Multiplex PCR Identification of Aspergillus cristatus and Aspergillus chevalieri in Liupao Tea Based on Orphan Genes
Abstract
:1. Introduction
2. Materials and Methods
2.1. Sample Collection and Preparation
2.2. “Golden Flower” Fungi Isolation
2.3. PCR Amplification and DNA Sequencing
2.4. Phylogenetic Analysis
2.5. Orphan Genes Screening
2.6. Specific Primers Designing and Multiplex PCR Amplification
3. Results
3.1. PCR Success from Fungi Colonies
3.2. Identification of “Golden Flower” Fungi by Multilocus Sequence
3.3. Phylogenetic Analysis
3.4. Designing Primers Based on Orphan Genes
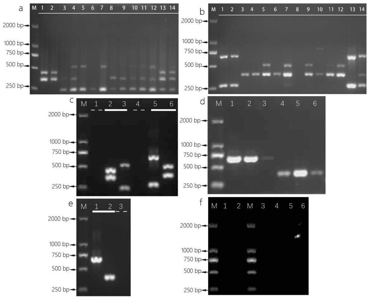
3.5. Multiplex PCR Amplification
4. Discussion
4.1. Advantages of Direct Colony PCR for Aspergillus
4.2. “Golden Flower” Fungi in Liupao Tea
4.3. Effectiveness of Multiplex PCR
4.4. Validity of Orphan Genes for Species Identification
5. Conclusions
Author Contributions
Funding
Institutional Review Board Statement
Informed Consent Statement
Data Availability Statement
Conflicts of Interest
References
- Chen, G.; Peng, Y.; Xie, M.; Xu, W.; Chen, C.; Zeng, X.; Liu, Z. A critical review of Fuzhuan brick tea: Processing, chemical constituents, health benefits and potential risk. Crit. Rev. Food Sci. Nutr. 2022. [Google Scholar] [CrossRef]
- Mao-Yun, L.; Yue, X.; Kai, Z.; Hong, G. Study on taste characteristics and microbial communities in Pingwu Fuzhuan brick tea and the correlation between microbiota composition and chemical metabolites. J. Food Sci. Technol. Mysore 2022, 59, 34–45. [Google Scholar]
- Yao, D.; Weirong, Y.; Chengcheng, Y.; Xingbin, Y. A comprehensive review on microbiome, aromas and flavors, chemical composition, nutrition and future prospects of Fuzhuan brick tea. Trends Food Sci. Technol. 2022, 119, 452–466. [Google Scholar]
- Li, Q.; Li, Y.; Luo, Y.; Xiao, L.; Wang, K.; Huang, J.; Liu, Z. Characterization of the key aroma compounds and microorganisms during the manufacturing process of Fu brick tea. LWT Food Sci. Technol. 2020, 127, 109355. [Google Scholar] [CrossRef]
- Rui, Y.; Wan, P.; Chen, G.; Xie, M.; Sun, Y.; Zeng, X.; Liu, Z. Analysis of bacterial and fungal communities by Illumina MiSeq platforms and characterization of Aspergillus cristatus in Fuzhuan brick tea. LWT Food Sci. Technol. 2019, 110, 168–174. [Google Scholar] [CrossRef]
- Wang, X.; Cui, Y.; Sang, C.; Wang, B.; Yuan, Y.; Liu, L.; Yuan, Y.; Yue, T. Fungi with potential probiotic properties isolated from Fuzhuan brick tea. Food Sci. Human Wellness. 2022, 11, 686–696. [Google Scholar] [CrossRef]
- Lu, X.; Jing, Y.; Zhang, N.; Cao, Y. Eurotium cristatum, a probiotic fungus from Fuzhuan brick tea, and its polysaccharides ameliorated DSS-induced ulcerative colitis in mice by modulating the gut microbiota. J. Agric. Food Chem. 2022, 70, 2957–2967. [Google Scholar] [CrossRef]
- Jia-li, L.; Sheng, L.; Yan-nan, M. Morphological analysis of the spore and molecular identification of the dominant species Eurotium in Fuzhuan tea of Shaanxi province. J. Shaanxi Univ. Sci. Tech. 2019, 37, 45–51. [Google Scholar]
- Haas, D.; Pfeifer, B.; Reiterich, C.; Partenheimer, R.; Reck, B.; Buzina, W. Identification and quantification of fungi and mycotoxins from pu-erh tea. Int. J. Food Microbiol. 2013, 166, 316–322. [Google Scholar] [CrossRef]
