The Use of Polyetheretherketone (PEEK) as an Alternative Post and Core Material: Five-Year Follow-Up Report
Abstract
1. Introduction
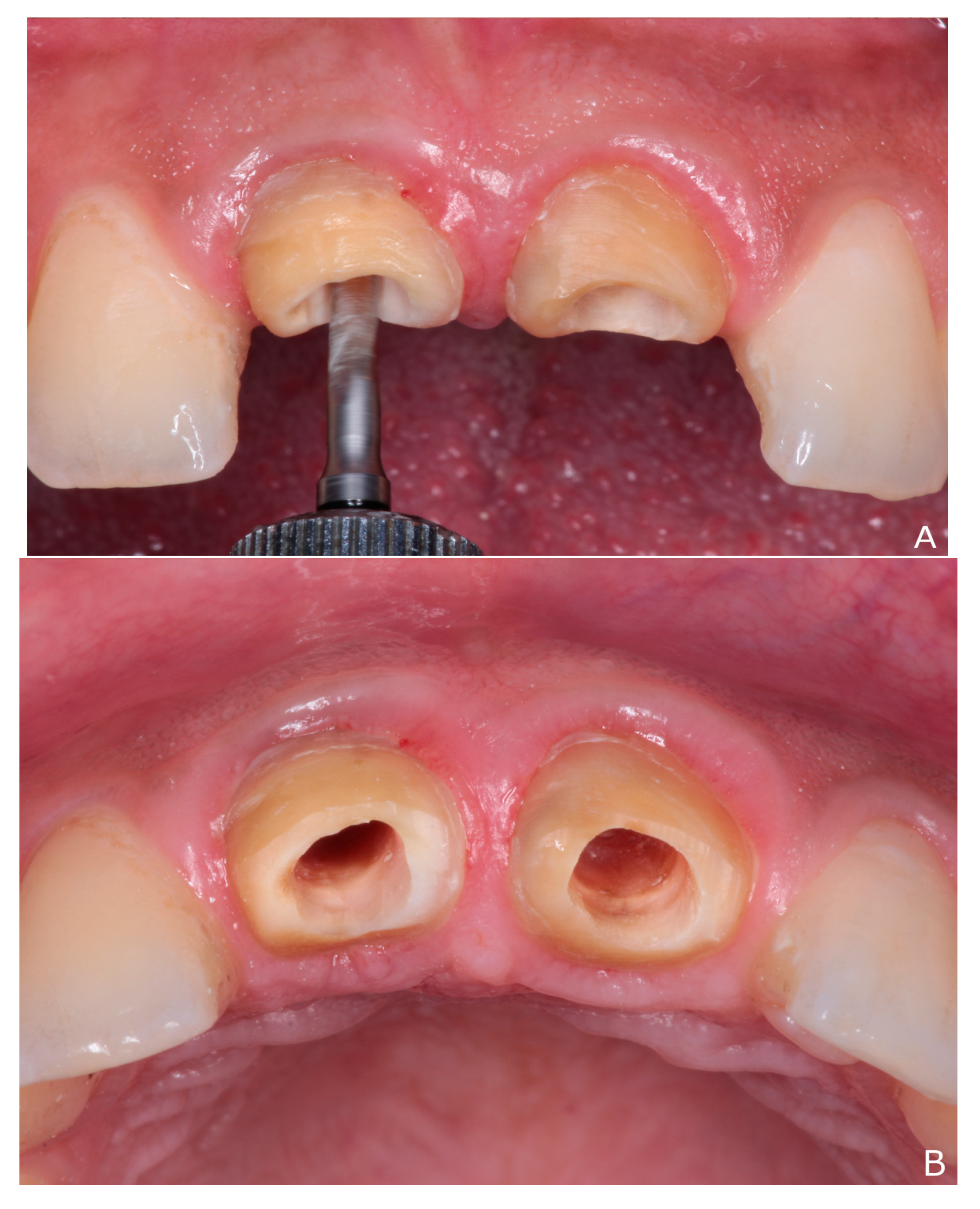
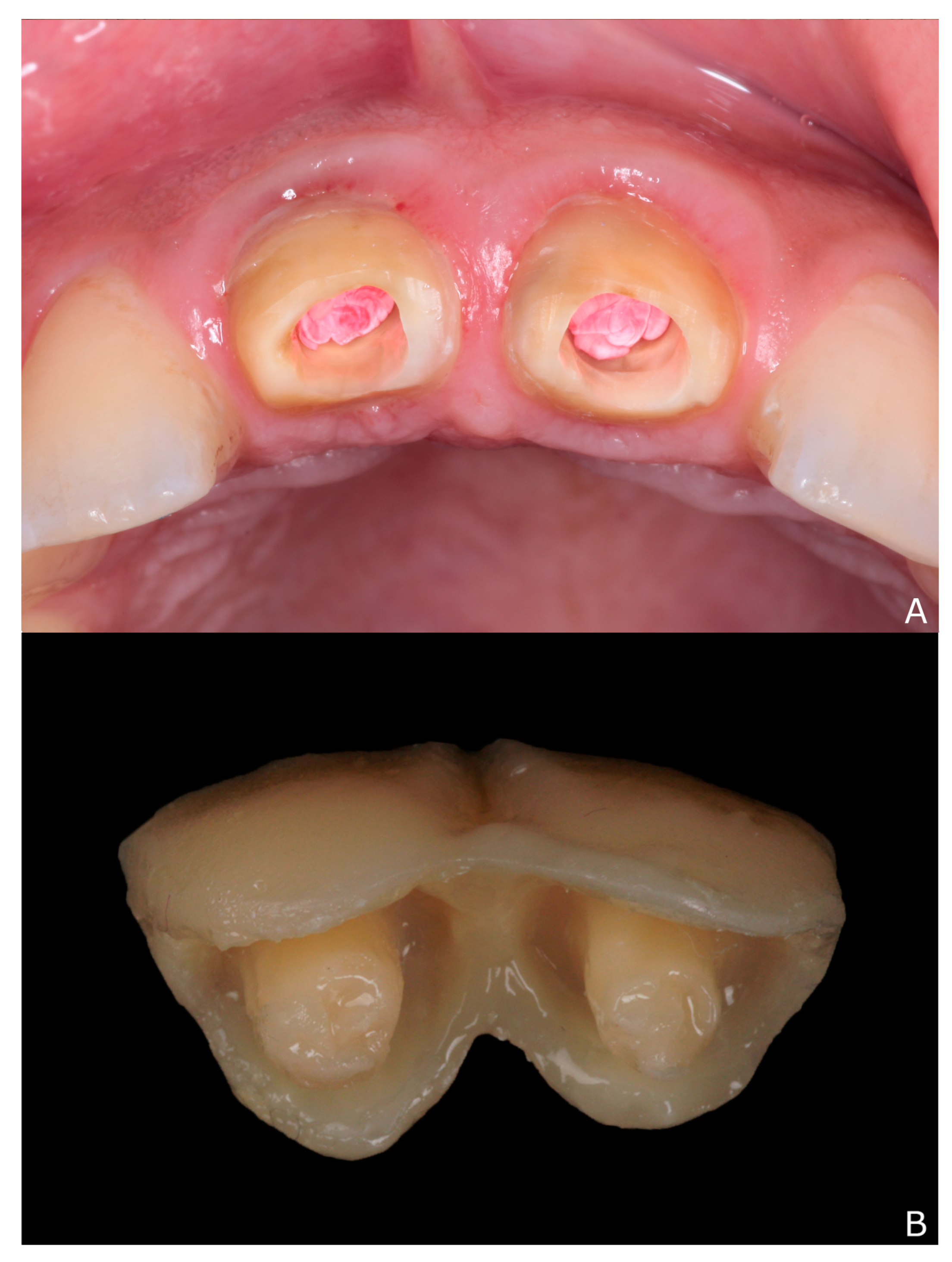
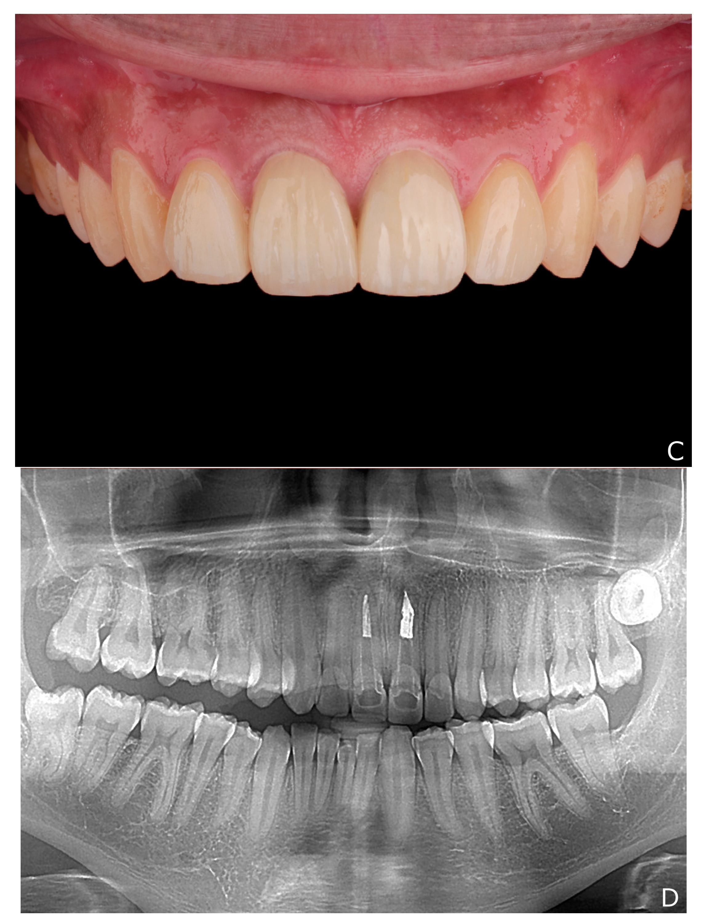
2. Clinical Report
3. Discussion
4. Conclusions
Author Contributions
Funding
Institutional Review Board Statement
Informed Consent Statement
Data Availability Statement
Conflicts of Interest
References
- Sulaiman, T.A. Materials in Digital Dentistry-A Review. J. Esthet. Restor. Dent. 2020, 32, 171–181. [Google Scholar] [CrossRef] [PubMed]
- Kasem, A.T.; Sakrana, A.A.; Ellayeh, M.; Özcan, M. Evaluation of Zirconia and Zirconia-Reinforced Glass Ceramic Systems Fabricated for Minimal Invasive Preparations Using a Novel Standardization Method. J. Esthet. Restor. Dent. 2020, 32, 560–568. [Google Scholar] [CrossRef] [PubMed]
- Dal Piva, A.M.d.O.; Tribst, J.P.M.; Benalcázar Jalkh, E.B.; Anami, L.C.; Bonfante, E.A.; Bottino, M.A. Minimal Tooth Preparation for Posterior Monolithic Ceramic Crowns: Effect on the Mechanical Behavior, Reliability and Translucency. Dent. Mater. 2021, 37, e140–e150. [Google Scholar] [CrossRef] [PubMed]
- do Nascimento, W.F.; de Andrade, G.S.; Tribst, J.P.M.; Uemura, E.S.; Saavedra, G.S.F.A. One-Piece, CAD/CAM, Fiber-Reinforced Composite Post and Core: A Case Report. Gen. Dent. 2021, 69, 64–68. [Google Scholar] [PubMed]
- Alves, P.B.; Jurema, A.L.B.; Torres, C.R.G.; Borges, A.B.; Liporoni, P.C.S.; Tribst, J.P.M.; Zanatta, R.F. Bond Strength Evaluation between Different Glass Fiber Post Systems to Restore Weakened Roots. J. Compos. Sci. 2022, 6, 252. [Google Scholar] [CrossRef]
- Corazza, P.H.; Domênico, M.B.D.; Facenda, J.C.; Merlo, E.G.; Borba, M.; Ozcan, M. Fiberglass versus Cast Metal Posts: A Practical Review Based on Mechanical Properties. Braz. Dent. Sci. 2022, 25, e3442. [Google Scholar] [CrossRef]
- Fernandes, A.S.; Shetty, S.; Coutinho, I. Factors Determining Post Selection: A Literature Review. J. Prosthet. Dent. 2003, 90, 556–562. [Google Scholar] [CrossRef]
