Evaluating the Effects of Carriere Motion Appliance and Twin Block Appliances in Class II Correction—A Retrospective Study
Abstract
1. Introduction
- To assess the effect of CMA treatment in Class II malocclusion cases on skeletal, dental, and soft tissue variables.
- To compare the treatment effects of CMA and TB on Class II malocclusion.
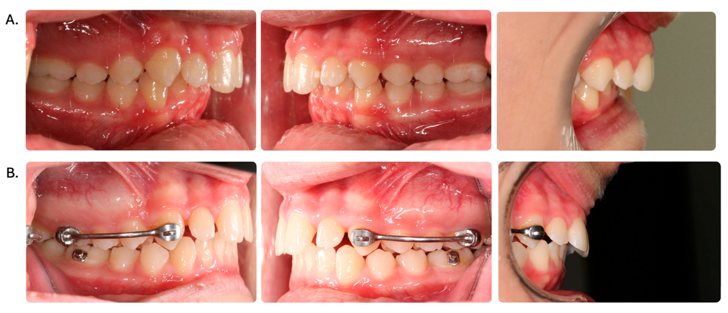
2. Materials and Methods
3. Results
3.1. Comparison of Treatment Effects within the CMA Group (Table 2 and Table 3)
| Variable | Pre-Treatment | Post-Treatment | Difference | p Value | ||
|---|---|---|---|---|---|---|
| Mean | SD | Mean | SD | |||
| Maxillary skeletal, sagittal | ||||||
| SNA ° 2 | 81.59 | 2.20 | 81.06 | 2.01 | −0.53 | 0.18 |
| A to Nasion Vertical, mm 2 | 0.12 | 2.34 | −0.05 | 2.03 | −0.16 | 0.71 |
| Max. length, Co-A, mm 2 | 86.83 | 4.44 | 86.77 | 4.14 | −0.06 | 0.93 |
| Mandibular skeletal, sagittal | ||||||
| SNB ° 1 | 76.84 | 2.76 | 76.77 | 2.65 | −0.07 | 0.94 |
| Pog to Nasion Vertical, mm 2 | −7.57 | 5.61 | −7.29 | 5.17 | 0.29 | 0.71 |
| Mand. length Co-Gn, mm 2 | 107.54 | 6.22 | 108.50 | 6.41 | 0.96 | 0.41 |
| Maxillomandibular | ||||||
| ANB ° 2 | 4.76 | 1.68 | 4.29 | 1.92 | −0.47 | 0.16 |
| Wits mm 1 | 2.29 | 2.20 | 1.28 | 2.00 | −1.01 | 0.042 * |
| Maxillomandibular differential mm 1 | 20.71 | 3.90 | 21.74 | 4.20 | 1.02 | 0.12 |
| Angle of convexity ° 2 | 4.17 | 1.90 | 3.98 | 2.08 | −0.19 | 0.55 |
| Vertical skeletal | ||||||
| SN-Mand. Pl. ° 2 | 36.24 | 4.48 | 36.43 | 5.01 | 0.19 | 0.67 |
| Lower face height, mm 2 | 59.01 | 5.24 | 60.16 | 4.73 | 1.15 | 0.14 |
| Face height ratio L\T % 2 | 52.71 | 2.08 | 53.04 | 2.04 | 0.33 | 0.25 |
| Dentoalveolar insicors | ||||||
| U1 to SN ° 2 | 102.41 | 6.43 | 102.01 | 6.73 | −0.41 | 0.58 |
| U1 to A-Pog, mm2 | 6.67 | 1.53 | 6.51 | 1.53 | −0.16 | 0.41 |
| L1 to Mand. Pl. ° 2 | 97.35 | 6.10 | 98.46 | 4.27 | 1.11 | 0.29 |
| L1 to A-Pog, mm2 | 1.69 | 1.51 | 2.86 | 1.71 | 1.16 | 0.007 ** |
| Interincisal angle ° 2 | 124.00 | 7.54 | 123.10 | 6.52 | −0.90 | 0.53 |
| Incisor overjet, mm 1 | 4.32 | 1.70 | 3.18 | 1.54 | −1.14 | 0.0003 ** |
| Incisor overbite, mm 1 | 3.80 | 2.09 | 2.61 | 2.19 | −1.19 | 0.0054 ** |
| Dentoalveolar molars | ||||||
| DAMR, mm 2 | 0.17 | 2.24 | −2.37 | 1.42 | −2.55 | 5.2 × 10−05 ** |
