Prophylactic Use of Pentoxifylline and Tocopherol for Prevention of Osteoradionecrosis of the Jaw after Dental Extraction in Post-Radiated Oral and Oropharyngeal Cancer Patients: An Initial Case Series
Abstract
1. Introduction
2. Patients and Methods
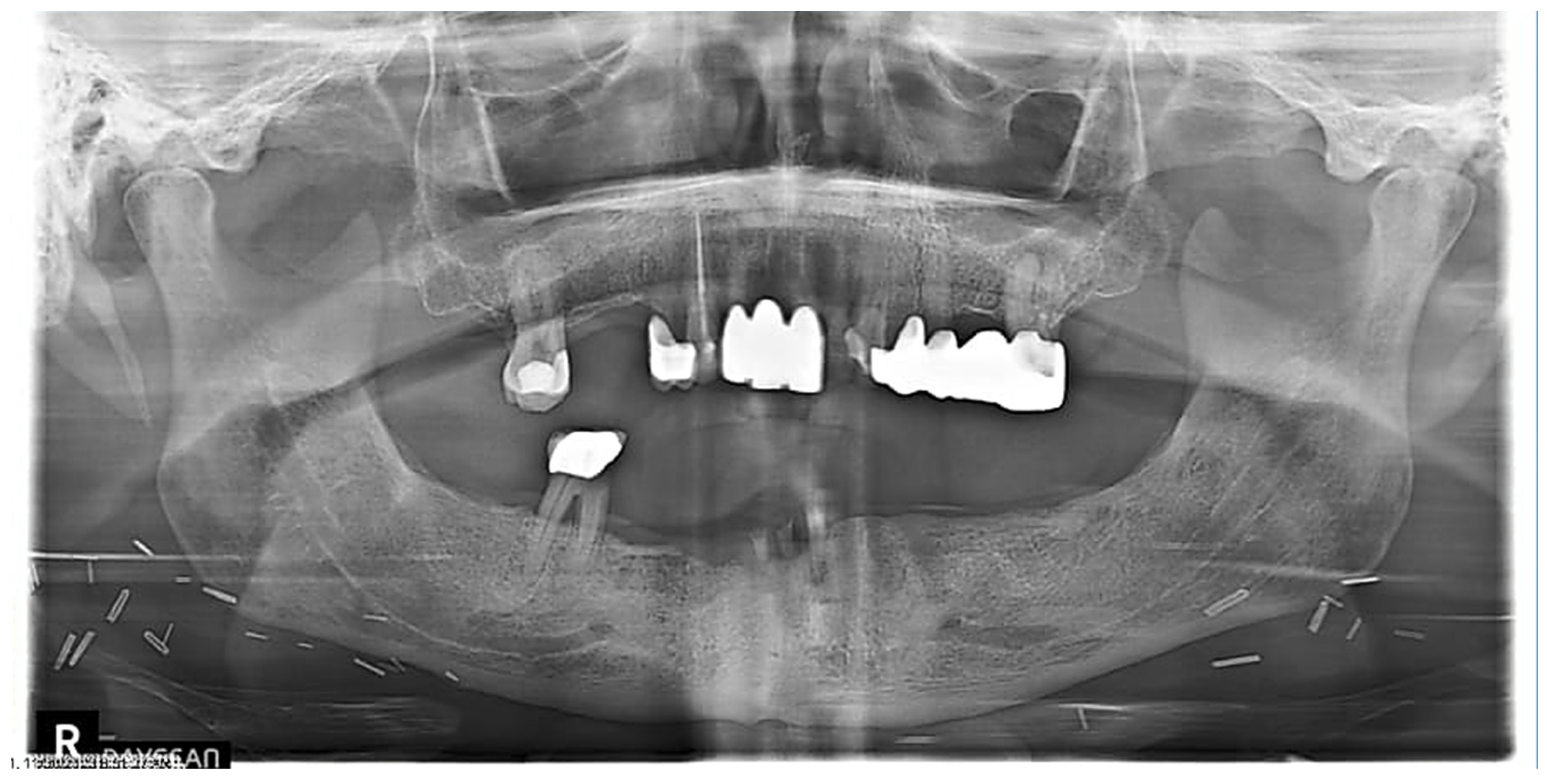
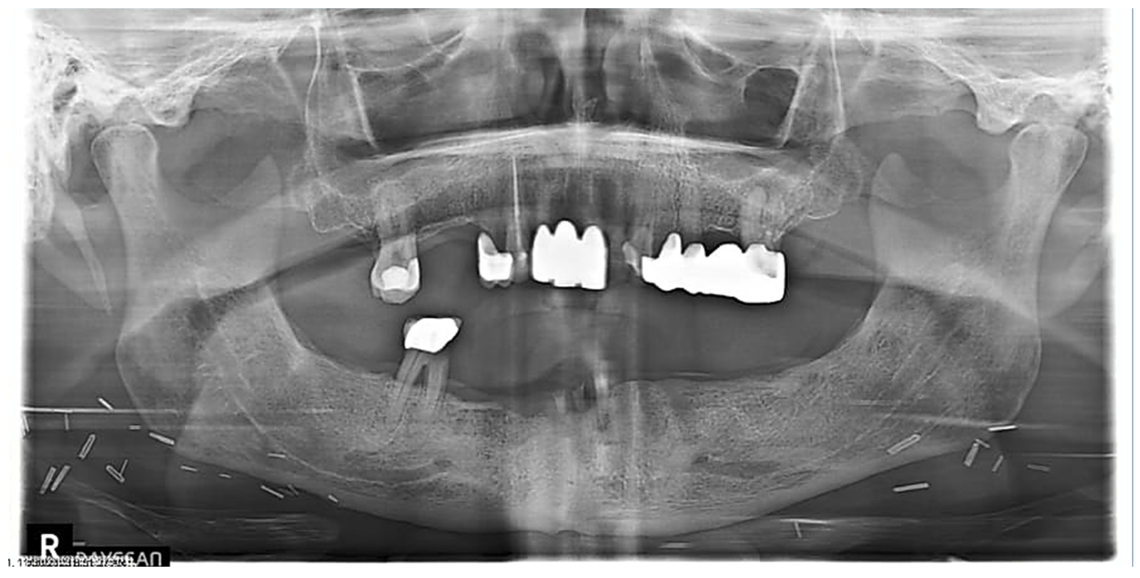
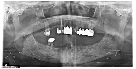
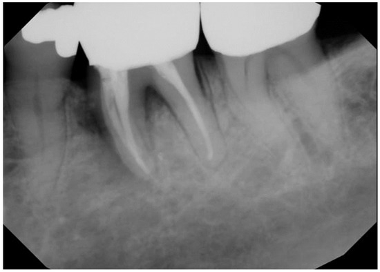
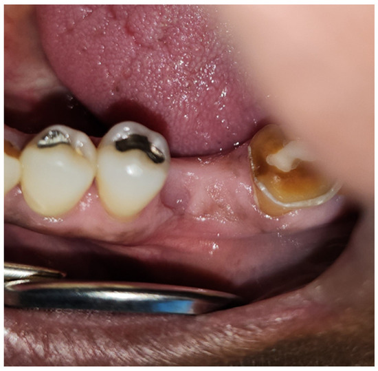
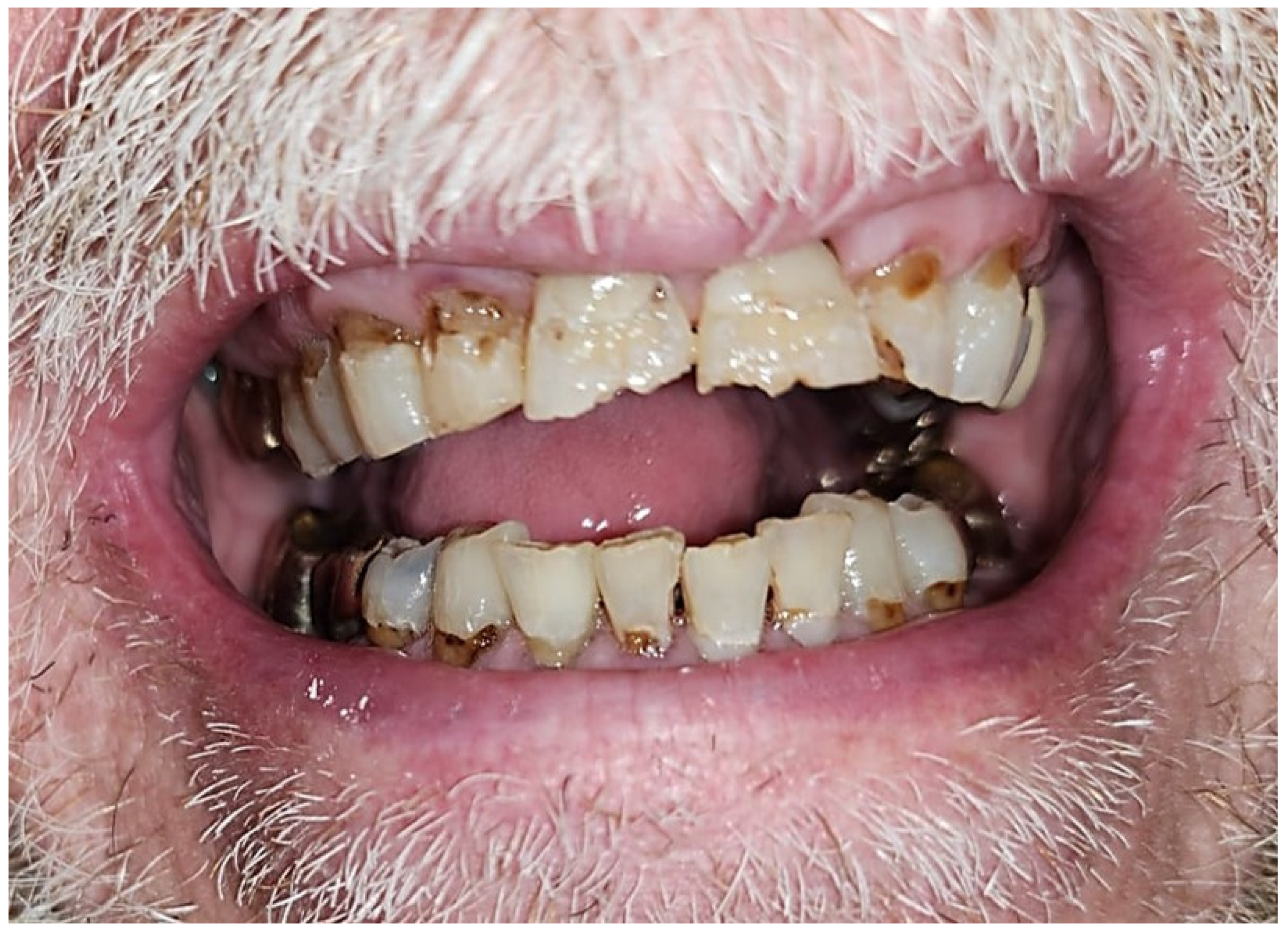
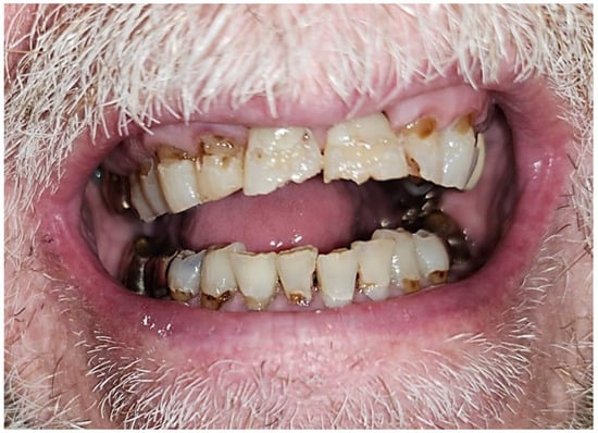
3. Results
4. Discussion
5. Conclusions
Author Contributions
Funding
Institutional Review Board Statement
Informed Consent Statement
Data Availability Statement
Acknowledgments
Conflicts of Interest
References
- Siegel, R.L.; Giaquinto, A.N.; Jemal, A. Cancer statistics, 2024. CA Cancer J. Clin. 2024, 74, 12–49. [Google Scholar] [CrossRef] [PubMed]
- Mourad, M.; Jetmore, T.; Jategaonkar, A.A.; Moubayed, S.; Moshier, E.; Urken, M.L. Epidemiological Trends of Head and Neck Cancer in the United States: A SEER Population Study. J. Oral. Maxillofac. Surg. 2017, 75, 2562–2572. [Google Scholar] [CrossRef] [PubMed]
- Siegel, R.L.; Miller, K.D.; Jemal, A. Cancer Statistics, 2017. CA Cancer J. Clin. 2017, 67, 7–30. [Google Scholar] [CrossRef] [PubMed]
- Romesser, P.B.; Cahlon, O.; Scher, E.; Zhou, Y.; Berry, S.L.; Rybkin, A.; Sine, K.M.; Tang, S.; Sherman, E.J.; Wong, R.; et al. Proton beam radiation therapy results in significantly reduced toxicity compared with intensity-modulated radiation therapy for head and neck tumors that require ipsilateral radiation. Radiother. Oncol. 2016, 118, 286–292. [Google Scholar] [CrossRef]
- Franco, P.; Martini, S.; Di Muzio, J.; Cavallin, C.; Arcadipane, F.; Rampino, M.; Ostellino, O.; Pecorari, G.; Garzino Demo, P.; Fasolis, M.; et al. Prospective assessment of oral mucositis and its impact on quality of life and patient-reported outcomes during radiotherapy for head and neck cancer. Med. Oncol. 2017, 34, 81. [Google Scholar] [CrossRef]
- Owosho, A.A.; Thor, M.; Oh, J.H.; Riaz, N.; Tsai, C.J.; Rosenberg, H.; Varthis, S.; Yom, S.H.; Huryn, J.M.; Lee, N.Y.; et al. The role of parotid gland irradiation in the development of severe hyposalivation (xerostomia) after intensity-modulated radiation therapy for head and neck cancer: Temporal patterns, risk factors, and testing the QUANTEC guidelines. J. Cranio-Maxillofac. Surg. 2017, 45, 595–600. [Google Scholar] [CrossRef]
