Impact of Different Light Conditions on the Nitrogen, Protein, Colour, Total Phenolic Content and Amino Acid Profiles of Cultured Palmaria palmata
Abstract
:1. Introduction
2. Materials and Methods
2.1. Materials
2.2. Vegetative Culture of P. palmata with Different LED Light Sources
2.3. Determination of Total Nitrogen (TN), Protein Nitrogen (PN) and Non-Protein Nitrogen (NPN)
2.4. Colour Measurement
2.5. Total Phenolic Content (TPC)
2.6. Protein Extraction and Quantification for Gel Electrophoretic Analysis
2.7. Sodium Dodecyl Sulfate Polyacrylamide Gel Electrophoresis (SDS-PAGE)
2.8. Amino Acid (AA) Profile
2.9. Statistical Analysis
3. Results
3.1. Nitrogen Profiles of the P. palmata Samples Cultured under Different Light Treatments
3.2. Colour Parameters of Cultured P. palmata
3.3. TPC of P. palmata Samples Cultured with Different Light Regimes
3.4. Correlation between TN, PN, NPN and ΔE
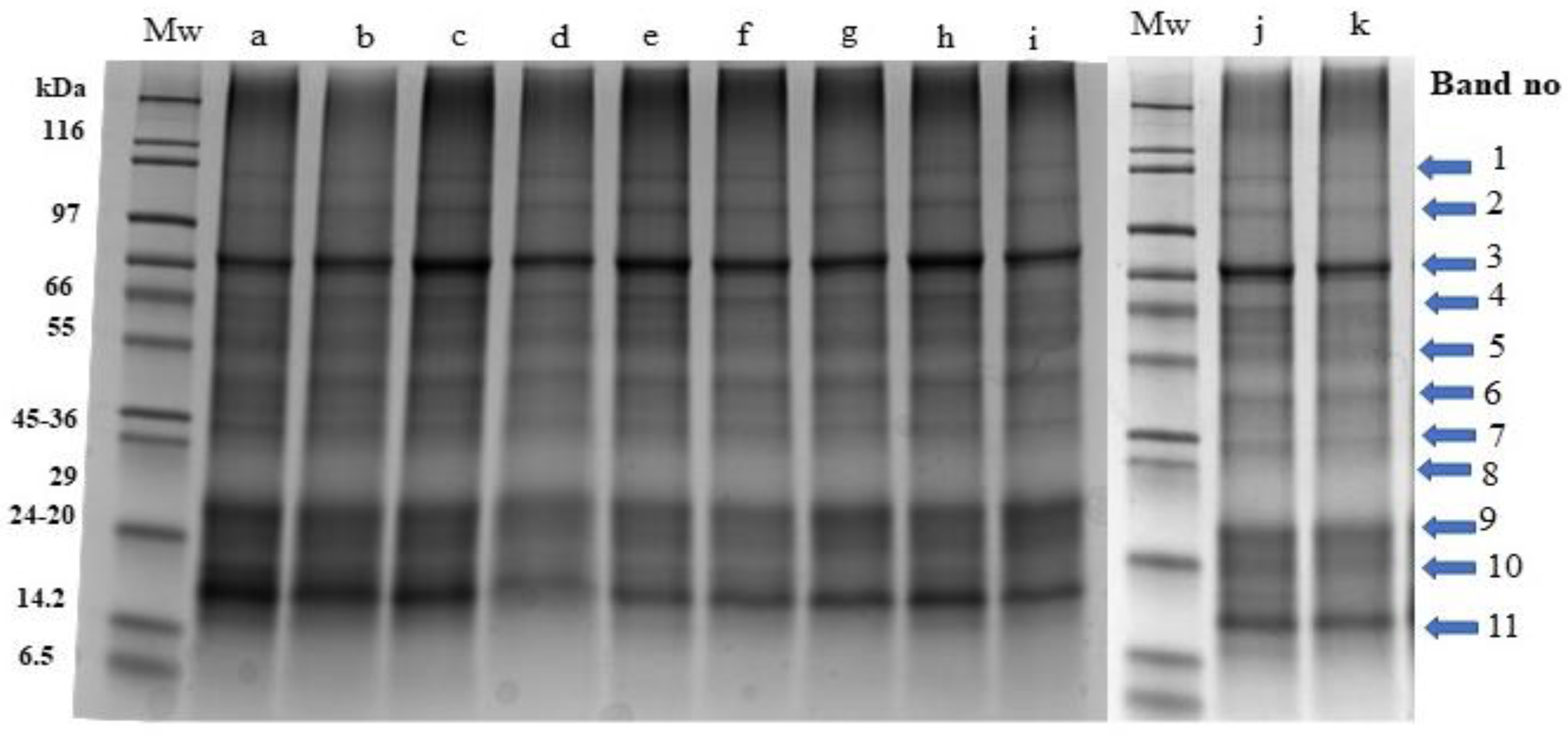
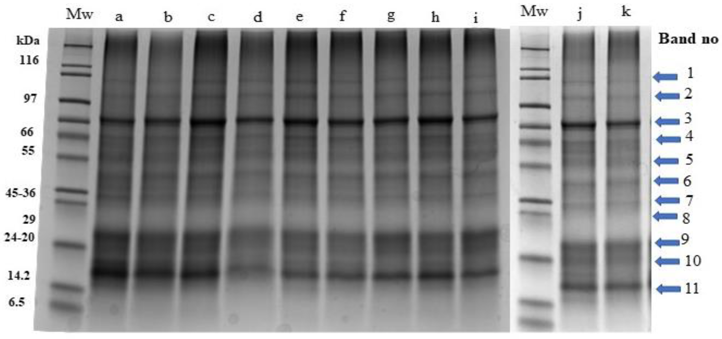
3.5. SDS-PAGE Analysis
3.6. AA Profiles
4. Discussion
4.1. Nitrogen Profiles of the P. palmata Samples Cultured under Different Light Treatments
4.2. Colour Parameters of Cultured P. palmata
4.3. TPC of P. palmata Samples Cultured with Different Light Regimes
4.4. Correlation between TN, PN, NPN and ΔE
4.5. SDS-PAGE Analysis
4.6. AA Profiles
5. Conclusions
Supplementary Materials
Author Contributions
Funding
Data Availability Statement
Conflicts of Interest
References
- United Nations Publications. World Population Prospects; United Nations: New York, NY, USA, 2017. [Google Scholar]
- Hewage, A.; Olatunde, O.O.; Nimalaratne, C.; Malalgoda, M.; Aluko, R.E.; Bandara, N. Novel Extraction technologies for developing plant protein ingredients with improved functionality. Trends Food Sci. Technol. 2022, 129, 492–511. [Google Scholar] [CrossRef]
- Protein Ingredient Market Analysis: New Market Report. 2017. Available online: https://www.vantagemarketresearch.com/industry-report/protein-ingredients-market-1146 (accessed on 26 June 2023).
