J.-L.; Sánchez-Chávez, E.; Preciado-Rángel, P.; Ojeda-Barrios, D.-L. Proline and Oxidative Metabolism in Young Pecan Trees Associated with Sulphate Accumulation. Phyton-Int. J. Exp. Bot. 2022, 91, 1141–1152. [Google Scholar] [CrossRef]
- Cao, F.; Wang, X.; Liu, Z.; Li, Y.; Peng, F. Differential Protein Analysis of Pecan Hardwood Cuttings. HortScience 2019, 54, 1551–1557. [Google Scholar] [CrossRef]
- Marquard, R.D. Rare Allozymes of Malate Dehydrogenase in Pecan. HortScience 1989, 24, 156. [Google Scholar] [CrossRef]
- Marquard, R.D.; Grauke, L.J.; Thompson, T.E.; Janos, R.S. Identifying Pecan Cultivars by Isozymes and Inheritance of Leucine Aminopeptidase. J. Am. Soc. Hortic. Sci. Jashs 1995, 120, 661–666. [Google Scholar] [CrossRef]
- Huang, Y.; Xiao, L.; Zhang, Z.; Zhang, R.; Wang, Z.; Huang, C.; Huang, R.; Luan, Y.; Fan, T.; Wang, J.; et al. The genomes of pecan and Chinese hickory provide insights into Carya evolution and nut nutrition. Gigascience 2019, 8, giz036. [Google Scholar] [CrossRef] [PubMed]
- Capriotti, A.L.; Caruso, G.; Cavaliere, C.; Samperi, R.; Stampachiacchiere, S.; Chiozzi, R.Z.; Lagana, A. Protein profile of mature soybean seeds and prepared soybean milk. J. Agric. Food Chem. 2014, 62, 9893–9989. [Google Scholar] [CrossRef] [PubMed]
- Capriotti, A.L.; Cavaliere, C.; Piovesana, S.; Stampachiacchiere, S.; Ventura, S.; Chiozzi, R.Z.; Lagana, A. Characterization of quinoa seed proteome combining different protein precipitation techniques: Improvement of knowledge of nonmodel plant proteomics. J. Sep. Sci. 2015, 38, 1017–1025. [Google Scholar] [CrossRef] [PubMed]
- Mahalingam, R. Shotgun proteomics of the barley seed proteome. BMC Genom. 2017, 18, 44. [Google Scholar] [CrossRef] [PubMed]
- Sun, W.; Xu, X.; Zhu, H.; Liu, A.; Liu, L.; Li, J.; Hua, X. Comparative Transcriptomic Profiling of a Salt-Tolerant Wild Tomato Species and a Salt-Sensitive Tomato Cultivar. Plant Cell Physiol. 2010, 51, 997–1006. [Google Scholar] [CrossRef]
- Yadav, S.K.; Singla-Pareek, S.L.; Ray, M.; Reddy, M.K.; Sopory, S.K. Methylglyoxal levels in plants under salinity stress are dependent on glyoxalase I and glutathione. Biochem. Biophys. Res. Commun. 2005, 337, 61–67. [Google Scholar] [CrossRef]
- Singla-Pareek, S.L.; Reddy, M.K.; Sopory, S.K. Genetic engineering of the glyoxalase pathway in tobacco leads to enhanced salinity tolerance. Proc. Natl. Acad. Sci. USA 2003, 100, 14672–14677. [Google Scholar] [CrossRef]
- Jiang, H.-W.; Liu, M.-J.; Chen, I.-C.; Huang, C.-H.; Chao, L.-Y.; Hsieh, H.-L. A Glutathione S-Transferase Regulated by Light and Hormones Participates in the Modulation of Arabidopsis Seedling Development. Plant Physiol. 2010, 154, 1646–1658. [Google Scholar] [CrossRef]
- van Zanten, M.; Koini, M.A.; Geyer, R.; Liu, Y.; Brambilla, V.; Bartels, D.; Koornneef, M.; Fransz, P.; Soppe, W.J. Seed maturation in Arabidopsis thaliana is characterized by nuclear size reduction and increased chromatin condensation. Proc. Natl. Acad. Sci. USA 2011, 108, 20219–20224. [Google Scholar] [CrossRef] [PubMed]
- Bai, B.; Peviani, A.; van der Horst, S.; Gamm, M.; Snel, B.; Bentsink, L.; Hanson, J. Extensive translational regulation during seed germination revealed by polysomal profiling. New Phytol. 2017, 214, 233–244. [Google Scholar] [CrossRef] [PubMed]
- Liu, M.; Pirrello, J.; Chervin, C.; Roustan, J.-P.; Bouzayen, M. Ethylene Control of Fruit Ripening: Revisiting the Complex Network of Transcriptional Regulation. Plant Physiol. 2015, 169, 2380–2390. [Google Scholar] [CrossRef] [PubMed]
