Current Perspectives on Paradental Cyst: A Literature Review
Abstract
1. Introduction
2. History of Terminology
3. Epidemiological Features
4. Clinical and Radiological Features
4.1. Buccal Bifurcation Cyst
4.1.1. Clinical Features
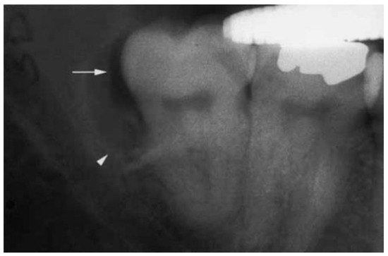
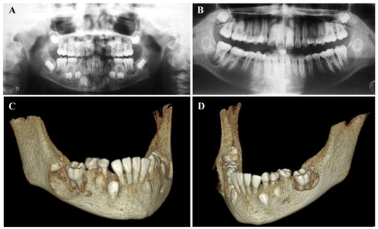
4.1.2. Radiographic Features
4.2. PCs of Mandibular Third Molars
4.2.1. Clinical Features
4.2.2. Radiographic Features
4.3. PCs of Other Teeth
5. Pathogenesis and Risk Factors
5.1. Eruption Factor
5.2. Dental Anatomy Factors
5.3. Food Impaction
5.4. Epithelial Origin
6. Pathology
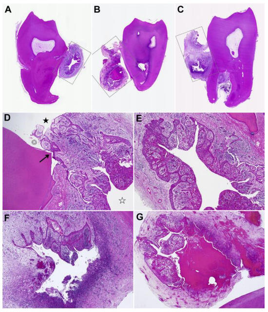
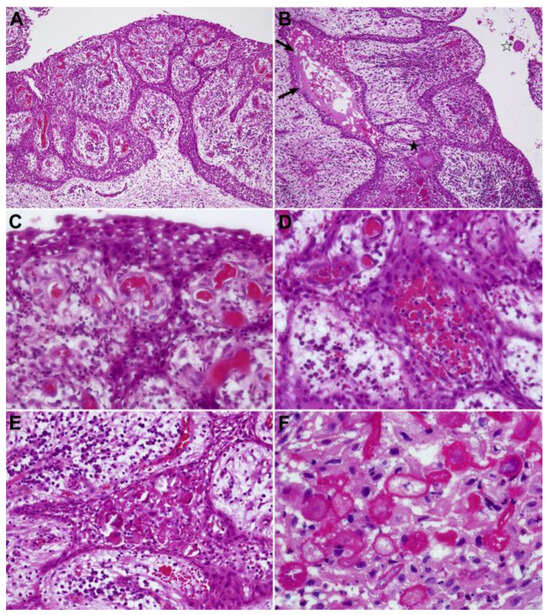
6.1. Macroscopy
6.2. Microscopy
6.2.1. Histopathological Findings
6.2.2. Microorganism
7. Diagnosis and Differential Diagnosis
7.1. Important References for Diagnosis
7.2. Differential Diagnosis
8. Recommended Treatment and Prognosis
8.1. Enucleation Plus Tooth Extraction
8.2. Enucleation without Tooth Extraction
8.3. Marsupialization
8.4. Other More Conservative Treatments
9. Conclusions
Author Contributions
Funding
Conflicts of Interest
References
- Kramer, I.R.; Pindborg, J.J.; Shear, M. The WHO Histological Typing of Odontogenic Tumours. A commentary on the Second Edition. Cancer 1992, 70, 2988–2994. [Google Scholar] [CrossRef] [PubMed]
- Philipsen, H.P.; Reichart, P.A.; Ogawa, I.; Suei, Y.; Takata, T. The inflammatory paradental cyst: A critical review of 342 cases from a literature survey, including 17 new cases from the author’s files. J. Oral Pathol. Med. 2004, 33, 147–155. [Google Scholar] [CrossRef] [PubMed]
- Hofrath, H. Uber das Vorkommen von Talgdrusen in der Wandung einer Zahncyste, zugleich ein Beitrag zur Pathogenese der Kiefer-Zahncysten. Dtsch. Monatsschr Zahnheilk. 1930, 48, 65–76. [Google Scholar]
- Main, D.M. Epithelial jaw cysts: A clinicopathological reappraisal. Br. J. Oral Surg. 1970, 8, 114–125. [Google Scholar] [CrossRef] [PubMed]
- Craig, G.T. The paradental cyst. A specific inflammatory odontogenic cyst. Br. Dent. J. 1976, 141, 9–14. [Google Scholar] [CrossRef] [PubMed]
- Stoneman, D.W.; Worth, H.M. The mandibular infected buccal cyst--molar area. Dent. Radiogr. Photogr. 1983, 56, 1–14. [Google Scholar]
- David, L.A.; Sándor, G.K.; Stoneman, D.W. The buccal bifurcation cyst: In non-surgical treatment an option? J. Can. Dent. Assoc. 1998, 64, 712–716. [Google Scholar]
- Pompura, J.R.; Sándor, G.K.; Stoneman, D.W. The buccal bifurcation cyst: A prospective study of treatment outcomes in 44 sites. Oral Surg. Oral Med. Oral Pathol. Oral Radiol. Endodontology 1997, 83, 215–221. [Google Scholar] [CrossRef]
- Thikkurissy, S.; Glazer, K.M.; McNamara, K.K.; Tatakis, D.N. Buccal bifurcation cyst in a 7-year-old: Surgical management and 14-month follow-up. J. Periodontol. 2010, 81, 442–446. [Google Scholar] [CrossRef]
