Micro- and Macroabrasion in the Esthetic Zone: A Narrative Review and Case Study
Abstract
1. Introduction
2. Materials and Methods
2.1. Review of the Literature
2.2. Case Study
3. Results
3.1. Results of the Narrative Review
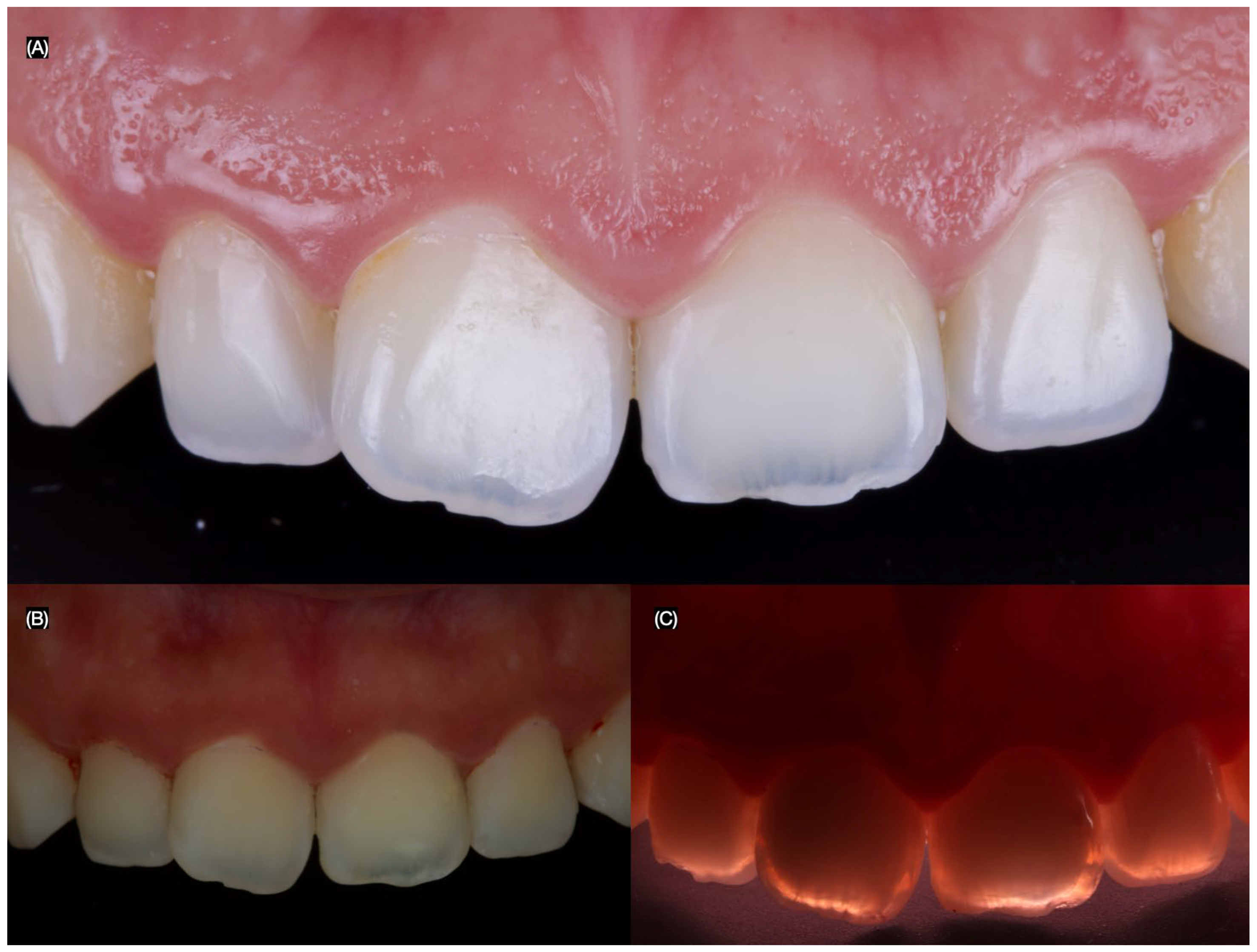
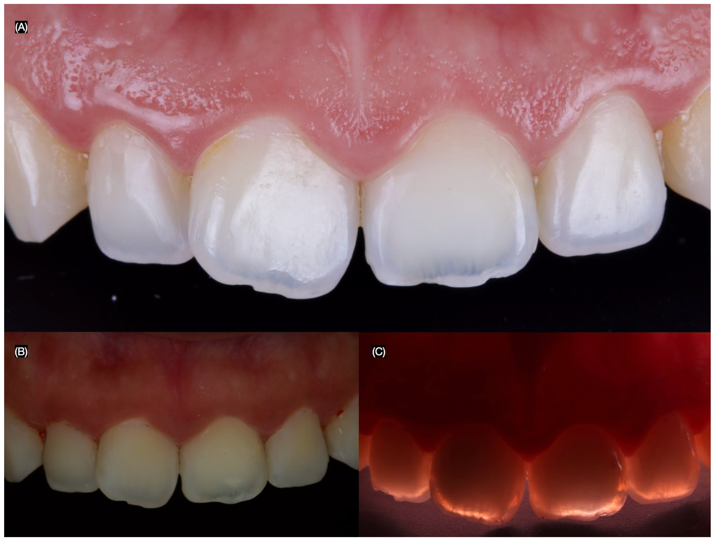
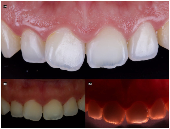
3.2. Results of the Case Study
4. Discussion
4.1. Microabrasion
4.2. Resin Infiltration
4.3. Macroabrasion
4.4. Tooth Isolation
4.5. Case Report
4.6. Precautions
4.7. Clinical Significance
4.8. Limitations
5. Conclusions
Author Contributions
Funding
Institutional Review Board Statement
Informed Consent Statement
Data Availability Statement
Conflicts of Interest
References
- Gavic, L.; Budimir, M.; Tadin, A. The association between self-esteem and aesthetic component of smile among adolescents. Prog. Orthod. 2024, 25, 9. [Google Scholar] [CrossRef] [PubMed] [PubMed Central]
- Horn, S.; Matuszewska, N.; Gkantidis, N.; Verna, C.; Kanavakis, G. Smile dimensions affect self-perceived smile attractiveness. Sci. Rep. 2021, 11, 2779. [Google Scholar] [CrossRef] [PubMed] [PubMed Central]
- Alyahya, Y. A narrative review of minimally invasive techniques in restorative dentistry. Saudi Dent. J. 2024, 36, 228–233. [Google Scholar] [CrossRef] [PubMed] [PubMed Central]
- Tassery, H.; Levallois, B.; Terrer, E.; Manton, D.J.; Otsuki, M.; Koubi, S.; Gugnani, N.; Panayotov, I.; Jacquot, B.; Cuisinier, F.; et al. Use of new minimum intervention dentistry technologies in caries management. Aust. Dent. J. 2013, 58 (Suppl. S1), 40–59. [Google Scholar] [CrossRef] [PubMed]
- Watts, A.; Addy, M. Tooth discolouration and staining: A review of the literature. Br. Dent. J. 2001, 190, 309–316. [Google Scholar] [CrossRef] [PubMed]
- Karimi, K.; Fischer, N.G.; Jurado, C.A.; Villalobos-Tinoco, J.; Tsujimoto, A. Polychromatic Composite and Resin Infiltration Restorations in the Esthetic Zone: A Five-year Clinical Report. Oper. Dent. 2023, 48, 245–250. [Google Scholar] [CrossRef] [PubMed]
- Rojas-Rueda, S.; Villalobos-Tinoco, J.; Conner, C.; Colvert, S.; Nurrohman, H.; Jurado, C.A. Bonding Protocols for Lithium Disilicate Veneers: A Narrative Review and Case Study. Biomimetics 2025, 10, 188. [Google Scholar] [CrossRef] [PubMed] [PubMed Central]
- Amarlal, D.; Rayen, R.; Muthu, M.S. Macroabrasion in pediatric dentistry. J. Clin. Pediatr. Dent. 2006, 31, 9–13. [Google Scholar] [CrossRef] [PubMed]
- Croll, T.P.; Cavanaugh, R.R. Enamel color modification by controlled hydrochloric acid-pumice abrasion. I. technique and examples. Quintessence Int. 1986, 17, 81–87. [Google Scholar]
- Sundfeld, R.H.; Croll, T.P.; Briso, A.L.; Alexandre, R.S.; Neto, D.S. Considerations about enamel microabrasion after 18 years. Am. J. Dent. 2007, 20, 67–72. [Google Scholar]
