Anti-Diabetic Activity of Polysaccharides from Auricularia cornea var. Li.
Abstract
:1. Introduction
2. Materials and Methods
2.1. Materials and Reagents
2.2. Extraction of ACP
2.3. Monosaccharide Compositions of ACP
2.4. Animal Experimental Design
2.5. Determination of Visceral Indexes
2.6. Biochemical Analysis
2.7. Preparation of Tissue Hematoxylin Eosin (HE) Stained Sections
2.8. Statistical Analysis
3. Results
3.1. Extraction Rate, Purity, and Monosaccharide Composition of ACP
3.2. Body Weight and Feed Intake
3.2.1. Effects of ACP on Body Weight in DM II Mice
3.2.2. Effects of ACP on Feed Intake in DM II Mice
3.3. Blood Analysis
3.3.1. Effect of ACP on Blood Glucose (GLU) in Mice
3.3.2. Effects of ACP on Blood Lipid Related Indexes in DM II
3.3.3. Effects of ACP on SOD in DM II Mice
3.3.4. Effect of ACP on Liver Glycogen Level in Mice
3.3.5. Effect of ACP on Insulin Level in Mice
3.4. Body Tissues
3.4.1. Analysis of Organ Index
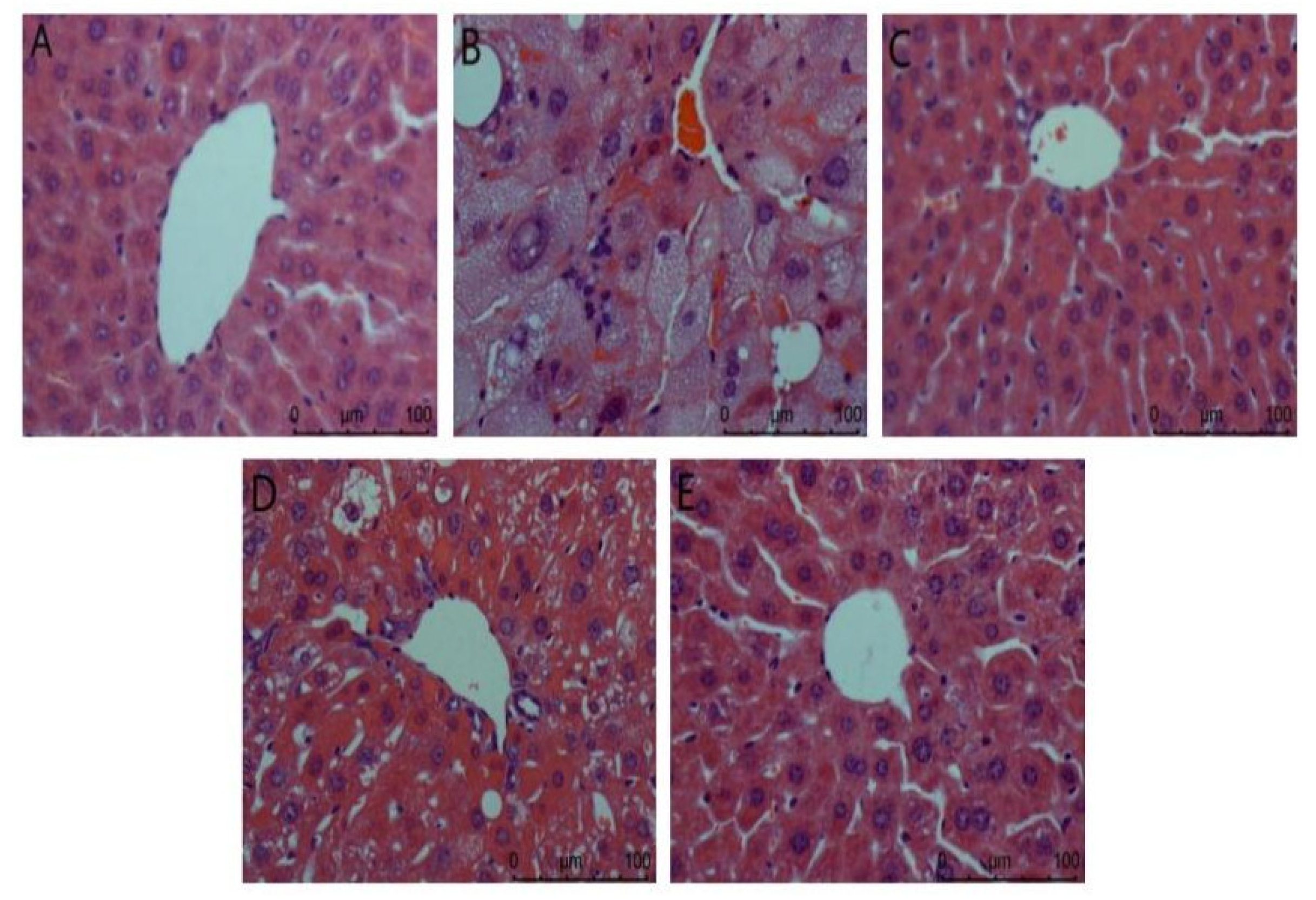
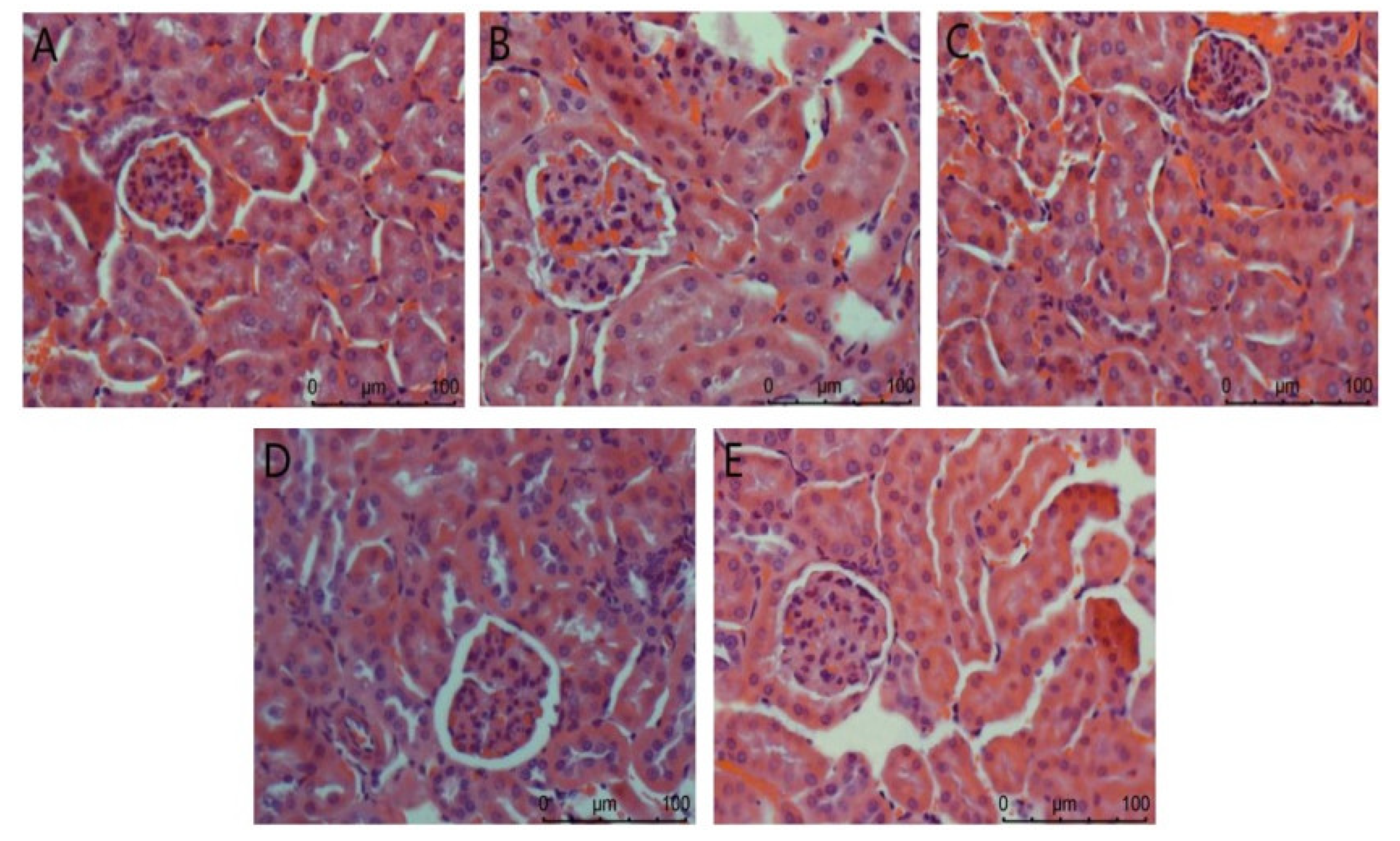
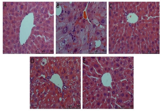
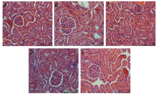
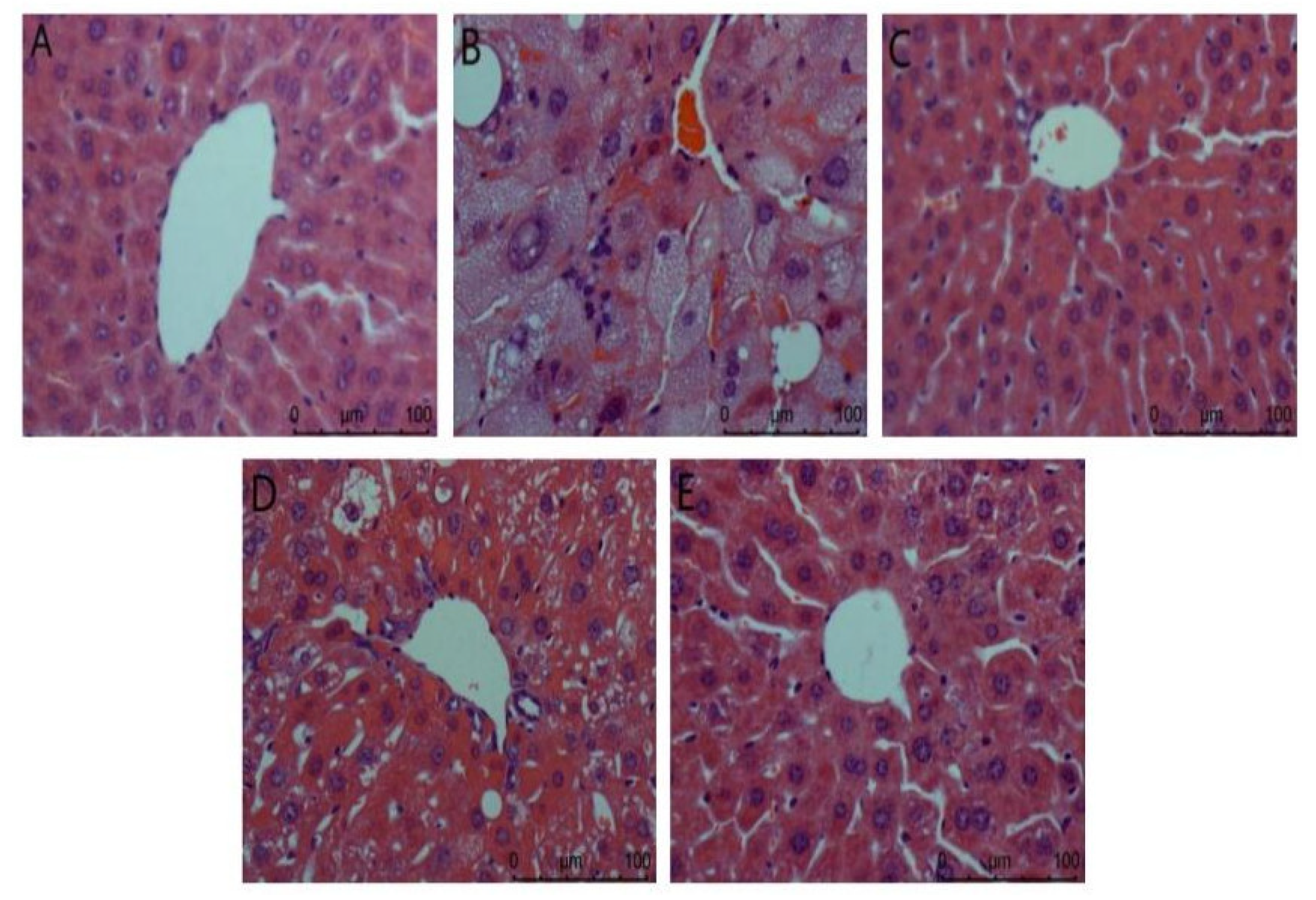
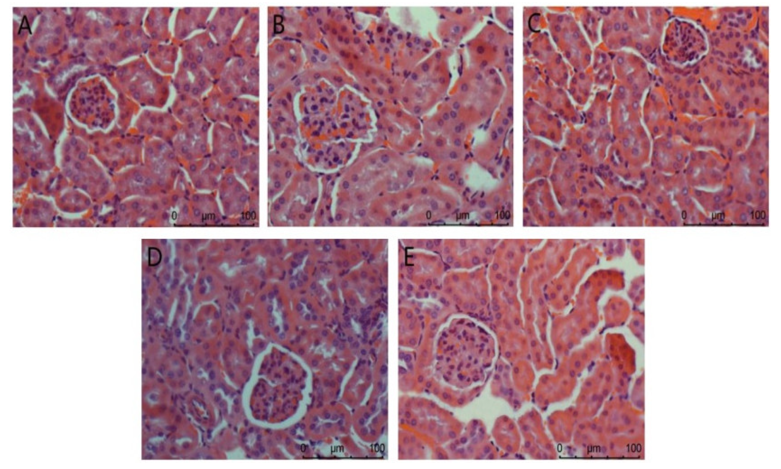
3.4.2. Effects of ACP on Organs of DM II Mice
- (1)
- Liver
- (2)
- Kidney
4. Discussion
5. Conclusions
Author Contributions
Funding
Institutional Review Board Statement
Informed Consent Statement
Data Availability Statement
Conflicts of Interest
References
- Song, L.Z.; Zhu, L.Y.; Gao, Y.S.; Li, S.F.; Zhang, Y.J. Structural Characteristics and Hypoglycemic Activity of Polysaccharides from Green Tea Leaves. Food Sci. 2018, 39, 169–175. [Google Scholar]
