Two-Dimensional Radiographic Diagnosis of Maxillary Canine Impactions
Abstract
1. Introduction
2. Materials and Methods
2.1. Subjects of the Study
2.2. Data Collection
2.3. Data Analysis
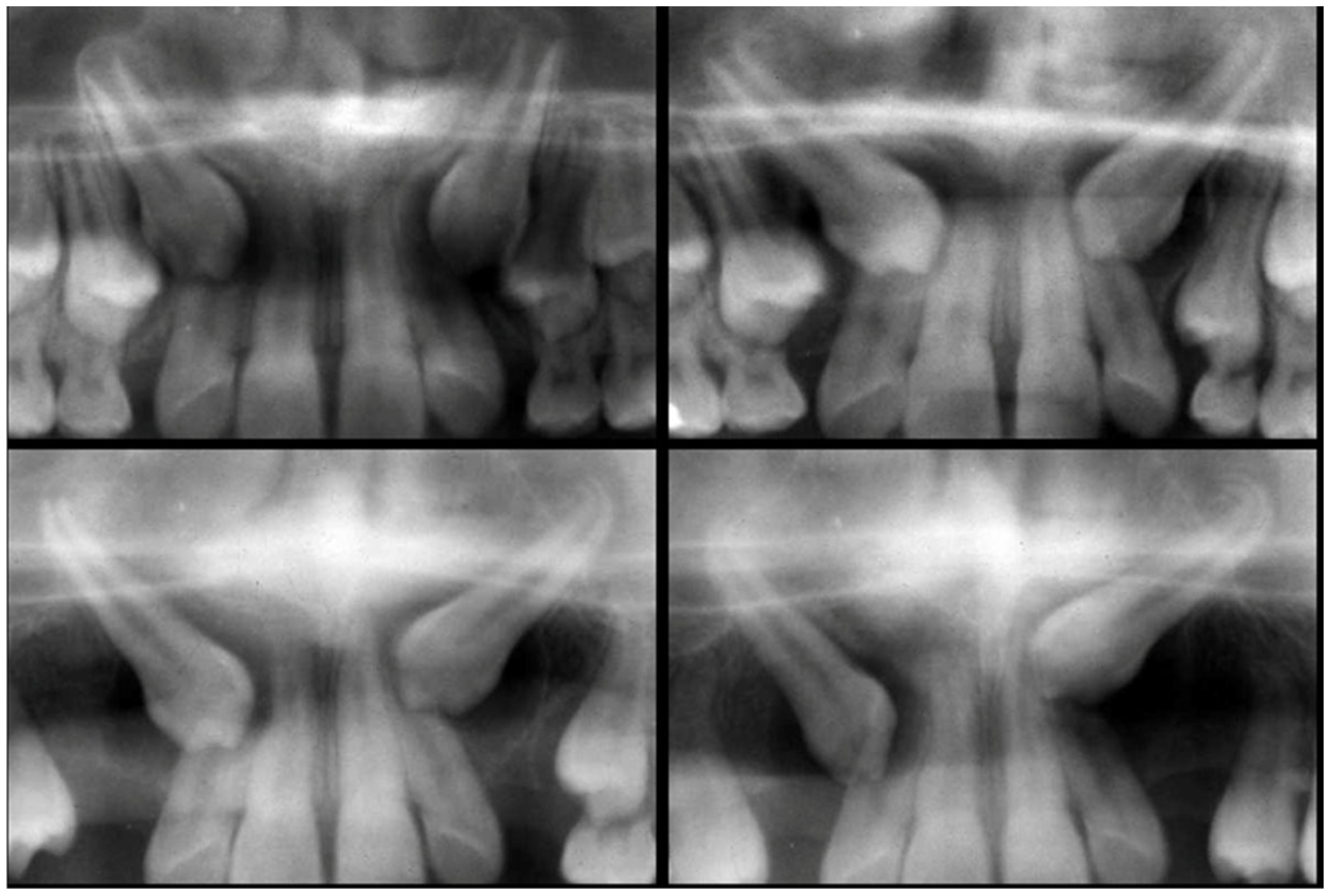
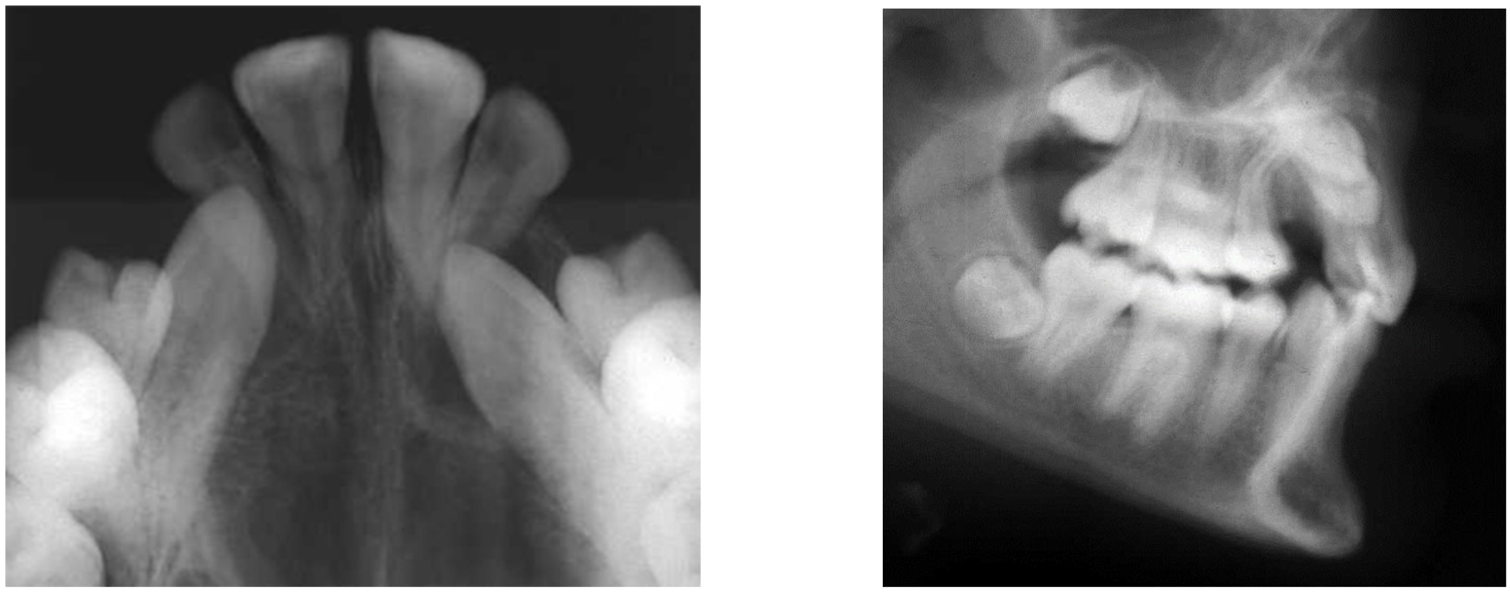
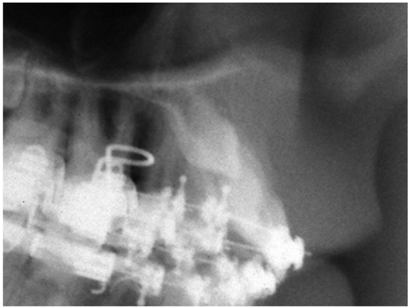
3. Results
3.1. Descriptive Analysis
3.1.1. Age
3.1.2. Location of Canines (Total = 159 Canines)
3.1.3. Pathology Associated with the Included Canines
3.1.4. Proximity of the Crown of the Included Tooth to the Vestibular/Palatal Cortical and the Treatment of Your Choice
3.1.5. Number of Canines According to the Height of the Impaction (Ratio Between the Cusp of the Included Canine and the Root of the Adjacent Lateral Incisor)
3.1.6. Conservative Treatment Applied, According to Age Group
4. Discussion
5. Conclusions
Supplementary Materials
Author Contributions
Funding
Institutional Review Board Statement
Informed Consent Statement
Data Availability Statement
Acknowledgments
Conflicts of Interest
References
- Mendoza, M.; Rodríguez, O.; Medina, C.E.; Márquez, M.D.L.; Jiménez, S.I.; Veras, M.A. Prevalence of retained canines in patients attending ICSa. In Educación y Salud Boletín Científico Instituto de Ciencias de la Salud Universidad Autónoma del Estado de Hidalgo; Universidad Autónoma del Estado de Hidalgo: Pachuca, Mexico, 2020; Volume 8, pp. 14–19. [Google Scholar]
- Gupta, S.K.; Halwai, H.K.; Shrestha, R. Prevalence of Maxillary Impacted Canine among Orthodontic Patients of Universal College of Medical Sciences, College of Dental Surgery, Bhairahawa, Nepal. J. Univers. Coll. Med. Sci. 2022, 10, 50–52. [Google Scholar] [CrossRef]
- Yang, J.S.; Cha, J.Y.; Lee, J.Y.; Choi, S.H. Radiographical characteristics and traction duration of impacted maxillary canine requiring surgical exposure and orthodontic traction: A cross-sectional study. Sci. Rep. 2022, 12, 19183. [Google Scholar] [CrossRef] [PubMed]
- Pinto, M.; Lee, K. Conservative Management of Impacted Teeth: Report of 9 Cases. J. Oral Med. Dent. Res. 2020, 3, 1–21. [Google Scholar] [CrossRef]