- Rawiwan, P.; Peng, Y.; Paramayuda, I.G.P.B.; Quek, S.Y. Red seaweed: A promising alternative protein source for global food sustainability. Trends Food Sci. Technol. 2022, 123, 37–56. [Google Scholar] [CrossRef]
- Harnedy, P.A.; FitzGerald, R.J. Bioactive Proteins, Peptides, and Amino Acids from Macroalgae. J. Phycol. 2011, 47, 218–232. [Google Scholar] [CrossRef] [PubMed]
- Bleakley, S.; Hayes, M. Algal Proteins: Extraction, Application, and Challenges Concerning Production. Foods 2017, 6, 33. [Google Scholar] [CrossRef]
- Idowu, A.T.; Amigo-Benavent, M.; Santos-Hernández, M.; Whelan, S.; Edwards, M.D.; FitzGerald, R.J. Impact of growth conditions on the nitrogen, protein, colour and amino acid profiles of the cultured macroalga, Palmaria palmata. J. Appl. Phycol. 2023, 35, 2397–2411. [Google Scholar] [CrossRef]
- Luning, K. Seaweeds: Their Environment, Biogeography, and Ecophysiology; John Wiley & Sons: Hoboken, NJ, USA, 1991. [Google Scholar]
- Stévant, P.; Schmedes, P.S.; Le Gall, L.; Wegeberg, S.; Dumay, J.; Rebours, C. Concise review of the red macroalga dulse, Palmaria palmata (L.) Weber & Mohr. J. Appl. Phycol. 2023, 35, 523–550. [Google Scholar] [CrossRef]
- European Union Publication on Plant Health and Biosecurity in 2020. Available online: https://food.ec.europa.eu/plants/plant-health-and-biosecurity_en (accessed on 22 June 2023).
- Grote, B. Recent developments in aquaculture of Palmaria palmata (Linnaeus) (Weber & Mohr 1805): Cultivation and uses. Rev. Aquac. 2019, 11, 25–41. [Google Scholar] [CrossRef]
- Schmedes, P.S.; Nielsen, M.M.; Petersen, J.K. Improved Palmaria palmata hatchery methods for tetraspore release, even settlement and high seedling survival using strong water agitation and macerated propagules. Algal Res. 2019, 40, 101494. [Google Scholar] [CrossRef]
- Edwards, M.D.; Dring, M.J. Open-sea cultivation trial of the red alga, Palmaria palmata from seeded tetraspores in Strangford Lough, Northern Ireland. Aquaculture 2011, 317, 203–209. [Google Scholar] [CrossRef]
- Mac Monagail, M.; Morrison, L. The seaweed resources of Ireland: A twenty-first century perspective. J. Appl. Phycol. 2020, 32, 1287–1300. [Google Scholar] [CrossRef]
- Walsh, M.; Watson, L. A Market Analysis towards the Further Development of Seaweed Aquaculture in Ireland; Part 1; IrishSea Fisheries Board: Dún Laoghaire, Ireland, 2011; Available online: https://epub.sub.uni-hamburg.de/epub/volltexte/2013/18805/pdf/A_Market_Analysis_towards_the_Further_Development_of_Seaweed_Aquaculture_in_Ireland.pdf (accessed on 20 June 2023).