| U6-L6, mm2 | 0.06 | 1.13 | −3.80 | 0.70 | −3.9 | 4.8 × 10−07 ** |
| NP-U6, mm2 | 27.54 | 3.62 | 29.90 | 3.76 | 2.3 | 4.8 × 10−07 ** |
| NP-L6, mm2 | 27.60 | 3.83 | 26.00 | 3.84 | −1.60 | 0.00029 ** |
| A-NP, mm 2 | 0.00 | 2.34 | −0.05 | 2.05 | −0.05 | 0.913 |
| Pg—NP, mm2 | −7.95 | 5.47 | −7.24 | 5.46 | 0.71 | 0.34 |
| NP-UI, mm 2 | −3.08 | 3.69 | −3.39 | 3.45 | −0.32 | 0.633 |
| NP-LI, mm 2 | 1.31 | 3.24 | −0.29 | 3.46 | −1.60 | 0.018 ** |
| Palatal Pl—U6 ° 2 | 83.40 | 4.93 | 77.42 | 4.93 | −5.98 | 0.0002 ** |
| SN—U6 ° 2 | 107.15 | 3.86 | 112.55 | 5.74 | 5.40 | 0.0002 ** |
| S—U6, mm2 | −61.99 | 4.61 | −62.09 | 3.89 | −0.10 | 0.88 |
| S—L6, mm2 | −61.78 | 4.57 | −62.60 | 3.75 | −0.81 | 0.24 |
| Soft tissue | ||||||
| Gl’-Sn’-Pog’ ° 2 | 17.69 | 5.42 | 16.66 | 4.86 | −1.03 | 0.32 |
| Nasolabial ° 2 | 99.34 | 9.41 | 101.84 | 10.92 | 2.50 | 0.28 |
| Upper lip protrusion, mm 2 | −2.97 | 2.82 | −3.80 | 2.70 | −0.83 | 0.19 |
| Lower lip protrusion, mm 2 | 0.23 | 2.76 | −0.74 | 3.42 | −0.97 | 0.22 |
| Upper 1 exposure, mm 2 | 5.67 | 2.14 | 5.56 | 3.18 | −0.12 | 0.84 |
| ST Na Perp-ST Pog, mm 2 | −2.92 | 5.98 | −2.48 | 5.67 | 0.44 | 0.63 |
| Measurement | Value | ||
|---|---|---|---|
| Measurements | Change in DAMR | U6-L6 distal side * | 2.55 mm |
| Change in molar relationship | U6-L6 mesial side * | 3.9 mm | |
| Variables | 1. Distalization of the upper molar | U6 (mesial side) to NP | 2.3 mm |
| 2. Mesialization of the lower molar | L6 (mesial side) to NP | 1.6 mm | |
| 3. Derotation | subtraction of U6-L6 to DAMR | 1.35 mm |
3.2. Comparison of Treatment Effects within the TB Group (Table 4)
| Variable | Pre-Treatment | Post-Treatment | Difference | p Value | ||
|---|---|---|---|---|---|---|
| Mean | SD | Mean | SD | |||
| Maxillary skeletal, sagittal | ||||||
| SNA° 2 | 81.84 | 3.53 | 81.19 | 3.66 | −0.65 | 0.23 |
| A to Nasion Vertical, mm 2 | 2.34 | 3.93 | 1.21 | 4.28 | −1.12 | 0.09 |
| Max. length, Co-A, mm 2 | 90.11 | 6.87 | 89.60 | 6.46 | −0.51 | 0.70 |
| Mandibular skeletal, sagittal | ||||||
| SNB ° 2 | 74.59 | 3.40 | 75.63 | 3.56 | 1.05 | 0.04 * |
| Pog to Nasion Vertical, mm 2 | −8.34 | 5.36 | −7.81 | 5.52 | 0.53 | 0.64 |
| Mand. length Co-Gn, mm 2 | 107.92 | 8.21 | 110.91 | 7.24 | 2.98 | 0.09 |
| Maxillomandibular | ||||||
| ANB ° 2 | 7.25 | 1.66 | 5.56 | 1.69 | −1.69 | 2.00 × 10−04 ** |