- Wang, J.; Hu, W.; Li, L.; Huang, X.; Liu, Y.; Wang, D.; Teng, L. Antidiabetic activities of polysaccharides separated from Inonotus obliquus via the modulation of oxidative stress in mice with streptozotocin-induced diabetes. PLoS ONE 2017, 12, e0180476. [Google Scholar] [CrossRef] [PubMed]
- Yang, Y.G.; Wang, D.D.; Zhang, Y.Q.; Wang, M.X. Effects of Hericium erinaceus Polysaccharide on the Content of Short-chain Fatty Acids in the Intestine of Ulcerative Colitis Model Rats. China Pharm. 2019, 30, 2763–2767. [Google Scholar]
- Yan, Y.L. Antioxidation and Anti-aging Effects of Polysaccharides from Zymotic Fruit Bodies of Morchella. Edible Fungi China 2020, 39, 42–45+60. [Google Scholar]
- Xu, Y.J. Anti-fatigue and Antioxidant Effects of Pleurotus nebrodensis Polysaccharideon Exhaustive Exercise Rats. Edible Fungi China 2020, 39, 49–51. [Google Scholar]
- Zhang, G.Z.; Zhang, S.H.; Zhang, Y.F.; Shen, S.K.; Fan, Y.S. Hypoglycemic Effect of Pleurotus eryngii Polysaccharides on Diabetic Mice. Edible Fungi China 2019, 38, 38–40+57. [Google Scholar]
- Duan, Y.H.; Xv, J.; Lu, X.C.; Li, R.S.; An, L.P. Effect of Coprinus comatus polysaccharide on hypoglycemia in the streptozotocin-induced diabetic rats. Chin. J. Comp. Med. 2019, 29, 76–81. [Google Scholar]
- Gao, Y.J.; Zhang, J.Q.; Wang, J.J.; Wu, W.W. Study on hypoglycemic effect of Inonotus obliquus polysaccharide oral liquid. Food Sci. Technol. 2010, 35, 93–95+99. [Google Scholar]
- Miao, J.; He, X.B.; Xv, J.C.; Lin, S.X.; Liang, X.W. Protective effect of Ganoderma lucidum polysaccharide on lipopolysaccharide induced mastitis in mice. Jiangsu Agric. Sci. 2019, 47, 197–200. [Google Scholar]