- Singh, A.; Kitpanit, S.; Neal, B.; Yorke, E.; White, C.; Yom, S.K.; Randazzo, J.D.; Wong, R.J.; Huryn, J.M.; Tsai, C.J.; et al. Osteoradionecrosis of the Jaw Following Proton Radiation Therapy for Patients With Head and Neck Cancer. JAMA Otolaryngol. Head Neck Surg. 2023, 149, 151–159. [Google Scholar] [CrossRef]
- Iovoli, A.J.; Turecki, L.; Qiu, M.L.; Khan, M.; Smith, K.; Yu, H.; Ma, S.J.; Farrugia, M.K.; Singh, A.K. Severe Oral Mucositis After Intensity-Modulated Radiation Therapy for Head and Neck Cancer. JAMA Netw. Open 2023, 6, e2337265. [Google Scholar] [CrossRef]
- Lajolo, C.; Rupe, C.; Gioco, G.; Troiano, G.; Patini, R.; Petruzzi, M.; Micciche, F.; Giuliani, M. Osteoradionecrosis of the Jaws Due to Teeth Extractions during and after Radiotherapy: A Systematic Review. Cancers 2021, 13, 5798. [Google Scholar] [CrossRef] [PubMed]
- Kojima, Y.; Otsuru, M.; Hasegawa, T.; Ueda, N.; Kirita, T.; Yamada, S.I.; Kurita, H.; Shibuya, Y.; Funahara, M.; Umeda, M. Risk factors for osteoradionecrosis of the jaw in patients with oral or oropharyngeal cancer: Verification of the effect of tooth extraction before radiotherapy using propensity score matching analysis. J. Dent. Sci. 2022, 17, 1024–1029. [Google Scholar] [CrossRef] [PubMed]
- Studer, G.; Bredell, M.; Studer, S.; Huber, G.; Glanzmann, C. Risk profile for osteoradionecrosis of the mandible in the IMRT era. Strahlenther. Onkol. 2016, 192, 32–39. [Google Scholar] [CrossRef]
- Owosho, A.A.; Tsai, C.J.; Lee, R.S.; Freymiller, H.; Kadempour, A.; Varthis, S.; Sax, A.Z.; Rosen, E.B.; Yom, S.K.; Randazzo, J.; et al. The prevalence and risk factors associated with osteoradionecrosis of the jaw in oral and oropharyngeal cancer patients treated with intensity-modulated radiation therapy (IMRT): The Memorial Sloan Kettering Cancer Center experience. Oral Oncol. 2017, 64, 44–51. [Google Scholar] [CrossRef]
- Tsai, C.J.; Hofstede, T.M.; Sturgis, E.M.; Garden, A.S.; Lindberg, M.E.; Wei, Q.; Tucker, S.L.; Dong, L. Osteoradionecrosis and radiation dose to the mandible in patients with oropharyngeal cancer. Int. J. Radiat. Oncol. Biol. Phys. 2013, 85, 415–420. [Google Scholar] [CrossRef]
- Marx, R.E. Osteoradionecrosis: A new concept of its pathophysiology. J. Oral. Maxillofac. Surg. 1983, 41, 283–288. [Google Scholar] [CrossRef]
- Chronopoulos, A.; Zarra, T.; Ehrenfeld, M.; Otto, S. Osteoradionecrosis of the jaws: Definition, epidemiology, staging and clinical and radiological findings. A concise review. Int. Dent. J. 2018, 68, 22–30. [Google Scholar] [CrossRef]
