Do You Know What You Eat? Kebab Adulteration in Poland
Abstract
1. Introduction
2. Materials and Methods
2.1. Samples
2.2. DNA Isolation
2.3. PCR Reaction
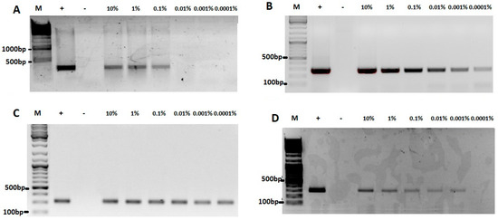
3. Results
4. Discussion
5. Conclusions
Supplementary Materials
Author Contributions
Funding
Data Availability Statement
Acknowledgments
Conflicts of Interest
References
- McEvoy, J.D.G. Emerging food safety issues: An EU perspective. Drug Test. Anal. 2016, 8, 511–520. [Google Scholar] [CrossRef] [PubMed]
- Momtaz, M.; Bubli, S.Y.; Khan, M.S. Mechanisms and Health Aspects of Food Adulteration: A Comprehensive Review. Foods 2023, 12, 199. [Google Scholar] [CrossRef] [PubMed]
- EU. EU Regulation Regulation (Ec) No 178/2002 of the European Parliament and of the Council; European Union: Brussels, Belgium, 2002; pp. 1–40. [Google Scholar]
- Hassan, K.I.; Ali, B.A.M.; Mohammed, N.A. Detection of the origin of animal species in kebab meat using mitochondrial DNA based-polymerase chain reaction (mtDNA-PCR). Iraqi J. Vet. Sci. 2019, 33, 39–43. [Google Scholar] [CrossRef]
- Girish, P.S.; Anjaneyulu, A.S.R.; Viswas, K.N.; Santhosh, F.H.; Bhilegaonkar, K.N.; Agarwal, R.K.; Kondaiah, N.; Nagappa, K. Polymerase Chain Reaction–Restriction Fragment Length Polymorphism of Mitochondrial 12S rRNA Gene: A Simple Method for Identification of Poultry Meat Species. Vet. Res. Commun. 2007, 31, 447–455. [Google Scholar] [CrossRef] [PubMed]
- Adenuga, B.M.; Montowska, M. A systematic review of DNA-based methods in authentication of game and less common meat species. Compr. Rev. Food Sci. Food Saf. 2023, 22, 2112–2160. [Google Scholar] [CrossRef] [PubMed]
- AGES Information. Available online: https://www.ages.at/ages/presse/news/detail/information-zu-lebensmittelbedingten-ausbruechen-durch-salmonellen (accessed on 22 July 2023).
- EU Regulation Regulation (EC) No 1069/2009 of the European Parliament and of the Council of 21 October 2009 Laying Down Health Rules as Regards Animal By-Products and Derived Products Not Intended for Human Consumption and Re-pealing Regulation (EC) No 1774/2002 (Animal By-Products Regulation); European Union: Brussels, Belgium, 2009.
- Jiang, H.; Yuan, W.; Ru, Y.; Chen, Q.; Wang, J.; Zhou, H. Feasibility of identifying the authenticity of fresh and cooked mutton kebabs using visible and near-infrared hyperspectral imaging. Spectrochim. Acta Part A Mol. Biomol. Spectrosc. 2022, 282, 121689. [Google Scholar] [CrossRef] [PubMed]
- Ballin, N.Z. Authentication of meat and meat products. Meat Sci. 2010, 86, 577–587. [Google Scholar] [CrossRef] [PubMed]
- Rojas, M.; González, I.; Fajardo, V.; Martín, I.; Hernández, P.E.; García, T.; Martín, R. Identification of raw and heat-processed meats from game bird species by polymerase chain reaction-restriction fragment length polymorphism of the mitochondrial D-loop region. Poult. Sci. 2009, 88, 669–679. [Google Scholar] [CrossRef] [PubMed]
- Man, Y.C.; Aida, A.; Raha, A.; Son, R. Identification of pork derivatives in food products by species-specific polymerase chain reaction (PCR) for halal verification. Food Control 2007, 18, 885–889. [Google Scholar] [CrossRef]
- Cao, Y.; Zheng, K.; Jiang, J.; Wu, J.; Shi, F.; Song, X.; Jiang, Y. A novel method to detect meat adulteration by recombinase polymerase amplification and SYBR green I. Food Chem. 2018, 266, 73–78. [Google Scholar] [CrossRef] [PubMed]
- Kotowicz, M.; Adamczyk, E.; Bania, J. Application of a duplex-PCR for detection of cows’ milk in goats’ milk. Ann. Agric. Environ. Med. 2007, 14, 215–218. [Google Scholar] [PubMed]
- Polak Na Mieście Najchętniej Je Kebab. Available online: https://www.rp.pl/biznes/art2398351-polak-na-miescie-najchetniej-je-kebab (accessed on 22 July 2023).
- Torres, M.I.; Lewis, P.; Cook, L.; Cook, P.; Kardamanidis, K.; Shadbolt, C.; Campbell, B. An Outbreak of Salmonella Typhi-murium Linked to a Kebab Takeaway Shop. Commun. Dis. Intell. Q. Rep. 2012, 36, 101–106. [Google Scholar] [PubMed]
- Jakość Handlowa Dań Oferowanych w Formie Kebabu. Available online: https://www.gov.pl/web/ijhars/jakosc-handlowa-dan-oferowanych-w-formie-kebabu (accessed on 22 July 2023).