- Xie, Z.L.; Sun, X.Y.; Zhao, X.G.; Gao, S.R.; Wang, S.M. Effect of Pleurotus ostreatus ginseng bacterial polysaccharide on preventing hyperlipidemia in mice. Edible Fungi 2014, 36, 70–71. [Google Scholar]
- Zheng, Q.R.; Zhang, H.; Li, W.F.; Tao, W.; Zhou, F.; Gao, X.X. Effect of Boletus edulis polysaccharides on liver protection to CC14 induced acute hepatic damage mice. Food Mach. 2019, 35, 141–145. [Google Scholar]
- Mandal, E.K.; Maity, S.; Maity, S.K.; Gantait, S.; Maiti, T.K.; Maiti, S.R.; Sikdar, S.S. Islam Structural characterization of an immunoenhancing cytotoxic heteroglycan isolated from an edible mushroom Calocybe indica var. APK2. Carbohydr. Polym. 2011, 346, 2237–2243. [Google Scholar] [CrossRef] [PubMed]
- Maity, P.; Sen, I.K.; Chakraborty, I.; Mondal, S.; Maity, G.N. Biologically active polysaccharide from edible mushrooms: A review. Int. J. Biol. Macromol. 2021, 172, 408–417. [Google Scholar] [CrossRef] [PubMed]
- Khursheed, R.; Singh, S.K.; Wadhwa, S.; Gulati, M.; Awasthi, A. Therapeutic potential of mushrooms in diabetes mellitus: Role of polysaccharides. Int. J. Biol. Macromol. 2020, 164, 1194–1205. [Google Scholar] [CrossRef] [PubMed]
- De Silva, D.D.; Rapior, S.; Hyd, K.D.; Bahkali, A.H. Medicinal mushrooms in prevention and control of diabetes mellitus. Fungal Divers. 2012, 56, 1–29. [Google Scholar] [CrossRef]
- Si, F.L.; Liu, X.Y.; Deng, J.L. Optimization of extraction process and determination of physicochemical properties of dietary fiber from yumuer root. Food Ferment. Ind. 2019, 45, 209–214. [Google Scholar]