- Sundfeld, R.H.; Sundfeld-Neto, D.; Machado, L.S.; Franco, L.M.; Fagundes, T.C.; Briso, A.L. Microabrasion in tooth enamel discoloration defects: Three cases with long-term follow-ups. J. Appl. Oral Sci. 2014, 22, 347–354. [Google Scholar] [CrossRef] [PubMed] [PubMed Central]
- Heymann, H.; Swift, E., Jr.; Ritter, A. Sturdevant’s Art and Science of Operative Dentistry, Mosby, 6th ed.; Elsevier: Amsterdam, The Netherlands, 2012. [Google Scholar]
- Pini, N.I.; Sundfeld-Neto, D.; Aguiar, F.H.; Sundfeld, R.H.; Martins, L.R.; Lovadino, J.R.; Lima, D.A. Enamel microabrasion: An overview of clinical and scientific considerations. World J. Clin. Cases 2015, 3, 34–41. [Google Scholar] [CrossRef] [PubMed] [PubMed Central]
- Costa, J.L.S.G.; Nogueira, B.R.; de Oliveira Junior, O.B.; Pretel, H. Association of microabrasion and tooth whitening with LED/laser system in the treatment of incisor hypomineralization: 3-year follow-up. Photodiagnosis Photodyn. Ther. 2021, 33, 102197. [Google Scholar] [CrossRef] [PubMed]
- Novelli, C.; Pascadopoli, M.; Scribante, A. Restorative Treatment of Amelogenesis Imperfecta with Prefabricated Composite Veneers. Case Rep. Dent. 2021, 2021, 3192882. [Google Scholar] [CrossRef] [PubMed] [PubMed Central]
- Tsujimoto, A.; Jurado, C.A.; Villalobos-Tinoco, J.; Fischer, N.G.; Alresayes, S.; Sanchez-Hernandez, R.A.; Watanabe, H.; Garcia-Godoy, F. Minimally Invasive Multidisciplinary Restorative Approach to the Esthetic Zone Including a Single Discolored Tooth. Oper. Dent. 2021, 46, 477–483. [Google Scholar] [CrossRef] [PubMed]
- Hajdu, A.I.; Dumitrescu, R.; Balean, O.; Lalescu, D.V.; Buzatu, B.L.R.; Bolchis, V.; Floare, L.; Utu, D.; Jumanca, D.; Galuscan, A. Enhancing Esthetics in Direct Dental Resin Composite: Investigating Surface Roughness and Color Stability. J. Funct. Biomater. 2024, 15, 208. [Google Scholar] [CrossRef] [PubMed] [PubMed Central]
- Tsujimoto, A.; Barkmeier, W.W.; Fischer, N.G.; Nojiri, K.; Nagura, Y.; Takamizawa, T.; Latta, M.A.; Miazaki, M. Wear of resin composites: Current insights into underlying mechanisms, evaluation methods and influential factors. Jpn. Dent. Sci. Rev. 2018, 54, 76–87. [Google Scholar] [CrossRef] [PubMed] [PubMed Central]
- van de Sande, F.H.; Moraes, R.R.; Elias, R.V.; Montagner, A.F.; Rodolpho, P.A.; Demarco, F.F.; Cenci, M.S. Is composite repair suitable for anterior restorations? A long-term practice-based clinical study. Clin. Oral Investig. 2019, 23, 2795–2803. [Google Scholar] [CrossRef] [PubMed]
- Murchie, B.; Jiwan, N.; Edwards, D. What are the success rates of anterior restorations used in localised wear cases? Evid.-Based Dent. 2025, 26, 54–56. [Google Scholar] [CrossRef] [PubMed]
- Pavani, C.C.; Vieira, L.R.; Schott, T.C.; Sundfeld, D.; Pini, N.; Bertoz, A.; Pacheco, R.R.; Sundfeld, R.H. Case Reports of Enamel Microabrasion Associated with at-home Dental Bleaching after Orthodontic Bracket Removal. Oper. Dent. 2021, 46, 237b–245. [Google Scholar] [CrossRef] [PubMed]
