Retrospective Clinical Evaluation of Non-Engaging Abutments Used for Multi-Unit Screw-Retained Fixed Prosthesis
Abstract
1. Introduction
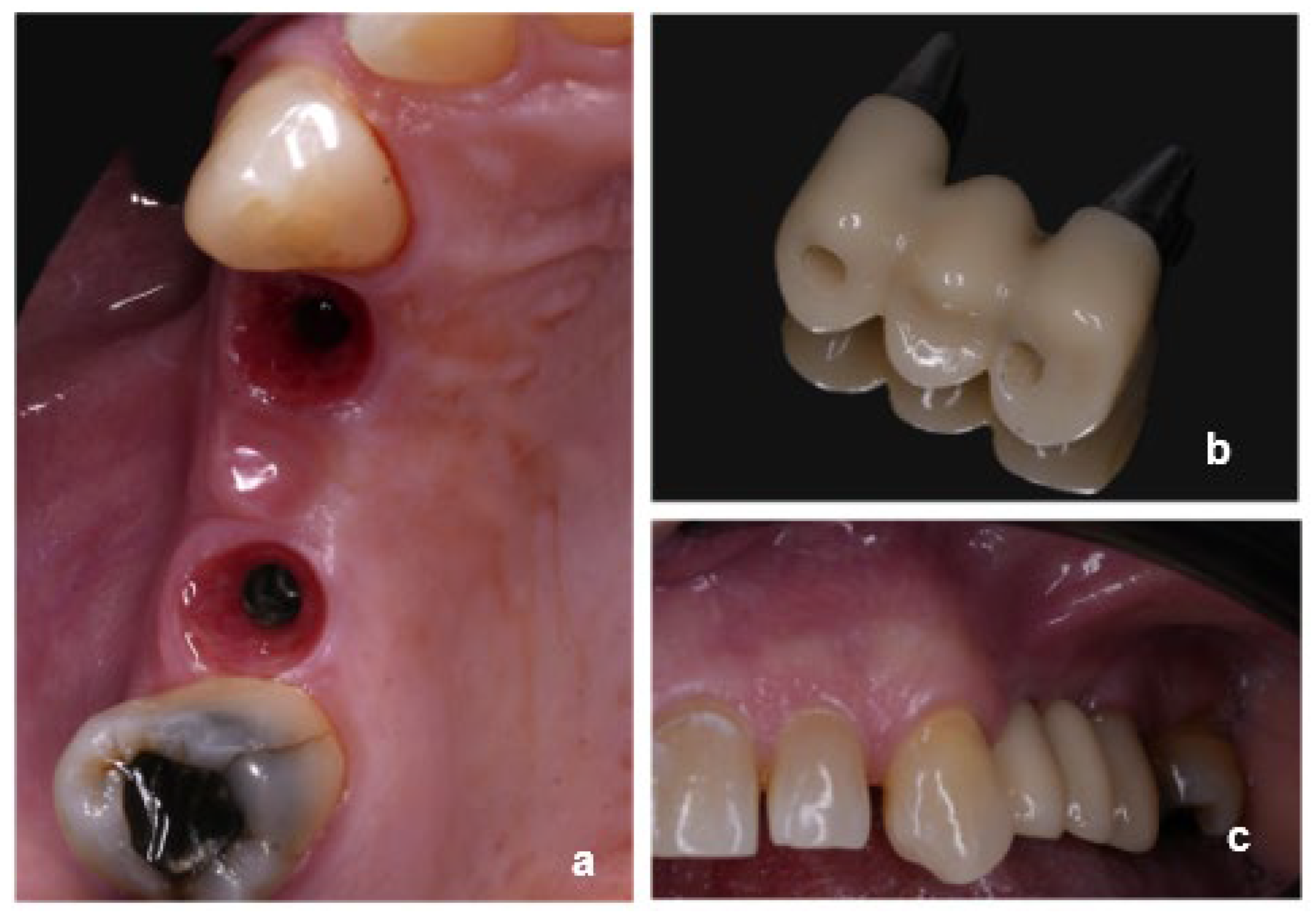
2. Materials and Methods
3. Results
4. Discussion
5. Conclusions
Author Contributions
Funding
Institutional Review Board Statement
Informed Consent Statement
Data Availability Statement
Conflicts of Interest
References
- Koutouzis, T. Implant-abutment connection as contributing factor to peri-implant diseases. Periodontology 2000 2019, 81, 152–166. [Google Scholar] [CrossRef] [PubMed]
- Al-Turki, L.E.; Chai, J.; Lautenschlager, E.P.; Hutten, M.C. Changes in prosthetic screw stability because of misfit of implant-supported prostheses. Int. J. Prosthodont. 2002, 15, 38–42. [Google Scholar] [PubMed]
- Gross, M.; Abramovich, I.; Weiss, E.I. Microleakage at the abutment-implant interface of osseointegrated implants: A comparative study. Int. J. Oral Maxillofac. Implant. 1999, 14, 94–100. [Google Scholar]
- Sasada, Y.; Cochran, D.L. Implant-abutment connections: A review of biologic consequences and peri-implantitis implications. Int. J. Oral Maxillofac. Implant. 2017, 32, 1296–1307. [Google Scholar] [CrossRef]
- Hoyer, S.A.; Stanford, C.M.; Buranadham, S.; Fridrich, T.; Wagner, J.; Gratton, D. Dynamic fatigue properties of the dental implant-abutment interface: Joint opening in wide-diameter versus standard-diameter hex-type implants. J. Prosthet. Dent. 2001, 85, 599–607. [Google Scholar] [CrossRef]
- Khraisat, A.; Stegaroiu, R.; Nomura, S.; Miyakawa, O. Fatigue resistance of two implant/abutment joint designs. J. Prosthet. Dent. 2002, 88, 604–610. [Google Scholar] [CrossRef]
- Laleman, I.; Lambert, F. Implant connection and abutment selection as a predisposing and/or precipitating factor for peri-implant diseases: A review. Clin. Implant. Dent. Relat. Res. 2023, 25, 723–733. [Google Scholar] [CrossRef]
- Gracis, S.; Michalakis, K.; Vigolo, P.; Vult von Steyern, P.; Zwahlen, M.; Sailer, I. Internal vs. external connections for abutments/reconstructions: A systematic review. Clin. Oral Implant. Res. 2012, 23, 202–216. [Google Scholar] [CrossRef]
- Chen, J.; Guo, J.; Yang, L.; Wang, L.; Zhang, X. Effect of different implant angulations on the biomechanical performance of prosthetic screws in two implant-supported, screw-retained prostheses: A numerical and experimental study. J. Prosthet. Dent. 2023, 130, 240.e1–240.e10. [Google Scholar] [CrossRef]
- Savignano, R.; Soltanzadeh, P.; Suprono, M.S. Computational biomechanical analysis of engaging and nonengaging abutments for implant screw-retained fixed dental prostheses. J. Prosthodont. 2021, 30, 604–609. [Google Scholar] [CrossRef]
- Rutkunas, V.; Dirse, J.; Kules, D.; Simonaitis, T. Misfit simulation on implant prostheses with different combinations of engaging and nonengaging titanium bases. Part 1: Stereomicroscopic assessment of the active and passive fit. J. Prosthet. Dent. 2023, 129, 589–596. [Google Scholar] [CrossRef]