- Jin, F.S. Process Optimization on the Extraction of White Auricularia Polysaccharide and Preparation of Anti-Fatigue Beverage of White Auricularia; Jilin Agricultural University: Changchun, China, 2016. [Google Scholar]
- Wang, X.X. Antioxidant, Anti-Inflammatory and Hepatoprotective Effects of Fruit Body Polysaccharides from Auricularia Cornea; Shandong Agricultural University: Taian, China, 2019. [Google Scholar]
- Wang, Y.; Guo, M. Purification and structural characterization of polysaccharides isolated from auricularia cornea var. li. Carbohydr. Polym. 2019, 230, 115680. [Google Scholar] [CrossRef]
- Bradford, M.M. A rapid and sensitive method for the quantitation of microgram quantities of protein utilizing the principle of protein-dye binding. Anal. Biochem. 1976, 72, 248–254. [Google Scholar] [CrossRef]
- Zhu, Y.; Li, Q.; Mao, G.; Zou, Y.; Feng, W.; Zheng, D.; Wang, W.; Zhou, L.; Zhang, T.; Yang, J.; et al. Optimization of enzyme-assisted extraction and characterization of polysaccharides from Hericium erinaceus. Carbohydr. Polym. 2014, 101, 606–613. [Google Scholar] [CrossRef]
- Miao, Y.Z.; Lin, Q.; Cao, Y.; He, G.H.; Qiao, D.R.; Cao, Y. Extraction of water-soluble polysaccharides (WSPS) from Chinese truffle and its application in frozen yogurt. Carbohydr. Polym. 2011, 86, 566–573. [Google Scholar] [CrossRef]
- Jahanbin, K.; Abbasian, A.; Ahang, M. Isolation, purification and structural characterization of a new water-soluble polysaccharide from Eremurus stenophyllus (boiss. & buhse) baker roots. Carbohydr. Polym. 2017, 178, 386–393. [Google Scholar] [PubMed]