- Bedoya, M.M.; Park, J.H. A Review of the Diagnosis and Management of Impacted Maxillary Canines. J. Am. Dent. Assoc. 2009, 140, 1485–1493. [Google Scholar] [CrossRef] [PubMed]
- Kumar, P.; Gupta, S.; Singh, R. Management of Impacted Maxillary Canines: A Review. J. Clin. Diagn. Res. 2021, 15, 79–89. [Google Scholar]
- Uribe, P.; Ransjö, M.; Westerlund, A. Clinical predictors of maxillary canine impaction: A novel approach using multivariate analysis. Eur. J. Orthod. 2017, 39, 153–160. [Google Scholar] [CrossRef][Green Version]
- Cross, R.M. Orthodontic traction of impacted canines: Concepts and clinical application. Dent. Press J. Orthod. 2019, 24, 74–87. [Google Scholar]
- Margot, R.; Maria, C.D.L.; Ali, A.; Annouschka, L.; Anna, V.; Guy, W. Prediction of maxillary canine impaction based on panoramic radiographs. Clin. Exp. Dent. Res. 2020, 6, 44–50. [Google Scholar] [CrossRef]
- Dekel, E.; Nucci, L.; Weill, T.; Flores-Mir, C.; Becker, A.; Perillo, L.; Chaushu, S. Impaction of maxillary canines and its effect on the position of adjacent teeth and canine development: A cone-beam computed tomography study. Am. J. Orthod. Dentofac. Orthop. 2021, 159, e135–e147. [Google Scholar] [CrossRef]
- Alshawy, E. The Prevalence and Categories of Impacted Maxillary Canines: A Radiographic Study. Cureus 2023, 7, 23–45. [Google Scholar] [CrossRef]
- Kumar, P.; Singh, R.; Gupta, S. Prevalence and management of ectopic maxillary canines in a pediatric population: A retrospective study. Angle Orthod. 2022, 92, 112–118. [Google Scholar]
- Peralta-Mamani, M.; Rubira, C.; López-López, J.; Honório, H.; Rubira-Bullen, I. CBCT vs panoramic radiography in assessment of impacted upper canine and root resorption of the adjacent teeth: A systematic review and meta-analysis. J. Clin. Exp. Dent. 2024, 23, 198–222. [Google Scholar] [CrossRef] [PubMed]
- Aileni, K.R.; Rachala, M.R.; Prathima, C.R.; Naveen, P.K.; Soujanya, D. Management of an Unusual Ectopic Eruption of Maxillary Canine. J. Clin. Diagn. Res. 2017, 11, 3–5. [Google Scholar] [CrossRef] [PubMed]
- Becker, A.; Chaushu, S. Etiology of maxillary canine impaction: A review. Am. J. Orthod. Dentofac. Orthop. 2015, 148, 557–567. [Google Scholar] [CrossRef] [PubMed]