- Bautista, C.R.G.; Milhan, N.V.M.; Ankha Mdvea do Prado, R.F.; Cavalcante, A.S.R.; Lopes Slpc Anbinder, A.L. Bilateral mandibular buccal bifurcation cyst: A case report emphasizing the role of imaging examination in the diagnosis. Autops. Case Rep. 2019, 9, e2018073. [Google Scholar] [CrossRef]
- Jajam, M.; Niklander, S.; Faúndez, F.; Córdova, P.; Martínez-Flores, R. Different presentations of the Buccal Bifurcation Cyst: A case series. J. Stomatol. Oral Maxillofac. Surg. 2023, 124, 101371. [Google Scholar] [CrossRef] [PubMed]
- Thompson, I.O.; de Waal, J.; Nortje, C.J. Mandibular infected buccal cyst and paradental cyst: The same or separate entities? J. Dent. Assoc. S. Afr. 1997, 52, 503–506. [Google Scholar] [PubMed]
- Morimoto, Y.; Tanaka, T.; Nishida, I.; Kito, S.; Hirashima, S.; Okabe, S.; Ohba, T. Inflammatory paradental cyst (IPC) in the mandibular premolar region in children. Oral Surg. Oral Med. Oral Pathol. Oral Radiol. Endodontology 2004, 97, 286–293. [Google Scholar] [CrossRef] [PubMed]
- Vedtofte, P.; Praetorius, F. The inflammatory paradental cyst. Oral Surg. Oral Med. Oral Pathol. 1989, 68, 182–188. [Google Scholar] [CrossRef]
- Vedtofte, P.; Holmstrup, P. Inflammatory paradental cysts in the globulomaxillary region. J. Oral Pathol. Med. 1989, 18, 125–127. [Google Scholar] [CrossRef] [PubMed]
- Main, D.M. Epithelial jaw cysts: 10 years of the WHO classification. J. Oral Pathol. 1985, 14, 1–7. [Google Scholar] [CrossRef]
- Bsoul, S.A.; Flint, D.J.; Terezhalmy, G.T.; Moore, W.S. Paradental cyst (inflammatory collateral, mandibular infected buccal cyst). Quintessence Int. 2002, 33, 782–783. [Google Scholar]
- Slater, L.J. Paradental cyst: Vital tooth pulp tests “nonvital”. J. Oral Maxillofac. Surg. 2002, 60, 1513. [Google Scholar] [CrossRef]
- Maruyama, S.; Yamazaki, M.; Abé, T.; Babkair, H.; Cheng, J.; Saku, T. Paradental cyst is an inclusion cyst of the junctional/sulcular epithelium of the gingiva: Histopathologic and immunohistochemical confirmation for its pathogenesis. Oral Surg. Oral Med. Oral Pathol. Oral Radiol. 2015, 120, 227–237. [Google Scholar] [CrossRef]
- Packota, G.V.; Hall, J.M.; Lanigan, D.T.; Cohen, M.A. Paradental cysts on mandibular first molars in children: Report of five cases. Dentomaxillofacial Radiol. 1990, 19, 126–132. [Google Scholar] [CrossRef]
- Bohay, R.N.; Weinberg, S.; Thorner, P.S. The paradental cyst of the mandibular permanent first molar: Report of a bilateral case. ASDC J. Dent. Child. 1992, 59, 361–365. [Google Scholar] [PubMed]
- Gomez, R.S.; de Oliveira, J.R.; Castro, W.H. Spontaneous regression of a paradental cyst. Dentomaxillofacial Radiol. 2001, 30, 296. [Google Scholar] [CrossRef] [PubMed]
- Annibali, S.; Pippi, R.; Perfetti, G. Unusual surgical approach in a bilateral case of mandibular buccal infected cyst. Minerva Stomatol. 2002, 51, 219–224. [Google Scholar] [PubMed]
