Sporadic Burkitt Lymphoma First Presenting as Painful Gingival Swellings and Tooth Hypermobility: A Life-Saving Referral
Abstract
1. Introduction
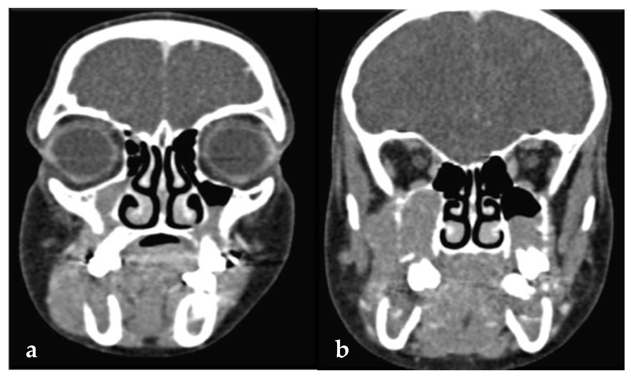
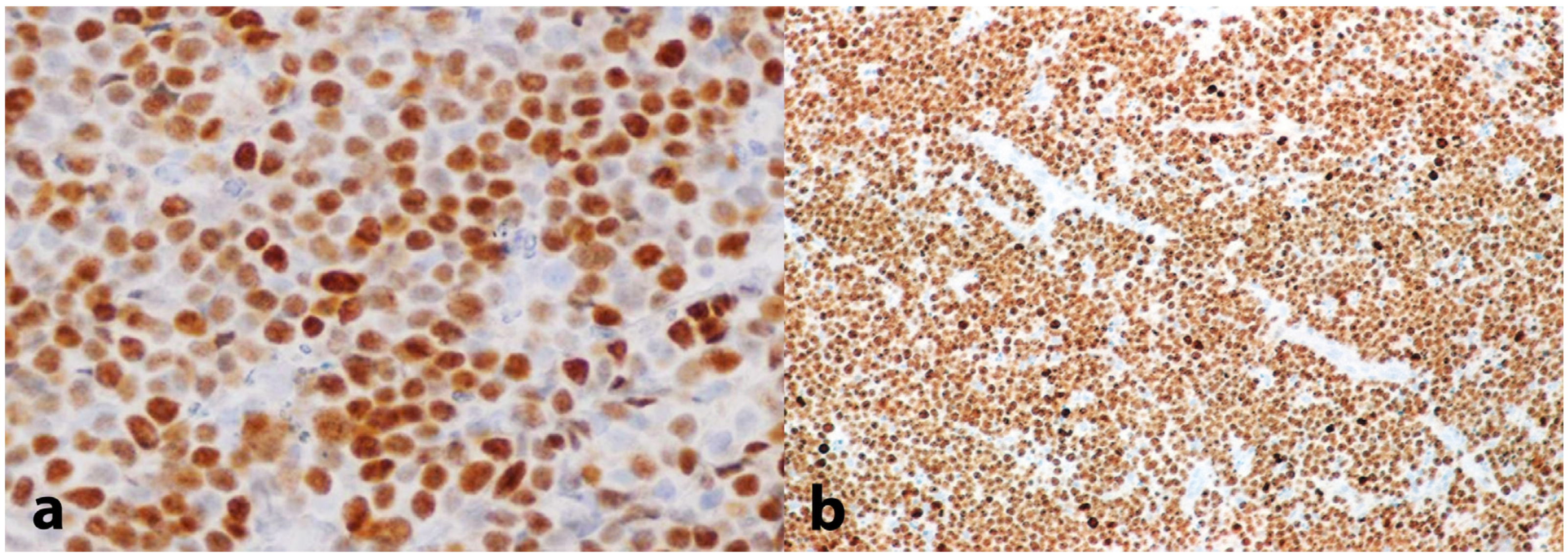
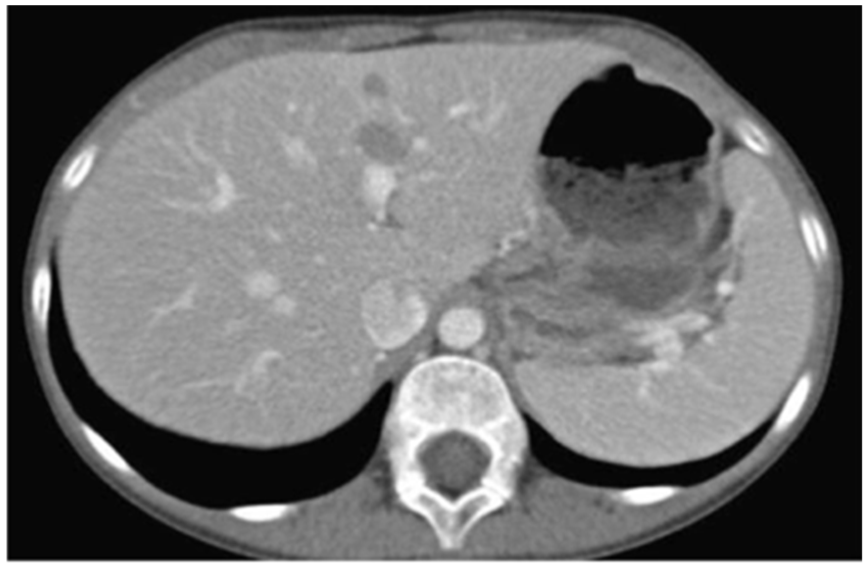
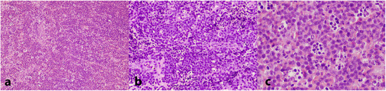
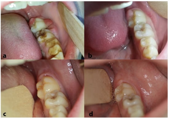
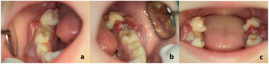
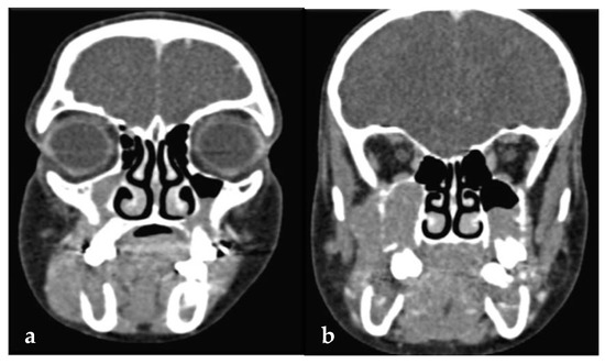
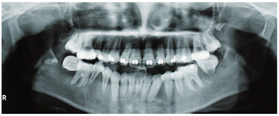
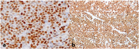
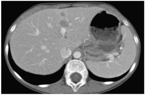
2. Case Presentation
3. Discussion
4. Conclusions
Author Contributions
Funding
Institutional Review Board Statement
Informed Consent Statement
Data Availability Statement
Conflicts of Interest
References
- Alexander, D.D.; Mink, P.J.; Adami, H.O.; Chang, E.T.; Cole, P.; Mandel, J.S.; Trichopoulos, D. The non-Hodgkin lymphomas: A review of the epidemiologic literature. Int. J. Cancer 2007, 120, 1–39. [Google Scholar] [CrossRef]
- Kalisz, K.; Alessandrino, F.; Beck, R.; Smith, D.; Kikano, E.; Ramaiya, N.H.; Tirumani, S.H. An update on Burkitt lymphoma: A review of pathogenesis and multimodality imaging assessment of disease presentation, treatment response, and recurrence. Insights Imaging 2019, 10, 56. [Google Scholar] [CrossRef]
- Rochford, R. Reframing Burkitt lymphoma: Virology not epidemiology defines clinical variants. Ann. Lymphoma 2021, 5, 22. [Google Scholar] [CrossRef] [PubMed]
- Burkitt, D. A sarcoma involving the jaws in African children. Br. J. Surg. 1958, 46, 218–223. [Google Scholar] [CrossRef] [PubMed]
- Ferry, J.A. Burkitt’s lymphoma: Clinicopathologic features and differential diagnosis. Oncologist 2006, 11, 375–383. [Google Scholar] [CrossRef] [PubMed]
- Magrath, I. Epidemiology: Clues to the pathogenesis of Burkitt lymphoma. Br. J. Haematol. 2012, 156, 744–756. [Google Scholar] [CrossRef] [PubMed]
- Shannon-Lowe, C.; Rickinson, A.B.; Bell, A.I. Epstein-Barr virus-associated lymphomas. Philos. Trans. R. Soc. Lond. B Biol. Sci. 2017, 372, 20160271. [Google Scholar] [CrossRef] [PubMed]
- Mbulaiteye, S.M.; Anderson, W.F.; Ferlay, J.; Bhatia, K.; Chang, C.; Rosenberg, P.S.; Devesa, S.S.; Parkin, D.M. Pediatric, elderly, and emerging adult-onset peaks in Burkitt’s lymphoma incidence diagnosed in four continents, excluding Africa. Am. J. Hematol. 2012, 87, 573–578. [Google Scholar] [CrossRef] [PubMed]
- Morton, L.M.; Wang, S.S.; Devesa, S.S.; Hartge, P.; Weisenburger, D.D.; Linet, M.S. Lymphoma incidence patterns by WHO subtype in the United States, 1992–2001. Blood 2006, 107, 265–276. [Google Scholar] [CrossRef]
- Komatsu, N.; Kawase-Koga, Y.; Mori, Y.; Kamikubo, Y.; Kurokawa, M.; Takato, T. HIV-associated Burkitt lymphoma in a Japanese patient with early submandibular swelling. BMC Res. Notes 2013, 6, 557. [Google Scholar] [CrossRef]
- Guech-Ongey, M.; Simard, E.P.; Anderson, W.F.; Engels, E.A.; Bhatia, K.; Devesa, S.S.; Mbulaiteye, S.M. AIDS-related Burkitt lymphoma in the United States: What do age and CD4 lymphocyte patterns tell us about etiology and/or biology? Blood 2010, 116, 5600–5604. [Google Scholar] [CrossRef]
- Alderuccio, J.P.; Olszewski, A.J.; Evens, A.M.; Collins, G.P.; Danilov, A.V.; Bower, M.; Jagadeesh, D.; Zhu, C.; Sperling, A.; Kim, S.H.; et al. HIV-associated Burkitt lymphoma: Outcomes from a US-UK collaborative analysis. Blood Adv. 2021, 5, 2852–2862. [Google Scholar] [CrossRef] [PubMed]
- Chuang, S.S.; Ye, H.; Du, M.Q.; Lu, C.L.; Dogan, A.; Hsieh, P.P.; Huang, W.T.; Jung, Y.C. Histopathology and immunohistochemistry in distinguishing Burkitt lymphoma from diffuse large B-cell lymphoma with very high proliferation index and with or without a starry-sky pattern: A comparative study with EBER and FISH. Am. J. Clin. Pathol. 2007, 128, 558–564. [Google Scholar] [CrossRef]
- Dozzo, M.; Carobolante, F.; Donisi, P.M.; Scattolin, A.; Maino, E.; Sancetta, R.; Viero, P.; Bassan, R. Burkitt lymphoma in adolescents and young adults: Management challenges. Adolesc. Health Med. Ther. 2016, 8, 11–29. [Google Scholar] [CrossRef] [PubMed]
- Cho, B.H.; Shin, D.H.; Jung, Y.H.; Park, H.R. Widely disseminated sporadic Burkitt lymphoma initially presented as oral manifestations in a 6-year-old boy. J. Oral Biol. Craniofacial Res. 2018, 8, 140–142. [Google Scholar] [CrossRef] [PubMed]
- Molyneux, E.M.; Rochford, R.; Griffin, B.; Newton, R.; Jackson, G.; Menon, G.; Harrison, C.J.; Israels, T.; Bailey, S. Burkitt’s lymphoma. Lancet 2012, 379, 1234–1244. [Google Scholar] [CrossRef]
- Lee, D.H.; Yu, M.S.; Lee, B.J. Primary Burkitt’s Lymphoma in the Nasal Cavity and Paranasal Sinuses. Clin. Exp. Otorhinolaryngol. 2013, 6, 184–186. [Google Scholar] [CrossRef] [PubMed]
- De Coninck, W.; Govaerts, D.; Bila, M.; Vansteenkiste, G.; Uyttebroeck, A.; Tousseyn, T.; Politis, C. Burkitt lymphoma in children causing an osteolytic lesion in the mandible: A case report. Clin. Case Rep. 2020, 9, 938–943. [Google Scholar] [CrossRef]
- Azimi, N.; Razmara, F.; Derakhshan, S.; Kardouni Khoozestani, N. Mandibular sporadic Burkitt lymphoma in an adult patient: A case report and review of the literature. Clin. Case Rep. 2021, 9, e04535. [Google Scholar] [CrossRef] [PubMed]
- Silva, T.D.; Ferreira, C.B.; Leite, G.B.; de Menezes Pontes, J.R.; Antunes, H.S. Oral manifestations of lymphoma: A systematic review. E Cancer Med. Sci. 2016, 10, 665. [Google Scholar] [CrossRef]
- Landesberg, R.; Yee, H.; Datikashvili, M.; Ahmed, A.N. Unilateral mandibular lip anesthesia as the sole presenting symptom of Burkitt’s lymphoma: Case report and review of literature. J. Oral Maxillofac. Surg. 2001, 59, 322–326. [Google Scholar] [CrossRef]
- Blum, K.A.; Lozanski, G.; Byrd, J.C. Adult Burkitt leukemia and lymphoma. Blood 2004, 104, 3009–3020. [Google Scholar] [CrossRef] [PubMed]
- Neri, A.; Barriga, F.; Inghirami, G.; Knowles, D.M.; Neequave, J.; Magrath, I.T.; Dalla-Favera, R. Epstein-Barr virus infection precedes clonal expansion in Burkitt’s and acquired immunodeficiency syndrome-associated lymphoma. Blood 1991, 77, 1092–1095. [Google Scholar] [CrossRef] [PubMed]
- Grywalska, E.; Markowicz, J.; Grabarczyk, P.; Pasiarski, M.; Rolinski, J. Epstein-Barr virus-associated lymphoproliferative disorders. Postepy Hig. Med. Dosw. (Online) 2013, 67, 481–490. [Google Scholar] [CrossRef]