- Cantero, A.; Barthakur, S.; Bushart, T.J.; Chou, S.; Morgan, R.O.; Fernandez, M.P.; Clark, G.B.; Roux, S.J. Expression profiling of the Arabidopsis annexin gene family during germination, de-etiolation and abiotic stress. Plant Physiol. Biochem. 2006, 44, 13–24. [Google Scholar] [CrossRef] [PubMed]
- Wheeler, M.C.G.; Arias, C.L.; Righini, S.; Badia, M.B.; Andreo, C.S.; Drincovich, M.F.; Saigo, M. Differential Contribution of Malic Enzymes during Soybean and Castor Seeds Maturation. PLoS ONE 2016, 11, e0158040. [Google Scholar]
- Agizzio, A.P.; Da Cunha, M.; Carvalho, A.O.; Oliveira, M.A.; Ribeiro, S.F.; Gomes, V.M. The antifungal properties of a 2S albumin-homologous protein from passion fruit seeds involve plasma membrane permeabilization and ultrastructural alterations in yeast cells. Plant Sci. 2006, 171, 515–522. [Google Scholar] [CrossRef] [PubMed]
- Terras, F.R.; Torrekens, S.; Van Leuven, F.; Osborn, R.W.; Vanderleyden, J.; Cammue, B.P.; Broekaert, W.F. A new family of basic cysteine-rich plant antifungal proteins from Brassicaceae species. FEBS Lett. 1993, 316, 233–240. [Google Scholar] [CrossRef]
- Terras, F.R.; Schoofs, H.M.; De Bolle, M.F.; Van Leuven, F.; Rees, S.B.; Vanderleyden, J.; Cammue, B.P.; Broekaert, W.F. Analysis of two novel classes of plant antifungal proteins from radish (Raphanus sativus L.) seeds. J. Biol. Chem. 1992, 267, 15301–15309. [Google Scholar] [CrossRef]
- Wang, X.; Bunkers, G.J.; Walters, M.R.; Thoma, R.S. Purification and characterization of three antifungal proteins from cheeseweed (Malva parviflora). Biochem. Biophys. Res. Commun. 2001, 282, 1224–1228. [Google Scholar] [CrossRef]
- Wang, X.; Bunkers, G.J. Potent heterologous antifungal proteins from cheeseweed (Malva parviflora). Biochem. Biophys. Res. Commun. 2000, 279, 669–673. [Google Scholar] [CrossRef]
- Croote, D.; Quake, S.R. Food allergen detection by mass spectrometry: The role of systems biology. NPJ Syst. Biol. Appl. 2016, 2, 16022. [Google Scholar] [CrossRef] [PubMed]
- Planque, M.; Arnould, T.; Delahaut, P.; Renard, P.; Dieu, M.; Gillard, N. Development of a strategy for the quantification of food allergens in several food products by mass spectrometry in a routine laboratory. Food Chem. 2019, 274, 35–45. [Google Scholar] [CrossRef] [PubMed]
- Planque, M.; Arnould, T.; Dieu, M.; Delahaut, P.; Renard, P.; Gillard, N. Liquid chromatography coupled to tandem mass spectrometry for detecting ten allergens in complex and incurred foodstuffs. J. Chromatogr. A 2017, 1530, 138–151. [Google Scholar] [CrossRef] [PubMed]







| Spot | pI | MW | Sumn. 9/18 | Desir. 9/18 | Sumn. 9/25 | Desir. 9/25 | t-Test | Fold Change | Gene ID | Spot Identification |
|---|---|---|---|---|---|---|---|---|---|---|
| 1009 | 5.5 | 26,026 | 0.062 | 0.040 | 0.014 | 0.010 | 0.009 | −4.2 | CIL1112S0037 | vicilin-like seed storage protein At2g28490 |
| 1028 | 6.7 | 25,239 | 0.051 | 0.060 | 0.016 | 0.020 | 0.001 | −3.1 | ND | ND |
| 1151 | 6.0 | 19,065 | 0.060 | 0.092 | 0.029 | 0.027 | 0.006 | −2.7 | ND | ND |
| 862 | 5.7 | 32,037 | 0.086 | 0.096 | 0.182 | 0.214 | 0.000 | 2.2 | CIL1407S0018 & CIL1416S0026 | 1-aminocyclopropane-1-carboxylate oxidase and 4-hydroxy-tetrahydrodipicolinate reductase |
| 610 | 4.7 | 42,287 | 0.040 | 0.046 | 0.111 | 0.102 | 0.004 | 2.5 | ND | ND |
| 715 | 5.3 | 37,991 | 0.014 | 0.011 | 0.032 | 0.032 | 0.002 | 2.5 | CIL1211S0028 | probable proteasome inhibitor |