- Mansfield, M.J.; Sanders, D.W.; Heimbach, R.D.; Marx, R.E. Hyperbaric oxygen as an adjunct in the treatment of osteoradionecrosis of the mandible. J. Oral Surg. 1981, 39, 585–589. [Google Scholar] [PubMed]
- Curi, M.M.; Oliveira dos Santos, M.; Feher, O.; Faria, J.C.; Rodrigues, M.L.; Kowalski, L.P. Management of extensive osteoradionecrosis of the mandible with radical resection and immediate microvascular reconstruction. J. Oral Maxillofac. Surg. 2007, 65, 434–438. [Google Scholar] [CrossRef]
- Baumann, D.P.; Yu, P.; Hanasono, M.M.; Skoracki, R.J. Free flap reconstruction of osteoradionecrosis of the mandible: A 10-year review and defect classification. Head Neck 2011, 33, 800–807. [Google Scholar] [CrossRef] [PubMed]
- Jansma, J.; Vissink, A.; Spijkervet, F.K.; Roodenburg, J.L.; Panders, A.K.; Vermey, A.; Szabo, B.G.; Gravenmade, E.J. Protocol for the prevention and treatment of oral sequelae resulting from head and neck radiation therapy. Cancer 1992, 70, 2171–2180. [Google Scholar] [CrossRef]
- Schuurhuis, J.M.; Stokman, M.A.; Witjes, M.J.H.; Reintsema, H.; Langendijk, J.A.; Vissink, A.; Spijkervet, F.K.L. Patients with advanced periodontal disease before intensity-modulated radiation therapy are prone to develop bone healing problems: A 2-year prospective follow-up study. Support. Care Cancer 2018, 26, 1133–1142. [Google Scholar] [CrossRef] [PubMed]
- Wahl, M.J. Osteoradionecrosis prevention myths. Int. J. Radiat. Oncol. Biol. Phys. 2006, 64, 661–669. [Google Scholar] [CrossRef]
- Martos-Fernandez, M.; Saez-Barba, M.; Lopez-Lopez, J.; Estrugo-Devesa, A.; Balibrea-Del-Castillo, J.M.; Bescos-Atin, C. Pentoxifylline, tocopherol, and clodronate for the treatment of mandibular osteoradionecrosis: A systematic review. Oral Surg. Oral Med. Oral Pathol. Oral Radiol. 2018, 125, 431–439. [Google Scholar] [CrossRef]
- Delanian, S.; Lefaix, J.L. The radiation-induced fibroatrophic process: Therapeutic perspective via the antioxidant pathway. Radiother. Oncol. 2004, 73, 119–131. [Google Scholar] [CrossRef]
- Delanian, S.; Chatel, C.; Porcher, R.; Depondt, J.; Lefaix, J.L. Complete restoration of refractory mandibular osteoradionecrosis by prolonged treatment with a pentoxifylline-tocopherol-clodronate combination (PENTOCLO): A phase II trial. Int. J. Radiat. Oncol. Biol. Phys. 2011, 80, 832–839. [Google Scholar] [CrossRef] [PubMed]
- Arqueros-Lemus, M.; Marino-Recabarren, D.; Niklander, S.; Martinez-Flores, R.; Moraga, V. Pentoxifylline and tocopherol for the treatment of osteoradionecrosis of the jaws. A systematic review. Med. Oral Patol. Oral Cir. Bucal 2023, 28, e293. [Google Scholar] [CrossRef]