- Xu, Y.; Zhang, X.; Yan, X.H.; Zhang, J.L.; Wang, L.Y.; Xue, H.; Jiang, G.C.; Ma, X.T.; Liu, X.J. Characterization, hypolipidemic and antioxidant activities of degraded polysaccharides from Ganoderma lucidum. Int. J. Biol. Macromol. 2019, 135, 706–716. [Google Scholar] [CrossRef] [PubMed]
- Jin, R.; Guo, Y.; Xu, B.; Wang, H.; Yuan, C. Physicochemical properties of polysaccharides separated from Camellia oleifera Abel seed cake and its hypoglycemic activity on streptozotocin-induced diabetic mice. Int. J. Biol. Macromol. 2019, 125, 1075–1083. [Google Scholar] [CrossRef] [PubMed]
- Chatterjee, S.; Khunti, K.; Davies, M.J. Type 2 diabetes. Lancet 2017, 389, 2239–2251. [Google Scholar] [CrossRef]
- Xie, S.Z.; Zhang, W.J.; Liu, W.; Bai, J.B.; Xie, S.L.; Wang, T.; Xu, G.B.; Wu, D.L. Physicochemical characterization and hypoglycemic potential of a novel polysaccharide from Polygonatum sibiricum Red through PI3K/Akt mediated signaling pathway. J. Funct. Foods 2022, 93, 105080. [Google Scholar] [CrossRef]
- Zhang, C.; Zhang, L.; Liu, H.; Zhang, J.; Hu, C.; Jia, L. Antioxidation, anti-hyperglycaemia and renoprotective effects of extracellular polysaccharides from Pleurotus eryngii SI-04. Int. J. Biol. Macromol. 2018, 219, 219–228. [Google Scholar] [CrossRef]
- Yao, D.; Shi, W.; Gou, Y.; Zhou, X.; Aw, T.Y.; Zhou, Y.; Liu, Z. Fatty acid-mediated intracellular iron translocation: A synergistic mechanism of oxidative injury. Free Radic. Biol. Med. 2005, 39, 1385–1398. [Google Scholar] [CrossRef]
- Lin, L.; Cui, F.; Zhang, J.; Gao, X.; Zhou, M.; Xu, N.; Zhao, H.; Liu, M.; Zhang, C.; Jia, L.E. Antioxidative and renoprotective effects of residue polysaccharides from Flammulina velutipes. Carbohydr. Polym. 2016, 146, 388–395. [Google Scholar] [CrossRef]