- Kimura, H.; Kawada, J.; Ito, Y. Epstein-Barr virus-associated lymphoid malignancies: The expanding spectrum of hematopoietic neoplasms. Nagoya J. Med. Sci. 2013, 75, 169–179. [Google Scholar]
- Burmeister, T.; Schwartz, S.; Horst, H.A.; Rieder, H.; Gokbuget, N.; Hoelzer, D.; Thiel, E. Molecular heterogeneity of sporadic adult Burkitt-type leukemia/lymphoma as revealed by PCR and cytogenetics: Correlation with morphology, immunology and clinical features. Leukemia 2005, 19, 1391–1398. [Google Scholar] [CrossRef][Green Version]
- Brady, G.; MacArthur, G.J.; Farrell, P.J. Epstein-Barr virus and Burkitt lymphoma. J. Clin. Pathol. 2007, 60, 1397–1402. [Google Scholar] [CrossRef]
- Sandlund, J.T. Burkitt lymphoma: Staging and response evaluation. Br. J. Haematol. 2012, 156, 761–765. [Google Scholar] [CrossRef]
- Minard-Colin, V.; Aupérin, A.; Pillon, M.; Burke, G.A.A.; Barkauskas, D.A.; Wheatley, K.; Delgado, R.F.; Alexander, S.; Uttebroeck, A.; Bollard, C.M.; et al. European Intergroup for Childhood Non-Hodgkin Lymphoma; Children’s Oncology Group. Rituximab for High-Risk, Mature B-Cell Non-Hodgkin’s Lymphoma in Children. N. Engl. J. Med. 2020, 382, 2207–2219. [Google Scholar] [CrossRef] [PubMed]
- Patte, C.; Auperin, A.; Michon, J.; Behrendt, H.; Leverger, G.; Frappaz, D.; Lutz, P.; Coze, C.; Perel, Y.; Raphael, M.; et al. Société Française d’Oncologie Pédiatrique. The Société Française d’Oncologie Pédiatrique LMB89 protocol: Highly effective multiagent chemotherapy tailored to the tumor burden and initial response in 561 unselected children with B-cell lymphomas and L3 leukemia. Blood 2001, 97, 3370–3379. [Google Scholar]
- Evens, A.M.; Danilov, A.; Jagadeesh, D.; Sperling, A.; Kim, S.H.; Vaca, R.; Wei, C.; Rector, D.; Sundaram, S.; Reddy, N.; et al. Burkitt lymphoma in the modern era: Real-world outcomes and prognostication across 30 US cancer centers. Blood 2021, 137, 374–386. [Google Scholar] [CrossRef] [PubMed]
- Pagano, L.; Caira, M.; Valentini, C.G.; Fianchi, L. Clinical aspects and therapy of sporadic burkitt lymphoma. Mediterr. J. Hematol. Infect. Dis. 2009, 1, e2009030. [Google Scholar] [CrossRef] [PubMed]
- Kasamon, Y.L.; Swinnen, L.J. Treatment advances in adult Burkitt lymphoma and leukemia. Curr. Opin. Oncol. 2004, 16, 429–435. [Google Scholar] [CrossRef]
- Stewart, D.J.; Whitlock, R.I. Burkitt’s lymphoma. A case in Ireland. Br. Dent. J. 1972, 133, 255–257. [Google Scholar] [CrossRef] [PubMed]
- Joncas, J.H.; Rioux, E. Burkitt’s lymphoma of the jaw in a Canadian child. Can. Med. Assoc. J. 1977, 117, 367–368. [Google Scholar]
- Terrill, D.G.; Lee, A.; LeDonne, M.A.; Nusbaum, T.G. American Burkitt’s lymphoma in Pittsburgh, Pennsylvania. Oral Surg. Oral Med. Oral Pathol. 1977, 44, 411–418. [Google Scholar] [CrossRef]
- Moore, S.A.; Israel, H.; Johnson, G.F.; Bullock, J.D.; Stout, R.D. Clinical and radiographic oral changes in a case of American Burkitt’s lymphoma. Pediatr. Dent. 1983, 5, 145–148. [Google Scholar] [PubMed]
- Boraz, R.A. American Burkitt’s lymphoma: Report of a case with involvement of the jaws. Pediatr. Dent. 1983, 5, 273–275. [Google Scholar]
- Zachariades, N.; Papanicolaou, S. Non-endemic Burkitt’s lymphoma. Int. J. Oral Maxillofac. Surg. 1986, 15, 88–92. [Google Scholar] [CrossRef]
- Kearns, D.B.; Smith, R.J.; Pitcock, J.K. Burkitt’s lymphoma. Int. J. Pediatr. Otorhinolaryngol. 1986, 12, 73–84. [Google Scholar] [CrossRef] [PubMed]
- Alaluusua, S.; Donner, U.; Rapola, J. Nonendemic Burkitt’s lymphoma with jaw involvement: Case report. Pediatr. Dent. 1987, 9, 158–162. [Google Scholar] [PubMed]
- Svoboda, W.E.; Aaron, G.R.; Albano, E.A. North American Burkitt’s lymphoma presenting with intraoral symptoms. Pediatr. Dent. 1991, 13, 52–58. [Google Scholar]
- Wang, M.B.; Strasnick, B.; Zimmerman, M.C. Extranodal American Burkitt’s lymphoma of the head and neck. Arch. Otolaryngol. Head. Neck Surg. 1992, 118, 193–199. [Google Scholar] [CrossRef]
- Ardekian, L.; Peleg, M.; Samet, N.; Givol, N.; Taicher, S. Burkitt’s lymphoma mimicking an acute dentoalveolar abscess. J. Endod. 1996, 22, 697–698. [Google Scholar] [CrossRef] [PubMed]
- Lund, D.I.; Rodd, H.; Craig, G.T. Burkitt’s lymphoma presenting with jaw lesions in a young white girl. Br. J. Oral Maxillofac. Surg. 1997, 35, 438–441. [Google Scholar] [CrossRef]
- Alpaslan, C.; Cetiner, S.; Emek, D.; Oygur, T. Mandibular soft tissue mass as the initial presentation of Burkitt’s lymphoma. J. Clin. Pediatr. Dent. 1997, 21, 333–335. [Google Scholar]
- Hanazawa, T.; Kimura, Y.; Sakamaki, H.; Yamaguchi, A.; Nagumo, M.; Okano, T. Burkitt’s lymphoma involving the mandible: Report of a case and review of Japanese cases. Oral Surg. Oral Med. Oral Pathol. Oral Radiol. Endod. 1998, 85, 216–220. [Google Scholar] [CrossRef] [PubMed]
- Mitsudo, K.; Tohnai, I.; Hayashi, Y.; Ueda, M.; Yambe, M.; Hirose, Y. A case of Burkitt’s lymphoma that presented initially with resorption of alveolar bone. Oral Dis. 2000, 6, 256–258. [Google Scholar] [CrossRef]
- Tsui, S.H.; Wong, M.H.; Lam, W.Y. Burkitt’s lymphoma presenting as mandibular swelling--report of a case and review of publications. Br. J. Oral Maxillofac. Surg. 2000, 38, 8–11. [Google Scholar] [CrossRef] [PubMed]
- Liu, R.S.; Liu, H.C.; Bu, J.Q.; Dong, S.N. Burkitt’s lymphoma presenting with jaw lesions. J. Periodontol. 2000, 71, 646–649. [Google Scholar] [CrossRef]
- Durmuş, E.; Oz, G.; Güler, N.; Avunduk, M.; Calişkan, U.; Blanchaert, R.H., Jr. Intraosseous mandibular lesion. J. Oral Maxillofac. Surg. 2003, 61, 246–249. [Google Scholar] [CrossRef]
- Comfort, A.O. Burkitt’s lymphoma of the jaws: Role of dental practitioner in management. Pac. Health Dialog 2004, 11, 89–93. [Google Scholar] [PubMed]
- Jan, A.; Vora, K.; Sándor, G.K. Sporadic Burkitt’s lymphoma of the jaws: The essentials of prompt life-saving referral and management. J. Can. Dent. Assoc. 2005, 71, 165–168. [Google Scholar] [PubMed]
- Ugar, D.A.; Bozkaya, S.; Karaca, I.; Tokman, B.; Pinarli, F.G. Childhood craniofacial Burkitt’s lymphoma presenting as maxillary swelling: Report of a case and review of literature. J. Dent. Child. 2006, 73, 45–50. [Google Scholar]
- Patil, K.; Mahima, V.G.; Jayanth, B.S.; Ambika, L. Burkitt’s lymphoma in an Indian girl: A case report. J. Indian Soc. Pedod. Prev. Dent. 2007, 25, 194–199. [Google Scholar] [CrossRef]
- Freitas, R.d.A.; Veras Barros, S.S.; Quinderé, L.B. Oral Burkitt’s lymphoma--case report. Braz. J. Otorhinolaryngol. 2008, 74, 458–461. [Google Scholar] [CrossRef]