- Shohat, I.; Buchner, A.; Taicher, S. Mandibular buccal bifurcation cyst: Enucleation without extraction. Int. J. Oral Maxillofac. Surg. 2003, 32, 610–613. [Google Scholar] [CrossRef] [PubMed]
- Lacaita, M.G.; Capodiferro, S.; Favia, G.; Santarelli, A.; Lo Muzio, L. Infected paradental cysts in children: A clinicopathological study of 15 cases. Br. J. Oral Maxillofac. Surg. 2006, 44, 112–115. [Google Scholar] [CrossRef]
- Gallego, L.; Baladrón, J.; Junquera, L. Bilateral mandibular infected buccal cyst: A new image. J. Periodontol. 2007, 78, 1650–1654. [Google Scholar] [CrossRef]
- Iatrou, I.; Theologie-Lygidakis, N.; Leventis, M. Intraosseous cystic lesions of the jaws in children: A retrospective analysis of 47 consecutive cases. Oral Surg. Oral Med. Oral Pathol. Oral Radiol. Endodontology 2009, 107, 485–492. [Google Scholar] [CrossRef]
- Borgonovo, A.E.; Speroni, S.; Fabbri, A.; Grossi, G.B. Paradental cyst of the first molar: A report of two cases. J. Indian Soc. Pedod. Prev. Dent. 2010, 28, 116–120. [Google Scholar]
- Pelka, M.; van Waes, H. Paradental cyst mimicking a periodontal pocket: Case report of a conservative treatment approach. Int. J. Oral Maxillofac. Surg. 2010, 39, 514–516. [Google Scholar] [CrossRef][Green Version]
- Corona-Rodriguez, J.; Torres-Labardini, R.; Velasco-Tizcareño, M.; Mora-Rincones, O. Bilateral buccal bifurcation cyst: Case report and literature review. J. Oral Maxillofac. Surg. 2011, 69, 1694–1696. [Google Scholar] [CrossRef]
- Zadik, Y.; Yitschaky, O.; Neuman, T.; Nitzan, D.W. On the self-resolution nature of the buccal bifurcation cyst. J. Oral Maxillofac. Surg. 2011, 69, e282–e284. [Google Scholar] [CrossRef] [PubMed]
- Chrcanovic, B.R.; Reis, B.M.; Freire-Maia, B. Paradental (mandibular inflammatory buccal) cyst. Head Neck Pathol. 2011, 5, 159–164. [Google Scholar] [CrossRef] [PubMed]
- Lizio, G.; Corinaldesi, G.; Bianchi, A.; Marchetti, C. Successful resolution of juvenile paradental cysts after marsupialization in five consecutive patients. Aust. Dent. J. 2011, 56, 427–432. [Google Scholar] [CrossRef] [PubMed]
- Santos, S.E.; Sato, F.R.; Sawazaki, R.; Asprino, L.; de Moraes, M.; Moreira, R.W. Mandibular buccal bifurcation cyst: A case report and literature review. J. Dent. Child. 2011, 78, 62–65. [Google Scholar]
- Borgonovo, A.E.; Reo, P.; Grossi, G.B.; Maiorana, C. Paradental cyst of the first molar: Report of a rare case with bilateral presentation and review of the literature. J. Indian Soc. Pedod. Prev. Dent. 2012, 30, 343–348. [Google Scholar] [CrossRef]
- Boffano, P.; Gallesio, C.; Roccia, F.; Berrone, S. Bilateral buccal bifurcation cyst. J. Craniofacial Surg. 2012, 23, e643–e645. [Google Scholar] [CrossRef] [PubMed]
