Study of Microstructural, Nutritional, and Biochemical Changes in Hulled and Hulless Barley during Storage Using X-ray and Infrared Techniques
Abstract
1. Introduction
2. Materials and Methods
2.1. Synchrotron X-ray Phase Contrast Microcomputed Tomography (SR-µCT)
2.2. Synchrotron X-ray Fluorescence Imaging (SR-XFI)
2.3. Mid Infrared (Mid-IR) Spectroscopy
2.4. Statistical Analysis
3. Results and Discussion
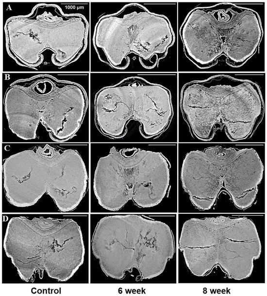
3.1. Microstructural Changes
3.2. Changes in Nutrient Distribution
3.3. Biochemical Changes
4. Conclusions
Author Contributions
Funding
Data Availability Statement
Acknowledgments
Conflicts of Interest
References
- Taner, A.; Muzaffer, A.; Fazil, D. Barley: Post-Harvest Operations; FAO: Ankara, Turkey, 2004.
- Canadian Grain Commision. Annual Barley Production 2022; Canadian Grain Commision: Winnipeg, MB, Canada, 2022. [Google Scholar]
- CGC. Canadian Grain Commission Official Grain Grading Guide; Libk. 1; Canadian Grain Commision: Winnipeg, MB, Canada, 2019. [Google Scholar]
- Mills, A.; Ketterings, Q.; Verbeten, B.; Ganoe, K.; Sorrells, M. Harvest and Storage of Malting Barley Agronomy Fact Sheet Series; Cornell University Cooperative Extension: Ithaca, NY, USA, 2014; pp. 1–2. [Google Scholar]
- Sychra, L.; Psota, V.; Mareček, J. Effect of long-term storage of malting barley on malt quality. Monatsschrift Brauwiss 2001, 54, 114–118. [Google Scholar]
- Windes, S.; Bettenhausen, H.M.; Simaeys, K.R.V.; Clawson, J.; Fisk, S.; Heuberger, A.L.; Lim, J.; Queisser, S.H.; Shellhammer, T.H.; Hayes, P.M. Comprehensive Analysis of Different Contemporary Barley Genotypes Enhances and Expands the Scope of Barley Contributions to Beer Flavor. J. Am. Soc. Brew. Chem. 2021, 79, 281–305. [Google Scholar] [CrossRef]
- Polat, H.E. Effects of Different Storage Conditions on the Nutritional Qualities of Barley and Maize. Tarim Bilim. Derg. 2015, 21, 246. [Google Scholar] [CrossRef]
- Krajčovič, T.; Psota, V.; Sachambula, L.; Mareček, J. Vplyv dlhodobého skladovania na kvalitu zrna sladovníckeho jačmeňa a sladu. J. Cent. Eur. Agric. 2016, 17, 917–931. [Google Scholar] [CrossRef]
- Yu, P.; Christensen, D.A.; Christensen, C.R.; Drew, M.D.; Rossnagel, B.G.; McKinnon, J.J. Use of synchrotron FTIR microspectroscopy to identify chemical differences in barley endosperm tissue in relation to rumen degradation characteristics. Can. J. Anim. Sci. 2004, 84, 523–527. [Google Scholar] [CrossRef]
- Narwal, S.; Gupta, O.P.; Pandey, V.; Kumar, D.; Ram, S. Effect of storage and processing conditions on nutrient composition of wheat and barley. In Wheat and Barley Grain Biofortification; Woodhead Publishing: Sawston, UK, 2020; pp. 229–256. ISBN 9780128184448. [Google Scholar]
- Lombi, E.; Smith, E.; Hansen, T.H.; Paterson, D.; De Jonge, M.D.; Howard, D.L.; Persson, D.P.; Husted, S.; Ryan, C.; Schjoerring, J.K. Megapixel imaging of (micro)nutrients in mature barley grains. J. Exp. Bot. 2011, 62, 273–282. [Google Scholar] [CrossRef]
- Ochandio, D.; Cardoso, L.; Bartosik, R.; de la Torre, D.; Rodríguez, J.; Massigoge, J. Storage of canola in hermetic plastic bags. In Proceedings of the 10th International Working Conference on Stored Products Protection, Estoril, Portugal, 27 June–2 July 2010; Libk. 425. pp. 323–330. [Google Scholar]