- Pereira, C.M.; Lopes, A.P.; Meneghini, A.J.; Silva, G.B.; Monteiro, M.C.; Botelho, T.D.L. Burkitt’s lymphoma in a young Brazilian boy. Malays. J. Pathol. 2010, 32, 59–64. [Google Scholar] [PubMed]
- Valenzuela-Salas, B.; Dean-Ferrer, A.; Alamillos-Granados, F.J. Burkitt’s lymphoma: A child’s case presenting in the maxilla. Clinical and radiological aspects. Med. Oral Patol. Oral Cir. Bucal 2010, 15, e479-82. [Google Scholar] [CrossRef] [PubMed][Green Version]
- Vasudevan, V.; Mohandas, U.; Manjunath, V. Burkitt’s lymphoma in leukemic phase in an Indian boy. Indian J. Dent. Res. 2011, 22, 340–344. [Google Scholar] [CrossRef] [PubMed]
- Chbicheb, S.; Hakkou, F.; El Wady, W. Lymphome de Burkitt buccal chez une enfant immunocompétente [Oral Burkitt lymphoma in an immunocompetent patient]. Arch. Pediatr. 2012, 19, 288–2892. [Google Scholar] [CrossRef]
- Rebelo-Pontes, H.A.; Abreu, M.C.; Guimarães, D.M.; Fonseca, F.P.; Andrade, B.A.; Almeida, O.P.; Pinto, D.D., Jr.; Corrêa-Pontes, F.S. Burkitt’s lymphoma of the jaws in the Amazon region of Brazil. Med. Oral Patol. Oral Cir. Bucal 2014, 19, e32–e38. [Google Scholar] [CrossRef] [PubMed][Green Version]
- Cabras, M.; Arduino, P.G.; Chiusa, L.; Broccoletti, R.; Carbone, M. Case Report: Sporadic Burkitt lymphoma misdiagnosed as dental abscess in a 15-year-old girl. F1000Res. 2018, 7, 1567. [Google Scholar] [CrossRef] [PubMed]
- Yilmaz, B.; Somay, E.; Hasbay, B. A rare case of Burkitt lymphoma in a 13-year-old girl. J. Pediatr. Res. 2021, 8, 202–205. [Google Scholar] [CrossRef]
- Kulczyk, T.; Daktera-Micker, A.; Biedziak, B.; Wziatek, A.; Bednarek-Rajewska, K. The Primary Outbreaks of Burkitt Lymphoma in the Oral Cavity. A Report of Two Cases, Review of the Literature and Dental Implications. Diagnostics 2021, 11, 2358. [Google Scholar] [CrossRef] [PubMed]
- Riaz, N.; Saeed, T.; Nadeem, M. Burkitt’s lymphoma of mandible in a young Pakistani boy: A case report. J. Pak. Med. Assoc. 2021, 71, 2265–2267. [Google Scholar] [PubMed]
- De Freitas Filho, S.A.; Moura, L.L.; de Souza, M.C.; Rubira, C.M.; Oliveira, D.T. Bilateral jaws involvement of Burkitt’s lymphoma in a pediatric patient. J. Clin. Exp. Dent. 2021, 13, e323–e327. [Google Scholar] [CrossRef] [PubMed]
- Chait, F.; Bahlouli, N.; Laasri, K.; Sfar, K.; Lamalmi, N.; Allali, N.; El Haddad, S.; Chat, L. A Dental Extraction Revealing a Multisystem Burkitt’s Lymphoma: A Case Report. Glob. Pediatr. Health 2024, 11, 2333794X241227704. [Google Scholar] [CrossRef]
- Baden, E.; Carter, R. Intraoral presentation of American Burkitt’s lymphoma after extraction of a mandibular left third molar. J. Oral Maxillofac. Surg. 1987, 45, 689–693. [Google Scholar] [CrossRef] [PubMed]
- Lynch, T.J.; Harris, N.L. Case records of the Massachusetts General Hospital. Weekly clinicopathological exercises. Case 27-1994. A 41-year-old woman with neurologic abnormalities and an osteolytic lesion in the mandible. N. Engl. J. Med. 1994, 331, 107–113. [Google Scholar]
- Yoskovitch, A.; Hier, M.P.; Bégin, L.R.; Okrainec, A.; Nachtigal, D.; Trudel, M.A.; Black, M.J. Dorsal tongue mass. Oral Surg. Oral Med. Oral Pathol. Oral Radiol. Endod. 2000, 90, 5–8. [Google Scholar] [CrossRef]
- Manolopoulos, L.; Nikolopoulos, T.P.; Yiotakis, J.; Karapatsas, J.; Maris, A.; Ferekidis, E. Burkitt’s lymphoma in the base of the tongue: Differential diagnosis and management. ORL J. Otorhinolaryngol. Relat. Spec. 2003, 65, 226–229. [Google Scholar] [CrossRef]
- Lau, J.J.; Okada, C.Y.; Trobe, J.D. Galloping ophthalmoplegia and numb chin in Burkitt lymphoma. J. Neuro-Ophthalmol. 2004, 24, 130–134. [Google Scholar]
- Cascarini, L.; Brown, A.E. Burkitt’s lymphoma: An unusual cause of lip numbness. Dent. Update 2005, 32, 97–98+100. [Google Scholar] [CrossRef] [PubMed]
- Nissenbaum, M.; Kaban, L.B.; Troulis, M.J. Toothache, paresthesia, and Horner syndrome: An unusual presentation of disseminated Burkitt’s lymphoma. J. Oral Maxillofac. Surg. 2007, 65, 1395–1401. [Google Scholar] [CrossRef] [PubMed]
- Feinberg, S.M.; Ou, S.H.; Gu, M.; Shibuya, T.Y. Burkitt’s lymphoma of the base of the tongue: A case report and review of the literature. Ear Nose Throat J. 2007, 86, 356–360. [Google Scholar] [CrossRef]
- Balasubramaniam, R.; Goradia, A.; Turner, L.N.; Stoopler, E.T.; Alawi, F.; Frank, D.M.; Greenberg, M.S. Burkitt lymphoma of the oral cavity: An atypical presentation. Oral Surg. Oral Med. Oral Pathol. Oral Radiol. Endod. 2009, 107, 240–245. [Google Scholar] [CrossRef][Green Version]
- Martos-Díaz, P.; Bances-del-Castillo, R.; Vidal-Laso, R.; Mancha-de-la-Plata, M.; Cho-Lee, G.Y.; Naval-Gias, L. Bilateral mental nerve neuropathy as the sole presenting symptom of Burkitt’s Lymphoma. Med. Oral Patol. Oral Cir. Bucal 2009, 14, e408–e410. [Google Scholar]
- Nikgoo, A.; Mirafshariyeh, S.A.; Kazeminajad, B.; Eshkevari, P.S.; Fatemitabar, S.A. Burkitt’s Lymphoma of maxillary sinuses: Review of literature and report of bilateral case. J. Oral Maxillofac. Surg. 2009, 67, 1755–1763. [Google Scholar] [CrossRef]
- Kita, K.; Koura, T.; Ejiri, H.; Kobayashi, N.; Kuroiwa, M.; Miyazono, T.; Yamashiro, S. Numb Chin Syndrome as a Primary Symptom of Burkitt Lymphoma. Gen. Med. 2010, 11, 35–38. [Google Scholar] [CrossRef]
- Sudhakara Reddy, R.; Saimadhavi, N.; Govindraj kumar, N.; Ramesh, T.; Vijaya laxni, N.; Ramya, K. Burkitt’s lymphoma-An unusual presentation of a case. Int. J. Dent. Case Rep. 2011, 1, 49–53. [Google Scholar]
- Faltas, B.; Phatak, P.; Sham, R. Mental nerve neuropathy: Frequently overlooked clinical sign of hematologic malignancies. Am. J. Med. 2011, 124, e1–e2. [Google Scholar] [CrossRef]
- García-Álvarez, S.M.; Olondo-Zulueta, L.; Pericás, J.M.; Colomo, L.; Bosch, X. Numb chin syndrome with vagal and hypoglossal paralysis: An initial sign of an uncommon diagnosis. Am. J. Med. Sci. 2012, 344, 241–244. [Google Scholar] [CrossRef] [PubMed]
- Kikuchi, K.; Inoue, H.; Miyazaki, Y.; Ide, F.; Matsuki, E.; Shigematu, H.; Okamoto, S.; Sakashita, H.; Kusama, K. Adult sporadic burkitt lymphoma of the oral cavity: A case report and literature review. J. Oral Maxillofac. Surg. 2012, 70, 2936–2943. [Google Scholar] [CrossRef] [PubMed]
- Dennis Chun Yu, H.; Bey-Rong, G.; Chia-Yuen, C.; Sey-En, L.; Benny Chih-Yuan, F.; Charles Kuan-Chou, L. Burkitt’s Lymphomas of the Gingiva A Case Report. J. Oral Maxillofac. Surg. 2013, 24, 180–193. [Google Scholar]