- Mobilio, N.; Fasiol, A.; Mollica, F.; Catapano, S. In Vitro Fracture Strength of Teeth Restored with Lithium Disilicate Onlays with and without Fiber Post Build-Up. Dent. J. 2018, 6, 35. [Google Scholar] [CrossRef]
- Eid, R.; Tribst, J.P.M.; Juloski, J.; Özcan, M.; Salameh, Z. Effect of Material Types on the Fracture Resistance of Maxillary Central Incisors Restored with CAD/CAM Post and Cores. Int. J. Comput. Dent. 2021, 24, 41–51. [Google Scholar]
- Ausiello, P.; Gloria, A.; Maietta, S.; Watts, D.C.; Martorelli, M. Stress Distributions for Hybrid Composite Endodontic Post Designs with and without a Ferrule: FEA Study. Polymers 2020, 12, 1836. [Google Scholar] [CrossRef]
- de Andrade, G.-S.; Tribst, J.-P.-M.; Dal Piva, A.-M.O.; Bottino, M.-A.; Borges, A.-L.-S.; Valandro, L.-F.; Özcan, M. A Study on Stress Distribution to Cement Layer and Root Dentin for Post and Cores Made of CAD/CAM Materials with Different Elasticity Modulus in the Absence of Ferrule. J. Clin. Exp. Dent. 2019, 11, e1–e8. [Google Scholar] [CrossRef] [PubMed]
- Ruschel, G.H.; Gomes, É.A.; Silva-Sousa, Y.T.; Pinelli, R.G.P.; Sousa-Neto, M.D.; Pereira, G.K.R.; Spazzin, A.O. Mechanical Properties and Superficial Characterization of a Milled CAD-CAM Glass Fiber Post. J. Mech. Behav. Biomed. Mater. 2018, 82, 187–192. [Google Scholar] [CrossRef] [PubMed]
- Bilgin, M.S.; Erdem, A.; Dilber, E.; Ersoy, İ. Comparison of Fracture Resistance between Cast, CAD/CAM Milling, and Direct Metal Laser Sintering Metal Post Systems. J. Prosthodont. Res. 2016, 60, 23–28. [Google Scholar] [CrossRef] [PubMed]
- Lalama, M.; Rocha, M.G.; O’Neill, E.; Zoidis, P. Polyetheretherketone (PEEK) Post and Core Restorations: A 3D Accuracy Analysis between Heat-Pressed and CAD-CAM Fabrication Methods. J. Prosthodont. 2022, 31, 537–542. [Google Scholar] [CrossRef] [PubMed]