- Balan, B.; Madanda Uthaiah, C.; Narayanan, S.; Mookalamada Monnappa, P. Microabrasion: An effective method for improvement of esthetics in dentistry. Case Rep. Dent. 2013, 2013, 951589. [Google Scholar] [CrossRef] [PubMed] [PubMed Central]
- Pontes, D.G.; Correa, K.M.; Cohen-Carneiro, F. Re-establishing esthetics of fluorosis-stained teeth using enamel microabrasion and dental bleaching techniques. Eur. J. Esthet. Dent. 2012, 7, 130–137. [Google Scholar] [PubMed]
- Nicholas, L.S.; Yew Christopher, Q.E.; Fei Frank, L.K. Conservative esthetic management of brown enamel fluorosis using combination therapy: A clinical report. J. Conserv. Dent. 2023, 26, 349–354. [Google Scholar] [CrossRef] [PubMed] [PubMed Central]
- Gaião, U.; Pasmadjian, A.C.P.; Allig, G.R.; Rezende, L.V.M.L.; da Silva, V.B.S.; da Cunha, L.F. Macroabrasion and/or Partial Veneers: Techniques for the Removal of Localized White Spots. Case Rep. Dent. 2022, 2022, 3941488. [Google Scholar] [CrossRef] [PubMed] [PubMed Central]
- Jyothi, M.; Girish, K.; Mounika, A.; Jyothirmayi, B.S.; Bhargav, K.; Sonam, A. Case Report Conservative Management of Discoloured Anterior Teeth–A Case Series. Sch. J. Dent. Sci. 2021, 8, 46–49. [Google Scholar]
- Blanchet, I.; Camoin, A.; Tardieu, C.; Jacquot, B. Microabrasion in the management of enamel discolorations in paediatric dentistry: A systematic review. J. Clin. Pediatr. Dent. 2023, 47, 17–26. [Google Scholar] [CrossRef] [PubMed]
- Rocha, A.O.; Cardoso, K.; Goebel, M.C.; Santos, P.S.; Dos Anjos, L.M.; Ribeiro, J.S.; Santana, C.M.; Cardoso, M. A global overview of enamel microabrasion for white spot lesions: A bibliometric review. Restor. Dent. Endod. 2024, 49, e29. [Google Scholar] [CrossRef] [PubMed] [PubMed Central]
- Bacionyte, G. Microabrasion in pediatric dentistry and orthodontics. J. Oral Dent. Health 2019, 3, 1–3. [Google Scholar] [CrossRef]
- Di Giovanni, T.; Eliades, T.; Papageorgiou, S.N. Interventions for dental fluorosis: A systematic review. J. Esthet. Restor. Dent. 2018, 30, 502–508. [Google Scholar] [CrossRef] [PubMed]
- Pandey, P.; Ansari, A.A.; Moda, P.; Yadav, M. Enamel microabrasion for aesthetic management of dental fluorosis. BMJ Case Rep. 2013, 2013, bcr2013010517. [Google Scholar] [CrossRef] [PubMed] [PubMed Central]
- Borges, A.B.; Caneppele, T.M.; Masterson, D.; Maia, L.C. Is resin infiltration an effective esthetic treatment for enamel development defects and white spot lesions? A systematic review. J. Dent. 2017, 56, 11–18. [Google Scholar] [CrossRef] [PubMed]
- Alwafi, A. Resin infiltration may be considered as a color-masking treatment option for enamel development defects and white spot lesions. J. Evid.-Based Dent. Pract. 2017, 17, 113–115. [Google Scholar] [CrossRef] [PubMed]
- Giannetti, L.; Apponi, R. Combined Orthodontic and Restorative Minimally Invasive Approach to Diastema and Morphology Management in the Esthetic Area. Clinical Multidisciplinary Case Report with 3-Year Follow-Up. Case Rep. Dent. 2020, 2020, 3628467. [Google Scholar] [CrossRef] [PubMed] [PubMed Central]