- White, N.D.G.; Hulasare, R.B.; Jayas, D.S. Effects of storage conditions on quality loss of hull-less and hulled oats and barley. Can. J. Plant Sci. 1999, 79, 475–482. [Google Scholar] [CrossRef]
- Singh, T.; Garg, N.M.; Iyengar, S.R.S. Nondestructive identification of barley seeds variety using near-infrared hyperspectral imaging coupled with convolutional neural network. J. Food Process Eng. 2021, 44, e13821. [Google Scholar] [CrossRef]
- Bartosik, R.; Ochandio, D.; Cardoso, L.; De La Torre, D. Storage of Malting with Different Moisture Contents in Hermetic Silo-Bags. In Proceedings of the CAF 9th International Conference on Controlled Atmosphere and Fumigation in Stored Products, Antalya, Turkey, 15–19 October 2012; pp. 549–553. [Google Scholar]
- Krasauskas, A. Fungi in malting barley grain and malt production. Biologija 2017, 63, 283–288. [Google Scholar] [CrossRef][Green Version]
- Indore, N.S.; Karunakaran, C.; Jayas, D.S. Synchrotron tomography applications in agriculture and food sciences research: A review. Plant Methods 2022, 18, 101. [Google Scholar] [CrossRef]
- Sayed, T.S.; Hirad, F.Y.; Abro, G.H. Resistance of Different Stored Wheat Varieties to Khapra Beetle, Trogoderma granarium (Everest) and Lesser Grain Borer, Rhizopertha dominica (Fabricus). Pak. J. Biol. Sci. 2006, 9, 1567–1571. [Google Scholar] [CrossRef][Green Version]
- Singh, C.B.; Jayas, D.S.; Paliwal, J.; White, N.D.G. Fungal detection in wheat using near-infrared hyperspectral imaging. Trans. ASABE 2007, 50, 2171–2176. [Google Scholar] [CrossRef]
- Senthilkumar, T.; Jayas, D.S.; White, N.D.G.; Fields, P.G.; Gräfenhan, T. Detection of fungal infection and Ochratoxin A contamination in stored wheat using near-infrared hyperspectral imaging. J. Stored Prod. Res. 2016, 65, 30–39. [Google Scholar] [CrossRef]
- Garbout, A.; Munkholm, L.J.; Hansen, S.B.; Petersen, B.M.; Munk, O.L.; Pajor, R. The use of PET/CT scanning technique for 3D visualization and quantification of real-time soil/plant interactions. Plant Soil 2012, 352, 113–127. [Google Scholar] [CrossRef]
- Rawson, S.D.; Maksimcuka, J.; Withers, P.J.; Cartmell, S.H. X-ray computed tomography in life sciences. BMC Biol. 2020, 18, 21. [Google Scholar] [CrossRef] [PubMed]
- Yashiro, W.; Voegeli, W.; Kudo, H. Exploring Frontiers of 4D X-ray Tomography. Appl. Sci. 2021, 11, 8868. [Google Scholar] [CrossRef]
- Karunakaran, C.; Lahlali, R.; Zhu, N.; Webb, A.M.; Schmidt, M.; Fransishyn, K.; Belev, G.; Wysokinski, T.; Olson, J.; Cooper, D.M.L.; et al. Factors influencing real time internal structural visualization and dynamic process monitoring in plants using synchrotron-based phase contrast X-ray imaging. Sci. Rep. 2015, 5, 12119. [Google Scholar] [CrossRef]
- Olakanmi, S.J.; Jayas, D.S.; Paliwal, J. Applications of imaging systems for the assessment of quality characteristics of bread and other baked goods: A review. Compr. Rev. Food Sci. Food Saf. 2023, 22, 1817–1838. [Google Scholar] [CrossRef] [PubMed]
- Willmott, P. An Introduction to Synchrotron Radiation; Wiley: Hoboken, NJ, USA, 2011; ISBN 9780470745793. [Google Scholar]
- Joseph, S. ASAE S352; Moisture Measurement—Unground Grain and Seeds. ASABE Standard: St Joseph, MI, USA, 2017.