- Zhao, R.R.; O’Sullivan, A.J.; Singh, M.F. Exercise or physical activity and cognitive function in adults with type 2 diabetes, insulin resistance or impaired glucose tolerance: Asystematic review. Eur. Rev. Aging Phys. Act. 2018, 15, 1. [Google Scholar] [CrossRef] [Green Version]
- Nie, Q.; Hu, J.; Gao, H.; Fan, L.; Chen, H.; Nie, S. Polysaccharide from Plantago asiatica L attenuates hyperglycemia, hyperlipidemia and affects colon microbiota in type 2 diabetic rats. Food Hydrocoll. 2019, 86, 34–42. [Google Scholar] [CrossRef]
- Devi, B.A.; Kamalakkannan, N.; Prince, P.S.M. Supplementation of fenugreek leaves to diabetic rats. Effect on carbohydrate metabolic enzymes in diabetic liver and kidney. Phytother. Res. 2003, 17, 1231–1233. [Google Scholar]



| Samples | Normal (g) | Model (g) | Positive Control (g) | ACP Low Dose(g) | ACP High Dose (g) |
|---|---|---|---|---|---|
| Initial weight | 35.32 ± 1.06 | 35.29 ± 1.63 | 34.38 ± 1.31 | 34.18 ± 1.84 | 35.22 ± 2.03 |
| Weight after modeling | 37.78 ± 0.26 | 43.36 ± 1.46 a | 42.98 ± 1.23 a | 41.38 ± 2.52 a | 42.18 ± 2.78 a |
| One week of treatment | 39.86 ± 0.95 | 45.27 ± 1.09 a | 43.39 ± 1.59 | 43.45 ± 2.51 | 43.68 ± 2.39 |
| Two weeks of treatment | 42.21 ± 0.25 | 47.51 ± 0.86 a | 43.47 ± 1.22 b | 45.47 ± 2.40 c | 44.18 ± 2.15 b |
| Three weeks of treatment | 43.97 ± 0.81 | 49.25 ± 0.60 a | 43.84 ± 1.36 b | 47.36 ± 1.81 ac | 44.47 ± 1.45 b |
| Treatment of the final | 44.44 ± 0.60 | 50.43 ± 0.73 a | 44.27 ± 1.07 b | 48.66 ± 1.44 ac | 44.98 ± 1.29 b |
| Samples | Normal (g) | Model (g) | Positive Control (g) | ACP Low Dose (g) | ACP High Dose (g) |