- Sedova, I.; Kiseleva, M.; Tutelyan, V. Mycotoxins in tea: Occurrence, methods of determination and risk evaluation. Toxins 2018, 10, 444. [Google Scholar] [CrossRef] [Green Version]
- Wang, Q.P.; Sarkanj, B.; Jurasovic, J.; Chisti, Y.; Sulyok, M.; Gong, J.S.; Sirisansaneeyakul, S.; Komes, D. Evaluation of microbial toxins, trace elements and sensory properties of a high-theabrownins instant pu-erh tea produced using Aspergillus tubingensis via submerged fermentation. Int. J. Food Sci. Technol. 2019, 54, 1541–1549. [Google Scholar] [CrossRef]
- Ye, Z.L.; Wang, X.; Fu, R.Y.; Yan, H.B.; Han, S.Q.; Gerelt, K.; Cui, P.; Chen, J.J.; Qi, K.Z.; Zhou, Y. Determination of six groups of mycotoxins in Chinese dark tea and the associated risk assessment. Environ. Pollut. 2020, 261, 114180. [Google Scholar] [CrossRef]
- Li, Z.; Mao, Y.; Teng, J.; Xia, N.; Huang, L.; Wei, B.; Chen, Q. Evaluation of mycoflora and citrinin occurrence in Chinese Liupao tea. J. Agric. Food Chem. 2020, 68, 12116–12123. [Google Scholar] [CrossRef]
- Ge, Y.Y.; Wang, Y.C.; Liu, Y.X.; Tan, Y.M.; Ren, X.X.; Zhang, X.Y.; Hyde, K.D.; Liu, Y.F.; Liu, Z.Y. Comparative genomic and transcriptomic analyses of the Fuzhuan brick tea-fermentation fungus Aspergillus cristatus. BMC Genomics 2016, 17, 428. [Google Scholar] [CrossRef] [Green Version]
- Wei, Y.M.; Li, L.; Liu, Y.; Xiang, S.N.; Zhang, H.Y.; Yi, L.Z.; Shang, Y.; Xu, W.T. Identification techniques and detection methods of edible fungi species. Food Chem. 2022, 374, 131803. [Google Scholar] [CrossRef]
- Frisvad, J.C.; Larsen, T.O.; de Vries, R.; Meijer, M.; Houbraken, J.; Cabanes, F.J.; Ehrlich, K.; Samson, R.A. Secondary metabolite profiling, growth profiles and other tools for species recognition and important Aspergillus mycotoxins. Stud. Mycol. 2007, 59, 31–37. [Google Scholar] [CrossRef]
- He, Z.; Luo, T.; Fan, F.; Zhang, P.; Chen, Z. Universal identification of lethal amanitas by using Hyperbranched rolling circle amplification based on alpha-amanitin gene sequences. Food Chem. 2019, 298, 125031. [Google Scholar] [CrossRef]
- Esteve-Zarzoso, B.; Belloch, C.; Uruburu, F.; Querol, A. Identification of yeasts by RFLP analysis of the 5.8s RNA gene and the two ribosomal internal transcribed spacers. Int. J. Syst. Bacteriol. 1999, 49, 329–337. [Google Scholar] [CrossRef] [Green Version]
- Ammer-Herrmenau, C.; Pfisterer, N.; van den Berg, T.; Gavrilova, I.; Amanzada, A.; Singh, S.K.; Khalil, A.; Alili, R.; Belda, E.; Clement, K.; et al. Comprehensive wet-bench and bioinformatics workflow for complex microbiota using Oxford Nanopore Technologies. mSystems 2021, 6, e00750-21. [Google Scholar] [CrossRef]
- Vesth, T.C.; Nybo, J.L.; Theobald, S.; Frisvad, J.C.; Larsen, T.O.; Nielsen, K.F.; Hoof, J.B.; Brandl, J.; Salamov, A.; Riley, R.; et al. Investigation of inter- and intraspecies variation through genome sequencing of Aspergillus section Nigri. Nature Genet. 2018, 50, 1688. [Google Scholar] [CrossRef] [Green Version]
- Li, F.; Ye, Q.; Chen, M.; Shang, Y.; Zhang, J.; Ding, Y.; Xue, L.; Wu, S.; Wang, J.; Pang, R.; et al. Real-time PCR identification of Listeria monocytogenes serotype 4c using primers for novel target genes obtained by comparative genomic analysis. LWT Food Sci. Technol. 2021, 138, 110774. [Google Scholar] [CrossRef]