- Teixeira, K.N.; Duque, T.M.; Maia, H.P.; Gonçalves, T. Fracture Resistance and Failure Mode of Custom-Made Post-and-Cores of Polyetheretherketone and Nano-Ceramic Composite. Oper. Dent. 2020, 45, 506–515. [Google Scholar] [CrossRef]
- Uctasli, S.; Boz, Y.; Sungur, S.; Vallittu, P.K.; Garoushi, S.; Lassila, L. Influence of Post-Core and Crown Type on the Fracture Resistance of Incisors Submitted to Quasistatic Loading. Polymers 2021, 13, 1130. [Google Scholar] [CrossRef]
- Iemsaengchairat, R.; Aksornmuang, J. Fracture Resistance of Thin Wall Endodontically Treated Teeth without Ferrules Restored with Various Techniques. J. Esthet. Restor. Dent. 2022, 34, 670–679. [Google Scholar] [CrossRef]
- Sadowsky, S.J. Comments Regarding: Batista VES, Bitencourt SB, Bastos NA, Pellizzer EP, Goiato MC, Dos Santos DM. Influence of the Ferrule Effect on the Failure of Fiber-Reinforced Composite Post-and-Core Restorations: A Systematic Review and Meta-Analysis. J Prosthet Dent 2020;123:239–245. J. Prosthet. Dent. 2021, 125, 554. [Google Scholar] [CrossRef]
- Garcia, P.P.; Wambier, L.M.; de Geus, J.L.; da Cunha, L.F.; Correr, G.M.; Gonzaga, C.C. Do Anterior and Posterior Teeth Treated with Post-and-Core Restorations Have Similar Failure Rates? A Systematic Review and Meta-Analysis. J. Prosthet. Dent. 2019, 121, 887–894.e4. [Google Scholar] [CrossRef]
- Mosharraf, R.; Fathi, A.; Botshekan, S.S. Comparative Evaluation of the Effect of Core Type and Antirotational Post on Stress Distribution in an Endodontically Treated Maxillary First Molar: FEA. Int. J. Dent. 2022, 2022, 4336980. [Google Scholar] [CrossRef]
- Al-Qarni, F.D. Customized Post and Cores Fabricated with CAD/CAM Technology: A Literature Review. Int. J. Gen. Med. 2022, 15, 4771–4779. [Google Scholar] [CrossRef] [PubMed]
- Lee, K.-S.; Shin, J.-H.; Kim, J.-E.; Kim, J.-H.; Lee, W.-C.; Shin, S.-W.; Lee, J.-Y. Biomechanical Evaluation of a Tooth Restored with High Performance Polymer PEKK Post-Core System: A 3D Finite Element Analysis. Biomed Res. Int. 2017, 2017, 1373127. [Google Scholar] [CrossRef] [PubMed]