- Galvao Barboza, C.A.; Ginani, F.; Souza Medeiros Lima, H.C.D.; Orsini Machado de Sousa, S.; Hitoshi Shinohara, E. Burkitt’s lymphoma presenting as a maxillary swelling in a HIV-negative adult. Acta Stomatol. Croat. 2013, 47, 336–341. [Google Scholar] [CrossRef]
- Boffano, P.; Gallesio, C.; Benech, R.; Berrone, S. Bilateral oral non-endemic burkitt lymphoma. J. Craniofacial Surg. 2013, 24, 1057–1058. [Google Scholar] [CrossRef] [PubMed]
- Manne, R.K.; Madu, C.S.; Talla, H.V. Maxillary sporadic Burkitt’s lymphoma associated with neuro-orbital involvement in an Indian male. Contemp. Clin. Dent. 2014, 5, 231–235. [Google Scholar] [CrossRef]
- Patankar, S.; Venkatraman, P.; Sridharan, G.; Kane, S. Burkitt’s lymphoma of maxillary gingiva: A case report. World J. Clin. Cases 2015, 3, 1011–1016. [Google Scholar] [CrossRef] [PubMed]
- Sethi, N.; Patankar, S.; Jain, R.; Mehta, A. An unusual case of Burkitt’s lymphoma presenting as a gingival enlargement. J. Indian Soc. Periodontol. 2015, 19, 573–577. [Google Scholar]
- Goto, M.; Saito, T.; Kuroyanagi, N.; Sato, H.; Watanabe, H.; Kamiya, N.; Kurita, K.; Shimozato, K. Intraosseous lymphoma of the oral and maxillofacial regions: Report of our experiences, involving some difficult cases to be diagnosed. J. Oral Maxillofac. Surg. Med. Pathol. 2016, 28, 41–46. [Google Scholar] [CrossRef]
- Garcia, N.G.; Rodrigues, M.T.V.; Aleixo, R.Q.; Oliveira, D.T. Burkitt Lymphoma in Adult with Atypical Clinical Presentation Primarily Involving the Oral Soft Tissue. J. Craniofacial Surg. 2017, 28, e795–e797. [Google Scholar] [CrossRef] [PubMed]
- Kuo, Y.S.; Wu, Y.H.; Sun, A.; Chiang, C.P. Burkitt’s lymphoma of the mandible. J. Dent. Sci. 2017, 12, 421–423. [Google Scholar] [CrossRef] [PubMed]
- Pedraza, R.M.; Arboleda, L.P.A.; Sánchez-Romero, C.; Quiñones, J.A.A.; Tovar, C.J.M.; Henao, J.R.; de Almeida, O.P. Intraoral EBV-positive sporadic Burkitt lymphoma in an elderly patient with bilateral presentation. Autops. Case Rep. 2019, 9, e2019117. [Google Scholar] [CrossRef]
- Tseng, C.H.; Wang, W.C.; Chen, C.Y.; Hsu, H.J.; Chen, Y.K. Clinical manifestations of oral lymphomas—Retrospective study of 15 cases in a Taiwanese population and a review of 592 cases from the literature. J. Formos. Med. Assoc. 2021, 120 Pt 2, 361–370. [Google Scholar] [CrossRef] [PubMed]
- Parker, W.D.; Jones, K. Burkitt’s lymphoma: An unexpected cause of dental pain. J. Surg. Case Rep. 2021, 2021, rjaa557. [Google Scholar] [CrossRef] [PubMed]
- Stanbouly, D.; Clark, M.; Philipone, E. Burkitt Lymphoma Masquerading as Osteomyelitis: An Interesting Road to Diagnosis. J. Craniofacial Surg. 2022, 33, e236–e238. [Google Scholar] [CrossRef]
- Sodnom-Ish, B.; Seo, M.H.; Huh, K.H.; Myoung, H.; Kim, S.M. A Life-Saving Early Diagnosis of Burkitt Lymphoma: The Role of a Dentist. J. Craniofacial Surg. 2022, 33, e326–e329. [Google Scholar] [CrossRef] [PubMed]
- Tereshko, Y.; Hector Ercole, B.; Christian, L.; Belgrado, E.; Dal Bello, S.; Giovanni, M.; Luigi Gigli, G.; Valente, M. Botulinum toxin type A improves pain in numb chin syndrome. Toxicon 2024, 238, 107565. [Google Scholar] [CrossRef] [PubMed]







| Author | Age (Years) | Gender | Presenting Signs/Symptoms (Oral and Maxillofacial Area) | Clinical Examination | Imaging Examination (Periapical/Panoramic/CBCT/CT/MRI/PET) | Follow-Up | |
|---|---|---|---|---|---|---|---|
| 1 | Stewart and Whitlock 1972 [34] | 7 ½ | M | Facial swelling for 3 weeks | Tooth mobility and displacement Anomaly in occlusion Marked bulging of the inner–outer aspects of the maxillary alveolar ridge Facial swelling Orbital edema–ptosis | Loss of lamina dura Teeth displaced Mandibular erosion Extensive destruction of maxillary bone Erosion of the lateral wall of the antrum | Died 5 ½ months later |
| 2 | Joncas et al., 1977 [35] | 5 | M | Mandibular swelling for more than 1 month | Ulcer of mandibular gingiva Tooth mobility Mandibular swelling | Mandibular osteolysis | 7 years, no recurrence |
| 3 | Terill et al., 1977 [36] | 12 | F | Mandibular swelling Generalized dull toothache | Teeth loosening Irregular attached gingiva and mucosa Intermittent paresthesia of the lower lip Swelling of the mandibular buccal cortex Palpable submandibular lymph nodes | Diffuse mandibular alveolar bone osteolysis | Died 5 months later |
| 4 | Moore et al., 1983 [37] | 9 | M | Tooth mobility and toothache for a few days Orbital swelling, eye proptosis, and diplopia | Tooth mobility Palpable cervical lymph nodes bilaterally | Mandibular osteolysis Loss of lamina dura Dental papillae appeared larger than normal, tended to blend with the surrounding mandibular body with an appearance of coalescence between adjacent papillae Technetium scan showed increased maxillary and mandibular activity | Died 3 months later |
| 5 | Boraz 1983 [38] | 9 | M | Pain on chewing | Tooth mobility Gingival swelling Facial asymmetry Submandibular swelling | Mandibular osteolysis | 2 years, no recurrence |
| 6 | Zachariades and Papanikolaou 1986 [39] | 7 | F | Mandibular swelling for 3 weeks | Soft mass on the mandibular molars Bilateral palpable, painless, freely movable lymph nodes | Floating teeth Diffuse mandibular radiolucency | Died 6 months later |
| 7 | Kearns et al., 1986 [40] | 3 | M | Maxillary mass with teeth loosening (and lethargy for 4 weeks) | Distorted right maxilla with the infiltration of a mass into the hard palate Teeth loosening | Involvement of the right maxillary antrum with associated bone destruction | Disease free, unknown duration |
| 8 | 5 | M | Bilateral cervical masses (and low-grade fever) for 7 weeks | NA | Bilateral maxillary and ethmoid sinus opacification with bone destruction Gallium scan confirmed the presence of nasopharyngeal disease | Disease free, unknown duration | |
| 9 | Alaluusua et al., 1987 [41] | 6 | M | Mandibular toothache Mandibular/maxillary swelling | Mandibular gingival mass Teeth extrusion Mandibular and orbital swelling Temporomandibular joints dislocated Jaw movement extremely difficult | Teeth displaced Mandibular/maxillary osteolysis Mandibular asymmetry | Died 10 months later |