- Zhang, C.; Yu, X.; Wang, D.; Gui, Y.; Wang, C.; Li, Q.; Wang, J.; Yin, B.; Pan, Z.; Gu, R. Rapid strain-specific identification of two Lactobacillus rhamnosus strains using PCR based on gene family analysis. LWT Food Sci. Technol. 2021, 146, 111395. [Google Scholar] [CrossRef]
- Luo, G.; Mitchell, T.G. Rapid identification of pathogenic fungi directly from cultures by using multiplex PCR. J. Clin. Microbiol. 2002, 40, 2860–2865. [Google Scholar] [CrossRef] [PubMed] [Green Version]
- Peterson, S.W. Phylogenetic analysis of Aspergillus species using DNA sequences from four loci. Mycologia 2008, 100, 205–226. [Google Scholar] [CrossRef]
- Xu, A.; Wang, Y.; Wen, J.; Liu, P.; Liu, Z.; Li, Z. Fungal community associated with fermentation and storage of Fuzhuan brick-tea. Int. J. Food Microbiol. 2011, 146, 14–22. [Google Scholar] [CrossRef]
- Baldin, C.; Soliman, S.S.M.; Jeon, H.H.; Alkhazraji, S.; Gebremariam, T.; Gu, Y.; Bruno, V.M.; Cornely, O.A.; Leather, H.L.; Sugrue, M.W.; et al. PCR-based approach targeting mucorales-specific gene family for diagnosis of mucormycosis. J. Clin. Microbiol. 2018, 56, e00746-18. [Google Scholar] [CrossRef] [Green Version]
- Prabh, N.; Roedelsperger, C. Are orphan genes protein-coding, prediction artifacts, or non-coding RNAs? BMC Bioinform. 2016, 17, 226. [Google Scholar] [CrossRef] [PubMed] [Green Version]
- Tautz, D.; Domazet-Loso, T. The evolutionary origin of orphan genes. Nat. Rev. Genet. 2011, 12, 692–702. [Google Scholar] [CrossRef] [PubMed]
- Li, Q.; Huang, J.; Li, Y.; Zhang, Y.; Luo, Y.; Chen, Y.; Lin, H.; Wang, K.; Liu, Z. Fungal community succession and major components change during manufacturing process of Fu brick tea. Sci. Rep. 2017, 7, 6947. [Google Scholar] [CrossRef]
- Walch, G.; Knapp, M.; Rainer, G.; Peintner, U. Colony-PCR is a rapid method for DNA amplification of hyphomycetes. J. Fungi 2016, 2, 12. [Google Scholar] [CrossRef] [Green Version]
- Liu, A.; Zhang, T.; Lin, L.; Xu, W.; Hu, Y.; Huang, T.; Xiao, Y.P.; Xiao, W.J.; Gong, Z.H. Luminescence and Fahua-fermentation qualities of an autofluorescent microorganism from Fu brick tea. J. Food Process Preserv. 2022, 46, e16202. [Google Scholar] [CrossRef]
- Larkin, M.A.; Blackshields, G.; Brown, N.P.; Chenna, R.; McGettigan, P.A.; McWilliam, H.; Valentin, F.; Wallace, I.M.; Wilm, A.; Lopez, R.; et al. Clustal W and Clustal X version 2.0. Bioinformatics 2007, 23, 2947–2948. [Google Scholar] [CrossRef] [PubMed] [Green Version]
- Swofford, D. PAUP: Phylogenetic Analysis Using Parsimony (and Other Methods), Version 4.0b10; Sinauer Associates: Sunderland, MA, USA, 2003. [Google Scholar]
- Lee, M.S. Uninformative characters and apparent conflict between molecules and morphology. Mol. Biol. Evol. 2001, 18, 676–680. [Google Scholar] [CrossRef] [PubMed] [Green Version]
- Pelser, P.B.; Kennedy, A.H.; Tepe, E.J.; Shidler, J.B.; Nordenstam, B.; Kadereit, J.W.; Watson, L.E. Patterns and causes of incongruence between plastid and nuclear senecioneae (asteraceae) phylogenies. Am. J. Bot. 2010, 97, 856–873. [Google Scholar] [CrossRef] [Green Version]
