Assessment of the Effects of Salt and Salicornia herbacea L. on Physiochemical, Nutritional, and Quality Parameters for Extending the Shelf-Life of Semi-Dried Mullets (Chelon haematocheilus)
Abstract
1. Introduction
2. Materials and Methods
2.1. Preparation of the Sample
2.2. Anti-Oxidant Activity of Salicornia herbacea L.
2.3. Proximate Composition, Salinity and Water Activity (aw)
2.4. Chromaticity
2.5. Lipid Oxidation
2.6. Fatty Acid Analysis
2.7. Amino Acid Analysis
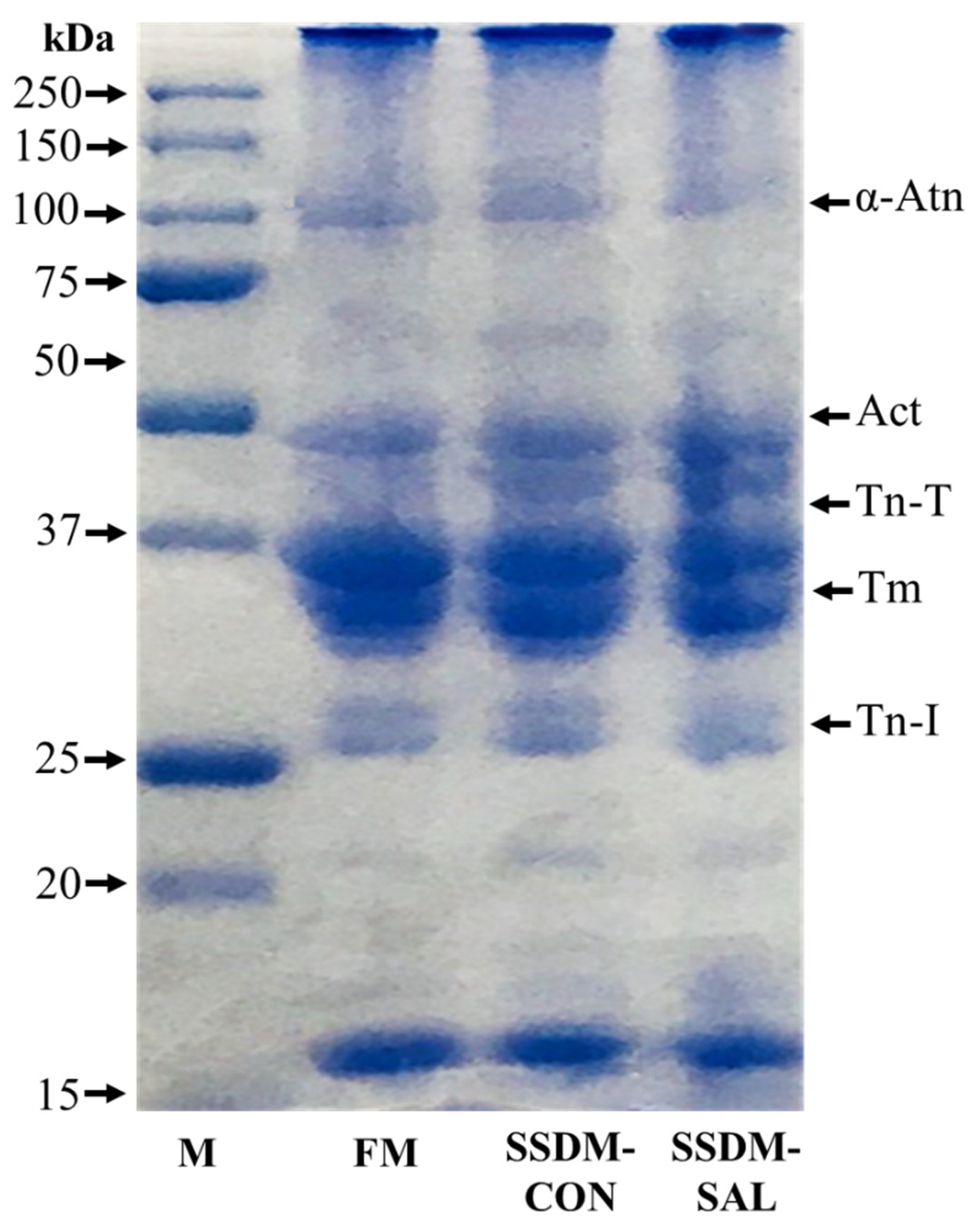
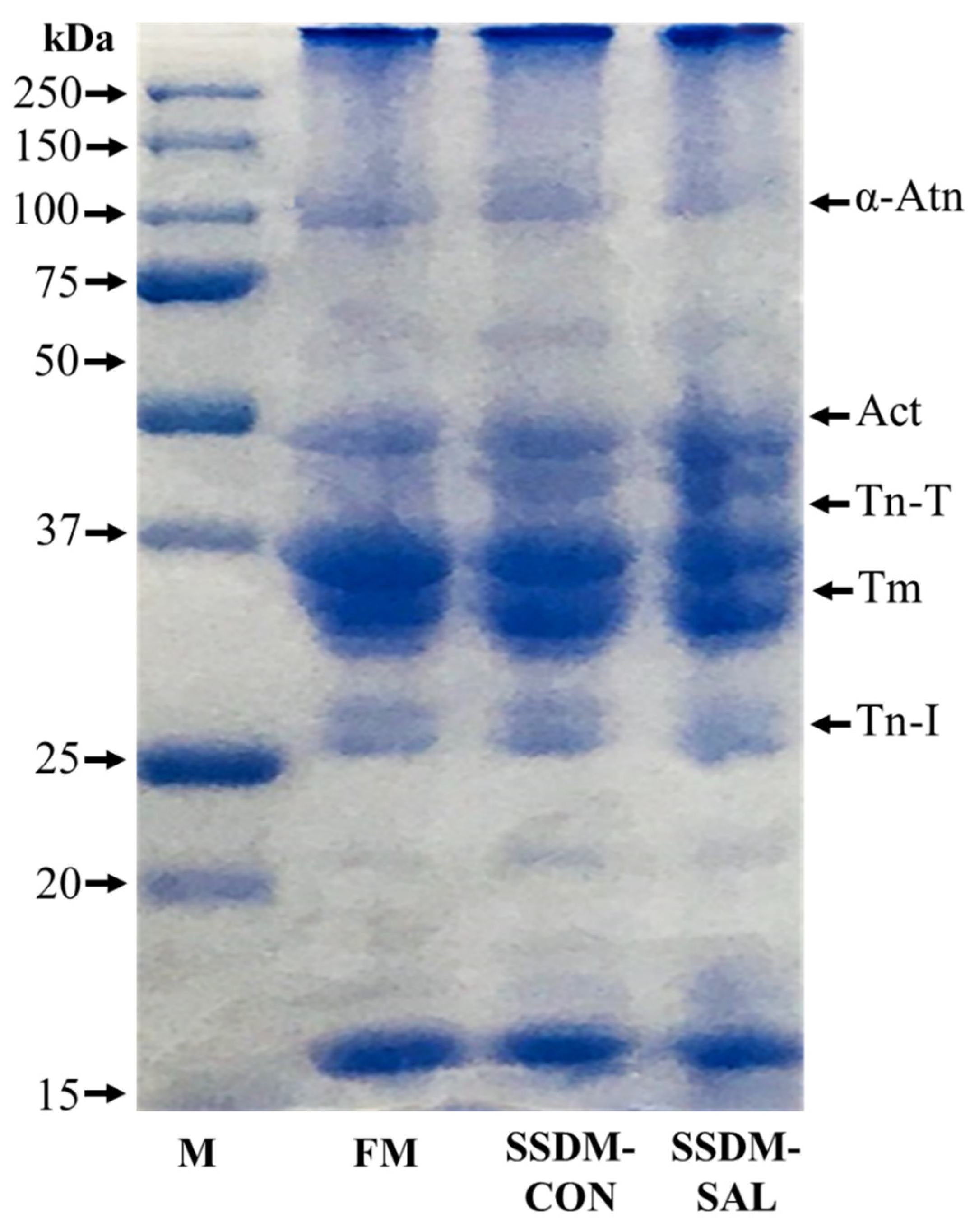
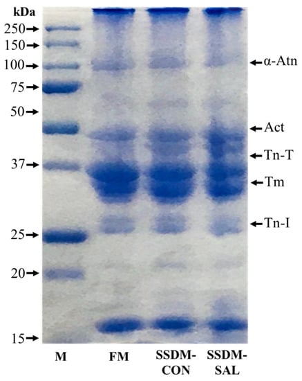
2.8. SDS-PAGE Analysis
2.9. Microbiological Analysis
2.10. Statistical Analysis
3. Results and Discussion
3.1. Anti-Oxidant Activity of Salicornia herbacea L. (SAL)
3.2. Proximate Composition, Salinity, and Water Activity (aw)
3.3. Chromaticity
3.4. Changes in the Peroxide (PV), acid (AV), and Thiobarbituric Acid (TBARS) Values during Refrigerated Storage
3.5. Fatty Acid Compositions
3.6. Amino Acid Compositions
3.7. SDS-PAGE
3.8. Changes in Total Bacteria, Coliform, Escherichia coli, Vibrio parahaemolyticus and Staphylococcus aureus Levels during the Storage Period
4. Conclusions
Author Contributions
Funding
Institutional Review Board Statement
Informed Consent Statement
Data Availability Statement
Acknowledgments
Conflicts of Interest
References
- Abo-Taleb, H.A.; El-Feky, M.M.; Azab, A.M.; Mabrouk, M.M.; Elokaby, M.A.; Ashour, M.; Mansour, A.T.; Abdelzaher, O.F.; Abualnaja, K.M.; Sallam, A.E. Growth performance, feed utilization, gut integrity, and economic revenue of grey mullet, Mugil cephalus, fed an increasing level of dried zooplankton biomass meal as fishmeal substitutions. Fishes 2021, 6, 38. [Google Scholar] [CrossRef]
- Marti-Puig, P.; Manjabacas, A.; Lombarte, A. Automatic classification of morphologically similar fish species using their head contours. Appl. Sci. 2020, 10, 3408. [Google Scholar] [CrossRef]
- Abo-Taleb, H.A.; Ashour, M.; Elokaby, M.A.; Mabrouk, M.M.; El-Feky, M.M.; Abdelzaher, O.F.; Gaber, A.; Alsanie, W.F.; Mansour, A.T. Effect of a new feed Daphnia magna (Straus, 1820), as a fish meal substitute on growth, feed utilization, histological status, and economic revenue of grey mullet, Mugil cephalus (Linnaeus 1758). Sustainability 2021, 13, 7093. [Google Scholar] [CrossRef]
- Food and Agriculture Organization. Fishery and Aquaculture Statistics. In Global Aquaculture Production 1950–2016 (FishstatJ); Food and Agriculture Organization: Rome, Italy, 2018. [Google Scholar]
- Rivera, J.A.J.; Boglino, A.; Cordova, J.F.L.; Duncan, N.J.; Gomez, M.D.L.R.; Planellas, S.R.; Zatarain, Z.I. Characterization of the different behaviours exhibited by juvenile grey mullet (Mugil cephalus) under rearing conditions. bioRxiv 2021, 1–22. [Google Scholar] [CrossRef]
- Tocher, D.R.; Betancor, M.B.; Sprague, M.; Olsen, R.E.; Napier, J.A. Omega-3 long-chain polyunsaturated fatty acids, EPA and DHA: Bridging the gap between supply and demand. Nutrients 2019, 11, 89. [Google Scholar] [CrossRef]