- Ramos, L.M.; Vargas, P.A.; Coletta, R.D.; de Almeida, O.P.; Lopes, M.A. Bilateral buccal bifurcation cyst: Case report and literature review. Head Neck Pathol. 2012, 6, 455–459. [Google Scholar] [CrossRef]
- Issler, A.; Bornert, F.; Clauss, F.; Jung, S.; Renard, C.; Marcellin, L.; Féki, A. Mandibular buccal bifurcation cyst treatment: Report of two cases and literature review. Médecine Buccale Chir. Buccale. 2013, 19, 77–84. [Google Scholar] [CrossRef]
- Borgonovo, A.E.; Rigaldo, F.; Censi, R.; Conti, G.; Re, D. Large buccal bifurcation cyst in a child: A case report and literature review. Eur. J. Paediatr. Dent. 2014, 15 (Suppl. 2), 237–240. [Google Scholar]
- Friedrich, R.E.; Scheuer, H.A.; Zustin, J. Inflammatory paradental cyst of the first molar (buccal bifurcation cyst) in a 6-year-old boy: Case report with respect to immunohistochemical findings. Vivo 2014, 28, 333–339. [Google Scholar]
- Levarek, R.E.; Wiltz, M.J.; Kelsch, R.D.; Kraut, R.A. Surgical management of the buccal bifurcation cyst: Bone grafting as a treatment adjunct to enucleation and curettage. J. Oral Maxillofac. Surg. 2014, 72, 1966–1973. [Google Scholar] [CrossRef] [PubMed]
- Kim, H.-R.; Nam, S.-H.; Kim, H.-J.; Choi, S.-Y. Buccal Bifurcation Cyst: Two Case Reports and a Literature Review. J. Clin. Pediatr. Dent. 2018, 42, 221–224. [Google Scholar] [CrossRef] [PubMed]
- De Grauwe, A.; Mangione, F.; Mitsea, A.; Kalyvas, D.; Yfanti, Z.; Ahbab, G.; Salmon, B.; Jacobs, R. Update on a rare mandibular osteolytic lesion in childhood: The buccal bifurcation cyst. BJR|Case Rep. 2018, 4, 20170109. [Google Scholar] [CrossRef] [PubMed]
- Derindağ, G.; Miloğlu, Ö.; Sümbüllü, M.A. Buccal bifurcation cyst (paradental cyst) defined by ultrasonography and cone-beam computed tomography. Oral Radiol. 2019, 35, 315–320. [Google Scholar] [CrossRef] [PubMed]
- Lima, L.P.; Meira, H.C.; Amaral TM, P.; Caldeira, P.C.; Abdo, E.N.; Brasileiro, C.B. Mandibular buccal bifurcation cyst: Case report and literature review. Stomatologija 2019, 21, 57–61. [Google Scholar]
- Aloyouny, A.; Albagieh, H.; Mansour, S.; Mobarak, F. Case Report: Bilateral mandibular buccal bifurcation cysts. F1000Research 2020, 9, 1502. [Google Scholar] [CrossRef]
- Dave, M.; Thomson, F.; Barry, S.; Horner, K.; Thakker, N.; Petersen, H.J. The use of localised CBCT to image inflammatory collateral cysts: A retrospective case series demonstrating clinical and radiographic features. Eur. Arch. Paediatr. Dent. 2020, 21, 329–337. [Google Scholar] [CrossRef]
- Ruddocks, L.A.; Fitzpatrick, S.G.; Bhattacharyya, I.; Islam, M.N.; Cohen, D.M. Buccal bifurcation cyst: A case series and review of the literature. J. Am. Dent. Assoc. 2022, 153, 421–428. [Google Scholar] [CrossRef]
- Martinez-Conde, R.; Aguirre, J.M.; Pindborg, J.J. Paradental cyst of the second molar: Report of a bilateral case. J. Oral Maxillofac. Surg. 1995, 53, 1212–1214. [Google Scholar] [CrossRef]