- Schmedes, P.S.; Nielsen, M.N. Productivity and growth rate in Palmaria palmata affected by salinity, irradiance, and nutrient availability—The use of nutrient pulses and interventional cultivation. J. Appl. Phycol. 2020, 32, 4099–4111. [Google Scholar] [CrossRef]
- Baghdadli, D.; Tremblin, G.; Pellegrini, M.; Coudret, A. Effects of environmental parameters on net photosynthesis of a free-living brown seaweed, Cystoseira barbata formarepens: Determination of optimal photosynthetic culture conditions. J. Appl. Phycol. 1990, 2, 281–287. [Google Scholar] [CrossRef]
- Yeh, N.; Chung, J.-P. High-brightness LEDs—Energy efficient lighting sources and their potential in indoor plant cultivation. Renew. Sustain. Energy Rev. 2009, 13, 2175–2180. [Google Scholar] [CrossRef]
- Su, N.; Wu, Q.; Shen, Z.; Xia, K.; Cui, J. Effects of light quality on the chloroplastic ultrastructure and photosynthetic characteristics of cucumber seedlings. Plant Growth Regul. 2014, 73, 227–235. [Google Scholar] [CrossRef]
- Ouzounis, T.; Frette, X.; Ottosen, C.O.; Rosenqvist, E. Spectral effects of LEDs on chlorophyll fluorescence and pigmentation in Phalaenopsis ‘Vivien’and ‘Purple Star’. Physiol. Plant. 2015, 154, 314–327. [Google Scholar] [CrossRef]
- Lv, B.; Liu, Z.; Chen, Y.; Lan, S.; Mao, J.; Gu, Z.; Wang, A.; Yu, F.; Zheng, Z.; Vasquez, H.E. Effect of Different Colored LED Lighting on the Growth and Pigment Content of Isochrysis zhanjiangensis under Laboratory Conditions. J. Mar. Sci. Eng. 2022, 10, 1752. [Google Scholar] [CrossRef]
- Dring, M. Photocontrol of development in algae. Ann. Rev. Plant Physio. Plant Molec. Biol. 1988, 39, 157–174. [Google Scholar] [CrossRef]
- de Mooij, T.; de Vries, G.; Latsos, C.; Wijffels, R.H.; Janssen, M. Impact of light color on photobioreactor productivity. Algal Res. 2016, 15, 32–42. [Google Scholar] [CrossRef]
- Kim, J.K.; Mao, Y.; Kraemer, G.; Yarish, C. Growth and pigment content of Gracilaria tikvahiae McLachlan under fluorescent and LED lighting. Aquaculture 2015, 436, 52–57. [Google Scholar] [CrossRef]
- Dayani, S.; Heydarizadeh, P.; Sabzalian, M.R. Efficiency of light-emitting diodes for future photosynthesis. In Handbook of Photosynthesis; CRC Press: Boca Raton, FL, USA, 2018; pp. 761–783. [Google Scholar]
- Choi, Y.-K.; Kumaran, R.S.; Jeon, H.J.; Song, H.-J.; Yang, Y.-H.; Lee, S.H.; Song, K.-G.; Kim, K.J.; Singh, V.; Kim, H.J. LED light stress induced biomass and fatty acid production in microalgal biosystem, Acutodesmus obliquus. Spectrochim. Acta Part A Mol. Biomol. Spectrosc. 2015, 145, 245–253. [Google Scholar] [CrossRef]
- Glemser, M.; Heining, M.; Schmidt, J.; Becker, A.; Garbe, D.; Buchholz, R.; Brück, T. Application of light-emitting diodes (LEDs) in cultivation of phototrophic microalgae: Current state and perspectives. Appl. Microbiol. Biotechnol. 2016, 100, 1077–1088. [Google Scholar] [CrossRef] [PubMed]
- Arroyo, C.L.B.; Lucas, C.B.; Giray, G.J.G.; Llorente, C.M.S.; Concepcion, R.S.; Vicerra, R.R.P. Light Emitting Diode Systems for Artificial Photobioreactors Used in Algal Biofuel Production: A Systematic and Trend Analysis. In Proceedings of the 2021 IEEE 13th International Conference on Humanoid, Nanotechnology, Information Technology, Communication and Control, Environment, and Management (HNICEM), Manila, Philippines, 28–30 November 2021. [Google Scholar]
- Parjikolaei, B.R.; Kloster, L.; Bruhn, A.; Bo, M. Effect of light quality and nitrogen availability on the biomass production and pigment content of Palmaria palmata (Rhodophyta). Chem. Eng. J. 2013, 32, 967–972. [Google Scholar]
- Plastino, E.M.; Barufi, J.B.; Figueroa, F.L. Effects of light quality on reproduction, growth and pigment content of Gracilaria birdiae (Rhodophyta: Gracilariales). Sci. Mar. 2015, 79, 15–24. [Google Scholar] [CrossRef]
- Wu, H. Effect of Different Light Qualities on Growth, Pigment Content, Chlorophyll Fluorescence, and Antioxidant Enzyme Activity in the Red Alga Pyropia haitanensis (Bangiales, Rhodophyta). BioMed Res. Int. 2016, 2016, 7383918. [Google Scholar] [CrossRef]
- Connolly, A.; Piggott, C.O.; FitzGerald, R.J. Characterisation of protein-rich isolates and antioxidative phenolic extracts from pale and black brewers’ spent grain. Int. J. Food Sci. Technol. 2013, 48, 1670–1681. [Google Scholar] [CrossRef]