- Rankin, L.C.; Artis, D. Beyond host defense: Emerging functions of the immune system in regulating complex tissue physiology. Cell 2018, 173, 554–567. [Google Scholar] [CrossRef]
- Tavares, J.; Martins, A.; Fidalgo, L.G.; Lima, V.; Amaral, R.A.; Pinto, C.A.; Silva, A.M.; Saraiva, J.A. Fresh Fish Degradation and Advances in Preservation Using Physical Emerging Technologies. Foods 2021, 10, 780. [Google Scholar] [CrossRef]
- Song, H.-S.; Kim, Y.-M. Antioxidant effects of ethanol extracts from plants on peroxide content in semi-dried eels. Korean J. Food Nutr. 2018, 31, 647–652. [Google Scholar]
- Ali, M.; Imran, M.; Nadeem, M.; Khan, M.K.; Sohaib, M.; Suleria, H.A.R.; Bashir, R. Oxidative stability and Sensoric acceptability of functional fish meat product supplemented with plant-based polyphenolic optimal extracts. Lipids Health Dis. 2019, 18, 35. [Google Scholar] [CrossRef]
- Leong, X.-F. Lipid Oxidation Products on Inflammation-Mediated Hypertension and Atherosclerosis: A Mini Review. Front. Nutr. 2021, 8, 717740. [Google Scholar] [CrossRef]
- Jo, H.G.; Kim, M.J.; Moon, B.Y.; Sin, Y.S.; Lee, K.S.; Cheong, S.H. Physicochemical, nutritional, and quality parameters of salted semidried mullet (Chelon haematocheilus) prepared with different processing methods. Food Sci. Nutr. 2019, 7, 4045–4062. [Google Scholar] [CrossRef] [PubMed]
- Taşbozan, O.; Gökçe, M.A. Fatty acids in fish. Fat. Acids 2017, 1, 143–159. [Google Scholar]
- Lee, I.-S.; Kim, I.-C.; Chae, M.-H.; Chang, H.-C. Storage and acceptability of a smoked Sebastes schlegeli product. J. Korean Soc. Food Sci. Nutr. 2007, 36, 1458–1464. [Google Scholar] [CrossRef][Green Version]
- Seong, P.-N.; Seo, H.-W.; Cho, S.-H.; Kim, Y.-S.; Kang, S.-M.; Kim, J.-H.; Kang, G.-H.; Park, B.-Y.; Moon, S.-S.; Hoa, V.-B. Potential use of glasswort powder as a salt replacer for production of healthier dry-cured ham products. Czech J. Food Sci. 2017, 35, 149–159. [Google Scholar]
- Kim, H.-W.; Hwang, K.-E.; Song, D.-H.; Kim, Y.-J.; Ham, Y.-K.; Yeo, I.-J.; Jeong, T.-J.; Choi, Y.-S.; Kim, C.-J. Effects of red and green glassworts (Salicornia herbacea L.) on physicochemical and textural properties of reduced-salt cooked sausages. Korean J. Food Sci. Anim. Resour. 2014, 34, 378. [Google Scholar] [CrossRef] [PubMed]
- Kim, H.-W.; Hwang, K.-E.; Song, D.-H.; Kim, Y.-J.; Lim, Y.-B.; Ham, Y.-K.; Yeo, E.-J.; Chang, S.-J.; Choi, Y.-S.; Kim, C.-J. Effect of glasswort (Salicornia herbacea L.) on the texture of frankfurters. Meat Sci. 2014, 97, 513–517. [Google Scholar] [CrossRef]
- Ko, W.; Lee, H.; Kim, N.; Jo, H.G.; Woo, E.-R.; Lee, K.; Han, Y.S.; Park, S.R.; Ahn, G.; Cheong, S.H. The Anti-Oxidative and Anti-Neuroinflammatory Effects of Sargassum horneri by Heme Oxygenase-1 Induction in BV2 and HT22 Cells. Antioxidants 2021, 10, 859. [Google Scholar] [CrossRef]