- Song, C.-H.; Choi, J.-W.; Jeon, Y.-C.; Jeong, C.-M.; Lee, S.-H.; Kang, E.-S.; Yun, M.-J.; Huh, J.-B. Comparison of the Microtensile Bond Strength of a Polyetherketoneketone (PEKK) Tooth Post Cemented with Various Surface Treatments and Various Resin Cements. Materials 2018, 11, 916. [Google Scholar] [CrossRef] [PubMed]
- Najeeb, S.; Zafar, M.S.; Khurshid, Z.; Siddiqui, F. Applications of Polyetheretherketone (PEEK) in Oral Implantology and Prosthodontics. J. Prosthodont. Res. 2016, 60, 12–19. [Google Scholar] [CrossRef]
- Heboyan, A.; Zafar, M.S.; Karobari, M.I.; Tribst, J.P.M. Insights into Polymeric Materials for Prosthodontics and Dental Implantology. Materials 2022, 15, 5383. [Google Scholar] [CrossRef]
- Trebilcock, C.L., Jr.; Evans, D.B. A Two-Stage Impression Technique for the Indirect Fabrication of Multiple Cast Dowel and Cores. J. Prosthet. Dent. 1991, 66, 422–425. [Google Scholar] [CrossRef]
- Falcão Spina, D.R.; da Costa, R.G.; Correr, G.M.; Rached, R.N. Scanning of Root Canal Impression for the Fabrication of a Resin CAD-CAM-Customized Post-and-Core. J. Prosthet. Dent. 2018, 120, 242–245. [Google Scholar] [CrossRef]
- Zheng, Z.; Sun, J.; Jiang, L.; Wu, Y.; He, J.; Ruan, W.; Yan, W. Influence of Margin Design and Restorative Material on the Stress Distribution of Endocrowns: A 3D Finite Element Analysis. BMC Oral Health 2022, 22, 30. [Google Scholar] [CrossRef]
- Yilmaz, B.; Batak, B.; Seghi, R.R. Failure Analysis of High Performance Polymers and New Generation Cubic Zirconia Used for Implant-Supported Fixed, Cantilevered Prostheses. Clin. Implant Dent. Relat. Res. 2019, 21, 1132–1139. [Google Scholar] [CrossRef]
- Su, N.; Yue, L.; Liao, Y.; Liu, W.; Zhang, H.; Li, X.; Wang, H.; Shen, J. Erratum: The Effect of Various Sandblasting Conditions on Surface Changes of Dental Zirconia and Shear Bond Strength between Zirconia Core and Indirect Composite Resin. J. Adv. Prosthodont. 2015, 7, 506. [Google Scholar] [CrossRef]