| Wits mm 2 | 5.65 | 2.71 | 3.04 | 2.69 | −2.62 | 2.00 × 10−03 ** |
| Maxillomandibular differential mm 2 | 17.81 | 3.80 | 21.30 | 3.94 | 3.49 | 1.00 × 10−03 ** |
| Angle of convexity ° 2 | 6.84 | 2.16 | 5.26 | 2.35 | −1.58 | 3.00 × 10−04 ** |
| Vertical skeletal | ||||||
| SN-Mand. Pl. ° 2 | 36.45 | 5.56 | 36.63 | 5.78 | 0.18 | 0.75 |
| Lower face height, mm 2 | 58.52 | 4.61 | 61.22 | 5.41 | 2.70 | 0.02 * |
| Face height ratio L\T % 2 | 52.76 | 2.56 | 53.60 | 3.05 | 0.84 | 0.04 * |
| Dentoalveolar | ||||||
| U1 to SN ° 2 | 105.52 | 8.82 | 102.83 | 8.90 | −2.69 | 0.10 |
| U1 to A-Pog, mm 1 | 9.20 | 2.84 | 7.58 | 2.54 | −1.62 | 4.00 × 10−03 ** |
| L1 to Mand. Pl. ° 2 | 100.77 | 7.16 | 102.46 | 7.54 | 1.69 | 0.06 |
| L1 to A-Pog, mm 1 | 0.79 | 2.57 | 3.41 | 2.13 | 2.62 | 9.16 × 10−05 ** |
| Interincisal angle ° 1 | 117.27 | 11.32 | 118.08 | 11.43 | 0.82 | 0.75 |
| Incisor overjet, mm 1 | 7.11 | 2.48 | 3.68 | 1.73 | −3.43 | 2.10 × 10−03 ** |
| Incisor overbite, mm 2 | 5.84 | 1.60 | 2.80 | 1.73 | −3.04 | 5.00 × 10−04 ** |
| DAMR, mm 2 | 0.57 | 2.62 | −3.65 | 1.77 | −4.22 | 3.00 × 10−04 ** |
| Soft tissue | ||||||
| Gl’-Sn’-Pog’ ° 2 | 20.05 | 3.98 | 19.97 | 5.05 | −0.08 | 0.94 |
| Nasolabial ° 2 | 99.32 | 12.05 | 102.60 | 13.96 | 3.28 | 0.23 |
| Upper lip protrusion, mm 2 | −1.32 | 2.90 | −1.67 | 3.42 | −0.35 | 0.64 |
| Lower lip protrusion, mm 2 | −0.74 | 2.59 | 1.21 | 3.14 | 1.95 | 4.40 × 10−03 ** |
| Upper 1 exposure, mm 2 | 6.52 | 2.09 | 5.75 | 2.71 | −0.76 | 0.31 |
| ST Na Perp-ST Pog, mm 2 | −4.23 | 5.30 | −3.27 | 4.80 | 0.96 | 0.38 |
3.3. Comparison between CMA and TB Groups (Table 5 and Table 6)
| Variable | Carrier N = 22 | Twin Block N = 16 | |||
|---|---|---|---|---|---|
| Mean | SD | Mean | SD | p Value | |
| Maxillary skeletal, sagittal | |||||
| SNA ° 2 | −0.54 | 1.82 | −0.65 | 2.06 | 0.86 |
| A to Nasion Vertical, mm 2 | −0.16 | 2.08 | −1.12 | 2.47 | 0.20 |
| Max. length, Co-A, mm 2 | −0.06 | 3.71 | −0.51 | 5.09 | 0.76 |
| Mandibular skeletal, sagittal | |||||
| SNB ° 2 | −0.07 | 1.21 | 1.05 | 1.82 | 0.03 * |
| Pog to Nasion Vertical, mm 2 | 0.29 | 3.54 | 0.53 | 4.52 | 0.85 |
| Mand. length Co-Gn, mm 2 | 0.96 | 5.34 | 2.98 | 6.76 | 0.31 |
| Maxillomandibular | |||||
| ANB ° 1 | −0.47 | 1.50 | −1.69 | 1.05 | 0.01 * |
| Wits mm 2 | −1.01 | 1.99 | −2.62 | 2.89 | 0.05 * |