- De Grauwe, A.; Ayaz, I.; Shujaat, S.; Dimitrov, S.; Gbadegbegnon, L.; Vande Vannet, B.; Jacobs, R. CBCT in orthodontics: A systematic review on justification of CBCT in a paediatric population prior to orthodontic treatment. Eur. J. Orthod. 2019, 41, 381–389. [Google Scholar] [CrossRef]
- Sinha, P.; Sharma, R.; Kumar, S. Ectopic maxillary canines and associated root resorption: A review of the literature. J. Contemp. Dent. Pract. 2023, 3, 23–54. [Google Scholar]
- Chausu, S.; Chausu, G.; Becker, A. The use of panoramic radiographs to localize displaced maxillary canines. Oral Surg. Oral Med. Oral Pathol. Oral Radiol. Endodontol. 1999, 88, 511–516. [Google Scholar] [CrossRef]
- Gujar, A.; Kiran, A.K. Therapeutic extraction for management of palatally impacted maxillary canine: A case report. Indian J. Orthod. Dentofac. Res. 2017, 3, 119–123. [Google Scholar]
- Alshawy, E.S.; Kolarkodi, S.H. Revealing the Effect of Impacted Canines on the Adjacent Teeth. A Three Dimensional Study Using CBCT. J. Pharm. Bioallied Sci. 2023, 15, S720–S724. [Google Scholar] [CrossRef]
- Thilagavathy, B.; Suresh, R.; Rajesh, K. Evaluation of impacted maxillary canine using panoramic radiograph and cone beam computed tomography. J. Oral Med. Oral Surg. Oral Pathol. Oral Radiol. 2021, 33, 738–744. [Google Scholar]
- Su, N.; van Wijk, A.; Berkhout, E.; Sanderink, G.; De Lange, J.; Wang, H.; van der Heijden, G.J. Predictive value of panoramic radiography for injury of inferior alveolar nerve after mandibular third molar surgery. J. Oral. Maxillofac. Surg. 2017, 75, 663–679. [Google Scholar] [CrossRef] [PubMed]
- Willems, G.; Butaye, C.; Raes, M.; Zong, C.; Begnoni, G.; de Llano-Pérula, M.C. Early prevention of maxillary canine impaction: A randomized clinical trial. Eur. J. Orthod. 2023, 45, 359–369. [Google Scholar] [CrossRef] [PubMed]
- Smailienė, D.; Karpavičienė, B.; Karpavičius, S. Posttreatment Status of Palatally Impacted Maxillary Canines Treated Applying 2 Different Surgical-Orthodontic Methods. Medicina 2013, 49, 55. [Google Scholar] [CrossRef]
