Novel Roles of Nestin in Postnatal Root Formation
Abstract
1. Introduction
2. Methods and Materials
2.1. Animals
2.2. Immunohistochemistry
2.3. Backscattered Scanning Electron Microscopy (SEM) and Acid-Etched SEM
2.4. FITC Staining
2.5. Statistical Analysis
3. Results
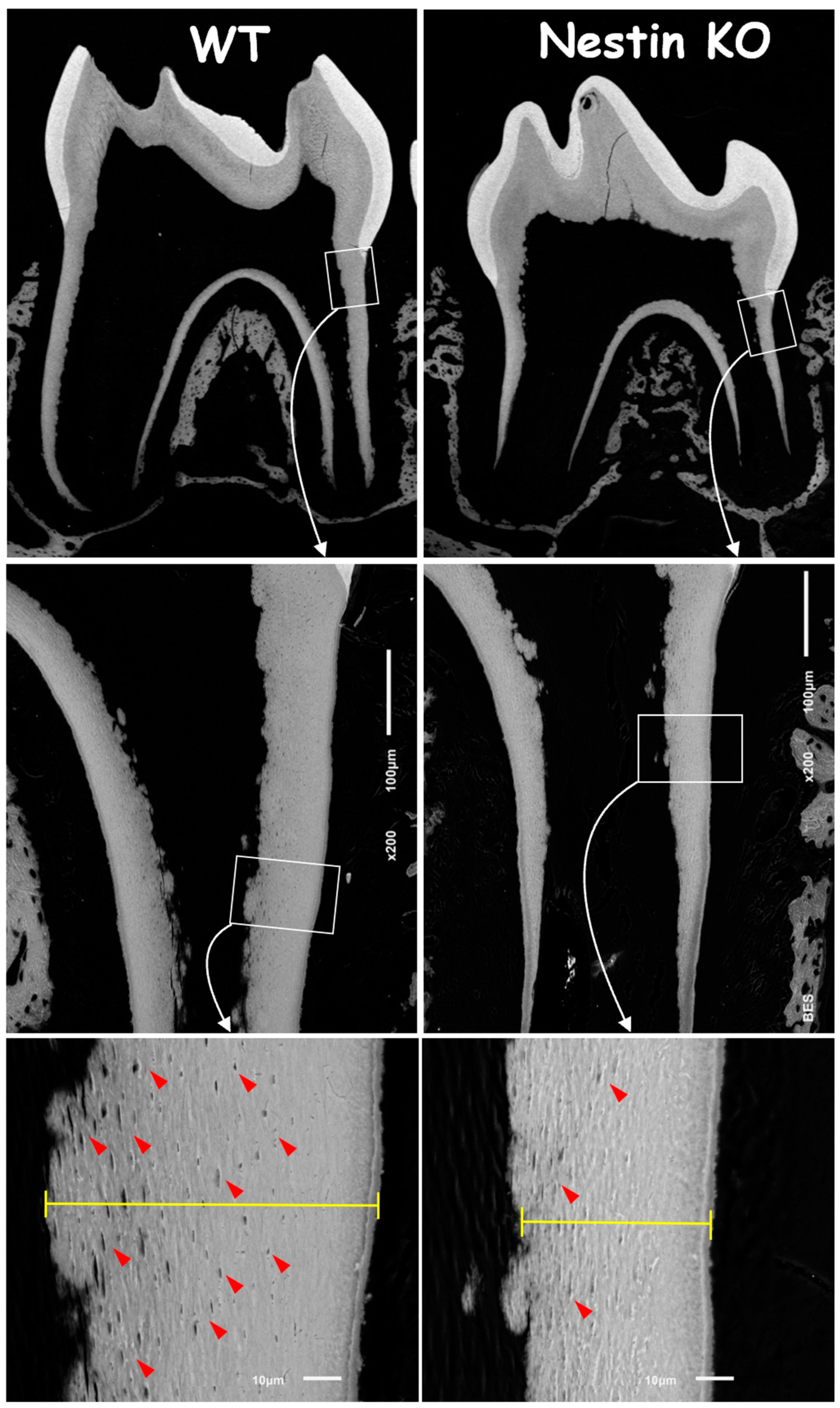
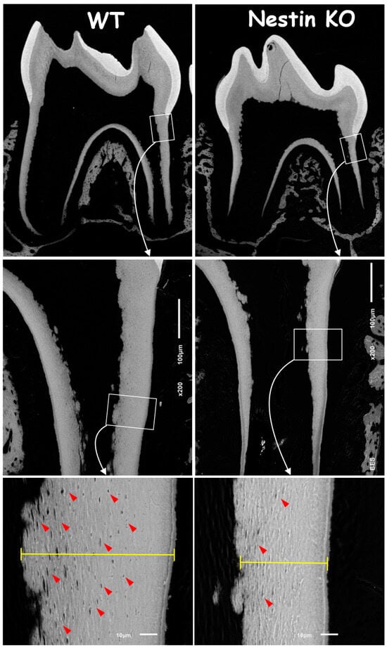
3.1. Nestin KO Mice Displayed Short and Thin Molar Dentin with Delayed Molar Eruption
3.2. Nestin KO Mice Displayed Malformed Dentin Tubules in Roots
3.3. Nestin KO Mice Developed Defects in Cellular but Not Acellular Cementum
4. Discussion
Supplementary Materials
Author Contributions
Funding
Institutional Review Board Statement
Informed Consent Statement
Data Availability Statement
Conflicts of Interest
References
- Lacruz, R.S.; Habelitz, S.; Wright, J.T.; Paine, M.L. Dental Enamel Formation and Implications for Oral Health and Disease. Physiol. Rev. 2017, 97, 939–993. [Google Scholar] [CrossRef] [PubMed]
- Sonoyama, W.; Seo, B.M.; Yamaza, T.; Shi, S. Human Hertwig’s epithelial root sheath cells play crucial roles in cementum formation. J. Dent. Res. 2007, 86, 594–599. [Google Scholar] [CrossRef] [PubMed]
- Luan, X.H.; Ito, Y.; Diekwisch, T.G.H. Evolution and development of Hertwig’s epithelial root sheath. Dev. Dyn. 2006, 235, 1167–1180. [Google Scholar] [CrossRef] [PubMed]
- Jernvall, J.; Thesleff, I. Reiterative signaling and patterning during mammalian tooth morphogenesis. Mech. Dev. 2000, 92, 19–29. [Google Scholar] [CrossRef]
- Lan, Y.; Jia, S.H.; Jiang, R.L. Molecular patterning of the mammalian dentition. Semin. Cell Dev. Biol. 2014, 25, 61–70. [Google Scholar] [CrossRef]
- Lee, D.S.; Park, J.T.; Kim, H.M.; Ko, J.S.; Son, H.H.; Gronostajski, R.M.; Cho, M.I.; Choung, P.H.; Park, J.C. Nuclear Factor I-C Is Essential for Odontogenic Cell Proliferation and Odontoblast Differentiation during Tooth Root Development. J. Biol. Chem. 2009, 284, 17293–17303. [Google Scholar] [CrossRef]
- Park, J.C.; Herr, Y.; Kim, H.J.; Gronostajski, R.M.; Cho, M. Nfic gene disruption inhibits differentiation of Odontoblasts responsible for root formation and results in formation of short and abnormal roots in mice. J. Periodontol. 2007, 78, 1795–1802. [Google Scholar] [CrossRef]
- Steele-Perkins, G.; Butz, K.G.; Lyons, G.E.; Zeichner-David, M.; Kim, H.J.; Cho, M.I.; Gronostajski, R.M. Essential role for NFI-C/CTF transcription-replication factor in tooth root development. Mol. Cell. Biol. 2003, 23, 1075–1084. [Google Scholar] [CrossRef]
- Lee, D.S.; Choung, H.W.; Kim, H.J.; Gronostajski, R.M.; Yang, Y.I.; Ryoo, H.M.; Lee, Z.H.; Kim, H.H.; Cho, E.S.; Park, J.C. NFI-C Regulates Osteoblast Differentiation via Control of Osterix Expression. Stem Cells 2014, 32, 2467–2479. [Google Scholar] [CrossRef]