- Kumar, S.; Stecher, G.; Li, M.; Knyaz, C.; Tamura, K. Mega x: Molecular evolutionary genetics analysis across computing platforms. Mol. Biol. Evol. 2018, 35, 1547–1549. [Google Scholar] [CrossRef] [PubMed]
- Jiang, C.; Hei, R.; Yang, Y.; Zhang, S.; Wang, Q.; Wang, W.; Zhang, Q.; Yan, M.; Zhu, G.; Huang, P.; et al. An orphan protein of Fusarium graminearum modulates host immunity by mediating proteasomal degradation of TaSnRK1α. Nat. Commun. 2020, 11, 4382. [Google Scholar] [CrossRef] [PubMed]
- Chen, C.; Chen, H.; Zhang, Y.; Thomas, H.R.; Frank, M.H.; He, Y.; Xia, R. TBtools: An integrative toolkit developed for interactive analyses of big biological data. Mol. Plant. 2020, 13, 1194–1202. [Google Scholar] [CrossRef] [PubMed]
- AlShahni, M.M.; Makimura, K.; Yamada, T.; Satoh, K.; Ishihara, Y.; Takatori, K.; Sawada, T. Direct colony PCR of several medically important fungi using Ampdirect (R) Plus. Jpn. J. Infect. Dis. 2009, 62, 164–167. [Google Scholar]
- Pancher, M.; Ceol, M.; Corneo, P.E.; Longa, C.M.O.; Yousaf, S.; Pertot, I.; Campisano, A. Fungal endophytic communities in grapevines (Vitis vinifera L.) respond to crop management. Appl. Environ. Microbiol. 2012, 78, 4308–4317. [Google Scholar] [CrossRef] [PubMed] [Green Version]
- Ortiz-Lemus, J.F.; Campoy, S.; Martin, J.F. Biological control of mites by xerophileeurotiumspecies isolated from the surface of dry cured ham and dry beef cecina. J. Appl. Microbiol. 2021, 130, 665–676. [Google Scholar] [CrossRef]
- Wen, R.X.; Li, X.A.; Han, G.; Chen, Q.; Kong, B.H. Fungal community succession and volatile compound dynamics in harbin dry sausage during fermentation. Food Microbiol. 2021, 99, 103764. [Google Scholar] [CrossRef] [PubMed]
- Wen, R.X.; Sun, F.D.; Li, X.A.; Chen, Q.; Kong, B.H. The potential correlations between the fungal communities and volatile compounds of traditional dry sausages from Northeast China. Food Microbiol. 2021, 98, 103787. [Google Scholar] [CrossRef] [PubMed]
- Hu, Z.-Y.; Liu, S.-C.; Xu, Z.-G.; Liu, S.-Q.; Li, T.-T.; Yu, S.-L.; Zhao, W.-P. Comparison of Aspergillus chevalieri and related species in dark tea at different aspects: Morphology, enzyme activity and mitochondrial genome. J. Food Process Preserv. 2021, 45, e15903. [Google Scholar] [CrossRef]
- Mao, Y.; Wei, B.; Teng, J.; Huang, L.; Xia, N. Analyses of fungal community by Illumina MiSeq platforms and characterization of Eurotium species on Liupao tea, a distinctive post fermented tea from China. Food Res. Int. 2017, 99, 641–649. [Google Scholar] [CrossRef]
- Li, Z.; Huang, L.; Xia, N.; Teng, J.; Wei, B.; Peng, D. Amount of Eurotium sp. in Chinese Liupao tea and its relationship with tea quality. J. Appl. Microbiol. 2020, 128, 1658–1668. [Google Scholar] [CrossRef]
- Li, Q.; Xin, H.; Zheng, X.; Xu, Y.; Lai, X.; Teng, C.; Wu, W.; Huang, J.; Liu, Z. Characterization of key aroma compounds and core functional microorganisms in different aroma types of Liupao tea. Food Res. Int. 2022, 152, 110925. [Google Scholar] [CrossRef]
- Zhu, L.; Tan, Y.; Ge, Y.; Wang, Y.; Liu, Y.; Liu, Z. Detection of “golden flower” (Eurotium cristatum) in the producing process of Fuzhuan tea. Genom. Appl. Biol. 2016, 35, 124–129. [Google Scholar]