|---|---|---|---|---|---|
| Food intake (g/pcs/d) | 5.10 ± 0.15 | 7.70 ± 0.18 a | 5.80 ± 0.13 b | 7.12 ± 0.15 | 6.50 ± 0.12 b |
| Samples | After Modeling mmol/L | One Week of Treatment mmol/L | Two Week of Treatment mmol/L | Three Week of Treatment mmol/L | Treatment of the Final mmol/L |
|---|---|---|---|---|---|
| Normal | 4.67 ± 0.97 | 5.06 ± 0.64 | 5.00 ± 0.75 | 4.80 ± 0.86 | 4.70 ± 0.55 |
| Model | 16.93 ± 2.78 a | 18.31 ± 2.76 a | 19.00 ± 1.72 a | 20.33 ± 1.93 a | 20.66 ± 1.96 a |
| Positive control | 18.18 ± 4.18 a | 16.17 ± 3.57 a | 13.57 ± 2.27 ab | 11.20 ± 1.11 ab | 9.50 ± 1.33 ab |
| Polysaccharide low dose | 18.32 ± 1.71 a | 18.93 ± 1.59 a | 17.95 ± 1.29 a | 17.10 ± 1.05 ab | 16.61 ± 1.43 ab |
| Polysaccharide high dose | 16.24 ± 4.82 a | 17.62 ± 2.21 a | 14.88 ± 2.16 ab | 12.72 ± 2.34 ab | 10.42 ± 2.64 ab |
| Samples | SOD (U/mg Prot) | Liver Glycogen (mg/g) | Serum Insulin (mIU/L) | Pancreatic Insulin (mIU/L) |
|---|---|---|---|---|
| Normal | 124.75 ± 1.07 | 33.12 ± 2.82 | 6.64 ± 0.15 | 24.44 ± 0.07 |
| Model | 75.52 ± 2.78 a | 23.00 ± 2.28 a | 4.28 ± 0.15 a | 16.89 ± 0.34 a |
| Positive control | 109.9 ± 4.18 ab | 28.8 0 ± 0.99 ab | 5.22 ± 0.16 ab | 22.05 ± 0.87 ab |
| ACP low dose | 106.14 ± 2.75 ab | 24.10 ± 1.78 a | 4.44 ± 0.11 ab | 18.60 ± 1.08 ab |
| ACP high dose | 118.29 ± 2.75 b | 32.01 ± 1.67 b | 4.88 ± 0.13 ab | 23.58 ± 0.81 b |
| Samples | Heart Coefficient (g/100 g) | Liver Coefficient (g/100 g) | Kidney Coefficient (g/100 g) | Pancreas Coefficient (g/100 g) | Spleen Coefficient (g/100 g) |
|---|---|---|---|---|---|