- Villefort, R.F.; Anami, L.C.; Campos, T.M.B.; Melo, R.M.; Valandro, L.F.; von Zeidler, S.L.V.; Bottino, M.A. Influence of Alternative and Conventional Surface Treatments on the Bonding Mechanism between PEEK and Veneering Resin for Dental Application. Coatings 2021, 11, 719. [Google Scholar] [CrossRef]
- Agustín-Panadero, R.; Serra-Pastor, B.; Fons-Font, A.; Solá-Ruíz, M.F. Prospective Clinical Study of Zirconia Full-Coverage Restorations on Teeth Prepared with Biologically Oriented Preparation Technique on Gingival Health: Results after Two-Year Follow-Up. Oper. Dent. 2018, 43, 482–487. [Google Scholar] [CrossRef] [PubMed]
- Vigolo, P.; Mutinelli, S.; Biscaro, L.; Stellini, E. An in Vivo Evaluation of the Fit of Zirconium-Oxide Based, Ceramic Single Crowns with Vertical and Horizontal Finish Line Preparations: In Vivo Precision of Zirconia Single Crowns. J. Prosthodont. 2015, 24, 603–609. [Google Scholar] [CrossRef] [PubMed]
- Schmitz, J.H.; Cortellini, D.; Granata, S.; Valenti, M. Monolithic Lithium Disilicate Complete Single Crowns with Feather-Edge Preparation Design in the Posterior Region: A Multicentric Retrospective Study up to 12 Years. Quintessence Int. 2017, 48, 601–608. [Google Scholar] [CrossRef]
- Agustín-Panadero, R.; Solá-Ruíz, M.F.; Chust, C.; Ferreiroa, A. Fixed Dental Prostheses with Vertical Tooth Preparations without Finish Lines: A Report of Two Patients. J. Prosthet. Dent. 2016, 115, 520–526. [Google Scholar] [CrossRef]
- Falcão Spina, D.R.; Goulart da Costa, R.; Farias, I.C.; da Cunha, L.G.; Ritter, A.V.; Gonzaga, C.C.; Correr, G.M. CAD/CAM Post-and-Core Using Different Esthetic Materials: Fracture Resistance and Bond Strengths. Am. J. Dent. 2017, 30, 299–304. [Google Scholar]
- Silva, C.F.; Martins, V.M.; Melo, A.d.P.; Martins, L.C.; Santos-Filho, P.C.F. The Use of Bulk-Fill Flow in the Customization of Glass Fiber Post. Eur. J. Dent. 2021, 15, 139–144. [Google Scholar] [CrossRef]
- Kasem, A.T.; Elsherbiny, A.A.; Abo-Madina, M.; Tribst, J.P.M.; Al-Zordk, W. Biomechanical Behavior of Posterior Metal-Free Cantilever Fixed Dental Prostheses: Effect of Material and Retainer Design. Clin. Oral Investig. 2022. [Google Scholar] [CrossRef]