| Maxillomandibular differential mm 2 | 1.02 | 2.71 | 3.49 | 3.24 | 0.02 * |
| Angle of convexity ° 2 | −0.19 | 1.49 | −1.58 | 1.16 | 4.00 × 10−03 ** |
| Vertical skeletal | |||||
| SN-Mand. Pl. ° 1 | 0.19 | 2.12 | 0.18 | 1.95 | 0.47 |
| Lower face height, mm 2 | 1.15 | 3.53 | 2.70 | 3.95 | 0.21 |
| Face height ratio L\T %. 2 | 0.33 | 1.32 | 0.84 | 1.50 | 0.27 |
| Dentoalveolar | |||||
| U1 to SN ° 2 | −0.41 | 3.23 | −2.69 | 6.08 | 0.14 |
| U1 to A-Pog, mm 1 | −0.16 | 0.89 | −1.62 | 1.80 | 2.00 × 10−03 ** |
| L1 to Mand. Pl. ° 1 | 1.11 | 4.85 | 1.69 | 3.40 | 0.80 |
| L1 to A-Pog, mm 2 | 1.16 | 1.80 | 2.62 | 1.56 | 1.20 × 10−03 ** |
| Interincisal angle ° 2 | −0.90 | 6.57 | 0.82 | 4.96 | 0.39 |
| Incisor overjet, mm 2 | −1.14 | 1.14 | −3.43 | 2.29 | 3.00 × 10−04 ** |
| Incisor overbite, mm 2 | −1.19 | 1.76 | −3.04 | 2.52 | 0.01 * |
| DAMR, mm 2 | −2.55 | 2.29 | −4.22 | 2.99 | 0.06 |
| Soft tissue | |||||
| Gl’-Sn’-Pog’ ° 1 | −1.03 | 4.73 | −0.08 | 4.09 | 0.75 |
| Nasolabial ° 2 | 2.50 | 10.69 | 3.28 | 10.49 | 0.82 |
| Upper lip protrusion, mm 1 | −0.83 | 2.85 | −0.35 | 2.87 | 0.60 |
| Lower lip protrusion, mm 1 | −0.97 | 3.51 | 1.95 | 2.41 | 3.00 × 10−03 ** |
| Upper 1 exposure, mm 2 | −0.12 | 2.74 | −0.76 | 2.82 | 0.48 |
| ST Na Perp-ST Pog, mm 2 | 0.44 | 4.28 | 0.96 | 4.26 | 0.71 |
| Variable | Carrier N = 22 | Twin Block N = 16 | ||
|---|---|---|---|---|
| Mean | SD | Mean | SD | |
| Maxillary skeletal, sagittal | ||||
| SNA ° | 81.59 | 2.20 | 81.84 | 3.53 |
| Mandibular skeletal, sagittal | ||||
| SNB ° | 76.84 | 2.76 | 74.59 | 3.20 |
| Maxillomandibular | ||||
| ANB ° | 4.76 | 1.68 | 7.40 | 1.63 |
| Dentoalveolar | ||||
| L1 to Mand. Pl. ° | 97.35 | 6.10 | 101.29 | 6.32 |
| U1 to A-Pog, mm | 6.67 | 1.53 | 9.42 | 2.82 |
4. Discussion
5. Conclusions
- The CMA is capable of correcting about 4 mm of the Class II dentoalveolar relationship, which is attributable to a linear and considerable rotational movement of maxillary molars.
- The skeletal effects and soft tissue alterations of the CMA were found to be less pronounced than the changes induced by the TB functional appliance.
- The CMA decreases the additional effects commonly associated with functional appliances, including an increase in LFH and lower incisor protrusion, which typically indicates loss of anchorage.