- George, W.; Latimer, J. Official Methods of Analysis of AOAC International, 19th ed.; Association of Official Analytical Chemists: Gaithrsburg, MD, USA, 2012; Volume 2, pp. 20877–22417. [Google Scholar]
- Abrams, D.; Metcalf, D.; Hojjatie, M. Determination of Kjeldahl Nitrogen in Fertilizers by AOAC Official Method SM 978.02: Effect of Copper Sulfate as a Catalyst. J. AOAC Int. 2014, 97, 764–767. [Google Scholar] [CrossRef]
- Mæhre, H.K.; Dalheim, L.; Edvinsen, G.K.; Elvevoll, E.O.; Jensen, I.-J. Protein determination—Method matters. Foods 2018, 7, 5. [Google Scholar] [CrossRef]
- Kuznetcova, D.V.; Linder, M.; Jeandel, C.; Paris, C.; Desor, F.; Baranenko, D.A.; Nadtochii, L.A.; Arab-Tehrany, E.; Yen, F.T. Nanoliposomes and nanoemulsions based on chia seed lipids: Preparation and characterization. Int. J. Mol. Sci. 2020, 21, 9079. [Google Scholar] [CrossRef]
- Huang, D.-W.; Chan, Y.-J.; Huang, Y.-C.; Chang, Y.-J.; Tsai, J.-C.; Mulio, A.T.; Wu, Z.-R.; Hou, Y.-W.; Lu, W.-C.; Li, P.-H. Quality Evaluation, Storage Stability, and Sensory Characteristics of Wheat Noodles Incorporated with Isomaltodextrin. Plants 2021, 10, 578. [Google Scholar] [CrossRef] [PubMed]
- Egan, H.; Kirk, R.; Sawyer, R. Oil and Fat in Pearsons Chemical Analysis of Foods, 8th ed.Churchill Living Stone: Edinburgh, UK, 1981. [Google Scholar]
- Pearson, D. The Chemical Analysis of Food, 6th ed.; J & A Churchil, Ltd.: London, UK, 1970; pp. 508–515. [Google Scholar]
- Faustman, C.; Specht, S.; Malkus, L.; Kinsman, D. Pigment oxidation in ground veal: Influence of lipid oxidation, iron and zinc. Meat Sci. 1992, 31, 351–362. [Google Scholar] [CrossRef]
- Qwele, K.; Hugo, A.; Oyedemi, S.; Moyo, B.; Masika, P.; Muchenje, V. Chemical composition, fatty acid content and antioxidant potential of meat from goats supplemented with Moringa (Moringa oleifera) leaves, sunflower cake and grass hay. Meat Sci. 2013, 93, 455–462. [Google Scholar] [CrossRef] [PubMed]
- Cho, W.-H.; Yoon, S.-J.; Choi, J.-S. Optimization of Texture-Modified Yellowfin Sole (Pleuronectes aspera) by Enzymatic Treatment and Superheated Steam Treating to Improve Quality Characteristics. Processes 2021, 9, 763. [Google Scholar] [CrossRef]
- Laemmli, U.K. Cleavage of structural proteins during the assembly of the head of bacteriophage T4. Nature 1970, 227, 680–685. [Google Scholar] [CrossRef]
- Bird, P.; Flannery, J.; Crowley, E.; Agin, J.; Goins, D.; Jechorek, R. Evaluation of the 3M™ Petrifilm™ Rapid Aerobic Count Plate for the Enumeration of Aerobic Bacteria: Collaborative Study, First Action 2015.13. J. AOAC Int. 2016, 99, 664–675. [Google Scholar] [CrossRef]
- Okoh, S.O.; Asekun, O.T.; Familoni, O.B.; Afolayan, A.J. Antioxidant and free radical scavenging capacity of seed and shell essential oils extracted from Abrus precatorius (L). Antioxidants 2014, 3, 278–287. [Google Scholar] [CrossRef]