- Caglar, I.; Ates, S.M.; Yesil Duymus, Z. An in Vitro Evaluation of the Effect of Various Adhesives and Surface Treatments on Bond Strength of Resin Cement to Polyetheretherketone: Bond Strength of Resin Cement to PEEK. J. Prosthodont. 2019, 28, e342–e349. [Google Scholar] [CrossRef]
- Monteiro, L.C.; Pecorari, V.G.A.; Gontijo, I.G.; Marchi, G.M.; Lima, D.A.N.L.; Aguiar, F.H.B. PEEK and Fiberglass Intra-Radicular Posts: Influence of Resin Cement and Mechanical Cycling on Push-out Bond Strength. Clin. Oral Investig. 2022, 26, 6907–6916. [Google Scholar] [CrossRef]










Publisher’s Note: MDPI stays neutral with regard to jurisdictional claims in published maps and institutional affiliations. |
© 2022 by the authors. Licensee MDPI, Basel, Switzerland. This article is an open access article distributed under the terms and conditions of the Creative Commons Attribution (CC BY) license (https://creativecommons.org/licenses/by/4.0/).
Share and Cite
Kasem, A.T.; Shams, M.; Tribst, J.P.M. The Use of Polyetheretherketone (PEEK) as an Alternative Post and Core Material: Five-Year Follow-Up Report. Dent. J. 2022, 10, 237. https://doi.org/10.3390/dj10120237
Kasem AT, Shams M, Tribst JPM. The Use of Polyetheretherketone (PEEK) as an Alternative Post and Core Material: Five-Year Follow-Up Report. Dentistry Journal. 2022; 10(12):237. https://doi.org/10.3390/dj10120237
Chicago/Turabian StyleKasem, Ammar T., Mahmoud Shams, and João Paulo Mendes Tribst. 2022. "The Use of Polyetheretherketone (PEEK) as an Alternative Post and Core Material: Five-Year Follow-Up Report" Dentistry Journal 10, no. 12: 237. https://doi.org/10.3390/dj10120237
APA StyleKasem, A. T., Shams, M., & Tribst, J. P. M. (2022). The Use of Polyetheretherketone (PEEK) as an Alternative Post and Core Material: Five-Year Follow-Up Report. Dentistry Journal, 10(12), 237. https://doi.org/10.3390/dj10120237