- Indore, N.S.; Karunakaran, C.; Jayas, D.S.; Stobbs, J.; Vu, M.; Tu, O.M.K. Characterization of Spring and Durum Wheat during Storage Using Non-Destructive Synchrotron Phase Contrast X-ray Microtomography for Reduction of Post Harvest Losses; University of Manitoba: Winnipeg, MB, Canada, 2023. [Google Scholar]
- Lahlali, R.; Karunakaran, C.; Wang, L.; Willick, I.; Schmidt, M.; Liu, X.; Borondics, F.; Forseille, L.; Fobert, P.R.; Tanino, K.; et al. Synchrotron based phase contrast X-ray imaging combined with FTIR spectroscopy reveals structural and biomolecular differences in spikelets play a significant role in resistance to Fusarium in wheat. BMC Plant Biol. 2015, 15, 24. [Google Scholar] [CrossRef]
- Faragó, T.; Gasilov, S.; Emslie, I.; Zuber, M.; Helfen, L.; Vogelgesang, M.; Baumbach, T. Tofu: A fast, versatile and user-friendly image processing toolkit for computed tomography. J. Synchrotron Radiat. 2022, 29, 916–927. [Google Scholar] [CrossRef] [PubMed]
- Cloetens, P.; Barrett, R.; Baruchel, J.; Guigay, J.P.; Schlenker, M. Phase objects in synchrotron radiation hard X-ray imaging. J. Phys. D Appl. Phys. 1996, 29, 133–146. [Google Scholar] [CrossRef]
- Brar, G.S.; Karunakaran, C.; Bond, T.; Stobbs, J.; Liu, N.; Hucl, P.J.; Kutcher, H.R. Showcasing the application of synchrotron-based X-ray computed tomography in host-pathogen interactions: The role of wheat rachilla and rachis nodes in Type-II resistance to Fusarium graminearum. Plant Cell Environ. 2019, 42, 509–526. [Google Scholar] [CrossRef]
- Indore, N.S.; Karunakaran, C.; Jayas, D.S.; Bondicib, V.F.; Vu, M.; Tu, D.M.K. Mapping Biochemical and Nutritional Changes in Durum Wheat due to Spoilage during Storage; University of Manitoba: Winnipeg, MB, Canada, 2023. [Google Scholar]
- Lombi, E.; Scheckel, K.G.; Pallon, J.; Carey, A.M.; Zhu, Y.G.; Meharg, A.A. Speciation and distribution of arsenic and localization of nutrients in rice grains. New Phytol. 2009, 184, 193–201. [Google Scholar] [CrossRef] [PubMed]
- Lombi, E.; Susini, J. Synchrotron-based techniques for plant and soil science: Opportunities, challenges and future perspectives. Plant Soil 2009, 320, 1–35. [Google Scholar] [CrossRef]
- Solé, V.A.; Papillon, E.; Cotte, M.; Walter, P.; Susini, J. A multiplatform code for the analysis of energy-dispersive X-ray fluorescence spectra. Spectrochim. Acta—Part B At. Spectrosc. 2007, 62, 63–68. [Google Scholar] [CrossRef]
- Karunakaran, C.; Vijayan, P.; Stobbs, J.; Bamrah, R.K.; Arganosa, G.; Warkentin, T.D. High throughput nutritional profiling of pea seeds using Fourier transform mid-infrared spectroscopy. Food Chem. 2020, 309, 125585. [Google Scholar] [CrossRef]
- Demšar, J.; Curk, T.; Erjavec, A.; Gorup, Č.; Hočevar, T.; Milutinovič, M.; Možina, M.; Polajnar, M.; Toplak, M.; Starič, A.; et al. Orange: Data mining toolbox in python. J. Mach. Learn. Res. 2013, 14, 2349–2353. [Google Scholar]
- Abass, A.B.; Ndunguru, G.; Mamiro, P.; Alenkhe, B.; Mlingi, N.; Bekunda, M. Post-harvest food losses in a maize-based farming system of semi-arid savannah area of Tanzania. J. Stored Prod. Res. 2014, 57, 49–57. [Google Scholar] [CrossRef]