- Lim, A.A.; Peck, R.H. Bilateral mandibular cyst: Lateral radicular cyst, paradental cyst, or mandibular infected buccal cyst? Report of a case. J. Oral Maxillofac. Surg. 2002, 60, 825–827. [Google Scholar] [CrossRef]
- Silva, T.A.; Batista, A.C.; Camarini, E.T.; Lara, V.S.; Consolaro, A. Paradental cyst mimicking a radicular cyst on the adjacent tooth: Case report and review of terminology. J. Endod. 2003, 29, 73–76. [Google Scholar] [CrossRef] [PubMed]
- da Graça Naclério-Homem, M.; Deboni, M.C.; Simões, A.W.; Traina, A.A.; Chin, V. Paradental cyst: Case report and review of the literature. J. Clin. Pediatr. Dent. 2004, 29, 83–86. [Google Scholar] [CrossRef] [PubMed]
- Borgonovo, A.E.; Grossi, G.B.; Maridati, P.C.; Maiorana, C. Juvenile paradental cyst: Presentation of a rare case involving second molar. Minerva Stomatol. 2013, 62, 397–404. [Google Scholar] [PubMed]
- Oenning, A.C.; Oliveira, L.B.; Junqueira, J.L.C.; Melo, S.L.S. Buccal bifurcation cyst as an incidental finding in cone beam computed tomography scans. RGO Rev. Gaúcha Odontol. 2018, 66, 385–389. [Google Scholar] [CrossRef]
- Heggendorn, F.L.; Heggendorn, C.; Vidal, F.; Silva GC, C.; Gonçalves, L.S.; Lione VO, F. Leukocyte-platelet rich fibrin on the treatment of a large paradental cyst: A novel regenerative approach. Blood Coagul Fibrinolysis 2021, 32, 411–417. [Google Scholar] [CrossRef] [PubMed]
- Lindh, C.; Larsson, A. Unusual jaw-bone cysts. J. Oral Maxillofac. Surg. 1990, 48, 258–263. [Google Scholar] [CrossRef]
- Costa, F.W.; Viana, T.S.; Cavalcante, G.M.; de Barros Silva, P.G.; Cavalcante, R.B.; Nogueira, A.S.; Pereira, K.M. A clinicoradiographic and pathological study of pericoronal follicles associated to mandibular third molars. J. Craniofacial Surg. 2014, 25, e283–e287. [Google Scholar] [CrossRef]
- Colgan, C.M.; Henry, J.; Napier, S.S.; Cowan, C.G. Paradental cysts: A role for food impaction in the pathogenesis? A review of cases from Northern Ireland. Br. J. Oral Maxillofac. Surg. 2002, 40, 163–168. [Google Scholar] [CrossRef]
- Kanno, C.M.; Gulinelli, J.L.; Nagata, M.J.; Soubhia, A.M.; Crivelini, M.M. Paradental cyst: Report of two cases. J. Periodontol. 2006, 77, 1602–1606. [Google Scholar] [CrossRef]
- Mufeed, A.; Chatra, L.; Shenai, P. Diagnostic features of the paradental cyst and report of a case. Dentomaxillofacial Radiol. 2009, 38, 125–126. [Google Scholar] [CrossRef]
- Prakash, A.R.; Reddy, P.S.; Rajanikanth, M. Paradental cyst associated with supernumerary tooth fused with third molar: A rare case report. J. Oral Maxillofac. Pathol. 2012, 16, 131–133. [Google Scholar] [CrossRef] [PubMed]
- Ozcan, G.; Sekerci, A.E.; Soylu, E.; Nazlim, S.; Amuk, M.; Avci, F. Role of cone-beam computed tomography in the evaluation of a paradental cyst related to the fusion of a wisdom tooth with a paramolar: A rare case report. Imaging Sci. Dent. 2016, 46, 57–62. [Google Scholar] [CrossRef] [PubMed][Green Version]