- Hamama, S.; Gilbert-Sirieix, M.; Vozenin, M.C.; Delanian, S. Radiation-induced enteropathy: Molecular basis of pentoxifylline-vitamin E anti-fibrotic effect involved TGF-beta1 cascade inhibition. Radiother. Oncol. 2012, 105, 305–312. [Google Scholar] [CrossRef] [PubMed]
- Patel, V.; Gadiwalla, Y.; Sassoon, I.; Sproat, C.; Kwok, J.; McGurk, M. Prophylactic use of pentoxifylline and tocopherol in patients who require dental extractions after radiotherapy for cancer of the head and neck. Br. J. Oral Maxillofac. Surg. 2016, 54, 547–550. [Google Scholar] [CrossRef] [PubMed]
- Aggarwal, K.; Goutam, M.; Singh, M.; Kharat, N.; Singh, V.; Vyas, S.; Singh, H.P. Prophylactic Use of Pentoxifylline and Tocopherol in Patients Undergoing Dental Extractions following Radiotherapy for Head and Neck Cancer. Niger. J. Surg. 2017, 23, 130–133. [Google Scholar] [CrossRef]
- Samani, M.; Beheshti, S.; Cheng, H.; Sproat, C.; Kwok, J.; Patel, V. Prophylactic pentoxifylline and vitamin E use for dental extractions in irradiated patients with head and neck cancer. Oral Surg. Oral Med. Oral Pathol. Oral Radiol. 2022, 133, e63–e71. [Google Scholar] [CrossRef]
- Lombardi, N.; Varoni, E.; Villa, G.; Salis, A.; Lodi, G. Pentoxifylline and tocopherol for prevention of osteoradionecrosis in patients who underwent oral surgery: A clinical audit. Spec. Care Dent. 2023, 43, 136–143. [Google Scholar] [CrossRef]
- Paiva, G.L.A.; de Campos, W.G.; Rocha, A.C.; Junior, C.A.L.; Migliorati, C.A.; Dos Santos Silva, A.R. Can the prophylactic use of pentoxifylline and tocopherol before dental extractions prevent osteoradionecrosis? A systematic review. Oral Surg. Oral Med. Oral Pathol. Oral Radiol. 2023, 136, 33–41. [Google Scholar] [CrossRef]
- Patel, V.; Young, H.; Mellor, A.; Sproat, C.; Kwok, J.; Cape, A.; Mahendran, K. The use of liquid formulation pentoxifylline and vitamin E in both established and as a prophylaxis for dental extractions “at risk” of osteoradionecrosis. Oral Surg. Oral Med. Oral Pathol. Oral Radiol. 2023, 136, 404–409. [Google Scholar] [CrossRef]
- Nabil, S.; Samman, N. Incidence and prevention of osteoradionecrosis after dental extraction in irradiated patients: A systematic review. Int. J. Oral Maxillofac. Surg. 2011, 40, 229–243. [Google Scholar] [CrossRef]
