Regeneration and Repair in Endodontics—A Special Issue of the Regenerative Endodontics—A New Era in Clinical Endodontics
Abstract
:1. Introduction
2. Revascularization and Regenerative Endodontics
3. Induction of Periapical Bleeding
4. Root Canal Fillings
5. Size of Apical Foramen
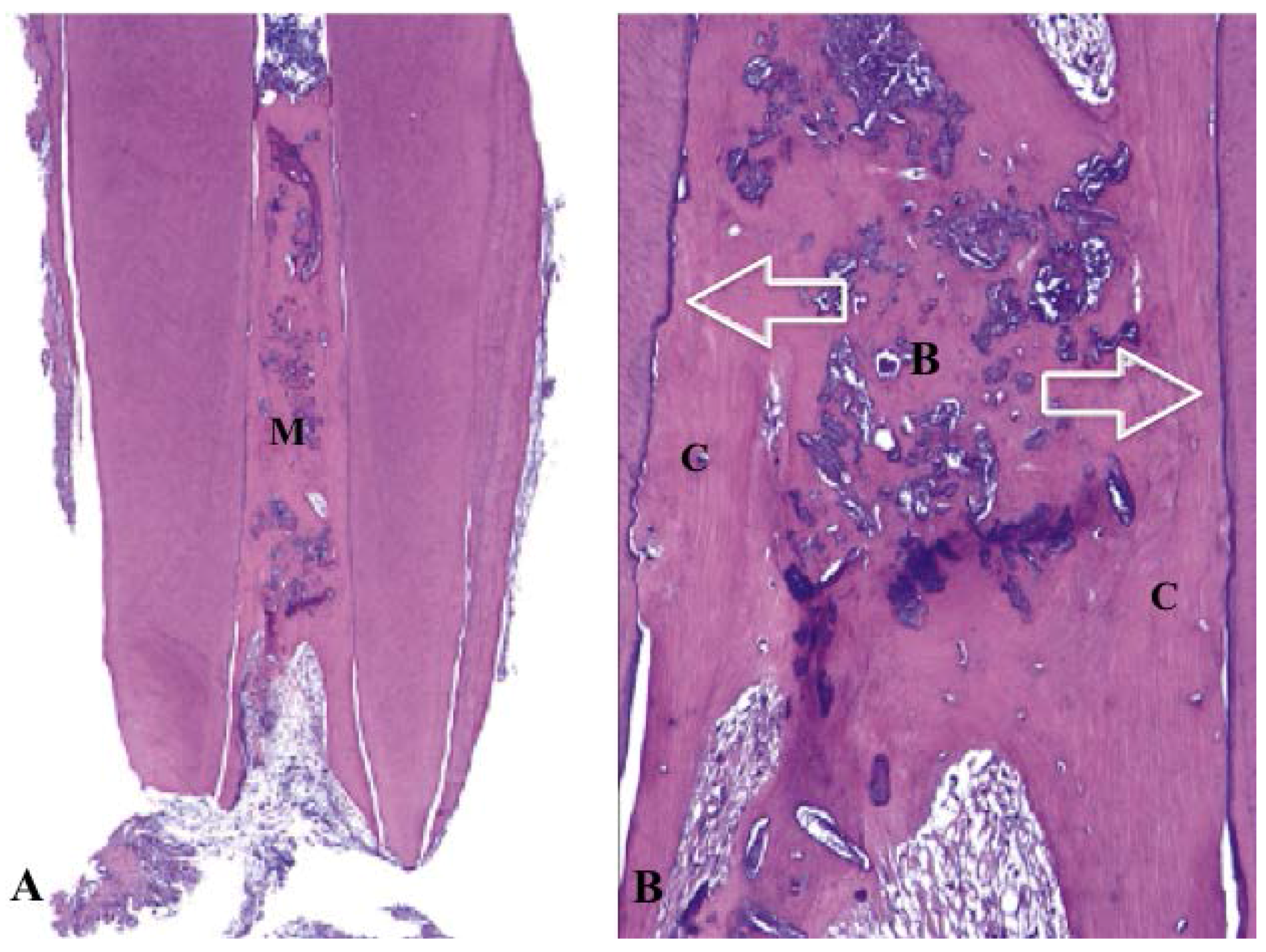
6. Regenerative Endodontics and Pulp Tissue Regeneration/Replacement
7. Regenerative Endodontic ProceduresSuggested by AAE [15]
- Local anesthesia, dental dam isolation and access.