- Wang, Q.; Meng, Q.; Meng, J. Minimally invasive esthetic management of dental fluorosis: A case report. J. Int. Med. Res. 2020, 48, 300060520967538. [Google Scholar] [CrossRef] [PubMed] [PubMed Central]
- Sammarco, G. Combined minimally invasive treatment of white and brown fluorotic discolorations in a teenager: A case report. Int. J. Esthet Dent. 2019, 14, 148–155. [Google Scholar] [PubMed]
- Patel, S.; Hamer, S. A simple guide to using dental dam. Br. Dent. J. 2021, 230, 644–650. [Google Scholar] [CrossRef] [PubMed] [PubMed Central]
- Wang, Y.; Li, C.; Yuan, H.; Wong, M.C.; Zou, J.; Shi, Z.; Zhou, X. Rubber dam isolation for restorative treatment in dental patients. Cochrane Database Syst. Rev. 2016, 9, CD009858. [Google Scholar] [CrossRef]
- Reuter, J.E. The isolation of teeth and the protection of the patient during endodontic treatment. Int. Endod. J. 1983, 16, 173–181. [Google Scholar] [CrossRef]
- Jevon, P.; Shamsi, S. Management of anaphylaxis in the dental practice: An update. Br. Dent. J. 2020, 229, 721–728. [Google Scholar] [CrossRef]







| Enamel | Dentin |
|---|---|
| Local Causes | Local Causes |
| Caries | Caries |
| Idiopathic | Metallic Restorative Materials |
| Injuries | Necrotic Pulp Tissue |
| Internal Resorption | Endodontic Filling Materials |
| Systemic Causes | Systemic Causes |
| Drugs (e.g., Tetracyclines) | Drugs (e.g., Tetracyclines) |
| Amelogenesis Imperfecta | Dentinogenesis Imperfecta |
| Fluorosis | Congenital Porphyria |
| Idiopathic | Bilirubin |
| Systemic Illness During Tooth Formation |
| Microabrasion | Macroabrasion |
|---|---|
| Removes super stain in enamel | Removed deep stain in enamel |
| Chemical + mechanical removal | Mechanical removal |
| Uses rubber cup on slow-speed handpiece | Uses high-speed handpiece with rotatory instruments |
| Performed with acid + abrasive slurry (e.g., 6–19 HCI + pumice) | Performed with fine-grit diamond bur or finishing discs |
| Removal of 0.2 mm (200 µm) tooth structure | Removal of 0.3–0.5 mm (300–500 µm) tooth structure |
| Authors and Year of Publication | Title | Clinical Treatment | Conclusions |
|---|---|---|---|
| Pavani CC et al. 2021 [21] | Case Reports of Enamel Microabrasion Associated with At-home Dental Bleaching After Orthodontic Bracket Removal | Two reports treated as follows: After orthodontics, the treatment included at-home bleaching (10% carbamide peroxide) 6–8 h each day; after 1 week, microabrasion was performed. | The association of at-home dental bleaching with enamel microabrasion was effective for obtaining satisfactory shade alteration associated with a smooth and regular enamel surface after orthodontic bracket debonding, highly contributing to improved dental esthetics. |