- Lizeng, C.; Yuanfeng, W.; Jiarong, Z.; Lurong, X.; Hui, Z.; Kang, W.; Lanlan, P.; Jie, Z.; Zhonghua, L.; Xinlin, W. Integration of non-targeted metabolomics and E-tongue evaluation reveals the chemical variation and taste characteristics of five typical dark teas. LWT Food Sci. Technol. 2021, 150, 111875. [Google Scholar]
- Ogunjimi, A.A.; Choudary, P.V. Adsorption of endogenous polyphenols relieves the inhibition by fruit juices and fresh produce of immuno-PCR detection of Escherichia coli O157:H7. FEMS Immunol. Med. Microbiol. 1999, 23, 213–220. [Google Scholar] [CrossRef]
- Zhao, R.; Wu, D.; Jiang, Y.; Zhu, Q. Isolation and molecular identification of “jinhua” fungi on the Fuzhuan tea produced in different regions. J. Hunan Agric. Univ. Nat. Sci. 2016, 42, 592–600. [Google Scholar]
- Raja, H.A.; Miller, A.N.; Pearce, C.J.; Oberlies, N.H. Fungal identification using molecular tools: A primer for the natural products research community. J. Nat. Prod. 2017, 80, 756–770. [Google Scholar] [CrossRef]
- Abarca, M.L.; Bragulat, M.R.; Castella, G.; Cabanes, F.J. Ochratoxin a production by strains of Aspergillus niger var. Niger. Appl. Environ. Microbiol. 1994, 60, 2650–2652. [Google Scholar] [CrossRef] [Green Version]
- Noonim, P.; Mahakarnchanakul, W.; Nielsen, K.F.; Frisvad, J.C.; Samson, R.A. Fumonisin B2 production by Aspergillus niger in Thai coffee beans. Food Addit. Contam. Part A Chem. 2009, 26, 94–100. [Google Scholar] [CrossRef]
- Frisvad, J.C.; Smedsgaard, J.; Samson, R.A.; Larsen, T.O.; Thrane, U. Fumonisin B-2 production by Aspergillus niger. J. Agric. Food Chem. 2007, 55, 9727–9732. [Google Scholar] [CrossRef]
- Mogensen, J.M.; Frisvad, J.C.; Thrane, U.; Nielsen, K.F. Production of fumonisin B-2 and B-4 by Aspergillus niger on grapes and raisins. J. Agric. Food Chem. 2010, 58, 954–958. [Google Scholar] [CrossRef]
- Bennett, J.W.; Klich, M. Mycotoxins. Clin. Microbiol. Rev. 2003, 16, 497–516. [Google Scholar] [CrossRef] [Green Version]




| ID | Fungi Isolated | Tea Sample | District | Manufacturer |
|---|---|---|---|---|
| L1 | A. chevalieri | Liupao tea | Guangxi | Guangxi Wuzhou Tea Factory Co., Ltd. |
| L2 | A. chevalieri | Liupao tea | Guangxi | Guangxi Wuzhou Maosheng Tea Co., Ltd. |
| L3 | A. cristatus | Liupao tea | Guangxi | Guangxi Wuzhou Tea Factory Co., Ltd. |
| L4 | A. cristatus | Liupao tea | Guangxi | Guangxi Wuzhou Maosheng Tea Co., Ltd. |
| L5 | A. pseudoglaucus | Liupao tea | Guangxi | Wuzhou Chinatea Tea Co., Ltd. |
| L6 | A. pseudoglaucus | Liupao tea | Guangxi | Wuzhou Chinatea Tea Co., Ltd. |
| H1 | A. cristatus | Fu brick tea | Hunan | Hunan Yiqingyuan Tea Co., Ltd. |
| H2 | A. cristatus | Fu brick tea | Hunan | Yiyang Guanlongyu Black Tea Development Co., Ltd. |
| H3 | A. cristatus | Fu brick tea | Hunan | Chinatea Hunan Anhua First Tea Factory Co., Ltd. |
| H4 | A. cristatus | Fu brick tea | Hunan | Hunan Baishaxi Tea Factory Co., Ltd. |
| H5 | A. cristatus | Fu brick tea | Hunan | Yiyang Guanlongyu Black Tea Development Co., Ltd. |
| H6 | A. cristatus | Fu brick tea | Hunan | Hunan Yiyang Tea Factory Co., Ltd. |
| H7 | A. chevalieri | Fu brick tea | Hunan | Hunan Yiyang Tea Factory Co., Ltd. |
| H8 | A. cristatus | Fu brick tea | Hunan | Hunan Yiyang Tea Factory Co., Ltd. |