- OJ and OB are significantly reduced by both appliances but to a lesser extent by the CMA.
- Further research is needed to validate and substantiate the results of this study.
Author Contributions
Funding
Institutional Review Board Statement
Informed Consent Statement
Data Availability Statement
Acknowledgments
Conflicts of Interest
References
- Angle, E.H. Classification of Malocclusion. Dent. Cosm. 1899, 41, 350–357. [Google Scholar]
- Andrews, L.F. The Six Keys to Normal Occlusion. Am. J. Orthod. 1972, 62, 296–309. [Google Scholar] [CrossRef] [PubMed]
- Firouz, M.; Zernik, J.; Nanda, R. Dental and Orthopedic Effects of High-Pull Headgear in Treatment of Class II, Division 1 Malocclusion. Am. J. Orthod. Dentofac. Orthop. Off. Publ. Am. Assoc. Orthod. Const. Soc. Am. Board Orthod. 1992, 102, 197–205. [Google Scholar] [CrossRef] [PubMed]
- Cleall, J.F.; BeGole, E.A. Diagnosis and Treatment of Class II Division 2 Malocclusion. Angle Orthod. 1982, 52, 38–60. [Google Scholar] [CrossRef] [PubMed]
- Aras, A.; Ada, E.; Saracoğlu, H.; Gezer, N.S.; Aras, I. Comparison of Treatments with the Forsus Fatigue Resistant Device in Relation to Skeletal Maturity: A Cephalometric and Magnetic Resonance Imaging Study. Am. J. Orthod. Dentofac. Orthop. Off. Publ. Am. Assoc. Orthod. Const. Soc. Am. Board Orthod. 2011, 140, 616–625. [Google Scholar] [CrossRef] [PubMed]
- Xu, F.; Fang, Y.; Sui, X.; Yao, Y. Comparison of Twin Block Appliance and Herbst Appliance in the Treatment of Class II Malocclusion among Children: A Meta-Analysis. BMC Oral Health 2024, 24, 278. [Google Scholar] [CrossRef] [PubMed]
- Clark, W.J. The Twin Block Technique. A Functional Orthopedic Appliance System. Am. J. Orthod. Dentofac. Orthop. Off. Publ. Am. Assoc. Orthod. Const. Soc. Am. Board Orthod. 1988, 93, 1–18. [Google Scholar] [CrossRef] [PubMed]
- Al Subaie, H.; Alturki, G.; Alsulaimani, F.; Ghoneim, S.; Baeshen, H. Assessment of Dental, Skeletal, and Soft Tissue Changes Following Mandibular Advancement with Invisalign in Skeletal Class II. Saudi Dent. J. 2024, 36, 66–71. [Google Scholar] [CrossRef] [PubMed]
- Ehsani, S.; Nebbe, B.; Normando, D.; Lagravere, M.O.; Flores-Mir, C. Short-Term Treatment Effects Produced by the Twin-Block Appliance: A Systematic Review and Meta-Analysis. Eur. J. Orthod. 2015, 37, 170–176. [Google Scholar] [PubMed]
- Jena, A.K.; Duggal, R. Treatment Effects of Twin-Block and Mandibular Protraction Appliance-IV in the Correction of Class II Malocclusion. Angle Orthod. 2010, 80, 485–491. [Google Scholar] [CrossRef] [PubMed]
- Hilgers, J.J. The Pendulum Appliance for Class II Non-Compliance Therapy. J. Clin. Orthod. 1992, 26, 706–714. [Google Scholar] [PubMed]
- Carrière, L. A New Class II Distalizer. J. Clin. Orthod. 2004, 38, 224–231. [Google Scholar] [PubMed]
- Beyling, F.; Klang, E.; Niehoff, E.; Schwestka-Polly, R.; Helms, H.-J.; Wiechmann, D. Class II Correction by Maxillary En Masse Distalization Using a Completely Customized Lingual Appliance and a Novel Mini-Screw Anchorage Concept—Preliminary Results. Head Face Med. 2021, 17, 23. [Google Scholar] [CrossRef] [PubMed]
- Ghozy, E.A.; Albelasy, N.F.; Shamaa, M.S.; El-Bialy, A.A. Cephalometric and Digital Model Analysis of Dentoskeletal Effects of Infrazygomatic Miniscrew vs. Essix- Anchored Carriere Motion Appliance for Distalization of Maxillary Buccal Segment: A Randomized Clinical Trial. BMC Oral Health 2024, 24, 152. [Google Scholar] [CrossRef] [PubMed]