- Akonor, P.; Ofori, H.; Dziedzoave, N.; Kortei, N. Drying characteristics and physical and nutritional properties of shrimp meat as affected by different traditional drying techniques. Int. J. Food Sci. 2016, 2016, 7879097. [Google Scholar] [CrossRef]
- Chan, S.S.; Roth, B.; Jessen, F.; Løvdal, T.; Jakobsen, A.N.; Lerfall, J. A comparative study of Atlantic salmon chilled in refrigerated seawater versus on ice: From whole fish to cold-smoked fillets. Sci. Rep. 2020, 10, 1–12. [Google Scholar] [CrossRef]
- Jaques, D.A.; Wuerzner, G.; Ponte, B. Sodium Intake as a Cardiovascular Risk Factor: A Narrative Review. Nutrients 2021, 13, 3177. [Google Scholar] [CrossRef]
- Binici, A.; Kaya, G.K. Effect of brine and dry salting methods on the physicochemical and microbial quality of chub (Squalius cephalus Linnaeus, 1758). Food Sci. Technol. 2017, 38, 66–70. [Google Scholar] [CrossRef]
- Garmyn, A. Consumer Preferences and Acceptance of Meat Products. Foods 2020, 9, 708. [Google Scholar] [CrossRef] [PubMed]
- Subhashree, S.N.; Sunoj, S.; Xue, J.; Bora, G.C. Quantification of browning in apples using colour and textural features by image analysis. Food Qual. Saf. 2017, 1, 221–226. [Google Scholar] [CrossRef]
- Lund, M.N.; Ray, C.A. Control of Maillard reactions in foods: Strategies and chemical mechanisms. J. Agric. Food Chem. 2017, 65, 4537–4552. [Google Scholar] [CrossRef] [PubMed]
- Ormanci, H.B.; Colakoglu, F.A. Nutritional and sensory properties of salted fish product, lakerda. Cogent Food Agric. 2015, 1, 1008348. [Google Scholar] [CrossRef]
- Domínguez, R.; Pateiro, M.; Gagaoua, M.; Barba, F.J.; Zhang, W.; Lorenzo, J.M. A comprehensive review on lipid oxidation in meat and meat products. Antioxidants 2019, 8, 429. [Google Scholar] [CrossRef] [PubMed]
- Kim, T.-K.; Yong, H.-I.; Jung, S.; Kim, H.-W.; Choi, Y.-S. Technologies for the Production of Meat Products with a Low Sodium Chloride Content and Improved Quality Characteristics—A Review. Foods 2021, 10, 957. [Google Scholar] [CrossRef] [PubMed]
- Falade, A.O.; Oboh, G. Thermal oxidation induces lipid peroxidation and changes in the physicochemical properties and β-carotene content of arachis oil. Int. J. Food Sci. 2015, 2015, 806524. [Google Scholar] [CrossRef]
- Li, C.H.; Bland, J.M.; Bechtel, P.J. Effect of precooking and polyphosphate treatment on the quality of microwave cooked catfish fillets. Food Sci. Nutr. 2017, 5, 812–819. [Google Scholar] [CrossRef]
- Nwaigwe, U. Fish preservation and processing. J. Food 2017, 2, 1–31. [Google Scholar]
- Abeyrathne, E.D.N.S.; Nam, K.; Ahn, D.U. Analytical Methods for Lipid Oxidation and Antioxidant Capacity in Food Systems. Antioxidants 2021, 10, 1587. [Google Scholar] [CrossRef] [PubMed]
- Taşkaya, L.; Yaşar, E. Determination of some quality properties of “hamsi kaygana” prepared with different additives. Food Sci. Nutr. 2018, 6, 483–491. [Google Scholar] [CrossRef] [PubMed]
- Wood, J.; Enser, M. Manipulating the Fatty Acid Composition of Meat to Improve Nutritional Value and Meat Quality. In New Aspects of Meat Quality; Woodhead Publishing: Cambridge, UK, 2017; pp. 501–535. [Google Scholar]