| Normal | 0.43 ± 0.04 | 3.96 ± 0.04 | 1.35 ± 0.05 | 0.79 ± 0.02 | 0.44 ± 0.02 |
| Model | 0.39 ± 0.03 | 7.50 ± 0.25 a | 2.00 ± 0.15 a | 0.97 ± 0.09 a | 0.22 ± 0.03 a |
| Positive control | 0.38 ± 0.07 | 4.48 ± 0.25 b | 1.55 ± 0.10 b | 0.84 ± 0.12 b | 0.38 ± 0.02 ab |
| ACP low dose | 0.43 ± 0.05 | 5.39 ± 0.51 ab | 1.61 ± 0.11 ab | 0.85 ± 0.04 c | 0.35 ± 0.03 ab |
| ACP high dose | 0.37 ± 0.03 | 4.44 ± 0.22 b | 1.38 ± 0.10 b | 0.76 ± 0.04 b | 0.41 ± 0.01 b |
Publisher’s Note: MDPI stays neutral with regard to jurisdictional claims in published maps and institutional affiliations. |
© 2022 by the authors. Licensee MDPI, Basel, Switzerland. This article is an open access article distributed under the terms and conditions of the Creative Commons Attribution (CC BY) license (https://creativecommons.org/licenses/by/4.0/).
Share and Cite
Fu, Y.; Wang, L.; Jiang, G.; Ren, L.; Wang, L.; Liu, X. Anti-Diabetic Activity of Polysaccharides from Auricularia cornea var. Li. Foods 2022, 11, 1464. https://doi.org/10.3390/foods11101464
Fu Y, Wang L, Jiang G, Ren L, Wang L, Liu X. Anti-Diabetic Activity of Polysaccharides from Auricularia cornea var. Li. Foods. 2022; 11(10):1464. https://doi.org/10.3390/foods11101464
Chicago/Turabian StyleFu, Yuan, Liwen Wang, Guochuan Jiang, Lili Ren, Liyan Wang, and Xuejun Liu. 2022. "Anti-Diabetic Activity of Polysaccharides from Auricularia cornea var. Li." Foods 11, no. 10: 1464. https://doi.org/10.3390/foods11101464
APA StyleFu, Y., Wang, L., Jiang, G., Ren, L., Wang, L., & Liu, X. (2022). Anti-Diabetic Activity of Polysaccharides from Auricularia cornea var. Li. Foods, 11(10), 1464. https://doi.org/10.3390/foods11101464