- Singh, D.P.; Arora, S.; Yadav, S.K.; Kedia, N.B. Intraoral Approaches for Maxillary Molar Distalization: Case Series. J. Clin. Diagn. Res. 2017, 11, ZR01–ZR04. [Google Scholar] [CrossRef] [PubMed]
- Sandifer, C.L.; English, J.D.; Colville, C.; Gallerano, R.; Akyalcin, S. Treatment Effects of the Carrière Distalizer Using Lingual Arch and Full Fixed Appliances. J. World Fed. Orthod. 2014, 3, e49–e54. [Google Scholar]
- Biggs, E.V.; Benavides, E.; McNamara, J.A.J.; Cevidanes, L.H.S.; Copello, F.; Lints, R.R.; Lints, J.P.; Ruellas, A.C.O. Three-Dimensional Evaluation of the Carriere Motion 3D Appliance in the Treatment of Class II Malocclusion. Am. J. Orthod. Dentofac. Orthop. Off. Publ. Am. Assoc. Orthod. Const. Soc. Am. Board Orthod. 2023, 164, 824–836. [Google Scholar] [CrossRef] [PubMed]
- Barakat, D.; Bakdach, W.M.M.; Youssef, M. Treatment Effects of Carriere Motion Appliance on Patients with Class II Malocclusion: A Systematic Review and Meta-Analysis. Int. Orthod. 2021, 19, 353–364. [Google Scholar] [CrossRef]
- Wilson, B.; Konstantoni, N.; Kim, K.B.; Foley, P.; Ueno, H. Three-Dimensional Cone-Beam Computed Tomography Comparison of Shorty and Standard Class II Carriere Motion Appliance. Angle Orthod. 2021, 91, 423–432. [Google Scholar] [CrossRef] [PubMed]
- Areepong, D.; Kim, K.B.; Oliver, D.R.; Ueno, H. The Class II Carriere Motion Appliance. Angle Orthod. 2020, 90, 491–499. [Google Scholar] [CrossRef] [PubMed]
- Schmid-Herrmann, C.U.; Delfs, J.; Mahaini, L.; Schumacher, E.; Hirsch, C.; Koehne, T.; Kahl-Nieke, B. Retrospective Investigation of the 3D Effects of the Carriere Motion 3D Appliance Using Model and Cephalometric Superimposition. Clin. Oral Investig. 2023, 27, 631–643. [Google Scholar] [CrossRef]
- Kim-Berman, H.; McNamara, J.A.J.; Lints, J.P.; McMullen, C.; Franchi, L. Treatment Effects of the Carriere(®) Motion 3DTM Appliance for the Correction of Class II Malocclusion in Adolescents. Angle Orthod. 2019, 89, 839–846. [Google Scholar] [CrossRef] [PubMed]
- Luca, L.; Francesca, C.; Daniela, G.; Alfredo, S.G.; Giuseppe, S. Cephalometric Analysis of Dental and Skeletal Effects of Carriere Motion 3D Appliance for Class II Malocclusion. Am. J. Orthod. Dentofac. Orthop. Off. Publ. Am. Assoc. Orthod. Const. Soc. Am. Board Orthod. 2022, 161, 659–665. [Google Scholar] [CrossRef] [PubMed]
- Hammer, Ø.; Harper, D.A.T. Past: Paleontological Statistics Software Package for Educaton and Data Anlysis. Palaeontol. Electron. 2001, 4, 1. [Google Scholar]
- Keim, R.G.; Vogels Iii, D.S.; Vogels, P.B. 2020 JCO Study of Orthodontic Diagnosis and Treatment Procedures Part 1: Results and Trends. J. Clin. Orthod. 2020, 54, 581–610. [Google Scholar] [PubMed]
- Yin, K.; Han, E.; Guo, J.; Yasumura, T.; Grauer, D.; Sameshima, G. Evaluating the Treatment Effectiveness and Efficiency of Carriere Distalizer: A Cephalometric and Study Model Comparison of Class II Appliances. Prog. Orthod. 2019, 20, 24. [Google Scholar] [CrossRef] [PubMed]
- Fouda, A.S.; Attia, K.H.; Abouelezz, A.M.; El-Ghafour, M.A.; Aboulfotouh, M.H. Anchorage Control Using Miniscrews in Comparison to Essix Appliance in Treatment of Postpubertal Patients with Class II Malocclusion Using Carrière Motion Appliance. Angle Orthod. 2022, 92, 45–54. [Google Scholar] [CrossRef] [PubMed]
- Martin, J.; Pancherz, H. Mandibular Incisor Position Changes in Relation to Amount of Bite Jumping during Herbst/Multibracket Appliance Treatment: A Radiographic-Cephalometric Study. Am. J. Orthod. Dentofac. Orthop. Off. Publ. Am. Assoc. Orthod. Const. Soc. Am. Board Orthod. 2009, 136, 44–51. [Google Scholar] [CrossRef] [PubMed]