| 10 | Svoboda et al., 1991 [42] | 4 | M | Tooth mobility Toothache | Tooth mobility Bilateral mandibular/maxillary buccal vestibules swelling Anterior open bite Palpable submandibular, jugulodigastric, and cervical lymph nodes | Loss of lamina dura Premature root resorption Loss of dental follicles around developing teeth Mandibular/maxillary osteolysis Loss of trabecular bone architecture | Died 10 months later |
| 11 | Wang et al., 1992 [43] | 6 | M | Maxillary tooth pain | Bleeding mass on maxillary alveolar ridge | Bone destruction of the nasopharynx extending to the right maxillary sinus cavity, infratemporal fossa, and right orbit | 7 years, no recurrence |
| 12 | 4 | F | Mass in the hard palate and right maxillary sinus | NA | NA | 16 years, no recurrence | |
| 13 | 5 | F | Facial swelling | NA | NA | 18 months, no recurrence | |
| 14 | Ardekian et al., 1996 [44] | 16 | M | Mandibular vestibular swelling | Mandibular vestibular and gingival swelling Tooth sensitivity | Mandibular osteolysis Loss of lamina dura Periodontal ligament widening Trabecular bone pattern changed | NA |
| 15 | Lund et al., 1997 [45] | 5 | F | Submandibular swelling Painful cheek for 10 days | Tooth mobility, extrusion, and dislocation Buccal and palatal alveolar expansion Fixed cervical and mandibular swelling | Periapical bone rarefaction Pericoronal osteolysis Displaced germs | 2 years, no recurrence |
| 16 | Alpaslan et al., 1997 [46] | 6 | F | Intraoral mass for 5 months | Palpable lymph nodes Mandibular swelling Occlusion abnormalities | Germ displacement Mandibular osteolysis | Recurrence (unknown duration) |
| 17 | Hanazawa et al., 1998 [47] | 10 | M | Submandibular and mandibular swelling Toothache (mandible) | Mandibular gingival swelling Tooth mobility and dislocation Trismus Pharyngeal wall enlarged | Teeth floating, displaced Root resorption Loss of lamina dura Mandibular osteolysis Mass extending to sublingual, submandibular, parapharyngeal, and retropharyngeal spaces | 2 years, no recurrence |
| 18 | Mitsudo et al., 2000 [48] | 16 | M | Alveolar bone resorption | Tooth mobility Deep periodontal pocket Gingival swelling | Upper/lower alveolar osteolysis Loss of lamina dura | Died 11 weeks later |
| 19 | Tsui et al., 2000 [49] | 4 | M | Mandibular swelling for 4 days | Mandibular swelling Tooth mobility Palpable submandibular lymph nodes | Mandibular osteolysis | Complete resolution 1 month after chemotherapy |
| 20 | Liu et al., 2000 [50] | 14 | M | Chewing pain at the left upper premolar region Tooth mobility for 1 week Mild toothache | Moderate tooth mobility in almost all permanent teeth Buccal alveolar expansion along the mucobuccal folds of the maxilla and mandible with no clear boundary | Loss of lamina dura Periapical bone loss Mandibular/maxillary osteolysis | Died 12 weeks later |
| 21 | Durmus et al., 2003 [51] | 10 | M | Mandibular swelling (on the left) and pain Facial swelling | Mandibular swelling Tooth mobility, displacement, and extrusion Buccal and lingual alveolar mandibular bone expansion Palpable submandibular lymph nodes | Mandibular osteolysis Tooth extrusion | Died 8 months later |
| 22 | Comfort et al., 2004 [52] | 5 | M | Facial swelling for 2 weeks after tooth extraction | Gingival swelling Palpable cervical and submandibular lymph nodes | No bone destruction Facial swelling | Discharged home 3 weeks after admission with an explanation of the ‘anticipated poor’ prognosis to the parents |
| 23 | Jan et al., 2005 [53] | 13 | F | Spontaneous mandibular toothache for 2 weeks Progressively loosening teeth Inability to chew food comfortably | Tooth mobility and supraeruption Open bite, mandibular swelling Buccal alveolar expansion Pale, swollen, spontaneous bleeding gingiva Palpable submandibular lymph nodes | Teeth floating, displaced Alveolar bone resorption Mandibular osteolysis | NA |
| 24 | Ugar et al., 2006 [54] | 5 | M | History of bilateral cervical masses for 7 weeks | NA | Bilateral maxillary and ethmoid sinus opacification with bone destruction Gallium scan confirmed the presence of nasopharyngeal disease | Disease free, unknown duration |
| 25 | Patil et al., 2007 [55] | 9 | F | Mandibular swelling for 15 days | Tooth mobility Gingival bleeding Solitary, well-defined, lobulated, erythematous mass in the mandibular left posterior region Mandibular swelling | Ill-defined radiolucency with the destruction of trabeculae giving a ‘moth-eaten’ appearance Teeth displaced, ‘floating in air’ Buccal and lingual mandibular cortical plate expansion—Mandibular osteolysis | Disease remission, the patient was asked to report every 2 months for evaluation |
| 26 | Freitas et al., 2008 [56] | 7 | M | Mandibular swelling | Mandibular swelling Mass in the mandibular vestibule | Tooth germs dislocated Mandibular osteolysis Ruptured mandibular cortical layer | 7 years, no recurrence |
| 27 | Pereira et al., 2010 [57] | 4 | M | Toothache-like pain for 1 month Mandibular swelling | Mandibular swelling Facial asymmetry | Tooth displaced Mandibular osteolysis | 11 months, no recurrence |
| 28 | Valenzuela-Salas et al., 2010 [58] | 5 | M | Painful swelling of maxillary buccal vestibule for 1 month Submandibular adenopathy | NA | Maxillary osteolysis Maxillary sinus opacification Soft mass affecting the right maxillary sinus, orbital floor, and lateral nasal wall | 12 years, no recurrence |
| 29 | Vasudevan et al., 2011 [59] | 13 | M | Gingival bleeding Chewing difficulty Facial swelling for 2 months | Mandibular swelling Tooth mobility Palpable lymph nodes | Mandibular osteolysis | Died (unknown duration) |
| 30 | Chbicheb et al., 2012 [60] | 13 | F | Intraoral swelling | Mandibular/maxillary gingival swelling | Mandibular/maxillary osteolysis | 2 years, no recurrence |
| 31 | Rebelo-Pontes et al., 2014 [61] | 9 | F | Exophytic mass and pain in the mandible | Painful exophytic swelling in the mandible, tooth mobility | Alveolar bone destruction with root resorption and loss of lamina dura | Died of disease |
| 32 | 8 | M | Facial swelling and pain | Painful mandibular and maxillary swellings, tooth mobility | Alveolar bone destruction with root resorption and the loss of lamina dura | 3 years, no recurrence | |
| 33 | 3 | M | Bilateral facial swelling and pain | Bilateral exophytic masses in the mandible and maxilla | Alveolar bone destruction with root resorption and the loss of lamina dura | 4 months, no recurrence | |