- Alzoubi, F.M.; Sabti, M.Y.; Alsarraf, E.; Alshahrani, F.A.; Sadowsky, S.J. Engaging vs. Non-Engaging Abutments: An In Vitro Study Evaluating Changes in Microgap and Screw Morphology. Dent. J. 2024, 12, 265. [Google Scholar] [CrossRef]
- Rutkunas, V.; Dirse, J.; Kules, D.; Mischitz, I.; Larsson, C.; Janda, M. Misfit simulation on implant prostheses with different combinations of engaging and nonengaging titanium bases. Part 2: Screw resistance test. J. Prosthet. Dent. 2024, 131, 262–271. [Google Scholar] [CrossRef] [PubMed]
- Kwan, J.C.; Kwan, N. The Effects of a Vertical Compressive Cyclic Load on Abutment Screws and the Stability of the Prosthesis in Nonengaging and Partially Engaging Abutments in a Screw-Retained Splinted Fixed Dental Prosthesis. Int. J. Oral Maxillofac. Implant. 2022, 37, 571–578. [Google Scholar] [CrossRef] [PubMed]
- Choi, J.H.; Lim, Y.J.; Yim, S.H.; Kim, C.W. Evaluation of the accuracy of implant-level impression techniques for internal-connection implant prostheses in parallel and divergent models. Int. J. Oral Maxillofac. Implant. 2007, 22, 761–768. [Google Scholar]
- Palma-Carrió, C.; Macconi, A.; Rubert-Aparici, A.; Vidal-Peiró, P.; Menéndez-Nieto, I.; Blaya-Tárraga, J.A. Prosthetic Complications of Single Screw-Retained Implant-Supported Metal-Ceramic Fixed Prostheses: A Retrospective Observational Study. Int. J. Dent. 2024, 2024, 9242928. [Google Scholar] [CrossRef]
- Rutkunas, V.; Kules, D.; Mischitz, I.; Huber, S.; Revilla-León, M.; Larsson, C.; Janda, M. Misfit simulation on implant-supported prostheses with different combinations of engaging and nonengaging titanium bases: Part 3: A radiographic evaluation. J. Prosthet. Dent. 2025, 133, 222–228. [Google Scholar] [CrossRef]
- Eid, H.S.; Zohdy, M.M.; Nour, M.; Salah, T. A comparative analysis of the passivity of fit of complete arch implant-supported frameworks fabricated using different acquisition techniques. J. Prosthet. Dent. 2024, 131, 477. [Google Scholar] [CrossRef]
- Sakar, D.; Guncu, M.B.; Arikan, H.; Muhtarogullari, M.; Aktas, G.; Reiss, N.; Turkyilmaz, I. Effect of different implant locations and abutment types on stress and strain distribution under non-axial loading: A 3-dimensional finite element analysis. J. Dent. Sci. 2024, 19, 607–613. [Google Scholar] [CrossRef]
- Schoenbaum, T.R.; Stevenson, R.G.; Balinghasay, E. The hemi-engaging fixed dental implant prosthesis: A technique for improved stability and handling. J. Prosthet. Dent. 2018, 120, 17–19. [Google Scholar] [CrossRef]
- Anniwaer, A.; Yin, Z.; Zhu, J.; Huang, C. Effect of abutment type and creep behavior on the mechanical properties of implant restorations in the anterior region: A finite element analysis. J. Prosthodont. 2024, 33, 93–102. [Google Scholar] [CrossRef]
- Covani, U.; Marconcini, S.; Crespi, R.; Barone, A. Bacterial plaque colonization around dental implant surfaces. Implant. Dent. 2006, 15, 298–304. [Google Scholar] [CrossRef]