- Balermpas, P.; van Timmeren, J.E.; Knierim, D.J.; Guckenberger, M.; Ciernik, I.F. Dental extraction, intensity-modulated radiotherapy of head and neck cancer, and osteoradionecrosis: A systematic review and meta-analysis. Strahlenther. Onkol. 2022, 198, 219–228. [Google Scholar] [CrossRef]
- Kanatas, A.N.; Rogers, S.N.; Martin, M.V. A survey of antibiotic prescribing by maxillofacial consultants for dental extractions following radiotherapy to the oral cavity. Br. Dent. J. 2002, 192, 157–160. [Google Scholar] [CrossRef]
- Marx, R.E.; Johnson, R.P.; Kline, S.N. Prevention of osteoradionecrosis: A randomized prospective clinical trial of hyperbaric oxygen versus penicillin. J. Am. Dent. Assoc. 1985, 111, 49–54. [Google Scholar] [CrossRef]
- Shaw, R.J.; Butterworth, C.J.; Silcocks, P.; Tesfaye, B.T.; Bickerstaff, M.; Jackson, R.; Kanatas, A.; Nixon, P.; McCaul, J.; Praveen, P.; et al. HOPON (Hyperbaric Oxygen for the Prevention of Osteoradionecrosis): A Randomized Controlled Trial of Hyperbaric Oxygen to Prevent Osteoradionecrosis of the Irradiated Mandible After Dentoalveolar Surgery. Int. J. Radiat. Oncol. Biol. Phys. 2019, 104, 530–539. [Google Scholar] [CrossRef] [PubMed]
- Fritz, G.W.; Gunsolley, J.C.; Abubaker, O.; Laskin, D.M. Efficacy of pre- and postirradiation hyperbaric oxygen therapy in the prevention of postextraction osteoradionecrosis: A systematic review. J. Oral Maxillofac. Surg. 2010, 68, 2653–2660. [Google Scholar] [CrossRef] [PubMed]
- Delanian, S.; Depondt, J.; Lefaix, J.L. Major healing of refractory mandible osteoradionecrosis after treatment combining pentoxifylline and tocopherol: A phase II trial. Head Neck 2005, 27, 114–123. [Google Scholar] [CrossRef]
- Delanian, S.; Lefaix, J.L. Complete healing of severe osteoradionecrosis with treatment combining pentoxifylline, tocopherol and clodronate. Br. J. Radiol. 2002, 75, 467–469. [Google Scholar] [CrossRef] [PubMed]
- McLeod, N.M.; Pratt, C.A.; Mellor, T.K.; Brennan, P.A. Pentoxifylline and tocopherol in the management of patients with osteoradionecrosis, the Portsmouth experience. Br. J. Oral Maxillofac. Surg. 2012, 50, 41–44. [Google Scholar] [CrossRef]
- Hayashi, M.; Pellecer, M.; Chung, E.; Sung, E. The efficacy of pentoxifylline/tocopherol combination in the treatment of osteoradionecrosis. Spec. Care Dent. 2015, 35, 268–271. [Google Scholar] [CrossRef]
- Robard, L.; Louis, M.Y.; Blanchard, D.; Babin, E.; Delanian, S. Medical treatment of osteoradionecrosis of the mandible by PENTOCLO: Preliminary results. Eur. Ann. Otorhinolaryngol. Head Neck Dis. 2014, 131, 333–338. [Google Scholar] [CrossRef]