- Stack, J.; Tobin, P.R.; Gietl, A.; Harnedy, P.A.; Stengel, D.B.; FitzGerald, R.J. Seasonal variation in nitrogenous components and bioactivity of protein hydrolysates from Porphyra dioica. J. Appl. Phycol. 2017, 29, 2439–2450. [Google Scholar] [CrossRef]
- Cermeño, M.; Felix, M.; Connolly, A.; Brennan, E.; Coffey, B.; Ryan, E.; FitzGerald, R.J. Role of carbohydrate conjugation on the emulsification and antioxidant properties of intact and hydrolysed whey protein concentrate. Food Hydrocoll. 2019, 88, 170–179. [Google Scholar] [CrossRef]
- Cermeño, M.; Dermiki, M.; Kleekayai, T.; Cope, L.; McManus, R.; Ryan, C.; Felix, M.; Flynn, C.; FitzGerald, R.J. Effect of enzymatically hydrolysed brewers’ spent grain supplementation on the rheological, textural and sensory properties of muffins. Futur. Foods 2021, 4, 100085. [Google Scholar] [CrossRef]
- Amigo-Benavent, M.; Wang, S.; Mateos, R.; Sarriá, B.; Bravo, L. Antiproliferative and cytotoxic effects of green coffee and yerba mate extracts, their main hydroxycinnamic acids, methylxanthine and metabolites in different human cell lines. Food Chem. Toxicol. 2017, 106, 125–138. [Google Scholar] [CrossRef]
- Singleton, V.L.; Rossi, J.A. Colorimetry of Total Phenolics with Phosphomolybdic-Phosphotungstic Acid Reagents. Am. J. Enol. Vitic. 1965, 16, 144–158. [Google Scholar] [CrossRef]
- Connolly, A.; Cermeño, M.; Alashi, A.M.; Aluko, R.E.; FitzGerald, R.J. Generation of phenolic-rich extracts from brewers’ spent grain and characterisation of their in vitro and in vivo activities. Innov. Food Sci. Emerg. Technol. 2021, 68, 102617. [Google Scholar] [CrossRef]
- Wang, W.; Vignani, R.; Scali, M.; Cresti, M. A universal and rapid protocol for protein extraction from recalcitrant plant tissues for proteomic analysis. Electrophoresis 2006, 27, 2782–2786. [Google Scholar] [CrossRef] [PubMed]
- Friedman, M. Applications of the Ninhydrin Reaction for Analysis of Amino Acids, Peptides, and Proteins to Agricultural and Biomedical Sciences. J. Agric. Food Chem. 2004, 52, 385–406. [Google Scholar] [CrossRef] [PubMed]
- FAO—Food and Agriculture Organization of the United Nations. Report of an FAO Expert Consultation. Dietary Protein Quality Evaluation in Human Nutrition; FAO: Rome, Italy, 2013; Volume 92, pp. 1–66. [Google Scholar]
- Harnedy-Rothwell, A.P.; Khatib, N.; Sharkey, S.; Lafferty, R.A.; Gite, S.; Whooley, J.; O’harte, F.P.; FitzGerald, R.J. Physicochemical, Nutritional and In Vitro Antidiabetic Characterisation of Blue Whiting (Micromesistiuspoutassou) Protein Hydrolysates. Mar. Drugs 2021, 19, 383. [Google Scholar] [CrossRef]
- Bjarnadóttir, M.; Aðalbjörnsson, B.V.; Nilsson, A.; Slizyte, R.; Roleda, M.Y.; Hreggviðsson, G.Ó.; Friðjónsson, Ó.H.; Jónsdóttir, R. Palmaria palmata as an alternative protein source: Enzymatic protein extraction, amino acid composition, and nitrogen-to-protein conversion factor. J. Appl. Phycol. 2018, 30, 2061–2070. [Google Scholar] [CrossRef]
- Lourenço, S.O.; Barbarino, E.; Lavín, P.L.; Marquez, U.M.L.; Aidar, E. Distribution of intracellular nitrogen in marine microalgae: Calculation of new nitrogen-to-protein conversion factors. Eur. J. Phycol. 2004, 39, 17–32. [Google Scholar] [CrossRef]
- Varela-Álvarez, E.; Tobin, P.R.; Guihéneuf, F.; FitzGerald, R.J.; Stengel, D.B. Phycobiliproteins, nitrogenous compounds and fatty acid contents in field-collected and cultured gametophytes of Porphyra dioica, a red sea vegetable. J. Appl. Phycol. 2019, 31, 3849–3860. [Google Scholar] [CrossRef]
- Xu, N.; Xu, K.; Wang, W.; Xu, Y.; Ji, D.; Chen, C.; Xie, C. Nutrient Enrichment Improves Growth and Food Quality of Two Strains of the Economic Seaweed Pyropia haitanensis. Front. Mar. Sci. 2020, 7, 544582. [Google Scholar] [CrossRef]
- Taiz, L.; Zeiger, E.A. A Book on Plant Physiology, 5th ed.; Sinauer Associates Publishing Group: Sunderland, UK, 2010. [Google Scholar]
- Kehoe, D.M. Photosynthesis, phycobilisome antennae and chromatic acclimation. In Encyclopedia of Biological Chemistry III, 3rd ed.; Elsevier: Amsterdam, The Netherlands, 2021; Volume 2, pp. 268–281. [Google Scholar] [CrossRef]