| Sundfeld RH et al., 2014 [11] | Microabrasion in tooth enamel discoloration defects: three cases with long-term follow-ups | Stains on the maxillary incisors were removed by the enamel microabrasion technique with an application of 18% hydrochloric acid and pumice. Stains on the mandibular teeth were removed with an application of the enamel microabrasion product PREMA Compound (Premier). | Correct application of the microabrasion technique, complemented or not by the bleaching or the use of composite resin, allowed for significant improvement in the appearance and color uniformity of the teeth, restoring the patient’s self-esteem. |
| Balan B et al., 2013 [22] | Microabrasion: an effective method for improvement of esthetics in dentistry | Two case reports treated first with 18% hydrofluoric, then cleaned with pumice paste and finally polished with porcelain cup-shaped polishing rubber. | For mild fluorosis discoloration and for moderate/severe fluorosis, treatment to change the esthetic appearance of the teeth can be accomplished with minimally invasive treatment using microabrasion, or in case of moderate–severe condition, combinations of microabrasion with bleaching can be performed to provide the patient with an esthetically acceptable result. |
| Pontes DG et al., 2012 [23] | Re-establishing esthetics of fluorosis-stained teeth using enamel microabrasion and dental bleaching techniques | An 18-year-old female patient with moderate fluorosis received enamel microabrasion with 6% hydrochloric acid followed by in-office bleaching. | Microabrasion and bleaching are painless, fast, and easy to perform, in addition to preserving the dental structure. Treatment showed immediate and permanent results; this technique must be promoted among professionals and their patients. |
| Nicholas LS et al., 2023 [24] | Conservative esthetic management of brown enamel fluorosis using combination therapy: A clinical report | A 19-year-old female patient with brown spots in the front teeth. Treatment included 15% hydrochloric acid, then cleaning with pumice paste, and then air microabrasion was provided, followed by tooth bleaching (35% carbamide peroxide) and finally resin infiltration (ICON). | The combination approach of enamel microabrasion, bleaching, and resin infiltration techniques can be used in the management of more severe types of intrinsic tooth discoloration. |
| Gaião U et al., 2022 [25] | Macroabrasion and/or Partial Veneers: Techniques for the Removal of Localized White Spots | A 16-year-old female patients with hypoplastic spots on the upper central incisors. Treatment included macroabrasion and partial veneer technique direct composite resin. | The association of enamel macroabrasion and partial veneer in composite resin is conservative, fast, and an esthetic alternative for removing localized hypoplasia stains. |