- George, A.S.; Ganapati Durgekar, S. Skeletal and Dentoalveolar Contributions during Class II Correction with ForsusTM FRD Appliances: Quantitative Evaluation. J. Orofac. Orthop. Fortschritte Kieferorthopadie Organ/Off. J. Dtsch. Ges. Kieferorthopadie 2022, 83, 87–98. [Google Scholar] [CrossRef] [PubMed]
- Bastiani, C.; Bellini-Pereira, S.A.; Aliaga-Del Castillo, A.; Chiqueto, K.; Castanha Henriques, J.F.; Janson, G. Twin-Block and Mandibular Anterior Repositioning Appliances Effects in Class II Malocclusion Correction. Am. J. Orthod. Dentofac. Orthop. 2023, 163, 181–190. [Google Scholar] [CrossRef] [PubMed]


| SNA° | The angle between the Sela, Nasion, and A point |
| A to Nasion Vertical, mm | Distance between point A and the Nasion Vertical line |
| Max. length, Co-A, mm | Distance between condilyon and point A |
| SNB ° | The angle between the Sela, Nasion, and B point |
| Pog to Nasion Vertical, mm | Distance between point Pog (the most anterior point on the chin) and the Nasion Vertical line |
| Mand. length Co-Gn, mm | Distance between condilyon and point B |
| ANB ° | The angle between Nasion, point A, and point B |
| Wits | BO-AO segment in which AO and BO indicate the projections of A and B points on the occlusal plane. Positive value when AO precedes BO |
| Maxillomandibular differential mm | The difference between the length of the mandible and the maxilla |
| Angle of convexity ° | The angle formed between the N-A line and the line A-Pog |
| SN-Mand. Pl. ° | Angle between the SN plane and the mandibular plane (Go—Gn) |
| Lower face height, mm | Distance between the Anterior Nasal Spine (ANS) and the Menton (Me) |
| Face height ratio L\T % | The ratio between lower face height (measured from Anterior Nasal Spine to Menton) and the total face height (measured from Nasion to Menton) |
| U1 to SN ° | The angle between the long axis of the upper incisor (cusp tip to root apex) to the NS plane (anterior skull base) |
| U1 to A-Pog, mm | Distance between the most prominent point of the upper central incisor (Upper 1) and the A-Pog line, which connects point A (deepest midline point on the maxilla) to Pogonion (most anterior point on the bony chin) |
| L1 to Mand. Pl. ° | IMPA. The angle between the mandibular plane and the axis of the inferior anterior incisor |
| L1 to A- Pog, mm | Distance between the most prominent point of the lower central incisor (Lower 1) and the A-Pog line, which connects point A (deepest midline point on the maxilla) to Pogonion (most anterior point on the bony chin) |
| Interincisal angle ° | The angle formed by the intersection of the long axes of the upper central incisor (Upper 1) and the lower central incisor (Lower 1) |
| Incisor overjet, mm | Distance between incisal point of maxillary incisor and incisal point of mandibular incisor taken on a horizontal plane |
| Incisor overbite, mm | Distance between incisal point of maxillary incisor and incisal point of mandibular incisor taken on a vertical plane |
| DAMR, mm | Horizontal distance between the distal aspect of the maxillary first molar and the distal aspect of the mandibular first molar. Negative values mean either distalization of upper first molar or mesialization of first lower molar to achieve Class II correction |