- Lehmuskero, A.; Chauton, M.S.; Boström, T. Light and photosynthetic microalgae: A review of cellular- and molecular-scale optical processes. Prog. Oceanogr. 2018, 168, 43–56. [Google Scholar] [CrossRef]
- Lopez-Figueroa, F.; Perez, R.; Niell, F. Effects of red and far-red light pulses on the chlorophyll and biliprotein accumulation in the red alga Corallina elongata. J. Photochem. Photobiol. B Biol. 1989, 4, 185–193. [Google Scholar] [CrossRef]
- Figueroa, F.L.; Aguilera, J.; Niell, F.X. Red and blue light regulation of growth and photosynthetic metabolism in Porphyra umbilicalis (Bangiales, Rhodophyta). Eur. J. Phycol. 1995, 30, 11–18. [Google Scholar] [CrossRef]
- Leukart, P.; Lüning, K. Minimum spectral light requirements and maximum light levels for long-term germling growth of several red algae from different water depths and a green alga. Eur. J. Phycol. 1994, 29, 103–112. [Google Scholar] [CrossRef]
- McGee, D.; Archer, L.; Fleming, G.T.A.; Gillespie, E.; Touzet, N. Influence of spectral intensity and quality of LED lighting on photoacclimation, carbon allocation and high-value pigments in microalgae. Photosynth. Res. 2020, 143, 67–80. [Google Scholar] [CrossRef] [PubMed]
- Matthijs, H.C.; Balke, H.; Van Hes, U.M.; Kroon, B.M.; Mur, L.R.; Binot, R.A. Application of light-emitting diodes in bioreactors: Flashing light effects and energy economy in algal culture (Chlorella pyrenoidosa). Biotechnol. Bioeng. 1996, 50, 98–107. [Google Scholar] [CrossRef]
- Niell, F.X.; López-Figueroa, F. Effects of light quality on chlorophyll and biliprotein accumulation in seaweeds. Mar. Biol. 1990, 104, 321–327. [Google Scholar] [CrossRef]
- Tsekos, I.; Niell, F.X.; Aguilera, J.; Lopez-Figueroa, F.; Delivopoulos, S.G. Ultrastructure of the vegetative gametophytic cells of Porphyra leucosticta (Rhodophyta) grown in red, blue and green light. Phycol. Res. 2002, 50, 251–264. [Google Scholar] [CrossRef]
- Grossman, A.R.; Bhaya, D.; He, Q. Tracking the Light Environment by Cyanobacteria and the Dynamic Nature of Light Harvesting. J. Biol. Chem. 2001, 276, 11449–11452. [Google Scholar] [CrossRef]
- Mullineaux, C.W.; Emlyn-Jones, D. State transitions: An example of acclimation to low-light stress. J. Exp. Bot. 2005, 56, 389–393. [Google Scholar] [CrossRef]
- Marquardt, R.; Schubert, H.; Varela, D.A.; Huovinen, P.; Henríquez, L.; Buschmann, A.H. Light acclimation strategies of three commercially important red algal species. Aquaculture 2010, 299, 140–148. [Google Scholar] [CrossRef]
- Wiencke, C.; Bischof, K.A. (Eds.) Seaweed Biology. Novel Insights into Ecophysiology, Ecology and Utilization; Springer Science and Business Media LLC: Dordrecht, The Netherlands, 2012. [Google Scholar]
- Jerlov, N.G. Elsevier Oceanography Series; Elsevier Scientific Publishers: Amsterdam, The Netherlands; Oxford, UK; New York, NY, USA, 1976. [Google Scholar]
- Sappati, P.K.; Nayak, B.; VanWalsum, G.P.; Mulrey, O.T. Combined effects of seasonal variation and drying methods on the physicochemical properties and antioxidant activity of sugar kelp (Saccharina latissima). J. Appl. Phycol. 2019, 31, 1311–1332. [Google Scholar] [CrossRef]
- Glazer, A.N. Phycobiliproteins—A family of valuable, widely used fluorophores. J. Appl. Phycol. 1994, 6, 105–112. [Google Scholar] [CrossRef]
- Schneider, G.; Figueroa, F.L.; Vega, J.; Avilés, A.; Horta, P.A.; Korbee, N.; Bonomi-Barufi, J. Effects of UV–visible radiation on growth, photosynthesis, pigment accumulation and UV-absorbing compounds in the red macroalga Gracilaria cornea (Gracilariales, Rhodophyta). Algal Res. 2022, 64, 102702. [Google Scholar] [CrossRef]
- Vasconcelos, M.M.M.; Marson, G.V.; Turgeon, S.L.; Tamigneaux, E.; Beaulieu, L. Environmental conditions influence on the physicochemical properties of wild and cultivated Palmaria palmata in the Canadian Atlantic shore. J. Appl. Phycol. 2022, 34, 2565–2578. [Google Scholar] [CrossRef]
- Bravo, L. Polyphenols: Chemistry, dietary sources, metabolism, and nutritional significance. Nutr. Rev. 1998, 56, 317–333. [Google Scholar] [CrossRef] [PubMed]