- D’Souza, J.; Lowe, D.; Rogers, S.N. Changing trends and the role of medical management on the outcome of patients treated for osteoradionecrosis of the mandible: Experience from a regional head and neck unit. Br. J. Oral Maxillofac. Surg. 2014, 52, 356–362. [Google Scholar] [CrossRef]
- Patel, V.; Gadiwalla, Y.; Sassoon, I.; Sproat, C.; Kwok, J.; McGurk, M. Use of pentoxifylline and tocopherol in the management of osteoradionecrosis. Br. J. Oral Maxillofac. Surg. 2016, 54, 342–345. [Google Scholar] [CrossRef]
- Breik, O.; Tocaciu, S.; Briggs, K.; Tasfia Saief, S.; Richardson, S. Is there a role for pentoxifylline and tocopherol in the management of advanced osteoradionecrosis of the jaws with pathological fractures? Case reports and review of the literature. Int. J. Oral Maxillofac. Surg. 2019, 48, 1022–1027. [Google Scholar] [CrossRef]
- Patel, S.; Patel, N.; Sassoon, I.; Patel, V. The use of pentoxifylline, tocopherol and clodronate in the management of osteoradionecrosis of the jaws. Radiother. Oncol. 2021, 156, 209–216. [Google Scholar] [CrossRef]
- da Silva, T.M.V.; Melo, T.S.; de Alencar, R.C.; Pereira, J.R.D.; Leao, J.C.; Silva, I.H.M.; Gueiros, L.A. Photobiomodulation for mucosal repair in patients submitted to dental extraction after head and neck radiation therapy: A double-blind randomized pilot study. Support. Care Cancer 2021, 29, 1347–1354. [Google Scholar] [CrossRef] [PubMed]
- Buurman, D.J.M.; Speksnijder, C.M.; Granzier, M.E.; Timmer, V.; Hoebers, F.J.P.; Kessler, P. The extent of unnecessary tooth loss due to extractions prior to radiotherapy based on radiation field and dose in patients with head and neck cancer. Radiother. Oncol. 2023, 187, 109847. [Google Scholar] [CrossRef] [PubMed]
- Parahoo, R.S.; Semple, C.J.; Killough, S.; McCaughan, E. The experience among patients with multiple dental loss as a consequence of treatment for head and neck cancer: A qualitative study. J. Dent. 2019, 82, 30–37. [Google Scholar] [CrossRef] [PubMed]
- de Groot, R.J.; Wetzels, J.W.; Merkx, M.A.W.; Rosenberg, A.; de Haan, A.F.J.; van der Bilt, A.; Abbink, J.H.; Speksnijder, C.M. Masticatory function and related factors after oral oncological treatment: A 5-year prospective study. Head Neck 2019, 41, 216–224. [Google Scholar] [CrossRef]
- Brahm, C.O.; Borg, C.; Malm, D.; Fridlund, B.; Lewin, F.; Zemar, A.; Nilsson, P.; Papias, A.; Henricson, M. Patients with head and neck cancer treated with radiotherapy: Their experiences after 6 months of prophylactic tooth extractions and temporary removable dentures. Clin. Exp. Dent. Res. 2021, 7, 894–902. [Google Scholar] [CrossRef] [PubMed]