| S1 | A. cristatus | Fu brick tea | Shaanxi | Xianyang Jingwei Fucha Tea Co., Ltd. |
| Z1 | A. cristatus | Fu brick tea | Zhejiang | Zhejiang Wuyi Camel Jiulong Brick Tea Co., Ltd. |
| M1 | L2 + L3 | Liupao tea | Guangxi | Artificial microbial communities |
| M2 | L4 + L1 | Liupao tea | Guangxi | Artificial microbial communities |
| Name | Sequence | Expected Amplification Length/bp | Assigned Set |
|---|---|---|---|
| for Aspergillus chevalieri | |||
| aOP1F | TTCGGCGGTATAGACTTCGTAAGACA | 274 | 2 |
| aOP1R | GGTGACCAAGTAGTAGGCAGCATCT | ||
| aOP2F | CCTGTGAGGCTCTGGCGTAAGTATT | 349 | 1 |
| aOP2R | CTGCTCATCATCTTCCTGTCCACCA | ||
| aOP3F | AGATCGCTCCACGATTCTGCTCTG | 447 | 1 |
| aOP3R | TTGGTTGCCAGTCTGCTGATAGGAA | ||
| aOP4F | AACATGAACATCGACAGCCCACAAAG | 659 | 2 |
| aOP4R | GCATAGTCCTCCCGTCCAGTAAGC | ||
| for Aspergillus cristatus | |||
| iOP1F | CACCTGGAAGACCGACACCGAATC | 242 | 1 |
| iOP1R | TCATTGGCGAGTGGAAGGACAACAA | ||
| iOP2F | ATGTCTCCAACCTTGTCCAGCACTT | 383 | 2 |
| iOP2R | TGATGTATCTGAGTTCGGCGAGAGTG | ||
| iOP3F | ATCCGATGCCATTGTCTGTGTCTTG | 529 | 1 |
| iOP3R | GACCAGGCTATGGAACCTAACGAGAA | ||
| iOP4F | GTCTAACTGCCACTGCTCGAATATGC | 506 | 2 |
| iOP4R | TCACTGACACTCTGCGAACGATACTT | ||
| Primer ID | Genome Source | Non-Specific Amplification Length/bp |
|---|---|---|
| aOP2 | Aspergillus niger | 1,303,340 |
| aOP2 | Aspergillus niger | 951,397 |
| aOP2 | Aspergillus flavus | 2,083,709 |
| aOP2 | Aspergillus fumigatus | 2,267,588 |
| aOP4 | Aspergillus chevalieri | 1,739,704 |
| iOP1 | Aspergillus flavus | 434,906 |
| iOP1 | Aspergillus flavus | 205,828 |
| iOP1 | Aspergillus fumigatus | 2,786,963 |
| iOP1 | Aspergillus fumigatus | 3,164,056 |
| iOP1 | Aspergillus nidulans | 37,955 |
| iOP2 | Aspergillus flavus | 1,388,062 |
| iOP2 | Aspergillus_cristatus | 1,716,279 |
Publisher’s Note: MDPI stays neutral with regard to jurisdictional claims in published maps and institutional affiliations. |
© 2022 by the authors. Licensee MDPI, Basel, Switzerland. This article is an open access article distributed under the terms and conditions of the Creative Commons Attribution (CC BY) license (https://creativecommons.org/licenses/by/4.0/).
Share and Cite
Wang, Z.; Jin, Q.; Li, Q.; Ou, X.; Li, S.; Liu, Z.; Huang, J. Multiplex PCR Identification of Aspergillus cristatus and Aspergillus chevalieri in Liupao Tea Based on Orphan Genes. Foods 2022, 11, 2217. https://doi.org/10.3390/foods11152217
Wang Z, Jin Q, Li Q, Ou X, Li S, Liu Z, Huang J. Multiplex PCR Identification of Aspergillus cristatus and Aspergillus chevalieri in Liupao Tea Based on Orphan Genes. Foods. 2022; 11(15):2217. https://doi.org/10.3390/foods11152217
Chicago/Turabian StyleWang, Zhong, Qifang Jin, Qin Li, Xingchang Ou, Shi Li, Zhonghua Liu, and Jian’an Huang. 2022. "Multiplex PCR Identification of Aspergillus cristatus and Aspergillus chevalieri in Liupao Tea Based on Orphan Genes" Foods 11, no. 15: 2217. https://doi.org/10.3390/foods11152217
APA StyleWang, Z., Jin, Q., Li, Q., Ou, X., Li, S., Liu, Z., & Huang, J. (2022). Multiplex PCR Identification of Aspergillus cristatus and Aspergillus chevalieri in Liupao Tea Based on Orphan Genes. Foods, 11(15), 2217. https://doi.org/10.3390/foods11152217