- Carpena, M.; Garcia-Perez, P.; Garcia-Oliveira, P.; Chamorro, F.; Otero, P.; Lourenço-Lopes, C.; Cao, H.; Simal-Gandara, J.; Prieto, M.A. Biological properties and potential of compounds extracted from red seaweeds. Phytochem. Rev. 2022, 1–32. [Google Scholar] [CrossRef] [PubMed]
- Lomartire, S.; Cotas, J.; Pacheco, D.; Marques, J.C.; Pereira, L.; Gonçalves, A.M.M. Environmental Impact on Seaweed Phenolic Production and Activity: An Important Step for Compound Exploitation. Mar. Drugs 2021, 19, 245. [Google Scholar] [CrossRef] [PubMed]
- Tibbetts, S.M.; Milley, J.E.; Lall, S.P. Nutritional quality of some wild and cultivated seaweeds: Nutrient composition, total phenolic content and in vitro digestibility. J. Appl. Phycol. 2016, 28, 3575–3585. [Google Scholar] [CrossRef]
- Monteiro, M.; Santos, R.A.; Iglesias, P.; Couto, A.; Serra, C.R.; Gouvinhas, I.; Barros, A.; Oliva-Teles, A.; Enes, P.; Díaz-Rosales, P. Effect of extraction method and solvent system on the phenolic content and antioxidant activity of selected macro- and microalgae extracts. J. Appl. Phycol. 2020, 32, 349–362. [Google Scholar] [CrossRef]
- Do, Q.D.; Angkawijaya, A.E.; Tran-Nguyen, P.L.; Huynh, L.H.; Soetaredjo, F.E.; Ismadji, S.; Ju, Y.-H. Effect of extraction solvent on total phenol content, total flavonoid content, and antioxidant activity of Limnophila aromatica. J. Food Drug Anal. 2014, 22, 296–302. [Google Scholar] [CrossRef]
- Mahendran, S.; Maheswari, P.; Sasikala, V.; Rubika, J.J.; Pandiarajan, J. In vitro antioxidant study of polyphenol from red seaweeds dichotomously branched gracilaria Gracilaria edulis and robust sea moss Hypnea valentiae. Toxicol. Rep. 2021, 8, 1404–1411. [Google Scholar] [CrossRef]
- Arulkumar, A.; Rosemary, T.; Paramasivam, S.; Rajendran, R.B. Phytochemical composition, in vitro antioxidant, antibacterial potential and GC-MS analysis of red seaweeds (Gracilaria corticata and Gracilaria edulis) from Palk Bay, India. Biocatal. Agric. Biotechnol. 2018, 15, 63–71. [Google Scholar] [CrossRef]
- Ganesan, P.; Kumar, C.S.; Bhaskar, N. Antioxidant properties of methanol extract and its solvent fractions obtained from selected Indian red seaweeds. Bioresour. Technol. 2008, 99, 2717–2723. [Google Scholar] [CrossRef]
- Santos, S.A.O.; Félix, R.; Pais, A.C.S.; Rocha, S.M.; Silvestre, A.J.D. The Quest for Phenolic Compounds from Macroalgae: A Review of Extraction and Identification Methodologies. Biomolecules 2019, 9, 847. [Google Scholar] [CrossRef]
- Raynal, B.; Brule, S.; Uebel, S.; Knauer, S.H. Assessing and improving protein sample quality. In Protein-Ligand Interactions: Methods and Applications; Humana: New York, NY, USA, 2021. [Google Scholar] [CrossRef]
- Furuta, T.; Miyabe, Y.; Yasui, H.; Kinoshita, Y.; Kishimura, H. Angiotensin I Converting Enzyme Inhibitory Peptides Derived from Phycobiliproteins of Dulse Palmaria palmata. Mar. Drugs 2016, 14, 32. [Google Scholar] [CrossRef]
- Dagnino-Leone, J.; Figueroa, C.P.; Castañeda, M.L.; Youlton, A.D.; Vallejos-Almirall, A.; Agurto-Muñoz, A.; Pérez, J.P.; Agurto-Muñoz, C. Phycobiliproteins: Structural aspects, functional characteristics, and biotechnological perspectives. Comput. Struct. Biotechnol. J. 2022, 20, 1506–1527. [Google Scholar] [CrossRef]
- Sun, L.; Wang, S.; Gong, X.; Chen, L. A rod-linker-contained R-phycoerythrin complex from the intact phycobilisome of the marine red alga Polysiphonia urceolata. J. Photochem. Photobiol. B Biol. 2004, 76, 1–11. [Google Scholar] [CrossRef]
- Galland-Irmouli, A.; Pons, L.; Luçon, M.; Villaume, C.; Mrabet, N.; Guéant, J.; Fleurence, J. One-step purification of R-phycoerythrin from the red macroalga Palmaria palmata using preparative polyacrylamide gel electrophoresis. J. Chromatogr. B Biomed. Sci. Appl. 2000, 739, 117–123. [Google Scholar] [CrossRef] [PubMed]
- Stévant, P.; Ólafsdóttir, A.; Déléris, P.; Dumay, J.; Fleurence, J.; Ingadóttir, B.; Jónsdóttir, R.; Ragueneau, É.; Rebours, C.; Rustad, T. Data on the sensory characteristics and chemical composition of the edible red seaweed dulse (Palmaria palmata) after dry and semi-dry storage. Data Brief 2020, 33, 106343. [Google Scholar] [CrossRef]