- Cyprian, O.; Sveinsdottir, K.; Nguyen, M.; Tomasson, T.; Thorkelsson, G.; Arason, S. Influence of lipid content and packaging methods on the quality of dried capelin (Mallotus villosus) during storage. J. Food Sci. Technol. 2017, 54, 293–302. [Google Scholar] [CrossRef] [PubMed]
- Nikiforova, A.; Zamaratskaia, G.; Pickova, J. Fatty acid composition of salted and fermented products from Baikal omul (Coregonus autumnalis migratorius). J. Food Sci. Technol. 2020, 57, 595–605. [Google Scholar] [CrossRef] [PubMed]
- Tenyang, N.; Ponka, R.; Tiencheu, B.; Djikeng, F.T.; Womeni, H.M. Effect of Traditional Drying Methods on Proximate Composition, Fatty Acid Profile, and Oil Oxidation of Fish Species Consumed in the Far-North of Cameroon. Glob. Chall. 2020, 4, 2000007. [Google Scholar] [CrossRef]
- Petsini, F.; Fragopoulou, E.; Antonopoulou, S. Fish consumption and cardiovascular disease related biomarkers: A review of clinical trials. Crit. Rev. Food Sci. Nutr. 2019, 59, 2061–2071. [Google Scholar] [CrossRef]
- Lukic, M.; Trbovic, D.; Karan, D.; Petrovic, Z.; Jovanovic, J.; Milijasevic, J.B.; Nikolic, A. The Nutritional and Health Value of Beef Lipids-Fatty Acid Composition in Grass-Fed and Grain-Fed Beef. IOP Conf. Ser. Earth Environ. Sci. 2021, 854, 012054. [Google Scholar] [CrossRef]
- Ahmad, R.S.; Imran, A.; Hussain, M.B. Nutritional Composition of Meat. In Meat Science and Nutrition; InTech Open: London, UK, 2018; Volume 61. [Google Scholar]
- Cobas, N.; Gómez-Limia, L.; Franco, I.; Martínez, S. Amino acid profile and protein quality related to canning and storage of swordfish packed in different filling media. J. Food Compos. Anal. 2021, 107, 104328. [Google Scholar] [CrossRef]
- Cittadini, A.; Domínguez, R.; Gómez, B.; Pateiro, M.; Pérez-Santaescolástica, C.; López-Fernández, O.; Sarriés, M.V.; Lorenzo, J.M. Effect of NaCl replacement by other chloride salts on physicochemical parameters, proteolysis and lipolysis of dry-cured foal “cecina”. J. Food Sci. Technol. 2020, 57, 1628–1635. [Google Scholar] [CrossRef]
- Kim, B.-S.; Oh, B.-J.; Lee, J.-H.; Yoon, Y.S.; Lee, H.-I. Effects of various drying methods on physicochemical characteristics and textural features of yellow croaker (Larimichthys polyactis). Foods 2020, 9, 196. [Google Scholar] [CrossRef]
- Felisiak, K.; Szymczak, M. Use of Rapid Capillary Zone Electrophoresis to Determine Amino Acids Indicators of Herring Ripening during Salting. Foods 2021, 10, 2518. [Google Scholar] [CrossRef] [PubMed]
- Zhu, Y.; Lu, Y.; Ye, T.; Jiang, S.; Lin, L.; Lu, J. The Effect of Salt on the Gelling Properties and Protein Phosphorylation of Surimi-Crabmeat Mixed Gels. Gels 2022, 8, 10. [Google Scholar] [CrossRef] [PubMed]
- Steinsholm, S.; Oterhals, Å.; Thoresen, L.; Underhaug, J.; Kousoulaki, K.; Aspevik, T. Reduction in flavor-intense components in fish protein hydrolysates by membrane filtration. J. Food Sci. 2021, 86, 3855–3867. [Google Scholar] [CrossRef] [PubMed]