- Copious, gentle irrigation with 20 mL NaOCl using an irrigation system that minimizes the possibility of extrusion of irrigants into the periapical space (e.g., needle with closed end and side-vent, or EndoVac™). Lower concentrations of NaOCl are advised (1.5% NaOCl (20 mL/canal, 5 min) and then irrigated with saline (20 mL/canal, 5 min), with irrigation needle positioned about 1 mm from root end, to minimize cytotoxicity to stem cells in the apical tissues.
- Dry canals with paper points.
- Place calcium hydroxide or low concentration of triple antibiotic paste. If the triple antibiotic paste is used: (1) consider sealing pulp chamber with a dentin bonding agent (to minimize risk of staining) and (2) mix 1:1:1 ciprofloxacin:metronidazole:minocycline to a final concentration of 0.1 mg/mL.
- Deliver into canal system via syringe.
- If triple antibiotic is used, ensure that it remains below Cement-enamel junction (CEJ) (minimize crown staining).
- Seal with 3–4 mm of a temporary material such as CavitTM, IRMTM, glass-ionomer or another temporary material. Dismiss patient for one to four weeks.
- Assess response to initial treatment. If there are signs/symptoms of persistent infection, consider additional treatment with antimicrobial or alternative antimicrobial.
- Anesthesia with 3% mepivacaine without vasoconstrictor, dental dam isolation.
- Copious, gentle irrigation with 20 mL of 17% EDTA.
- Dry with paper points.
- Create bleeding into canal system by over-instrumenting (endo file, endo explorer) (induce by rotating a pre-curved K-file at 2 mm past the apical foramen with the goal of having the entire canal filled with blood to the level of cement-enamel junction).
- Stop bleeding at a level that allows for 3–4 mm of restorative material.
- Place a resorbable matrix such as CollaPlug™, Collacote™, CollaTape™ or other material over the blood clot if necessary and white MTA/CaOH as capping material.
- A 3–4 mm layer of glass ionomer (e.g., Fuji IlLC™, GC America, Alsip, IL, USA) is flowed gently over the capping material and light-cured for 40 s. MTA has been associated with discoloration. Alternatives to MTA should be considered in teeth where there is an esthetic concern.
- * No pain, soft tissue swelling or sinus tract (often observed between first and second appointments).
- * Resolution of apical radiolucency (often observed six to 12 months after treatment).
- * Increased width of root walls (this is generally observed before apparent increase in root length and often occurs 12–24 months after treatment).
- * Increased root length.
- * Pulp vitality test.
8. Treatment of Immature Permanent Teeth with Necrotic Pulps
9. Treatment of Mature Permanent Teeth with Necrotic Pulps
10. Treatment of Teeth with Persistent Apical Periodontitis after Root Canal Therapy
11. Treatment of Traumatized Teeth with External Inflammatory Root Resorption, Horizontal Root Fracture, and Avulsed Teeth