- Stévant, P.; Ólafsdóttir, A.; Déléris, P.; Dumay, J.; Fleurence, J.; Ingadóttir, B.; Jónsdóttir, R.; Ragueneau, É.; Rebours, C.; Rustad, T. Semi-dry storage as a maturation process for improving the sensory characteristics of the edible red seaweed dulse (Palmaria palmata). Algal Res. 2020, 51, 102048. [Google Scholar] [CrossRef]
- Aasen, I.M.; Sandbakken, I.S.; Toldnes, B.; Roleda, M.Y.; Slizyte, R. Enrichment of the protein content of the macroalgae Saccharina latissima and Palmaria palmata. Algal Res. 2022, 65, 102727. [Google Scholar] [CrossRef]
- Mohammed, H.O.; O’grady, M.N.; O’sullivan, M.G.; Hamill, R.M.; Kilcawley, K.N.; Kerry, J.P. An Assessment of Selected Nutritional, Bioactive, Thermal and Technological Properties of Brown and Red Irish Seaweed Species. Foods 2021, 10, 2784. [Google Scholar] [CrossRef] [PubMed]
- Bikker, P.; Stokvis, L.; van Krimpen, M.; van Wikselaar, P.; Cone, J. Evaluation of seaweeds from marine waters in Northwestern Europe for application in animal nutrition. Anim. Feed. Sci. Technol. 2020, 263, 114460. [Google Scholar] [CrossRef]
- Vieira, E.F.; Soares, C.; Machado, S.; Correia, M.; Ramalhosa, M.J.; Oliva-Teles, M.T.; Carvalho, A.P.; Domingues, V.F.; Antunes, F.; Oliveira, T.A.C.; et al. Seaweeds from the Portuguese coast as a source of proteinaceous material: Total and free amino acid composition profile. Food Chem. 2018, 269, 264–275. [Google Scholar] [CrossRef] [PubMed]
- Nie, C.; He, T.; Zhang, W.; Zhang, G.; Ma, X. Branched Chain Amino Acids: Beyond Nutrition Metabolism. Int. J. Mol. Sci. 2018, 19, 954. [Google Scholar] [CrossRef] [PubMed]
- Cerna, M. Seaweed proteins and amino acids as nutraceuticals. Adv. Food Nutr. Res. 2011, 64, 297–312. [Google Scholar] [PubMed]
- Krogdahl, Å.; Jaramillo-Torres, A.; Ahlstrøm, Ø.; Chikwati, E.; Aasen, I.-M.; Kortner, T.M. Protein value and health aspects of the seaweeds Saccharina latissima and Palmaria palmata evaluated with mink as model for monogastric animals. Anim. Feed. Sci. Technol. 2021, 276, 114902. [Google Scholar] [CrossRef]





| Light Details | TN (%) | PN (%) | NPN (%) | |
|---|---|---|---|---|
| Day 0 | Initial sample | 4.56 ± 0.04 b | 3.20 ± 0.03 b | 1.21 ± 0.07 a |
| Day 6 | White 1 | 3.75 ± 0.05 f | 2.60 ± 0.04 d | 0.98 ± 0.03 b |
| Red | 3.47 ± 0.03 g | 2.36 ± 0.06 f | 1.00 ± 0.06 b | |
| Blue | 3.71 ± 0.04 f | 2.48 ± 0.00 ef | 1.02 ± 0.06 b | |
| Green | 3.83 ± 0.05 e | 2.72 ± 0.07 c | 0.93 ± 0.01 b | |
| White 2 | 3.49 ± 0.05 g | 2.42 ± 0.06 f | 0.99 ± 0.04 b | |
| Day 12 | White 1 | 4.20 ± 0.06 d | 3.06 ± 0.06 b | 0.98 ± 0.02 b |
| Red | 3.87 ± 0.02 e | 2.82 ± 0.05 c | 0.97 ± 0.05 b | |
| Blue | 4.73 ± 0.05 a | 3.56 ± 0.06 a | 1.01 ± 0.01 b | |
| Green | 4.39 ± 0.06 c | 3.15 ± 0.05 b | 1.06 ± 0.05 b | |
| White 2 | 3.85 ± 0.05 e | 2.77 ± 0.06 c | 0.95 ± 0.07 b |
| Amino Acid | Day 0 | Day 6 | Day 12 | |||||||
|---|---|---|---|---|---|---|---|---|---|---|
| Initial Sample | White 1 | Red | Green | White 2 | White 1 | Red | Blue | Green | White 2 | |
| Asp | 3.09 ± 0.83 a | 2.38 ± 0.77 b | 2.39 ± 0.32 b | 3.05 ± 1.18 a | 2.19 ± 0.13 b | 3.49 ± 0.25 a | 2.83 ± 0.36 ab | 3.27 ± 0.41 a | 3.03 ± 0.28 a | 2.66 ± 0.42 b |
| Thr | 1.27 ± 0.34 a | 0.88 ± 0.39 b | 1.00 ± 0.13 a | 1.19 ± 0.44 a | 0.80 ± 0.07 b | 1.33 ± 0.03 a | 1.07 ± 0.14 a | 1.30 ± 0.20 a | 1.47 ± 0.50 a | 0.86 ± 0.24 b |
| Ser | 1.67 ± 0.50 a | 1.21 ± 0.40 a | 1.30 ± 0.15 a | 1.60 ± 0.61 a | 1.08 ± 0.36 ab | 1.67 ± 0.20 a | 1.29 ± 0.15 a | 1.74 ± 0.27 a | 1.56 ± 0.02 a | 1.43 ± 0.29 a |
| Glu | 3.33 ± 0.89 a | 2.89 ± 0.74 b | 3.50 ± 0.49 a | 4.01 ± 1.53 a | 3.62 ± 0.22 a | 3.94 ± 0.09 a | 3.35 ± 0.38 a | 3.65 ± 3.76 a | 3.62 ± 0.26 a | 3.29 ± 0.45 a |
| Pro | 1.83 ± 0.53 c | 2.12 ± 0.66 b | 2.54 ± 0.40 b | 2.85 ± 1.22 b | 2.57 ± 0.11 b | 1.69 ± 0.26 c | 2.56 ± 0.34 b | 1.90 ± 0.35 c | 2.87 ± 0.30 b | 3.27 ± 0.53 a |
| Gly | 1.77 ± 0.53 a | 1.29 ± 0.37 a | 1.32 ± 0.22 a | 1.58 ± 0.63 a | 1.30 ± 0.11 a | 1.71 ± 0.05 a | 1.24 ± 0.19 a | 1.55 ± 0.04 a | 1.65 ± 0.33 a | 1.51 ± 0.20 a |
| Ala | 2.02 ± 0.65 a | 1.58 ± 0.47 a | 1.55 ± 0.24 a | 1.97 ± 0.80 a | 1.54 ± 0.06 a | 2.14 ± 0.05 a | 1.47 ± 0.20 a | 1.96 ± 0.07 a | 1.98 ± 0.22 a | 1.87 ± 0.26 a |
| Cys | 0.59 ± 0.18 c | 0.31 ± 0.17 c | 0.43 ± 0.08 c | 1.64 ± 0.75 a | 1.07 ± 0.11 ab | 1.58 ± 0.08 a | 0.23 ± 0.03 c | 0.30 ± 0.04 c | 0.26 ± 0.04 c | 1.14 ± 0.27 ab |