- Cardoso, P.G.; Gonçalves, O.; Carvalho, M.F.; Ozório, R.; Vaz-Pires, P. Seasonal Evaluation of Freshness Profile of Commercially Important Fish Species. Foods 2021, 10, 1567. [Google Scholar] [CrossRef]
- Syropoulou, F.; Parlapani, F.F.; Kakasis, S.; Nychas, G.-J.E.; Boziaris, I.S. Primary Processing and Storage Affect the Dominant Microbiota of Fresh and Chill-Stored Sea Bass Products. Foods 2021, 10, 671. [Google Scholar] [CrossRef]
- Sanjee, S.A.; Karim, M. Microbiological quality assessment of frozen fish and fish processing materials from Bangladesh. Int. J. Food Sci. 2016, 2016, 8605689. [Google Scholar] [CrossRef]
- Rashid, N.; Shafee, M.; Iqbal, S.; Samad, A.; Khan, S.; Hasni, M.; Rehman, Z.; Ullah, S.; Rehman, F.; Khan, G. Enterotoxigenic methicillin resistant Staphylococcus aureus contamination in salted fish from Gwadar Balochistan. Braz. J. Biol. 2021, 83, e247701. [Google Scholar] [CrossRef]





| Groups | Proximate Composition | |||||
|---|---|---|---|---|---|---|
| Moisture (%) | Ash (% fw) | Crude Fat (% fw) | Crude Protein (% fw) | Salinity (%) | Water Activity | |
| FM | 70.61 ± 0.36 a | 1.30 ± 0.09 b | 2.83 ± 0.03 c | 22.95 ± 0.09 c | 0.84 ± 0.03 c | 0.93 ± 0.01 a |
| SSMD-CON | 67.31 ± 0.36 c | 2.28 ± 0.09 a | 3.24 ± 0.02 b | 24.59 ± 0.27 b | 1.78 ± 0.03 a | 0.93 ± 0.01 a |
| SSDM-SAL | 68.03 ± 0.18 b | 2.32 ± 0.09 a | 3.18 ± 0.04 a | 25.68 ± 0.09 a | 1.19 ± 0.02 b | 0.92 ± 0.01 b |
| Fatty Acids | Experimental Groups | ||
|---|---|---|---|
| FM | SSDM-CON | SSDM-SAL | |
| Butyric acid (C4:0) | - | - | - |
| Caproic acid (C6:0) | - | - | - |
| Caprylic acid (C8:0) | - | - | - |
| Capric acid (C10:0) | - | - | - |
| UNDecanoic acid (C11:0) | - | - | - |
| Luric acid (C12:0) | - | - | - |
| Tridecanoic acid (C13:0) | - | - | - |
| Myristic acid (C14:0) | 3.41 ± 0.03 a | 3.17 ± 0.01 b | 2.10 ± 0.01 c |
| Pentadecanoic acid (C15:0) | 1.26 ± 0.02 a | 1.19 ± 0.10 a | 0.60 ± 0.03 b |
| Palmitic acid (C16:0) | 16.22 ± 0.85 a | 14.99 ± 1.36 a | 12.56 ± 1.23 b |
| Heptadecanoic acid (C17:0) | 23.41 ± 1.94 a | 22.45 ± 1.47 a | 25.25 ± 2.47 a |
| Stearic acid (C18:0) | 5.69 ± 0.06 c | 6.93 ± 0.15 a | 6.43 ± 0.02 b |
| Arachidic acid (C20:0) | - | - | - |
| Heneicosanoic acid (C21:0) | - | - | - |
| Behenic acid (C22:0) | - | - | - |
| Tricosanoic acid (C23:0) | 0.81 ± 0.01 c | 0.99 ± 0.01 b | 1.41 ± 0.01 a |
| Lignoceric acid (C24:0) | - | - | - |
| Total saturated fatty acid (SFAs) | 50.80 ± 2.91 a | 49.72 ± 3.10 a | 48.35 ± 3.77 a |
| Myristoleic acid (C14:1) | - | - | - |
| cis-10-Pentadecenoic acid (C15:1) | - | - | - |
| Palmitoleic acid (C16:1) | 10.39 ± 0.74 b | 12.66 ± 1.32 a | 6.65 ± 0.61 c |
| cis-10-Heptadecenoic acid (C17:1) | - | - | - |
| Elaidic acid (C18:1n9t) | - | - | - |
| Oleic acid (C18:1n9c) | 5.82 ± 0.21 b | 6.70 ± 0.25 a | 3.61 ± 0.25 c |