- Barros, E.; Lima, R. Clinical Predictors of Potentially Impacted Canines in Low-Risk Patients: A Retrospective Study in Mixed Dentition. Korean J. Orthod. 2023, 53, 106–115. [Google Scholar] [CrossRef]









| Age Range | Total Teeth | Tractioned Teeth (75.47%) | Teeth Extracted (24.53%) |
|---|---|---|---|
| Less than 15 years | 19.5% (31) | 74.19% (23) | 25.81% (8) |
| 15 to 30 years old | 66.04% (105) | 85.71% (90) | 14.29% (15) |
| More than 30 years | 14.47% (23) | 30.43% (7) | 69.57% (16) |
Disclaimer/Publisher’s Note: The statements, opinions and data contained in all publications are solely those of the individual author(s) and contributor(s) and not of MDPI and/or the editor(s). MDPI and/or the editor(s) disclaim responsibility for any injury to people or property resulting from any ideas, methods, instructions or products referred to in the content. |
© 2024 by the authors. Licensee MDPI, Basel, Switzerland. This article is an open access article distributed under the terms and conditions of the Creative Commons Attribution (CC BY) license (https://creativecommons.org/licenses/by/4.0/).
Share and Cite
Iacob, A.M.; Escobedo Martínez, M.F.; Olay García, S.; Junquera Olay, S.; Junquera Gutiérrez, L.M. Two-Dimensional Radiographic Diagnosis of Maxillary Canine Impactions. Dent. J. 2024, 12, 360. https://doi.org/10.3390/dj12110360
Iacob AM, Escobedo Martínez MF, Olay García S, Junquera Olay S, Junquera Gutiérrez LM. Two-Dimensional Radiographic Diagnosis of Maxillary Canine Impactions. Dentistry Journal. 2024; 12(11):360. https://doi.org/10.3390/dj12110360
Chicago/Turabian StyleIacob, Alin M., Matías Ferrán Escobedo Martínez, Sonsoles Olay García, Sonsoles Junquera Olay, and Luis Manuel Junquera Gutiérrez. 2024. "Two-Dimensional Radiographic Diagnosis of Maxillary Canine Impactions" Dentistry Journal 12, no. 11: 360. https://doi.org/10.3390/dj12110360
APA StyleIacob, A. M., Escobedo Martínez, M. F., Olay García, S., Junquera Olay, S., & Junquera Gutiérrez, L. M. (2024). Two-Dimensional Radiographic Diagnosis of Maxillary Canine Impactions. Dentistry Journal, 12(11), 360. https://doi.org/10.3390/dj12110360