12. Treatment Outcomes of Regenerative Endodontics
13. Is Regenerative Endodontic Therapy for All Teeth with Necrotic Pulps?
14. Conclusions
Conflicts of Interest
References
- Ng, Y.-L.; Mann, V.; Gulabivala, K. Outcome of primary root canal treatment: A systematic review of the literature. Int. Endod. J. 2007, 40, 912–939. [Google Scholar]
- Gronthos, S.; Mankani, M.; Brahim, J.; Gehron Robey, P.; Shi, S. Postnatal human dental pulp stem cells (DPCs) in vitro and in vivo. Proc. Natl. Acad. Sci. USA 2000, 97, 13625–13630. [Google Scholar] [CrossRef] [PubMed]
- Miura, M.; Gronthos, S.; Zhao, M.; Lu, B.; Fisher, L.W.; Robey, P.G.; Shi, S. SHED: Stem cells from human exfoliated deciduous teeth. Proc. Natl. Acad. Sci. USA 2003, 100, 5807–5812. [Google Scholar] [CrossRef] [PubMed]
- Sonoyama, W.; Liu, Y.; Yamaza, T.; Wang, S.; Shi, S.; Huang, G.T.-J. Characterization of apical papilla and its residing stem cells from human immature permanent teeth—A pilot study. J. Endod. 2008, 34, 166–171. [Google Scholar] [CrossRef] [PubMed]
- Corderio, M.M.; Dong, Z.; Kaneko, T.; Zhang, Z.; Miyazawa, M.; Shi, S.; Smith, A.J.; Nör, J.E. Dental pulp engineering with stem cells from exfoliated deciduous teeth. J. Endod. 2008, 34, 962–969. [Google Scholar] [CrossRef] [PubMed]
- Huang, G.T.; Yamaza, T.; Shea, L.D.; Djouad, F.; Kuhn, N.Z.; Tuan, R.S.; Shi, S. Stem/progenitor cell-mediated de novo regeneration of dental pulp with newly deposited continuous layer of dentin in an in vivo model. Tissue Eng. Part A 2010, 16, 605–615. [Google Scholar] [CrossRef] [PubMed]
- Iohara, K.; Imabayashi, K.; Ishizaka, R.; Watanabe, A.; Nabekura, J.; Ito, M.; Matsushita, K.; Nakamura, H.; Nakashima, M. Complete pulp regeneration after pulpectomy by transplantation of CD105+ stem cells with stromal cell-derived factor-1. Tissue Eng. Part A 2011, 17, 1911–1920. [Google Scholar] [CrossRef] [PubMed]
- Kim, J.Y.; Xin, X.; Moioli, E.K.; Chung, J.; Lee, C.H.; Chen, M.; Fu, S.Y.; Koch, P.D.; Mao, J.J. Regeneration of dentin-pulp-like tissue by chemotaxis-induced cell homing. Tissue Eng. Part A 2010, 16, 3023–3031. [Google Scholar] [CrossRef] [PubMed]
- Nygaard-Ostby, B. The role of the blood clot in endodontic therapy. Acta Odontol. Scand. 1961, 19, 324–353. [Google Scholar]
- Nygaard-Ostby, B.; Hjordal, O. Tissue formation in the canal following pulp removal. Scand. J. Dent. Res. 1971, 79, 333–349. [Google Scholar] [CrossRef] [PubMed]
- Nevins, A.; Finkelstein, F.; Borden, B.G.; Laporta, R. Revitalization of pulpless open apex teeth in rhesus monkeys using collagen-calcium phosphate gel. J. Endod. 1976, 2, 159–165. [Google Scholar] [CrossRef]
- Nevins, A.; Wrobel, W.; Valachovic, R.; Borden, B.G. Hard tissue induction into pulpless open-apex teeth using collagen-calcium phosphate gel. J. Endod. 1977, 3, 431–433. [Google Scholar] [CrossRef]
- Nevins, A.; Finkelstein, F.; Paports, R.; Borden, B.G. Induction of hard tissue into pulpless open-apex teeth using collagen-calcium phosphate gel. J. Endod. 1978, 4, 76–81. [Google Scholar] [CrossRef]
- American Association of Endodontists. Glossary of Endodontic Terms, 8th ed.; American Association of Endodontists: Chicago, IL, USA, 2012. [Google Scholar]
- American Association of Endodontists. AAE Clinical Considerations for a Regenerative Procedure. Available online: https://www.aae.org/uploadedfiles/publications_and_research/research/currentregenerativeendodonticconsiderations.pdf (accessed on 25 February 2016).