| cis-11-Eicosenoic acid (C20:1) | - | - | - |
| Erucic acid (C22:1n9) | - | - | - |
| Nervonic acid (C24:1) | - | - | - |
| Total monounsaturated fatty acid (MUFAs) | 16.21 ± 0.84 b | 19.36 ± 1.33 a | 10.26 ± 0.54 c |
| Linolelaidic acid (C18:2n6t) | - | - | - |
| Linoleic acid (C18:2n6c) | - | - | - |
| cis-11,14-Eicosadienoic acid (C20:2) | - | - | - |
| cis-13,16-Docosadienoic acid (C22:2) | - | - | - |
| ɣ-Linolenic acid (C18:3n6) | - | - | - |
| Linolenic acid (C18:3n3) | - | - | - |
| cis-8, 11, 14-Eicosatrienoic acid (C20:3n6) | - | - | - |
| cis-11,14,17-Eicosatienoic acid (C20:3n3) | - | - | - |
| Arachidonic acid (C20:4n6) | - | - | - |
| cis-5,8,11,14,17-Eicosapentaenoic acid (C20:5n3) | 28.29 ± 1.61 b | 26.62 ± 1.75 b | 36.00 ± 2.11 a |
| cis-4,7,10,13,16,19-Docosahexaenoic acid (C22:6n3) | 4.70 ± 0.09 b | 4.30 ± 0.01 c | 5.39 ± 0.11 a |
| Total polyunsaturated fatty acid (PUFAs) | 32.98 ± 1.92 b | 30.92 ± 2.18 b | 41.39 ± 1.11 a |
| PUFA to SFA ratio | 0.65 | 0.62 | 0.86 |
| Amino Acids | Experimental Groups | ||
|---|---|---|---|
| FM | SSDM-CON | SSDM-SAL | |
| Aspartic acid | 1.95 ± 0.02 a | 1.82 ± 0.02 b | 1.70 ± 0.02 c |
| Threonine | 0.94 ± 0.04 a | 0.89 ± 0.04 ab | 0.82 ± 0.02 b |
| Serine | 0.86 ± 0.02 a | 0.81 ± 0.02 b | 0.74 ± 0.02 c |
| Glutamic acid | 3.15 ± 0.03 a | 2.87 ± 0.04 b | 2.67 ± 0.04 c |
| Proline | 0.81 ± 0.01 a | 0.72 ± 0.02 b | 0.67 ± 0.02 c |
| Glycine | 1.09 ± 0.02 a | 0.91 ± 0.02 b | 0.84 ± 0.03 c |
| Alanine | 1.25 ± 0.02 a | 1.18 ± 0.05 b | 1.07 ± 0.03 c |
| Cystine | 0.08 ± 0.01 a | 0.05 ± 0.00 b | 0.05 ± 0.03 b |
| Valine | 0.99 ± 0.02 a | 0.92 ± 0.02 b | 0.87 ± 0.02 c |
| Methionine | 0.66 ± 0.02 a | 0.64 ± 0.02 a | 0.54 ± 0.02 b |
| Isoleucine | 0.90 ± 0.03 a | 0.86 ± 0.02 a | 0.79 ± 0.01 b |
| Leucine | 1.66 ± 0.02 a | 1.59 ± 0.04 b | 1.45 ± 0.02 c |
| Tyrosine | 0.74 ± 0.03 a | 0.73 ± 0.02 a | 0.65 ± 0.02 b |
| Phenylalanine | 0.83 ± 0.02 a | 0.82 ± 0.03 a | 0.75 ± 0.01 b |
| Histidine | 0.52 ± 0.02 a | 0.52 ± 0.02 a | 0.55 ± 0.02 b |
| Lysine | 1.76 ± 0.01 a | 1.57 ± 0.04 b | 1.54 ± 0.04 b |
| Arginine | 1.12 ± 0.02 a | 1.04 ± 0.03 b | 0.95 ± 0.04 c |
| Total | 19.31 ± 0.35 a | 17,94 ± 0.47 b | 16.65 ± 0.39 c |
| Free Amino Acids | Experimental Groups | ||
|---|---|---|---|
| FM | SSDM-CON | SSDM-SAL | |
| Phosphoserine | - | - | - |
| Taurine | 0.20 ± 0.01 a | 0.21 ± 0.00 a | 0.20 ± 0.00 a |
| Phosphoethanolamine | - | - | - |
| Urea | - | - | - |
| Aspartic acid | 0.01 ± 0.00 b | 0.01 ± 0.00 a | 0.01 ± 0.00 c |
| Hydroxyproline | - | - | - |
| Threonine | 0.02 ± 0.00 ab | 0.02 ± 0.00 b | 0.02 ± 0.00 c |
| serine | 0.02 ± 0.00 b | 0.03 ± 0.00 a | 0.01 ± 0.00 c |
| Asparagine | - | - | - |
| Glutamic acid | 0.01 ± 0.00 b | 0.03 ± 0.00 a | 0.01 ± 0.00 b |
| Sarcocine | - | - | - |
| α-aminoadipic acid | - | - | - |
| Proline | - | - | - |
| Glycine | 0.05 ± 0.00 c | 0.07 ± 0.00 a | 0.07 ± 0.00 b |
| Alanine | 0.07 ± 0.00 b | 0.07 ± 0.00 a | 0.04 ± 0.0 c |