| 178 | 5.4 | 84,412 | 0.069 | 0.062 | 0.142 | 0.206 | 0.003 | 2.7 | CIL1240S0059 | stromal 70 kDa heat shock-related protein |
| 269 | 5.7 | 74,076 | 0.022 | 0.020 | 0.053 | 0.066 | 0.007 | 2.8 | CIL1505S0012 & CIL1061S0092 | NAD-dependent malic enzyme and heat shock 70 kDa protein |
| 821 | 5.9 | 33,630 | 0.026 | 0.018 | 0.053 | 0.087 | 0.011 | 3.2 | CIL0982S0095 | annexin D2-like |
| 636 | 5.2 | 41,401 | 0.010 | 0.008 | 0.037 | 0.030 | 0.005 | 3.7 | ND | ND |
| 1054 | 5.9 | 23,850 | 0.027 | 0.030 | 0.113 | 0.140 | 0.002 | 4.4 | CIL0086S0009 | cupin |
| 705 | 5.3 | 38,408 | 0.004 | 0.006 | 0.014 | 0.029 | 0.012 | 4.5 | ND | ND |
| Spot | pI | MW | Sumn. 9/18 | Sumn. 9/25 | Desir. 9/18 | Desir. 9/25 | t-Test | Fold Change | Gene ID | Spot Identification |
|---|---|---|---|---|---|---|---|---|---|---|
| 1065 | 5.8 | 23,464 | 0.047 | 0.045 | 0.009 | 0.007 | 0.000 | −5.9 | CIL1246S0100 | proteasome subunit beta |
| 882 | 5.5 | 31,051 | 0.036 | 0.028 | 0.016 | 0.009 | 0.018 | −2.6 | ND | ND |
| 428 | 5.6 | 57,373 | 0.020 | 0.021 | 0.006 | 0.010 | 0.001 | −2.5 | CIL1040S0085 & CIL0978S0134 | tubulin beta chain and tubulin alpha chain |
| 502 | 6.2 | 51,081 | 0.013 | 0.006 | 0.034 | 0.025 | 0.001 | 3.0 | ND | ND |
| 710 | 6.4 | 38,215 | 0.036 | 0.030 | 0.104 | 0.112 | 0.000 | 3.3 | ND | ND |
| 1130 | 4.6 | 20,193 | 0.004 | 0.003 | 0.022 | 0.018 | 0.000 | 5.5 | ND | ND |
| 955 | 5.4 | 27,814 | 0.012 | 0.005 | 0.072 | 0.044 | 0.004 | 6.7 | CIL0917S0138 | glutathione S-transferase |
| 244 | 6.4 | 76,898 | 0.011 | 0.011 | 0.034 | 0.114 | 0.040 | 6.9 | CIL1050S0081 | phosphoglucomutase, cytosolic |
| 839 | 6.1 | 32,868 | 0.016 | 0.006 | 0.100 | 0.087 | 0.000 | 8.6 | CIL1383S0036 | lactoylglutathione lyase GLX1 |
| 966 | 5.7 | 27,524 | 0.006 | 0.007 | 0.070 | 0.052 | 0.000 | 9.4 | CIL0998S0001 | glutathione S-transferase |
| 942 | 6.3 | 28,302 | 0.005 | 0.004 | 0.059 | 0.054 | 0.000 | 12.7 | CIL0972S0098 | uncharacterized protein |
Disclaimer/Publisher’s Note: The statements, opinions and data contained in all publications are solely those of the individual author(s) and contributor(s) and not of MDPI and/or the editor(s). MDPI and/or the editor(s) disclaim responsibility for any injury to people or property resulting from any ideas, methods, instructions or products referred to in the content. |
© 2023 by the authors. Licensee MDPI, Basel, Switzerland. This article is an open access article distributed under the terms and conditions of the Creative Commons Attribution (CC BY) license (https://creativecommons.org/licenses/by/4.0/).
Share and Cite
Clermont, K.; Graham, C.J.; Lloyd, S.W.; Grimm, C.C.; Randall, J.J.; Mattison, C.P. Proteomic Analysis of Pecan (Carya illinoinensis) Nut Development. Foods 2023, 12, 866. https://doi.org/10.3390/foods12040866
Clermont K, Graham CJ, Lloyd SW, Grimm CC, Randall JJ, Mattison CP. Proteomic Analysis of Pecan (Carya illinoinensis) Nut Development. Foods. 2023; 12(4):866. https://doi.org/10.3390/foods12040866
Chicago/Turabian StyleClermont, Kristen, Charles J. Graham, Steven W. Lloyd, Casey C. Grimm, Jennifer J. Randall, and Christopher P. Mattison. 2023. "Proteomic Analysis of Pecan (Carya illinoinensis) Nut Development" Foods 12, no. 4: 866. https://doi.org/10.3390/foods12040866
APA StyleClermont, K., Graham, C. J., Lloyd, S. W., Grimm, C. C., Randall, J. J., & Mattison, C. P. (2023). Proteomic Analysis of Pecan (Carya illinoinensis) Nut Development. Foods, 12(4), 866. https://doi.org/10.3390/foods12040866