- Kling, M.; Cvek, M.; Mejare, I. Rate and predictability of pulp revascularization in therapeutically reimplanted permanent incisors. Endod. Dent. Traumatol. 1986, 2, 83–89. [Google Scholar] [CrossRef] [PubMed]
- Andreasen, J.O.; Borum, M.; Jacobsen, H.L.; Andreasen, F.M. Replantation of 400 avulsed permanent incisors. II. Factors related to pulp healing. Endod. Dent. Traumatol. 1995, 11, 59–68. [Google Scholar] [CrossRef] [PubMed]
- Iwaya, S.I.; Ikawa, M.; Kubota, M. Revascularization of an immature permanent tooth with apical periodontitis and sinus tract. Dent. Traumatol. 2001, 17, 185–187. [Google Scholar] [CrossRef] [PubMed]
- Diogenes, A.; Henry, M.A.; Teizeira, F.B.; Hargreaves, K.M. An update on clinical regenerative endodontics. Endod. Top. 2013, 28, 2–23. [Google Scholar] [CrossRef]
- Thibodeau, B.; Teixeira, F.; Yamauchi, M.; Caplan, D.J.; Trope, M. Pulp revascularization of immature dog teeth with apical periodontitis. J. Endod. 2007, 33, 680–689. [Google Scholar] [CrossRef] [PubMed]
- Lovelace, T.W.; Henry, M.A.; Hargreaves, K.M.; Diogenes, A. Evaluation of the delivery of mesnechymal stem cells into the canal space of necrotic immature teeth after clinical regenerative endodontic procedure. J. Endod. 2011, 17, 133–138. [Google Scholar] [CrossRef] [PubMed]
- Civinini, R.; Mecera, A.; Redi, B.; Innocenti, M. Blood-derived growth factors. Clin. Cases Miner Bone Metab. 2010, 7, 194. [Google Scholar]
- Lubkowska, A.; Dolegowska, B.; Banfi, G. Growth factor content in PRP and their applicability in medicine. J. Biol. Regul. Homeost. Agents 2012, 26, 3S–22S. [Google Scholar] [PubMed]
- Galler, K.M.; Buchalla, W.; Hiller, K.-A.; Federlin, M.; Eidt, A.; Schiefersteiner, M.; Schmalz, G. Influence of root canal disinfections on growth factor release from dentin. J. Endod. 2015, 41, 363–368. [Google Scholar] [CrossRef] [PubMed]
- Abbas, A.K.; Lichman, A.H.; Pillai, S. Cellular and Molecular Immunology, 6th ed.; Saunders: Philadelphia, PA, USA, 2007. [Google Scholar]
- Krasnodembskaya, A.; Song, Y.; Fang, X.; Gupta, N.; Serikov, V.; Lee, J.W.; Matthay, M.A. Antibacterial effect of human mesenchymal stem cells is mediated in part from secretion of the antimicrobial peptide LL-37. Stem Cells 2010, 28, 2229–2238. [Google Scholar] [CrossRef] [PubMed]
- Mei, S.H.J.; Haitsma, J.J.; Dos Santos, C.C.; Deng, Y.; Lai, P.F.; Slutsky, A.S.; Liles, W.C.; Stewart, D.J. Mesenchymal stem cells reduce inflammation while enhancing bacterial clearance and improving survival in sepsis. Am. J. Repir. Crit. Care Med. 2010, 182, 1047–1057. [Google Scholar] [CrossRef] [PubMed]
- Brandau, S.; Jakob, M.; Bruderek, K.; Bootz, F.; Giebel, B.; Radtke, S.; Mauel, K.; Jäger, M.; Flohé, S.B.; Lang, S. Mesenchymal stem cells augment the antibacterial activity of neutrophil granulocytes. PLoS ONE 2014, 9, e14201. [Google Scholar] [CrossRef] [PubMed]
- Kajiya, M.; Shiba, H.; Komatsuzawa, H.; Ouhara, K.; Fujita, T.; Takeda, K.; Uchida, Y.; Mizuno, N.; Kawaguchi, H.; Kurihara, H. The antimicrobial peptide LL-37 induces the migration of human pulp cells: A possible adjunct for regenerative endodontics. J. Endod. 2010, 36, 1009–1013. [Google Scholar] [CrossRef] [PubMed]
- Wu, M.K.; Dummer, P.M.; Wesselink, P.R. Consequence and strategies to deal with residual post-treatment root canal infection. Int. Endod. J. 2006, 39, 343–356. [Google Scholar] [CrossRef] [PubMed]