- Darby, I. Risk factors for periodontitis & peri-implantitis. Periodontology 2000 2022, 90, 9–12. [Google Scholar] [PubMed]
- Saleh, M.H.; Galli, M.; Siqueira, R.; Vera, M.; Wang, H.L.; Ravida, A. The Prosthetic-Biologic Connection and Its Influence on Peri-implant Health: An Overview of the Current Evidence. Int. J. Oral Maxillofac. Implant. 2022, 37, 690–699. [Google Scholar] [CrossRef]
- Martini, A.P.; Freitas, A.C., Jr.; Rocha, E.P.; de Almeida, E.O.; Anchieta, R.B.; Kina, S.; Fasolo, G.B. Straight and angulated abutments in platform switching: Influence of loading on bone stress by three-dimensional finite element analysis. J. Craniofac. Surg. 2012, 23, 415–418. [Google Scholar] [CrossRef] [PubMed]
- Siripru, J.; Puengpaiboon, U.; Sukjamsri, C.; Mahardawi, B.; Aimjirakul, N. Impact of type and position of abutment connection on microstrain distribution: An in vitro study. J. Adv. Prosthodont. 2024, 16, 290–301. [Google Scholar] [CrossRef]
- Epprecht, A.; Zeltner, M.; Benic, G.; Özcan, M. A strain gauge analysis comparing 4-unit veneered zirconium dioxide implant-borne fixed dental prosthesis on engaging and non-engaging abutments before and after torque application. Clin. Exp. Dent. Res. 2018, 4, 13–18. [Google Scholar] [CrossRef]
- World Medical Association. World Medical Association Declaration of Helsinki: Ethical principles for medical research involving human subjects. JAMA 2013, 310, 2191–2194. [Google Scholar] [CrossRef] [PubMed]
- von Elm, E.; Altman, D.G.; Egger, M.; Pocock, S.J.; Gotzsche, P.C.; Vandenbroucke, J.P. Strengthening the Reporting of Observational Studies in Epidemiology (STROBE) statement: Guidelines for reporting observational studies. BMJ 2007, 335, 806–808. [Google Scholar] [CrossRef]
- Abduo, J.; Bennani, V.; Waddell, N.; Lyons, K.; Swain, M. Assessing the fit of implant fixed prostheses: A critical review. Int. J. Oral Maxillofac. Implant. 2010, 25, 506–515. [Google Scholar] [PubMed]
- Matsuoka, T.; Nakano, T.; Yamaguchi, S.; Ono, S.; Watanabe, S.; Sato, T.; Yatani, H. Effects of Implant-Abutment Connection Type and Inter-Implant Distance on Inter-Implant Bone Stress and Microgap: Three-Dimensional Finite Element Analysis. Materials 2021, 14, 2421. [Google Scholar] [CrossRef]
- Takahashi, J.M.; Dayrell, A.C.; Consani, R.L.; de Arruda Nóbilo, M.A.; Henriques, G.E.; Mesquita, M.F. Stress evaluation of implant-abutment connections under different loading conditions: A 3D finite element study. J. Oral Implant. 2015, 41, 133–137. [Google Scholar] [CrossRef]
- Rutkunas, V.; Larsson, C.; Vult von Steyern, P.; Mangano, F.; Gedrimiene, A. Clinical and laboratory passive fit assessment of implant-supported zirconia restorations fabricated using conventional and digital workflow. Clin. Implant. Dent. Relat. Res. 2020, 22, 237–245. [Google Scholar] [CrossRef]