| Jyothi M et al., 2016 [26] | Conservative Management of Discoloured Anterior Teeth—A Case Series | Three case reports of patients presenting brownish discoloration involving the anterior teeth. Treatment included microabrasion with hydrochloric acid (Opalustre), followed by microabrasion with finishing bur, and then teeth were cleaned with polishing paste and finally restored with fluoride varnish. | The improvements made by the conservative esthetic dentistry represents a new dimension of dental treatment for patients. The restoration of a smile is one of the most appreciated and gratifying services a dentist can render. |
| Authors and Year of Publication | Title | Findings | Conclusions |
|---|---|---|---|
| Pini NI et al., 2015 [13] | Enamel microabrasion: An overview of clinical and scientific considerations. | The most important factors contributing to the success of enamel microabrasion are the location and depth of the enamel stain or defect. The alteration must be restricted to enamel tissue, without involvement of the dentin. Deeper, opaque stains, such as those resulting from hypoplasia, cannot be resolved with microabrasion and require a restorative approach. | Accumulating evidence suggests that enamel microabrasion is efficient and effective for producing esthetic improvements. This technique involves minimal enamel loss, leaving a smooth and shiny enamel surface with permanent results. |
| Blanchet I et al., 2023 [27] | Microabrasion in the management of enamel discolorations in paediatric dentistry: a systematic review. | The main assessment used in the included studies was an improvement in smile esthetics after microabrasion treatment. The initial description of the discoloration follows a clinical examination allowing comparison with different classifications (TF Index, Dean Index, TSIF, ICDAS, MDDEI, DDE index, MIH EAPD classification) without precise depth assessment. | Microabrasion appears to be an effective and reliable technique for the management of pre- and post-eruptive enamel discolorations of permanent teeth in pediatric dentistry, especially for dental fluorosis for which this review shows an efficiency on the mild to severe forms. |
| Rocha AO et al., 2024 [28] | A global overview of enamel microabrasion for white spot lesions: a bibliometric review. | Regarding the microabrasion protocol, Opalustre (Ultradent) was the most used material, followed by comparisons between different materials, pumice stone and 37% phosphoric acid, Prema (Premiere), hydrochloric acid and pumice stone, hydrochloric acid alone, acid and sandpaper disk, diamond tip and acid, and laser. | The scientific background of enamel microabrasion for the treatment of white spots is based mainly on case reports and series. The most addressed white spot lesion in the studies was dental fluorosis, and the main objective of the studies was to evaluate the clinical performance of this procedure. |