- Siqueira, J.F.; Rocas, I.N. Clinical implications and microbiology of bacterial persistence after treatment procedures. J. Endod. 2008, 34, 1291–1301.e3. [Google Scholar] [CrossRef] [PubMed]
- Portenier, I.; Haapasalo, H.; Rye, A.; Waltimo, T.; Ørstavik, D.; Haapasalo, M. Inactivation of root canal medicaments by dentin, hydroxylapatite, and bovine serum albumin. Int. Endod. J. 2001, 34, 184–188. [Google Scholar] [CrossRef] [PubMed]
- Haapasalo, M.; Qian, W.; Portenier, I.; Waltimo, T. Effects of dentin on the antimicrobial properties of endodontic medicaments. J. Endod. 2007, 33, 917–925. [Google Scholar] [CrossRef] [PubMed]
- Sato, I.; Ando-Kurihara, N.; Kota, K.; Iwaku, M.; Hoshino, E. Sterilization of infected root-canal dentin by topical application of mixture of ciprofloxacin, metronidazole and minocycline in situ. Int. Endod. J. 1996, 29, 118–124. [Google Scholar] [CrossRef] [PubMed]
- Hoshino, E.; Kurihara-Ando, N.; Sato, I.; Uematsu, H.; Sato, M.; Kota, K.; Iwaku, M. In-vitro antibacterial susceptibility of bacteria taken from infected root dentin to a mixture of ciprofloxacin, metronidazole and minocycline. Int. Endod. J. 1996, 29, 125–130. [Google Scholar] [CrossRef] [PubMed]
- Windley, W.; Teixeira, F.; Levine, L.; Sigurdsson, A.; Trope, M. Disinfection of immature teeth with a triple antibiotic paste. J. Endod. 2005, 31, 439–443. [Google Scholar] [CrossRef] [PubMed]
- Mims, C.; Dockrell, H.; Goering, R. Medical Microbiology; Mosby: St Louis, MO, USA, 2004. [Google Scholar]
- Lin, L.M.; Shimizu, E.; Gibbs, J.L.; Loghin, S.; Ricucci, D. Histologic and histobacteriologic observations of failed revascularization/revitalization therapy: A case report. J. Endod. 2014, 40, 291–295. [Google Scholar] [CrossRef] [PubMed]
- Sjogren, U.; Figdor, D.; Persson, S.; Sundqvist, G. Influence of infection at the time of root filling on the outcome of endodontic treatment of teeth with apical periodontitis. Int. Endod. J. 1997, 30, 297–306. [Google Scholar] [CrossRef] [PubMed]
- Fabricius, L.; Dahlin, G.; Sundqvist, G.; Happonen, R.P.; Möller, A.J. Influence of residual bacteria on periapical tissue healing after chemomechanical treatment and root filling of experimentally infected monkey teeth. Eur. J. Oral Sci. 2006, 114, 278–285. [Google Scholar] [CrossRef] [PubMed]
- Klevant, F.J.; Eggink, C.O. The effect of canal preparation on periapical disease. Int. Endod. J. 1983, 16, 68–75. [Google Scholar] [CrossRef] [PubMed]
- Sabeti, M.A.; Nekofar, M.; Motahhary, P.; Ghandi, M.; Simon, J.H. Healing of apical periodontitis after endodontic treatment with and without obturation in dogs. J. Endod. 2006, 32, 6128–6133. [Google Scholar] [CrossRef] [PubMed]
- Laureys, W.G.; Guvelier, G.A.; Dermaut, I.R.; De Pauw, G.A. The critical apical diameter to obtain regeneration of the pulp tissue after tooth transplantation, replantation, or regenerative endodontic therapy. J. Endod. 2013, 39, 759–763. [Google Scholar] [CrossRef] [PubMed]
- Gomes-Filho, J.E.; Tobias Duarte, P.G.; Ervolino, E.; Mogami Bomfim, S.R.; Xavier Abimussi, C.J.; Mota da Silva Santos, L.; Lodi, C.S.; Penha De Oliveira, S.H.; Dezan, E., Jr.; Cintra, L.T. Histological characterization of engineering tissues in the canal space of close-apex teeth with apical periodontitis. J. Endod. 2013, 39, 1549–1556. [Google Scholar] [CrossRef] [PubMed]