| 34 | 5 | M | Cutaneous ulceration, facial asymmetry | Maxillary swelling, tooth mobility | Alveolar bone destruction with root resorption and the loss of lamina dura | Died of disease | |
| 35 | Cabras et al., 2018 [62] | 15 | F | Dull pain on the permanent maxillary right second molar | Overall swelling of the gingiva surrounding the permanent maxillary right second molar, extending to the right palatal mucosa Lip hypoesthesia | Panoramic radiograph: no pathologic features CT: solid tissue with high uptake in the right maxilla, with osteolysis and the disruption of the floor of the right maxillary sinus | 3 years, no recurrence |
| 36 | Cho et al., 2018 [15] | 6 | M | Hypermobility of the maxillary right first molar | Painless gingival and mucosal swelling in both posterior maxilla and mandible Right mandibular first molar was tilted lingually | Periapical X-ray: severe alveolar bone resorption around the maxillary right 1st molar, with uncompleted root development Panoramic X-ray: the loss of lamina dura around all four first molars CT: tumorous lesions occupying both maxillary sinuses, causing partial resorption of the sinus wall | 20 months, no recurrence |
| 37 | Yilmaz et al., 2021 [63] | 13 | F | Mandibular and maxillary hypermobile teeth, pain and numbness of right mandibular region | Swelling of the gingiva around right mandibular and maxillary premolars and molars and mobility of these teeth Facial asymmetry Enlarged lymph nodes | Panoramic X-ray: alveolar bone resorption adjacent to the maxillary and mandibular canines, premolars, and molars with the appearance of floating teeth Periapical X-ray: several root resorptions, punch hole on the maxillary alveolar bone | NA |
| 38 | De Coninck et al., 2020 [18] | 7 | F | Persistent and painful unilateral swelling of the mandible | Intraoral mass in the left mandible interfering with the occlusion | Osteolytic lesions in the lower left quadrant of the mandible Absence of the thin circumferential cortical layer around the left lower second molar Mass in the left masseter muscle region, fixed to the ascending mandibular ramus with osteolysis of the bone | Regression of disease |
| 39 | Kulczyk et al., 2021 [64] | 11 | M | “Inflammation” in the region of the left lower premolar | Hypermobility of the left lower premolars and enlargement and erythema of the vestibular and lingual gingiva with pain | Root resorption of the left lower premolar, rarefaction with the loss of trabecular bone pattern, and the destruction of buccal and thinning of lingual cortical plates in the left mandible (area of the left lower canine, premolar, and first molar), ‘floating-in-air’ appearance | 5 years, no recurrence |
| 40 | 8 | M | “Trauma” of the front upper central incisors | Hypermobility of the left upper incisor, swelling and petechiae of the upper lip, dome-shaped enlargement of the palate extending from the midline to the palatal aspect of the left upper first molar | Soft-tissue mass in the area of the hard palate and extending into the maxillary sinus and nasal cavity A blurred pattern of alveolar bone in the region of the left upper molars | 7 years, no recurrence | |
| 41 | Riaz et al., 2021 [65] | 3 | M | Rapidly enlarging swelling on the right lower side of the face | Extraorally: firm swelling on the right side of the face extending from the cheek bone up to the lower border of the mandible Intraorally: mass on the right posterior mandible, erythematous, with lobulated, irregular surface | Mixed radiolucent radiopaque osteolytic lesion causing the destruction of cortical bone Loss of the lamina dura of the right lower primary first and second molars | Died of disease |
| 42 | De Freitas Filho et al., 2021 [66] | 5 | M | Bilateral mandibular swelling, trismus, pain on the left side of the face, and headache | Ulceration in the left alveolar ridge, swelling with color change in the right alveolar ridge, and tooth mobility of the left lower primary second molar | Solid tissue invading both sides of the maxilla and the maxillary sinus and partially the floor of orbitals | 3 years, no recurrence |
| 43 | Chait et al., 2024 [67] | 7 | M | Upper gingival swelling, 1 month following a dental extraction | Gingival swelling with mobility and the displacement of the teeth on the right maxilla | Osteolysis of the maxilla with tooth displacement, tumor occupying the maxillary, and sphenoidal sinuses with left temporal endocranial extension | 1 month, complete regression of the lesions |
| 44 | Papadopoulou et al., 2024 (present case) | 11 | F | Painful swellings of the gingiva of the lower molars, tooth hypermobility, and facial asymmetry | Bilateral gingival swellings (erythematous and focally ulcerated) adjacent to mandibular premolars and molars that were hypermobile, displaced, and partially extruded Facial swelling along the right posterior mandible | Panoramic radiograph: ill-defined radiolucencies in the posterior mandible bilaterally, ‘floating-in-air’ teeth appearance CT: hypodense masses along and distal to the mandibular ramus extending upwards into the maxillary sinuses bilaterally, and the posterior wall of the right orbit; perforation of the right mandibular cortex | 11 years, no recurrence |
| Author | Age (Years) | Gender | Presenting Sign/Symptom (Oral and Maxillofacial Area) | Clinical Examination | Imaging Examination (Periapical/Panoramic/CBCT/CT/MRI/PET) | Follow-Up | |
|---|---|---|---|---|---|---|---|
| 1 | Baden and Carter 1987 [68] | 18 | M | Severe toothache leading to extraction Submandibular swelling | Palpable cervical lymph node Swelling of submandibular triangle Mass protruding from extraction wound at the site of the mandibular third molar | Loss of lamina dura around most of the posterior mandibular teeth Osteolysis of the retromolar triangle (cancellous spaces irregularly enlarged) | Died 1 ½ month later |
| 2 | Wang et al., 1992 [43] | 22 | M | Diplopia, left-sided ptosis, and facial numbness | Diplopia, left lateral rectus muscle weakness, left-sided ptosis, and facial numbness. Later: bilateral ptosis and numbness over the entire distribution of the ophthalmic and maxillary divisions of the left trigeminal nerve | Massive tumor in the ethmoid sinuses, extended into the sphenoid sinus, right orbit, and olfactory foramen | Died shortly after diagnosis |