- Clough, S.; Burke, M.; Daly, B.; Scambler, S. The impact of pre-radiotherapy dental extractions on head and neck cancer patients: A qualitative study. Br. Dent. J. 2018, 225, 28–32. [Google Scholar] [CrossRef] [PubMed]
- Buurman, D.J.M.; Willemsen, A.C.H.; Speksnijder, C.M.; Baijens, L.W.J.; Hoeben, A.; Hoebers, F.J.P.; Kessler, P.; Schols, A. Tooth extractions prior to chemoradiation or bioradiation are associated with weight loss during treatment for locally advanced oropharyngeal cancer. Support. Care Cancer 2022, 30, 5329–5338. [Google Scholar] [CrossRef] [PubMed]







| Case No | Gender | Age | Tumor Type | Tumor Site [Laterality] | Radiation Dose to Primary Tumor/Chemotherapy (Yes/No) | Extracted Teeth | Risk for ORN | Outcome |
|---|---|---|---|---|---|---|---|---|
| 1 | M | 69 | Squamous cell carcinoma | Base of Tongue (Oropharynx) | 70 Gy/(Yes) | Mandibular First Molar (#19) | High | Complete Healing |
| 2 | M | 70 | Squamous cell carcinoma | Ventral Tongue/Floor of Mouth (Oral Cavity) [Right] | 70 Gy/(Yes) | Mandibular Incisors and First Molar (#24, #25, #26, and #30) | High | Complete Healing |
| 3 | F | 59 | Squamous cell carcinoma | Tonsil (Oropharynx) [Right] | 70 Gy/(Yes) | Mandibular First Molar (#19) | Moderate | Complete Healing |
| 4 | M | 75 | Adenoid cystic carcinoma | Hard palate/Maxillary Sinus (Oral Cavity) [Left] | 66 Gy/(No) | Mandibular Second Molars (#18 and #31) | Moderate | Complete Healing |
| Study | PENTO Regimen | Total Number of Patients Who Had Extractions (% of Oral and Oropharyngeal Tumor Sites) | Total Number of Teeth Extracted | ORN Rate by Patient | ORN Rate by Teeth |
|---|---|---|---|---|---|
| Patel et al. (2016) [27] | Pentoxifylline 400 mg BID and Vitamin E 1000 IU daily, 1 month preoperatively and postoperatively until extraction site healed | 82 (54.9%) | 390 | 1/82 (1.2%) | 1/390 (0.3%) |
| Aggarwal et al. (2017) [28] | Pentoxifylline 400 mg BID and Vitamin E 1000 IU daily, 1 month preoperatively and postoperatively until extraction site healed | 110 (56.3%) | 450 | 2/110 (1.8%) | Not reported |
| Samani et al. (2022) [29] | Pentoxifylline 400 mg BID and Vitamin E 1000 IU daily, 1 week preoperatively and postoperatively for 3 months | 167 (Not reported) 148 * | 879 775 * | 6/167 (3.6%) 5/148 (3.4%) * | 10/879 (1.1%) 8/775 (1.0%) * |