| Citrulline | - | - | - |
| α-aminobutyric acid | - | - | - |
| Valine | 0.01 ± 0.00 b | 0.01 ± 0.00 a | 0.01 ± 0.00 c |
| Cystine | - | - | - |
| Methionine | 0.01 ± 0.00 a | 0.01 ± 0.00 a | 0.005 ± 0.00 b |
| Isoleucine | 0.01 ± 0.00 b | 0.01 ± 0.00 a | 0.005 ± 0.00 c |
| Leucine | 0.01 ± 0.00 b | 0.03 ± 0.00 a | 0.01 ± 0.00 c |
| Tyrosine | 0.01 ± 0.00 c | 0.01 ± 0.00 a | 0.01 ± 0.00 b |
| phenylalanine | - | - | - |
| β-alanine | - | - | 0.02 ± 0.00 NS |
| β-aminoisobutyric acid | - | - | - |
| γ-amino-n-butyric acid | - | - | - |
| Histidine | - | - | 0.09 ± 0.00 NS |
| 1-methylhistidine | - | - | - |
| 3-methylhistidine | - | - | - |
| Carnosine | - | - | - |
| Tryptopan | - | - | - |
| Hydroxylysine | - | - | - |
| Ornitine | - | - | 0.01 ± 0.00 NS |
| Lysine | 0.03 ± 0.00 b | 0.04 ± 0.00 a | 0.02 ± 0.00 b |
| Arginine | 0.01 ± 0.00 a | 0.01 ± 0.00 c | 0.01 ± 0.00 b |
| Total | 0.47 ± 0.02 b | 0.56 ± 0.02 a | 0.55 ± 0.02 a |
| Groups | Coliforms | E. coli | Vibrio parahaemolyticus | Staphylococcus aureus |
|---|---|---|---|---|
| FM | 4.23 ± 0.02 c | ND | ND | ND |
| SSDM-CON | 4.72 ± 0.01 a | ND | ND | ND |
| SSDM-SAL | 4.45 ± 0.02 b | ND | ND | ND |
Publisher’s Note: MDPI stays neutral with regard to jurisdictional claims in published maps and institutional affiliations. |
© 2022 by the authors. Licensee MDPI, Basel, Switzerland. This article is an open access article distributed under the terms and conditions of the Creative Commons Attribution (CC BY) license (https://creativecommons.org/licenses/by/4.0/).
Share and Cite
Jo, H.-G.; Chilakala, R.; Kim, M.-J.; Sin, Y.-S.; Lee, K.-S.; Cheong, S.-H. Assessment of the Effects of Salt and Salicornia herbacea L. on Physiochemical, Nutritional, and Quality Parameters for Extending the Shelf-Life of Semi-Dried Mullets (Chelon haematocheilus). Foods 2022, 11, 597. https://doi.org/10.3390/foods11040597
Jo H-G, Chilakala R, Kim M-J, Sin Y-S, Lee K-S, Cheong S-H. Assessment of the Effects of Salt and Salicornia herbacea L. on Physiochemical, Nutritional, and Quality Parameters for Extending the Shelf-Life of Semi-Dried Mullets (Chelon haematocheilus). Foods. 2022; 11(4):597. https://doi.org/10.3390/foods11040597
Chicago/Turabian StyleJo, Hee-Geun, Ramakrishna Chilakala, Min-Ju Kim, Yong-Sik Sin, Kyoung-Seon Lee, and Sun-Hee Cheong. 2022. "Assessment of the Effects of Salt and Salicornia herbacea L. on Physiochemical, Nutritional, and Quality Parameters for Extending the Shelf-Life of Semi-Dried Mullets (Chelon haematocheilus)" Foods 11, no. 4: 597. https://doi.org/10.3390/foods11040597
APA StyleJo, H.-G., Chilakala, R., Kim, M.-J., Sin, Y.-S., Lee, K.-S., & Cheong, S.-H. (2022). Assessment of the Effects of Salt and Salicornia herbacea L. on Physiochemical, Nutritional, and Quality Parameters for Extending the Shelf-Life of Semi-Dried Mullets (Chelon haematocheilus). Foods, 11(4), 597. https://doi.org/10.3390/foods11040597