- Zhang, H.; Jiang, Y.; Qin, C.L.; Liu, Y.; Ho, S.P.; Feng, J.Q. Essential Role of Osterix for Tooth Root but not Crown Dentin Formation. J. Bone Miner. Res. 2015, 30, 742–746. [Google Scholar] [CrossRef]
- Bernal, A.; Arranz, L. Nestin-expressing progenitor cells: Function, identity and therapeutic implications. Cell. Mol. Life Sci. 2018, 75, 2177–2195. [Google Scholar] [CrossRef] [PubMed]
- Xie, L.; Zeng, X.; Hu, J.; Chen, Q.M. Characterization of Nestin, a Selective Marker for Bone Marrow Derived Mesenchymal Stem Cells. Stem Cells Int. 2015, 2015, 762098. [Google Scholar] [CrossRef] [PubMed]
- About, I.; Laurent-Maquin, D.; Lendahl, U.; Mitsiadis, T.A. Nestin expression in embryonic and adult human teeth under normal and pathological conditions. Am. J. Pathol. 2000, 157, 287–295. [Google Scholar] [CrossRef]
- Dusart, P.; Fagerberg, L.; Perisic, L.; Civelek, M.; Struck, E.; Hedin, U.; Uhlén, M.; Trégouët, D.A.; Renné, T.; Odeberg, J.; et al. A systems-approach reveals human nestin is an endothelial-enriched, angiogenesis-independent intermediate filament protein. Sci. Rep. 2018, 8, 14668. [Google Scholar] [CrossRef] [PubMed]
- Yashiro, M.; Mii, S.; Aki, R.; Hamada, Y.; Arakawa, N.; Kawahara, K.; Hoffman, R.M.; Amoh, Y. From hair to heart: Nestin-expressing hair-follicle-associated pluripotent (HAP) stem cells differentiate to beating cardiac muscle cells. Cell Cycle 2015, 14, 2362–2366. [Google Scholar] [CrossRef]
- Bertelli, E.; Regoli, M.; Fonzi, L.; Occhini, R.; Mannucci, S.; Ermini, L.; Toti, P. Nestin expression in adult and developing human kidney. J. Histochem. Cytochem. 2007, 55, 411–421. [Google Scholar] [CrossRef]
- Quispe-Salcedo, A.; Ida-Yonemochi, H.; Nakatomi, M.; Ohshima, H. Expression patterns of nestin and dentin sialoprotein during dentinogenesis in mice. Biomed. Res. 2012, 33, 119–132. [Google Scholar] [CrossRef]
- Mohseni, P.; Sung, H.K.; Murphy, A.J.; Laliberte, C.L.; Pallari, H.M.; Henkelman, M.; Georgiou, J.; Xie, G.; Quaggin, S.E.; Thorner, P.S.; et al. Nestin Is Not Essential for Development of the CNS But Required for Dispersion of Acetylcholine Receptor Clusters at the Area of Neuromuscular Junctions. J. Neurosci. 2011, 31, 11547–11552. [Google Scholar] [CrossRef]
- National Research Council. Guide for the Care and Use of Laboratory Animals, 8th ed.; The National Academies Press: Washington, DC, USA, 2011. [Google Scholar] [CrossRef]
- Ciani, C.; Doty, S.B.; Fritton, S.R. An effective histological staining process to visualize bone interstitial fluid space using confocal microscopy. Bone 2009, 44, 1015–1017. [Google Scholar] [CrossRef][Green Version]