- Le, T.D.Q.; Alvarado, C.; Girousse, C.; Legland, D.; Chateigner-Boutin, A.-L. Use of X-ray micro computed tomography imaging to analyze the morphology of wheat grain through its development. Plant Methods 2019, 15, 84. [Google Scholar] [CrossRef]
- Zhang, T.; Sun, H.; Lv, Z.; Cui, L.; Mao, H.; Kopittke, P.M. Using Synchrotron-Based Approaches to Examine the Foliar Application of ZnSO4 and ZnO Nanoparticles for Field-Grown Winter Wheat. J. Agric. Food Chem. 2018, 66, 2572–2579. [Google Scholar] [CrossRef]
- Bamrah, R.K.; Vijayan, P.; Karunakaran, C.; Muir, D.; Hallin, E.; Stobbs, J.; Goetz, B.; Nickerson, M.; Tanino, K.; Warkentin, T.D. Evaluation of X-Ray Fluorescence Spectroscopy as a Tool for Nutrient Analysis of Pea Seeds. Crop Sci. 2019, 59, 2689–2700. [Google Scholar] [CrossRef]
- Mazzolini, A.P.; Pallaghy, C.K.; Legge, G.J.F. Quantitative microanalysis of Mn, Zn and other elements in mature wheat seed. New Phytol. 1985, 100, 483–509. [Google Scholar] [CrossRef]
- De Brier, N.; Gomand, S.V.; Donner, E.; Paterson, D.; Smolders, E.; Delcour, J.A.; Lombi, E. Element distribution and iron speciation in mature wheat grains (Triticum aestivum L.) using synchrotron X-ray fluorescence microscopy mapping and X-ray absorption near-edge structure (XANES) imaging. Plant Cell Environ. 2016, 39, 1835–1847. [Google Scholar] [CrossRef]
- Lombi, E.; Scheckel, K.G.; Kempson, I.M. In situ analysis of metal(loid)s in plants: State of the art and artefacts. Environ. Exp. Bot. 2011, 72, 3–17. [Google Scholar] [CrossRef]
- Ockenden, I.; Dorsch, J.A.; Reid, M.M.; Lin, L.; Grant, L.K.; Raboy, V.; Lott, J.N.A. Characterization of the storage of phosphorus, inositol phosphate and cations in grain tissues of four barley (Hordeum vulgare L.) low phytic acid genotypes. Plant Sci. 2004, 167, 1131–1142. [Google Scholar] [CrossRef]
- Graham, R.; Webb, M. Micronutrients and disease resistance and tolerance in plants. In Micronutrients in Agriculture; Soil Science Society of America: Madison, Wisconsin, 2018; pp. 329–370. ISBN 9780891188780. [Google Scholar]
- Dordas, C. Role of nutrients in controlling plant diseases in sustainable agriculture. A review. Agron. Sustain. Dev. 2008, 28, 33–46. [Google Scholar] [CrossRef]
- Fones, H.; Preston, G.M. The impact of transition metals on bacterial plant disease. FEMS Microbiol. Rev. 2013, 37, 495–519. [Google Scholar] [CrossRef]
- Mendoza, F.; Verboven, P.; Mebatsion, H.K.; Kerckhofs, G.; Wevers, M.; Nicolaï, B. Three-dimensional pore space quantification of apple tissue using X-ray computed microtomography. Planta 2007, 226, 559–570. [Google Scholar] [CrossRef] [PubMed]
- Gupta, S.K.; Rai, A.K.; Kanwar, S.S.; Sharma, T.R. Comparative Analysis of Zinc Finger Proteins Involved in Plant Disease Resistance. PLoS ONE 2012, 7, e42578. [Google Scholar] [CrossRef] [PubMed]
- Schindelin, J.; Arganda-Carreras, I.; Frise, E.; Kaynig, V.; Longair, M.; Pietzsch, T.; Preibisch, S.; Rueden, C.; Saalfeld, S.; Schmid, B.; et al. Fiji: An open-source platform for biological-image analysis. Nat. Methods 2012, 9, 676–682. [Google Scholar] [CrossRef] [PubMed]
- Ambak, K.; Tadano, T.; Ambak, K. Effect of micronutrient application on the growth and occurrence of sterility in barley and rice in a Malaysian deep peat soil. Soil Sci. Plant Nutr. 1991, 37, 715–724. [Google Scholar] [CrossRef]