| Bacionyte G et al., 2019 [29] | Microabrasion in Pediatric Dentistry and Orthodontics | Microabrasion can only remove lesions located not deeper than in the 40 um depth of enamel, so this kind of treatment for deeper lesions is not effective enough and so have to be combined with other treatment methodologies. Precise lesion depth evaluation in vivo can be only evaluated using traditional methodologies, e.g., ultrasound, transillumination or visual evaluation, which is not always precise enough. | Every clinical situation requires analytical thinking and complex treatment plan. It was already proven that any kind of treatment for patients with enamel defects can be useful to increase the quality of the social life so it is always good to consider microabrasion as a minimally invasive treatment to benefit for the following treatment of enamel defects. |
| Di Giovanni T et al., 2018 [30] | Interventions for dental fluorosis: A systematic review | Compared to bleaching, microabrasion resulted in a significantly smaller esthetic improvement of fluorotic stains 6 months after treatment, which was clinically relevant. On the other side, no difference could be found post-treatment in tooth sensitivity between the microabrasion and bleaching. | Based on the existing limited evidence, resin infiltration seems to be the most promising treatment for dental fluorosis, followed by bleaching and microabrasion. |
Disclaimer/Publisher’s Note: The statements, opinions and data contained in all publications are solely those of the individual author(s) and contributor(s) and not of MDPI and/or the editor(s). MDPI and/or the editor(s) disclaim responsibility for any injury to people or property resulting from any ideas, methods, instructions or products referred to in the content. |
© 2025 by the authors. Licensee MDPI, Basel, Switzerland. This article is an open access article distributed under the terms and conditions of the Creative Commons Attribution (CC BY) license (https://creativecommons.org/licenses/by/4.0/).
Share and Cite
Villalobos-Tinoco, J.; Jurado, C.A.; Rojas-Rueda, S.; Citrin, N.S.; Colvert, S.; Gutierrez-Quintero, J.L.; Mekled, S. Micro- and Macroabrasion in the Esthetic Zone: A Narrative Review and Case Study. Dent. J. 2025, 13, 183. https://doi.org/10.3390/dj13050183
Villalobos-Tinoco J, Jurado CA, Rojas-Rueda S, Citrin NS, Colvert S, Gutierrez-Quintero JL, Mekled S. Micro- and Macroabrasion in the Esthetic Zone: A Narrative Review and Case Study. Dentistry Journal. 2025; 13(5):183. https://doi.org/10.3390/dj13050183
Chicago/Turabian StyleVillalobos-Tinoco, Jose, Carlos A. Jurado, Silvia Rojas-Rueda, Nechama S. Citrin, Staley Colvert, Jose Luis Gutierrez-Quintero, and Salwa Mekled. 2025. "Micro- and Macroabrasion in the Esthetic Zone: A Narrative Review and Case Study" Dentistry Journal 13, no. 5: 183. https://doi.org/10.3390/dj13050183
APA StyleVillalobos-Tinoco, J., Jurado, C. A., Rojas-Rueda, S., Citrin, N. S., Colvert, S., Gutierrez-Quintero, J. L., & Mekled, S. (2025). Micro- and Macroabrasion in the Esthetic Zone: A Narrative Review and Case Study. Dentistry Journal, 13(5), 183. https://doi.org/10.3390/dj13050183