- Shah, N.; Logani, A. SealBio: A novel, non-obturation endodontic treatment based on concept of regeneration. J. Conserv. Dent. 2012, 15, 328–332. [Google Scholar] [CrossRef] [PubMed]
- Paryani, K.; Kim, S.G. Regenerative endodontic treatment of permanent teeth after completion of root development: A report of 2 cases. J. Endod. 2013, 39, 929–934. [Google Scholar] [CrossRef] [PubMed]
- Saoud, T.M.; Sigurdsson, A.; Rosenberg, P.A.; Lin, L.M.; Ricucci, D. Treatment of a large cystlike inflammatory periapical lesion associated with mature necrotic teeth using regenerative endodontic therapy. J. Endod. 2014, 40, 2081–2086. [Google Scholar] [CrossRef] [PubMed]
- Zeichner-David, M. Regeneration of periodontal tissues: Cementogenesis revisited. Periodontology 2000 2006, 41, 196–217. [Google Scholar] [CrossRef] [PubMed]
- Sonoyama, W.; Seo, B.-M.; Yamaza, T.; Shi, S. Human Hertwig’s epithelial root sheath cells ply crucial roles in cementum formation. J. Dent. Res. 2007, 86, 594–599. [Google Scholar] [CrossRef] [PubMed]
- Wang, X.; Thibodeau, B.; Trope, M.; Lin, L.M.; Huang, G.T.-J. Histological characterization of regenerated tissues in canal space after revitalization/revascularization procedure of immature dog teeth with apical periodontitis. J. Endod. 2010, 36, 56–63. [Google Scholar] [CrossRef] [PubMed]
- Bezerra da Silva, L.A.; Nelson-Filho, P.; Bezerra da Silva, R.A.; Flores, D.S.; Heilborn, C.; Johnson, J.D.; Cohenca, N. Revascularization and periapical repair after endodontic treatment using apical negative pressure irrigation versus conventional irrigation plus triantibiotic intracanal dressing in dog’s teeth with apical periodontitis. Oral Surg. Oral Med. Oral Pathol. Oral Radiol. Endod. 2010, 109, 779–787. [Google Scholar] [CrossRef] [PubMed]
- Yamauchi, N.; Yamauchi, S.; Nakaoka, H.; Duggan, D.; Zhong, S.; Lee, S.M.; Teixeira, F.B.; Yamauchi, M. Tissue engineering strategies for immature teeth with apical periodontitis. J. Endod. 2011, 37, 390–397. [Google Scholar] [CrossRef] [PubMed]
- Martin, G.; Ricucci, D.; Gibbs, J.L.; Lin, L.M. Histological findings of revascularized/revitalized immature permanent molar with apical periodontitis using platelet-rich plasma. J. Endod. 2013, 39, 138–144. [Google Scholar] [CrossRef] [PubMed]
- Shimizu, E.; Ricucci, D.; Albert, J.; Alobaid, A.S.; Gibbs, J.L.; Huang, G.T.; Lin, L.M. Clinical, radiographic, and histological observation of a human immature permanent tooth with chronic apical abscess after revitalization treatment. J. Endod. 2013, 39, 1078–1083. [Google Scholar] [CrossRef] [PubMed]
- Becerra, P.; Ricucci, D.; Loghin, S.; Gibbs, J.L.; Lin, L.M. Histological study of a human immature permanent premolar with chronic apical abscess after revascularization/revitalization. J. Endod. 2014, 40, 133–139. [Google Scholar] [CrossRef] [PubMed]
- Lei, L.; Chen, Y.; Zhou, R.; Huang, X.; Cai, Z. Histologic and immunohistochemical findings of a human immature permanent tooth with apical periodontitis after regenerative endodontic therapy. J. Endod. 2015, 41, 1172–1179. [Google Scholar] [CrossRef] [PubMed]
- Rafter, M. Apexification: A review. Dent. Traumatol. 2005, 21, 1–8. [Google Scholar] [CrossRef] [PubMed]