- Hagio, M.; Matsuda, Y.; Suzuki, T.; Ishiwata, T. Nestin regulates epithelial-mesenchymal transition marker expression in pancreatic ductal adenocarcinoma cell lines. Mol. Clin. Oncol. 2013, 1, 83–87. [Google Scholar] [CrossRef]
- Mao, M.Q.; Jing, J.; Miao, Y.J.; Lv, Z.F. Epithelial-Mesenchymal Interaction in Hair Regeneration and Skin Wound Healing. Front. Med. 2022, 9, 863786. [Google Scholar] [CrossRef] [PubMed]
- Nanci, A. Ten Cate’s Oral Histology: Development, Structure, and Function; Elsevier: St. Louis, MO, USA, 2017. [Google Scholar]
- Morsczeck, C.; Götz, W.; Schierholz, J.; Zellhofer, F.; Kühn, U.; Möhl, C.; Sippel, C.; Hoffmann, K.H. Isolation of precursor cells (PCs) from human dental follicle of wisdom teeth. Matrix Biol. 2005, 24, 155–165. [Google Scholar] [CrossRef] [PubMed]
- Akiyama, H.; Kim, J.E.; Nakashima, K.; Balmes, G.; Iwai, N.; Deng, J.M.; Zhang, Z.P.; Martin, J.F.; Behringer, R.R.; Nakamura, T.; et al. Osteo-chondroprogenitor cells are derived from Sox9 expressing precursors. Proc. Natl. Acad. Sci. USA 2005, 102, 14665–14670. [Google Scholar] [CrossRef] [PubMed]
- Liu, F.; Woitge, H.W.; Braut, A.; Kronenberg, M.S.; Lichtler, A.C.; Mina, M.; Kream, B.E. Expression and activity of osteoblast-targeted Cre recombinase transgenes in murine skeletal tissues. Int. J. Dev. Biol. 2004, 48, 645–653. [Google Scholar] [CrossRef]






Disclaimer/Publisher’s Note: The statements, opinions and data contained in all publications are solely those of the individual author(s) and contributor(s) and not of MDPI and/or the editor(s). MDPI and/or the editor(s) disclaim responsibility for any injury to people or property resulting from any ideas, methods, instructions or products referred to in the content. |
© 2025 by the authors. Licensee MDPI, Basel, Switzerland. This article is an open access article distributed under the terms and conditions of the Creative Commons Attribution (CC BY) license (https://creativecommons.org/licenses/by/4.0/).
Share and Cite
Jing, Y.; Wu, J.; Liu, Y.; Liu, X.; Ma, C. Novel Roles of Nestin in Postnatal Root Formation. Dent. J. 2025, 13, 113. https://doi.org/10.3390/dj13030113
Jing Y, Wu J, Liu Y, Liu X, Ma C. Novel Roles of Nestin in Postnatal Root Formation. Dentistry Journal. 2025; 13(3):113. https://doi.org/10.3390/dj13030113
Chicago/Turabian StyleJing, Yan, Jinqiu Wu, Ying Liu, Xiaohua Liu, and Chi Ma. 2025. "Novel Roles of Nestin in Postnatal Root Formation" Dentistry Journal 13, no. 3: 113. https://doi.org/10.3390/dj13030113
APA StyleJing, Y., Wu, J., Liu, Y., Liu, X., & Ma, C. (2025). Novel Roles of Nestin in Postnatal Root Formation. Dentistry Journal, 13(3), 113. https://doi.org/10.3390/dj13030113