- Singh, C.B.; Jayas, D.S.; Paliwal, J.; White, N.D.G. Fungal Damage Detection in Wheat Using Short-Wave Near-Infrared Hyperspectral and Digital Colour Imaging. Int. J. Food Prop. 2012, 15, 11–24. [Google Scholar] [CrossRef]
- Saxton, R.; McDougal, O.M. Whey Protein Powder Analysis by Mid-Infrared Spectroscopy. Foods 2021, 10, 1033. [Google Scholar] [CrossRef]
- Singh, C.B.; Jayas, D.S.; Borondics, F.; White, N.D.G. Synchrotron based infrared imaging study of compositional changes in stored wheat due to infection with Aspergillus glaucus. J. Stored Prod. Res. 2011, 47, 372–377. [Google Scholar] [CrossRef]
- Kaya-Celiker, H.; Mallikarjunan, P.K.; Kaaya, A. Mid-infrared spectroscopy for discrimination and classification of Aspergillus spp. contamination in peanuts. Food Control 2015, 52, 103–111. [Google Scholar] [CrossRef]
- Grube, M.; Bekers, M.; Upite, D.; Kaminska, E. Infrared spectra of some fructans. Spectroscopy 2002, 16, 289–296. [Google Scholar] [CrossRef]
- Moore, D. Nutrition. Available online: https://www.britannica.com/science/fungus/Form-and-function-of-fungi (accessed on 29 August 2023).
- Rosentrater, K.A. Biochemical, functional, and nutritive changes during storage. In Storage of Cereal Grains and Their Products; Woodhead Publishing: Sawston, UK, 2022; pp. 443–501. ISBN 9780128127582. [Google Scholar]










Disclaimer/Publisher’s Note: The statements, opinions and data contained in all publications are solely those of the individual author(s) and contributor(s) and not of MDPI and/or the editor(s). MDPI and/or the editor(s) disclaim responsibility for any injury to people or property resulting from any ideas, methods, instructions or products referred to in the content. |
© 2023 by the authors. Licensee MDPI, Basel, Switzerland. This article is an open access article distributed under the terms and conditions of the Creative Commons Attribution (CC BY) license (https://creativecommons.org/licenses/by/4.0/).
Share and Cite
Indore, N.S.; Jayas, D.S.; Karunakaran, C.; Stobbs, J.; Bondici, V.F.; Vu, M.; Tu, K.; Marinos, O. Study of Microstructural, Nutritional, and Biochemical Changes in Hulled and Hulless Barley during Storage Using X-ray and Infrared Techniques. Foods 2023, 12, 3935. https://doi.org/10.3390/foods12213935
Indore NS, Jayas DS, Karunakaran C, Stobbs J, Bondici VF, Vu M, Tu K, Marinos O. Study of Microstructural, Nutritional, and Biochemical Changes in Hulled and Hulless Barley during Storage Using X-ray and Infrared Techniques. Foods. 2023; 12(21):3935. https://doi.org/10.3390/foods12213935
Chicago/Turabian StyleIndore, Navnath S., Digvir S. Jayas, Chithra Karunakaran, Jarvis Stobbs, Viorica F. Bondici, Miranda Vu, Kaiyang Tu, and Omar Marinos. 2023. "Study of Microstructural, Nutritional, and Biochemical Changes in Hulled and Hulless Barley during Storage Using X-ray and Infrared Techniques" Foods 12, no. 21: 3935. https://doi.org/10.3390/foods12213935
APA StyleIndore, N. S., Jayas, D. S., Karunakaran, C., Stobbs, J., Bondici, V. F., Vu, M., Tu, K., & Marinos, O. (2023). Study of Microstructural, Nutritional, and Biochemical Changes in Hulled and Hulless Barley during Storage Using X-ray and Infrared Techniques. Foods, 12(21), 3935. https://doi.org/10.3390/foods12213935