- Cvek, M. Prognosis of luxated non-vital maxillary incisors treated with calcium hydroxide and filled with gutta-percha. A retrospective clinical study. Endod. Dent. Traumatol. 1992, 8, 45–55. [Google Scholar] [CrossRef] [PubMed]
- Andreasen, J.O.; Farik, B.; Munksgaard, E.C. Long-term calcium hydroxide as a root canal dressing may increase risk of root fracture. Dent. Traumatol. 2002, 18, 134–137. [Google Scholar] [CrossRef] [PubMed]
- Kontakiotis, E.G.; Filippatos, C.G.; Agrafioti, A. Levels of evidence for the outcome of regenerative endodontic therapy. J. Endod. 2014, 40, 1045–1053. [Google Scholar] [CrossRef] [PubMed]
- Saoud, T.M.; Martin, G.; Chen, Y.-H.M.; Chen, K.L.; Chen, C.A.; Songtrakul, K.; Malek, M.; Sigurdsson, A.; Lin, L.M. Treatment of mature permanent teeth with necrotic pulps and apical periodontitis using regenerative endodontic procedures: A case series. J. Endod. 2016, 42, 57–65. [Google Scholar] [CrossRef] [PubMed]
- Siqueira, J.F., Jr. Aetiology of root canal treatment failures: Why well-treated teeth can fail. Int. Endod. J. 2001, 34, 1–10. [Google Scholar] [CrossRef] [PubMed]
- Nair, P.N. Pathogenesis of apical periodontitis and the causes of endodontic failures. Crit. Rev. Oral Biol. Med. 2004, 15, 348–381. [Google Scholar] [CrossRef] [PubMed]
- Ng, Y.-L.; Mann, V.; Gulabivala, K. Outcome of secondary root canal treatment: A systematic review of the literature. Int. Endod. J. 2008, 41, 1026–1046. [Google Scholar] [CrossRef] [PubMed]
- Nevins, A.J.; Cymerman, J.J. Revitalization of open apex teeth with apical periodontitis using a collagen-hydroxyapatite scaffold. J. Endod. 2015, 41, 966–973. [Google Scholar] [CrossRef] [PubMed]
- Saoud, T.M.A.; Huang, G.T.-J.; Gibbs, J.L.; Sigurdsson, A.; Lin, L.M. Management of teeth with persistent apical periodontitis after root canal treatment using regenerative endodontic therapy. J. Endod. 2015, 41, 1743–1748. [Google Scholar] [CrossRef] [PubMed]
- Andreasen, J.O.; Andreasen, F.M.; Anderson, J. Textbook and Color Atlas of Traumatic Injuries to The teeth, 4th ed.; Wiley-Blackwell: Chichester, UK, 2007. [Google Scholar]
- Andreasen, J.O. External root resorption: Its implication in dental traumatology, paedodontics, periodontics, orthodontics and endodontics. Int. Endod. J. 1985, 18, 109–118. [Google Scholar] [CrossRef] [PubMed]
- Tronstad, L. Root resorption—Etiology, terminology, and clinical manifestations. Endod. Dent. Traumatol. 1988, 4, 241–252. [Google Scholar] [CrossRef] [PubMed]
- Trope, M. Root resorption due to dental trauma. Endod. Top. 2002, 1, 79–100. [Google Scholar] [CrossRef]
- Cvek, M. Treatment of non-vital permanent incisors with calcium hydroxide. II. Effect on external root resorption in luxated teeth compared with effect of root filling with gutta-percha. A follow-up. Odontol. Revy 1973, 24, 343–354. [Google Scholar] [PubMed]
- Tronstad, L.; Andreasen, J.O.; Hasselgren, G.; Kristenson, L. pH changes in dental tissues after root canal filling with calcium hydroxide. J. Endod. 1981, 7, 17–21. [Google Scholar] [CrossRef]
- Hammarstrom, L.; Blomlof, L.; Feiglin, B.; Lindskog, S. Effect of calcium hydroxide treatment on periodontal repair and root resorption. Dent. Traumatol. 1986, 2, 184–189. [Google Scholar] [CrossRef]