- Byun, S.H.; Seo, J.H.; Cho, R.Y.; Yi, S.M.; Kim, L.K.; Han, H.S.; On, S.W.; Kim, W.H.; An, H.W.; Yang, B.E. Finite Element Analysis of a New Non-Engaging Abutment System for Three-Unit Implant-Supported Fixed Dental Prostheses. Bioengineering 2022, 9, 483. [Google Scholar] [CrossRef]
- Schrotenboer, J.; Tsao, Y.P.; Kinariwala, V.; Wang, H.L. Effect of platform switching on implant crest bone stress: A finite element analysis. Implant. Dent. 2009, 18, 260–269. [Google Scholar] [CrossRef] [PubMed]
- Pjetursson, B.E.; Zarauz, C.; Strasding, M.; Sailer, I.; Zwahlen, M.; Zembic, A. A systematic review of the influence of the implant-abutment connection on the clinical outcomes of ceramic and metal implant abutments supporting fixed implant reconstructions. Clin. Oral Implant. Res. 2018, 29, 160–183. [Google Scholar] [CrossRef] [PubMed]
- Galindo-Moreno, P.; León-Cano, A.; Ortega-Oller, I.; Monje, A.; Valle, F.; Catena, A. Marginal bone loss as success criterion in implant dentistry: Beyond 2 mm. Clin. Oral Implant. Res. 2015, 26, e28–e34. [Google Scholar] [CrossRef] [PubMed]
- ISO 16256:2021; Clinical Laboratory Testing and In Vitro Diagnostic Test Systems—Broth Micro-Dilution Reference Method for Testing the In Vitro Activity of Antimicrobial Agents Against Yeast Fungi Involved in Infectious Diseases. International Organization for Standardization: Geneva, Switzerland, 2021. Available online: https://www.iso.org/standard/79379.html (accessed on 1 November 2025).
- Cho, S.-M.; Byun, S.-H.; Ahn, S.-Y.; Han, H.-S.; On, S.-W.; Park, S.-Y.; Yi, S.-M.; Park, I.-Y.; Yang, B.-E.; Kim, L.-K. Biomechanical Evaluation of a Novel Non-Engaging Abutment and Screw in Internal Implant Systems: Comparative Fatigue and Load Testing. J. Funct. Biomater. 2025, 16, 107. [Google Scholar] [CrossRef]
- Moreira, F.; Rocha, S.; Caramelo, F.; Tondela, J.P. One-Abutment One-Time Effect on Peri-Implant Marginal Bone: A Prospective, Controlled, Randomized, Double-Blind Study. Materials 2021, 14, 4179. [Google Scholar] [CrossRef] [PubMed] [PubMed Central]
- Calatrava, J.; Sanz-Sánchez, I.; Molina, A.; Bollain, J.; Martín, C.; Sanz, M. Effect of one-time placement of the definitive abutment versus multiple healing abutment disconnections and reconnections during the prosthetic phase on radiographic and clinical outcomes: A 12-month randomized clinical trial. Clin. Implant. Dent. Relat. Res. 2024, 26, 998–1011. [Google Scholar] [CrossRef]
- Quispe-López, N.; Gómez-Polo, C.; Flores-Fraile, J.; Figueras-Álvarez, O.; Muñoz-Bruguier, M.; López-Valverde, N.; Montero, J. The influence of peri-implant mucosal phenotype on marginal bone changes in single-tooth implants with direct restorations: A 36-month clinical trial. J. Dent. 2025, 163, 106100. [Google Scholar] [CrossRef]
- Vigolo, P.; Gracis, S.; Carboncini, F.; Mutinelli, S.; AIOP (Italian Academy of Prosthetic Dentistry) Clinical Research Group. Internal- vs. External-Connection Single Implants: A Retrospective Study in an Italian Population Treated by Certified Prosthodontists. Int. J. Oral Maxillofac. Implant. 2016, 31, 1385–1396. [Google Scholar] [CrossRef]