| Val | 1.76 ± 0.56 a | 1.14 ± 0.52 a | 1.21 ± 0.18 a | 1.42 ± 0.60 a | 0.95 ± 0.22 b | 1.47 ± 0.23 a | 1.42 ± 0.29 a | 1.71 ± 0.04 a | 1.76 ± 0.27 a | 1.08 ± 0.22 ab |
| Met | 1.04 ± 0.20 c | 0.57 ± 0.35 d | 0.83 ± 0.06 d | 3.36 ± 1.02 a | 2.78 ± 0.51 b | 0.65 ± 0.11 d | 0.52 ± 0.06 d | 0.59 ± 0.05 d | 0.57 ± 0.02 d | 0.73 ± 0.14 d |
| ile | 1.09 ± 0.36 a | 0.72 ± 0.38 b | 0.75 ± 0.12 b | 0.90 ± 0.37 ab | 0.68 ± 0.06 b | 1.01 ± 0.11 a | 0.81 ± 0.06 ab | 1.17 ± 0.02 a | 1.13 ± 0.02 a | 0.56 ± 0.14 b |
| Leu | 1.94 ± 0.64 a | 1.40 ± 0.60 ab | 1.43 ± 0.22 ab | 1.77 ± 0.74 a | 1.32 ± 0.08 ab | 2.01 ± 0.08 a | 1.49 ± 0.09 ab | 2.17 ± 0.07 a | 2.12 ± 0.06 a | 1.33 ± 0.36 ab |
| Tyr | 0.64 ± 0.21 a | 0.50 ± 0.07 a | 0.72 ± 0.03 a | 0.70 ± 0.17 a | 0.75 ± 0.11 a | 0.74 ± 0.20 a | 0.64 ± 0.08 a | 0.42 ± 0.10 a | 0.32 ± 0.06 a | 0.17 ± 0.12 b |
| Phe | 1.28 ± 0.40 a | 0.96 ± 0.31 ab | 0.95 ± 0.17 ab | 1.14 ± 0.45 a | 0.83 ± 0.17 b | 1.17 ± 0.24 a | 1.21 ± 0.15 a | 1.80 ± 0.07 a | 1.70 ± 0.04 a | 1.04 ± 0.07 ab |
| His | 0.77 ± 0.25 a | 0.44 ± 0.20 a | 0.45 ± 0.06 a | 0.56 ± 0.24 a | 0.45 ± 0.04 a | 0.62 ± 0.03 a | 0.49 ± 0.05 a | 0.66 ± 0.01 a | 0.63 ± 0.01 a | 0.47 ± 0.12 a |
| Lys | 2.26 ± 0.72 a | 1.38 ± 0.54 b | 1.43 ± 0.20 b | 1.69 ± 0.71 b | 1.26 ± 0.22 b | 1.57 ± 0.23 b | 1.19 ± 0.06 b | 1.74 ± 0.06 b | 1.60 ± 0.03 b | 1.32 ± 0.25 b |
| Arg | 1.31 ± 0.41 a | 0.81 ± 0.37 b | 0.86 ± 0.16 b | 1.16 ± 0.48 a | 0.88 ± 0.08 b | 1.28 ± 0.07 a | 0.71 ± 0.06 b | 1.18 ± 0.06 a | 1.09 ± 0.02 a | 0.88 ± 0.24 ab |
| Trp | nd | nd | nd | nd | nd | Nd | nd | nd | nd | nd |
| ƩEAA | 12.71 ± 3.88 a | 10.11 ± 2.66 b | 8.92 ± 1.30 b | 10.33 ± 0.77 b | 9.23 ± 1.33 b | 11.11 ± 0.10 b | 9.29 ± 0.64 b | 12.51 ± 0.58 a | 12.06 ± 0.81 a | 8.26 ± 0.10 bc |
| ƩNEAA | 14.94 ± 3.97 b | 13.84 ± 3.48 c | 13.74 ± 1.87 c | 13.53 ± 1.63 c | 13.54 ± 1.20 c | 16.97 ± 1.19 a | 14.56 ± 1.70 b | 15.47 ± 2.04 b | 15.30 ± 1.37 b | 15.34 ± 0.85 b |
| ƩBCAA | 4.79 ± 1.56 a | 4.01 ± 1.06 ab | 3.39 ± 0.52 b | 3.11 ± 0.46 b | 2.75 ± 0.34 c | 4.49 ± 0.78 a | 3.96 ± 0.42 ab | 5.10 ± 0.13 a | 5.01 ± 0.34 a | 2.97 ± 0.03 c |
| ƩTAA | 27.65 ± 7.85 a | 23.94 ± 6.14 b | 22.66 ± 3.16 c | 23.86 ± 2.40 b | 22.77 ± 2.53 c | 27.50 ± 1.27 a | 23.85 ± 2.33 b | 27.98 ± 2.61 a | 27.37 ± 2.18 a | 23.60 ± 0.96 b |
Disclaimer/Publisher’s Note: The statements, opinions and data contained in all publications are solely those of the individual author(s) and contributor(s) and not of MDPI and/or the editor(s). MDPI and/or the editor(s) disclaim responsibility for any injury to people or property resulting from any ideas, methods, instructions or products referred to in the content. |
© 2023 by the authors. Licensee MDPI, Basel, Switzerland. This article is an open access article distributed under the terms and conditions of the Creative Commons Attribution (CC BY) license (https://creativecommons.org/licenses/by/4.0/).
Share and Cite
Idowu, A.T.; Amigo-Benavent, M.; Whelan, S.; Edwards, M.D.; FitzGerald, R.J. Impact of Different Light Conditions on the Nitrogen, Protein, Colour, Total Phenolic Content and Amino Acid Profiles of Cultured Palmaria palmata. Foods 2023, 12, 3940. https://doi.org/10.3390/foods12213940
Idowu AT, Amigo-Benavent M, Whelan S, Edwards MD, FitzGerald RJ. Impact of Different Light Conditions on the Nitrogen, Protein, Colour, Total Phenolic Content and Amino Acid Profiles of Cultured Palmaria palmata. Foods. 2023; 12(21):3940. https://doi.org/10.3390/foods12213940
Chicago/Turabian StyleIdowu, Anthony Temitope, Miryam Amigo-Benavent, Susan Whelan, Maeve D. Edwards, and Richard J. FitzGerald. 2023. "Impact of Different Light Conditions on the Nitrogen, Protein, Colour, Total Phenolic Content and Amino Acid Profiles of Cultured Palmaria palmata" Foods 12, no. 21: 3940. https://doi.org/10.3390/foods12213940
APA StyleIdowu, A. T., Amigo-Benavent, M., Whelan, S., Edwards, M. D., & FitzGerald, R. J. (2023). Impact of Different Light Conditions on the Nitrogen, Protein, Colour, Total Phenolic Content and Amino Acid Profiles of Cultured Palmaria palmata. Foods, 12(21), 3940. https://doi.org/10.3390/foods12213940