| Lombardi et al. (2022) [30] | Pentoxifylline 400 mg BID and Vitamin E 800 IU daily, 1 week preoperatively and postoperatively for 8 weeks | 28 (58.7%) | 152 | 3/28 (10.7%) | Not reported |
| Patel et al. (2023) [32] # | Liquid pentoxifylline 200 mg QID and liquid vitamin E 1 g (10 mL) daily, 1 week preoperatively and postoperatively for 3 months | 45 (71.1%) | Not reported | 2/45 (4.4%) | Not reported |
| Current | Pentoxifylline 400 mg BID and Vitamin E 400 IU BID, oral tablets, 2 weeks preoperatively and postoperatively for 6 weeks | 4 (100%) | 8 | 0/4 (0%) | 0/8 (0%) |
Disclaimer/Publisher’s Note: The statements, opinions and data contained in all publications are solely those of the individual author(s) and contributor(s) and not of MDPI and/or the editor(s). MDPI and/or the editor(s) disclaim responsibility for any injury to people or property resulting from any ideas, methods, instructions or products referred to in the content. |
© 2024 by the authors. Licensee MDPI, Basel, Switzerland. This article is an open access article distributed under the terms and conditions of the Creative Commons Attribution (CC BY) license (https://creativecommons.org/licenses/by/4.0/).
Share and Cite
Owosho, A.A.; DeColibus, K.A.; Okhuaihesuyi, O.; Levy, L.C. Prophylactic Use of Pentoxifylline and Tocopherol for Prevention of Osteoradionecrosis of the Jaw after Dental Extraction in Post-Radiated Oral and Oropharyngeal Cancer Patients: An Initial Case Series. Dent. J. 2024, 12, 83. https://doi.org/10.3390/dj12040083
Owosho AA, DeColibus KA, Okhuaihesuyi O, Levy LC. Prophylactic Use of Pentoxifylline and Tocopherol for Prevention of Osteoradionecrosis of the Jaw after Dental Extraction in Post-Radiated Oral and Oropharyngeal Cancer Patients: An Initial Case Series. Dentistry Journal. 2024; 12(4):83. https://doi.org/10.3390/dj12040083
Chicago/Turabian StyleOwosho, Adepitan A., Katherine A. DeColibus, Osariemen Okhuaihesuyi, and Layne C. Levy. 2024. "Prophylactic Use of Pentoxifylline and Tocopherol for Prevention of Osteoradionecrosis of the Jaw after Dental Extraction in Post-Radiated Oral and Oropharyngeal Cancer Patients: An Initial Case Series" Dentistry Journal 12, no. 4: 83. https://doi.org/10.3390/dj12040083
APA StyleOwosho, A. A., DeColibus, K. A., Okhuaihesuyi, O., & Levy, L. C. (2024). Prophylactic Use of Pentoxifylline and Tocopherol for Prevention of Osteoradionecrosis of the Jaw after Dental Extraction in Post-Radiated Oral and Oropharyngeal Cancer Patients: An Initial Case Series. Dentistry Journal, 12(4), 83. https://doi.org/10.3390/dj12040083