- Bhat, M.M.; Mantoo, I.A.; Salahuddin, M.; Adil, S.; Pal, M.A. Meat Adulteration in Cooked Mutton Kebab with Cattle and Buffalo Meat and its Detection Using Mitochondrial DNA (mtDNA) Based Multiplex PCR. Asian J. Anim. Vet. Adv. 2016, 11, 505–510. [Google Scholar] [CrossRef][Green Version]
- Liuzzo, G.; Rossi, R.; Giacometti, F.; Piva, S.; Serraino, A.; Mescolini, G.; Militerno, G. Mislabelling of Döner Kebab Sold in Italy. Ital. J. Food Saf. 2016, 5, 5–7. [Google Scholar] [CrossRef] [PubMed]
- Kesmen, Z.; Gulluce, A.; Sahin, F.; Yetim, H. Identification of meat species by TaqMan-based real-time PCR assay. Meat Sci. 2009, 82, 444–449. [Google Scholar] [CrossRef] [PubMed]

| Percentage of Analyzed Species Meat | Meat of Analyzed Species * | Meat of Non-Analyzed Species |
|---|---|---|
| 10% | 10 g analyzed species meat | 90 g of turkey meat |
| 1% | 1 g analyzed species meat | 99 g of turkey meat |
| 0.1% | 0.1 g analyzed species meat | 99.9 g of turkey meat |
| 0.01% | 0.01 g analyzed species meat | 99.99 g of turkey meat |
| 0.001% | 0.001 g analyzed species meat | 99.99 g of turkey meat |
| 0.0001% | 1 g of 0.001% analyzed species meat | 99 g of turkey meat |
| Species | Primer Sequence (5′ → 3′ End) | Amplicon Size (bp) | Reference |
|---|---|---|---|
| sheep (Ovis aries) | TCTGTCTTAAACATGCAAACGA | 197 | This study |
| GTCTATGTTACATTAATAC | |||
| chicken (Gallus gallus) | TACCATGTTCTAACCCATTTGG | 208 | [13] |
| AGTTCAGGAGTTATGCATGG | |||
| cow (Bos taurus) | CCAATAACTCAACACA | 300 | [14] |
| CGTGATCTAATGGTAAGGAAT | |||
| pig (Sus scrofa) | CACGCGCATATAAGCAGGTAA | 324 | [13] |
| CAGATTGTGGGCGTATACT |
| Sample No. | Declared Meat | Result | Sample No. | Declared Meat | Result |
|---|---|---|---|---|---|
| 1 | Lamb | lamb, chicken | 19 | lamb | - |
| 2 | Chicken | chicken | 20 | chicken | beef, chicken |
| 3 | Lamb | beef, chicken | 21 | beef, lamb | chicken |
| 4 | Chicken | chicken | 22 | lamb | lamb, chicken |
| 5 | Beef | chicken | 23 | beef, lamb | - |
| 6 | Lamb | beef, chicken | 24 | beef | - |
| 7 | Chicken | chicken | 25 | chicken | chicken |
| 8 | Lamb | lamb, beef, chicken, | 26 | beef | chicken |
| 9 | Beef | beef, chicken | 27 | chicken | chicken |
| 10 | Lamb | beef, chicken, | 28 | chicken | chicken |
| 11 | Lamb | beef, chicken, pork | 29 | lamb | lamb, beef, chicken |
| 12 | Lamb | beef, chicken, | 30 | beef, lamb | chicken |
| 13 | Lamb | lamb, beef, chicken | 31 | beef | chicken |
| 14 | Lamb | chicken, pork | 32 | beef | chicken, beef |
| 15 | Chicken | - | 33 | beef | chicken |
| 16 | Chicken | chicken | 34 | chicken | chicken |
| 17 | Chicken | chicken | 35 | lamb | lamb |
| 18 | Lamb | beef, chicken, pork |
Disclaimer/Publisher’s Note: The statements, opinions and data contained in all publications are solely those of the individual author(s) and contributor(s) and not of MDPI and/or the editor(s). MDPI and/or the editor(s) disclaim responsibility for any injury to people or property resulting from any ideas, methods, instructions or products referred to in the content. |
© 2023 by the authors. Licensee MDPI, Basel, Switzerland. This article is an open access article distributed under the terms and conditions of the Creative Commons Attribution (CC BY) license (https://creativecommons.org/licenses/by/4.0/).
Share and Cite
Szyłak, A.; Kostrzewa, W.; Bania, J.; Tabiś, A. Do You Know What You Eat? Kebab Adulteration in Poland. Foods 2023, 12, 3380. https://doi.org/10.3390/foods12183380
Szyłak A, Kostrzewa W, Bania J, Tabiś A. Do You Know What You Eat? Kebab Adulteration in Poland. Foods. 2023; 12(18):3380. https://doi.org/10.3390/foods12183380
Chicago/Turabian StyleSzyłak, Artur, Wiktoria Kostrzewa, Jacek Bania, and Aleksandra Tabiś. 2023. "Do You Know What You Eat? Kebab Adulteration in Poland" Foods 12, no. 18: 3380. https://doi.org/10.3390/foods12183380
APA StyleSzyłak, A., Kostrzewa, W., Bania, J., & Tabiś, A. (2023). Do You Know What You Eat? Kebab Adulteration in Poland. Foods, 12(18), 3380. https://doi.org/10.3390/foods12183380