- Vasanthi, V.; Tha, T.P.; Kumar, A.R.; Balasubramanian, S. Paradental cyst with hyaline ring granuloma masquerading as pericoronitis. J. Indian Soc. Periodontol. 2023, 27, 434–436. [Google Scholar] [CrossRef] [PubMed]
- Ackermann, G.L.; Altini, M. Diagnosing the paradental cyst. J. Oral Maxillofac. Surg. 1990, 48, 100. [Google Scholar] [CrossRef]
- Magnusson, B.; Borrman, H. The paradental cyst a clinicopathologic study of 26 cases. Swed. Dent. J. 1995, 19, 1–7. [Google Scholar] [PubMed]
- Stanley, H.R.; Krogh, H.; Pannkuk, E. Age Changes in the Epithelial Components of Follicles (Dental Sacs) Associated with Impacted Third MOLARS. Oral Surg. Oral Med. Oral Pathol. 1965, 19, 128–139. [Google Scholar] [CrossRef] [PubMed]
- Hou, G.L.; Tsai, C.C. Cervical enamel projection and intermediate bifurcational ridge correlated with molar furcation involvements. J. Periodontol. 1997, 68, 687–693. [Google Scholar] [CrossRef] [PubMed]
- Goh, E.X.; Ong, M.M. Anatomical, microbiological, and genetic considerations in treatment of Chinese periodontal patients. J. Investig. Clin. Dent. 2019, 10, e12381. [Google Scholar] [CrossRef]
- Wolf, J.; Hietanen, J. The mandibular infected buccal cyst (paradental cyst). A radiographic and histological study. Br. J. Oral Maxillofac. Surg. 1990, 28, 322–325. [Google Scholar] [CrossRef]
- Ackermann, G.; Cohen, M.A.; Altini, M. The paradental cyst: A clinicopathologic study of 50 cases. Oral Surg. Oral Med. Oral Pathol. 1987, 64, 308–312. [Google Scholar] [CrossRef]
- Fowler, C.B.; Brannon, R.B. The paradental cyst: A clinicopathologic study of six new cases and review of the literature. J. Oral Maxillofac. Surg. 1989, 47, 243–248. [Google Scholar] [CrossRef] [PubMed]
- Slater, L.J. Dentigerous cyst versus paradental cyst versus eruption pocket cyst. J. Oral Maxillofac. Surg. 2003, 61, 149. [Google Scholar] [CrossRef] [PubMed]
- de Sousa, S.O.; Corrêa, L.; Deboni, M.C.; de Araújo, V.C. Clinicopathologic features of 54 cases of paradental cyst. Quintessence Int. 2001, 32, 737–741. [Google Scholar] [PubMed]
- Damante, J.H.; Fleury, R.N. A contribution to the diagnosis of the small dentigerous cyst or the paradental cyst. Pesqui. Odontológica Bras. 2001, 15, 238–246. [Google Scholar] [CrossRef]
- Nair, P.N. New perspectives on radicular cysts: Do they heal? Int. Endod. J. 1998, 31, 155–160. [Google Scholar] [CrossRef]
- Bernardi, L.; Visioli, F.; Nör, C.; Rados, P.V. Radicular Cyst: An Update of the Biological Factors Related to Lining Epithelium. J. Endod. 2015, 41, 1951–1961. [Google Scholar] [CrossRef]







| Tooth Involved | Authors (Year) | n of Cases | Gender | Age (Years) | Treatment | Follow-Up (Months) |
|---|---|---|---|---|---|---|