| 3 | Lynch and Harris 1994 [69] | 41 | F | Chin pain Mandibular swelling Horizontal diplopia | Chin numbness and pain Palpable preauricular and cervical lymph nodes Swelling of the right mandible | Mandibular osteolytic lesion with indistinct margins | Response to induction chemotherapy Died of a herpesvirus infection 50 days after bone marrow transplantation |
| 4 | Yoskovitch et al., 2000 [70] | 76 | M | Enlarging mass on the right dorsal surface of tongue for 5 months Worsening dysphagia and odynophagia | Firm, nontender submucosal mass of the right dorsal aspect of the tongue posteriorly | NA | 18 months, no recurrence |
| 5 | Landesberg et al., 2001 [21] | 28 | M | Paresthesia and anesthesia of the lower lip and chin area | Tooth mobility 5 days after the initial examination expansion of the mandibular buccal cortex Anesthesia on the 3rd division of trigeminal nerve | No pathologic features on panoramic and CT Increased uptake in the maxilla, mandible, and skull on PET scan | 16 months, no recurrence |
| 6 | Manolopoulos et al., 2003 [71] | 38 | M | Difficulties in swallowing for 2 months | Mass on the base of the tongue | Soft tissue mass on the base of the tongue that extended to the oropharynx and the proepiglottic space | 17 months, no recurrence |
| 7 | Chan Lau et al., 2004 [72] | 57 | M | Chin numbness Lip ptosis Paroxysmal pain radiating from the preauricular region to the chin | Reduced pinprick sensation on the chin region, the scalp, and the brow | NA | 12 months, no recurrence |
| 8 | Cascarini and Brown 2005 [73] | 38 | M | Painful mandibular swelling Ipsilateral numb lip | Mandibular vestibule swelling Lower lip numbness | No pathologic features | 3 years, no recurrence |
| 9 | Nissenbaum et al., 2007 [74] | 55 | M | Non-healing extraction socket on the right posterior mandible Mandibular toothache for 5 weeks Lower lip numbness Right eyelid ptosis | Exophytic, firm mass on the right alveolar ridge overlying the extraction socket Palpable right submandibular lymph node | Ill-defined lytic lesion of the right body of the mandible | 2 ½ years, no recurrence |
| 10 | Feinberg et al., 2007 [75] | 80 | M | Muffled voice, odynophagia, cough, and snoring for 3 months | Mass on the base of the tongue | Mass at the base of the tongue that crossed the midline and extended to the vallecula | 2 ½ years, no recurrence |
| 11 | Balasubramaniam et al., 2009 [76] | 36 | F | Mandibular swelling Mandibular toothache Difficulty in mouth opening | Gingival erythema, ulcer, and suppuration Mandibular swelling | Periodontal ligament space widening Irregular bone loss on the mandibular alveolar ridge around the lesion | 3 months, no recurrence |
| 12 | Martos-Diaz et al., 2009 [77] | 29 | M | Lower lip sensitive alteration for 1 month | Complete anesthesia of lower lip | No evidence of osteolysis Facial MRI showed a hypointense signal on T1 and hyperintense on T2 at the marrow level of the left mandibular angle and joint | 3 years, no recurrence |
| 13 | Nikgoo et al., 2009 [78] | 31 | M | Extensive masses on maxilla at extraction sites Tooth mobility—extracted Chewing difficulty and bleeding from gums | Gingival bleeding Maxillary bilateral firm masses near the extraction sites Facial asymmetry | Periapical osteolysis Floating teeth Sinus bone destruction Space-occupying lesions within sinuses bilaterally | 6 months, not satisfactory response |
| 14 | Keichiro et al., 2010 [79] | 54 | M | Numbness and slight chin pain Headache | Hypoesthesia below the lower lip on the 3rd division of the trigeminal nerve | Mandibular osteolysis | Died 11 months later |
| 15 | Sudhakara et al., 2011 [80] | 42 | M | Facial swelling for 1 year Tingling sensation in the same region | Palpable submandibular lymph node Facial asymmetry Solitary diffuse mass on the mandibular vestibule | No pathologic features | NA |
| 16 | Faltas et al., 2011 [81] | 48 | F | Numbness and tingling to the right side of the lower lip and chin for a few weeks | Hypoesthesia of the mental branch of the right trigeminal nerve | No pathologic features | 2 years, no recurrence |
| 17 | 37 | M | Mandibular pain after routine dental cleaning | No pathologic signs | No pathologic features | 5 years, intra-abdominal relapse No recurrence (after bone marrow transplantation) | |
| 18 | García-Álvarez et al., 2012 [82] | 58 | M | Left chin paresthesia for 2 months Difficulty in swallowing and chewing Dysphonia | Reduced left facial sensation extending to the ipsilateral preauricular region Gag reflex absent Unilateral palatal palsy with the deviation of the uvula and the deviation of the tongue toward the left side with unilateral atrophy Sensitivity loss of the anterior two-thirds of the tongue | No pathologic features in the jaws | 23 months, no recurrence |
| 19 | Kikutsi et al., 2012 [83] | 61 | F | Paresthesia of the lower lip | At first, dull pain in the left posterior mandible A few weeks later, rapid swelling of the left side of the face and buccal mucosa, trismus | Panoramic: No pathologic features CT: Extensive soft tissue mass in the left masseter and medial pterygoid muscle | 11 months, no recurrence |
| 20 | Ho et al., 2013 [84] | 59 | M | Tooth mobility Mandibular/maxillary swelling Numbness sensation on the mandible for over 1 month | Mandibular/maxillary swelling Mandibular paresthesia Palpable neck lymph nodes | Mandibular/maxillary osteolysis | Died 1 month later |
| 21 | Barboza et al., 2013 [85] | 35 | M | Painless swelling in the maxilla for 2 months | Extraoral swelling in the left nasal wing and left upper canine area Intraoral: ulcerated, friable mass in the left portion of the maxilla, extending through the midline | Diffuse osteolytic lesion | 6 months, no recurrence |
| 22 | Boffano et al., 2013 [86] | 35 | M | Bilateral swelling of the maxilla for 3 months | Ulcerative, nontender, soft swelling in the maxillary tuber bilaterally | NA | NA |
| 23 | Manne et al., 2014 [87] | 21 | M | Asymptomatic cheek swelling for 2 months Diplopia of the right eye | Intraoral firm, diffuse, and nontender swelling on the maxillary teeth-bearing area Extraoral mildly diffused, firm, and nontender swelling in the maxillary region Soft, tender, and non-adherent, palpable submandibular lymph node | Intact lamina dura with mild diffuse bony rarefactions No pathologic features on panoramic radiograph 4 weeks after an incisional biopsy of tumor mass involving the maxilla extending to the inferior wall of the orbit on CT | Died during chemotherapy |