| U6-L6, mm | Horizontal distance between the mesiobuccal cusp tips of the maxillary first molar (U6) and the mandibular first molar (L6) |
| NP-U6, mm | Horizontal distance between the nasion (NP) and the mesiobuccal cusp tip of the maxillary first molar (U6) |
| NP-L6, mm | Horizontal distance between the nasion (NP) and the mesiobuccal cusp tip of the mandibular first molar (L6) |
| Palatal Pl—U6 ° | The angle formed by the intersection of the palatal plane (a line that passes through the anterior and posterior nasal spine and the middle of the tuberosity of the maxilla) and the long axis of the maxillary first molar (U6) |
| SN—U6 ° | The angle measured through the long axis of the mesiobuccal cusp to the mesiobuccal root apex of the maxillary first molar in relation to the Sella–Nasion line viewed from the lateral (right and left) |
| S—U6, mm | Vertical distance between the Sella (S) and the mesiobuccal cusp tip of the maxillary first molar (U6) |
| S—L6, mm | Vertical distance between the Sella (S) and the mesiobuccal cusp tip of the mandibular first molar (L6) |
| Gl’-Sn’-Pog’ ° | The angle formed between soft tissue Glabela, subnasale, and Pogonion |
| Nasolabial ° | The angle formed between columella, subnasale, and Upper lip tip |
| Upper lip protrusion, mm | The linear distance between the E-line (a horizontal reference line passing through the tips of the upper and lower central incisors) and the most anterior point on the upper lip |
| Lower lip protrusion, mm | linear distance between the E-line and the most anterior point on the lower lip |
| Upper 1 exposure, mm | linear distance between the E-line and the incisal edge of the upper central incisor (Upper 1) |
| ST Na Perp-ST Pog, mm | Horizontal distance soft tissue nasion to the soft tissue Pogonion |
Disclaimer/Publisher’s Note: The statements, opinions and data contained in all publications are solely those of the individual author(s) and contributor(s) and not of MDPI and/or the editor(s). MDPI and/or the editor(s) disclaim responsibility for any injury to people or property resulting from any ideas, methods, instructions or products referred to in the content. |
© 2024 by the authors. Licensee MDPI, Basel, Switzerland. This article is an open access article distributed under the terms and conditions of the Creative Commons Attribution (CC BY) license (https://creativecommons.org/licenses/by/4.0/).
Share and Cite
Har Zion, G.; Katzhendler, E.; Bader Farraj, A.; Rabin, M.; Einy, S. Evaluating the Effects of Carriere Motion Appliance and Twin Block Appliances in Class II Correction—A Retrospective Study. Dent. J. 2024, 12, 119. https://doi.org/10.3390/dj12050119
Har Zion G, Katzhendler E, Bader Farraj A, Rabin M, Einy S. Evaluating the Effects of Carriere Motion Appliance and Twin Block Appliances in Class II Correction—A Retrospective Study. Dentistry Journal. 2024; 12(5):119. https://doi.org/10.3390/dj12050119
Chicago/Turabian StyleHar Zion, Gilad, Eyal Katzhendler, Amal Bader Farraj, Miryam Rabin, and Shmuel Einy. 2024. "Evaluating the Effects of Carriere Motion Appliance and Twin Block Appliances in Class II Correction—A Retrospective Study" Dentistry Journal 12, no. 5: 119. https://doi.org/10.3390/dj12050119
APA StyleHar Zion, G., Katzhendler, E., Bader Farraj, A., Rabin, M., & Einy, S. (2024). Evaluating the Effects of Carriere Motion Appliance and Twin Block Appliances in Class II Correction—A Retrospective Study. Dentistry Journal, 12(5), 119. https://doi.org/10.3390/dj12050119