| Mandibular first molar | Packota et al. (1990) [20] | 5 (1 bilateral) | ND | 6–8 | En | 6–9 |
| Bohay et al. (1992) [21] | 1 bilateral | M | 7 | En | 8 | |
| Pompura et al. (1997) [8] | 32 (12 bilateral) | 18 F 14 M | 5.5–11 | En | 30–36 | |
| David et al. (1998) [7] | 3 bilateral | M | 7–9 | Surgical treatment (right, ND) and SR (left); SR; PI | 9–15 | |
| Gomez et al. (2001) [22] | 1 | M | 10 | SR | 8 | |
| Annibali et al. (2002) [23] | 1 bilateral | F | 7 | Ma (left) and En (right) | 72 | |
| Shohat et al. (2003) [24] | 3 (1 bilateral) | 2 F 1 M | 8 | Ex; En | 24–36 | |
| Philipsen et al. (2004) [2] | 1 | M | 47 | En | ND | |
| Lacaita et al. (2006) [25] | 10 (3 bilateral) | 7 F 3 M | 6–9 | En | 24 | |
| Gallego et al. (2007) [26] | 1 bilateral | M | 8 | SR (right) and En (left) | 12 | |
| Iatrou et al. (2009) [27] | 4 | M | 7–9 | Ex, En | ND | |
| Thikkurissy et al. (2010) [9] | 1 | M | 7 | En | 14 | |
| Borgonovo et al. (2010) [28] | 2 | M | 7, 8 | En | 12 | |
| Pelka et al. (2010) [29] | 1 | M | 7 | PI and topical antibiotics | 24 | |
| Corona-Rodriguez et al. (2011) [30] | 1 bilateral | M | 7 | En (right) and SR (left) | 6 | |
| Zadik et al. (2011) [31] | 1 bilateral | ND | 7.5 | SR | ND | |
| Chrcanovic et al. (2011) [32] | 1 | F | 6 | En | 16 | |
| Lizio et al. (2011) [33] | 5 (1 bilateral) | 3 F 2 M | 7–10 | Ma | 12–60 | |
| Santos et al. (2011) [34] | 1 | ND | 8 | En | 6 | |
| Borgonovo et al. (2012) [35] | 1 bilateral | M | 8 | En | 12 | |
| Boffano et al. (2012) [36] | 1 bilateral | ND | 9 | En | 6 | |
| Ramos et al. (2012) [37] | 1 bilateral | M | 9 | En | 12 | |
| Issler et al. (2013) [38] | 2 (1 bilateral) | 1 F 1 M | 9 | En | 2–18 | |
| Borgonovo et al. (2014) [39] | 1 | M | 6 | En | ND | |
| Friedrich et al. (2014) [40] | 1 | M | 6 | En | 15 | |
| Levarek et al. (2014) [41] | 3 | 2 F 1 M | 6–7 | En | 5–9 | |
| Kim et al. (2018) [42] | 2 | M | 8, 9 | En | 6, 24 | |
| De Grauwe et al. (2018) [43] | 3 | 1 F 2 M | 6–8 | En, Ex | 24 | |
| Derindağ et al. (2019) [44] | 1 | M | 10 | En | ND | |
| Bautista et al. (2019) [10] | 1 bilateral | F | 7 | En | ND | |
| Lima et al. (2019) [45] | 1 | M | 7 | En | 7 | |
| Aloyouny et al. (2020) [46] | 1 bilateral | M | 7 | Ex | 12 | |
| Dave et al. (2020) [47] | 3 (2 bilateral) | 2 F 1 M | 6–11 | En, Ex | 6 | |
| Ruddocks et al. (2022) [48] | 8 (2 bilateral) | 3 F 5 M | 8–9 | En, ND | 5, ND | |
| Mandibular second molar | Martinez-Conde et al. (1995) [49] | 1 bilateral | M | 11 | Ex | ND |
| Lim et al. (2002) [50] | 1 bilateral | F | 13 | Ex | ND | |
| Lacaita et al. (2006) [25] | 2 | 1 F 1 M | 9 | En | 24 | |
| Shohat et al. (2003) [24] | 2 (1 bilateral) | 1 F 1 M | 11, 13 | Ex, En | 24–36 | |
| Silva et al. (2003) [51] | 1 | M | 14 | En | ND | |
| Philipsen et al. (2004) [2] | 4 | 1 F 3 M | 12–40 | En | ND | |