| 24 | Rebelo-Pontes et al., 2014 [61] | 22 | M | Painful mass of the mandible | Painful exophytic mass on the alveolar ridge of the mandible | Osteolysis, root resorption, and the loss of lamina dura | 1 year, no recurrence |
| 25 | 54 | F | Mandible swelling | Mandible swelling and tooth mobility | Osteolysis, root resorption, and the loss of lamina dura | 2 years, no recurrence | |
| 26 | 19 | M | Maxillary swelling | Exophytic mass on the alveolar ridge of the maxilla and tooth mobility | Osteolysis, root resorption, and the loss of lamina dura | Died of disease | |
| 27 | Patankar et al., 2015 [88] | 38 | M | Painful swelling on the upper anterior gingiva | Swelling in mandibular and maxillary gingiva, tooth mobility, and displacement | No changes | Died of disease |
| 28 | Sethi et al., 2015 [89] | 38 | M | Swollen and bleeding gingiva (initially in the anterior maxillary region and gradually involving the whole maxillary and mandibular gingiva) for 6 months | Generalized enlargement and bleeding of the maxillary and mandibular gingiva Matted enlarged right submandibular lymph nodes Enlarged, mobile, and nontender cervical lymph nodes | NA | Lost to follow-up |
| 29 | Goto et al., 2016 [90] | 27 | F | Pain and numbness in the right lower premolar region and lower lip | Mandibular pain with numbness of the right lower lip | A lower density of bone trabeculae on the right side of the mandible without the erosion of the cortex | No recurrence |
| 30 | Garcia et al., 2017 [91] | 42 | M | Mild swelling of the mandible, lower lip paresthesia | Mandible swelling, tooth mobility | No changes | 4 years, no recurrence |
| 31 | Kuo et al., 2017 [92] | 29 | M | Mandibular swelling | Two ulcerative gingival swellings at the buccal side of the left mandibular molar and retromolar area | Radiolucent lesion at the bifurcation and periapical areas of the left mandibular 1st molar | 5 years, no recurrence |
| 32 | Pedraza et al., 2019 [93] | 63 | M | Bilateral painful mandibular swellings | Bilateral erythematous mandibular swellings affecting the posterior alveolar ridges, at the level of left premolars and right molars | NA | Died of disease |
| 33 | Tseng et al., 2021 [94] | 84 | M | Mandibular gingival swelling | Mandibular gingival swelling | Osteolysis in the mandible | Died of disease |
| 34 | Azimi et al., 2021 [19] | 49 | M | Pain in the left mandibular area and lower lip paresthesia | Mass with intact overlying mucosa and firm consistency at the left edentulous mandibular ridge | Ill-defined radiolucent lesion extending from the left alveolar crest to the inferior alveolar canal of the mandible with left buccal cortical plate invasion | 3 months, no marrow involvement |
| 35 | Parker et al., 2021 [95] | 37 | F | Pain in the right side of the mandible and episodic numbness in the right lower lip and chin | Pain in the right side of the mandible and episodic numbness in the ipsilateral mental nerve distribution | Well-defined unilocular radiolucency at the apex of the right lower second molar | No recurrence |
| 36 | Stanbouly et al., 2022 [96] | 37 | F | Bilateral paresthesia of the lower lip and chin | At presentation: no clinical findings 1 month after the extractions of 3rd molars: soft tissue fungating from the socket of the mandibular 3rd molar, and mobility of the adjacent 2nd molar | No changes (panoramic radiograph) 1 month after the extractions of 3rd molars: vacuous trabecular spaces in the entirety of the mandible, and opacity in the sinus floor above the left maxillary 1st molar (on CT and panoramic radiograph) | 6 months, no recurrence |
| 37 | Sodnom-Ish et al., 2022 [97] | 31 | M | Bilateral numbness and severe neurosensory disturbance in the lower lip and mandible | Mobility of the lower left 1st and 2nd molars | Generalized loss of lamina dura and periodontal ligament space widening of the posterior mandibular teeth (on CT and panoramic radiograph) | 4 years, no recurrence |
| 38 | Tereshko et al., 2024 [98] | 43 | F | Numbness, paresthesia, and persistent burning pain involving both territories of the right and left mental nerves | Cervical lymph nodes swelling | Enlarged lymph nodes in the cervical region bilaterally | Undergoing treatment |
Disclaimer/Publisher’s Note: The statements, opinions and data contained in all publications are solely those of the individual author(s) and contributor(s) and not of MDPI and/or the editor(s). MDPI and/or the editor(s) disclaim responsibility for any injury to people or property resulting from any ideas, methods, instructions or products referred to in the content. |
© 2024 by the authors. Licensee MDPI, Basel, Switzerland. This article is an open access article distributed under the terms and conditions of the Creative Commons Attribution (CC BY) license (https://creativecommons.org/licenses/by/4.0/).
Share and Cite
Papadopoulou, E.; Kouri, M.; Velonis, D.; Andreou, A.; Georgaki, M.; Damaskos, S.; Piperi, E.; Delli, K.; Karoussis, I.K.; Vlachou, A.; et al. Sporadic Burkitt Lymphoma First Presenting as Painful Gingival Swellings and Tooth Hypermobility: A Life-Saving Referral. Dent. J. 2025, 13, 6. https://doi.org/10.3390/dj13010006
Papadopoulou E, Kouri M, Velonis D, Andreou A, Georgaki M, Damaskos S, Piperi E, Delli K, Karoussis IK, Vlachou A, et al. Sporadic Burkitt Lymphoma First Presenting as Painful Gingival Swellings and Tooth Hypermobility: A Life-Saving Referral. Dentistry Journal. 2025; 13(1):6. https://doi.org/10.3390/dj13010006
Chicago/Turabian StylePapadopoulou, Erofili, Maria Kouri, Dimitrios Velonis, Anastasia Andreou, Maria Georgaki, Spyridon Damaskos, Evangelia Piperi, Konstantina Delli, Ioannis K. Karoussis, Antonia Vlachou, and et al. 2025. "Sporadic Burkitt Lymphoma First Presenting as Painful Gingival Swellings and Tooth Hypermobility: A Life-Saving Referral" Dentistry Journal 13, no. 1: 6. https://doi.org/10.3390/dj13010006
APA StylePapadopoulou, E., Kouri, M., Velonis, D., Andreou, A., Georgaki, M., Damaskos, S., Piperi, E., Delli, K., Karoussis, I. K., Vlachou, A., Avgerinou, G., Kattamis, A., & Nikitakis, N. G. (2025). Sporadic Burkitt Lymphoma First Presenting as Painful Gingival Swellings and Tooth Hypermobility: A Life-Saving Referral. Dentistry Journal, 13(1), 6. https://doi.org/10.3390/dj13010006