- Santiago, C.N.; Pinto, S.S.; Sassone, L.M.; Hirata, R., Jr.; Fidel, S.R. Revascularization technique for the treatment of external inflammatory root resorption: A report of 3 cases. J. Endod. 2015, 41, 1560–1564. [Google Scholar] [CrossRef] [PubMed]
- Chaniotis, A. The use of MTA/blood mixture to induce hard tissue healing in a root fractured maxillary central incisor. Case report and treatment considerations. Int. Endod. J. 2014, 47, 989–999. [Google Scholar] [CrossRef] [PubMed]
- Priya, H.; Tambakad, P.B.; Naidu, J. Pulp and periodontal regeneration of an avulsed permanent mature incisor using platelet-rich plasma after delayed replantation: A 12-month clinical case study. J. Endod. 2016, 42, 66–71. [Google Scholar] [CrossRef] [PubMed]
- Jeeruphan, T.; Jantarat, J.; Yanpiset, K.; Suwannapan, L.; Khewsawai, P.; Hargreaves, K.M. Mahilod study 1: Comparison of radiographic and survival outcomes of immature teeth treated with either regenerative endodontics or apexification methods—A retrospective study. J. Endod. 2012, 38, 1330–1336. [Google Scholar] [CrossRef] [PubMed]
- Chen, M.Y.; Chen, K.L.; Chen, C.A.; Tayebaty, F.; Rosenberg, P.A.; Lin, L.M. Response of immature permanent teeth with infected necrotic pulp tissue and apical periodontitis/abscess to revascularization procedures. Int. Endod. J. 2012, 45, 294–305. [Google Scholar] [CrossRef] [PubMed]
- Saoud, T.M.A.; Zaazou, A.; Nabil, A.; Moussa, S.; Lin, L.M.; Gibbs, J.L. Clinical and radiographic outcomes of traumatized immature permanent necrotic teeth after revascularization therapy. J. Endod. 2014, 40, 1946–1952. [Google Scholar] [CrossRef] [PubMed]
- Shin, S.Y.; Albert, J.S.; Mortman, R.E. One step pulp revascularization treatment of an immature permanent tooth with chronic apical abscess: A case report. Int. Endod. J. 2009, 42, 1118–1126. [Google Scholar] [CrossRef] [PubMed]
- Hargreaves, K.M.; Diogenes, A.R.; Teixeira, F.B. Treatment options: Biological basis of regenerative endodontic procedures. J. Endod. 2013, 39, 30–43. [Google Scholar] [CrossRef] [PubMed]




© 2016 by the authors; licensee MDPI, Basel, Switzerland. This article is an open access article distributed under the terms and conditions of the Creative Commons by Attribution (CC-BY) license (http://creativecommons.org/licenses/by/4.0/).
Share and Cite
Saoud, T.M.A.; Ricucci, D.; Lin, L.M.; Gaengler, P. Regeneration and Repair in Endodontics—A Special Issue of the Regenerative Endodontics—A New Era in Clinical Endodontics. Dent. J. 2016, 4, 3. https://doi.org/10.3390/dj4010003
Saoud TMA, Ricucci D, Lin LM, Gaengler P. Regeneration and Repair in Endodontics—A Special Issue of the Regenerative Endodontics—A New Era in Clinical Endodontics. Dentistry Journal. 2016; 4(1):3. https://doi.org/10.3390/dj4010003
Chicago/Turabian StyleSaoud, Tarek Mohamed A., Domenico Ricucci, Louis M. Lin, and Peter Gaengler. 2016. "Regeneration and Repair in Endodontics—A Special Issue of the Regenerative Endodontics—A New Era in Clinical Endodontics" Dentistry Journal 4, no. 1: 3. https://doi.org/10.3390/dj4010003
APA StyleSaoud, T. M. A., Ricucci, D., Lin, L. M., & Gaengler, P. (2016). Regeneration and Repair in Endodontics—A Special Issue of the Regenerative Endodontics—A New Era in Clinical Endodontics. Dentistry Journal, 4(1), 3. https://doi.org/10.3390/dj4010003