- Jepsen, S.; Berglundh, T.; Genco, R.; Aass, A.M.; Demirel, K.; Derks, J.; Figuero, E.; Giovannoli, J.L.; Goldstein, M.; Lambert, F. Primary prevention of peri-implantitis: Managing peri-implant mucositis. J. Clin. Periodontol. 2015, 42, S152–S157. [Google Scholar] [CrossRef]
- Renvert, S.; Quirynen, M. Risk indicators for peri-implantitis. A narrative review. Clin. Oral Implant. Res. 2015, 26, 15–44. [Google Scholar] [CrossRef]





| n = 40 | |
|---|---|
| Age (Mean ± sd) | 44.97 ± 12.08 |
| Gender (%) | 17 M (42.5%) 23 F (57.5%) |
| PPD (Mean ± sd) | 4.20 ± 0.76 |
| MBL (Mean ± sd) | 0.53 ± 0.33 |
| Group 1 (n = 17) | Group 2 (n = 16) | Group 3 (n = 7) | |
|---|---|---|---|
| Age (Mean ± sd) | 46.07 ± 13.15 | 47.03 ± 11.43 | 37.60 ± 9.09 |
| Gender (%) | 8 M (47%) 9 F (53%) | 7 M (44%) 9 F (56%) | 2 M (29%) 5 F (71%) |
| PPD (Mean ± sd) | 4.06 ± 0.83 | 4.44 ± 0.73 | 4.02 ± 0.58 |
| MBL (Mean ± sd) | 0.64 ± 0.44 | 0.46 ±0.21 | 0.44 ± 0.13 |
Disclaimer/Publisher’s Note: The statements, opinions and data contained in all publications are solely those of the individual author(s) and contributor(s) and not of MDPI and/or the editor(s). MDPI and/or the editor(s) disclaim responsibility for any injury to people or property resulting from any ideas, methods, instructions or products referred to in the content. |
© 2025 by the authors. Licensee MDPI, Basel, Switzerland. This article is an open access article distributed under the terms and conditions of the Creative Commons Attribution (CC BY) license (https://creativecommons.org/licenses/by/4.0/).
Share and Cite
De Angelis, P.; Liguori, M.G.; Rella, E.; Piccirillo, D.; Tescione, A.D.; Staffieri, A.; Manicone, P.F. Retrospective Clinical Evaluation of Non-Engaging Abutments Used for Multi-Unit Screw-Retained Fixed Prosthesis. Dent. J. 2025, 13, 525. https://doi.org/10.3390/dj13110525
De Angelis P, Liguori MG, Rella E, Piccirillo D, Tescione AD, Staffieri A, Manicone PF. Retrospective Clinical Evaluation of Non-Engaging Abutments Used for Multi-Unit Screw-Retained Fixed Prosthesis. Dentistry Journal. 2025; 13(11):525. https://doi.org/10.3390/dj13110525
Chicago/Turabian StyleDe Angelis, Paolo, Margherita Giorgia Liguori, Edoardo Rella, Davide Piccirillo, Alessandro Donato Tescione, Alberto Staffieri, and Paolo Francesco Manicone. 2025. "Retrospective Clinical Evaluation of Non-Engaging Abutments Used for Multi-Unit Screw-Retained Fixed Prosthesis" Dentistry Journal 13, no. 11: 525. https://doi.org/10.3390/dj13110525
APA StyleDe Angelis, P., Liguori, M. G., Rella, E., Piccirillo, D., Tescione, A. D., Staffieri, A., & Manicone, P. F. (2025). Retrospective Clinical Evaluation of Non-Engaging Abutments Used for Multi-Unit Screw-Retained Fixed Prosthesis. Dentistry Journal, 13(11), 525. https://doi.org/10.3390/dj13110525