| da Graça et al.(2004) [52] | 1 | F | 15 | Ex | ND | |
| Borgonovo et al. (2013) [53] | 1 | F | 14 | En | 6 | |
| Maruyama et al. (2015) [19] | 1 | M | 17 | En | ND | |
| Oenning et al. (2018) [54] | 2 | 1 F 1 M | 13, 17 | En | ND | |
| Heggendorn et al. (2021) [55] | 1 | F | 14 | Ex, bone regeneration | 8 | |
| Ruddocks et al. (2022) [48] | 1 bilateral | 1 F 1 M | 11, 12 | ND | ND | |
| Mandibular third molar | Lindh et al. (1990) [56] | 1 | M | 21 | Ex | ND |
| Costa et al. (2014) [57] | 55 | ND | ND | Ex | ND | |
| Colgan et al. (2002) [58] | 15 | 8 F 7 M | 18–43 | Ex | ND | |
| Philipsen et al. (2004) [2] | 12 (2 bilateral) | 5 F 7 M | 18–46 | Ex | ND | |
| Kanno et al. (2006) [59] | 2 | 2 M | 21, 23 | Ex | ND | |
| Mufeed et al. (2009) [60] | 1 | F | 21 | Ex | ND | |
| Prakash et al. (2012) [61] | 1 | F | 28 | Ex | ND | |
| Maruyama et al. (2015) [19] | 6 | 4 F 2 M | 22–47 | Ex, En | ND | |
| Ozcan et al. (2016) [62] | 1 | M | 27 | Ex | ND | |
| Vasanthi V (2023) [63] | 1 | M | 23 | Ex | 1 | |
| Maxillary third molar | Maruyama et al. (2015) [19] | 1 | M | 56 | Ex | ND |
| Mandibular first or second premolar | Morimoto et al. (2004) [13] | 4 | 3 F 1 M | 9–10 | En | ND |
| Maruyama et al. (2015) [19] | 1 | M | 45 | En | ND | |
| Mandibular lateral incisor | Maruyama et al. (2015) [19] | 1 | M | 65 | En | ND |
| Maxillary lateral incisor or canine | Vedtofte et al. (1989) [15] | 8 | 1 F 7 M | 10–49 | En | ND |
Disclaimer/Publisher’s Note: The statements, opinions and data contained in all publications are solely those of the individual author(s) and contributor(s) and not of MDPI and/or the editor(s). MDPI and/or the editor(s) disclaim responsibility for any injury to people or property resulting from any ideas, methods, instructions or products referred to in the content. |
© 2023 by the authors. Licensee MDPI, Basel, Switzerland. This article is an open access article distributed under the terms and conditions of the Creative Commons Attribution (CC BY) license (https://creativecommons.org/licenses/by/4.0/).
Share and Cite
Li, P.; Zhao, Y.; You, Y.; Lin, L.; Yu, D.; Zhao, W. Current Perspectives on Paradental Cyst: A Literature Review. Dent. J. 2023, 11, 281. https://doi.org/10.3390/dj11120281
Li P, Zhao Y, You Y, Lin L, Yu D, Zhao W. Current Perspectives on Paradental Cyst: A Literature Review. Dentistry Journal. 2023; 11(12):281. https://doi.org/10.3390/dj11120281
Chicago/Turabian StyleLi, Pei, Yifan Zhao, Yuehua You, Ling Lin, Dongsheng Yu, and Wei Zhao. 2023. "Current Perspectives on Paradental Cyst: A Literature Review" Dentistry Journal 11, no. 12: 281. https://doi.org/10.3390/dj11120281
APA StyleLi, P., Zhao, Y., You, Y., Lin, L., Yu, D., & Zhao, W. (2023). Current Perspectives on Paradental Cyst: A Literature Review. Dentistry Journal, 11(12), 281. https://doi.org/10.3390/dj11120281
